医療法人愛和会 エルム駅前歯科クリスタルの症例集
インプラントの症例
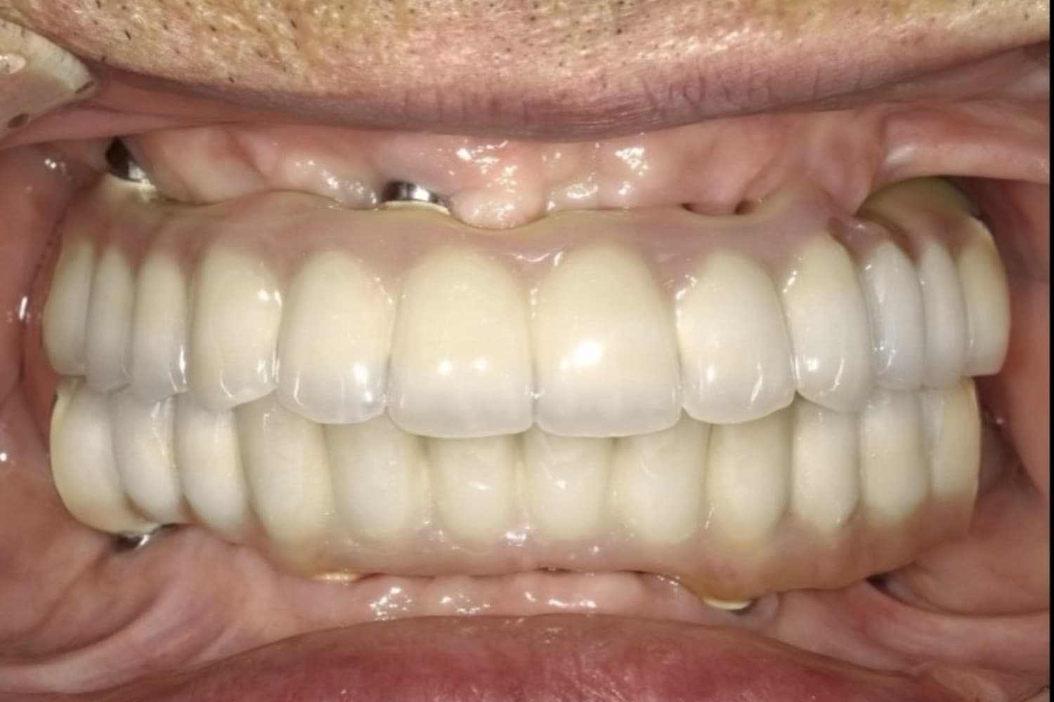
上下のインプラント治療
Before

After



上下の保存できない歯を抜歯して、インプラント治療で咬合機能の回復をおこなう
年齢
60代
性別
女性
主訴
上下の入れ歯が合わない。しっかり噛めるようになりたい。
治療期間
8ヵ月
治療回数
6回~7回
費用
550万円
副作用・リスク
・術後に腫れや出血をともなうことがあります。 ・口腔管理によっては感染・炎症を起こす可能性があります。
Medee歯科検索は、おすすめしたい歯医者を掲載しています。
駅、行政区、診療時間、歯科医院の特徴、診療科目など豊富な検索メニューで歯科医院を検索可能。
また歯科医院のWebサイトはもちろん各種予約ツールも利用することが可能で、より簡単に歯科医院を探すことができます。