千葉総合歯科稲毛 矯正歯科の症例集
インプラントの症例
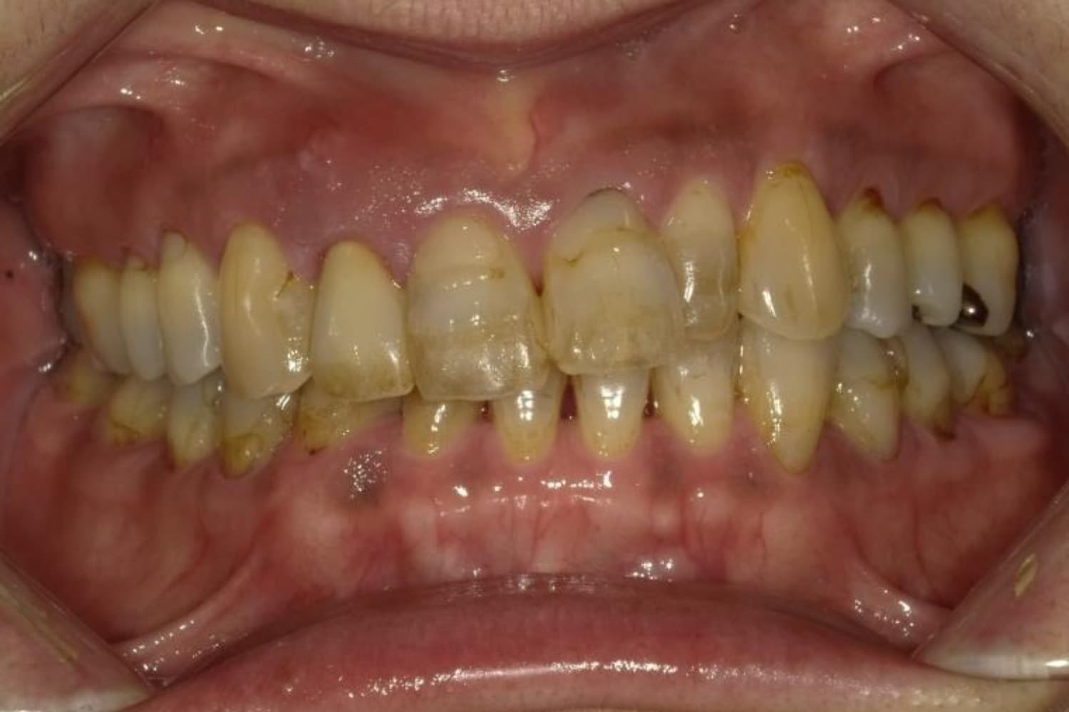
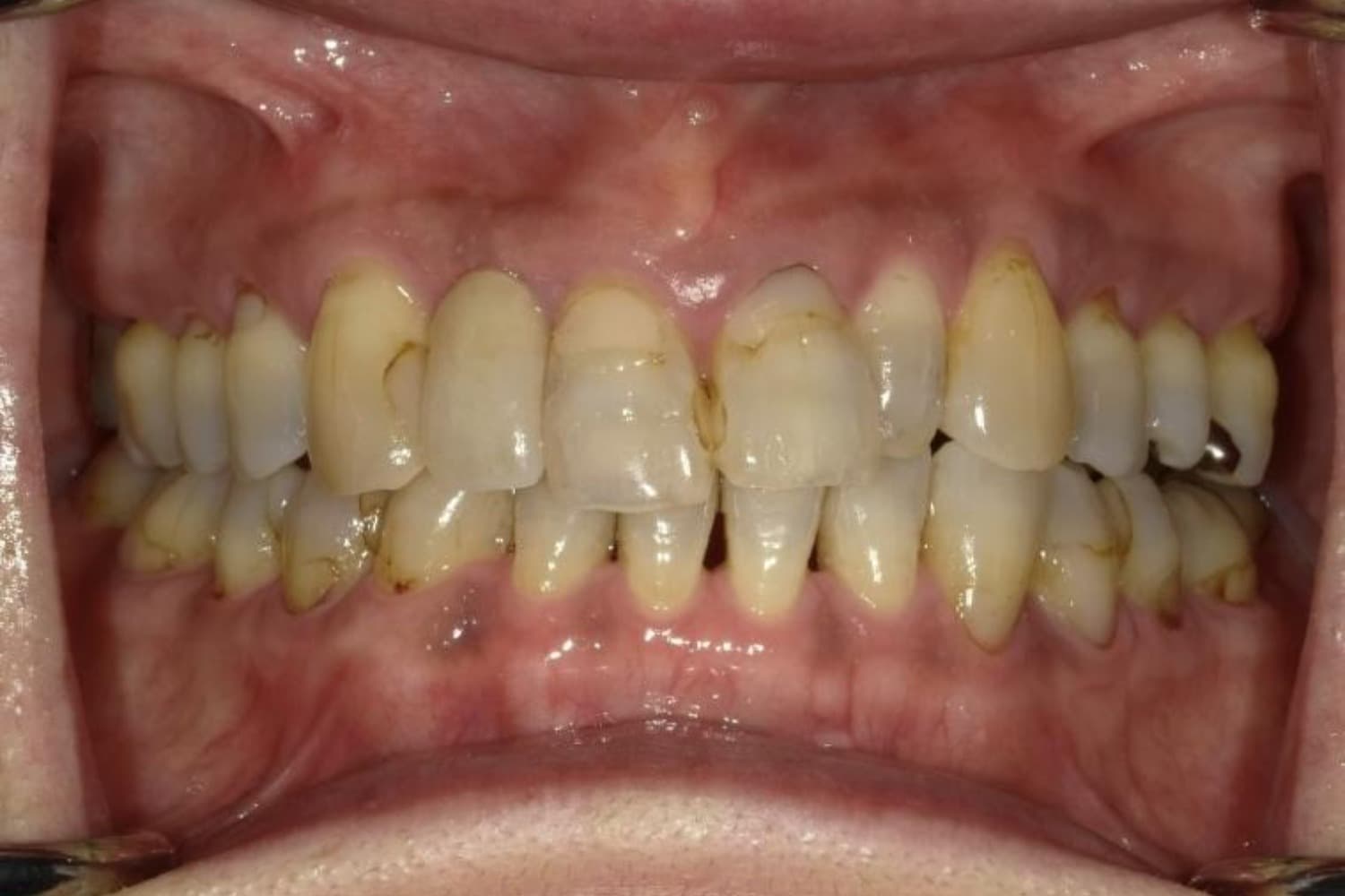
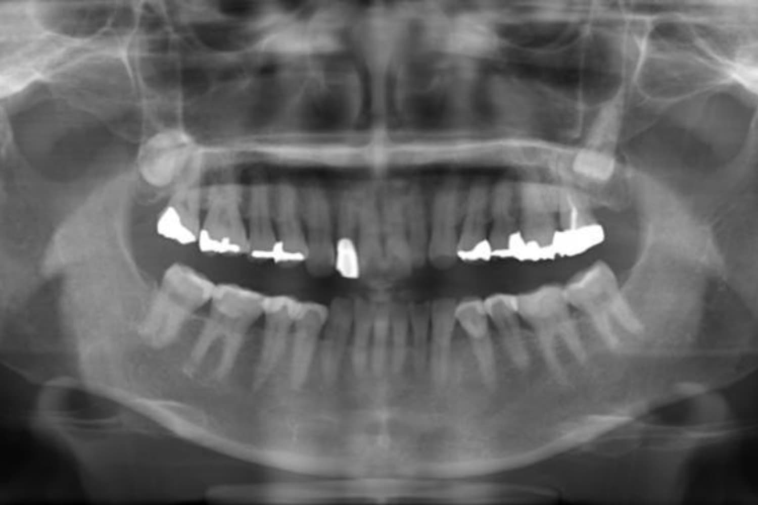
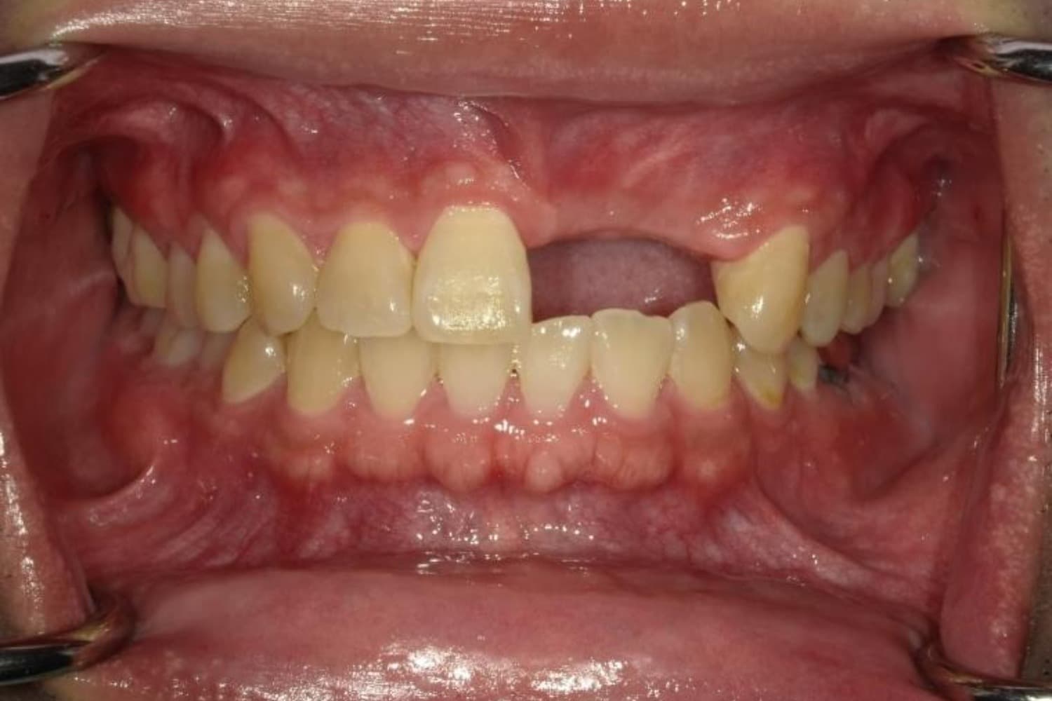
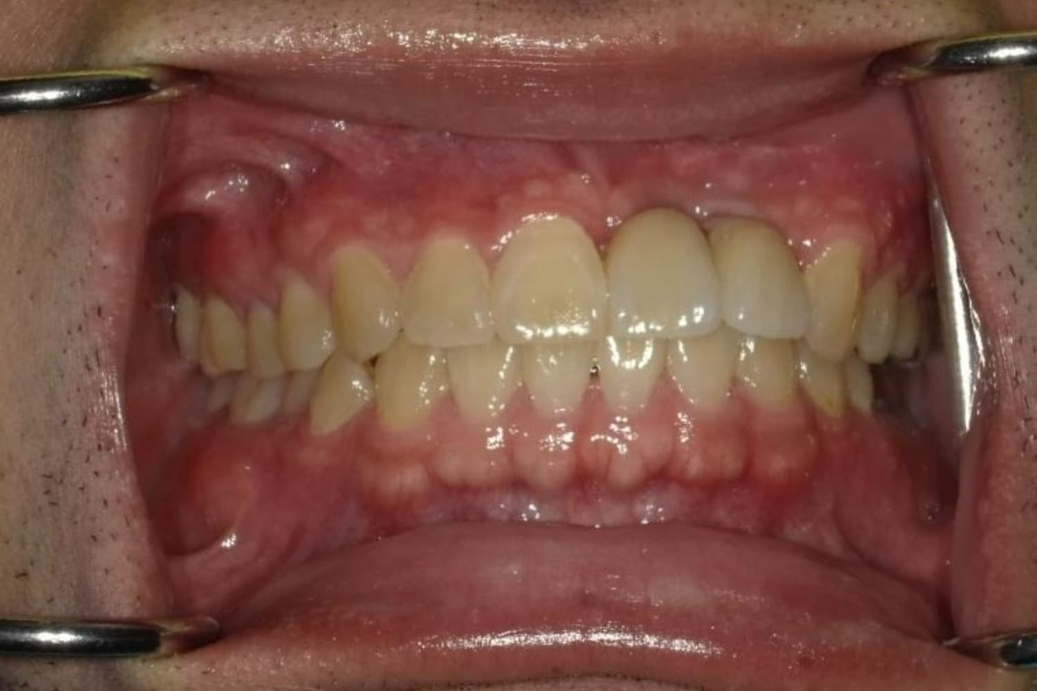
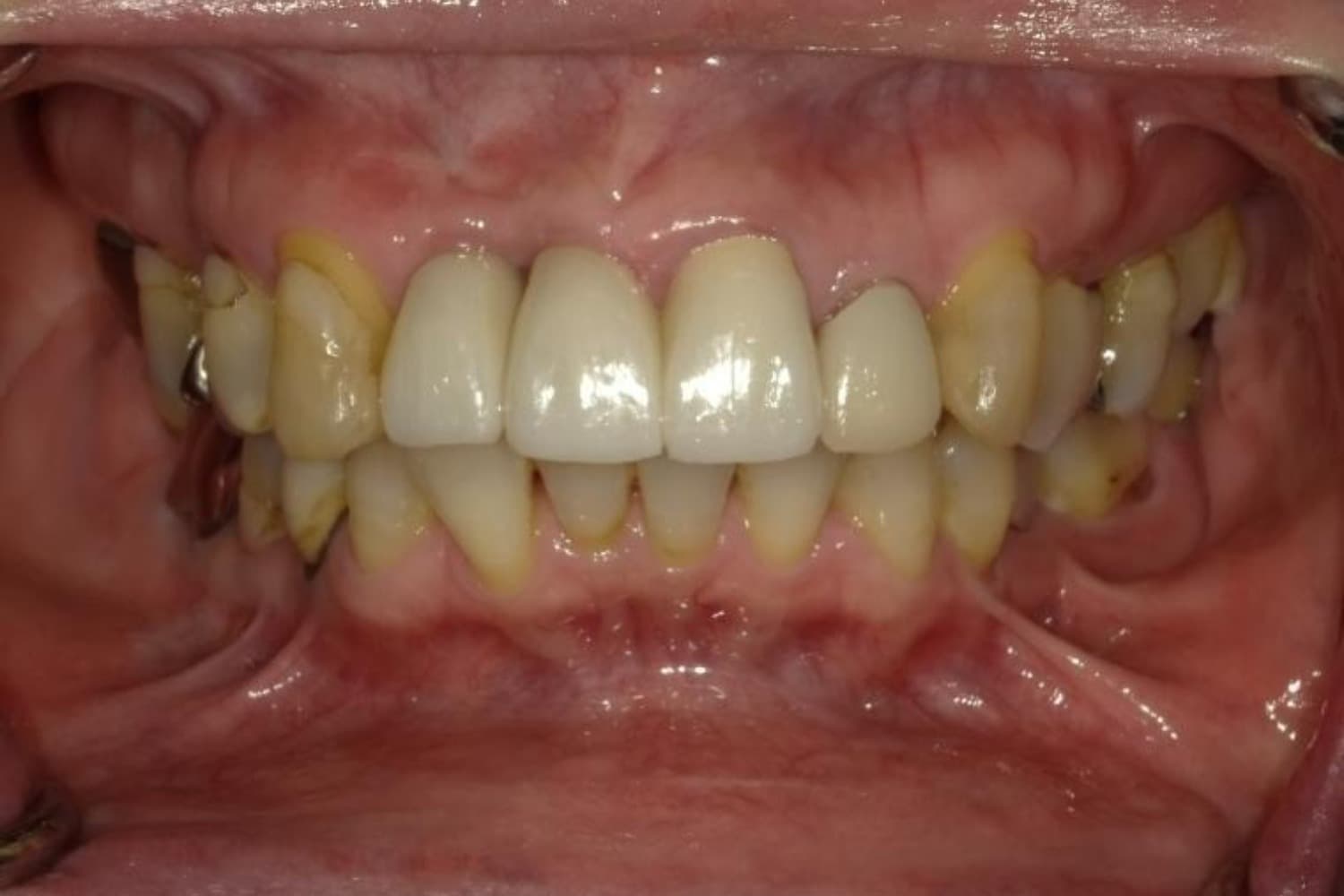
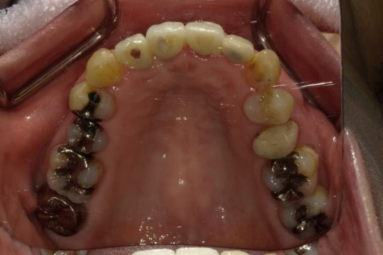
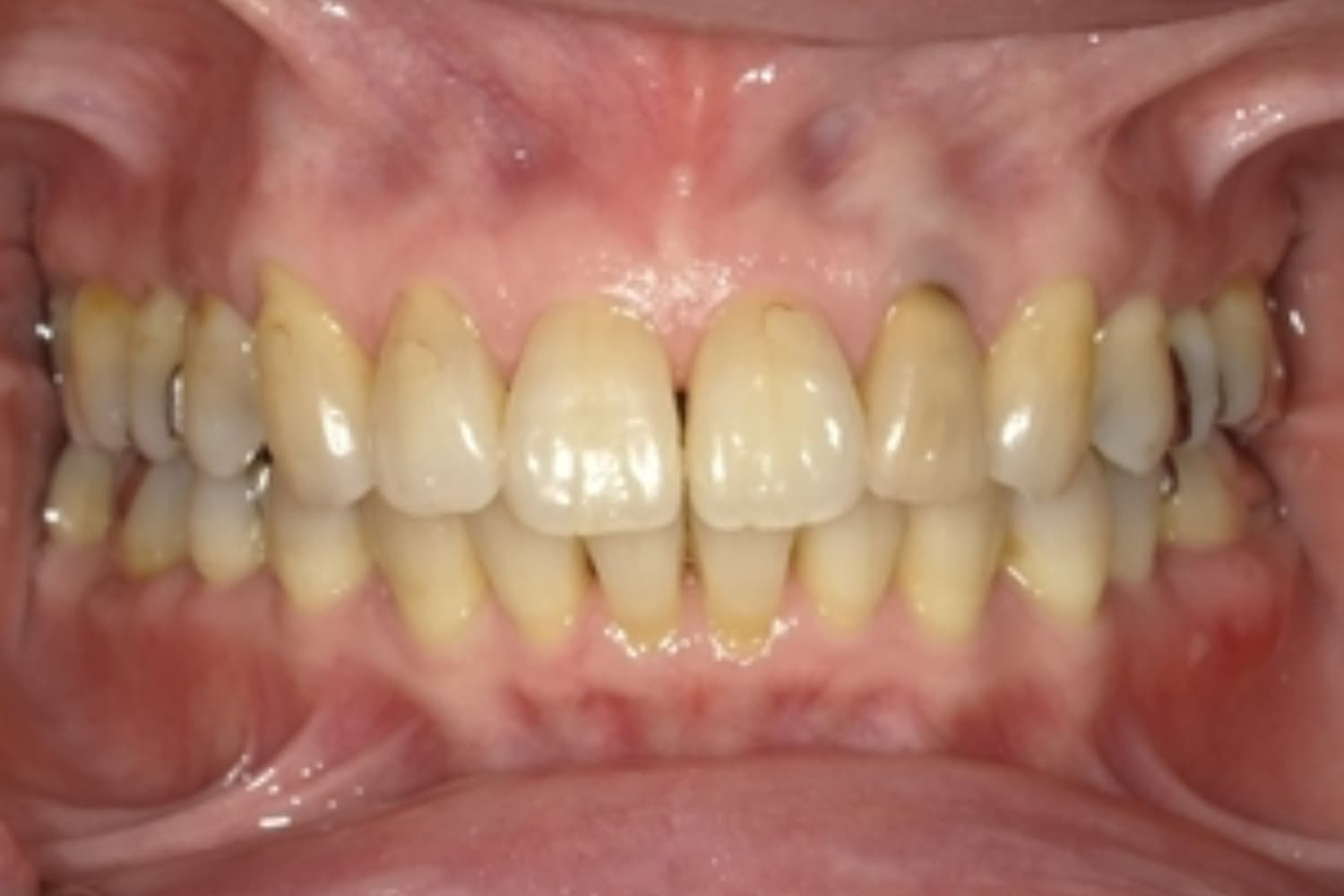
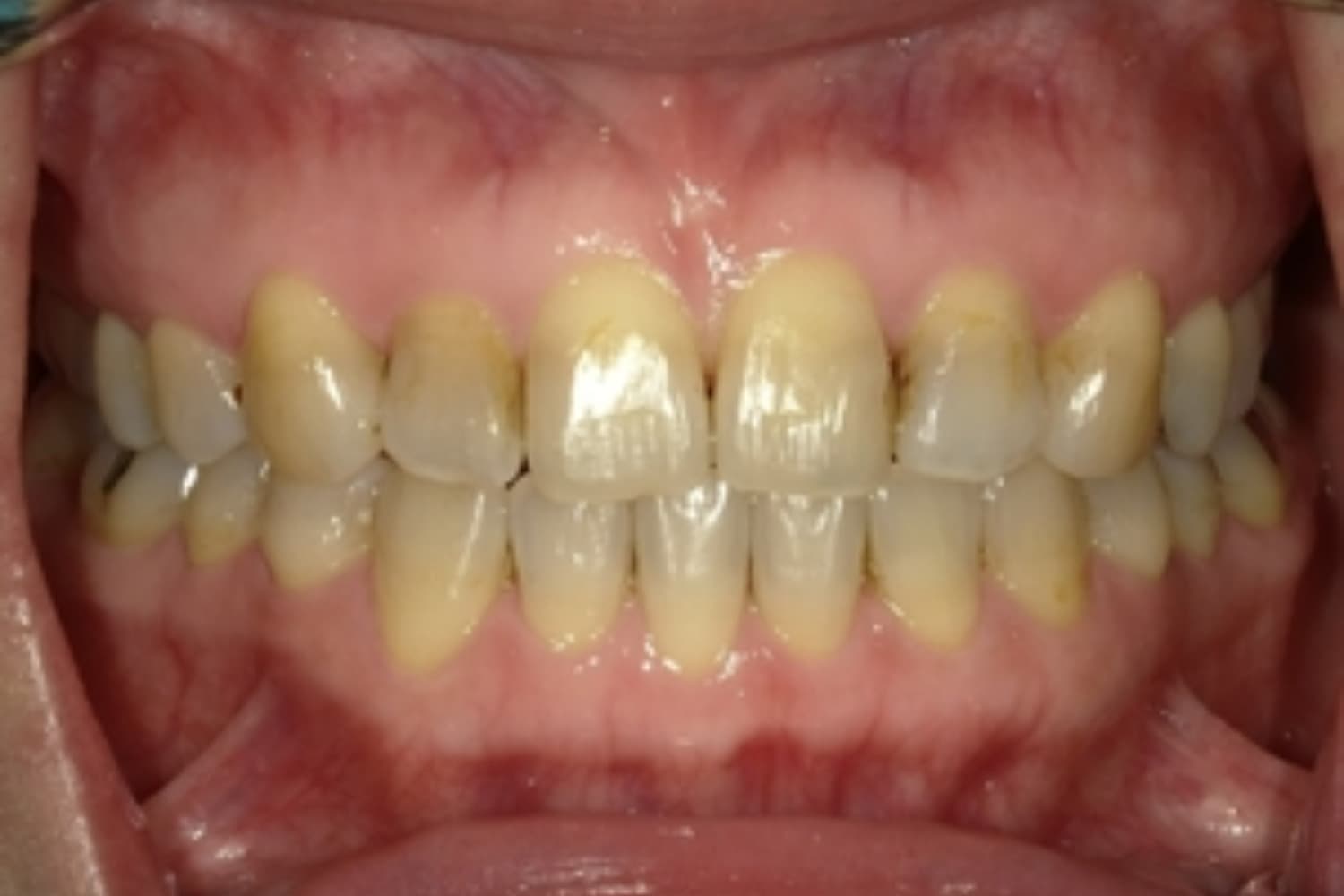
上顎前歯1本欠損症例(1)
Before

After





歯の根が割れていたため抜歯をおこないました。インプラント・ブリッジ・義歯それぞれのメリットやデメリットをお話させていただき、インプラントでの治療を選択されました。
年齢
46歳
性別
女性
主訴
前歯の色味が気になる
治療期間
11ヵ月
費用
60万円
副作用・リスク
インプラント治療は外科的な処置を伴い、多少の腫れや痛みが出ることがあります。 多くの場合は鎮痛薬で和らげることができます。
上顎前歯1本欠損症例(2)
Before

After





歯の根の先に炎症が広がっていたため抜歯をおこないました。その後、土台となる骨を作る処置をおこなった後、インプラントを1本埋入しました。
年齢
70歳
性別
女性
主訴
歯肉の腫れ
治療期間
10ヵ月
費用
60万円
副作用・リスク
インプラント治療は外科的な処置を伴い、多少の腫れや痛みが出ることがあります。 多くの場合は鎮痛薬で和らげることができます。
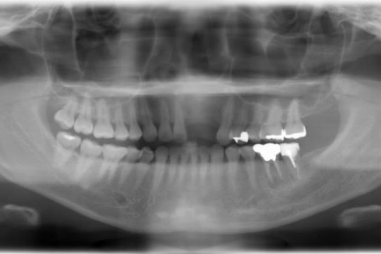
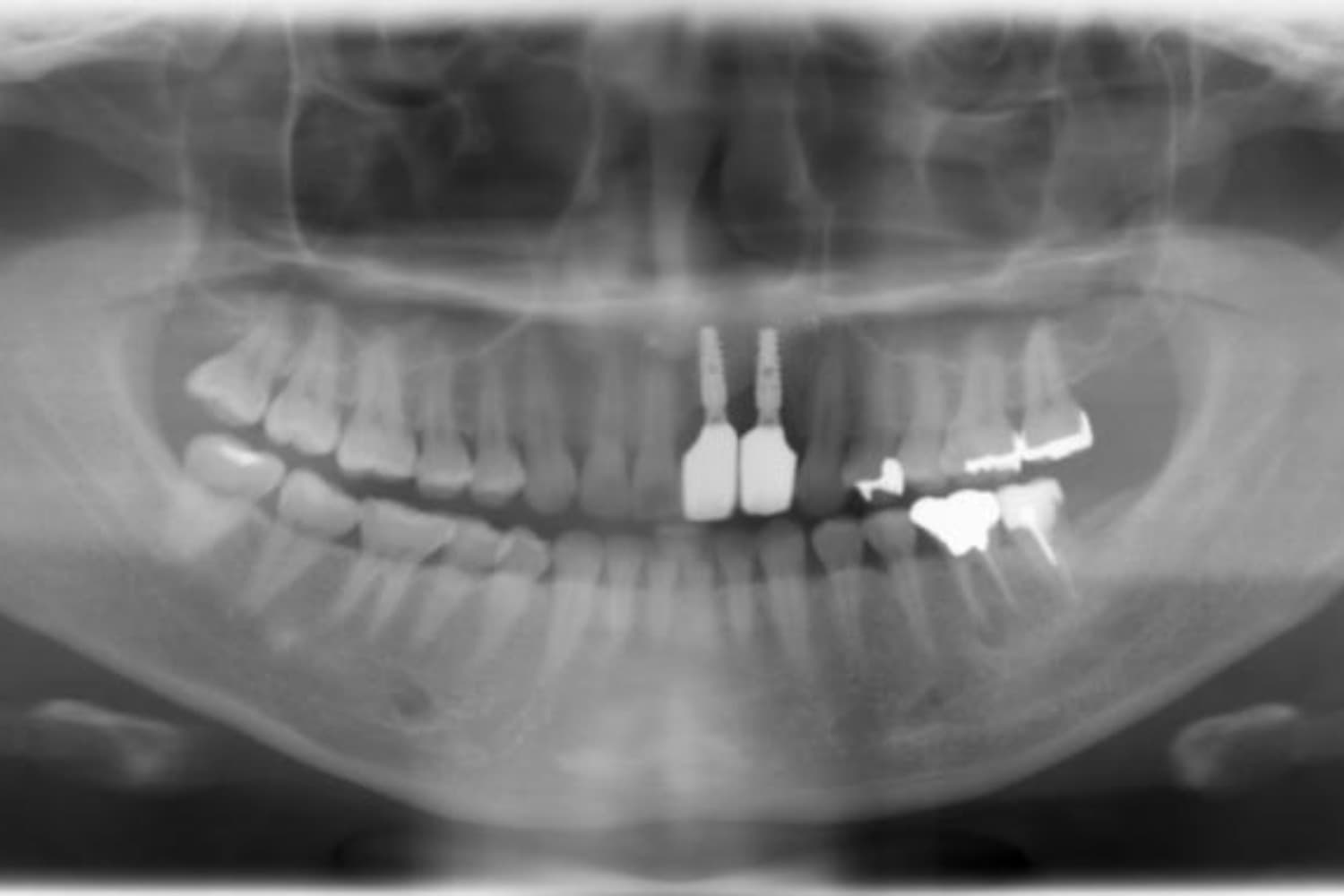
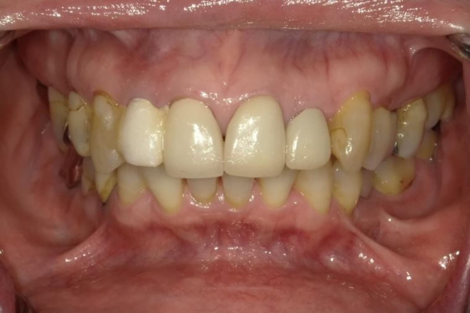
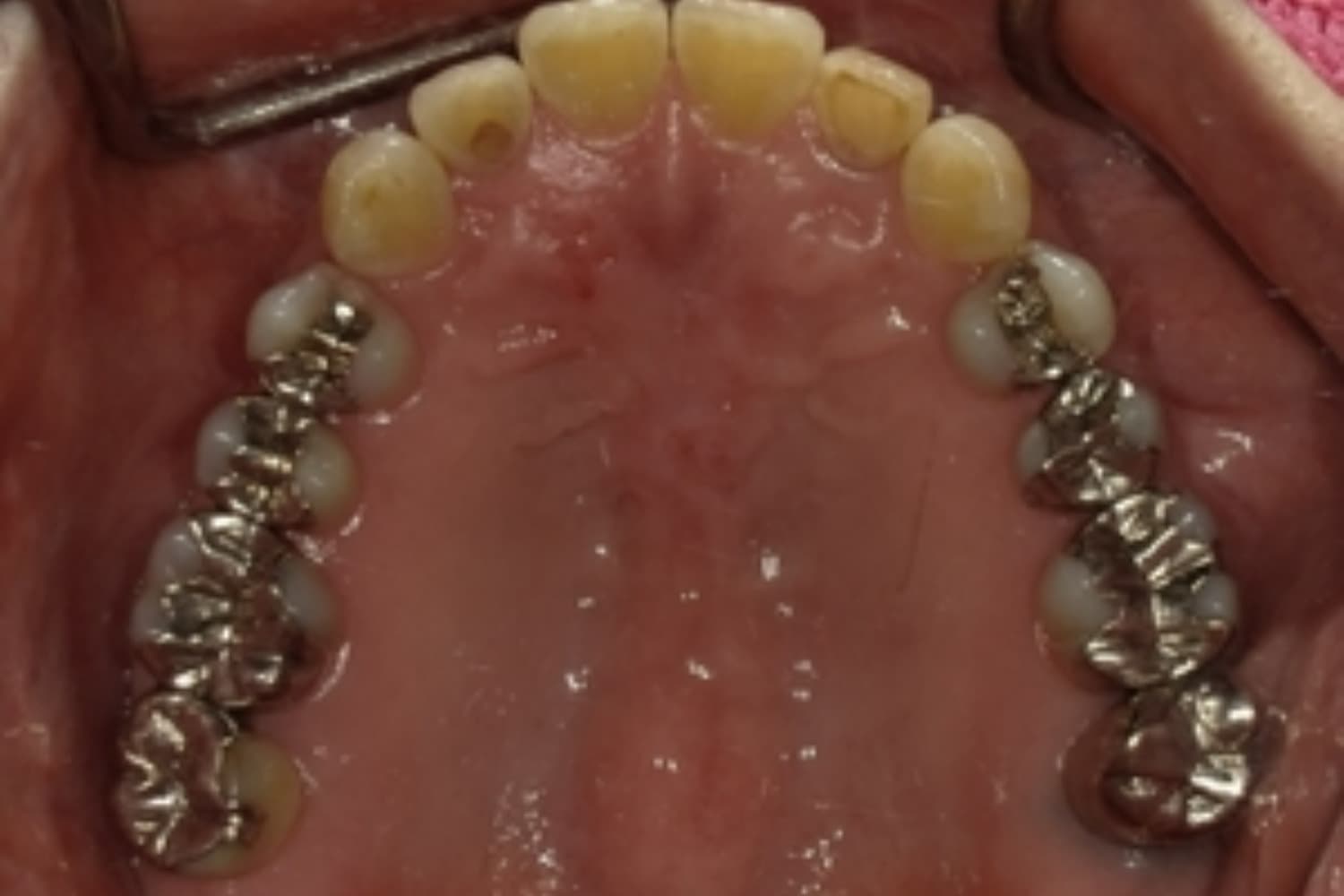
上顎前歯2本欠損症例(1)
Before

After





左上の中切歯および側切歯は以前に神経処置をしていましたが、根の先端部に炎症が進行していたため抜歯をおこないました。その後、骨を整える処置を実施してインプラントを2本埋入しました。
年齢
38歳
性別
男性
主訴
左上前歯が痛い
治療期間
6ヵ月
費用
110万円
副作用・リスク
インプラント治療は外科的な処置を伴い、多少の腫れや痛みが出ることがあります。 多くの場合は鎮痛薬で和らげることができます。
上顎前歯2本欠損症例(2)
Before

After





保存が困難な状態であったため抜歯をおこない、その後インプラントを2本埋入しました。
年齢
67歳
性別
女性
主訴
右上前歯は以前に別の医院で治療中でしたが中断されたため、当院へご相談くださいました。
治療期間
10ヵ月
費用
120万円
副作用・リスク
インプラント治療は外科的な処置を伴い、多少の腫れや痛みが出ることがあります。 多くの場合は鎮痛薬で和らげることができます。
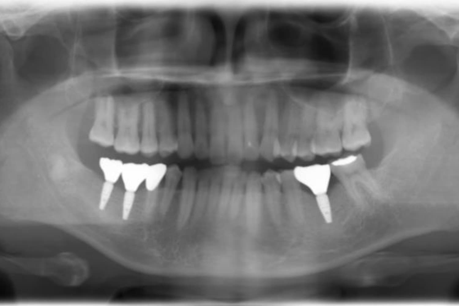
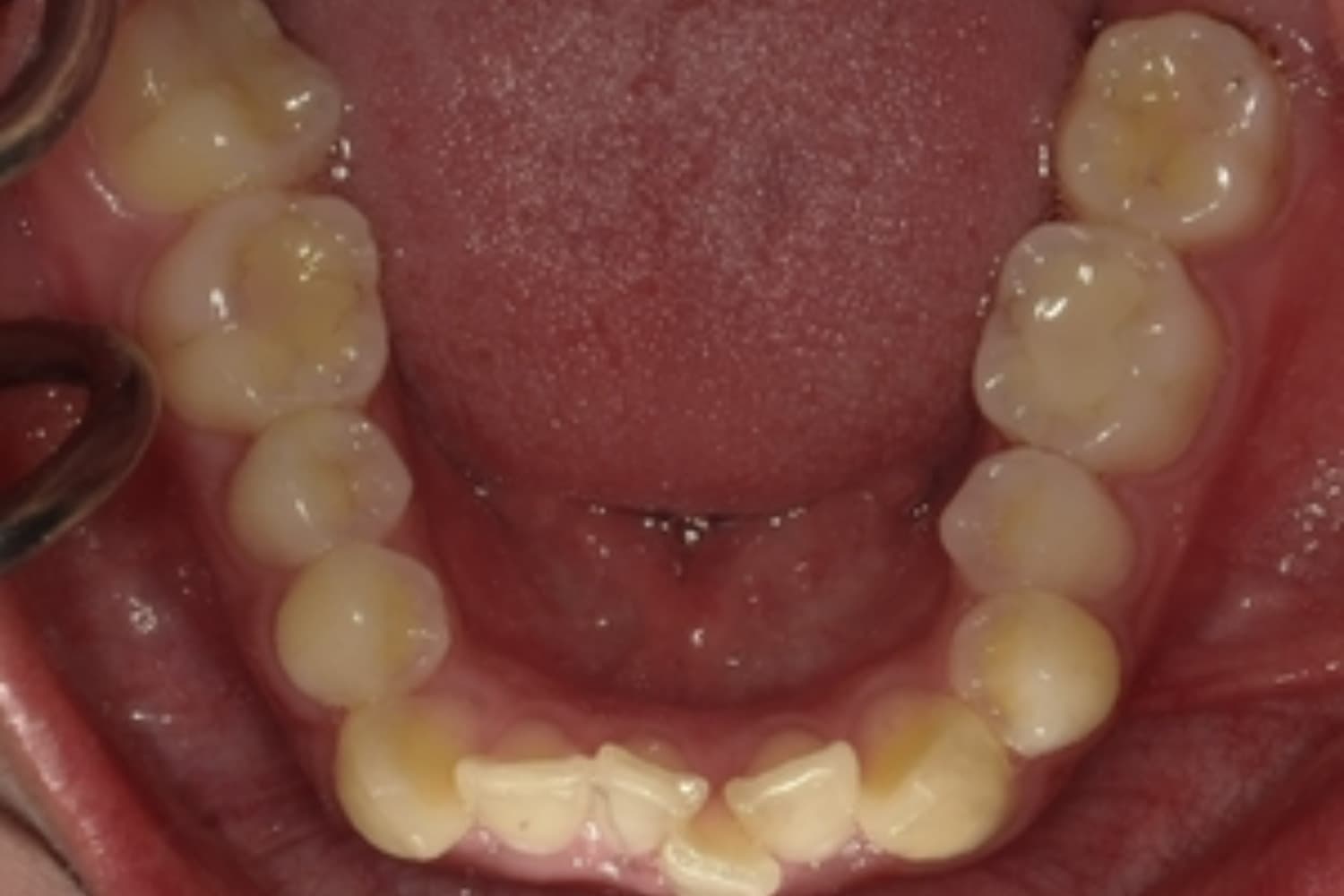
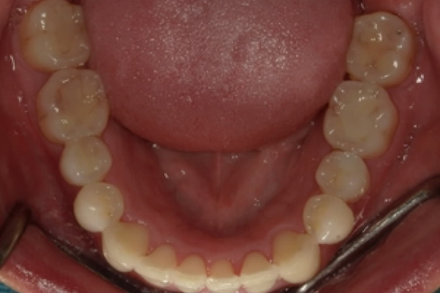
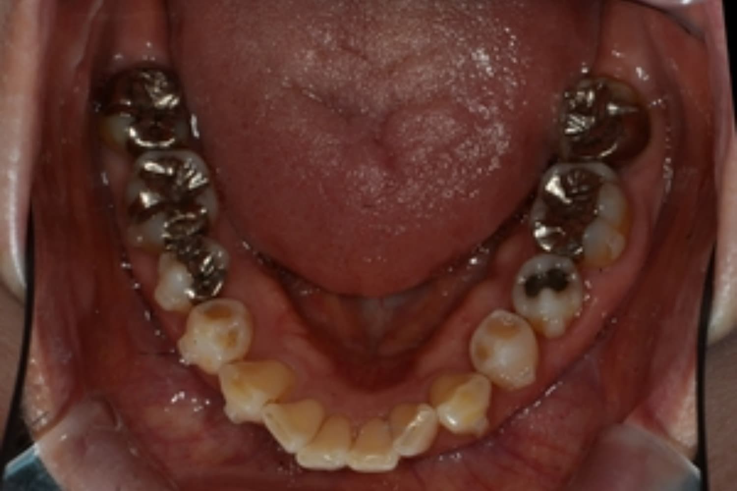
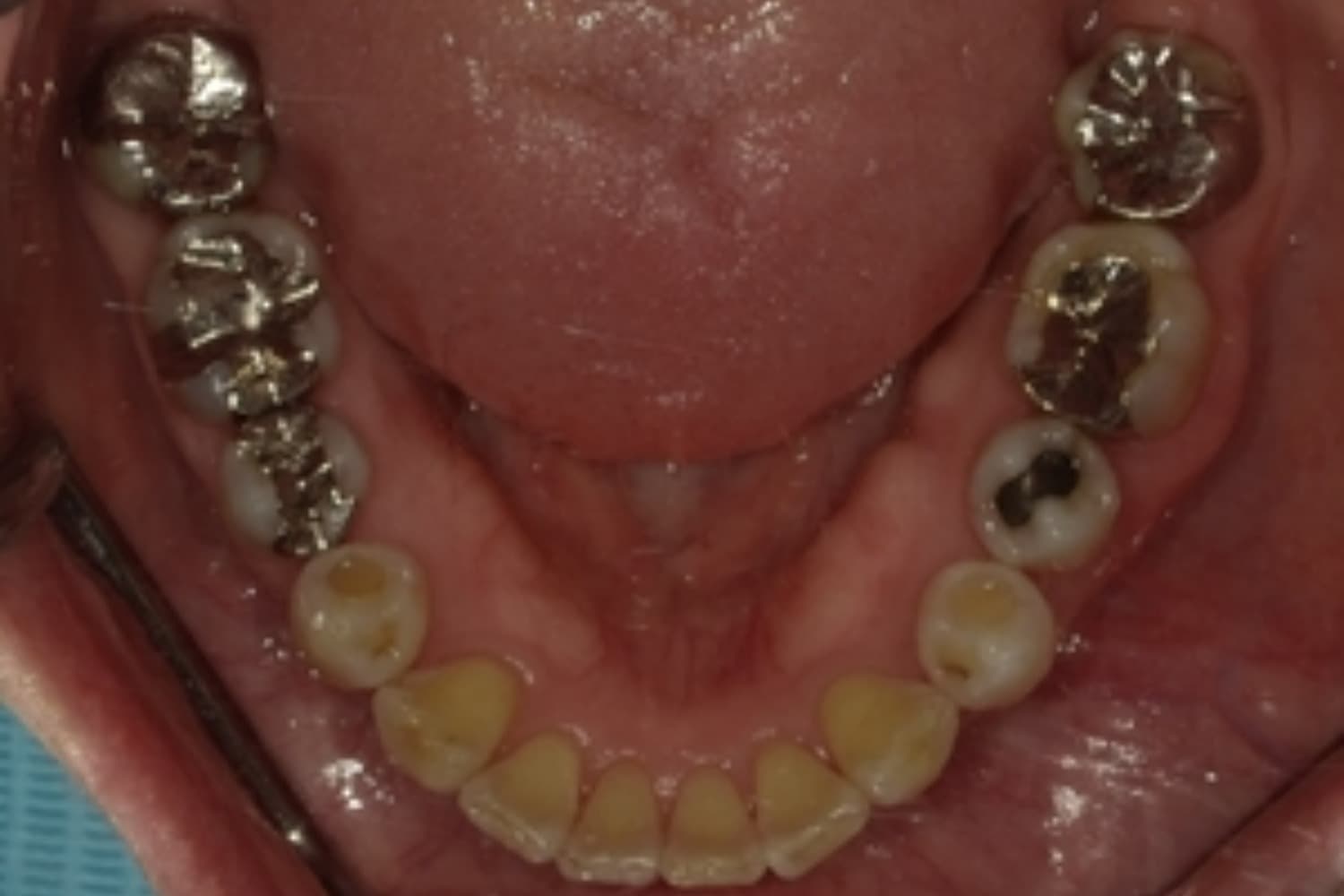
下顎大臼歯3本欠損症例
Before

After





左下第一大臼歯は保存が困難な状態であったため抜歯をおこないました。あわせて、ご来院時から欠損していた右下第一・第二大臼歯も含め、欠損部の補綴方法についてご説明し、インプラント治療を選択されました。
年齢
60歳
性別
男性
主訴
左下の第一大臼歯は別の医院で治療中でしたが、治療が思うように進まず、加えて他の箇所にも痛みが続いたことから、当院にご相談いただきました。
治療期間
10ヵ月
費用
140万円
副作用・リスク
インプラント治療は外科的な処置を伴い、多少の腫れや痛みが出ることがあります。 多くの場合は鎮痛薬で和らげることができます。
矯正の症例
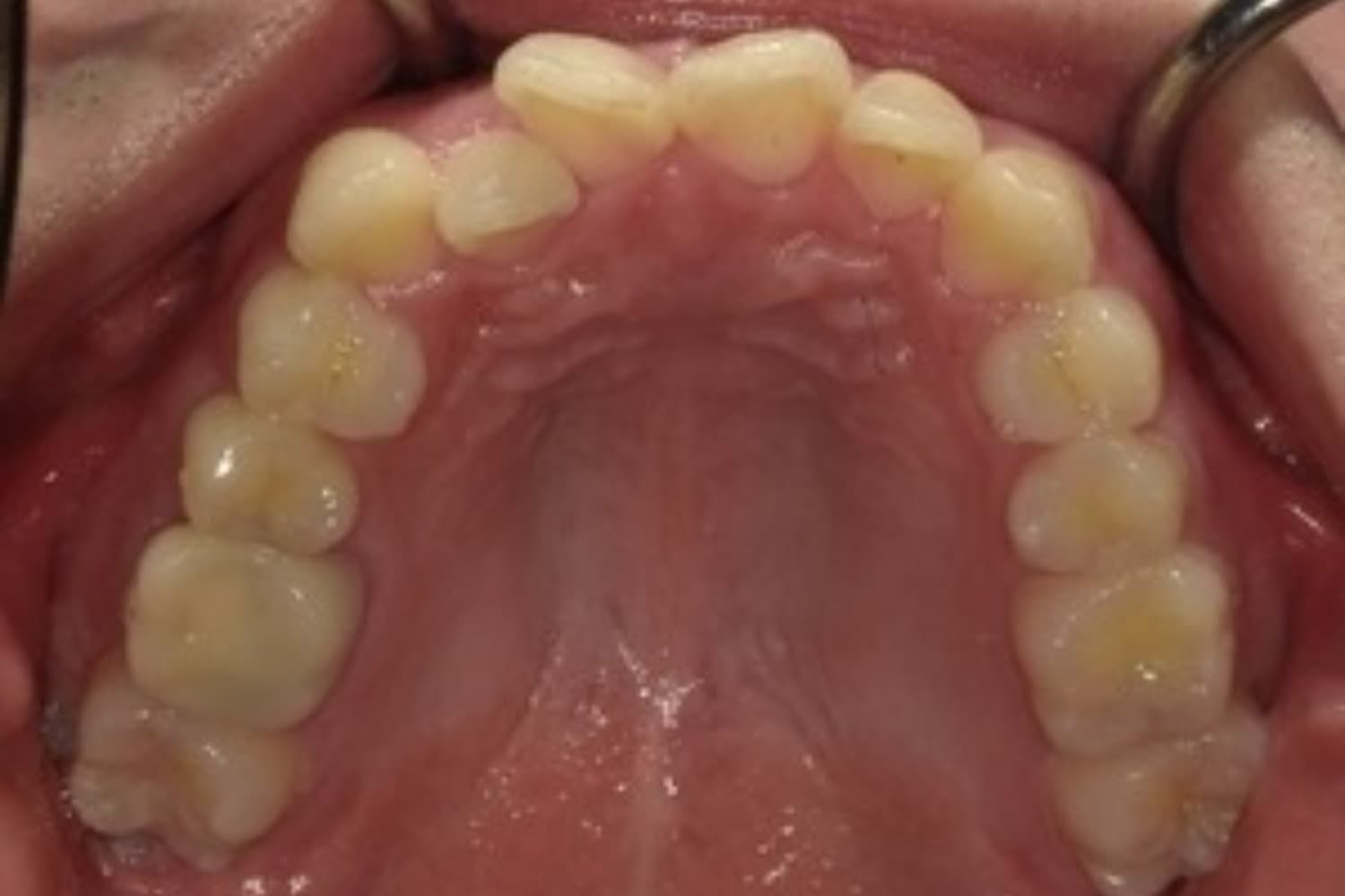
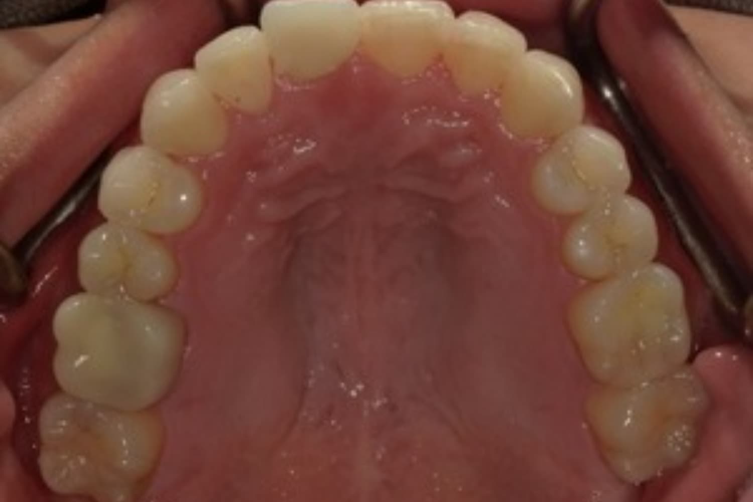
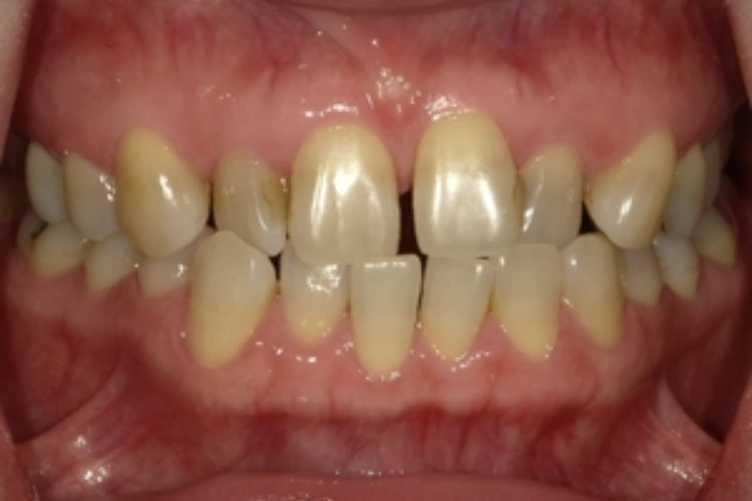
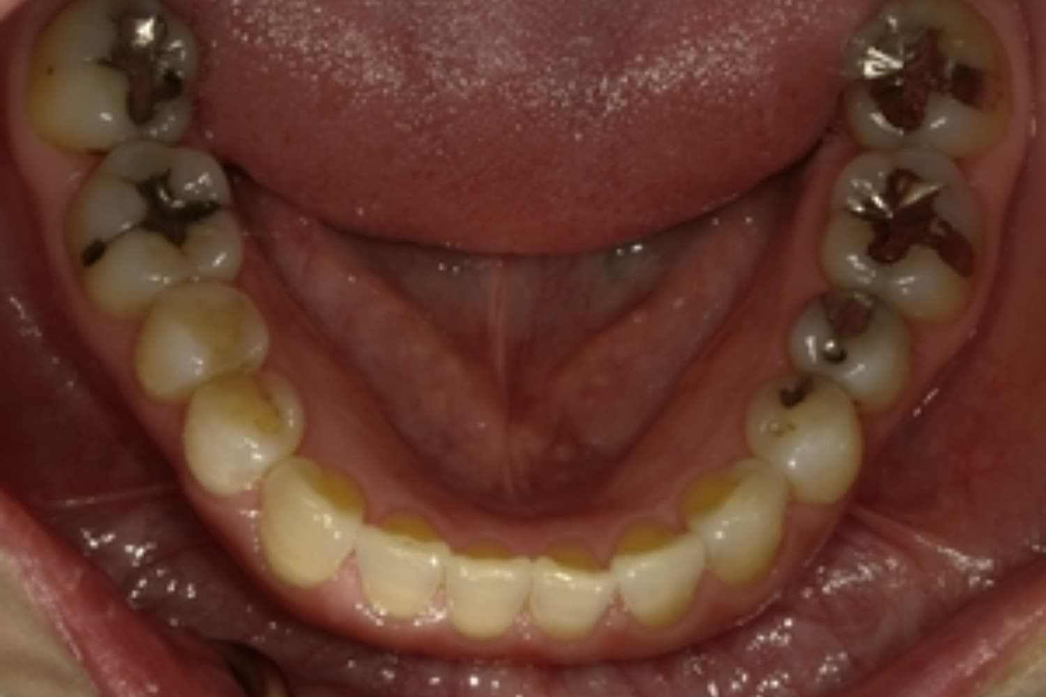
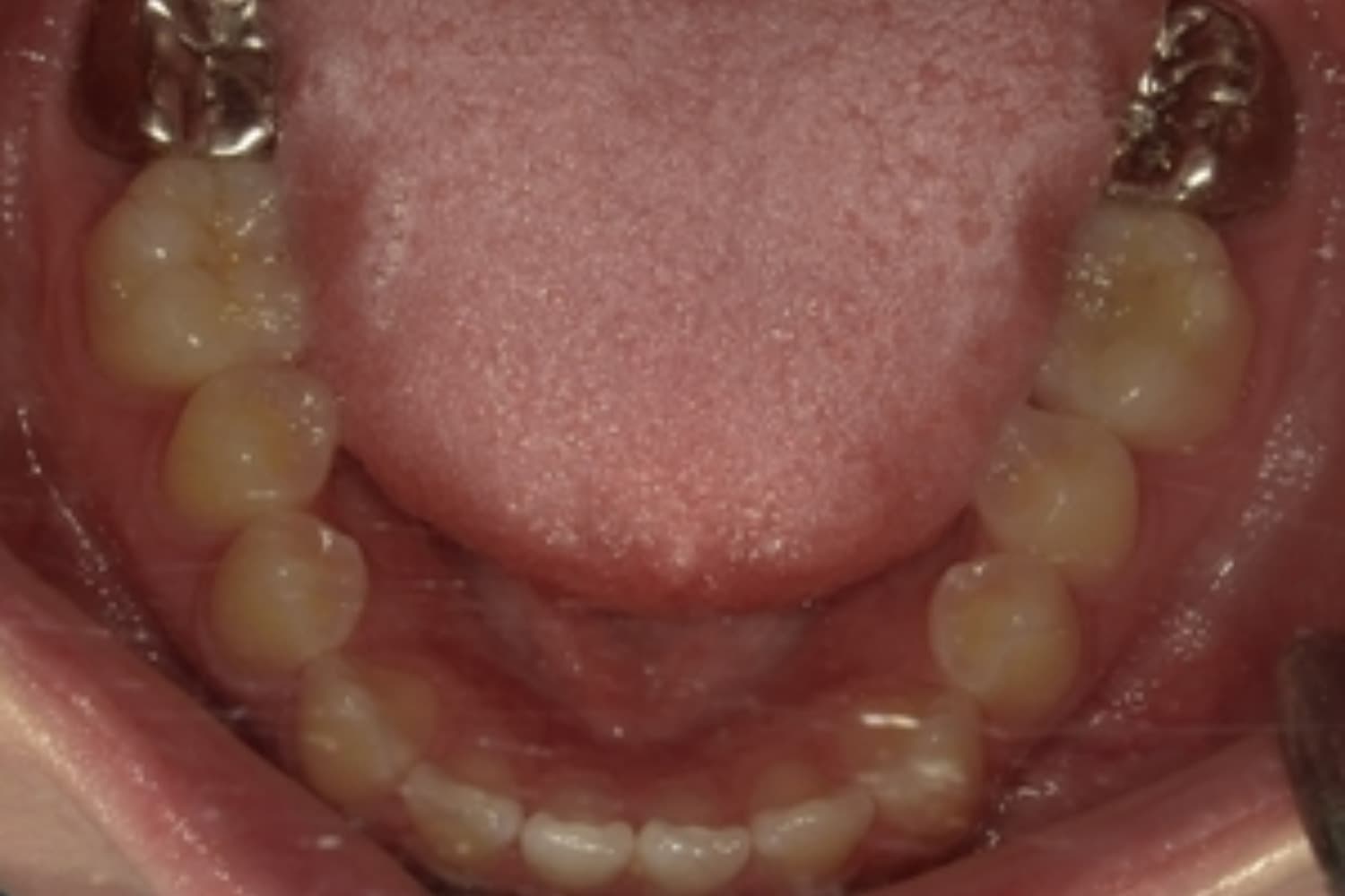
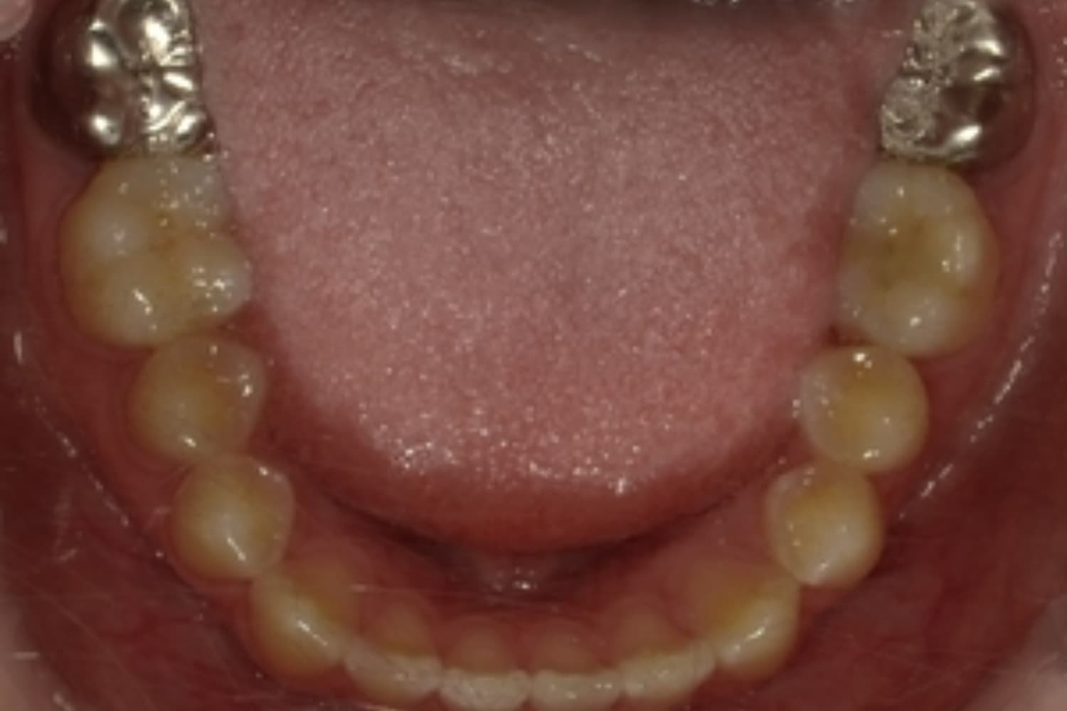
ガタガタとした歯並びや八重歯(1)
Before

After





ガタガタとした歯並びや八重歯をマウスピース矯正(インビザライン)にて治療
主訴
下の前歯のガタガタが気になる
治療期間
2年5カ月
費用
90万円
副作用・リスク
・矯正治療による歯の動きには個人差があり、想定より治療期間が延びることがあります。 ・矯正治療で歯を動かす際に痛みをともなうことがあります。 ・指示された通りに保定装置を装着しないと、歯並びや噛み合わせの後戻りを引き起こす可能性があります。
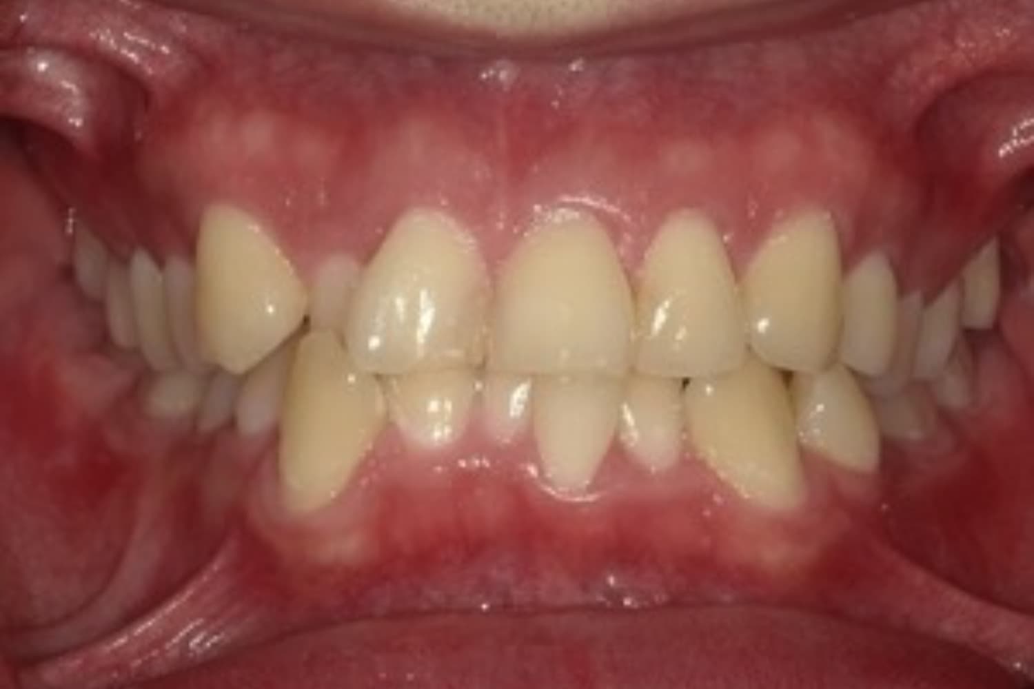
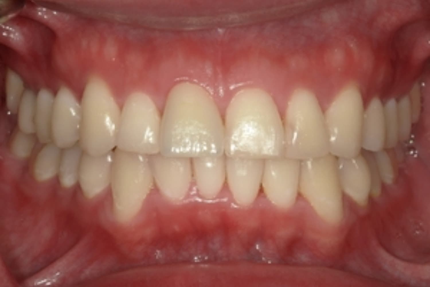
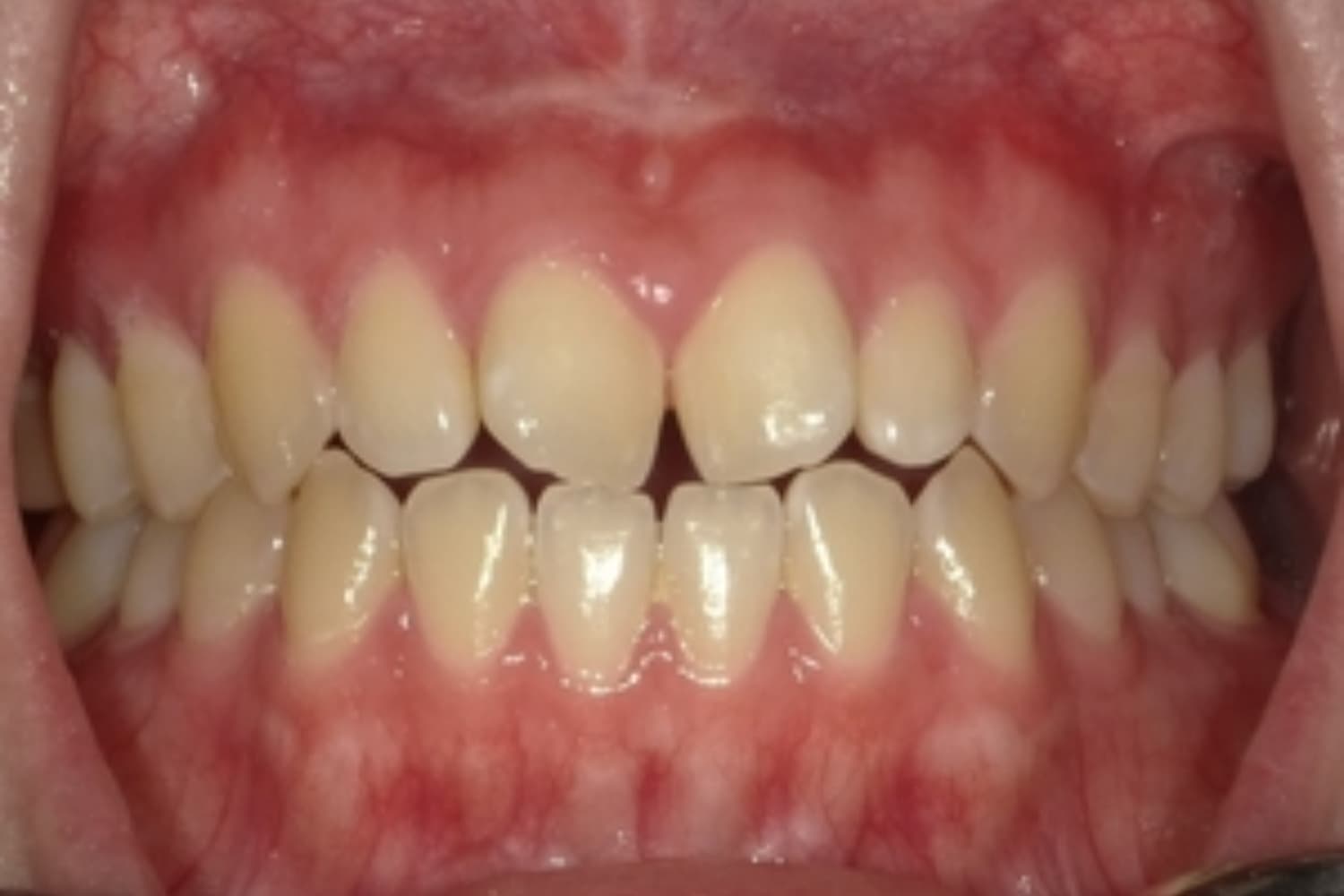
すきっぱ(空隙歯列)
Before

After





気になる前歯の隙間と前歯のガタガタをマウスピース矯正(インビザライン)にて治療
治療期間
1年5カ月
費用
66万円(税込)
副作用・リスク
・矯正治療による歯の動きには個人差があり、想定より治療期間が延びることがあります。 ・矯正治療で歯を動かす際に痛みをともなうことがあります。 ・指示された通りに保定装置を装着しないと、歯並びや噛み合わせの後戻りを引き起こす可能性があります。
すきっぱ(空隙歯列)2
Before

After





気になる前歯の隙間と前歯のガタガタをマウスピース矯正(インビザライン)にて治療
治療期間
1年
費用
88万円(税込)
副作用・リスク
・矯正治療による歯の動きには個人差があり、想定より治療期間が延びることがあります。 ・矯正治療で歯を動かす際に痛みをともなうことがあります。 ・指示された通りに保定装置を装着しないと、歯並びや噛み合わせの後戻りを引き起こす可能性があります。
前歯が閉じない(開咬)
Before

After





上と下の前歯の隙間が気になるとのことで、マウスピース矯正(インビザライン)で治療
治療期間
33週間
費用
66万円(税込)
副作用・リスク
・矯正治療による歯の動きには個人差があり、想定より治療期間が延びることがあります。 ・矯正治療で歯を動かす際に痛みをともなうことがあります。 ・指示された通りに保定装置を装着しないと、歯並びや噛み合わせの後戻りを引き起こす可能性があります。
Medee歯科検索は、おすすめしたい歯医者を掲載しています。
駅、行政区、診療時間、歯科医院の特徴、診療科目など豊富な検索メニューで歯科医院を検索可能。
また歯科医院のWebサイトはもちろん各種予約ツールも利用することが可能で、より簡単に歯科医院を探すことができます。