症例集
慶歯科医院の症例集
インプラントの症例
右上欠損部のインプラント治療
Before

After

右上欠損部にインプラント治療を行なった
主訴
右上歯牙欠損部にインプラント治療希望
治療期間
4カ月
治療回数
10回
費用
434,500円
副作用・リスク
・感染やインプラントの結合不良の可能性がある
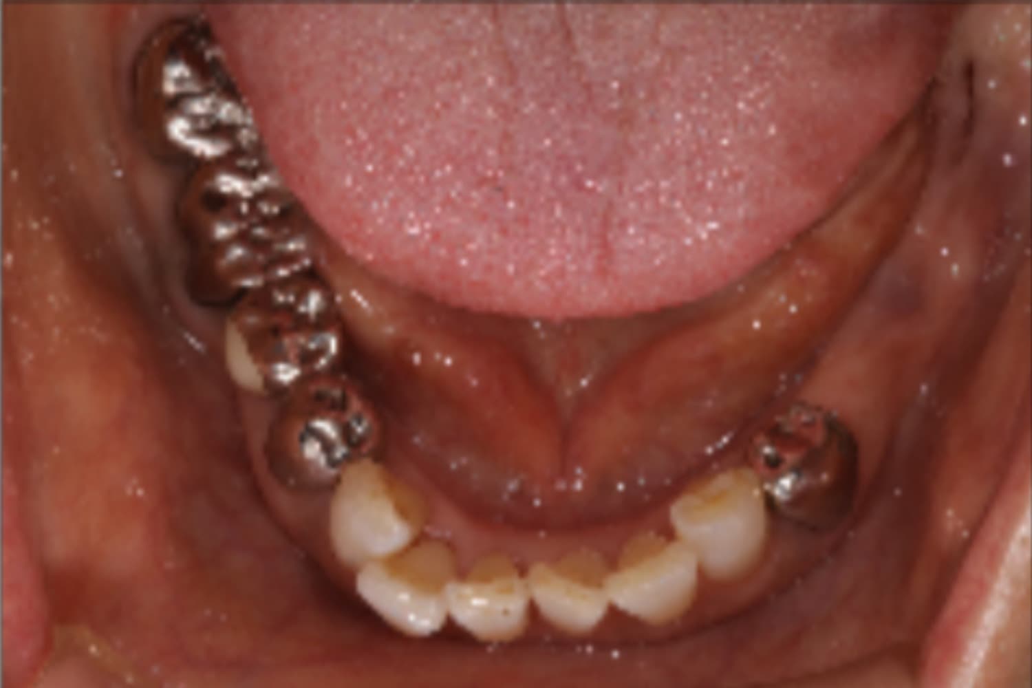
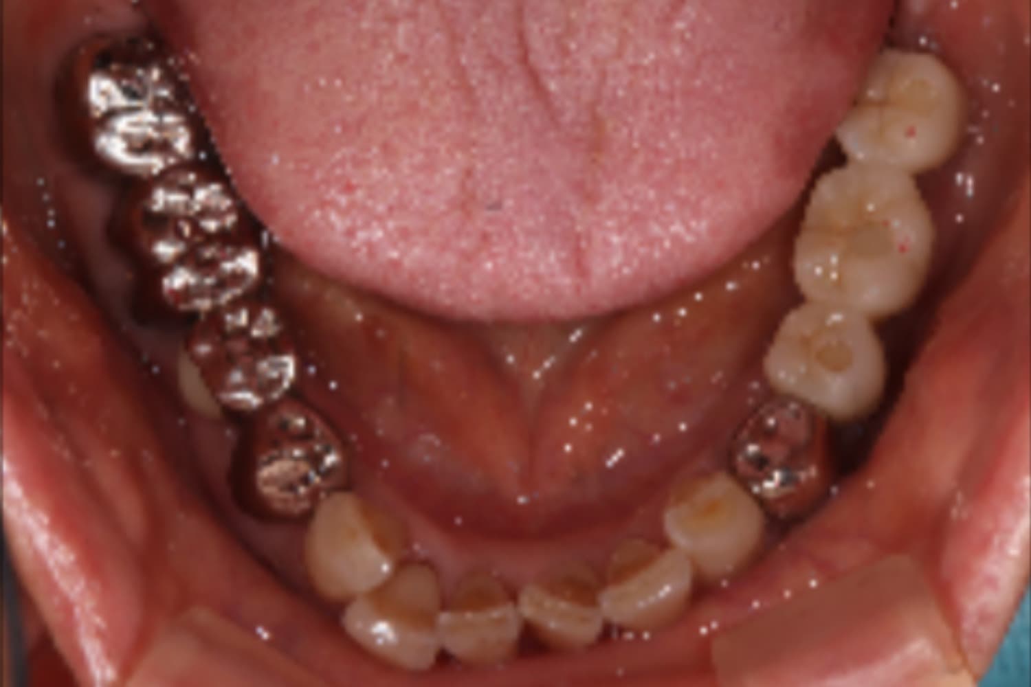
左下欠損部のインプラント治療
Before

After



3本インプラントを埋入すると同時に骨造成も行なっています。
主訴
左下欠損部にインプラント希望
治療期間
10カ月
治療回数
13回
費用
130,000円
副作用・リスク
・下顎の大きな神経(下歯槽神経)まで距離が短く、神経損傷リスクがありました。
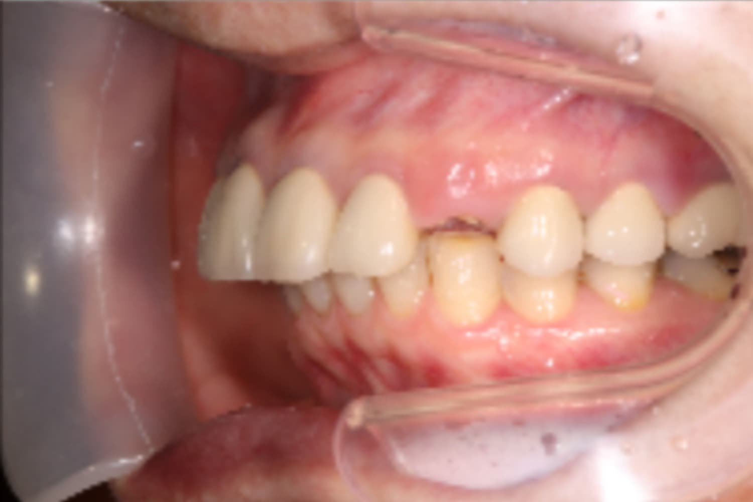
左上犬歯のインプラント治療
Before

After



抜歯と同時にインプラント治療を行いました。
主訴
左上犬歯の被せ物の脱離
治療期間
6カ月
治療回数
8回
費用
533,500円
副作用・リスク
・抜歯後即時にインプラントを埋入するため、結合不良リスクが高いです。 ・結合不良の場合、インプラント再埋入など追加処置が必要となります。
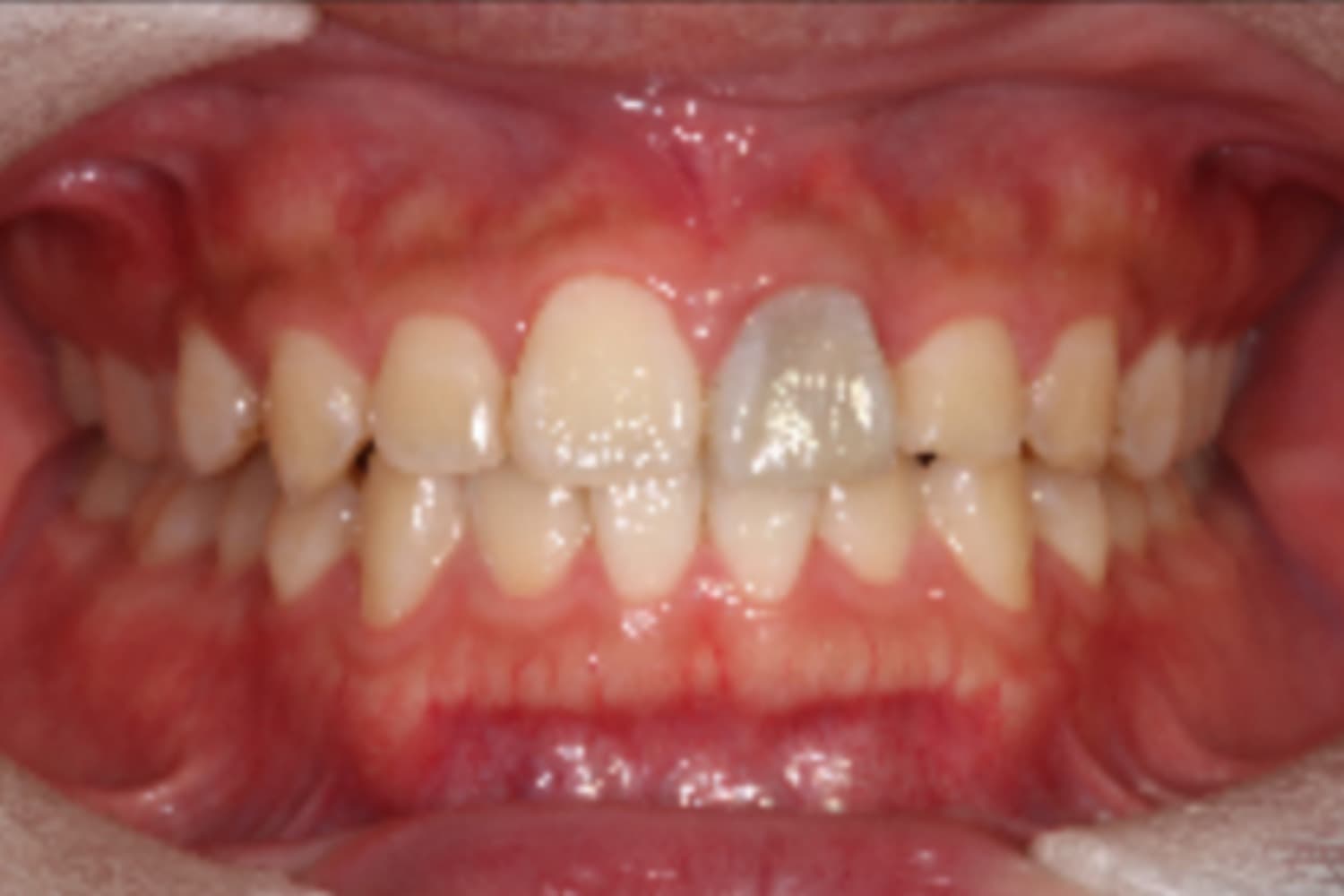
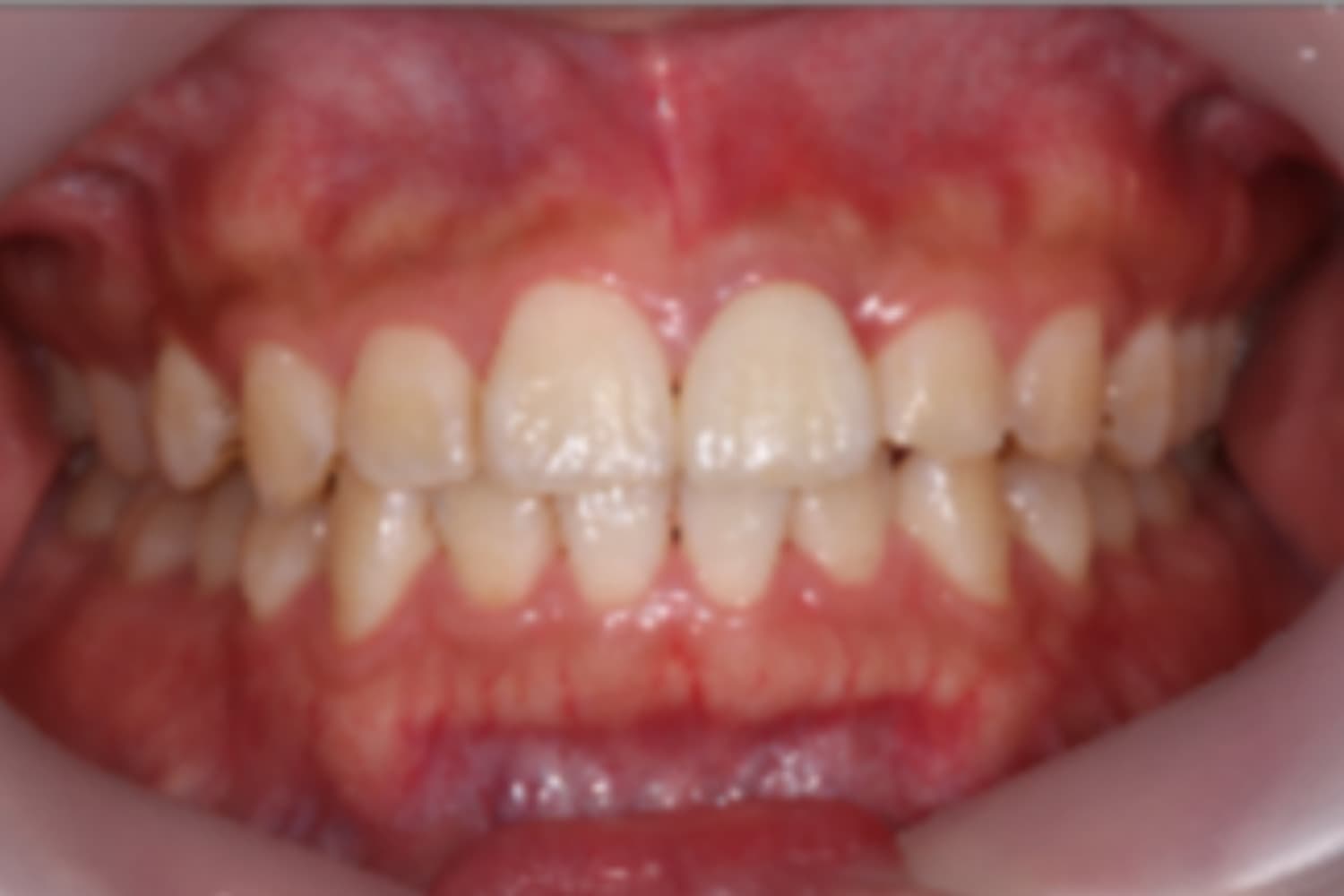
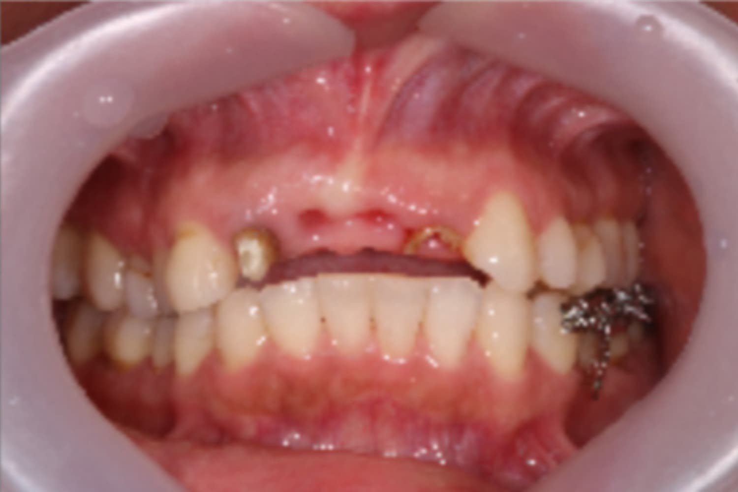
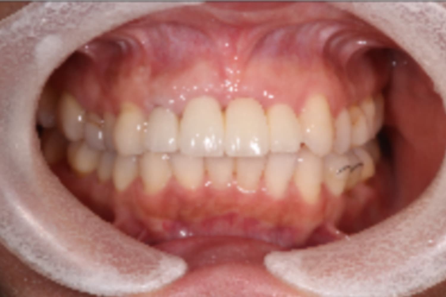
左上前歯のインプラント治療
Before

After

変色している歯は、根が割れているため抜歯し、インプラント治療を行なった。
主訴
左上前歯の変色
治療期間
5カ月
治療回数
10回
費用
533,500円
副作用・リスク
・抜歯と同時にインプラントを埋入するためで初期固定が得にくく、治癒期間が延長する可能性があります ・感染症のリスクがあります。
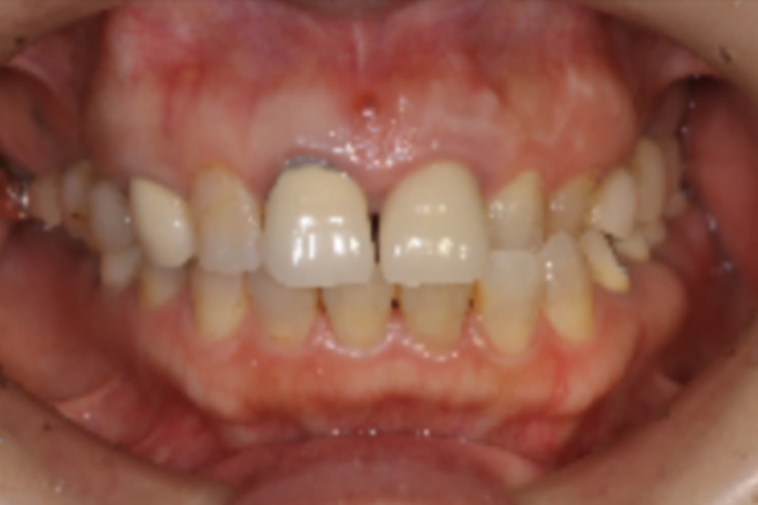
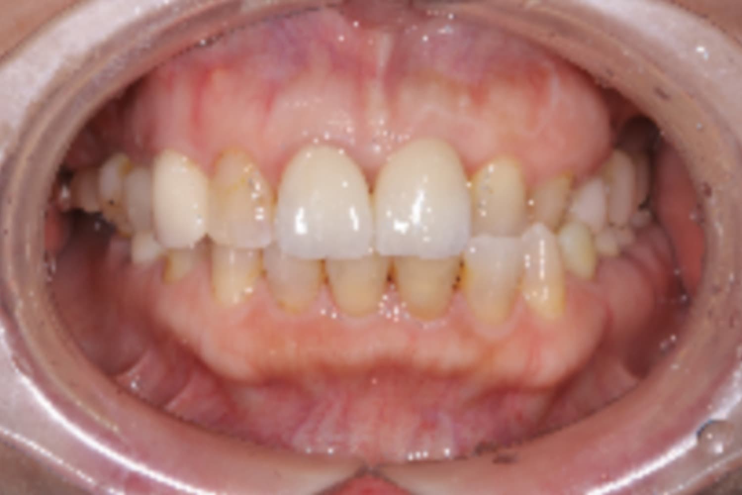
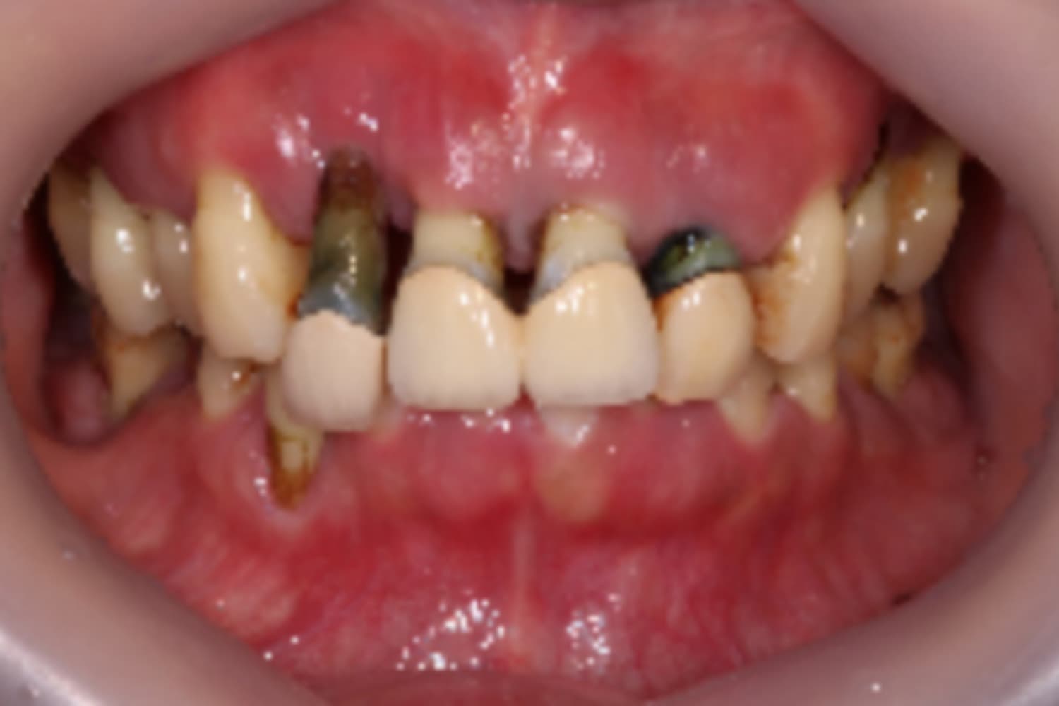
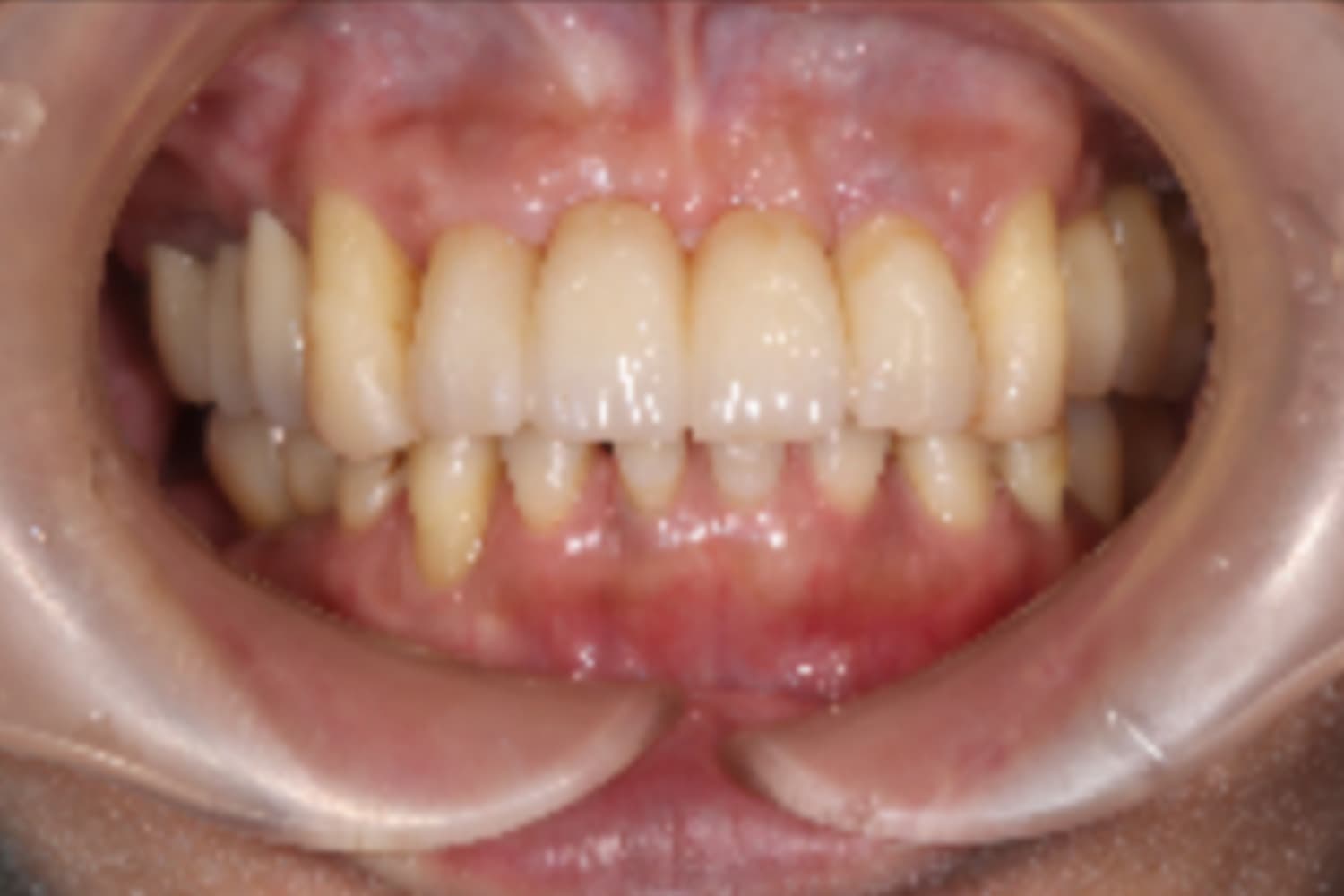
左上前歯のインプラント治療
Before

After



左上前歯を抜歯しインプラント治療を行なった
主訴
上の前歯の歯茎の腫れ
治療期間
8カ月
治療回数
8回
費用
533,500 円
副作用・リスク
・複合処置(抜歯・インプラント・骨造成)を一度に行ったことで感染リスクが高くなりました。また、結合不良が起こるリスクも高くなりました。
前歯のインプラント治療
Before

After

インプラントと同時に骨造成を行った
主訴
前歯を固定式にしたい
治療期間
12カ月
治療回数
12回
費用
1,300,000円
副作用・リスク
・外傷による骨欠損が大きく、完全な形態回復が困難 ・審美的要求が高い場合、追加処置が必要
前歯のインプラント治療
Before

After

前歯4本を抜歯し、その後2本のインプラントと骨造成を行いました。上部構造は4本分です。
主訴
前歯が気になる
治療期間
12カ月
治療回数
12回
費用
1,276,000円
副作用・リスク
・重度歯周病により、感染リスクが高い ・インプラントとの結合不良が起きる可能性がある ・手術前に歯周病の十分なコントロールが必要 ・治療後も1〜2カ月ごとの定期メインテナンスが必須
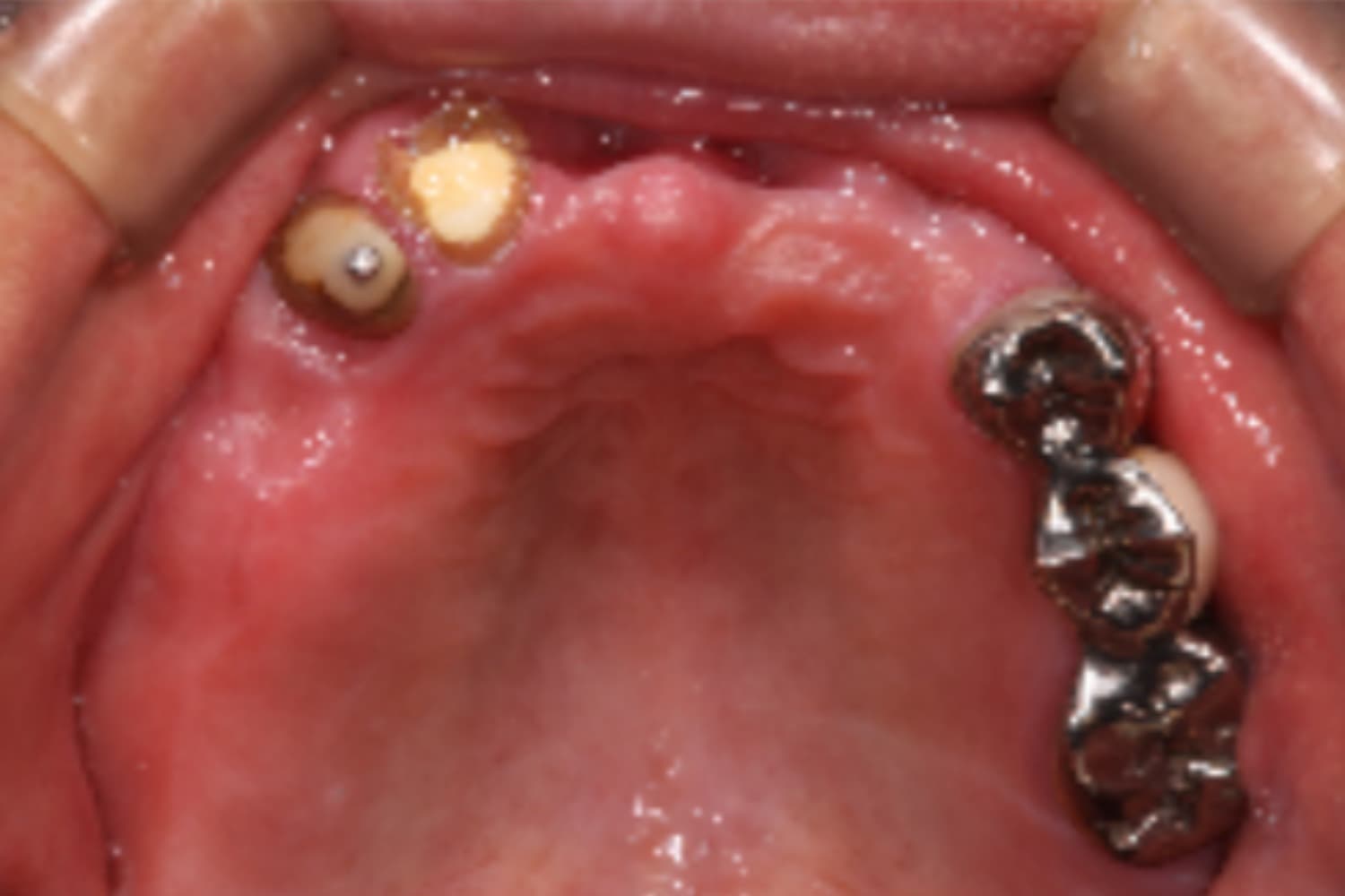
上顎欠損部のインプラント治療
Before

After



上顎欠損部にインプラントを行い、上顎前歯にはセラミックを装着
主訴
物が噛みづらい
治療期間
26カ月
治療回数
26回
費用
3,360,000円
副作用・リスク
・上顎洞炎を発症する可能性がある
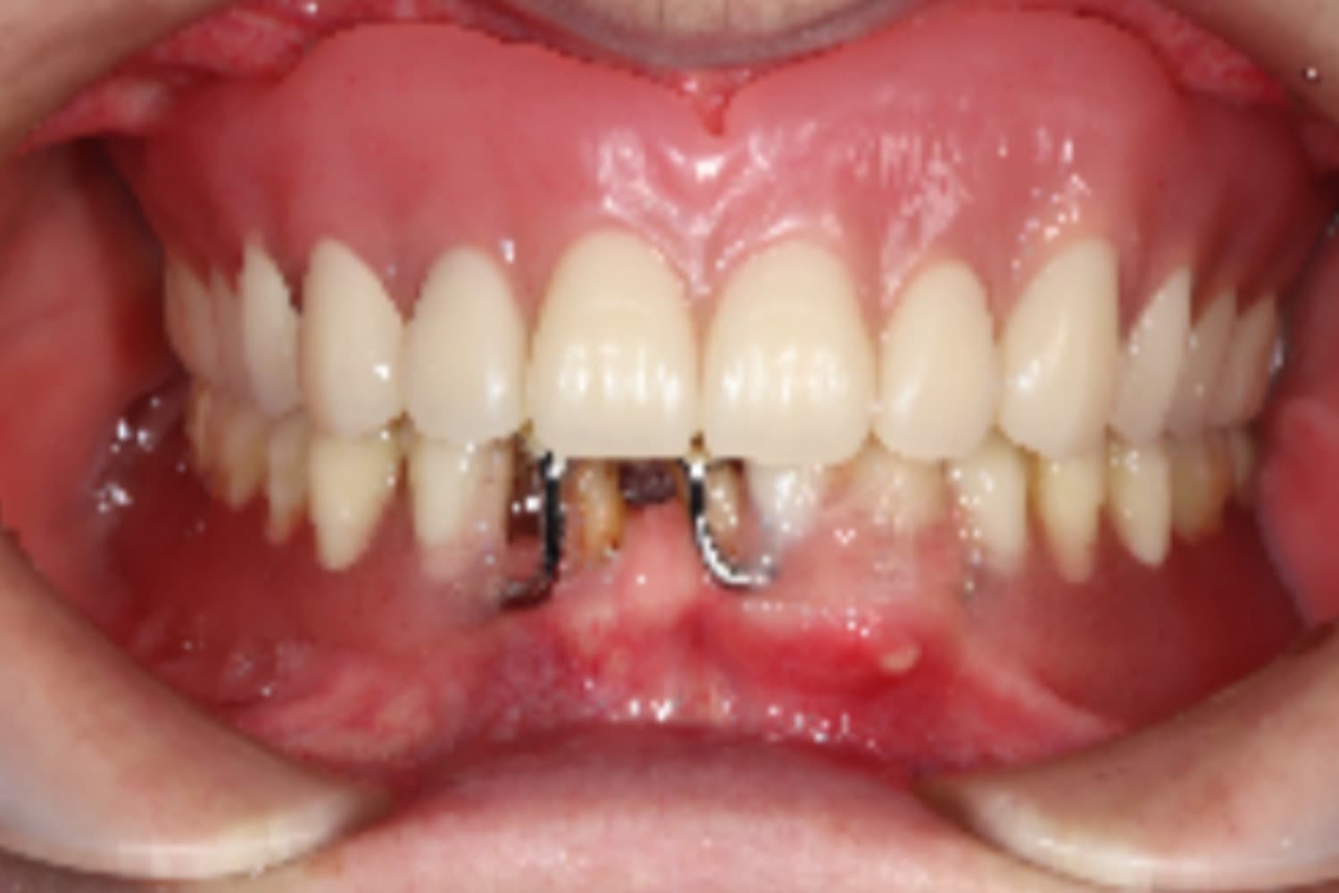
前歯と右上顎のインプラント治療
Before

After



左上の歯牙は何とか保存し、前歯と右上にインプラント治療を行なった。
主訴
前歯がぐらぐらする
治療期間
18カ月
治療回数
23回
費用
3,300,000円
副作用・リスク
・前歯にインプラントと同時に仮歯を装着したため、インプラントの骨結合不良リスクが高くなりました。 ・上顎洞底挙上術に伴い、上顎洞炎の発症リスクがあります。
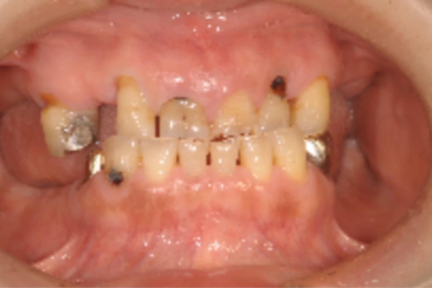
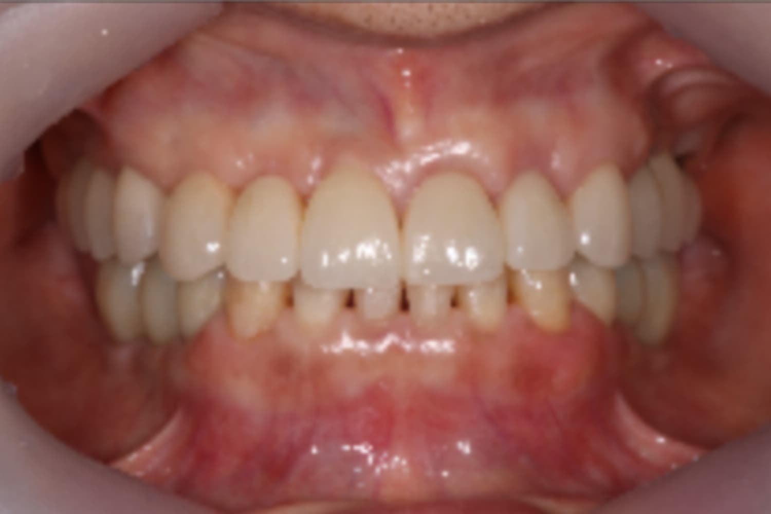
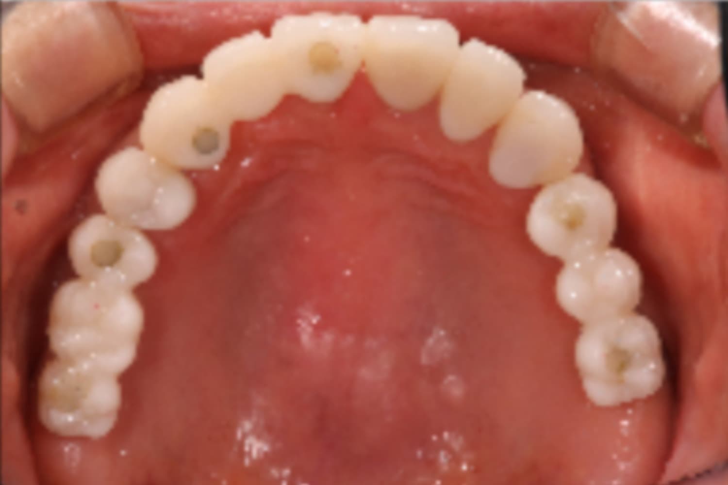
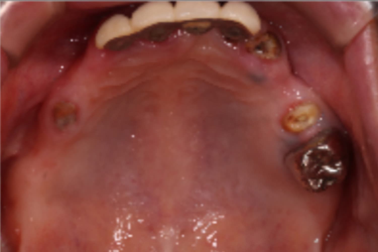
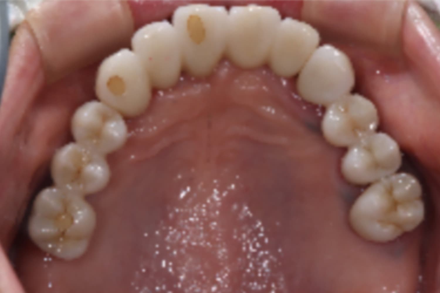
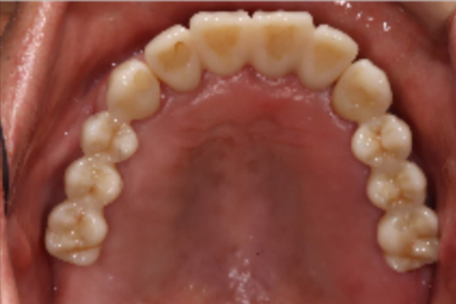
上顎すべてのインプラント治療
Before

After



上顎をインプラント7本で治療
主訴
上顎欠損部にインプラント治療希望
治療期間
18カ月
治療回数
26回
費用
3,450,000円
副作用・リスク
・噛み合わせの崩壊により、治療途中に顎の痛みや顎関節症様の発症リスクがあります。
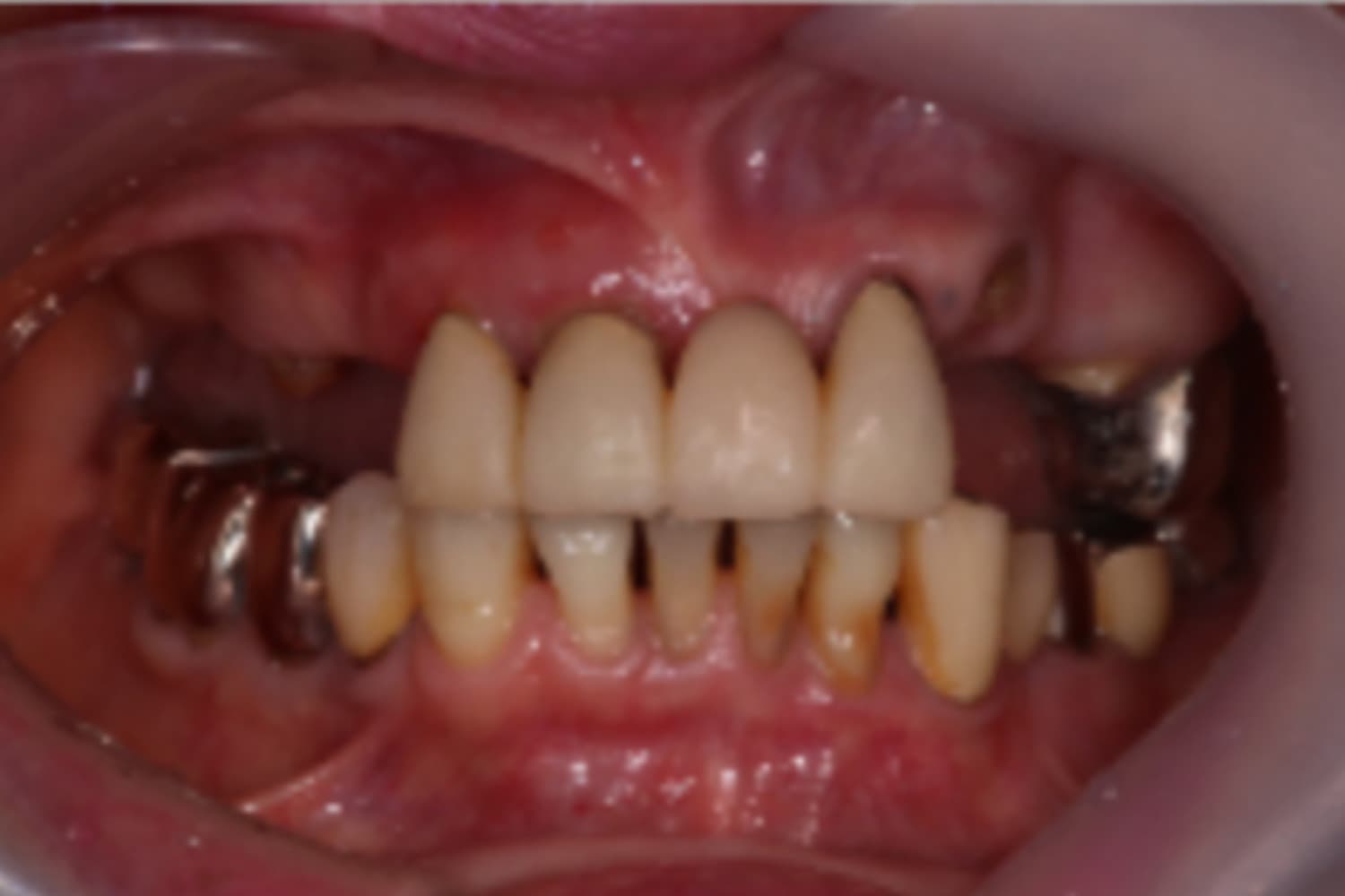
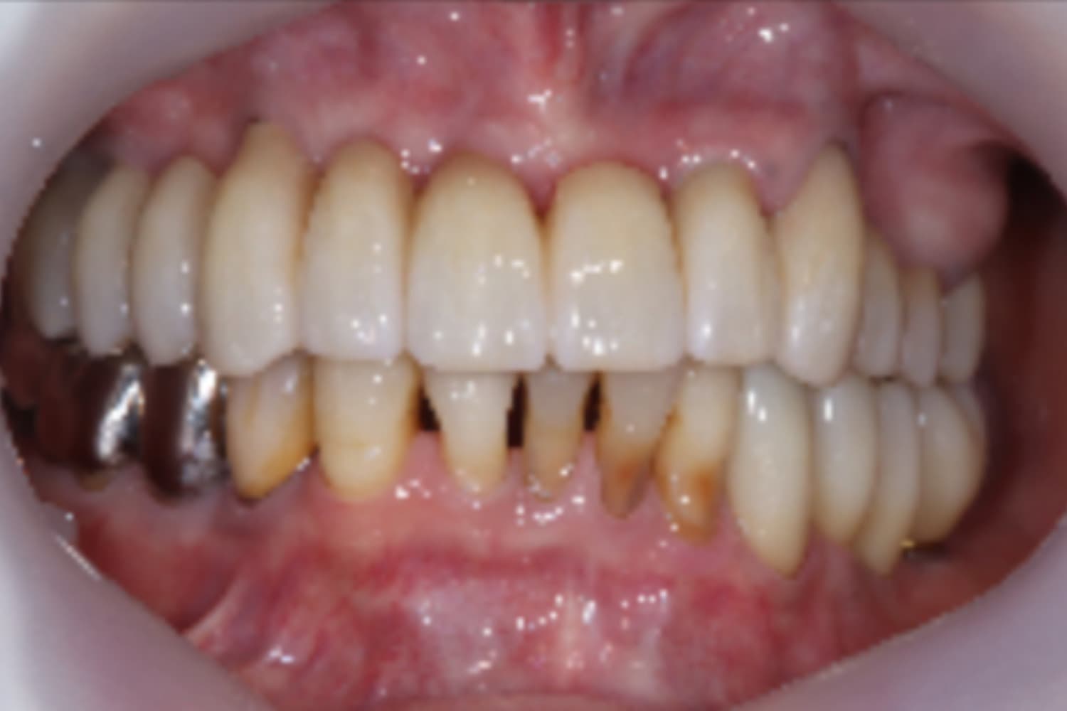
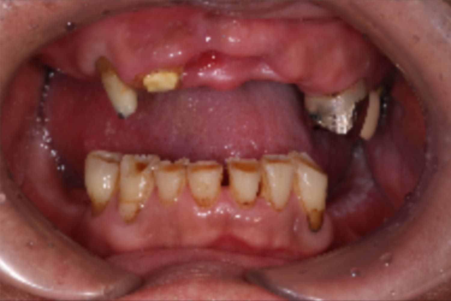
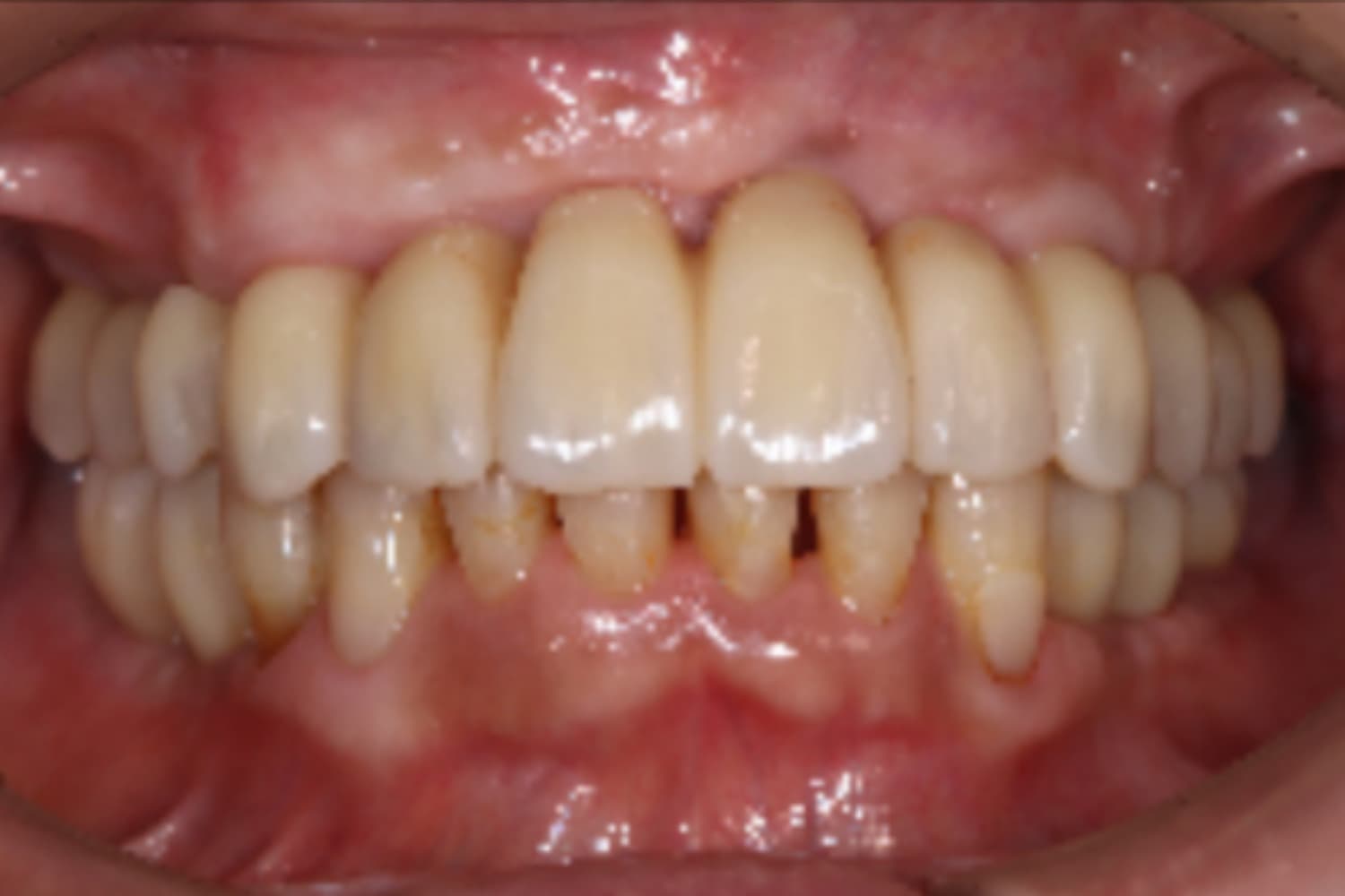
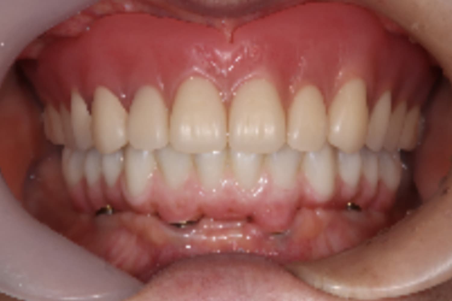
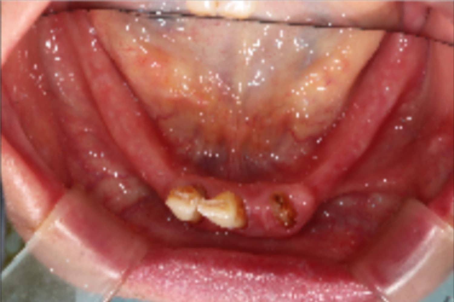
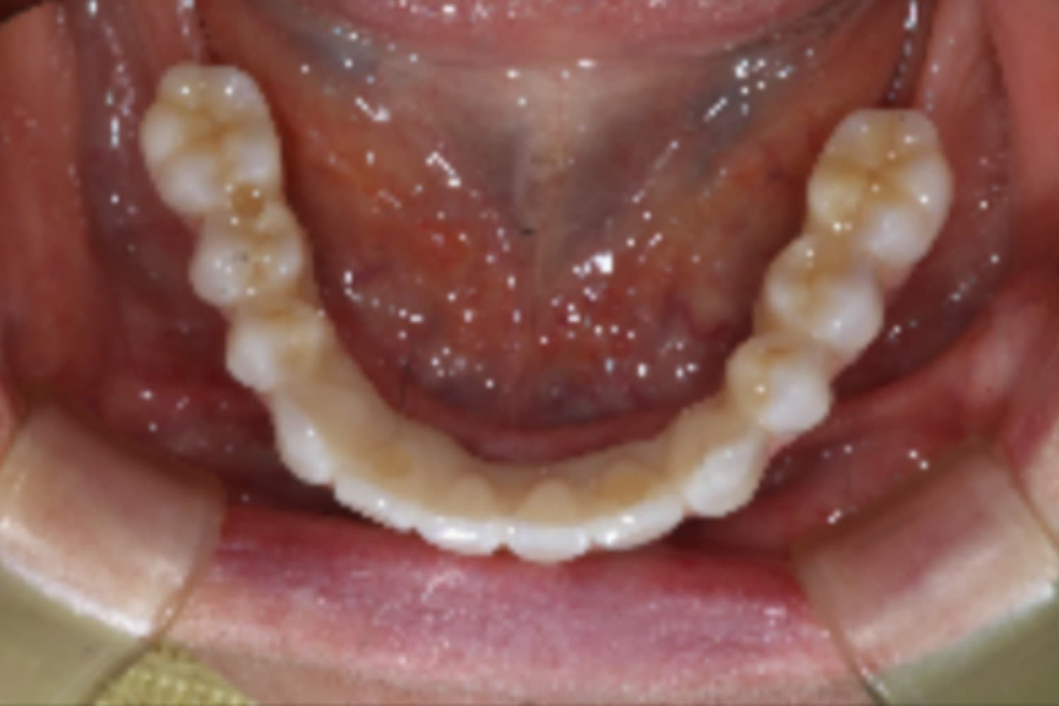
下顎すべてのインプラント治療
Before

After



下の前歯は抜歯と同時にインプラント4本を埋入し、その日に仮歯を装着してます(All-on-4)。
主訴
下の前歯がぐらぐらする
治療期間
6カ月
治療回数
12回
費用
3,080,000円
副作用・リスク
・インプラント埋入時の神経損傷リスクがあります。
Medee歯科検索は、おすすめしたい歯医者を掲載しています。
駅、行政区、診療時間、歯科医院の特徴、診療科目など豊富な検索メニューで歯科医院を検索可能。
また歯科医院のWebサイトはもちろん各種予約ツールも利用することが可能で、より簡単に歯科医院を探すことができます。