医療法人青心会 こころ歯科クリニックの症例集
インプラントの症例
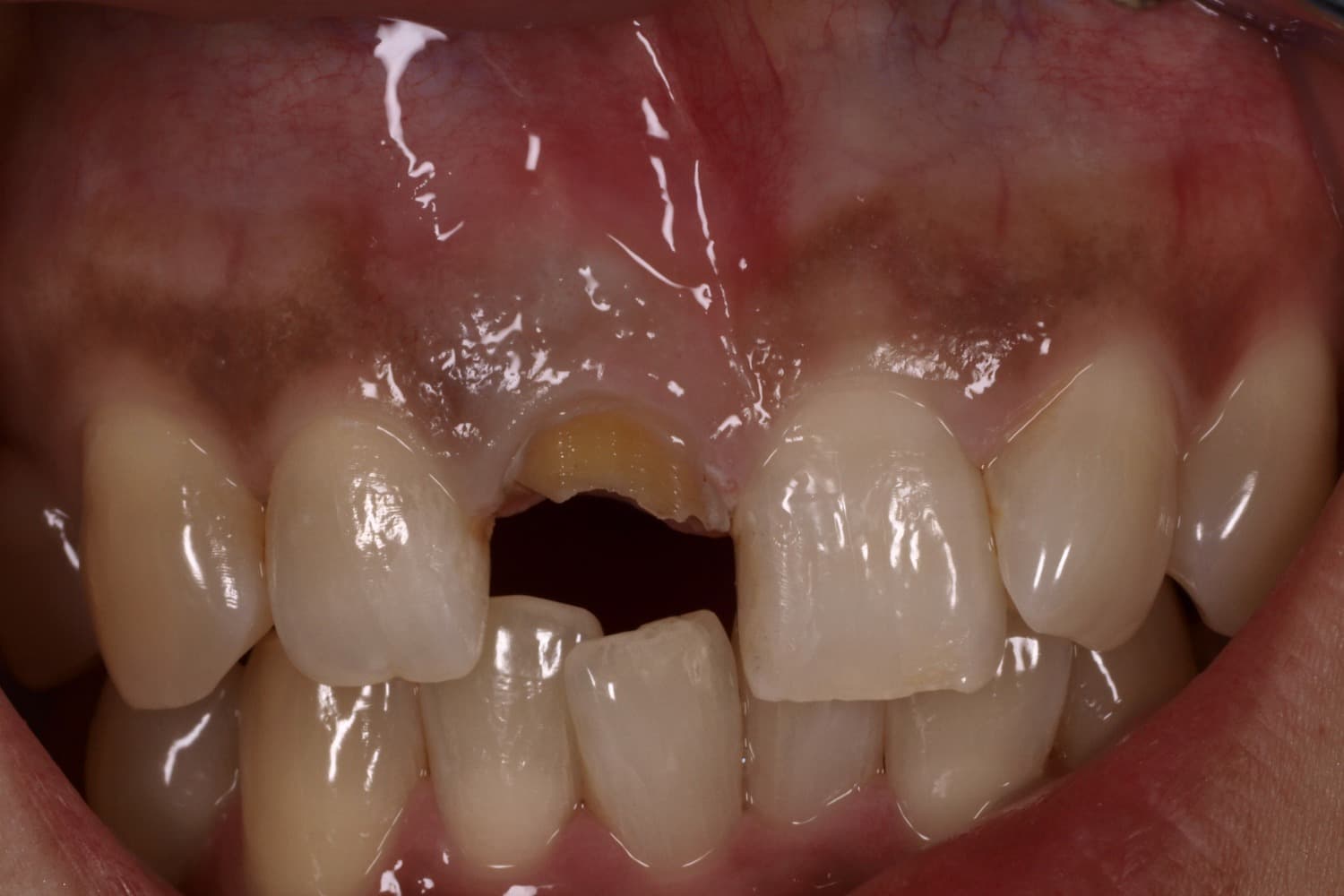
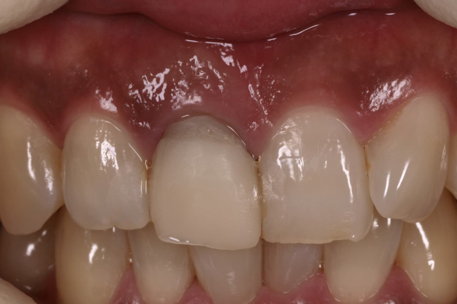
前歯のインプラント治療(40代/女性)
Before

After

事故によって歯根破折を起こした右上の1番部が数年後脱離し保存不能なたその歯に代わって、顎の骨にインプラントを埋め込み、その 上に人工の歯を被せるインプラント治療を行い、 機能面の回復を行いました。
年齢
40代
性別
女性
主訴
前歯の被せが脱離 外傷の既往あり
治療期間
4~5ヶ月
治療回数
10回
費用
33万円
副作用・リスク
歯肉退縮を最小限に抑えるために抜歯即時インプラント埋入を施行
Medee歯科検索は、おすすめしたい歯医者を掲載しています。
駅、行政区、診療時間、歯科医院の特徴、診療科目など豊富な検索メニューで歯科医院を検索可能。
また歯科医院のWebサイトはもちろん各種予約ツールも利用することが可能で、より簡単に歯科医院を探すことができます。