とくだ歯科クリニックの症例集
インプラントの症例
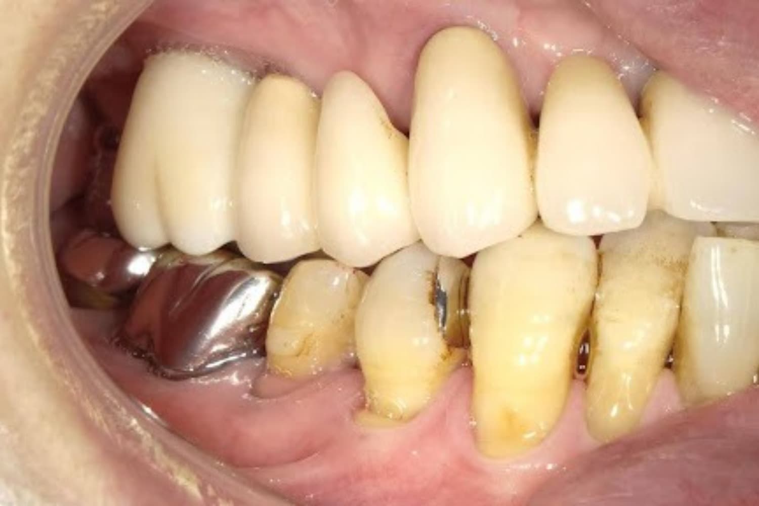
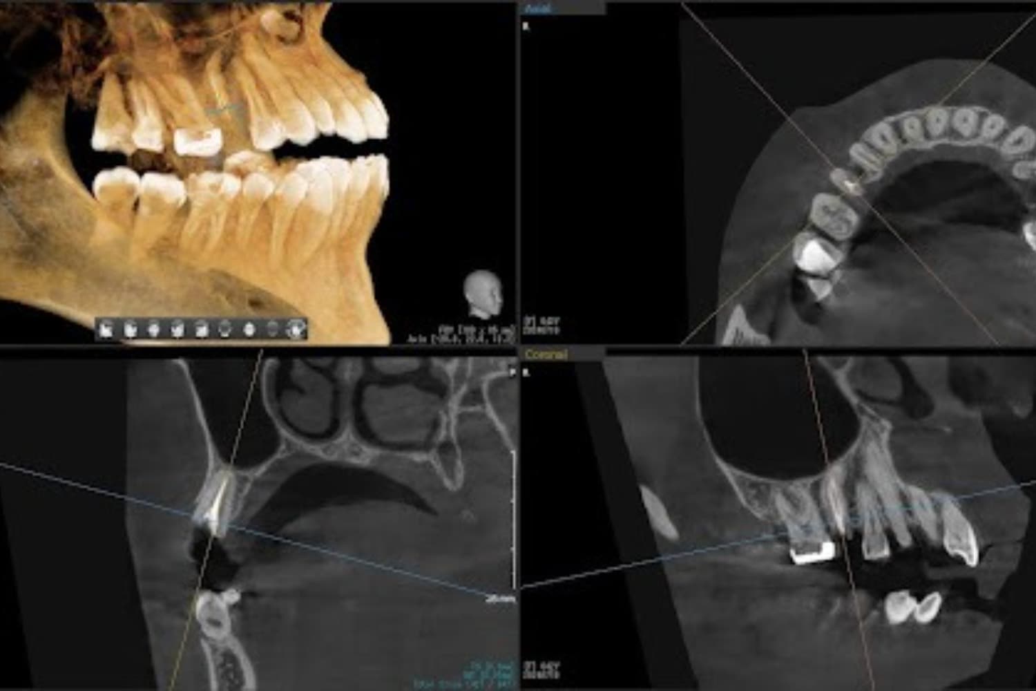
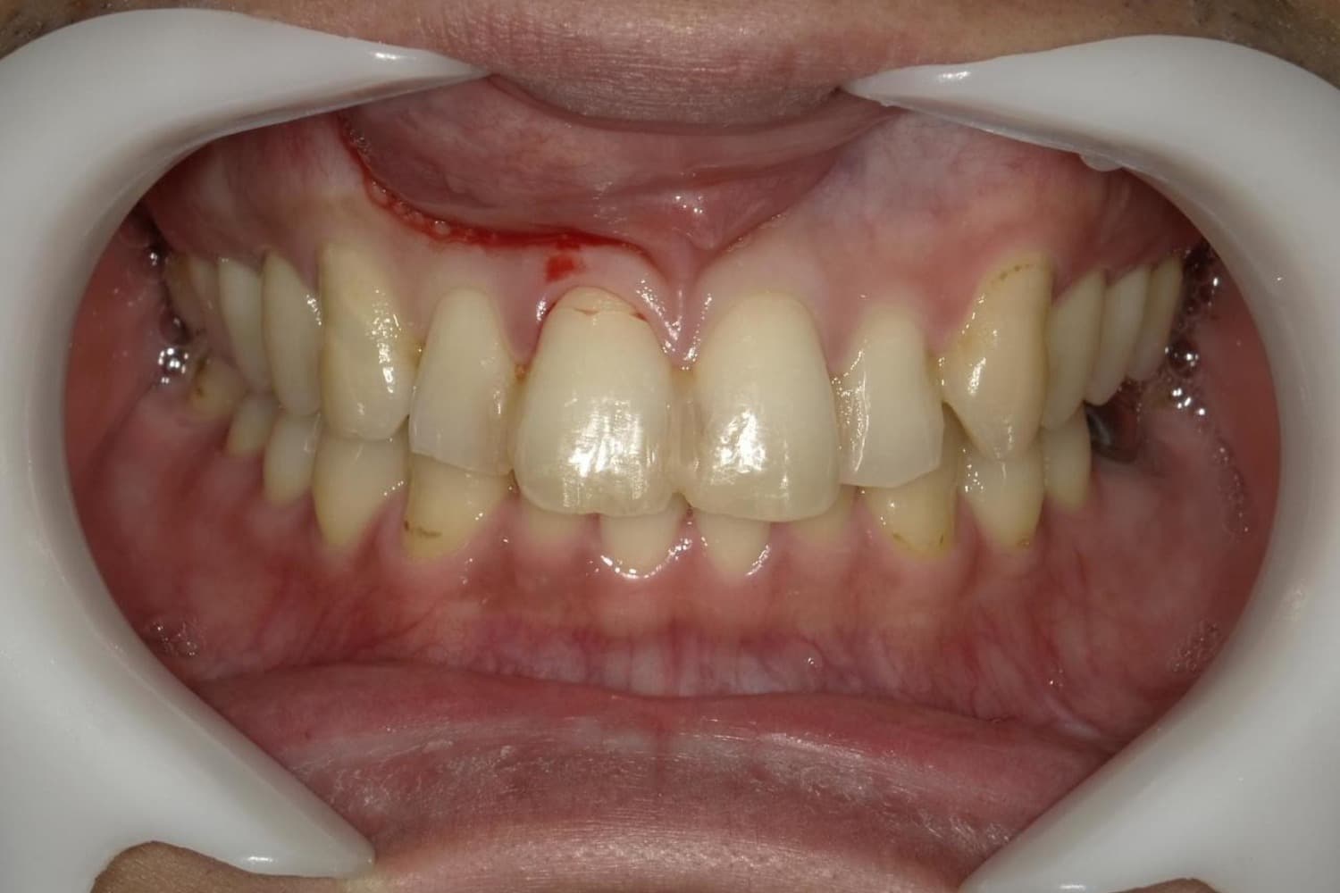
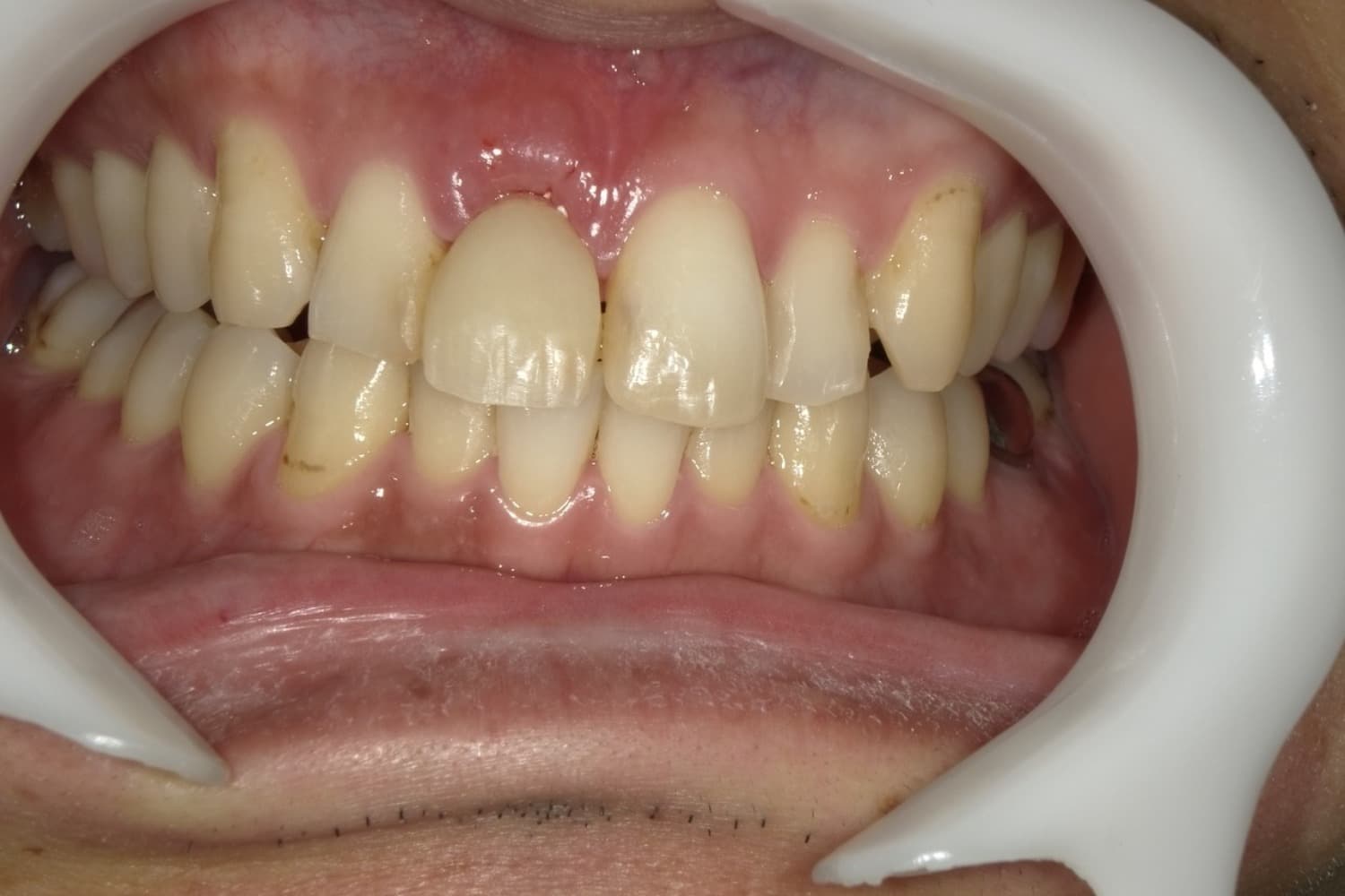
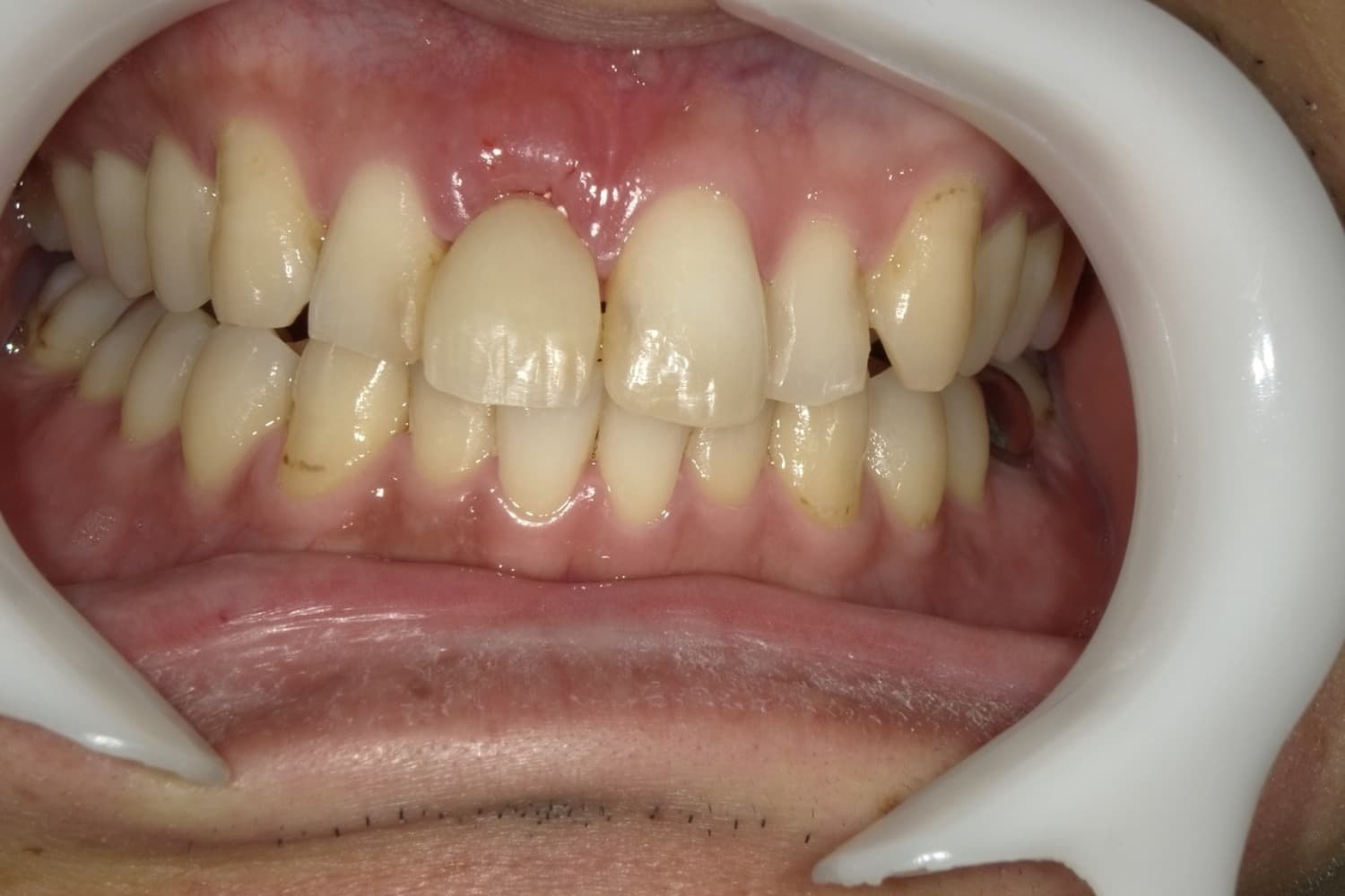
左上の歯のインプラント治療(60代女性)
Before

After



インプラント抜歯即時埋入・即時荷重(抜歯と同時にインプラントを埋入し、当日に仮歯を入れる)
年齢
60代
性別
女性
主訴
重度の歯の動揺があり、何もしていなくとも痛みがある。治療にあたって前歯がないことを気にする。
治療期間
4ヵ月
治療回数
10回
費用
814,000円(税込) 費用の内訳: 【インプラント基本料】330000円×2=660000円(税込み) 基本料金に以下を含む ・フィックスチャー及び手術費用 ・投薬費用、 ・レントゲン費用 ・インプラント上部費用(アバットメントおよびジルコニアクラウンの費用用) 【オプション費用】 ・右上5グラフトレスサイナスリフト費用 33000円(税込み) ・右上3抜歯即時荷重費用 33000円(税込み) ・暫間インプラント費用 0円
副作用・リスク
・手術後に痛み・腫れ・出血・合併症等を引き起こす恐れがあります。 ・噛む感覚がご自身の歯と異なることがあります。 ・見た目がご自身の歯と異なる場合があります。 ・手術後もメインテナンスを続けないと、インプラントが抜け落ちてしまう恐れがあります。
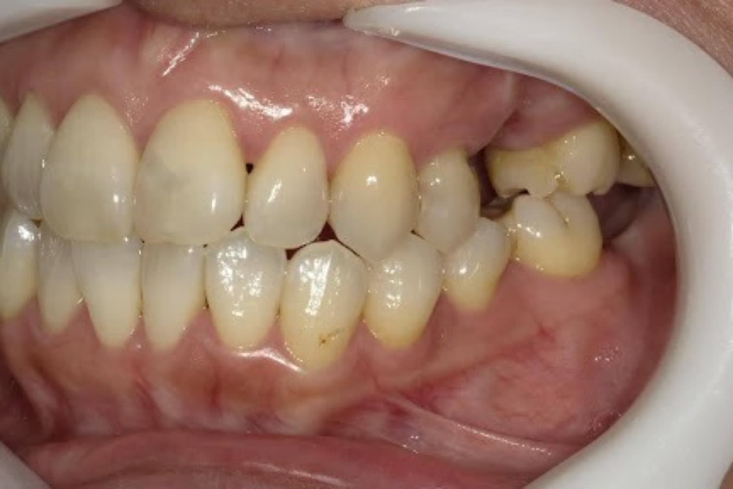
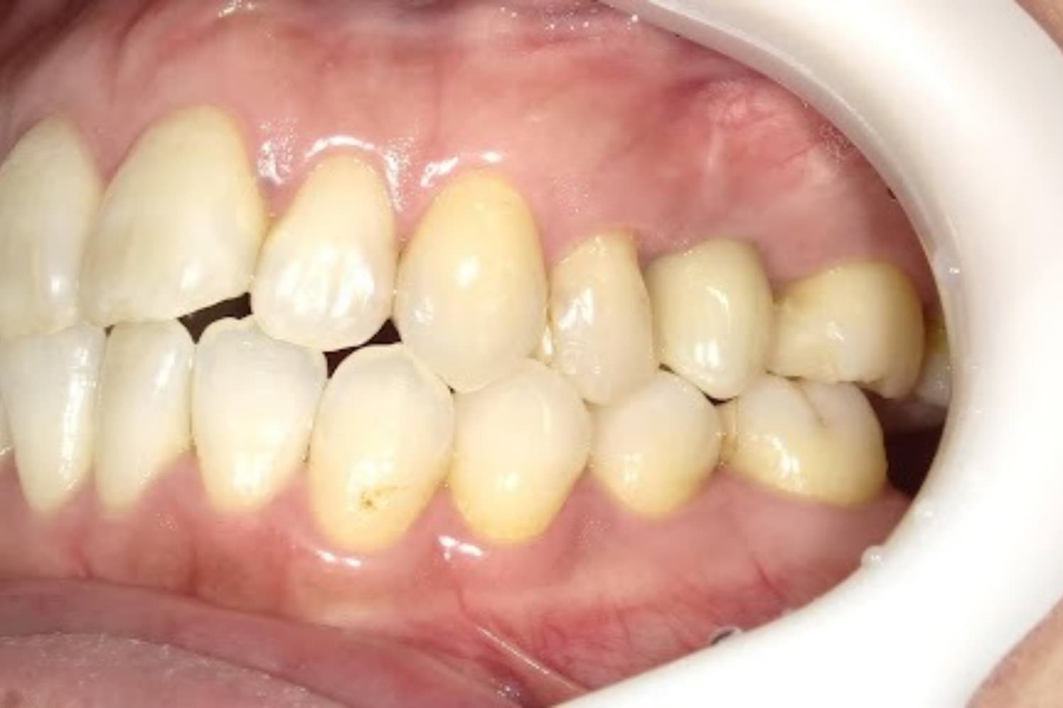
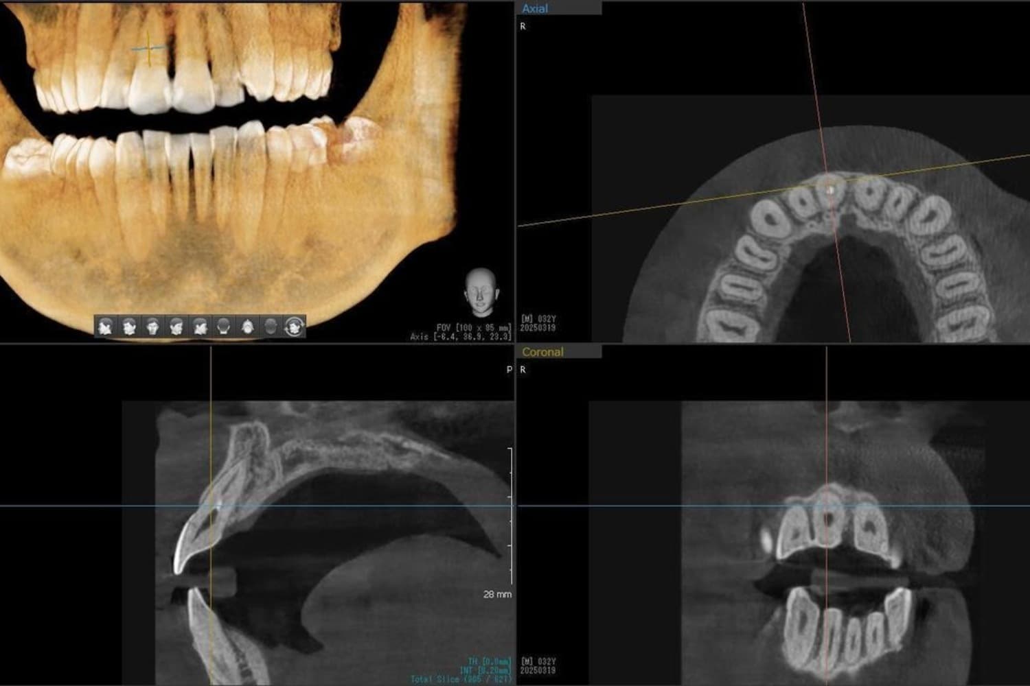
右上の歯のインプラント治療(50代女性)
Before

After



グラフトレスサイナスリフトをともなうインプラント治療
年齢
50代
性別
女性
主訴
右上の歯が歯周病によって自然に抜け落ちてしまった
治療期間
2ヵ月半
治療回数
6回
費用
363,000円(税込) 費用の内訳: 【インプラント基本料】330000円(税込み) 基本料金に以下を含む ・フィックスチャー及び手術費用 ・投薬費用、 ・レントゲン費用 ・インプラント上部費用(アバットメントおよびジルコニアクラウンの費用用) 【オプション費用】 ・グラフトレスサイナスリフト費用 33000円(税込み)
副作用・リスク
・手術後に痛み・腫れ・出血・合併症等を引き起こす恐れがあります。 ・噛む感覚がご自身の歯と異なることがあります。 ・見た目がご自身の歯と異なる場合があります。 ・手術後もメインテナンスを続けないと、インプラントが抜け落ちてしまう恐れがあります。
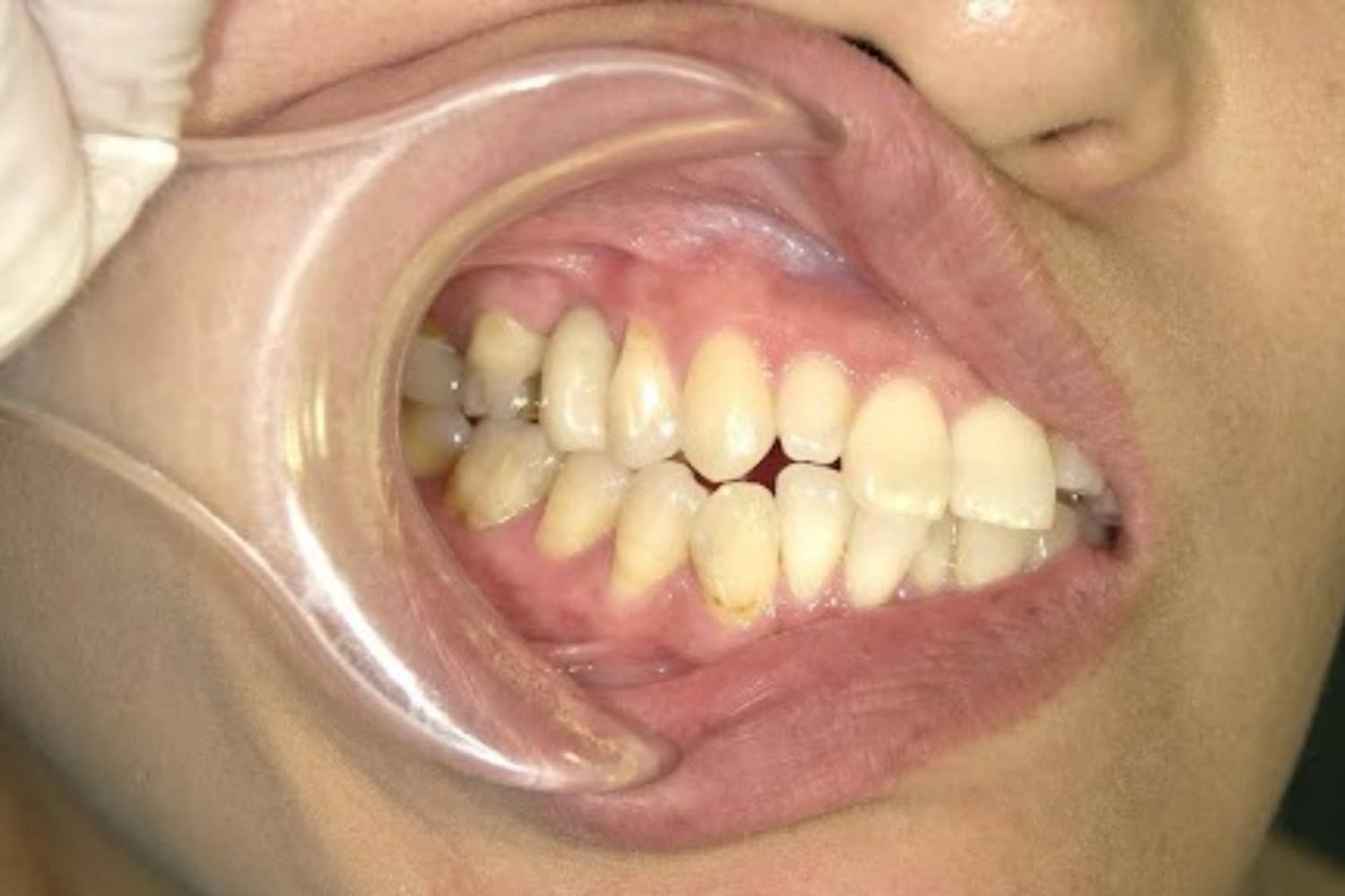
左上の歯のインプラント治療(40代女性)
Before

After



抜歯をおこない上顎洞内及び歯抜した周囲組織の回復を試みたあと、グラフトレスサイナスリフト・人口骨補填をともなうインプラント治療
年齢
50代
性別
女性
主訴
左上の歯が歯根破折を起こしていた。何もしていなくとも痛みを感じる。
治療期間
2ヵ月半
治療回数
6回
費用
368,500円(税込) 費用の内訳: 【インプラント基本料】330000円(税込み) 基本料金に以下を含む ・フィックスチャー及び手術費用 ・投薬費用、 ・レントゲン費用 ・インプラント上部費用(アバットメントおよびジルコニアクラウンの費用用) 【オプション費用】 ・グラフトレスサイナスリフト費用+人工骨費用 38500円(税込み)
副作用・リスク
・手術後に痛み・腫れ・出血・合併症等を引き起こす恐れがあります。 ・噛む感覚がご自身の歯と異なることがあります。 ・見た目がご自身の歯と異なる場合があります。 ・手術後もメインテナンスを続けないと、インプラントが抜け落ちてしまう恐れがあります。
右上の折れた歯のインプラント治療(40代女性)
Before

After



右上の歯が折れて保存することが不可能な状態だったためめ、インプラント抜歯即時埋入をおこなう
年齢
40代
性別
女性
主訴
歯が折れたことを主訴に来院。インプラント治療を希望される。
治療期間
2ヵ月
治療回数
4回
費用
352,000円(税込) 費用の内訳: 【インプラント基本料】330000円(税込み) 基本料金に以下を含む ・フィックスチャー及び手術費用 ・投薬費用、 ・レントゲン費用 ・インプラント上部費用(アバットメントおよびジルコニアクラウンの費用用) 【オプション費用】 ・抜歯即時埋入加算(人工骨費用を含む) 22000円(税込み)
副作用・リスク
・手術後に痛み・腫れ・出血・合併症等を引き起こす恐れがあります。 ・噛む感覚がご自身の歯と異なることがあります。 ・見た目がご自身の歯と異なる場合があります。 ・手術後もメインテナンスを続けないと、インプラントが抜け落ちてしまう恐れがあります。
歯根破折した前歯のインプラント治療(30代男性)
Before

After





外傷によって歯根破折した前歯を抜歯してインプラント治療をおこなう(当日に仮歯の装着までおこなう)。
年齢
30代
性別
男性
主訴
外傷によって歯根破折している。
治療期間
2ヵ月半
治療回数
6回
費用
385000円(税込) 費用の内訳: 【インプラント基本料】330000円(税込み) 基本料金に以下を含む ・フィックスチャー及び手術費用 ・投薬費用、 ・レントゲン費用 ・インプラント上部費用(アバットメントおよびジルコニアクラウンの費用用) 【オプション費用】 ・抜歯即時埋入・即時負荷加算(プロビショナルレストレーション費用・人工骨費用・暫間アバットメント費用・抜歯費用を含む)55000円(税込)
副作用・リスク
・手術後に痛み・腫れ・出血・合併症等を引き起こす恐れがあります。 ・噛む感覚がご自身の歯と異なることがあります。 ・見た目がご自身の歯と異なる場合があります。 ・手術後もメインテナンスを続けないと、インプラントが抜け落ちてしまう恐れがあります。
Medee歯科検索は、おすすめしたい歯医者を掲載しています。
駅、行政区、診療時間、歯科医院の特徴、診療科目など豊富な検索メニューで歯科医院を検索可能。
また歯科医院のWebサイトはもちろん各種予約ツールも利用することが可能で、より簡単に歯科医院を探すことができます。