【2026年】佐久市でインプラント治療におすすめしたい歯科医院3選
2026/3/25
2026/4/14
#インプラント

「インプラントに興味はあるけれど、どの歯科医院で治療を受けたら良いかわからない」といった悩みを持たれている方は少なくないでしょう。
歯科医療が進歩して治療の選択肢が広がった一方で、情報が溢れている現代では自分に最適な医院を自力で選ぶのは非常に難しくなっています。
特にインプラントは一般歯科とは異なり、高度な技術が求められる治療であるため、歯科医院選びがその後の満足度を左右します。
そこで本記事では、歯科医師の専門性や対応可能な治療法、導入設備などの要素をもとに、佐久市周辺でおすすめしたい歯科医院をご紹介しております。
参考:インプラントのおすすめ歯科医院について
佐久市で納得のいくインプラント治療を受けたい方は、ぜひ参考にしてみてください。
※2026年3月時点でのMedee編集部の調査データに基づいています。
【2026年】佐久市でインプラント治療におすすめしたい歯科医院3選
1. 佐久黒岩歯科医院(佐久市臼田)PR

インプラント治療における高い専門性と高度な設備の双方が揃った万全の診療体制
佐久平駅から車で約15分、長野県佐久市臼田に医院を構える「佐久黒岩歯科医院」。
同院の院長である黒岩司先生は、日本で権威性の高い日本口腔インプラント学会をはじめ、インプラントについて研究する様々な学会に所属し、日々研鑽を積むインプラント治療に精通したドクターです。
10年以上のインプラント治療歴を持ち、年間70本以上のインプラント手術をおこなう豊富な実績があるため、確かな専門性と豊富な症例経験に基づいた、精度の高いインプラント治療を受けることができるでしょう。
精密な処置を支えるための環境づくりにも力を入れており、院内には高度な歯科用CTやマイクロスコープといった医療機器を完備しています。
こうした高い専門性と高度な設備の双方が揃った万全の診療体制は、治療後の安心をお約束する10年保証制度という形にも直接表れています。
同院では被せ物の無償修正や再製作、インプラントの再埋入や治療費の返金まで実施する安心の10年保証を設けています。
これほどまでに手厚いアフターサポートは、万全の診療体制に基づくインプラント治療への確かな自信の表れといえるでしょう。
特徴1 歯がある状態で手術に臨み、歯がある状態で帰宅できるインプラント治療
一般的なインプラント治療では「抜歯からインプラント埋入まで数ヶ月かかる」「インプラント埋入から仮歯を取り付けるまで数週間かかる」などの懸念点がありました。
佐久黒岩歯科医院では、そうした患者さんの負担を軽減できるよう、抜歯をおこなったその日のうちにインプラントを埋め込み、仮歯の装着まで完了させるスピーディな治療法を取り入れています。
一般的な治療法では、歯を抜いてからインプラントを埋め込むまでに数ヶ月の期間を設ける必要がありましたが、同院の手法では万全な感染予防対策を施すことで、抜歯と同時に顎の骨へインプラントを埋め込むことができます。
抜歯後の長期にわたる待機期間を省くことができ、全体の治療期間を大きく縮めることが可能です。
さらに、同院では「即時荷重法」という手法を用いることで、インプラントを埋入したその日のうちに仮歯まで装着しています。
従来の治療では、インプラントを入れてから仮歯を装着するまでに数週間かかっていましたが、この手法なら条件が整えばインプラントを埋入したその日に仮歯を装着することが可能です。
手術当日から口元の見た目が元通りになるため、歯がない期間を過ごす心配がありません。
このように佐久黒岩歯科医院では、高度な技術を駆使することで「歯がある状態で手術に臨み、歯がある状態で帰宅できるインプラント治療」を可能にしています。
特徴2 足りない骨を補う骨造成で難症例のインプラント治療にも対応

佐久黒岩歯科医院では、一般的なインプラント治療だけでなく、顎の骨が少ない難症例のインプラント治療においても、骨造成手術(足りない骨を補う処置)を用いて治療を可能にしています。
インプラント治療を希望しても、「顎の骨が足りない」という理由で治療を断られて落胆される方は少なくありません。
これは、骨が不足した状態のまま無理に埋入手術をおこなうと、将来的にインプラントが抜け落ちてしまうリスクが高まるためです。
同院であれば、骨造成手術で不足している骨を補うことができるため、顎の骨が少ない方でもインプラントでの治療をおこなうことができるのです。
GBRやサイナスリフトをはじめ多数の治療法に対応しているので、患者さんの状態に合わせた適切な処置の選択がおこなえる点も強みと言えるでしょう。
的確な治療法を選定したのちのオペでは、少しでも骨が残っている部分へアプローチすることで、術後の痛みの緩和や全体の治療期間の短縮をも実現しています。
特徴3 精度の高い診断にもとづく痛みと安全に最大限配慮したインプラント手術

精確な診断に基づく緻密な治療計画の立案は、インプラント治療の成功において非常に重要な要素となります。
この点において佐久黒岩歯科医院では、歯科用CTやシミュレーションシステムなどを完備し、精確な診断に基づく緻密な治療計画の立案をおこなっています。
歯科用CTを用いて、従来の二次元レントゲン検査のみでは把握しきれなかった歯や顎の状態を立体的に可視化。
CTデータをはじめとした検査結果をもとに、コンピュータ上でミリ単位のシミュレーションをおこなうことで、予期せぬトラブルを未然に防ぎ、より安全性の高い治療へと導きます。
また、この精密な検査と緻密に立てられた治療計画のもと、同院では患者様の身体的負担を軽減する歯肉をほとんど切開しない治療を実施。
精確な診断に基づく緻密な治療計画を立てられるからこそおこなえる治療法であり、歯肉をほとんど切開することがないため、術後の腫れや痛みを軽減することができます。
このように佐久黒岩歯科医院では、精度の高い診断にもとづく痛みと安全に最大限配慮したインプラント手術をおこなっています。
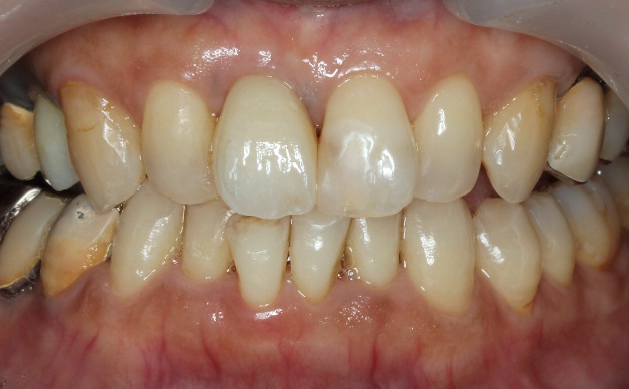
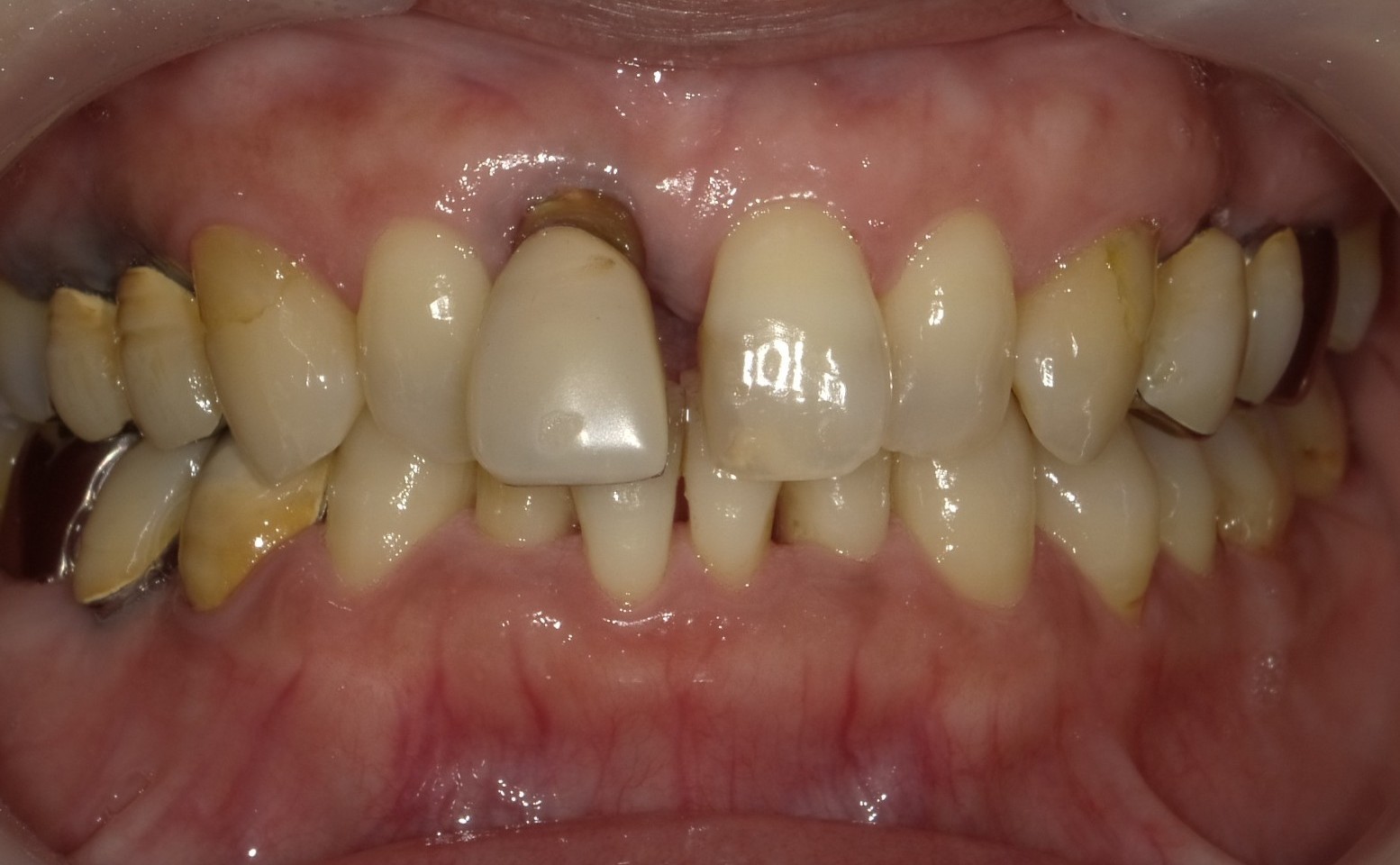
症例1
Before
After

性別/年齢 | 女性/50代 |
主訴 | 前歯の見た目が気になる |
治療内容 | 右上前歯が歯根破折。抜歯と同時にインプラントを埋入し仮歯を装着。3カ月間の安静期間後、上部構造を装着し、審美的・機能的な回復を行いました。 |
治療期間/治療回数 | 3ヵ月/6回 |
費用 | 前歯1本 約47万円 |
副作用・リスク | インプラントの結合不良、清掃不良による治癒不全 |
設備
歯科用CT

歯科用CTは、撮影データを3次元的に構築し、歯や顎の骨の状態を立体的に把握できる装置です。従来のレントゲンでは見えなかった部分まで見ることができ、多角的な視点から診断できるようになります。安全性にも配慮されており、低被ばく量を維持しながらも鮮明な画像の撮影が可能です。加えて、従来のCTよりも広範囲かつ精密な撮影がおこなえるため、患者さんの負担軽減にもつながります。
マイクロスコープ

マイクロスコープは、対象となる患部をおよそ20倍にまで拡大し、肉眼では見ることができない細かな部分まで見れるようになる機器です。
メインテナンス専用ルーム
プライバシーが守られた完全個室のメインテナンス専用ルームです。他の人の目を気にせずVIP感覚でケアを受けることができます。
カウンセリングルーム

最初から診療台に座ったままだと、必要以上に緊張して悩みを話しにくいものです。当院では、椅子に座ってリラックスした状態で相談できる専用のカウンセリングルームを設けています。完全個室のプライベートな空間ですので、周りの目を気にせず安心してお悩みをお聞かせください。
インプラントに関わる費用
診断料 | 10,000円(税込み) |
|---|---|
インプラント体 | 1本 200,000円(税込) |
骨造成 | 1本 50,000円(税込) |
即時埋入 | 1本 50,000円(税込) |
上部構造(被せ物) | 1本 170,000円(税込) |
※インプラントでの治療は保険が適用されない自費診療です。
※金額は全て税込表示です。
お支払いについて
佐久黒岩歯科医院では、以下の支払方法に対応しています。
※詳細は医院へお問い合わせください。
●現金
●クレジットカード
●デンタルローン
歯科医師紹介
黒岩 司
経歴
長野県佐久市生まれ 2005年 東京歯科大学歯学部 卒業 2009年 東京歯科大学大学院口腔顎顔面外科学講座(旧口腔外科学分野)歯学博士号取得 2012年 佐久黒岩歯科医院 勤務 2013年 医院継承
所属学会・資格・スタディーグループ
【所属学会】 日本口腔インプラント学会 ILSC即時荷重研究会 理事 ユニバーサルインプラント研究所 日本口腔外科学会 日本小児口腔発達学会 【所属勉強会】 JIADSクラブ(インプラント・歯周病・根管治療勉強会) オルソ2001(矯正勉強会) 早春塾(インプラント勉強会) ILSC即時荷重研究会(インプラント勉強会)理事 歯科医院地域一番実践塾アドバンスコース(経営勉強会)
メッセージ
基本情報
住所
〒384-0301 長野県佐久市臼田1191-5
最寄駅
「佐久平駅」から車で約15分
診療時間
月・火・木・金:8:30~12:00/14:00~18:00 水:8:30~12:00 土:8:30~12:00/13:30〜17:00 日・祝:休診日 ※水曜日の午後はインプラントオペ診療のみで通常の診療は行っておりません。
電話番号
0267-82-5055
2. しずくだ歯科クリニック(佐久市長土呂)

医院紹介
長野県佐久市長土呂に位置し、患者さん一人ひとりの気持ちに寄り添った診療を大切にされている「しずくだ歯科クリニック」。
同院が掲げるのは「自分の家族にしてあげたいと思う治療を」という温かな理念です。
歯科医院特有の「怖い」「痛い」といったマイナスのイメージを払拭するため、開放感あふれる待合室やプライバシーに配慮したカウンセリングルームを完備されています。
リラックスできる環境づくりが徹底されており、初めての方でも安心して相談に足を運べるでしょう。
治療の質はもちろん、通いやすさや心のケアまで含めたトータルな歯科医療を提供されています。
特筆すべきは、治療の開始から終了、その後のメンテナンスに至るまで、一貫して専任の歯科衛生士が担当する「担当制」を採用している点です。
インプラント治療においては、日本口腔インプラント学会に所属する院長が執刀。
「ITI公認インプラントスペシャリスト」や「再生医学学会公認インプラントスペシャリスト」にも認定されており、高度な専門知識と技術に基づいた安全性の高いオペが期待できます。
インプラントを検討中なら、まずは一度カウンセリングを受けてみてはいかがでしょうか。
設備
◆歯科用CT
◆オペ室(手術室)
◆光学印象装置
◆遠心分離機
◆サージカルガイド
◆マイクロスコープ
特徴1 CT×セレック×シミュレーションソフトを組み合わせたインプラント治療

しずくだ歯科クリニックでは、デジタル技術を駆使した精度の高いインプラント治療を提供しています。
治療の要となるのは、歯科用CT、セレック(光学スキャナー)、そしてシミュレーションソフトの3つを組み合わせた診断・設計システムです。
まずCT撮影によって、顎の骨の厚みや神経の位置を、3次元的な立体画像で詳細に解析します。
あわせてセレックを用いて口腔内をスキャンし、コンピューター上で精密な歯型のデータを取得します。
これらのデータを専用のシミュレーションソフト上で統合することにより、手術前にインプラントを埋入する位置や角度、深さをミリ単位で計画することが可能です。
事前の綿密なシミュレーションにより、手術時間の短縮や術後の腫れ・痛みの軽減が期待できるだけでなく、血管や神経の損傷リスクを抑えた安全性の高い処置につながります。
また、最終的な被せ物の形まで見据えた逆算的な計画を立てられるため、機能面はもちろんのこと、審美面においても調和のとれた仕上がりが目指せます。
デジタル技術を駆使した機能性と審美性の両立を目指す治療体制は、インプラントを検討している方にとって大きな安心材料となるでしょう。
インプラントに関わる費用
インプラント治療 | ¥440,000~495,000 |
|---|---|
骨造成・骨移植 | ¥55,000~104,500 |
上顎洞挙上術 | ¥55,000~104,500 |
フルブリッジ | ¥2,750,000~3,300,000/片顎 |
※インプラントによる治療は保険が適用されない自費診療です。
※金額は全て税込表示です。
お支払いについて
しずくだ歯科クリニックでは、以下の支払い方法に対応しています。
※詳細は医院へお問い合わせください。
●現金
●クレジットカード
●デンタルローン
●院内分割(条件あり)
基本情報
住所
〒 385-0021 長野県佐久市長土呂900-20
最寄駅
JR北陸新幹線「佐久平駅」より車で6分/中部横断自動車道「佐久北インター」近く
診療時間
月〜土:8:30〜12:30/14:00〜18:00 日・祝:休診 水・木:不定休
電話番号
0267-78-5404
3. あべ歯科医院(佐久市岩村田)

医院紹介
長野県佐久市岩村田に居を構える「あべ歯科医院」をご紹介します。
同院の前身である「阿部歯科医院」が1977年に開院して以来、およそ半世紀にわたり佐久市の地域医療を支え続けてきました。
長きにわたる歴史の中で培われた信頼感は、地元の皆様にとって大きな安心材料となっているのではないでしょうか。
「歯科治療を通じて、患者様の人生をも彩り豊かに変えたい」という温かな願いを診療の根幹に据え、一人ひとりの声に耳を傾ける姿勢を大切にされています。
単に痛みを取り除くだけでなく、その先の生活の質までを見据えた丁寧な治療方針が特徴です。
院内環境の整備にも力を入れており、プライバシーと安全性に配慮した個室の手術室を完備。
また、手術中に好きな音楽を聴ける「BOSEデジタルミュージックシステム」を導入するといった、細やかな配慮が行き届いています。
インプラント治療においても、こうした充実した設備と研鑽を積んだ技術を組み合わせ、精度の高い処置をおこなっています。
お口全体の健康をトータルで守り抜く同院なら、将来を見据えた相談ができるはずです。
設備
◆歯科用CT
◆オペ室(手術室)
◆マイクロスコープ
特徴1 日本口腔インプラント学会「専門医」による質の高い手術

あべ歯科医院の大きな強みは、日本口腔インプラント学会の「専門医」がインプラント治療を執刀している点にあります。
日本口腔インプラント学会は、日本国内でも歴史があり、規模の大きな学会の一つです。
専門医資格を取得するためには、長年にわたる研鑽に加え、学会が定める厳格な基準を満たす症例実績を積み、さらに試験に合格しなければなりません。
そのため、この資格は高度な知識と技術を客観的に証明するものといえるでしょう。
あべ歯科医院では、専門医としての豊富な臨床経験に基づき、患者さん一人ひとりの骨の状態や全身疾患の有無を的確に診断したうえで、精密なオペが実施されています。
一般的な症例はもちろんのこと、他院で治療が難しいと判断されたようなケースであっても、専門的な知見から適切なアプローチを提案してもらえる可能性が高いでしょう。
長野県内でも専門医の資格を持つ歯科医師は限られているため、より確実性を追求したインプラント治療を希望する方にとって、同院は非常に心強い選択肢となるはずです。
インプラントに関わる費用
インプラント治療費 | 埋入手術 | ¥330,000 | |
メタルセラミック歯 | (人工歯) | ¥110,000 | |
骨造成手術 | 通常インプラント用 | 無料 | |
特殊材料を使用する場合 | ¥110,000 | ||
CTスキャン診断 | 保険適用 | 保険に準ずる | |
保険適応外 | 無料 | ||
他院へのデーター持ち出し(CD-R) | ¥27,500 | ||
※インプラントによる治療は保険が適用されない自費診療です。
※金額は全て税込表示です。
お支払いについて
あべ歯科医院の支払い方法は医院へお問い合わせください。
基本情報
インプラント治療について
インプラント治療とは?
インプラント治療は、失った歯を補うための治療法です(※公的医療保険が適用されない自由診療です)。
歯を失った顎の骨にインプラント体を埋入し、そのインプラント体を土台に被せ物をすることで失った歯を補完します。
インプラントの構造やメリット・デメリットなどについてはこちら
治療の流れ
下記、一般的な治療の流れです。
※あくまでも一般的な流れであり、下記とは異なる流れで治療がおこなわれることもあります。
【二回法の場合】
1.カウンセリング
2.検査・治療計画の策定
3.骨造成や骨移植(ケースによっては不要)
4.一次手術(インプラントの埋入)
5.待機期間(人工歯根と顎骨の結合待ち)
6.二次手術(アバットメントの取付)
7.型取り
8.上部構造を装着して完了
※その後は定期的にメンテナンスを受ける必要がある
【一回法の場合】
1.カウンセリング
2.検査・治療計画の策定
3.骨造成や骨移植(ケースによっては不要)
4.インプラント埋入手術
5.待機期間(人工歯根と顎骨の結合待ち)
6.型取り
7.上部構造を装着して完了
※その後は定期的にメンテナンスを受ける必要がある
治療期間や通院回数の目安
治療期間:3ヵ月~1年程度
通院回数:8~10回程度
※具体的な治療期間や通院回数は、患者さん1人ひとりの口腔状態や要望、治療内容などによって異なります。
想定されるリスク・副作用
下記、インプラント治療で想定されるリスク・副作用です。
・神経や血管を傷つけて感覚麻痺が起きる
・患部に腫れ、痛み、違和感が生じる
・患部から出血する
・顔や首などに内出血斑が出る
・チタンアレルギーが起きる
・上顎にインプラント体を埋入する際、上顎洞を破る
・インプラント体と顎骨が上手く結合しない
・インプラント周囲炎になる
Medee歯科検索は、おすすめしたい歯医者を掲載しています。
駅、行政区、診療時間、歯科医院の特徴、診療科目など豊富な検索メニューで歯科医院を検索可能。
また歯科医院のWebサイトはもちろん各種予約ツールも利用することが可能で、より簡単に歯科医院を探すことができます。
新着記事

【2026年】渋谷区でラミネートベニア治療におすすめしたい歯科医院3選

【2026年】東久留米市でインプラント治療におすすめしたい歯科医院3選

【2026年】千葉市稲毛区でおすすめしたい矯正歯科医院3選

【2026年】宇都宮市でインビザライン矯正におすすめしたい歯科医院3選

【2026年】足立区でセカンドオピニオン対応のインプラント治療におすすめしたい歯科医院3選
関連する記事

【2026年】東久留米市でインプラント治療におすすめしたい歯科医院3選

【2026年】足立区でセカンドオピニオン対応のインプラント治療におすすめしたい歯科医院3選

【2026年】和歌山市でオールオン4におすすめしたい歯科医院3選

【2026年】港区で骨造成対応のインプラント治療におすすめしたい歯科医院3選

【2026年】愛媛県でインプラント治療におすすめしたい歯科医院3選

【2026年】伊丹市でオールオン4におすすめしたい歯科医院3選

【2026年】堺市南区でインプラント治療におすすめな歯科医院3選

【2026年】中央区でフラップレスインプラント治療におすすめしたい歯科医院3選

【2026年】福山市でインプラント治療におすすめしたい歯科医院3選

【2026年】広島県でインプラント治療におすすめしたい歯科医院3選

【2026年】多摩市周辺でインプラント治療におすすめしたい歯科医院5選

【2026年】東京都で抜歯即時インプラントにおすすめしたい歯科医院3選

【2026年】足立区でオールオン4におすすめしたい歯科医院7選

【2026年】兵庫県でインプラント治療におすすめしたい歯科医院5選

【2026年】立川市で歯周病に対応するインプラント治療におすすめしたい歯科医院5選

【2026年】江東区でオールオン4におすすめしたい歯科医院5選

【2026年】江坂でインプラント治療におすすめしたい歯科医院5選

【2026年】西船橋駅周辺でインプラント治療におすすめしたい歯科医院5選

【2026年】札幌市清田区でインプラント治療におすすめしたい歯科医院5選

【2026年】神奈川県でインプラント治療におすすめしたい歯科医院5選



