岐阜駅インプレ歯科の症例集
インプラントの症例
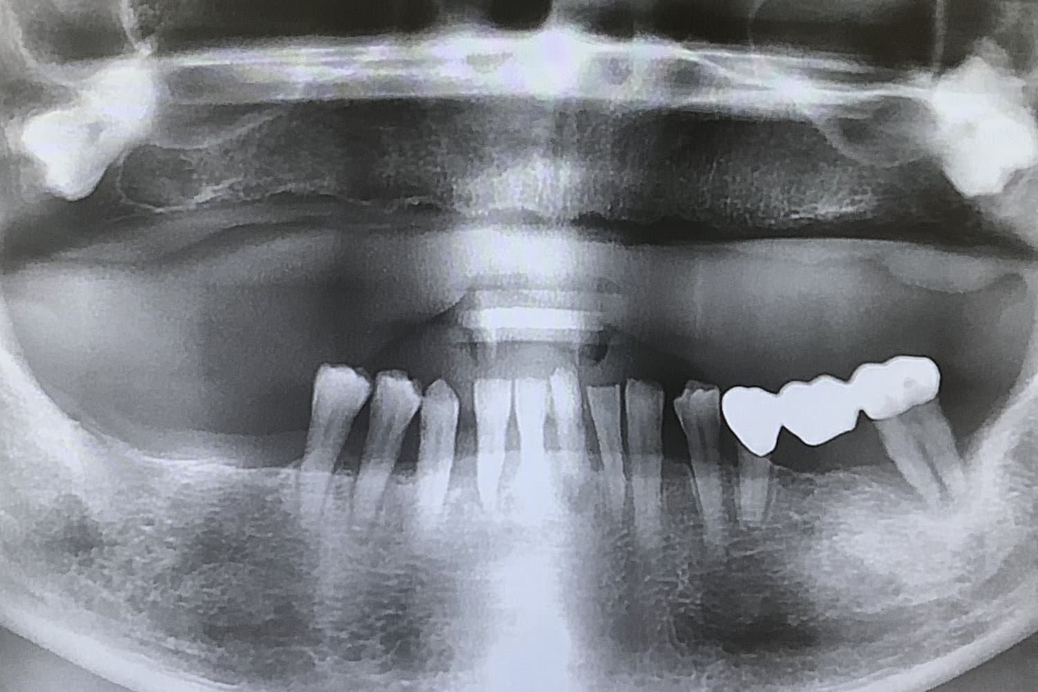
左下奥歯3本欠損部位のインプラント治療による修復
Before

After

左下奥歯3本の欠損部位をインプラント治療により修復をおこなう
年齢
40代
性別
女性
主訴
左下の歯がない箇所をインプラント治療したい
治療期間
4ヵ月
治療回数
5回
費用
825,000円
副作用・リスク
・骨の質や全身疾患によりインプラント体が骨と生着しない可能性がある ・術後に患部が腫れたり痛みが生じたりする可能性がある
上顎のインプラント治療
Before

After



上顎に8本インプラントを埋入手術しブリッジ冠を用いて修復した
年齢
50
性別
男性
主訴
上顎の総入れ歯が嫌なのでインプラントにしたい
治療期間
8ヵ月
治療回数
8回
費用
2,860,000円
副作用・リスク
・全身疾患の有無や骨の状態によってインプラント体が骨と生着しない可能性がある ・術後患部が腫れたり痛みが生じたりする可能性がある
Medee歯科検索は、おすすめしたい歯医者を掲載しています。
駅、行政区、診療時間、歯科医院の特徴、診療科目など豊富な検索メニューで歯科医院を検索可能。
また歯科医院のWebサイトはもちろん各種予約ツールも利用することが可能で、より簡単に歯科医院を探すことができます。