武蔵浦和歯科・矯正歯科の症例集
矯正の症例
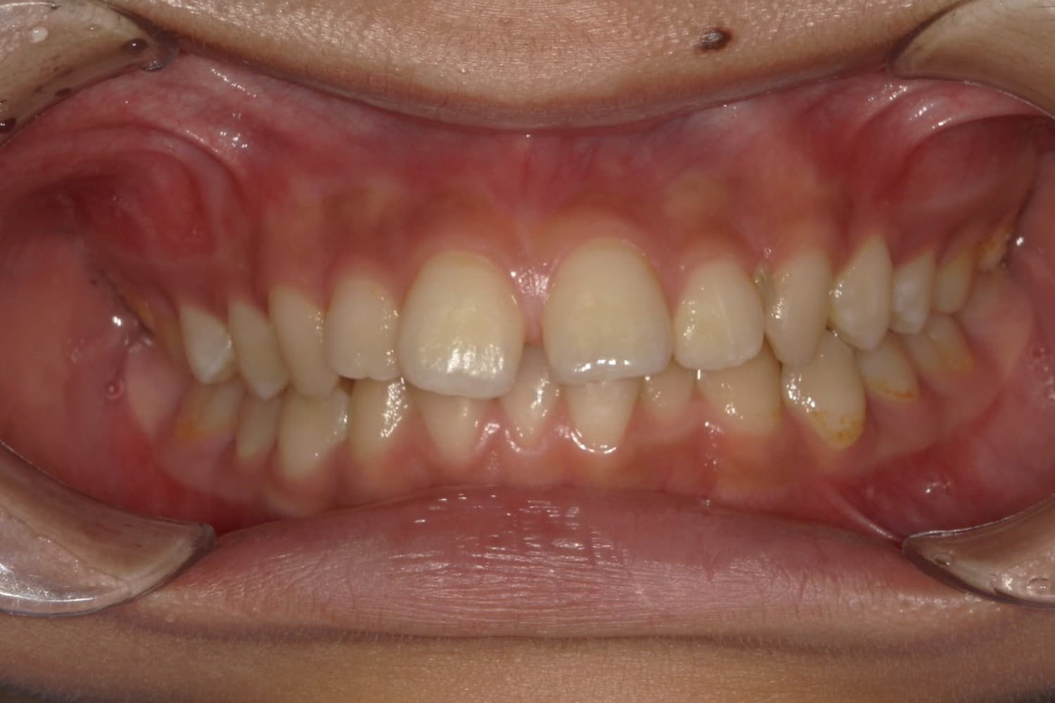
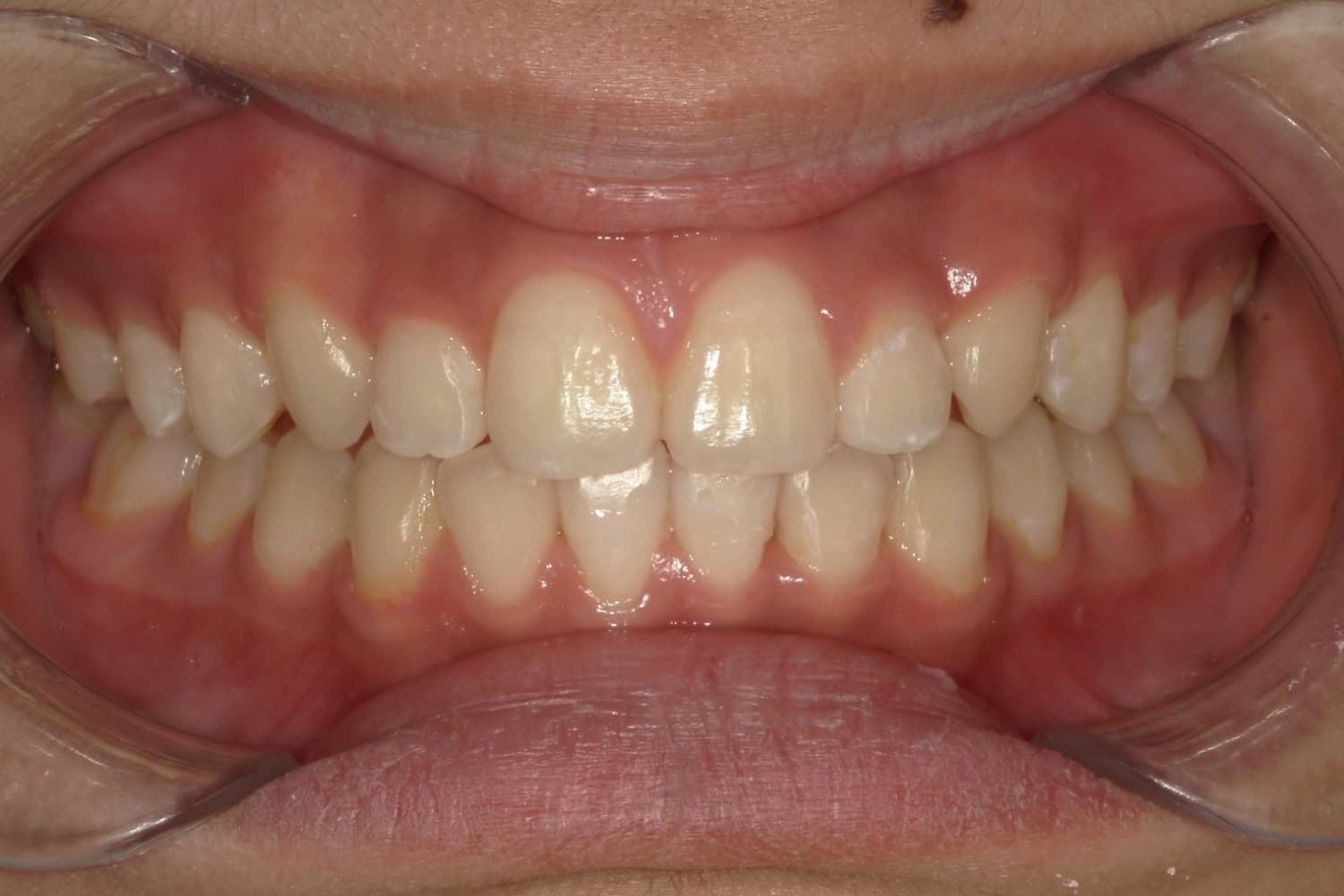
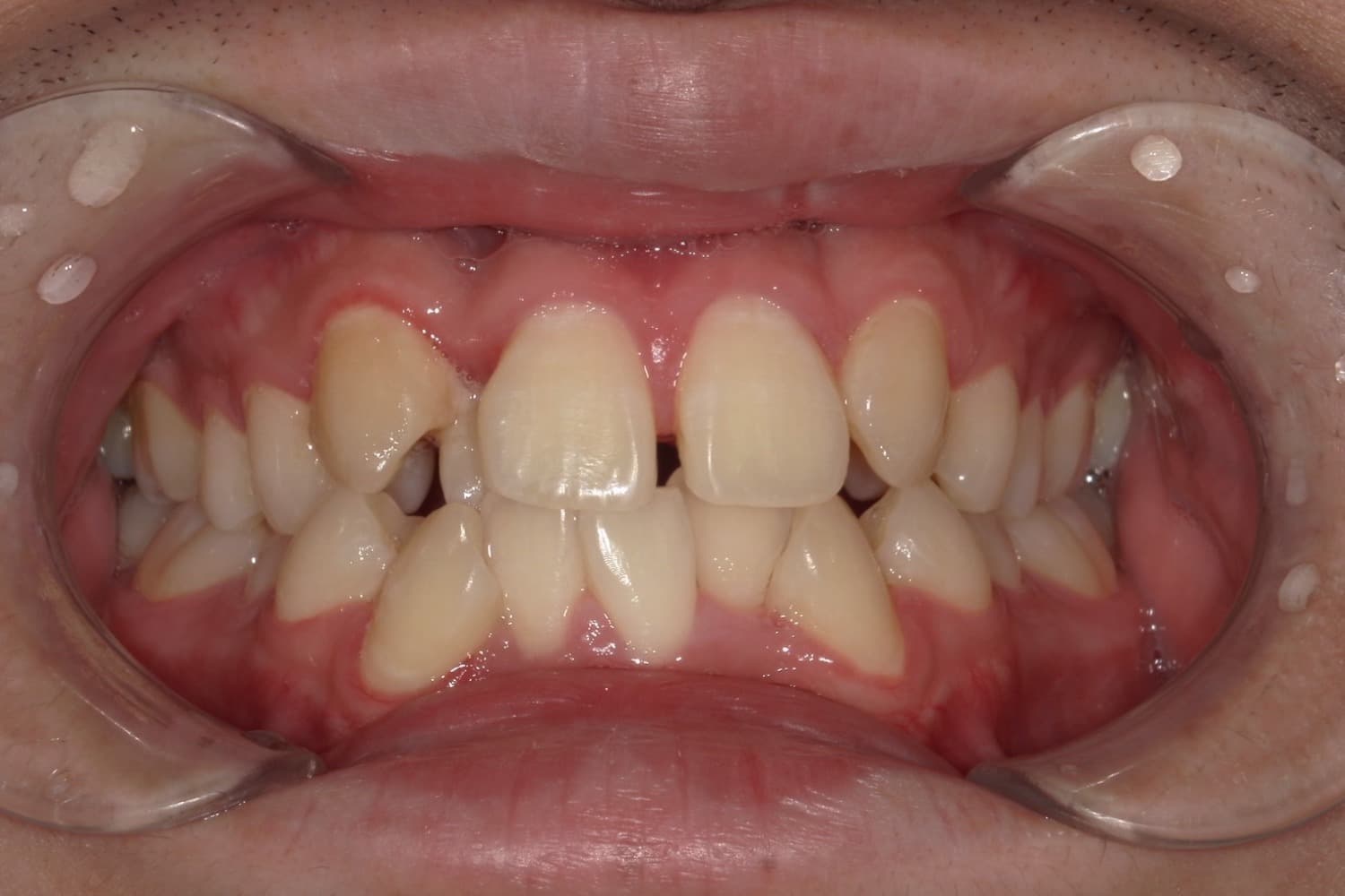
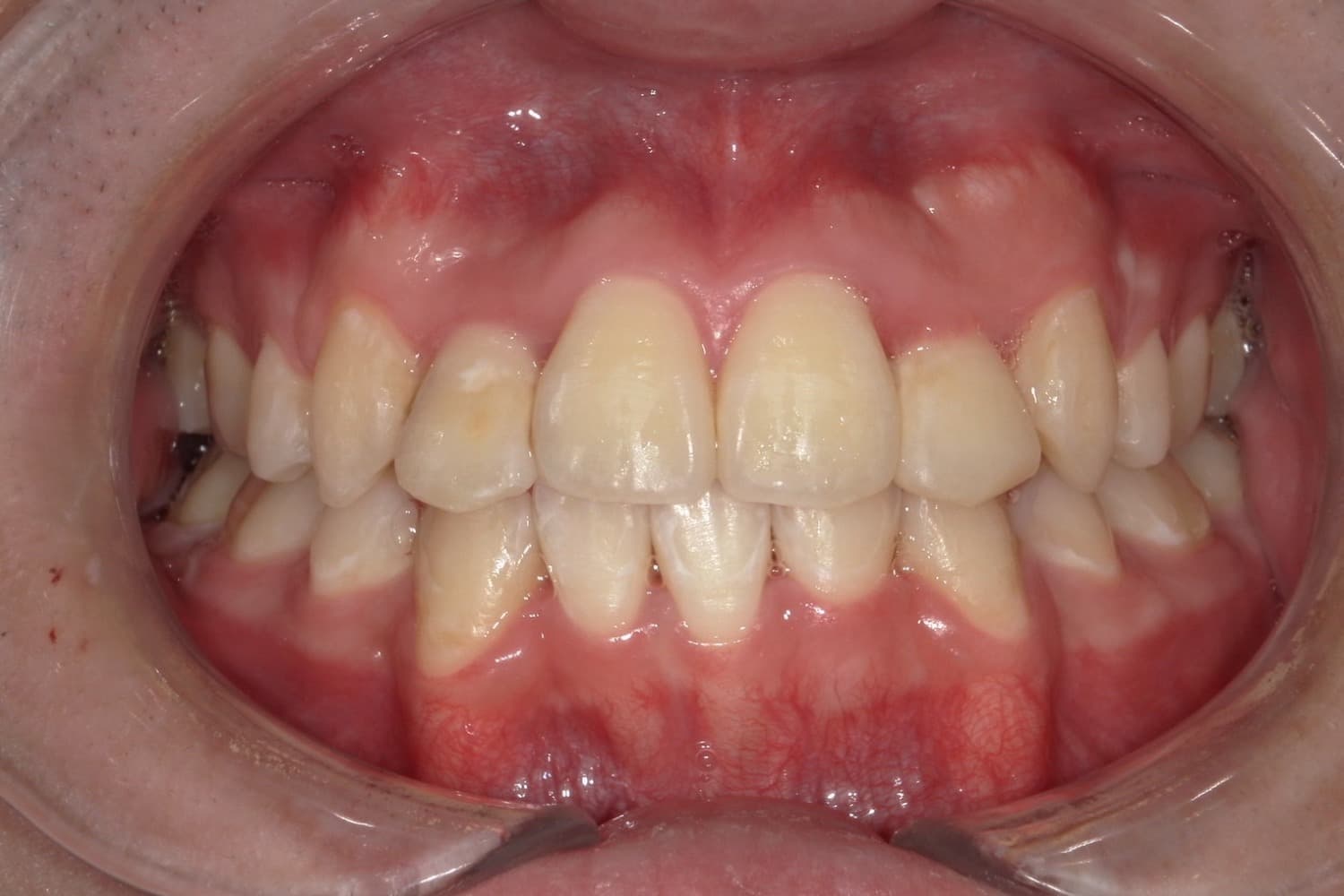
マウスピース矯正による全体矯正
Before

After

マウスピース矯正による全体矯正で前歯の隙間、凸凹を改善
年齢
10代
性別
女性
主訴
前歯の隙間、凸凹
治療期間
1年2カ月
治療回数
10回
費用
858,000円
副作用・リスク
虫歯、歯肉炎、歯肉退縮、動揺、歯根吸収、知覚過敏、歯の変色
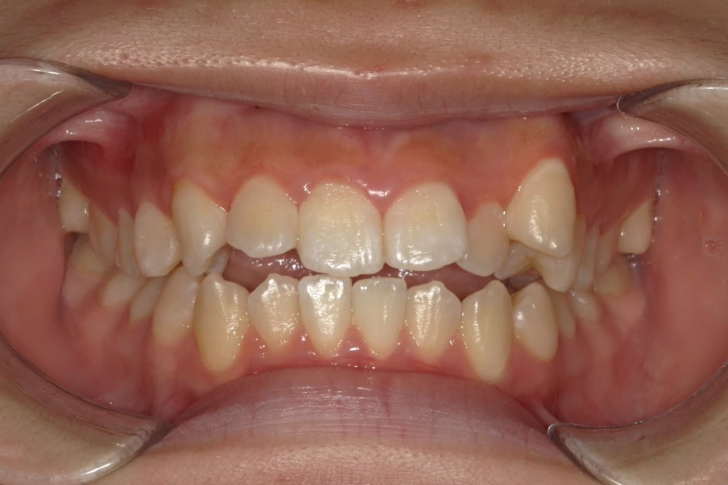
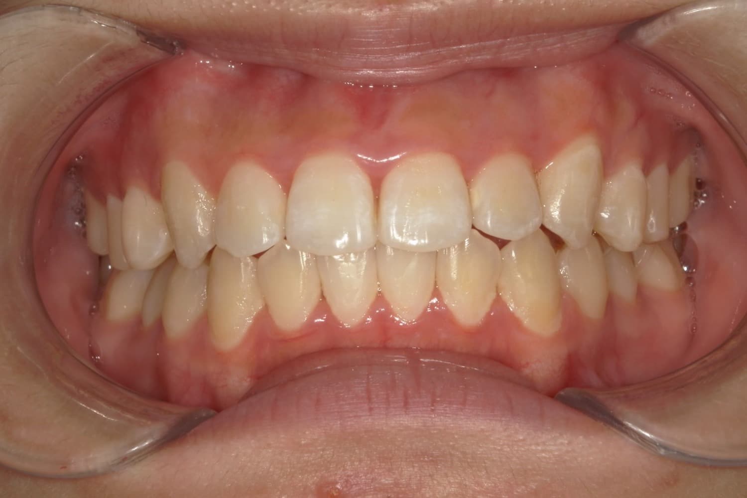
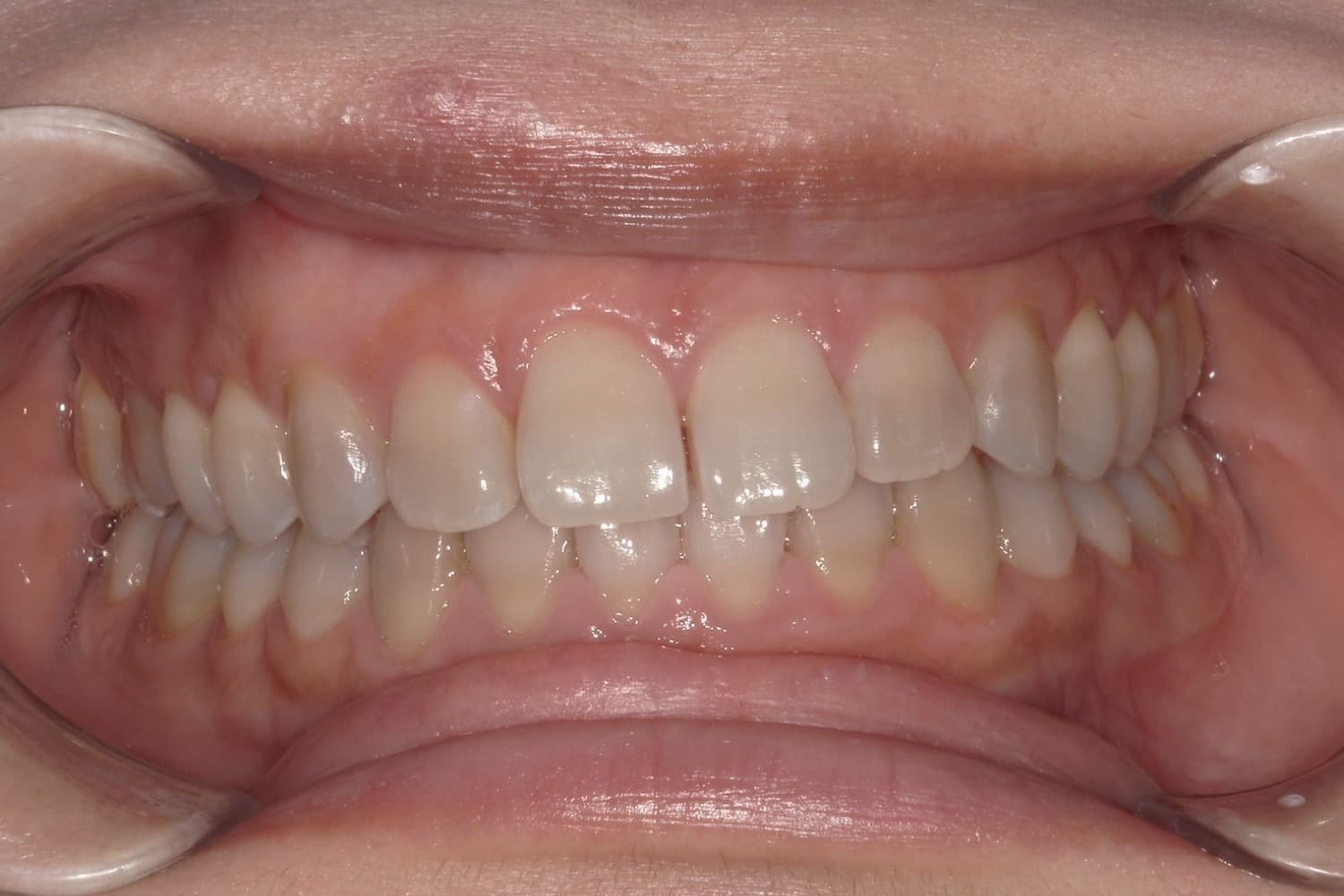
マウスピース矯正による全体矯正
Before

After

マウスピース矯正による全体矯正で歯並びを改善
年齢
10代
性別
女性
主訴
前歯が噛めない
治療期間
1年6ヶ月
治療回数
10回
費用
858,000円
副作用・リスク
虫歯、歯肉炎、歯肉退縮、動揺、歯根吸収、知覚過敏、歯の変色
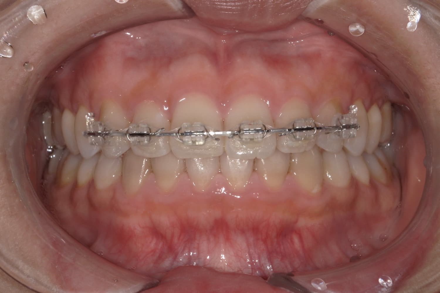
表側矯正による全体矯正
Before

After

表側矯正による全体矯正で前歯の凸凹を改善(抜歯あり)
年齢
20代
性別
男性
主訴
前歯の凸凹
治療期間
2年5カ月
治療回数
24回
費用
715,000円
副作用・リスク
虫歯、歯肉炎、歯肉退縮、動揺、歯根吸収、知覚過敏、歯の変色
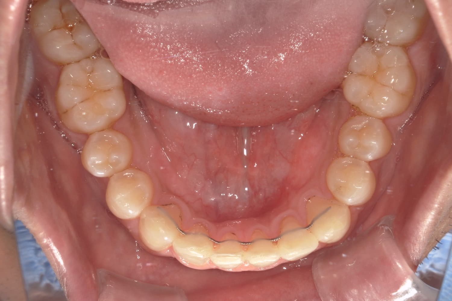
表側矯正による部分矯正
Before

After

マルチブラケット矯正装置を用いた表側矯正(部分矯正)による前歯の隙間と平面のずれの改善
年齢
30代
性別
女性
主訴
前歯の隙間と平面のずれ
治療期間
6ヶ月
治療回数
5回
費用
258,000円
副作用・リスク
虫歯、歯肉炎、歯肉退縮、動揺、歯根吸収、知覚過敏、歯の変色
表側矯正による部分矯正
Before

After

マルチブラケット矯正装置を用いた表側矯正(部分矯正)で前歯の凸凹を改善
年齢
20代
性別
男性
主訴
前歯の凸凹
治療期間
6ヶ月
治療回数
6回
費用
269,500円
副作用・リスク
虫歯、歯肉炎、歯肉退縮、動揺、歯根吸収、知覚過敏、歯の変色
Medee歯科検索は、おすすめしたい歯医者を掲載しています。
駅、行政区、診療時間、歯科医院の特徴、診療科目など豊富な検索メニューで歯科医院を検索可能。
また歯科医院のWebサイトはもちろん各種予約ツールも利用することが可能で、より簡単に歯科医院を探すことができます。