歯医者選びならMedee
>
症例集
きたみ歯科医院の症例集
インプラントの症例
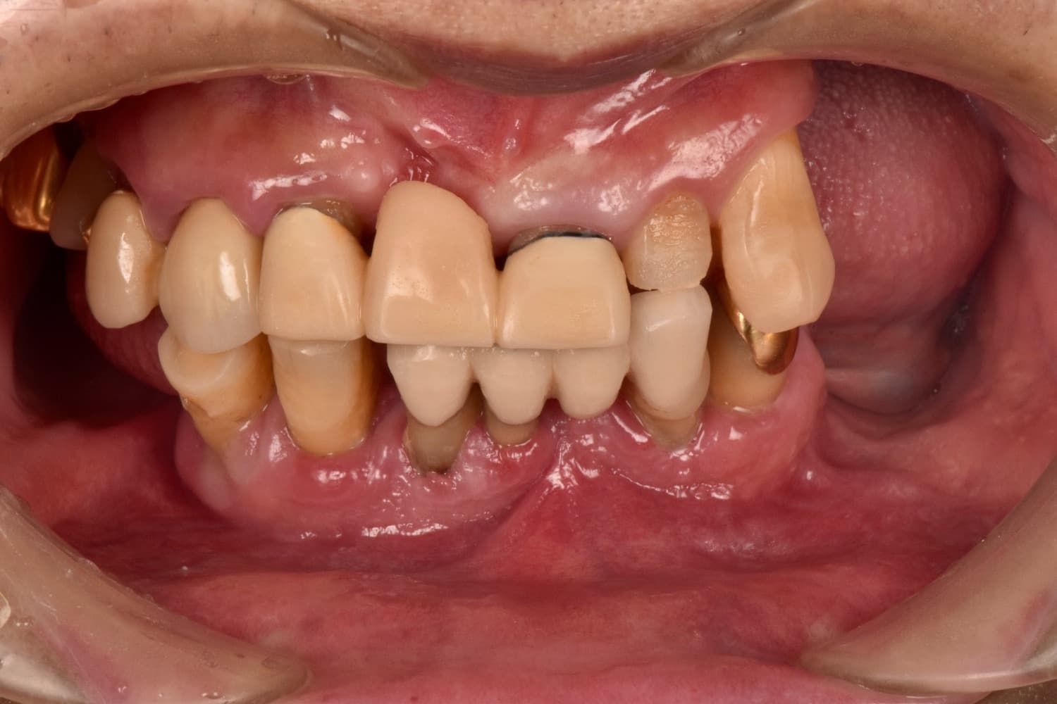
右上1の前歯部のインプラント治療
Before

After



右上1の前歯部のインプラント治療
年齢
50代
性別
女性
主訴
前歯を綺麗にしたい
治療期間
10カ月
治療回数
15回
費用
913,000円
副作用・リスク
清掃状態等によりインプラント周囲に炎症を起こす可能性があります。
上下顎オールオン4での治療
Before

After



重度の歯周病で上下すべての歯を抜歯せざるを得なくなった患者さまに対して、上下顎オールオン4で治療を行った。
年齢
70代
性別
男性
主訴
入れ歯が合わない 噛みにくい
治療期間
6カ月
治療回数
15回
費用
7,432,000円
副作用・リスク
清掃状態等により将来炎症を起こす可能性があります。
Medee歯科検索は、おすすめしたい歯医者を掲載しています。
駅、行政区、診療時間、歯科医院の特徴、診療科目など豊富な検索メニューで歯科医院を検索可能。
また歯科医院のWebサイトはもちろん各種予約ツールも利用することが可能で、より簡単に歯科医院を探すことができます。