【2026年】武蔵浦和駅周辺でおすすめしたい矯正歯科医院6選
2026/1/23
2026/4/6
#矯正歯科

矯正治療は高額な費用がかかり、数年にわたる通院が必要だからこそ信頼できる歯科医院選びが欠かせません。
ただ、武蔵浦和周辺で矯正治療をおこなっている歯科医院はいくつもあり、どこに相談すべきか迷ってしまうことでしょう。
本記事では、歯科医師の治療実績や対応可能な矯正法など、いくつもの要素をもとにおすすめしたい矯正歯科をご紹介しております。
参考:おすすめしたい矯正歯科医院について
武蔵浦和周辺で矯正歯科をお探しの方はぜひ参考にしてみてください。
※2026年1月時点でのMedee編集部の調査のデータとなります。
- 1.1武蔵浦和歯科・矯正歯科
- 1.3くろき矯正歯科
- 1.4ラムザ歯科クリニック
- 1.5いちかわ歯科
- 1.6武蔵浦和歯科医院
【2026年】武蔵浦和駅周辺でおすすめしたい矯正歯科医院6選
1. 武蔵浦和歯科・矯正歯科PR

ワイヤー矯正とマウスピース矯正の両方に対応|患者さん一人ひとりに合わせた治療
JR武蔵浦和駅から徒歩で約1分とアクセスの良い場所に位置し、土日や祝日も診療する「武蔵浦和歯科・矯正歯科」。
矯正治療に精通した篠原先生・大木先生の2人を主軸とし、小児矯正から成人矯正、ワイヤー矯正からマウスピース矯正まで幅広い矯正治療を提供。
ワイヤー矯正とマウスピース矯正の両方に精通している強みを活かし、患者さんのお口の状態やニーズ、ライフスタイルなどを考慮したうえで、一人ひとりに合わせた治療計画を考案されています。
グループ全体で年間1,600症例以上の実績を誇り、豊富な実績に基づく治療が受けられるでしょう。
確かな技術を持つドクターのもと、豊富な選択肢のなかから自分に合った矯正治療を受けたい方は、武蔵浦和歯科・矯正歯科にて相談してみてはいかがでしょうか。
特徴1 「目立たずに治療したい」を叶えるための豊富な目立ちにくい矯正の選択肢

矯正治療を考えるうえで「できるだけ目立たずに治療したい」と考える方は多いでしょう。
武蔵浦和歯科・矯正歯科では、患者さんのこうしたニーズに応えるため、目立ちにくい矯正治療を幅広く展開しています。
ワイヤー矯正では、従来の金属製の装置ではなく歯の色に近い白い装置の活用や、歯の裏側に装置を取り付ける裏側矯正などで目立ちにくい矯正を提供。
ワイヤー矯正だけでなく、透明なマウスピース型の装置を使ったマウスピース矯正にも対応しています。
また、マウスピース矯正だけでは対応することができない症例においても、ワイヤー矯正とマウスピース矯正を組み合わせた治療法で、できる限り目立ちにくい矯正を実現。
このように武蔵浦和歯科・矯正歯科では、患者さんの「できるだけ目立たずに治療したい」というニーズに対して、幅広い選択肢で応えられる体制を整えています。
「自分は目立たない治療ができるのか」「自分に合った治療法はどれか」など悩まれている方は、一度同院にて相談してみてはいかがでしょう。
特徴2 【年間401症例以上】インビザライン社公認「ブラックダイヤモンドプロバイダー」認定医院

近年、透明なマウスピース型装置を用いたマウスピース矯正を希望される方が増えていますが、「本当に計画通りに歯並びが整うか」と不安に感じる方も少なくありません。
納得のいく治療を受けるためには、ただ単にマウスピース矯正に対応しているだけでなく、しっかりと実績のある歯科医院を選ぶことが重要です。
武蔵浦和歯科・矯正歯科は、インビザライン矯正(マウスピース矯正)において豊富な実績を持ち、インビザライン社から「ブラックダイヤモンドプロバイダー」の認定を受けている歯科医院です。
ブラックダイヤモンドプロバイダーは、インビザライン矯正において年間401件以上の症例を持つ歯科医院に与えられるステータスであり、豊富な実績に裏付けられた治療を提供しています。
インビザラインを用いた矯正でも、歯並び全体を整える矯正から気になる前歯のみを矯正する部分矯正まで幅広く対応しており、部分矯正においては認定医(invisalighn GO認定医)が在籍しているので、確かな知見・スキルに基づく治療が受けられます。
特徴3 矯正中の虫歯や歯周病などもワンストップで対応

矯正治療中は装置が常にお口の中にあることから、通常より虫歯や歯周病といった口内トラブルが起きやすいです。
そのため矯正中に虫歯や歯周病になってしまうケースは多く、虫歯や歯周病治療を受けるために新たな歯科医院を探す方もいます。
「武蔵浦和歯科・矯正歯科」は高度な矯正治療だけでなく、虫歯や歯周病の治療などの一般歯科もおこなっており、矯正中や矯正前の虫歯・歯周病治療も一貫して対応することができる歯科医院です。
一般歯科・矯正治療ともに毎日診療しているため、「虫歯ができた」「矯正装置が外れた・壊れた」などのトラブルが起きた場合でも、すぐに相談できる体制が整えられています。
このように矯正前や矯正中も、包括的な診療のもとしっかりとサポートしてもらえるので安心して治療が受けられるでしょう。
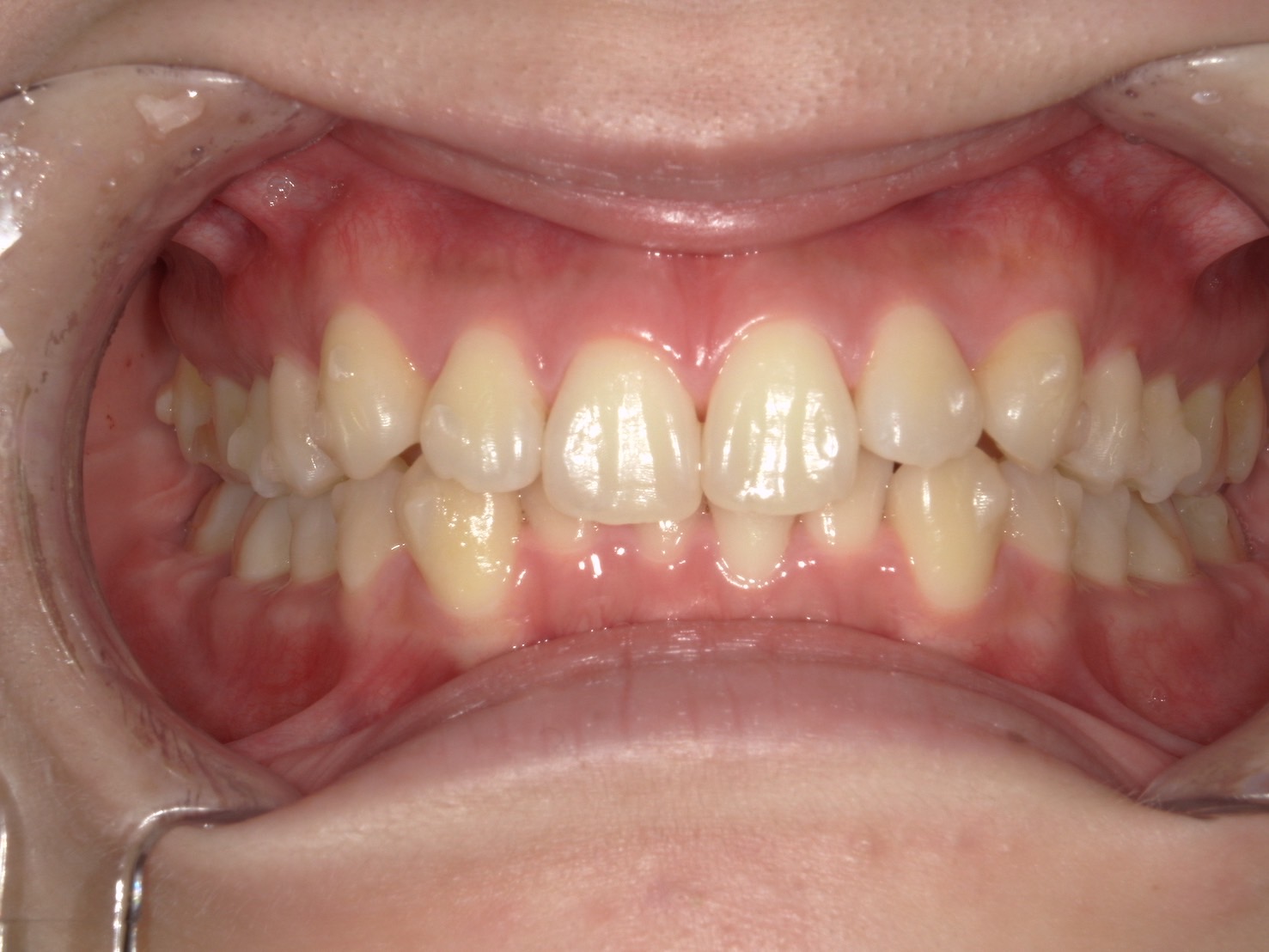
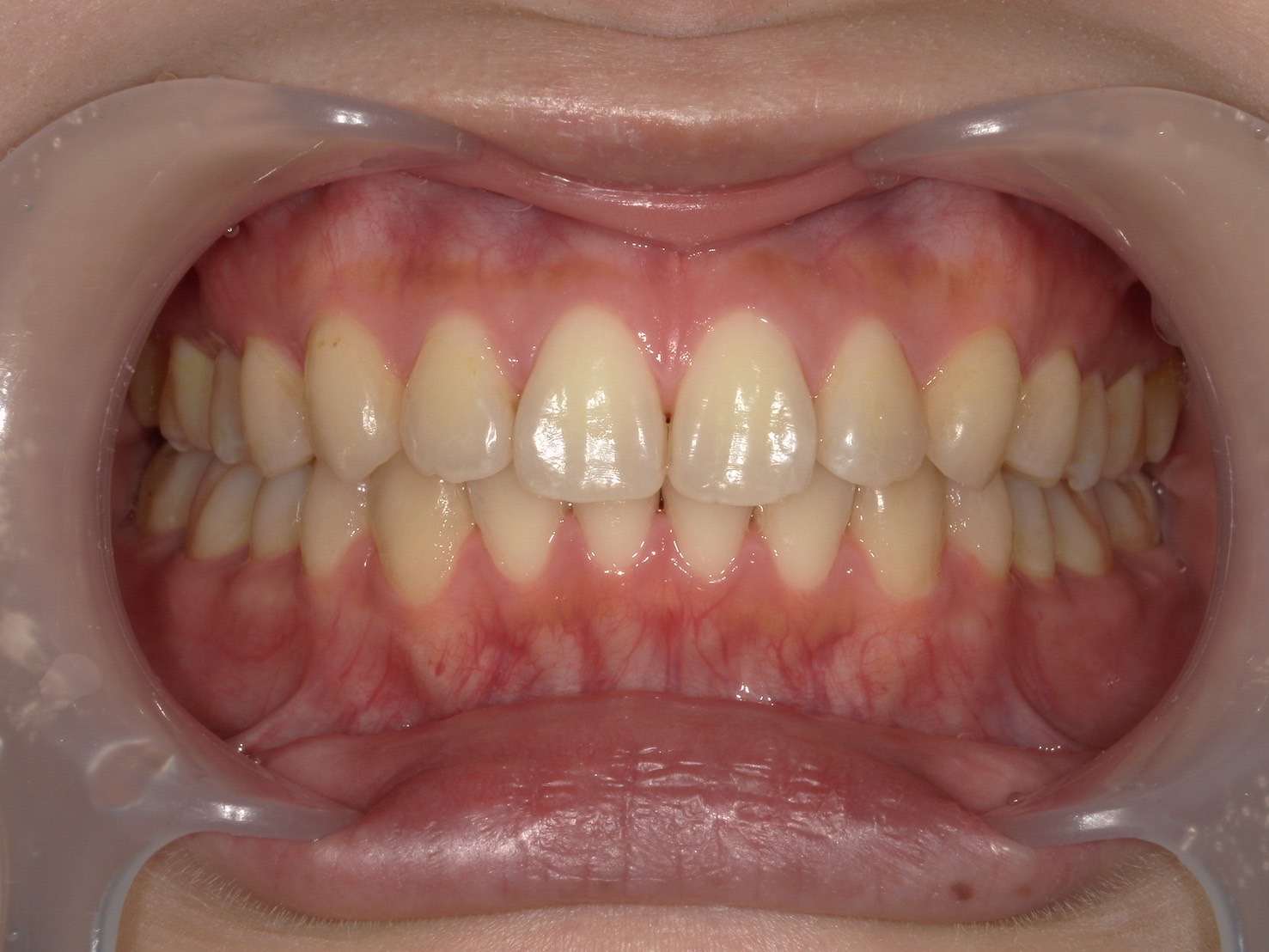
症例1
Before

After

年齢/性別 | 20代/女性 |
|---|---|
主訴 | 前歯の凸凹 |
治療内容 | マウスピースによる全体矯正 |
治療期間/治療回数 | 2年/10回 |
費用 | 858,000円(税込) |
リスク・副作用 | 虫歯、歯肉炎、歯肉退縮、動揺、歯根吸収、知覚過敏、歯の変色 |
設備
歯科用CT

歯科用CTは患者さんの口腔状態(歯や顎の骨など)を立体的に映し出すことができます。精密な計画の立案が求められる治療において必須の機器です。
口腔内スキャナー

専用のスキャナーを用いてお口の中をスキャンすることで歯型を採取することができる機器です。従来使われていた粘土状の素材を使わずに歯型を採取することができます。
オートクレーブ

高圧蒸気を用いて歯科器具を徹底的に滅菌する機器です。患者さんの安全を考え高性能な滅菌器を導入しています。
口腔外バキューム

治療時に生じる水・唾液・金属片などを吸引するための装置です。口腔外バキュームを用いることで診療室を清潔な状態に維持することができます。
柔らかいチェア

患者さんが快適な状態で治療が受けられるよう柔らかいチェアを導入しています。
ユニットごとの大型モニター

CT画像や口腔内カメラで撮影した画像を表示して、治療内容をわかりやすく説明するため各ユニットごとに設置されているモニターです。
矯正歯科に関わる費用
成人ワイヤー矯正 | |
|---|---|
初診相談 | 0円 |
検査・診断料 | 33,000円 |
全顎矯正 メタルブラケット | 550,000円 |
全顎矯正 クリアブラケット | 660,000円 |
全顎矯正 プレミアムブラケット | 770,000円 |
部分矯正 | 220,000円~ |
調整料 | 5,500円/月 |
全顎矯正リテーナー | 55,000円 |
部分矯正リテーナー | 27,500円〜 |
※別途、調整料や補助装置代がかかります。
マウスピース矯正 | |
|---|---|
初診相談 | 0円 |
検査・診断料 | 55,000円 |
ハーフ(上下どちらかのみの部分矯正) | 440,000円 |
ライト(軽度なデコボコな歯の矯正治療) | 550,000円 |
スタンダード(全体的な歯並びを改善) | 770,000円 |
アドバンス(マウスピース矯正とワイヤー矯正の併用) | 990,000円 |
リテーナー | 55,000円 |
調整料 | 5,500円 |
小児矯正 | |
|---|---|
初診相談 | 0円 |
検査・診断料 | 33,000円 |
装置台 | ・トライアル 55,000円 |
調整料 | 5,500円/月 |
リテーナー | 33,000円 |
その他費用 | |
|---|---|
抜歯 | 5,500円/本 |
補助装置 | 22,000円/個 |
ホワイトワイヤー | 110,000円 |
追加アライナー | 22,000円/回 |
クリーニング | 5,500円/30分 |
プロフェッショナル矯正 | |
|---|---|
全顎矯正 | 880,000円〜 |
裏側矯正 | 1,320,000円〜 |
小児矯正 | 330,000円〜 |
※裏側ワイヤー矯正を希望される場合や難症例の場合には、提携している矯正専門医院の大宮こかい矯正歯科へご紹介する場合がございます。
※矯正治療は保険が適用されない自費診療です。
【入手経路等の明示】
当院のマウスピース型矯正歯科装置「インビザライン」は、米国のアライン・テクノロジー社で製造されたものを輸入し導入しています。なお、装置に使用される材料自体は、日本の「医薬品医療機器等法(薬機法)」の基準をクリアし、認証を受けたものが使用されています。
インビザラインなどのマウスピース型装置は、国内外を問わず、患者様一人ひとりの歯並びに合わせて設計される完全オーダーメイドの治療器具です。
このような個別製作の装置は、一般的な既製品のように市場に流通する性質を持たない(市場流通性がない)ため、厚生労働省の通知(平成26年6月4日付事務連絡)において「薬機法が定める医療機器には該当しない」との見解が示されています。
この公的な見解に基づき、インビザラインは日本の薬機法における承認を得ておらず、歯科技工士法上の矯正装置にも分類されません。そのため、万が一健康被害が生じた際、公的な救済制度(医薬品副作用被害救済制度)の対象外となる可能性がある点をご承知おきください。
【国内の承認医薬品等の有無の明示】
日本国内でも、薬機法に基づく承認を受けたマウスピース型矯正装置は流通しています。一方、当院が使用する「インビザライン」は、現時点では日本国内の薬事承認を完了していない「未承認医療機器」という位置づけになります。
【諸外国における安全性等に係る情報の明示】
インビザラインは、1998年に米国のFDA(食品医薬品局)より医療機器としての認証を受けており、世界的に信頼されている治療システムです。2023年3月までの統計によると、全世界で1,500万人を超える非常に豊富な治療実績があります。
安全性については、材料に対するアレルギー反応がごく稀に報告されていますが、現在までに健康に重大な影響を及ぼすような副作用の事例は確認されておりません。
※金額は全て税込表示です。
お支払いについて
武蔵浦和歯科・矯正歯科では、以下の支払い方法に対応しています。
※詳細は医院へお問い合わせください。
●現金
●クレジットカード
●デンタルローン
歯科医師紹介

篠原 壮
経歴
北海道大学 北海道大学歯学部第2補綴学教室 勤務 医療法人社団秦晴会 勤務 医療法人社団大志 みずほ台駅ナカ歯科・矯正歯科 副院長
所属学会・資格・スタディーグループ
日本顕微鏡歯科学会 認定医 Straumann インプラント Basic Seminar Straumann インプラント Advanced Seminar invisalighnGO 認定医 G.F.O矯正セミナー 日本デジタル矯正歯科学会会員
メッセージ
基本情報
住所
〒336-0027 埼玉県さいたま市南区沼影1丁目8-18 ザ・マーケットプレイス武蔵浦和4F
最寄駅
JR武蔵浦和駅から徒歩1分
診療時間
月~金:10:00~14:00/15:30~20:00 土・日・祝:10:00~14:00/15:00〜18:00 休診日: 12月29日〜1月3日
電話番号
048-753-9800
2. スカイ&ガーデンデンタルオフィス

医院紹介
スカイ&ガーデンデンタルオフィスは武蔵浦和駅のすぐそばにある歯科医院です。
虫歯や歯周病治療をおこなう一般歯科や予防処置、より専門的なスキルが必要な矯正治療など幅広く診療されています。
院長は矯正歯科分野における専門的な知識と技術を持ち「日本矯正歯科学会認定医」の資格を保持するドクターです。
出っ歯や受け口といった様々な症例に対応してきた豊富な経験に基づき、患者さんお一人おひとりの状況を的確に診断し、状況や要望に合わせた治療プランを提案されています。
単に歯をきれいに並べるだけでなく、なぜその歯並びになったのかという根本を把握し、その要素を考慮したプランの提案が受けられるので、治療後の後戻りのリスク軽減が期待できるでしょう。
設備
◆歯科用CT
◆口腔内スキャナー
◆セファロレントゲン
◆口腔外バキューム
◆カウンセリングルーム
特徴1 矯正後のイメージが見えるから納得して始められる

矯正治療を受けるにあたって「治療後にどのような歯並びとなるのか」は当然気になる点でしょう。
治療後にどう変化があるのかのイメージが付かず、なかなか治療に踏み出せない方は少なくありません。
こうした方のためスカイ&ガーデンデンタルオフィスでは、デジタル技術を活用したシミュレーションで、治療の過程や治療後の歯並びを視覚的に把握できる体制を整えています。
どのような歯並びになるのかを目で見て確認できるため、納得・安心して治療に臨むことができるでしょう。
矯正歯科に関わる費用
カウンセリング相談 | 無料 | |
|---|---|---|
精密検査と診断の費用 | ¥55,000 | |
インビザライン | ||
|---|---|---|
成人矯正 | 前歯のみのインビザライン | ¥330,000 |
軽度のインビザライン | ¥550,000 | |
中等度のインビザライン | ¥660,000 | |
重度のインビザライン | ¥880,000 | |
小児矯正 | プレオルソ | ¥88,000 |
インビザラインファースト | ¥495,000 | |
通院時の調整料 | 無料 !! | |
保定装置(各種用意) | 片顎 ¥11,000〜55,000 | |
※矯正治療は保険が適用されない自費診療です。
未承認医薬品等であることの明示
マウスピース型カスタムメイド矯正装置(インビザライン)は、日本の薬機法に基づく承認を得ていない未承認の医療機器です。そのため、医薬品副作用被害救済制度が適用されない場合があり、この点をご理解いただいたうえでご使用いただくことが必要です。
入手経路の明示
マウスピース型カスタムメイド矯正装置「インビザライン」は、「アライン・テクノロジー社」で製造されたものを輸入して使用しています。
国内の承認医薬品等の有無の明示
日本国内においても、薬機法による承認を受けたマウスピース型カスタムメイド矯正装置は存在します。インビザラインそのものは、現時点では日本の薬事承認を受けていない未承認医療機器に該当します。
諸外国における安全性等に係る情報の明示
クリアコレクトも2009年に米国食品医薬品局により医療機器として認証を受けており、これまでに重大な副作用の報告はなされていません。
※金額は全て税込表示です。
お支払いについて
スカイ&ガーデンデンタルオフィスでは、以下の方法でお支払いが可能です。
※詳細は医院へお問い合わせください。
●現金
●クレジットカード
●デンタルローン
基本情報
住所
〒336-0027 埼玉県さいたま市南区沼影1-11-2 武蔵浦和 SKY&GARDEN 東棟2階
最寄駅
埼京線「武蔵浦和駅」 から徒歩で約3分
診療時間
月~金:9:30~18:30 土・第1・3・4日曜:9:00~17:30 祝・第2・5日曜:休診日
電話番号
048-711-1900
3. くろき矯正歯科

医院紹介
くろき矯正歯科は、JR武蔵野線「武蔵浦和駅」から徒歩で約7分の場所に医院を構えている歯医者です。
矯正歯科専門の歯医者として、見た目の美しさはもちろん、歯の機能性も追求した治療を心がけているようです。
プライバシーに配慮されたカウンセリングルームが用意され、周囲を気にせず歯並びに関するお悩みや治療への不安、理想のイメージなどをじっくりと相談できます。
矯正治療において、矯正中の見た目が気になる方には透明で目立ちにくいマウスピース型矯正を提案されているようです。
医院では、遠隔診療ツール「デンタルモニタリング」をしており、ご自宅にいながらスマートフォンで治療の進捗状況を歯科医師が確認できるため、通院回数の調整も可能になり、お忙しい方や治療中の経過を細かく把握したい方にも安心です。
設備
◆歯科用CT
◆口腔内スキャナー
◆クラスB滅菌器
◆口腔外バキューム
◆カウンセリングルーム
特徴1 顎変形症の外科矯正も保険で治療が可能

歯並びや噛み合わせ異常の原因は様々ありますが、顎の骨の形状や位置が原因の場合(顎変形症)は通常の矯正治療だけでは改善しきることが困難です。
一般的に外科手術をともなう外科矯正が必要となるでしょう。
「くろき矯正歯科」では一般的な矯正治療に加え、外科矯正にも対応しているため、顎の骨の形状や位置が原因で歯並びや噛み合わせに異常をきたしているケースも治療することができます。
また同院が「顎口腔機能診断施設」および「自立支援医療機関」であることから、顎変形症の手術前後にともなう矯正において保険で治療してもらうことが可能です。
矯正歯科に関わる費用
| マルチブラケット | リンガルブラケット | |
|---|---|---|---|
相談 | 無料 | 無料 | 無料 |
検査・診断料金 | ¥55,000 | ¥55,000 | ¥55,000 |
治療基本料金 | ¥990,000 | ¥880,000 | ¥1,210,000 |
調整料金 | ¥5,500 | ¥5,500 | ¥7,700 |
保定装置料金 | ¥35,200 | ¥35,200 | ¥35,200 |
観察料金 | ¥3,300 | ¥3,300 | ¥3,300 |
※矯正治療は保険が適用されない自費診療です。
【入手経路等の明示】
当院のマウスピース型矯正歯科装置「インビザライン」は、米国のアライン・テクノロジー社で製造されたものを輸入し導入しています。なお、装置に使用される材料自体は、日本の「医薬品医療機器等法(薬機法)」の基準をクリアし、認証を受けたものが使用されています。
インビザラインなどのマウスピース型装置は、国内外を問わず、患者様一人ひとりの歯並びに合わせて設計される完全オーダーメイドの治療器具です。
このような個別製作の装置は、一般的な既製品のように市場に流通する性質を持たない(市場流通性がない)ため、厚生労働省の通知(平成26年6月4日付事務連絡)において「薬機法が定める医療機器には該当しない」との見解が示されています。
この公的な見解に基づき、インビザラインは日本の薬機法における承認を得ておらず、歯科技工士法上の矯正装置にも分類されません。そのため、万が一健康被害が生じた際、公的な救済制度(医薬品副作用被害救済制度)の対象外となる可能性がある点をご承知おきください。
【国内の承認医薬品等の有無の明示】
日本国内でも、薬機法に基づく承認を受けたマウスピース型矯正装置は流通しています。一方、当院が使用する「インビザライン」は、現時点では日本国内の薬事承認を完了していない「未承認医療機器」という位置づけになります。
【諸外国における安全性等に係る情報の明示】
インビザラインは、1998年に米国のFDA(食品医薬品局)より医療機器としての認証を受けており、世界的に信頼されている治療システムです。2023年3月までの統計によると、全世界で1,500万人を超える非常に豊富な治療実績があります。
安全性については、材料に対するアレルギー反応がごく稀に報告されていますが、現在までに健康に重大な影響を及ぼすような副作用の事例は確認されておりません。
※金額は全て税込表示です。
お支払いについて
くろき矯正歯科は、現金のほか以下の方法でお支払いができます。
※詳細は医院へお問い合わせください。
●クレジットカード
●デンタルローン
基本情報
住所
〒336-0021 埼玉県さいたま市南区別所2丁目6-11-2
最寄駅
JR武蔵野線「武蔵浦和駅」から徒歩で約7分
診療時間
月・火・水・金:10:30~13:00/15:30~19:30 土・日:9:00~13:00/14:00~17:00 木・日:休診日
電話番号
048-767-8087
4. ラムザ歯科クリニック

医院紹介
武蔵浦和駅から徒歩1分の場所に位置する「ラムザ歯科クリニック」。
駅からアクセスしやすいため、定期的な検診が必要な矯正治療においても、継続して通いやすい歯科医院です。
時間も費用もかかり不安の大きい矯正治療について、安心して相談できるよう担当の女性歯科医師がきめ細やかな対応を実施。
小児矯正から成人矯正まで幅広い年代の矯正に対応しており、審美ブラケットや裏側矯正など目立ちにくい矯正治療の選択肢も用意されています。
また、同院では虫歯や歯周病の予防に重点を置いたスウェーデン式の予防・治療に力を入れているため、矯正後の予防に関しても高水準かつ丁寧なサポートが受けられるでしょう。
設備
◆歯科用CT
◆口腔内スキャナー
特徴1 日本矯正歯科学会認定医が治療を担当|無料カウンセリングも実施

矯正治療は専門性が高い診療分野のため、どの歯科医師から治療を受けても結果が同じになるわけではありません。
「ラムザ歯科クリニック」では、確かな知識・技術に基づく矯正治療が提供できるよう、臨床経験をしっかりと積んだ日本矯正歯科学会認定医が治療を担当。
学会が認める医療機関での長期的な研修を経て、厳しい審査をクリアした歯科医師が治療を担うため安心して任せられるでしょう。
同院では矯正治療の無料カウンセリングを受け付けているため、「矯正治療を考えているけどなかなか踏み出せない」という方は利用してみてはいかがでしょうか。
矯正歯科に関わる費用
ワイヤー矯正(表側:セラミック) | 770,000円 |
裏側(リンガル)矯正 | 1,210,000円 |
ハーフリンガル矯正 | 990,000円 |
小児矯正Ⅰ期 | 330,000円 |
小児矯正Ⅱ期 | 440,000円 |
※矯正治療は保険が適用されない自費診療です。
※金額は全て税込表示です。
お支払いについて
ラムザ歯科クリニックでの支払方法は医院へお問い合わせください。
基本情報
住所
〒336-0027 埼玉県さいたま市南区沼影1-10-1 武蔵浦和駅前ラムザタワー2F
最寄駅
武蔵浦和駅から徒歩1分
診療時間
月・火・木・金:9:00~13:00/14:30~20:00 土:9:00~13:00/14:30~18:00 木・日・祝:休診日
電話番号
048-845-1182
5. いちかわ歯科

医院紹介
武蔵浦和駅から徒歩圏内に位置する「いちかわ歯科」。
同院では様々な矯正治療に対応していますが、なかでもマウスピース矯正(インビザライン)に特に注力されています。
インビザライン矯正を担当する歯科医師は、特別な講習を受けた院長が担当。
これまで研鑽を続け培ってきた知識やスキルを活かし、安全性・安定性の高い矯正治療の提供を目指されています。
また、矯正中の安全性・安定性も維持できるよう、担当の歯科衛生士による個別のケアを実施。
矯正中は通常時よりも虫歯や歯周病になるリスクが高まることから、患者さん毎に付いた専任の歯科衛生士が治療をサポートしています。
専門的な知見を持つ院長と専任の衛生士による盤石な体制のもと治療が受けられるでしょう。
設備
◆歯科用CT
◆セファロレントゲン
◆口腔内スキャナー
特徴1 「歯を抜きたくない」に応える非抜歯矯正

「歯並びを整えたいが、そのために健康な歯を抜くことには抵抗がある」と悩まれている方は少なくありません。
こうした患者さんの「歯を抜きたくない」に応えるため、いちかわ歯科ではできるだけ歯を残して治療する「非抜歯矯正」を実践しています。
歯を後ろへ動かすのが得意なマウスピース矯正を採用したり、問題にならない程度で歯を削るなどして、歯を並べるための十分なスペースを確保し、できる限り抜かない治療を心がけているとのことです。
できるだけ歯を抜かずに歯並びを整えることを重視する方は、いちかわ歯科にて相談してみてはいかがでしょう。
矯正歯科に関わる費用
矯正調整料 | ¥1,100~5,500 |
|---|---|
矯正検査料 | ¥22,000 |
基本施術料(一括) | ¥660,000 |
基本施術料(2分割) | ¥330,000 |
矯正挺出装置 | ¥33,000 |
リテーナー | ¥11,000 |
リテーナー(0.5㎜プレート) | ¥5,500 |
床矯正装置 | ¥66,000 |
便宜抜歯 | ¥5,500 |
便宜抜歯(他院で矯正) | ¥11,000 |
パノラマ撮影(保険算定できない場合) | ¥4,400 |
CT撮影(保険算定できない場合) | ¥11,000 |
セファロ撮影(1ショット) | ¥5,500 |
セファロ撮影(2ショット) | ¥8,800 |
※矯正治療は保険が適用されない自費診療です。
※金額は全て税込表示です。
お支払いについて
いちかわ歯科では、現金・クレジットカード・デンタルローンに対応しています。
※詳細は医院へお問い合わせください。
基本情報
住所
〒336-0031 埼玉県さいたま市南区鹿手袋3‐24‐12 メゾン癸生川1階
最寄駅
武蔵浦和駅から徒歩14分
診療時間
月・火・水・金:9:30~13:00/14:00~18:00 土:9:30~13:00/14:00~17:30 木・日・祝:休診日
電話番号
048-844-1846
6. 武蔵浦和歯科医院

医院紹介
武蔵浦和駅から徒歩2分の場所に位置する「武蔵浦和歯科医院」。
同院では「一人一人の口腔内環境に合わせたオーダーメイドの治療」を医療方針とし、十分なヒアリング・検査のもと、患者さんそれぞれに合わせた治療計画を考案されています。
治療内容の説明では、気になる「治療期間」「治療費」などをわかりやすく納得できる形で説明。
保険が適用されず長期的な治療が必要なことから不安が残りやすい矯正においても、納得のいくまで相談に乗ってもらうことができます。
ワイヤーを使った矯正やマウスピース矯正に対応しており、患者さんのニーズに合わせた治療を提供。
見た目だけでなく噛み合わせなどの機能性についてもしっかりと考慮した矯正で、しっかり噛める口内環境を目指すことができます。
お支払いについて
武蔵浦和歯科医院での支払方法は医院へお問い合わせください。
基本情報
住所
〒336-0021 さいたま市南区別所7-10-22 ニューシティハイム102
最寄駅
武蔵浦和駅から徒歩2分
診療時間
月・火・水・金・土:9:30~13:00/14:00~18:00 木・日・祝:休診日
電話番号
048-864-0858
矯正歯科について
矯正治療とは?
矯正治療はブラケットやワイヤーを用いた矯正装置によって歯に力を加え、時間をかけて歯を移動させることで歯を少しずつと動かし、機能的で健康的な噛み合わせを目指す治療です。
基本的な矯正治療の流れ
1.カウンセリング
2.精密検査
3.診断・治療計画の説明
4.矯正治療前の準備(虫歯や歯周病の確認・治療)
5.矯正治療開始
6.定期的な通院で調整
7.矯正装置の撤去・保定開始
8.保定の定期通院終了
※実際の治療の流れは医院や具体的な治療内容によって異なります。
治療期間や通院回数の目安
治療期間:半年~3年
通院回数:7~30回
※実際の治療期間や通院回数は口内状況や具体的な治療内容など個人差があります。
想定されるリスク・副作用
・矯正装置装着後しばらくは不快感や違和感などを生じることがあります。
・矯正治療による歯の動きには個人差があり、想定より治療期間が延びることがあります。
・矯正治療で歯を動かす際に痛みをともなうことがあります。
・硬い物を食べたときの衝撃で矯正装置が外れたり壊れたりする恐れがあります。
・粘着性のある食べ物を食べた際に矯正装置が外れたりする恐れがあります。
・歯を動かすことによって歯肉退縮が起きる場合があります。
・ワイヤー矯正の場合には矯正装置が原因で金属アレルギーを起こす恐れがあります。
・生理的変化や顎の成長発育によって、治療後にも噛み合わせや歯並びが変化する可能性があります。
・稀に歯と骨の癒着があると、矯正治療を行っても歯が動かないことがあります。
Medee歯科検索は、おすすめしたい歯医者を掲載しています。
駅、行政区、診療時間、歯科医院の特徴、診療科目など豊富な検索メニューで歯科医院を検索可能。
また歯科医院のWebサイトはもちろん各種予約ツールも利用することが可能で、より簡単に歯科医院を探すことができます。
新着記事

【2026年】伊丹市でオールオン4におすすめしたい歯科医院3選

【2026年】刈谷市でインプラント治療におすすめしたい歯科医院3選

【2026年】刈谷市でセラミック治療におすすめしたい歯科医院3選

【2026年】堺市南区でインプラント治療におすすめな歯科医院3選

【2026年】東京都で審美治療におすすめしたい歯科医院3選
関連する記事

【2026年】御茶ノ水駅周辺でおすすめしたい矯正歯科医院4選

【2026年】愛知県名古屋市でおすすめしたい矯正歯科医院3選

【2026年】寝屋川市でおすすめしたい矯正歯科医院3選

【2026年】寝屋川市のマウスピース矯正でおすすめしたい歯科医院3選

【2026年】銀座でおすすめしたい矯正歯科医院3選

【2026年】柏市でマウスピース矯正におすすめしたい歯科医院3選

【2026年】安曇野市で小児矯正対応のおすすめしたい歯科医院4選

【2026年】浦和エリアでおすすめしたい矯正歯科医院7選

【2026年】海老名市周辺でおすすめしたい矯正歯科医院4選

【2026年】心斎橋でおすすめしたい矯正歯科医院5選

【2026年】梅田駅でおすすめしたい矯正歯科医院5選

【2026年】千葉市でワイヤー矯正におすすめしたい歯科医院5選

【2026年】盛岡市でマウスピース矯正におすすめしたい矯正歯科医院5選

【2026年】茨木市でおすすめしたい矯正歯科医院5選

【2026年】豊中市でセカンドオピニオンにおすすめしたい矯正歯科医院5選

【2026年】なんば駅周辺でおすすめしたい矯正歯科医院7選

【2026年】宇都宮市で裏側矯正におすすめしたい矯正歯科医院5選

【2026年】東京都でインビザライン矯正におすすめしたい歯科医院11選

【2026年】吹田市で裏側矯正におすすめしたい歯科医院5選

【2026年】府中市でおすすめしたい矯正歯科医院7選



