歯医者選びならMedee
>
症例集
しろくま歯科医院の症例集
審美歯科の症例
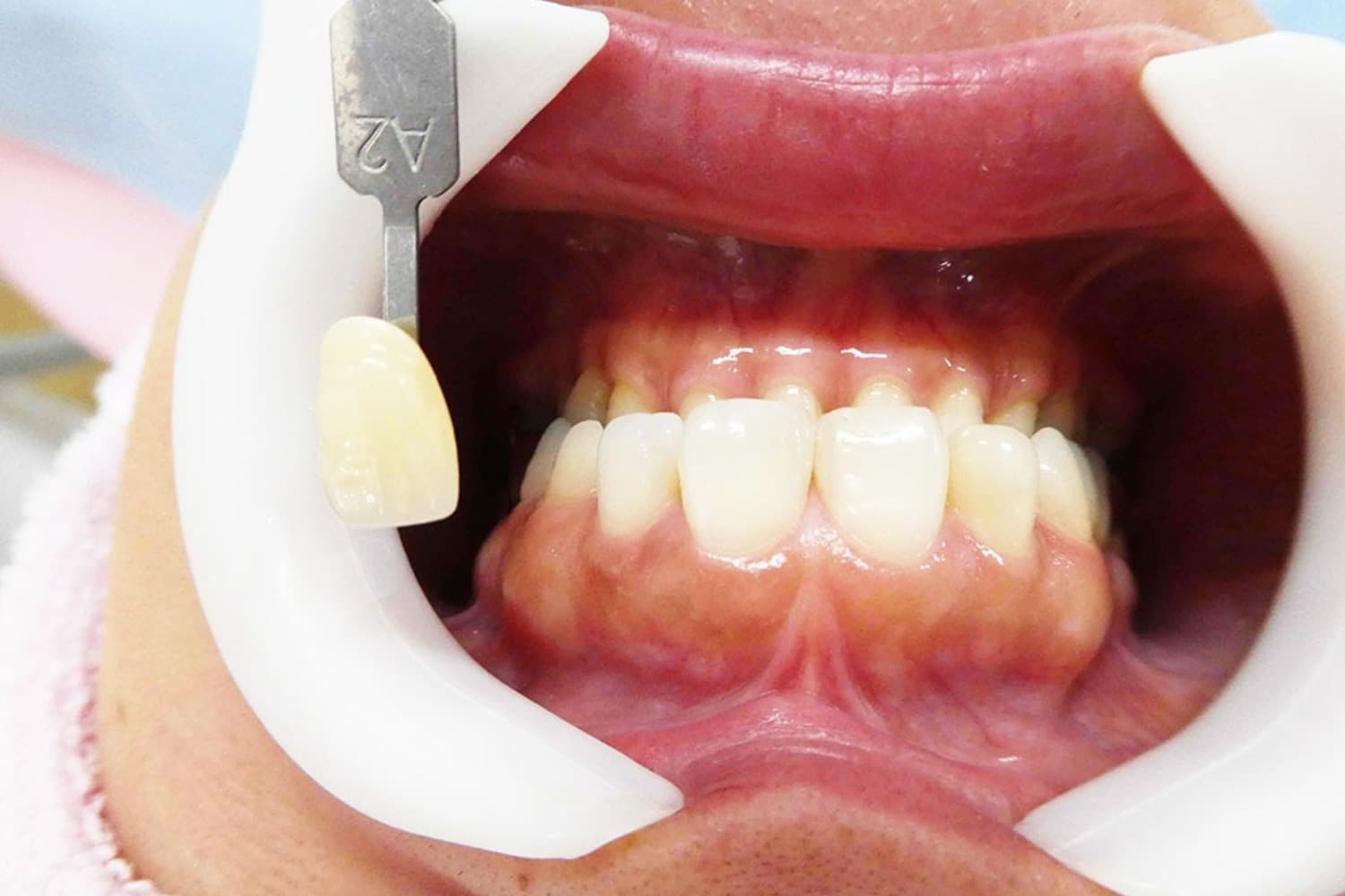
右上2番目をジルコニアセラミック歯にて治療
Before

After





周りの歯と調和し、自然な見た目になるようこだわったジルコニアセラミックにて治療
年齢
50代
性別
女性
主訴
耐久性が良く白くて綺麗な歯に治したい。
治療期間
1週間~2週間程度
費用
110,000円~160,000円(×1本)
副作用・リスク
自費のセラミックは強度が高く壊れる心配はあまりありません。ただ、歯周病が進行しないよう、日々歯茎のケアをしたり定期的な歯石の除去をしたりするメンテナンスは大切です。もちろん、通常通り毎食後の歯ブラシは必須です。
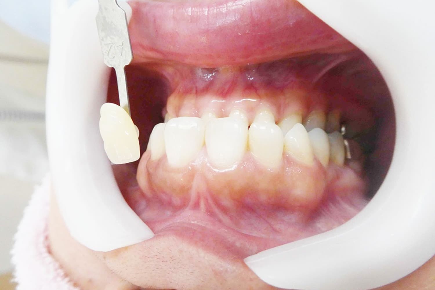
上前歯4本をジルコニアセラミック歯にて治療
Before

After



残っている周りの歯とも馴染み、美しい見た目になるようジルコニアセラミックにて治療
年齢
20代
性別
女性
主訴
歯の白さや歯並びを整えて綺麗な口元にしたい。なおかつ、長持ちしてしっかり噛めるようになりたい。
治療期間
2週間~4週間程度
費用
110,000円~160,000円(×4本)
副作用・リスク
自費のセラミックは強度が高く壊れる心配はあまりありません。ただ、歯周病が進行しないよう、日々歯茎のケアをしたり定期的な歯石の除去をしたりするメンテナンスは大切です。もちろん、通常通り毎食後の歯ブ ラシは必須です。
Medee歯科検索は、おすすめしたい歯医者を掲載しています。
駅、行政区、診療時間、歯科医院の特徴、診療科目など豊富な検索メニューで歯科医院を検索可能。
また歯科医院のWebサイトはもちろん各種予約ツールも利用することが可能で、より簡単に歯科医院を探すことができます。