【2026年】海老名市周辺でおすすめしたい矯正歯科医院4選
2026/1/8
2026/1/8
#矯正歯科

海老名市周辺で矯正歯科を探し始めると、その数の多さに「結局どこを選べば良いのか」と迷われてしまうことでしょう。
特に初めての方は失敗したくないという不安から、歯科医院選びで悩まれているかと思います。
そこで本記事では、歯科医師の専門性や対応している治療法など様々な観点をもとに、海老名市周辺でおすすめしたい矯正歯科をご紹介しております。
海老名市周辺で矯正歯科をお探しの方はぜひ参考にしてみてください。
※2026年1月時点でのMedee編集部の調査のデータとなります。
【2026年】海老名市周辺でおすすめしたい矯正歯科医院4選
1. あさひ矯正歯科医院(海老名駅から車で15分)PR

難症例でも対応可能な矯正専門のクリニックで健康につながる矯正を
海老名市まで歩いて10分ほど、海老名駅までは車で15分ほどの場所に位置する、矯正治療を専門とした「あさひ矯正歯科医院」。
同院には日本矯正歯科学会の指導医や認定医など、矯正治療に精通した歯科医師が在籍。また現在、顎口腔機能診断施設に認定された歯科医院であり「顎変形症」の診断や、保険での治療も可能になっています。
そのため、子どもから大人までひとり一人のお口に対して、専門的な知識と経験から適切と思われる治療をご提案することが可能です。
小さなお子様から大人の矯正まで幅広く対応しており、見た目の改善はもちろん、よく噛める機能性まで考慮した「美しさ」と「健康」を両立させた矯正治療を診療の軸としています。
初診相談では口腔内スキャナーでお口の中のスキャンをし、AIデータを用いてわかりやすく状況を説明してもらえます。
あさひ矯正歯科医院の初診相談には、矯正を検討している方はもちろん、他の歯科医院で矯正をされている方、矯正治療が終わったが違和感を覚えている方などさまざまな方が毎月訪れているそうです。
また、あさひ矯正歯科医院はさまざまな種類の矯正治療に精通していることも特徴です。
一般的なワイヤー矯正はもちろんのこと、マウスピース矯正においては「インビザライン・ブラックダイヤモンドプロバイダー」(2024〜2025)に認定されており、また別に「あさひアライナー」と呼ばれる院内で製作しているマウスピース矯正も提供しております。
他にも舌側矯正(裏側矯正とも呼ばれる)治療において、あさひ矯正歯科医院の総院長は日本舌側矯正歯科学会の創立メンバー・元会長であり、多くの治療実績がございます。
また、院長も総院長の実績を引き継ぎ、数多くの舌側矯正治療を経験されてきました。
そのため患者様の治療に関する希望や口腔内、顎の骨の状況に合わせて豊富なオプションから治療を選択できるような環境が整っているといえるでしょう。
特徴1 日本矯正歯科学会の指導医・認定医による内製化されたシミュレーションと矯正治療

矯正治療は、高額な治療となる上に「理想の歯並び・仕上がりに近づけるか?」と考え、不安を覚える方も多くいらっしゃるでしょう。
そんな患者様の期待に応えるべくあさひ矯正歯科医院では「日本矯正歯科学会の指導医・認定医による」「シミュレーションの内製化」と「矯正治療」にこだわりをもって対応しています。
あさひ矯正歯科医院では矯正に豊富な経験を持つ「日本矯正歯科学会の指導医・認定医」が在籍し、患者様の治療に直接対応しているため、治療の終了まで同じ矯正医が対応してくれる安心感があったり、通院する日が柔軟に対応できるメリットがあります。
またあさひ矯正歯科医院では、矯正のシミュレーションを全て同院の矯正医が対応し外注はしておりません。
それにより「治療計画の精度と安全性の高さ」「患者さんのこだわりをできる限り反映できる」「治療計画とのズレにすぐ気づくことができる」などが実現できると考えられます。
患者さんの顔や骨を直接みている矯正医が治療計画を立てることで、患者さんの希望を実現する矯正治療に近づけ、矯正治療の成功率を高めることに貢献できるといえるでしょう。
またシミュレーションの内製化、高度な治療計画の立案には先進的な設備の充実化も同様に大切です。
あさひ矯正歯科医院には「歯科用CT/セファロ」「口腔内3Dスキャナー」「3Dプリンター」などデジタル矯正に必要な高度な設備が揃っています。
特徴2 「目立つのが嫌」「痛みが怖い」などの不安に寄り添う様々な矯正治療

「歯並びを整えたいけど、装置が目立つのは避けたい」「治療時の痛みが心配」
こうした矯正中の見た目への抵抗感や痛みに対する不安から、治療への一歩が踏み出せないという方は少なくありません。
あさひ矯正歯科医院は、こうした悩みを抱える患者さんでも矯正治療に踏み出せるよう、目立ちにくい矯正装置・痛みが少ない矯正装置など様々な矯正治療の選択肢に対応しています。
治療中の見た目が気になる方には、歯の裏側に装置を取り付ける「舌側矯正(裏側矯正)」や、白・透明の装置を用いた「目立ちにくいワイヤー矯正」、そして透明なマウスピース型装置を用いたマウスピース矯正治療などを提案。
患者様の希望やライフスタイルに合わせた治療を受けることが可能です。
治療中の見た目に加え治療時の痛みが心配な方には、段階ごとに新しい透明なマウスピースを取り付け、少しずつ歯を動かしていくマウスピース矯正や「光加速装置の利用」を提案。
マウスピース矯正は少しずつ無理のない範囲で歯を移動させるため、治療中の違和感や痛みを抑えやすいです。
光加速装置は、矯正の治療期間を短くするだけでなく矯正中の炎症を抑え痛みを軽減する効果もあります。
また、マウスピース矯正だけでは歯並びを改善することが難しい症例においても、ワイヤー矯正とマウスピース矯正を併用する「ハイブリッド矯正」で治療できる体制を整えています。
ワイヤー矯正による確実な移動とマウスピース矯正の審美性を組み合わせることで、より効率的かつ負担を抑えながら理想の口元を目指せるでしょう。
個々の悩みや症例に合わせた柔軟な体制が整っているあさひ矯正歯科医院へ、まずはその不安を相談してみてはいかがでしょうか。
特徴3 「できるだけ早く治療を終えたい」方のために

「結婚式までに矯正を終えたい」「留学や駐在前に矯正を終えたい」などさまざまな要望をお持ちの方もいらっしゃるでしょう。
そんな「できるだけ早く治療を終えたい」という方のために、あさひ矯正歯科医院ではさまざまな対応が可能です。
まず矯正治療の期間を最優先にしたい場合は、歯科医師へその要望をしっかり伝えましょう。矯正治療期間を短くすることを優先した治療計画を立案してくれるでしょう。
これは、矯正の治療計画やシミュレーションを内製化しているあさひ矯正歯科医院だからこそ、希望の反映度が高くなるメリットといえるでしょう。
また、例えば光加速装置は、近赤外線を照射することで歯周組織の細胞を活性化させ、歯が動く際の骨の代謝を促し矯正による歯の動きをスムーズにできる装置です。
通常の矯正装置のみを用いる場合と比較して、治療期間の短縮(最大で40%)が期待できるのが大きな特徴です。
他にも「歯科矯正用アンカースクリュー」を用いて治療期間の短縮を狙うなども可能です。
早期に矯正治療を終えたいと考えている方は、あさひ矯正歯科医院へ相談してみると専門的な観点からさまざまな提案をしてもらうことができるでしょう。
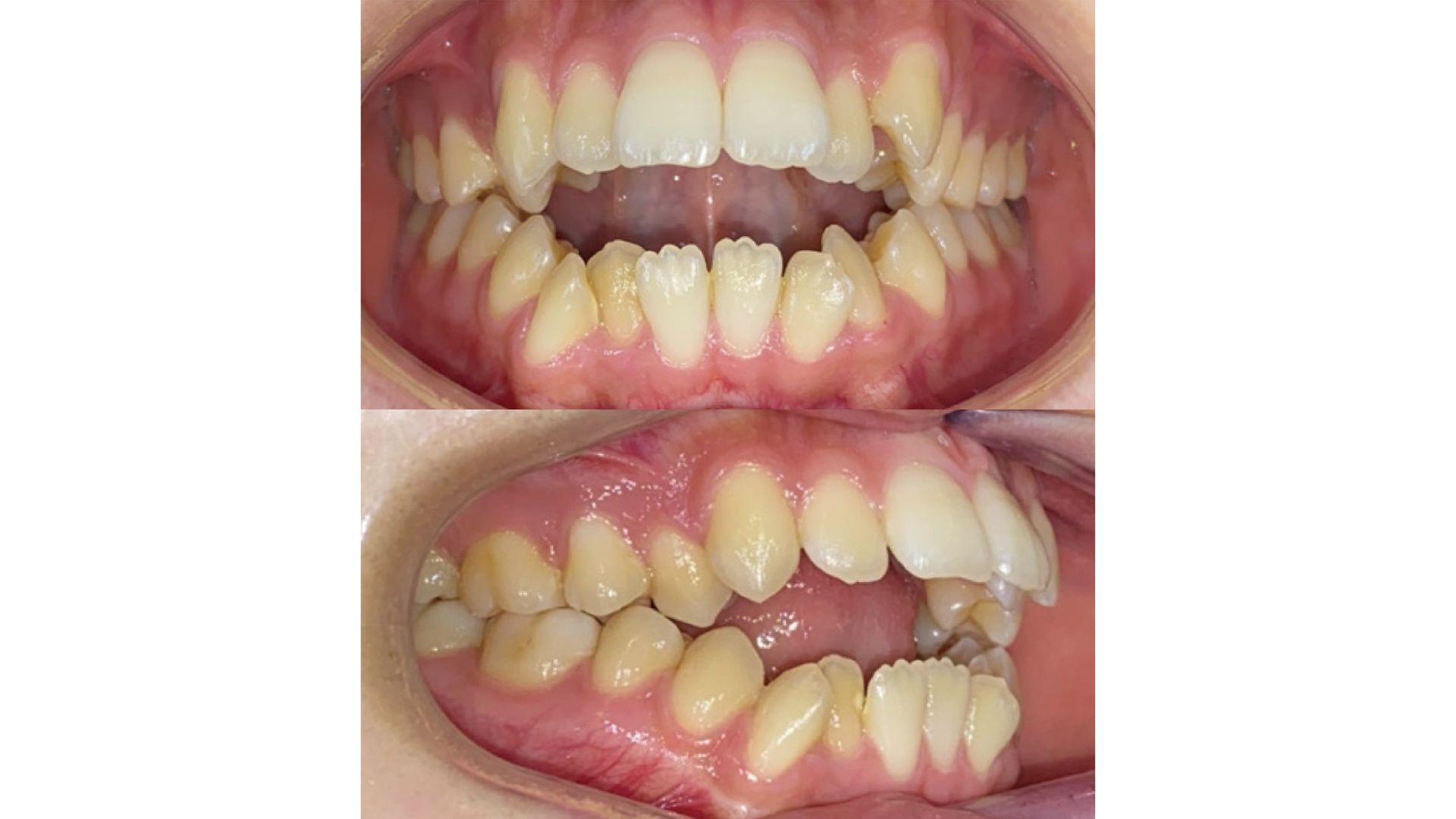
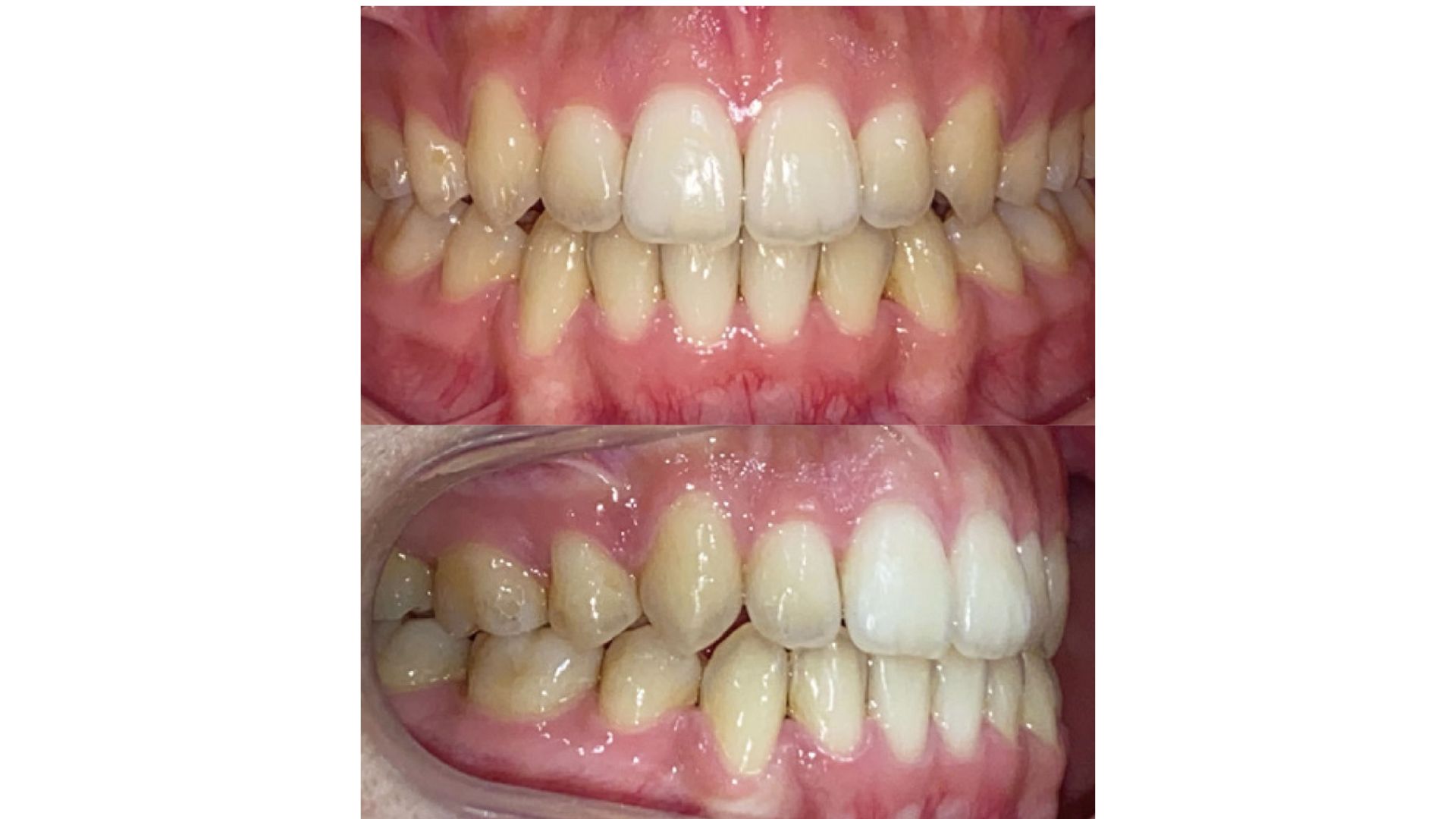
症例1
Before

After

患者さんの年齢 | 21歳0ヶ月(初診時) |
|---|---|
治療内容 | 他院では外科矯正治療が必要と言われていました。 |
治療期間 | 1年4ヶ月 |
費用 | 995,500円 |
副作用・リスク | 矯正治療による歯の移動に伴う痛み、歯根吸収、う蝕 |
設備
歯科用CT/セファログラム

歯科用CTによって歯根の状態、骨の厚み、埋伏歯の有無などを確認することが可能です。さらにセファロは世界共通の規格で撮影するレントゲンで正確な診断に必須の医療機器です。
口腔内スキャナー

お口の中を専用スキャナーで撮影するだけで、歯や歯並びの細部まで精密な3Dデータとして記録できます。お口の中で固まる粘土のような材料(印象材)を使わず歯型を採取することができます。
デジタル矯正システム

成人のマウスピース矯正において、このシステムを活用して歯科用CTと口腔内スキャナーの情報を統合することで、歯の根を考慮した移動シミュレーションをおこなうことができます。
マイクロサージカルモーター

顎の骨に矯正用ネジ(アンカースクリュー)を固定するためのモーターです。力と速度を一定に保ちながら埋入できるため、患者さんの身体的負担の軽減が期待できます。
診療室

プライバシーの確保を重視した半個室設計の診療室です。
矯正歯科に関わる費用
第1期治療
装置の種類 | 取り外し式トレーニング装置 | マウスピース(上下) | 固定式ワイヤー装置 | ||
|---|---|---|---|---|---|
- | - | 上下:金属 | 上:透明 | 上下:透明 | |
装置技術料 | 48.4~59.4万円 | 60.5万円~71.5万円 | 56.1~67.1万円 | 58.3~69.3万円 | 60.5~71.5万円 |
第2期治療(第1期治療を行った方の永久歯の治療)
装置の種類 | マウスピース | 固定式ワイヤー装置 | ||||||
|---|---|---|---|---|---|---|---|---|
ワイヤー(表側) | ワイヤー(裏側) | |||||||
- | - | ハーフリンガル | フルリンガル | |||||
上下: | 上下:金属 | 上:透明 | 上下:透明 | 上下:透明 | 上:裏側 | 上:裏側 | 上下:裏側 | |
装置技術料 | 50.6~61.6万円 | 46.2~57.2万円 | 48.4~59.4万円 | 50.6~61.6万円 | 55~66万円 | 85.8~96.8万円 | 88~99万円 | 100.1~111.1万円 |
成人矯正 装置技術料(トータルフィー)
装置の種類 | 部分矯正 | 全体矯正 | ||
|---|---|---|---|---|
上下6前歯 | 上下10歯 | 装置技術料 | ||
マウス | 上下:マウスピース | 55~77万円 | 71.5~93.5万円 | 91.3~113.3万円 |
ワイヤー | 上下:金属 | 49.5~71.5万円 | 66~88万円 | 86.9~108.9万円 |
上:透明 下:金属 | 52.8~74.8万円 | 69.3~91.3万円 | 89.1~111.1万円 | |
上下:透明 | 55~77万円 | 71.5~93.5万円 | 91.3~113.3万円 | |
上下:透明 | 58.3~80.3万円 | 74.8~94.6万円 | 94.6~116.6万円 | |
ワイヤー | 上:裏側 下:金属(表側) | 66~88万円 | 99~121万円 | 121~143万円 |
上:裏側 下:透明(表側) | 68.2~90.2万円 | 101.2~123.2万円 | 132~154万円 | |
上下:裏側 | 70.4~92.4万円 | 104.5~126.5万円 | 148.5~158.4万円 | |
※()は税抜金額です。
※マウスピース矯正・裏側装置:装置の準備で発注から1~1.5ヶ月ほどかかるため、装置代の一部11万円(税込)の前払い(デンタルロ ーンを除く)をお願いしております。
※表側装置:装置代の前払いはいただいておりません。
※部分矯正治療は安全性や良好な治療結果が得られないと判断された場合、適応できないことがあります。片顎のみの場合は上記に限りません。
※治療の難易度や合わせて使う装置によって費用が異なるため、検査結果をお伝えする際に具体的にご案内します。
※金額は全て税込表示です。
お支払いについて
あさひ矯正歯科医院では、以下の支払い方法に対応しています。
※具体的な治療内容によって対応する支払い方法が異なるため、詳細は医院へお問い合わせください。
●現金
●振込
●クレジットカード
●デンタルローン
歯科医師紹介

隅田 実希
経歴
2005年3月 日本歯科大学歯学部 卒業 2005年4月 日本歯科大学歯学部附属病院にて卒後研修 2006年4月 日本歯科大学歯学部附属病院矯正学レジテントコース 2008年4月 日本歯科大学歯学部附属病院矯正歯科臨床助手 2011年4月 あさひ矯正歯科医院副院長 就任 2023年1月 あさひ矯正歯科医院院長 就任
所属学会・資格・スタディーグループ
日本矯正歯科学会 認定医 日本矯正歯科学会 日本顎変形症歯科学会 日本口蓋裂学会 日本舌側矯正歯科学会
メッセージ
基本情報
住所
〒243-0018 神奈川県厚木市中町1丁目6−1 厚木セントラルハイツ 106号
最寄駅
「本厚木駅」東口から徒歩で5分 イオン厚木店隣接 P有
診療時間
月~日:10:30~13:00/14:30~18:45 休診日:不定休 ※祝日は学会やセミナーの状況によって診療する場合があります。
電話番号
0120-444-047
2. 柴垣歯科医院(海老名駅よりバスにて15分)

医院紹介
海老名駅よりバスにて15分ほどの場所に位置する「柴垣歯科医院」。
保険診療・自費診療問わず幅広く対応しており、各分野に精通する歯科医師が連携するチーム医療を実施。
矯正歯科医も在籍しており、専門的な知識や技術に基づく治療を提供しています。
お口全体の歯並びや噛み合わせを整える全顎矯正だけでなく、前歯のすき間や軽度の歯並びの乱れなど限られた部分のみを治療する部分矯正にも対応。
歯科用CTや口腔内スキャナーなどを活用した事前の精密な検査のもと、一人ひとりに合わせた治療が受けられるでしょう。
設備
◆歯科用CT
◆セファログラム
◆口腔内スキャナー
特徴1 矯正治療だけでなく一般歯科にも対応し、治療中のトラブルも素早く処置
.jpeg)
矯正治療は長期的な治療となることが多く、矯正中に虫歯といったトラブルが生じることもあります。
柴垣歯科医院は矯正治療のみならず、虫歯治療や歯周病治療といった一般歯科にも対応している歯科医院のため、治療中に万が一虫歯などが発見された場合でも、速やかに院内で対応してもらえるでしょう。
虫歯治療のために新たに歯医者を探す必要はありません。
このように柴垣歯科医院は、矯正治療だけでなく虫歯や歯周病といった一般歯科まで包括的に対応するトータルケアが受けられる歯科医院です。
矯正歯科に関わる費用
検査診断料 | 49,500円 |
|---|
ブラケット矯正 | 165,000〜814,000円 |
|---|---|
マウスピース型矯正装置(インビザライン) | 385,000〜990,000円 |
部分矯正 | 165,000〜495,000円 |
処置料 | 5,500円 |
|---|---|
保定・観察料 | 3,300円 |
※矯正抜歯は保険適用外です(1歯税込11,000円)。
※歯科用アンカースクリューの埋入は保険適用外です。(片顎税込33,000円)
※矯正治療は保険が適用されない自費診療です。
※金額は全て税込表示です。
お支払いについて
柴垣歯科医院では、以下の支払い方法に対応しています。
※具体的な治療内容によって対応している支払い方法が異なる場合があるため、詳細は医院へお問い合わせください。
●現金
●クレジットカード
●デンタルローン
基本情報
住所
〒252-1124 神奈川県綾瀬市吉岡2366-1
最寄駅
「海老名駅」よりバスにて約15分、降車後徒歩で約3分
診療時間
月・火:9:30~12:30/14:00~18:00 水:9:30~16:00(インプラント治療・保険外診療日) 金:9:30~12:30/14:30~18:00 土:9:30~12:30/14:00~16:00 矯正診療日:金曜午後・土曜 木・日・祝:休診日
電話番号
0467-76-1889
3. さくら歯科(かしわ台駅より徒歩で6分)

医院紹介
海老名市のかしわ台駅より徒歩で6分の場所に位置する「さくら歯科」。
同院ではわかりやすい説明を心がけており、アニメーションソフトを用いた視覚的に理解しやすい説明が受けられます。
矯正治療においては毎月1回(第一木曜)、矯正歯科医による診療を実施。
表側矯正や裏側矯正、マウスピース矯正など様々な治療法に対応しており、患者さんの多岐にわたる要望に応えてもらえます。
さくら歯科での都合がつかない場合でも、横浜駅近くの横浜フォルテ矯正歯科にて対応しているとのことで、スケジュールについても調整しにくいということはないでしょう。
設備
◆歯科用CT
◆口腔内カメラ
特徴1 裏側矯正(舌側矯正)にも対応
.jpeg)
ワイヤーを用いた矯正において、金属の装置が目立ってしまうことを気にされる方は多いです。
こうした悩みを解消できるようさくら歯科では、一般的な表側矯正だけでなく、歯の裏側に矯正装置を取り付けておこなう裏側矯正(舌側矯正)に対応しています。
ワイヤーを用いた装置を歯の裏側に取り付けるため、口を開けた時でも装置が目立つことはほとんどありません。
治療においては日本舌側矯正歯科学会に所属し、裏側矯正(舌側矯正)において日々研鑽を積んでいるドクターが治療を担当。
日々の診療や学会活動を通じて得た知識や技術を活かした治療が期待できるでしょう。
矯正歯科に関わる費用
相談 | 0円 | |
|---|---|---|
精密検査 | 44,000円 | |
こどもの矯正 | (乳歯と永久歯の混合した歯列の矯正) | 275,000円 |
相談の上、永久歯列の矯正へ移る場合 | +330,000円 | |
永久歯列の矯正 | 表側矯正 | 550,000~770,000円 |
裏側矯正 | 1,100,000~1,320,000円 | |
透明のマウスピース矯正(インビザライン) | 880,000円 | |
部分矯正 | 55,000~440,000円 | |
毎月の調整料 | 5,500円 | |
※矯正治療は保険が適用されない自費診療です。
※金額は全て税込表示です。
お支払いについて
さくら歯科では、下記の方法でお支払いができます。
※具体的な治療内容によって対応している支払い方法が異なる場合があるため、詳細は医院へお問い合わせください。
●現金
●クレジットカード
基本情報
住所
〒243-0402 海老名市柏ケ谷706-3 ラ・リヴィエールかしわ台102
最寄駅
かしわ台駅より徒歩で6分
診療時間
火・木・金・土:9:00~13:00/14:00~18:00 月・水:9:30~13:00/15:00~19:30 祝:9:00~13:00/14:00~17:30 日:休診日
電話番号
046-240-9152
4. いしわた矯正歯科(海老名駅より徒歩6)

医院紹介
海老名駅より徒歩6分、矯正治療を専門におこなう「いしわた矯正歯科」。
矯正治療を専門におこなってきた豊富な実績を持つ歯科医院です。
これまでの治療経験をもとに軽度な歯並びの乱れはもちろん、複雑な症例においても対応してもらえるでしょう。
「医療の中心は常に患者さんにある」という理念のもと、矯正治療を無理にすすめる姿勢ではなく、メリット・デメリットを理解し、じっくりと考えてもらってから判断してもらうことを大切にされています。
相談に行っても無理やり治療をさせられることはなく、患者さんが納得して初めて治療を開始するため、安心して相談することができます。
設備
◆歯科用CT
◆口腔内スキャナー
特徴1 「できるだけ痛くしない」を第一に考えた矯正治療
.jpeg)
いしわた矯正歯科では、矯正治療に伴う痛みが不安な方でも安心して治療が受けられるよう、痛みを抑えるための装置や技術を用いた痛みの少ない矯正治療を重視されています。
使用する装置は、ワイヤーとの摩擦抵抗が少なく、弱い力で歯を動かせるセルフライゲーションブラケットを使用。
また、治療初期の段階では細いワイヤーを使用し、徐々にワイヤーをサイズアップしていくことで、痛みを抑えながらスムーズに歯を移動させているようです。
さらに装置に対する力のかけ方も工夫されており、これまでの豊富な治療実績をもとに、可能な限り痛みを抑えるような力のかけ方をしているとのことです。
このように痛みを抑えるための様々な取り組みをされ、可能な限り痛みの少ない矯正治療を重視されています。
矯正歯科に関わる費用
小児矯正 | |
|---|---|
初診・相談料 | 1,100円 |
検査料・診断料 | 55,000円 |
装置料金 | 330,000円 |
処置料 | 5,500円 |
経過観察中の処置料 | 3,300円 |
中高生の矯正・成人矯正 | |
|---|---|
初診・相談料 | 1,100円 |
検査料・診断料 | 55,000円 |
装置料金 | 715,000~825,000円 |
処置料 | 5,500円 |
保定期間中の処置料 | 3,000円 |
※矯正治療は保険が適用されない自費診療です。
※金額は全て税込表示です。
お支払いについて
いしわた矯正歯科では、現金・クレジットカードでお支払いが可能です。
※具体的な治療内容によって対応している支払い方法が異なる場合があるため、詳細は医院へお問い合わせください。
基本情報
住所
〒243-0432 神奈川県海老名市中央2-5-34 アクシア八芳1F
最寄駅
海老名駅より徒歩6分
診療時間
月・火・水・金:11:00~13:00/14:00~19:00 土・日:9:00~13:00/14:00~17:00 木・祝:休診日 ※月曜は第3週のみ診療 ※日曜は第1週のみ診療
電話番号
046-233-8741
矯正歯科について
矯正治療とは?
矯正治療はブラケットやワイヤーを用いた矯正装置によって歯に力を加え、時間をかけて歯を移動させることで歯を少しずつと動かし、機能的で健康的な噛み合わせを目指す治療です。
基本的な矯正治療の流れ
1.カウンセリング
2.精密検査
3.診断・治療計画の説明
4.矯正治療前の準備(虫歯や歯周病の確認・治療)
5.矯正治療開始
6.定期的な通院で調整
7.矯正装置の撤去・保定開始
8.保定の定期通院終了
※実際の治療の流れは医院や具体的な治療内容によって異なります。
治療期間や通院回数の目安
治療期間:1~3年
通院回数:24~30回
※実際の治療期間や通院回数は口内状況や具体的な治療内容など個人差があります。
想定されるリスク・副作用
・矯正装置装着後しばらくは不快感や違和感などを生じることがあります。
・矯正治療による歯の動きには個人差があり、想定より治療期間が延びることがあります。
・矯正治療で歯を動かす際に痛みをともなうことがあります。
・硬い物を食べたときの衝撃で矯正装置が外れたり壊れたりする恐れがあります。
・粘着性のある食べ物を食べた際に矯正装置が外れたりする恐れがあります。
・歯を動かすことによって歯肉退縮が起きる場合があります。
・矯正装置が原因で金属アレルギーを起こす恐れがあります。
・矯正装置を外す際、歯のエナメル質に小さな亀裂が入ったり傷がついてしまうことがあります。
・指示された通りに保定装置を装着しないと、歯並びや噛み合わせの後戻りを引き起こす可能性があります。
・若い方が治療を受ける場合、顎の成長発育によって、治療後にも噛み合わせや歯並びが変化する可能性があります。
・稀に歯と骨の癒着があると、矯正治療を行っても歯が動かないことがあります。
Medee歯科検索は、おすすめしたい歯医者を掲載しています。
駅、行政区、診療時間、歯科医院の特徴、診療科目など豊富な検索メニューで歯科医院を検索可能。
また歯科医院のWebサイトはもちろん各種予約ツールも利用することが可能で、より簡単に歯科医院を探すことができます。
新着記事

【2025年】横浜市でオールオン4におすすめしたい歯科医院5選

【2025年】心斎橋でおすすめしたい矯正歯科医院5選

【2025年】梅田駅でおすすめしたい矯正歯科医院5選

【2025年】新橋でインプラント治療におすすめしたい歯科医院5選

【2025年】岡山市で骨造成対応のインプラント治療におすすめしたい歯科医院5選
関連する記事

【2025年】心斎橋でおすすめしたい矯正歯科医院5選

【2025年】梅田駅でおすすめしたい矯正歯科医院5選

【2025年】千葉市でワイヤー矯正におすすめしたい歯科医院5選

【2025年】盛岡市でマウスピース矯正におすすめしたい矯正歯科医院5選

【2025年】茨木市でおすすめしたい矯正歯科医院5選

【2025年】豊中市でセカンドオピニオンにおすすめしたい矯正歯科医院5選

【2025年】なんば駅周辺でおすすめしたい矯正歯科医院7選

【2025年】宇都宮市で裏側矯正におすすめしたい矯正歯科医院5選

【2025年】東京都でインビザライン矯正におすすめしたい歯科医院10選

【2025年】吹田市で裏側矯正におすすめしたい歯科医院5選

【2025年】府中市でおすすめしたい矯正歯科医院7選

【2025年】宇都宮市で部分矯正におすすめしたい矯正歯科医院5選

【2025年】江戸川区で裏側矯正におすすめしたい歯科医院5選

【2025年】豊中市でマウスピース矯正におすすめしたい歯科医院5選

【2025年】横浜市でワイヤー矯正におすすめしたい歯科医院6選

【2025年】横浜市で部分矯正におすすめしたい歯科医院5選

【2025年】吹田市でマウスピース矯正におすすめしたい歯科医院6選

【2025年】尼崎市でマウスピース矯正におすすめしたい歯科医院6選

【2025年】千葉市でセカンドオピニオンにおすすめしたい矯正歯科医院5選

【2025年】千葉市で審美ブラケット対応のおすすめしたい矯正歯科7選



