トリプルエープラスデンタルクリニックの症例集
インプラントの症例
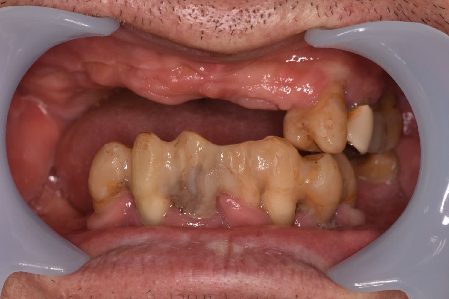
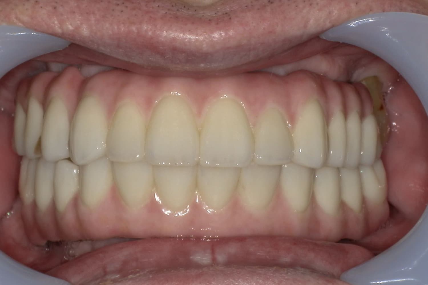
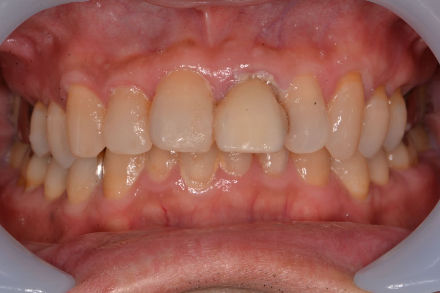
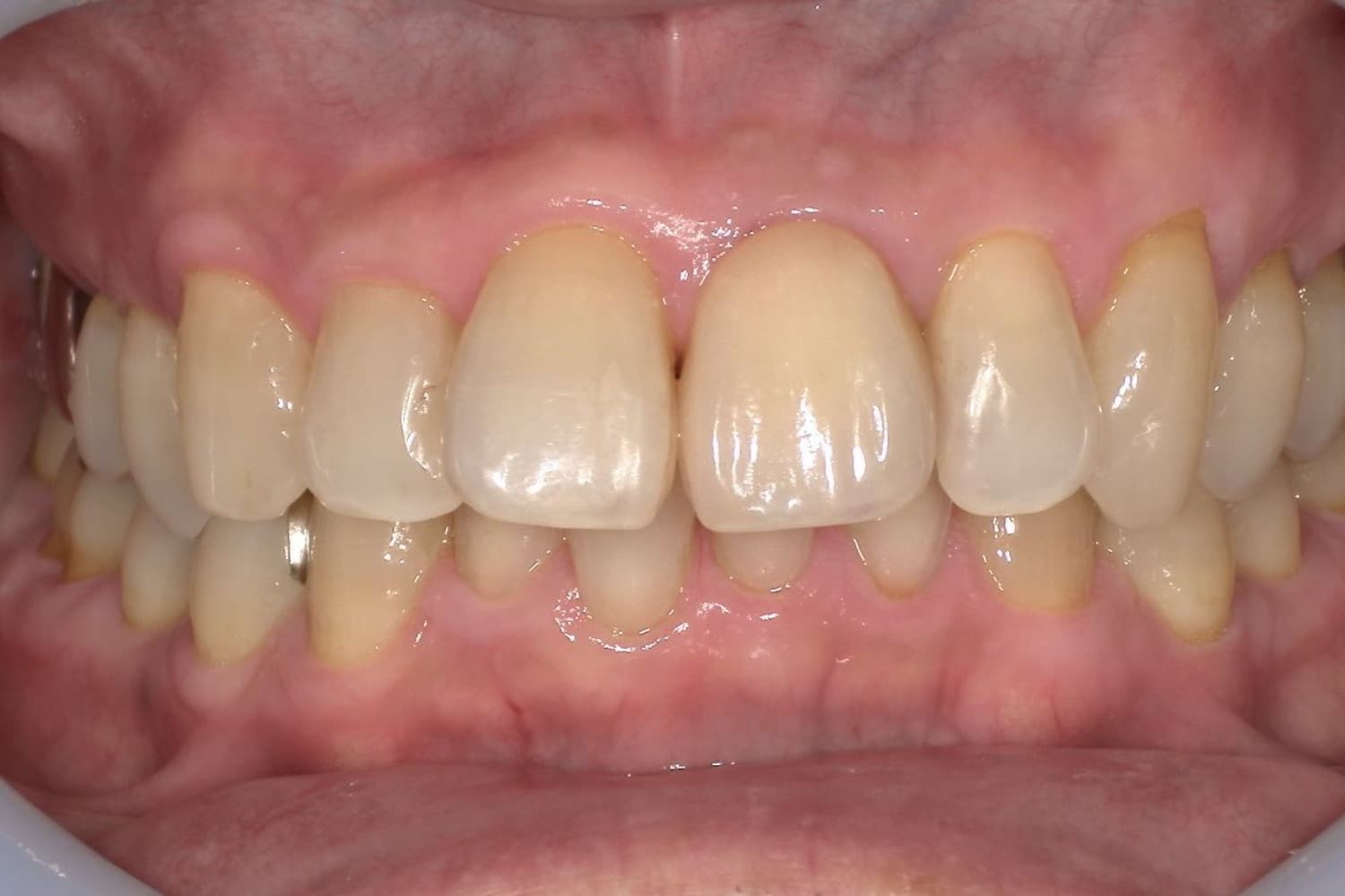
インプラント治療(50代/男性)
Before

After

複数歯の欠損におけるインプラント治療
年齢
50代
性別
男性
主訴
食事ができない
治療期間
1年と2カ月
治療回数
22回
費用
8,900,000円
副作用・リスク
術後感染、顎関節症
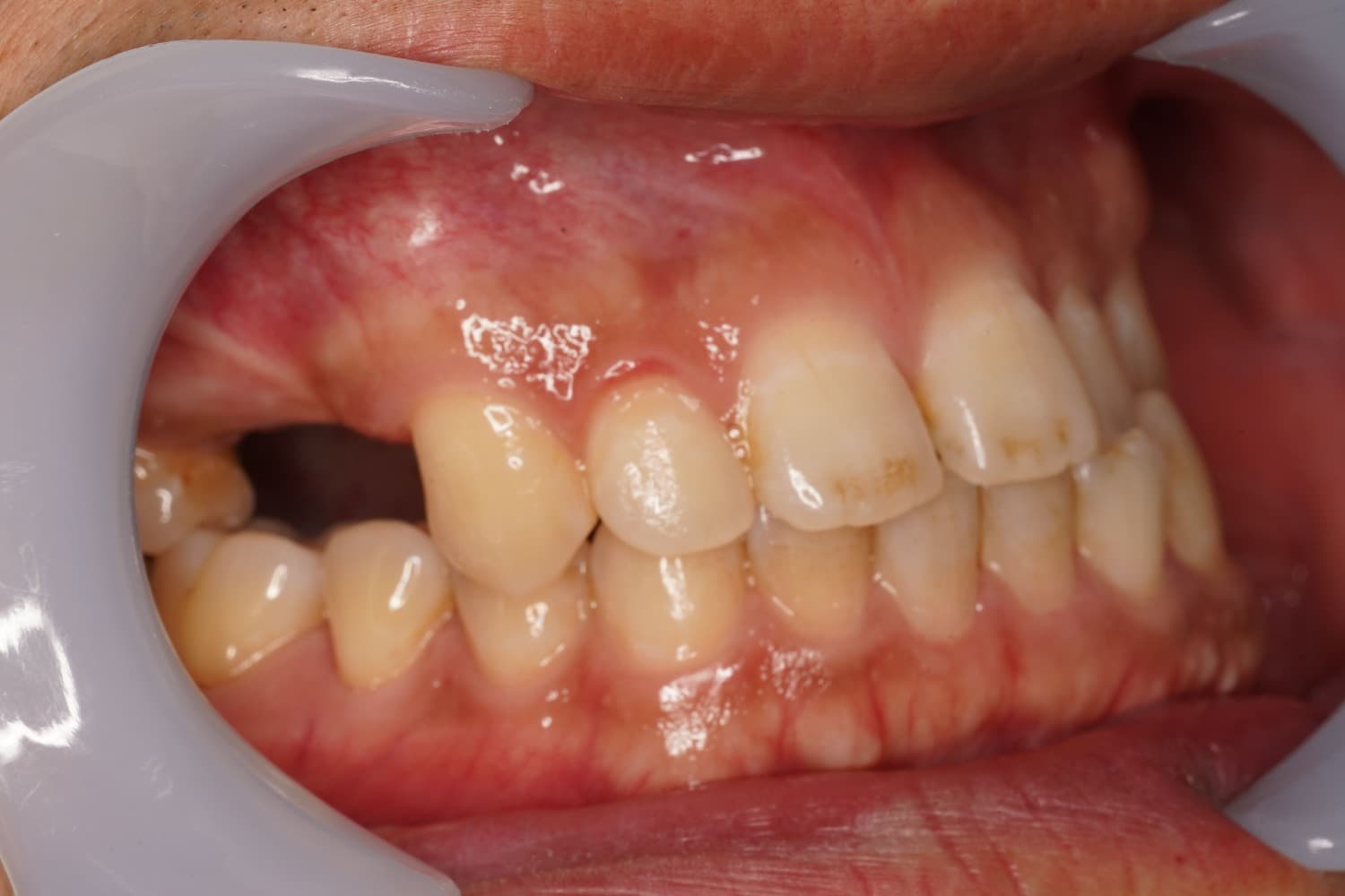
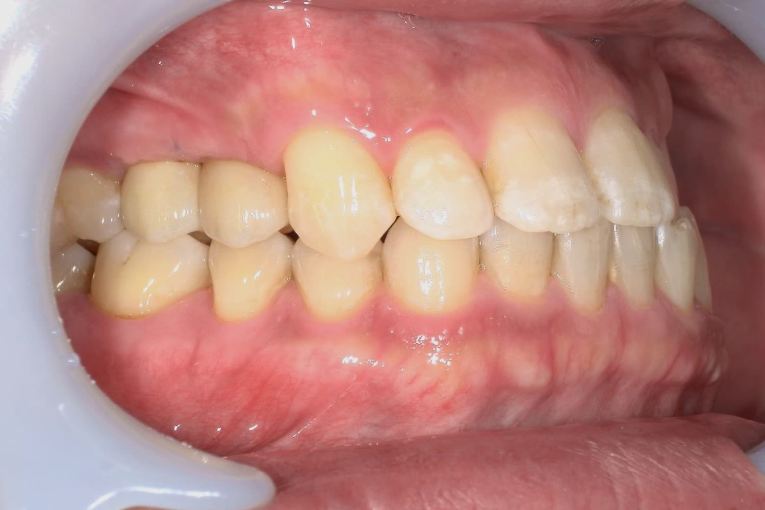
右上小臼歯部分のインプラント治療(30代/男性)
Before

After

右上小臼歯部分にインプラント治療を行った
年齢
30代
性別
男性
主訴
歯がないところがある
治療期間
3カ月
治療回数
5回
費用
1,111,000円
副作用・リスク
上顎洞の炎症
左上抜歯部分のインプラント治療(60代/男性)
Before

After

左上中切歯を抜歯して同時にインプラント治療を行った
年齢
60代
性別
男性
主訴
前歯が折れた
治療期間
3カ月
治療回数
5回
費用
572,000円
副作用・リスク
術後疼痛
Medee歯科検索は、おすすめしたい歯医者を掲載しています。
駅、行政区、診療時間、歯科医院の特徴、診療科目など豊富な検索メニューで歯科医院を検索可能。
また歯科医院のWebサイトはもちろん各種予約ツールも利用することが可能で、より簡単に歯科医院を探すことができます。