【2026年】埼玉県で入れ歯治療におすすめしたい歯科医院3選
2026/3/10
2026/3/10
#入れ歯

入れ歯はどこで作成しても同じものではなく、歯科医院によって出来上がる入れ歯の質には差があります。
そのため入れ歯治療を受ける歯科医院選びは、非常に重要なものであり、よく吟味して選ぶことを推奨します。
ただ、どのような歯科医院を選んだら良いかわからないという方は多いでしょう。
そこで本記事では、入れ歯をはじめとした補綴治療に強い歯科医師の有無や、対応している入れ歯の種類などさまざまな要素をもとに、埼玉県内でおすすめしたい歯科医院をご紹介しております。
現在使っている入れ歯でお悩みの方、これから入れ歯の作成を任せる歯科医院をお探しの方などは、ぜひ参考にしてみてください。
※2026年3月時点におけるMedee編集部の調査データとなります。
【2026年】埼玉県で入れ歯治療におすすめしたい歯科医院3選
1. 大宮いしはた歯科(埼玉県/さいたま市)PR

日本補綴歯科学会指導医による「10年先も使える精密な入れ歯治療」
大宮駅から歩いて6分、夜19時まで診療する「大宮いしはた歯科」。
同院は、入れ歯や被せ物、インプラント治療といった補綴治療に大きな強みを持つ歯科医院です。
理事長を務める石幡一樹先生は、東京医科歯科大学大学院にて補綴について専門的に研鑽を積み、歯学博士号を取得されています。
さらに、日本補綴歯科学会指導医や日本咬合学会認定医といった専門資格も保持しており、その確かな知見と技術に基づいた高度な入れ歯治療を実現しています。
こうした高い専門性を活かし、単なる修復に留まらない「10年先も使える精密な入れ歯」の提供を目指しているのが特徴です。
専門的な知見に基づけば、保険適用の入れ歯を選択した場合には、バネをかける周囲の残存歯に過度な負担がかかり、結果として貴重な天然歯を次々と失ってしまうリスクがあるとのことです。
そのため同院では、口腔内や全身の健康増進という観点から、ブリッジの適応が難しいケースにおいては、将来を見据えた自費の入れ歯やインプラント治療などを推奨しています。
ただ失った歯を補う入れ歯治療ではなく、将来の健康までを見据えた根本的な治療を希望される方にとって、大宮いしはた歯科は心強い味方となるでしょう。
※久喜市の「いしはた歯科クリニック」「久喜総合歯科」でも当院と同様の対応が可能ですので、通いやすい医院にてお気軽にご相談いただければと思います。
特徴1 「見た目が気になる」「噛むと痛い」そんな入れ歯の悩みに幅広く対応

「今の入れ歯だと見た目が気になる」「食事の際に噛むと痛い」「自然な噛み心地が欲しい」といった悩みは、入れ歯を使用する多くの方が抱える共通の課題です。
お口に合わない入れ歯を我慢して使い続けることは、日々の食事の楽しみを奪うだけでなく、残っている健康な歯に過度な負担をかける原因にもなりかねません。
こうした多岐にわたる悩みに対し、大宮いしはた歯科では一人ひとりに寄り添った精密な入れ歯治療(自費診療)の選択肢を幅広く用意しています。
例えば、金属のバネが目立つのが気になる方には、金属を一切使用せず歯ぐきの色に馴染む特殊な樹脂で固定するノンクラスプデンチャーといった見た目に配慮した入れ歯を提案。
この他にも、クッション性が高く痛みの少ないシリコン製のコンフォート義歯や、自分の歯のような自然な噛み心地を実現するコーヌス義歯などさまざまな入れ歯治療に対応しています。
このように、見た目の美しさから噛み心地の改善まで、患者様お一人おひとりの状態に合わせたオーダーメイドの入れ歯治療を提供しておりますので、現在の入れ歯に悩まれている方は、一度相談してみると良いでしょう。
特徴2 噛み合わせや顎の動きまで見極めた入れ歯治療

お口に馴染み、快適な日常を支える入れ歯を製作するためには、噛み合わせや顎の動きなどを考慮した綿密な治療計画を立てる必要があります。
特に「総入れ歯」は、支えとなる自身の歯が一本も残っていないため、部分入れ歯と比較して製作の難易度が高く、その仕上がりや使い心地は「噛み合わせのバランス」によって大きく左右されます。
このように繊細な調整が求められる入れ歯治療において、大宮いしはた歯科では、患者様一人ひとりのかみ合わせの状態や複雑な顎の動きを徹底的に見極めた治療をおこなっております。
自費入れ歯の治療にあたっては、入れ歯や被せ物などの治療を専門とする日本補綴歯科学会の指導医であり、噛み合わせに精通した日本顎咬合学会の認定医でもある院長が直接担当し、専門的な知見に基づいた丁寧な検査・診断を実施。
見た目だけでなく機能性まで徹底的に追求し、お口全体の健康状態や患者様のご要望に深く寄り添いながら、専門医としての知見を最大限に活かした入れ歯治療を提供しています。
今お使いの入れ歯に違和感がある方はもちろん、より快適で質の高い食生活を求める方は、大宮いしはた歯科にて一度相談してみると良いでしょう。
特徴3 入れ歯にもインプラントにも精通|双方の専門性を活かした納得感のある治療選択

失った歯の治療において、一般的に入れ歯を得意とする歯科医院では入れ歯を、インプラントを得意とする歯科医院ではインプラントを優先的に提案されることが少なくありません。
この点において大宮いしはた歯科は、入れ歯にもインプラントにも高い専門性を誇る歯科医院です。
理事長の石幡一樹先生は、日本補綴歯科学会の指導医であり、かつITI日本支部公認のインプラントスペシャリストという、2つの専門領域に深く精通したバックグラウンドを持っています。
両分野のスペシャリストであるからこそ、どちらか一方の治療に偏るのではなく、それぞれの特徴を把握したうえで客観的に比較・検討できる体制が整っています。
歯科医師の得意・不得意に左右されることなく、患者さん目線で最善な治療法はなにかについて考案してもらえるため、安心感を持って相談いただくことが可能です。
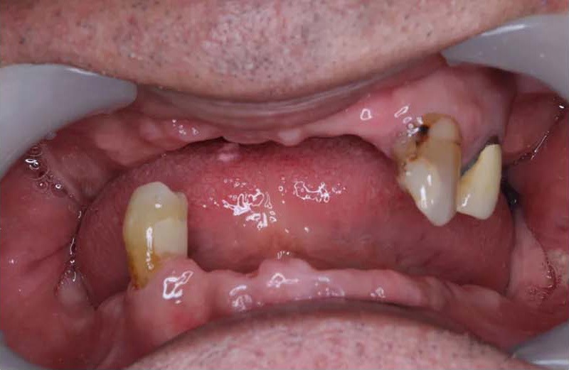
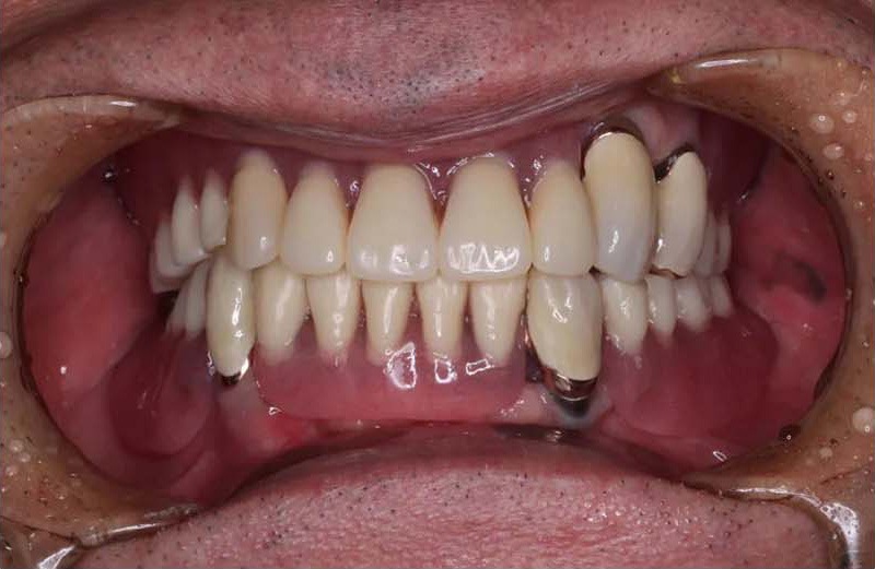
症例1
Before

After

治療内容 | 上は歯が2本、下は歯が1本しかない状態で来院。よく噛める入れ歯の製作を希望。下に支える部分を作る為にインプラントを埋入し、コーヌス義歯を製作。上は連結コーヌス義歯で対応。 |
|---|---|
治療期間 | 6ヵ月 |
費用 | 1,600,000円(税込み1,760,000円) |
リスク | 治療にあたって土台となる歯を削る必要があり、場合によっては沁みたりする可能性がある。神経のない歯には適用できないことがある。歯を削ることにより歯自体の寿命が短くなる恐れがある。 |
設備
歯科用CT

従来のレントゲン写真では捉えられなかった、あごの骨の詳しい構造や、歯と神経がどのくらい近いのかといった情報を、3Dデータとして正確に捉えることができます。
マイクロスコープ

対象を何倍にも拡大して観察できる歯科専用の顕微鏡です。肉眼では見えないお口の中の細かな部分まで観察できるようになります。
クラスB滅菌器

ヨーロッパの厳しい衛生基準を満たした滅菌器です。治療器具の表面はもちろんの、内部の複雑な形状に至るまで徹底的に滅菌処理が可能です。
オペ室

インプラントの埋入手術といった高度な外科処置に対応可能な専用オペ室です。室内は厳しい衛生基準に基づき管理され、徹底した感染対策が施されています。
入れ歯に関わる費用
コーヌス義歯 | 550,000円 |
金属床 | 総入れ歯:約440,000円 部分入れ歯:約165,000円 |
ノンクラスプデンチャー | 88,000円~165,000円 |
コンフォート義歯 | 1・2本歯が抜けている場合 |
インプラント埋入 | 220,000円~ |
補綴物セット | 220,000円~ |
インプラント仮歯 | 11,000円 |
GBR | 165,000円 |
サイナスリフト | 220,000〜330,000円 |
※これらは保険が適用されない自費診療です。
※金額は全て税込表示です。
お支払いについて
大宮いしはた歯科では、保険診療・自費診療関係なくクレジットカードでの決済が可能です。自費診療ではデンタルローンでのお支払いもできます(審査必要)。
<利用できるクレジットカードの種類>
●VISA
●Master
●JCB
●Americanexpress
●ダイナーズ
●DISCOVER
インプラントは医療費控除の対象となり、医療費控除を活用することで治療費の一部が返ってきますのでぜひ活用しましょう。
<関連記事>
【年収別】インプラントで医療費控除を使ったらいくら戻ってくる?申請方法も解説
歯科医師紹介

石幡 一樹
経歴
2006年 昭和大学歯学部 卒業 2011年~2012年 東京医科歯科大学大学院 医歯学総合研究科部分床義歯補綴学分野大学院修了 歯学博士号取得 ※ 日本補綴歯科学会にて優秀発表賞受賞 医療法人社団さくら富士会 中村歯科医院非常勤勤務 医療法人社団スマイル会 ふかさわ歯科常勤勤務 2012年4月2日 いしはた歯科クリニック 開院 2020年5月1日 医療法人社団樹伸会設立 2022年4月 久喜総合歯科 開院
所属学会・資格・スタディーグループ
日本補綴歯科学会所属 日本顎関節学会所属 日本歯周病学会所属 日本補綴歯科学会指導医 日本顎咬合学会認定医 ITI日本支部公認インプラントスペシャリスト ストローマン公認インストラクター BPSデンチャー認定医 バクテリアセラピー認定医 厚生労働省認可歯科医師卒後研修医指導医 かみ癖研究会 ITI Study Club JIADS CLUB所属 日本歯科医師会会員 久喜歯科医師会会員 久喜市立あおば保育園園医 久喜市立たんぽぽ保育園園医
メッセージ
基本情報
住所
〒330-0854 埼玉県さいたま市大宮区桜木町1丁目398−1 アドグレイス大宮 2階
最寄駅
大宮駅から徒歩で約6分
診療時間
月・水・金:10:00~13:00/14:30~19:00 火・土:10:00~13:00/14:30~17:00(最終受付) 木・日・祝:休診日
電話番号
048-658-9918
2. 氷川デンタルクリニック(埼玉県/草加市)

医院紹介
埼玉県草加市、草加駅より徒歩で8分の場所に医院を構える「氷川デンタルクリニック」。
同院の院長は日本歯科専門医機構認定の補綴歯科専門医であり、入れ歯や被せ物などの補綴治療に精通したドクターです。
補綴治療に関する専門的な知識や技術を5年以上学び、難関な試験をくぐり抜けており、確かな専門性に基づく入れ歯治療が期待できます。
実際の診療においても、患者さん一人ひとりのためのオーダーメイドな治療を大切にし、ライフスタイルに合わせた無理のない治療のゴールを一緒に考案。
このように妥協のない入れ歯治療を受けたい方にとって、氷川デンタルクリニックは心強い味方となるでしょう。
設備
◆歯科用CT
◆口腔内スキャナー
特徴1 豊富なラインナップで悩みやライフスタイルに合わせた入れ歯の提案

「今の入れ歯は見た目が気になって思い切り笑えない」「自然な噛み心地が欲しい」といったお悩みをお持ちの方は少なくありません。
入れ歯は単に欠損を補うための道具ではなく、日々の生活を支える大切な体の一部ですが、画一的な治療ではお口の状態に馴染まず、違和感や痛みを抱えたまま妥協して使い続けてしまうケースも散見されます。
氷川デンタルクリニックでは、患者様一人ひとりのライフスタイルや要望に寄り添えるよう、多彩な自費入れ歯の選択肢を用意しています。
金属のバネがなく周囲に気づかれにくいノンクラスプデンチャーをはじめ、茶筒のような構造で高い維持力を発揮し、自分の歯に近い感覚で食事を楽しめるコーヌステレスコープ義歯。
さらには磁石の力で入れ歯をしっかりと固定できるマグネットデンチャーなど、機能性と審美性を両立したラインナップが豊富です。
豊富な選択肢に基づき、ご自身の悩みに合わせた入れ歯治療が受けられるでしょう。
入れ歯に関わる費用
金属床総義歯(総入れ歯)チタン・Co-Cr | 440,000~550,000円 |
|---|---|
部分床義歯(部分入れ歯)Co-Cr | 330,000~440,000円 |
コーヌステレスコープ 内・外冠 | 1本220,000~時価+部分床義歯費用 |
ノンクラスプ義歯 | 88,000~330,000円 |
※上記は保険が適用されない自費診療です。
※金額は全て税込表示です。
お支払いについて
氷川デンタルクリニックでは、以下の支払い方法に対応しています。
※詳細は医院へお問い合わせください。
●現金
●クレジットカード
基本情報
住所
〒340-0034 埼玉県草加市氷川町917
最寄駅
草加駅より徒歩8分
診療時間
月・火・木・金:9:00~12:30/14:00~18:00 土:9:00~12:30 水・日・祝:休診日
電話番号
048-920-3456
3. 栗澤歯科医院(埼玉県/深谷市)

医院紹介
「栗澤歯科医院」は埼玉県深谷市に位置する歯科医院です。
同院では、虫歯や歯周病の治療からその後の予防処置まで包括的におこなっており、なかでも入れ歯をはじめとした補綴歯科の分野に強みを持ちます。
院長は日本補綴歯科学会指導医の資格を有しており、補綴歯科の分野において他の歯科医師を指導できるほど高度な知見や技術を持つドクターです。
補綴のスペシャリストとしてお口全体を包括的に捉え精密な診断を実施。保険診療・自費診療問わず、常にレベルの高い入れ歯治療を提供しています。
入れ歯治療をお考えの方は、高度な専門性のもと難症例にも対応できる栗澤歯科医院で一度相談してみてはいかがでしょう。
設備
◆歯科用CT
◆院内技工所
特徴1 入れ歯の微妙な色味や噛み合わせまで反映できる院内技工体制

入れ歯治療においては、歯科医師による診断だけでなく、実際に装置を作る歯科技工士の技術がその品質を大きく左右します。
しかし、一般的には入れ歯の作成を外部の専門業者へ発注するため、細かなニュアンスが伝わりにくい、あるいは完成までに日数を要するといった課題が生じがちでした。
栗澤歯科医院では、院内に専用の技工所を併設しており、こうした患者さまの負担を軽減できる体制を整えています。
この院内技工所がある最大の利点は、歯科医師と歯科技工士が診療室で常に密な連携を図れる点にあります。
お口の状態や微妙な歯の色味、噛み合わせの癖をその場で共有できるため、適合精度の高い入れ歯の提供が可能となります。
また、外部へ依頼する必要がないため、急な修理や調整が必要になった際もスピーディーな対応が期待できます。
入れ歯に関わる費用
金属床義歯 | ¥385,000 |
|---|---|
ノンクラスプ・デンチャー | ¥198,000 |
アタッチメント | ¥49,500~¥107,800 |
※上記は保険が適用されない自費診療です。
※金額は全て税込表示です。
お支払いについて
栗澤歯科医院では、以下の支払い方法に対応しています。
※詳細は医院へお問い合わせください。
●現金
●クレジットカード
●デンタルローン
基本情報
住所
〒369-0201 埼玉県深谷市岡 1-35-7
最寄駅
JR岡部駅より徒歩7分
診療時間
月・火・水・木・金・土:9:00~13:00/15:00~19:00 日・祝:休診日 ※木曜は不定休
電話番号
048-585-2853
入れ歯治療について
入れ歯治療とは?
入れ歯治療は、虫歯や歯周病、事故などで失った歯を補うための治療法です。お口の状態に合わせて、数本の歯を補う「部分入れ歯」と、すべての歯を補う「総入れ歯」があります。また、健康保険が適用される「保険診療」と、素材や機能性にこだわった「自由診療(自費診療)」のどちらかを選択できるのが特徴です。
治療の流れ
下記は、一般的な入れ歯作製の流れです。
※お口の状態や歯科医院によって具体的な治療の流れは異なります。
1.カウンセリング
2.精密検査
3.型取り・噛み合わせの記録
4.仮の入れ歯で見た目や噛み合わせの確認
5.入れ歯の完成・調整
6.定期メインテナンス
治療期間や通院回数の目安
治療期間:2週間〜1か月程度
通院回数: 4~6回程度
※お口の状態や、入れ歯の種類(総入れ歯か部分入れ歯かなど)によって異なります。
想定されるリスク・副作用
下記、入れ歯治療で想定されるリスク・副作用です。
・入れ歯を固定するための土台となる天然歯には、少なからず負担がかかります。
・お口の状態や日々の使用状況により、稀に破損や亀裂が生じる場合があります。
・入れ歯の安定性を高めるため、事前に残っている歯を削る、あるいは抜歯するなどの処置が必要になることがあります。
・金属を用いた入れ歯の場合、体質によっては金属アレルギーを引き起こす恐れがあります。
・長期間装着しないで放置すると、残存歯の移動や、土台となる歯ぐきの骨が痩せてしまう原因となります。
・装着し始めてすぐは違和感を覚えることがあります(お口の中に馴染むまでには一定の期間を要します)。
・お口の中の状態は加齢とともに変化するため、快適な状態を維持するには定期的な適合調整が不可欠です。
Medee歯科検索は、おすすめしたい歯医者を掲載しています。
駅、行政区、診療時間、歯科医院の特徴、診療科目など豊富な検索メニューで歯科医院を検索可能。
また歯科医院のWebサイトはもちろん各種予約ツールも利用することが可能で、より簡単に歯科医院を探すことができます。








