症例集
黒川@歯科の症例集
インプラントの症例
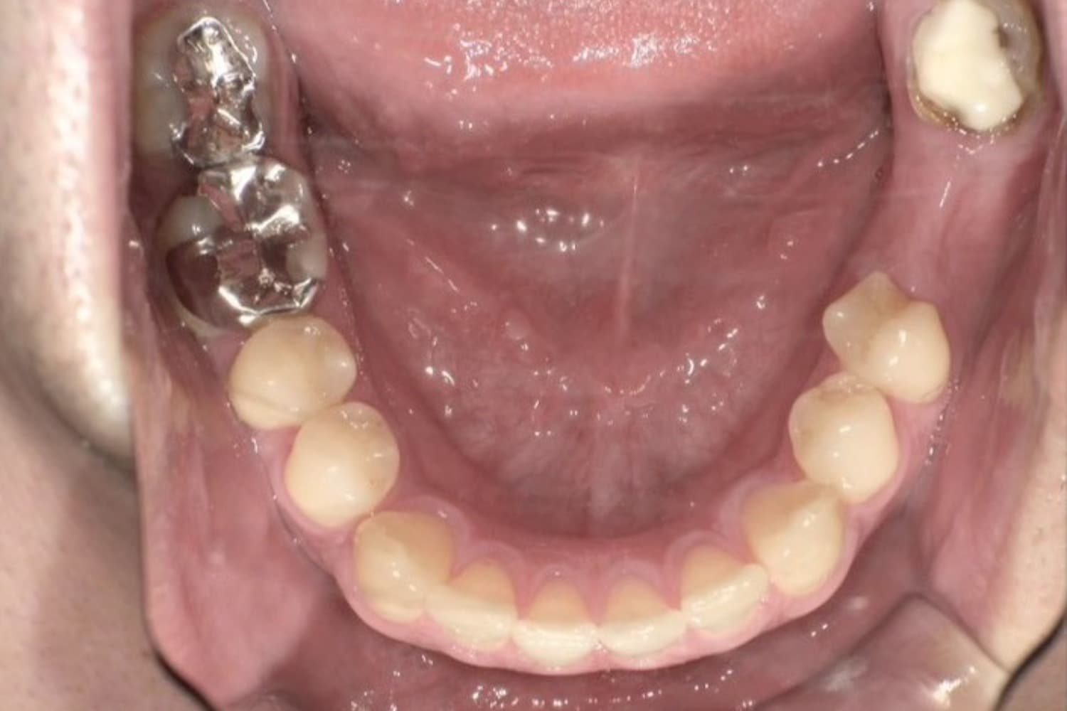
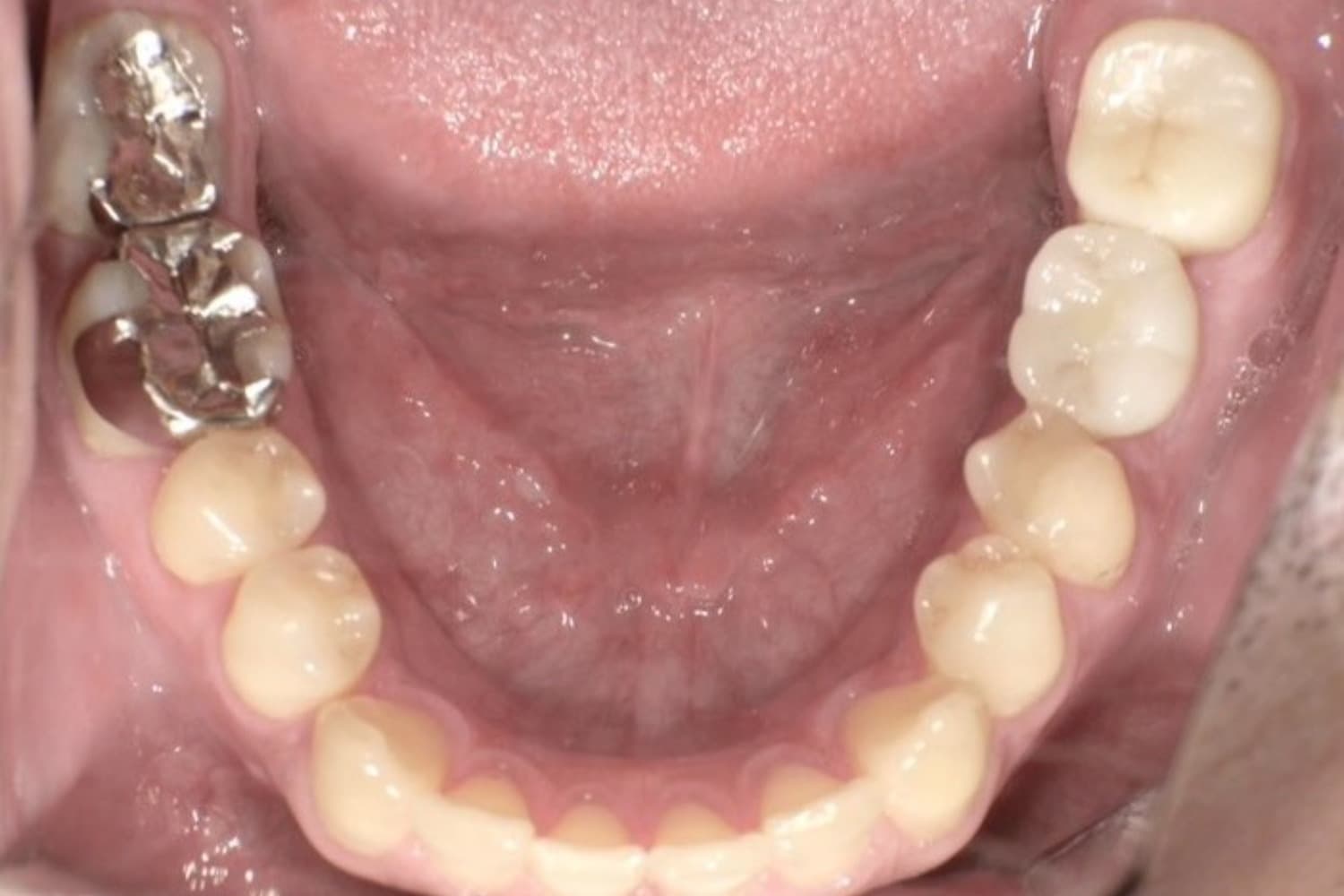
左下奥歯のインプラント治療
Before

After

左下の奥歯:インプラント治療+ジルコニアクラウン
年齢
30代
性別
男性
主訴
ブリッジが取れてしまった。長持ちする方法で綺麗に直して欲しい。
治療期間
3ヶ月
治療回数
7回
費用
インプラント本体+ジルコニアセラミッククラウン(インプラントの被せ物):298,000円(税込み327,800円) サージカルガイド:無料 ジルコニアクラウン(虫歯治療の被せ物) :50,000円(税込み55,000円) 合計 348,000円(税込み382,800万円)
副作用・リスク
・手術後には腫れや痛みが生じる可能性があります。 ・インプラント診療は自由診療となります。 ・治療後、慣れるまでは一定期間噛むと違和感が生じることがあります。
下顎のオールオン4
Before

After

下顎全てをオールオン4で治療
年齢
50代
性別
男性
主訴
入れ歯が合わなくて痛い。固定式のインプラントで美味しくご飯を食べられるようにして欲しい。
治療期間
6ヶ月〜8ヶ月
治療回数
8回
費用
合計:220万円(税込み242万円) インプラント4本(インプラント本体) : 20万円×4本=80万円(税込み88万円) 上部構造::ジルコニアクラウン×12本=140万円(税込み154万円)
副作用・リスク
・手術後には腫れや痛みが生じる可能性があります。 ・インプラント診療は自由診療となります。 ・治療後、慣れるまでは一定期間噛むと違和感が生じることがあります。 ・歯磨きにコツが必要なので、歯磨きの練習が必要。
Medee歯科検索は、おすすめしたい歯医者を掲載しています。
駅、行政区、診療時間、歯科医院の特徴、診療科目など豊富な検索メニューで歯科医院を検索可能。
また歯科医院のWebサイトはもちろん各種予約ツールも利用することが可能で、より簡単に歯科医院を探すことができます。