歯医者選びならMedee
>
症例集
佐久黒岩歯科医院の症例集
インプラントの症例
右下奥歯欠損部のインプラント治療
Before

After

インプラント埋入と同時に仮歯を装着。 3カ月の安静期間後、インプラント上部構造を装着して機能面の回復を行いました。
年齢
60代
性別
女性
主訴
他院にて右下臼歯部を抜歯、抜歯後インプラント治療を希望し当院受診
治療期間
3ヵ月
治療回数
6回
費用
約47万円
副作用・リスク
インプラントの結合不良、清掃不良による治癒不全
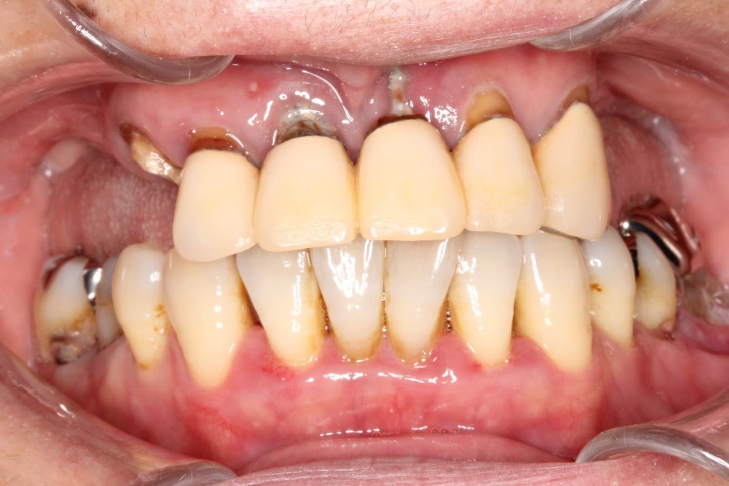
上顎のインプラント治療
Before

After

上顎全ての歯が保存不可能。5本のインプラント埋入を行いました。 費用や清掃性を考慮し、短縮歯列での治療としました。 治療後は見た目も満足され、何でも食べることが出来ると、患者様も非常に喜ばれています。
年齢
60代
性別
女性
主訴
しっかり咬めるようになりたい。見た目も綺麗にしたい。
治療期間
6ヵ月
治療回数
12回
費用
上顎全て:約300万円
副作用・リスク
術後の腫れや痛みの可能性、インプラントの骨結合不良、清掃不良による治癒不全
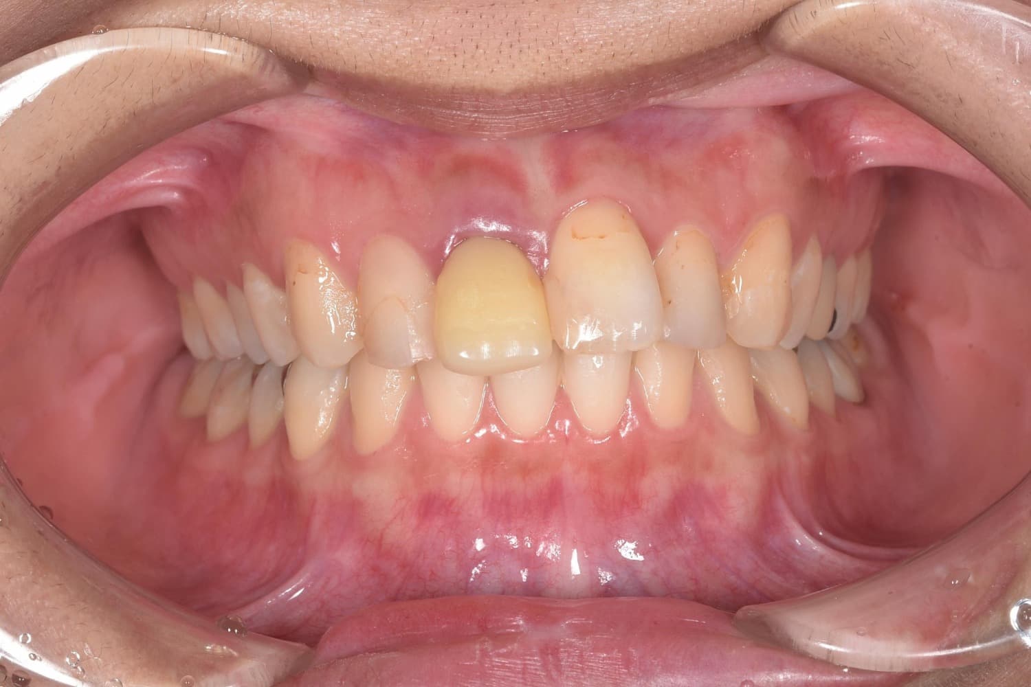
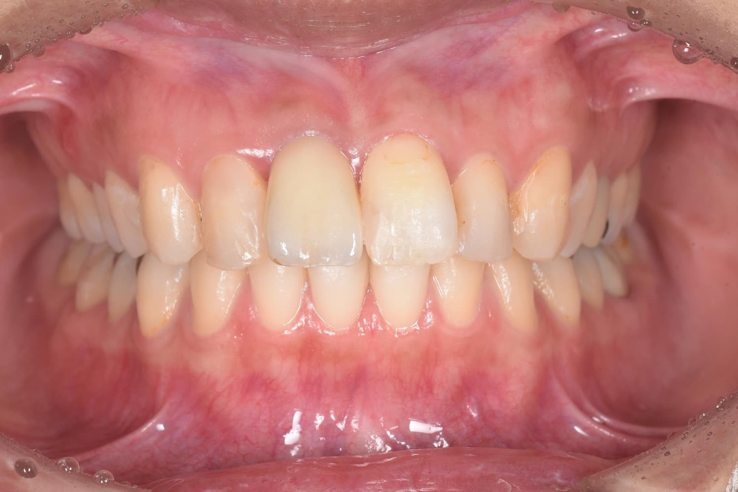
右上1番目のインプラント治療
Before

After



右上1番目の歯を抜歯と同時にインプラントを埋入。 同日に仮歯を装着し、3カ月後にはインプラント上部構造を装着。 インプラント治療により、歯肉のラインを揃え審美的な回復を行いました。
年齢
30代
性別
女性
主訴
右上の前歯が折れた。元々見た目も気になっていた。
治療期間
3ヵ月
治療回数
6回
費用
約47万円
副作用・リスク
インプラントの結合不良、清掃不良による治癒不全
Medee歯科検索は、おすすめしたい歯医者を掲載しています。
駅、行政区、診療時間、歯科医院の特徴、診療科目など豊富な検索メニューで歯科医院を検索可能。
また歯科医院のWebサイトはもちろん各種予約ツールも利用することが可能で、より簡単に歯科医院を探すことができます。