ヒカルノ歯科・矯正歯科の症例集
インプラントの症例
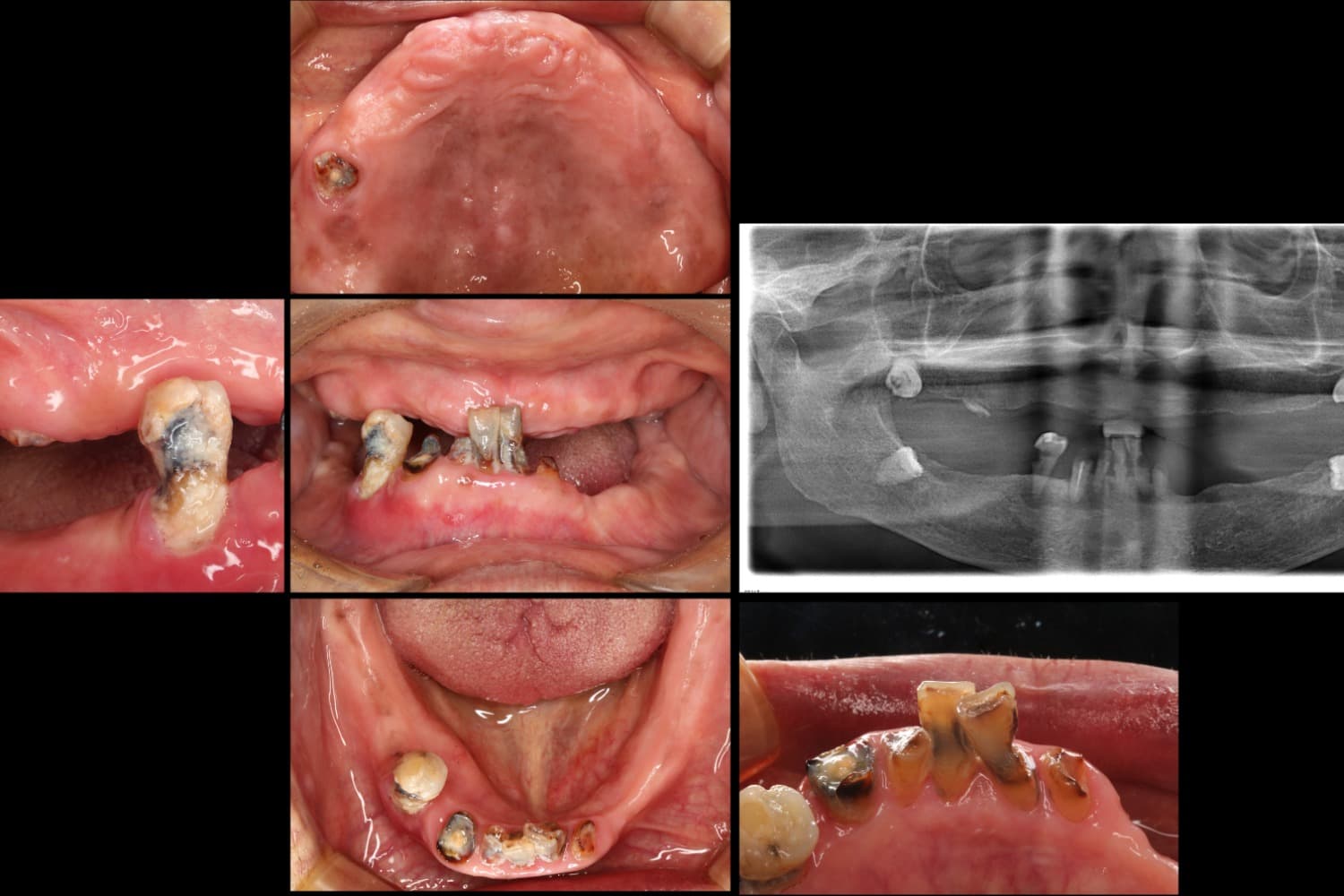
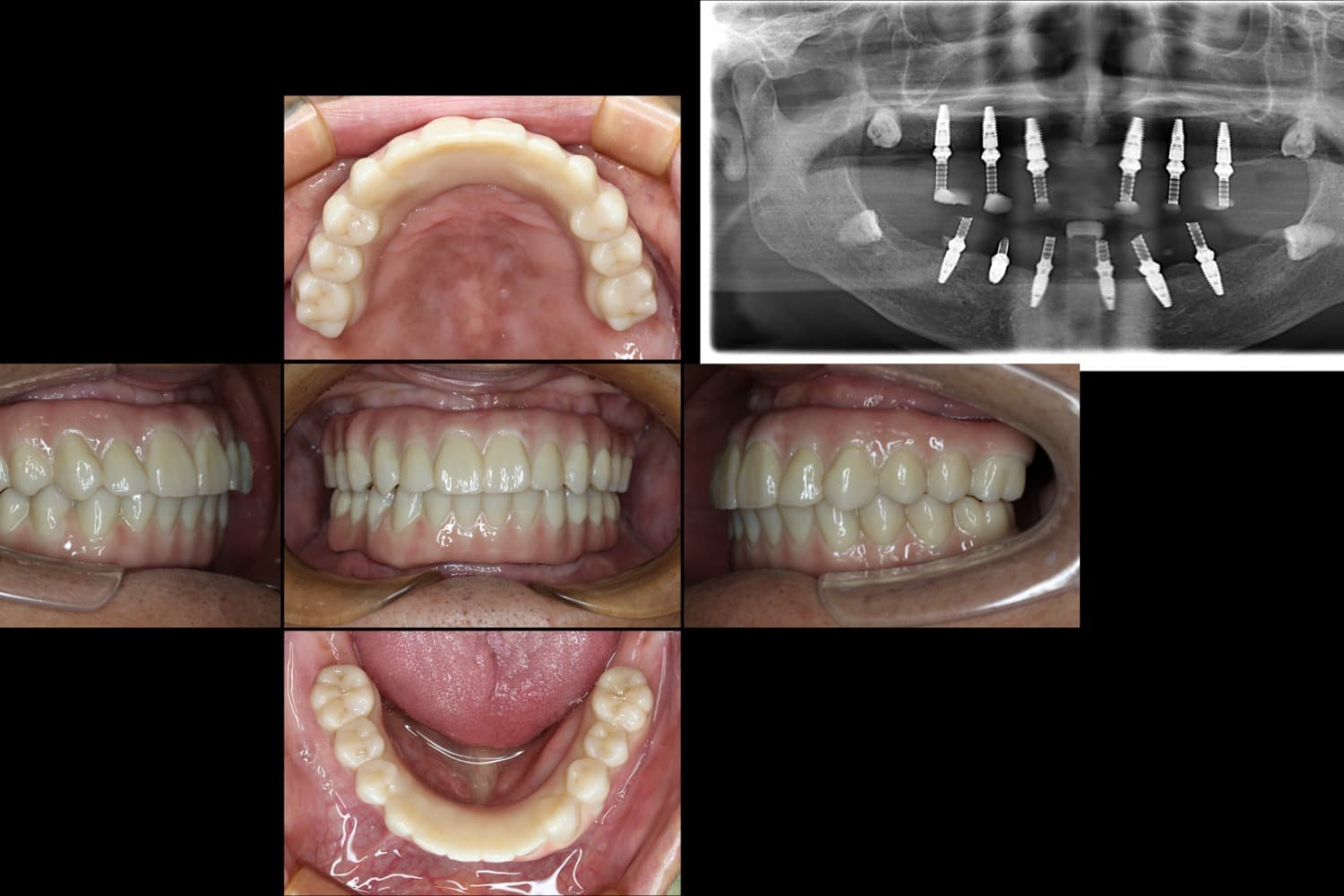
All-on-6による治療
Before

After

All-on-6という全部の歯をインプラントで補う治療 保存できる歯がない状態になっており、食事がまともにできないとのことでした。 インプラントを移植すると同時に被せ物も一緒に装着する方法で機能回復をおこないました。
年齢
70代
性別
男性
主訴
入れ歯が合わず、食事ができない
治療期間
5ヵ月
治療回数
10回
費用
CT 16,500円(税込) 静脈内鎮静法 66,000円(税込) ALL-ON-6 2,750,000円(税込)×2
副作用・リスク
歯周病に感染・発症し重度に進行するとインプラントが抜けてしまうことがあります。また、手術後は数日間腫れが出る場合があります。
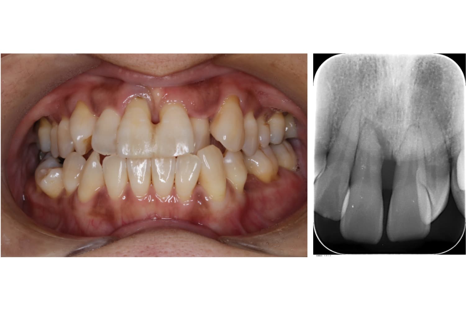
右上前歯のインプラント治療
Before

After

右上前歯の部位に失った骨を造る処置(GBR、骨造成)と同時にインプラント治療
年齢
40代
性別
女性
主訴
前歯がぐらついて噛むことができない
治療期間
9ヵ月
治療回数
9回
費用
CT 16,500円(税込) インプラント治療 525,800円(税込) 造骨処置 88,000円(税込)
副作用・リスク
歯周病に感染・発症し重度に進行するとインプラントが抜けてしまうことがあります。また、手術後は数日間腫れが出る場合があります。造骨処置をおこなった部分に内出血などがあらわれる場合があります。
Medee歯科検索は、おすすめしたい歯医者を掲載しています。
駅、行政区、診療時間、歯科医院の特徴、診療科目など豊富な検索メニューで歯科医院を検索可能。
また歯科医院のWebサイトはもちろん各種予約ツールも利用することが可能で、より簡単に歯科医院を探すことができます。