【2026年】浦和エリアでおすすめしたい矯正歯科医院7選
2026/1/23
2026/4/6
#矯正歯科

浦和エリアはさいたま市内でも屈指の矯正激戦区と言えるでしょう。
矯正治療に精通した歯科医院は多く、どこで矯正治療の相談をしたら良いか迷ってしまうかと思います。
そこで本記事では、歯科医師の実績・専門性や対応可能な治療法など多角的な視点のもと、浦和エリアでおすすめしたい矯正歯科医院をご紹介しております。
参考:おすすめしたい矯正歯科医院について
浦和エリアで矯正歯科をお探しの方はぜひ参考にしてみてください。
※2026年1月時点でのMedee編集部の調査のデータとなります。
- 1.4たぼ歯科医院(浦和駅)
【2026年】浦和エリアでおすすめしたい矯正歯科医院7選
1. 武蔵浦和歯科・矯正歯科(武蔵浦和駅)PR

ワイヤー矯正とマウスピース矯正の両方に対応|患者さん一人ひとりに合わせた治療
JR武蔵浦和駅から徒歩で約1分とアクセスの良い場所に位置し、土日や祝日も診療する「武蔵浦和歯科・矯正歯科」。
矯正治療に精通した篠原先生・大木先生の2人を主軸とし、小児矯正から成人矯正、ワイヤー矯正からマウスピース矯正まで幅広い矯正治療を提供。
ワイヤー矯正とマウスピース矯正の両方に精通している強みを活かし、患者さんのお口の状態やニーズ、ライフスタイルなどを考慮したうえで、一人ひとりに合わせた治療計画を考案されています。
グループ全体で年間1,600症例以上の実績を誇り、豊富な実績に基づく治療が受けられるでしょう。
確かな技術を持つドクターのもと、豊富な選択肢のなかから自分に合った矯正治療を受けたい方は、武蔵浦和歯科・矯正歯科にて相談してみてはいかがでしょうか。
特徴1 「目立たずに治療したい」を叶えるための豊富な目立ちにくい矯正の選択肢

矯正治療を考えるうえで「できるだけ目立たずに治療したい」と考える方は多いでしょう。
武蔵浦和歯科・矯正歯科では、患者さんのこうしたニーズに応えるため、目立ちにくい矯正治療を幅広く展開しています。
ワイヤー矯正では、従来の金属製の装置ではなく歯の色に近い白い装置の活用や、歯の裏側に装置を取り付ける裏側矯正などで目立ちにくい矯正を提供。
ワイヤー矯正だけでなく、透明なマウスピース型の装置を使ったマウスピース矯正にも対応しています。
また、マウスピース矯正だけでは対応することができない症例においても、ワイヤー矯正とマウスピース矯正を組み合わせた治療法で、できる限り目立ちにくい矯正を実現。
このように武蔵浦和歯科・矯正歯科では、患者さんの「できるだけ目立たずに治療したい」というニーズに対して、幅広い選択肢で応えられる体制を整えています。
「自分は目立たない治療ができるのか」「自分に合った治療法はどれか」など悩まれている方は、一度同院にて相談してみてはいかがでしょう。
特徴2 【年間401症例以上】インビザライン社公認「ブラックダイヤモンドプロバイダー」認定医院

近年、透明なマウスピース型装置を用いたマウスピース矯正を希望される方が増えていますが、「本当に計画通りに歯並びが整うか」と不安に感じる方も少なくありません。
納得のいく治療を受けるためには、ただ単にマウスピース矯正に対応しているだけでなく、しっかりと実績のある歯科医院を選ぶことが重要です。
武蔵浦和歯科・矯正歯科は、インビザライン矯正(マウスピース矯正)において豊富な実績を持ち、インビザライン社から「ブラックダイヤモンドプロバイダー」の認定を受けている歯科医院です。
ブラックダイヤモンドプロバイダーは、インビザライン矯正において年間401件以上の症例を持つ歯科医院に与えられるステータスであり、豊富な実績に裏付けられた治療を提供しています。
インビザラインを用いた矯正でも、歯並び全体を整える矯正から気になる前歯のみを矯正する部分矯正まで幅広く対応しており、部分矯正においては認定医(invisalighn GO認定医)が在籍しているので、確かな知見・スキルに基づく治療が受けられます。
特徴3 矯正中の虫歯や歯周病などもワンストップで対応

矯正治療中は装置が常にお口の中にあることから、通常より虫歯や歯周病といった口内トラブルが起きやすいです。
そのため矯正中に虫歯や歯周病になってしまうケースは多く、虫歯や歯周病治療を受けるために新たな歯科医院を探す方もいます。
「武蔵浦和歯科・矯正歯科」は高度な矯正治療だけでなく、虫歯や歯周病の治療などの一般歯科もおこなっており、矯正中や矯正前の虫歯・歯周病治療も一貫して対応することができる歯科医院です。
一般歯科・矯正治療ともに毎日診療しているため、「虫歯ができた」「矯正装置が外れた・壊れた」などのトラブルが起きた場合でも、すぐに相談できる体制が整えられています。
このように矯正前や矯正中も、包括的な診療のもとしっかりとサポートしてもらえるので安心して治療が受けられるでしょう。
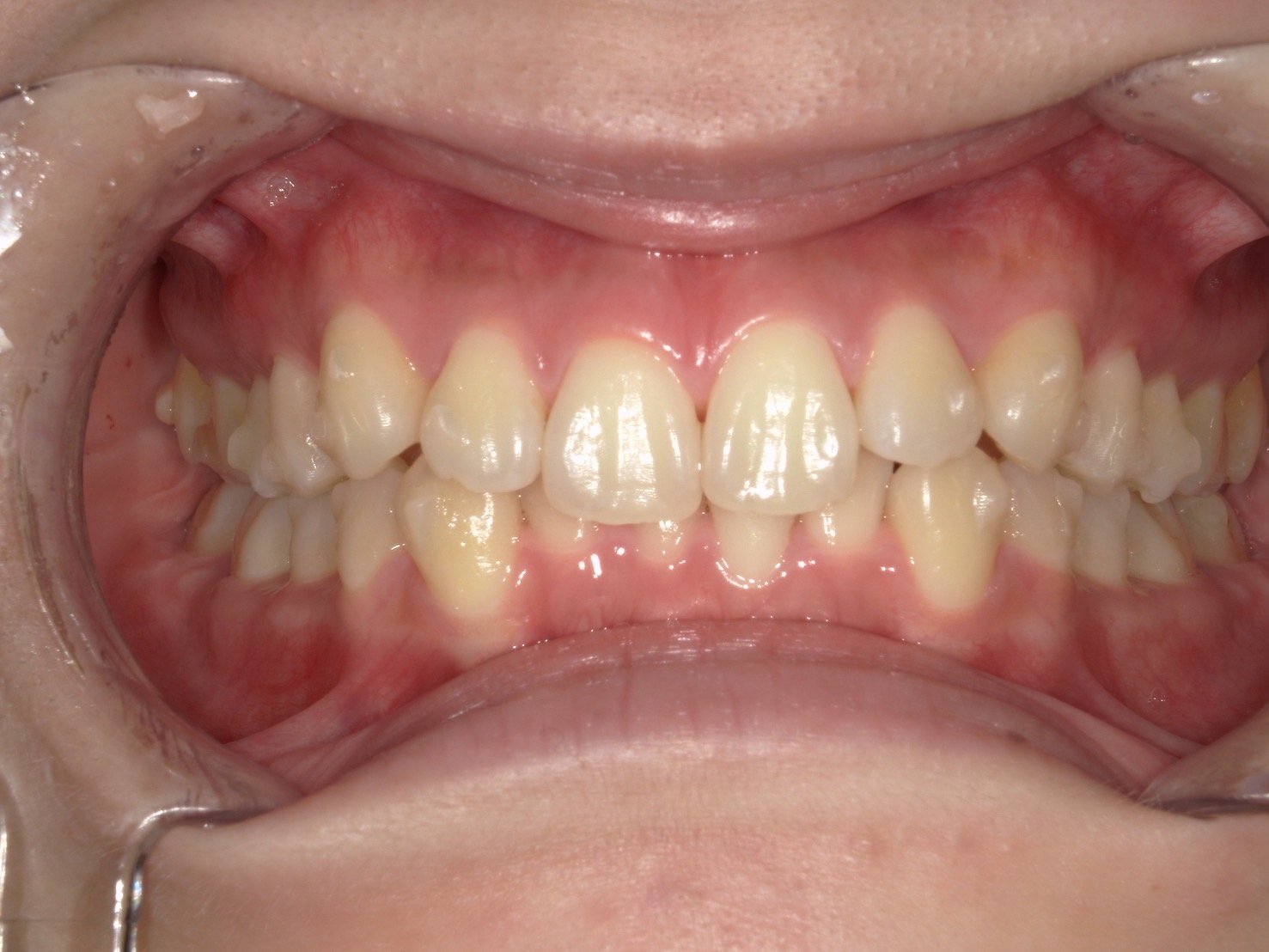
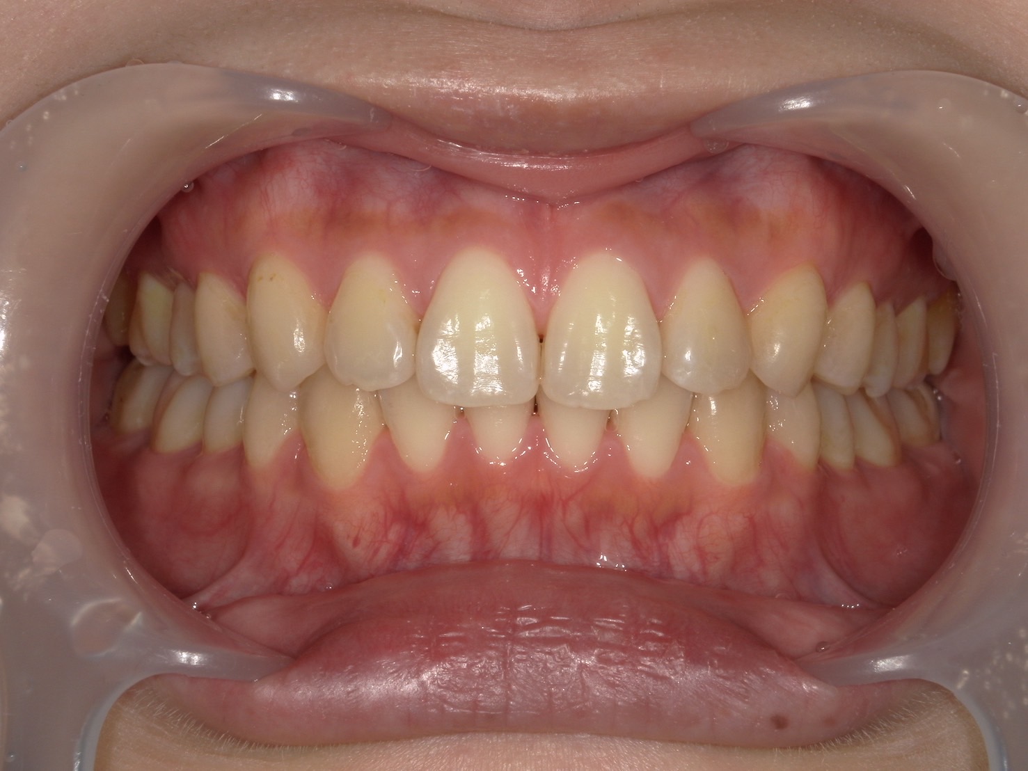
症例1
Before

After

年齢/性別 | 20代/女性 |
|---|---|
主訴 | 前歯の凸凹 |
治療内容 | マウスピースによる全体矯正 |
治療期間/治療回数 | 2年/10回 |
費用 | 858,000円(税込) |
リスク・副作用 | 虫歯、歯肉炎、歯肉退縮、動揺、歯根吸収、知覚過敏、歯の変色 |
設備
歯科用CT

歯科用CTは患者さんの口腔状態(歯や顎の骨など)を立体的に映し出すことができます。精密な計画の立案が求められる治療において必須の機器です。
口腔内スキャナー

専用のスキャナーを用いてお口の中をスキャンすることで歯型を採取することができる機器です。従来使われていた粘土状の素材を使わずに歯型を採取することができます。
オートクレーブ

高圧蒸気を用いて歯科器具を徹底的に滅菌する機器です。患者さんの安全を考え高性能な滅菌器を導入しています。
口腔外バキューム

治療時に生じる水・唾液・金属片などを吸引するための装置です。口腔外バキュームを用いることで診療室を清潔な状態に維持することができます。
柔らかいチェア

患者さんが快適な状態で治療が受けられるよう柔らかいチェアを導入しています。
ユニットごとの大型モニター

CT画像や口腔内カメラで撮影した画像を表示して、治療内容をわかりやすく説明するため各ユニットごとに設置されているモニターです。
矯正歯科に関わる費用
成人ワイヤー矯正 | |
|---|---|
初診相談 | 0円 |
検査・診断料 | 33,000円 |
全顎矯正 メタルブラケット | 550,000円 |
全顎矯正 クリアブラケット | 660,000円 |
全顎矯正 プレミアムブラケット | 770,000円 |
部分矯正 | 220,000円~ |
調整料 | 5,500円/月 |
全顎矯正リテーナー | 55,000円 |
部分矯正リテーナー | 27,500円〜 |
※別途、調整料や補助装置代がかかります。
マウスピース矯正 | |
|---|---|
初診相談 | 0円 |
検査・診断料 | 55,000円 |
ハーフ(上下どちらかのみの部分矯正) | 440,000円 |
ライト(軽度なデコボコな歯の矯正治療) | 550,000円 |
スタンダード(全体的な歯並びを改善) | 770,000円 |
アドバンス(マウスピース矯正とワイヤー矯正の併用) | 990,000円 |
リテーナー | 55,000円 |
調整料 | 5,500円 |
小児矯正 | |
|---|---|
初診相談 | 0円 |
検査・診断料 | 33,000円 |
装置台 | ・トライアル 55,000円 |
調整料 | 5,500円/月 |
リテーナー | 33,000円 |
その他費用 | |
|---|---|
抜歯 | 5,500円/本 |
補助装置 | 22,000円/個 |
ホワイトワイヤー | 110,000円 |
追加アライナー | 22,000円/回 |
クリーニング | 5,500円/30分 |
プロフェッショナル矯正 | |
|---|---|
全顎矯正 | 880,000円〜 |
裏側矯正 | 1,320,000円〜 |
小児矯正 | 330,000円〜 |
※裏側ワイヤー矯正を希望される場合や難症例の場合には、提携している矯正専門医院の大宮こかい矯正歯科へご紹介する場合がございます。
※矯正治療は保険が適用されない自費診療です。
【入手経路等の明示】
当院の矯正治療で使用する「インビザライン」は、米国のアライン・テクノロジー社で製造されたものを輸入しています。なお、装置に使用されている材料そのものは、日本の「医薬品医療機器法(薬機法)」に基づき認証されたものが採用されています。
インビザラインをはじめとするマウスピース型装置は、国内外を問わず、患者様一人ひとりの歯並びに合わせて作られる完全オーダーメイド品です。
このような個別製作の装置は、一般的な既製品のように市場に流通する性質のものではない(市場流通性がない)ことから、厚生労働省の見解(平成26年6月4日付事務連絡)において「医薬品医療機器法が定める医療機器には該当しない」とされています。
この公的な見解に基づき、インビザラインは日本の薬機法における医療機器としての承認を受けておらず、歯科技工士法上の矯正装置とも異なる扱いとなります。そのため薬機法の適用外となり、万が一健康被害が生じた際、公的な「医薬品副作用被害救済制度」が適用されない場合がある点にご留意ください。
【国内の承認医薬品等の有無の明示】
日本国内においても、薬機法の承認を得ているマウスピース型のカスタムメイド矯正装置は流通しています。当院が導入している「インビザライン」は、現時点では国内の薬事承認を得ていない「未承認医療機器」に分類されます。
【諸外国における安全性等に係る情報の明示】
インビザラインは、1998年に米国のFDA(食品医薬品局)より医療機器としての認証を受けており、世界的に普及している治療法です。2023年3月時点の統計では、世界全体で1,500万人を超える豊富な治療実績があります。
安全性については、極めて稀に材料へのアレルギー反応が報告されることはありますが、現在までに重大な副作用が生じた事例は報告されていません。
※金額は全て税込表示です。
お支払いについて
武蔵浦和歯科・矯正歯科では、以下の支払い方法に対応しています。
※詳細は医院へお問い合わせください。
●現金
●クレジットカード
●デンタルローン
歯科医師紹介

篠原 壮
経歴
北海道大学 北海道大学歯学部第2補綴学教室 勤務 医療法人社団秦晴会 勤務 医療法人社団大志 みずほ台駅ナカ歯科・矯正歯科 副院長
所属学会・資格・スタディーグループ
日本顕微鏡歯科学会 認定医 Straumann インプラント Basic Seminar Straumann インプラント Advanced Seminar invisalighnGO 認定医 G.F.O矯正セミナー 日本デジタル矯正歯科学会会員
メッセージ
基本情報
住所
〒336-0027 埼玉県さいたま市南区沼影1丁目8-18 ザ・マーケットプレイス武蔵浦和4F
最寄駅
JR武蔵浦和駅から徒歩1分
診療時間
月~金:10:00~14:00/15:30~20:00 土・日・祝:10:00~14:00/15:00〜18:00 休診日: 12月29日〜1月3日
電話番号
048-753-9800
2. 浦和もちまる歯科・矯正歯科クリニック(浦和駅)

医院紹介
浦和駅西口より徒歩で4分の場所に位置する「浦和もちまる歯科・矯正歯科クリニック」。
土日も診療しているため、継続的な通院が必要な矯正治療においても、ご自身のスケジュールに合わせて通院を続けられる診療体制です。
「一生に一度の治療だから納得いただける治療をしたい」という考えのもと、矯正治療に関するあらゆる悩みの解消を目的としてカウンセリングをしているとのことです。
特にインビザライン矯正ではこれまでに数々の症例に対応してきた実績を持ち、豊富な実績に基づく治療を提供しています。
セカンドオピニオンに対応しているため、確かな実績を持つ歯科医院からの意見を聞きたい場合は相談してみると良いでしょう。
設備
◆歯科用CT
◆口腔内スキャナー
◆セファロレントゲン
特徴1 「早く治療を終えたい」を叶えるための光加速矯正装置

歯並びを整えたいけど、数ヶ月から年単位の治療期間がかかることが理由で、なかなか治療に踏み出せない方は少なくありません。
浦和もちまる歯科・矯正歯科クリニックでは、患者さんが少しでも早く矯正治療を終えて、整った歯並びや噛み合わせで過ごせるよう、治療期間の短縮を図る光加速矯正装置を導入しています。
光加速矯正装置は、特定の波長の光を歯ぐきに照射することで歯が動く際の骨の代謝をサポートする装置です。
光加速矯正装置を活用しないケースと比べて治療期間を短縮することができ、痛みの軽減も期待できます。
矯正歯科に関わる費用
精密検査/診断費 | 58,300円~ |
|---|---|
小児矯正 | 363,000円 |
インビザラインファースト | 657,800円 |
ワイヤー装置 | 89,100円 |
片顎矯正 | 495,000円 |
マウスピース矯正(インビザライン) | 462,000~979,000円 |
部分矯正 | 165,000円~ |
矯正期間中の調整費 | 5,500円/月 |
リテーナー | 39,600円 |
107,800円 | |
22,000円 |
※ご相談は無料ですが、初診料と、レントゲンを撮影した場合の費用はかかります。
※抜歯が必要な場合、抜歯料金は別途頂戴いたします。
※矯正治療は保険が適用されない自費診療です。
【入手経路等の明示】
当院の矯正治療で使用する「インビザライン」は、米国のアライン・テクノロジー社で製造されたものを輸入しています。なお、装置に使用されている材料そのものは、日本の「医薬品医療機器法(薬機法)」に基づき認証されたものが採用されています。
インビザラインをはじめとするマウスピース型装置は、国内外を問わず、患者様一人ひとりの歯並びに合わせて作られる完全オーダーメイド品です。
このような個別製作の装置は、一般的な既製品のように市場に流通する性質のものではない(市場流通性がない)ことから、厚生労働省の見解(平成26年6月4日付事務連絡)において「医薬品医療機器法が定める医療機器には該当しない」とされています。
この公的な見解に基づき、インビザラインは日本の薬機法における医療機器としての承認を受けておらず、歯科技工士法上の矯正装置とも異なる扱いとなります。そのため薬機法の適用外となり、万が一健康被害が生じた際、公的な「医薬品副作用被害救済制度」が適用されない場合がある点にご留意ください。
【国内の承認医薬品等の有無の明示】
日本国内においても、薬機法の承認を得ているマウスピース型のカスタムメイド矯正装置は流通しています。当院が導入している「インビザライン」は、現時点では国内の薬事承認を得ていない「未承認医療機器」に分類されます。
【諸外国における安全性等に係る情報の明示】
インビザラインは、1998年に米国のFDA(食品医薬品局)より医療機器としての認証を受けており、世界的に普及している治療法です。2023年3月時点の統計では、世界全体で1,500万人を超える豊富な治療実績があります。
安全性については、極めて稀に材料へのアレルギー反応が報告されることはありますが、現在までに重大な副作用が生じた事例は報告されていません。
※金額は全て税込表示です。
お支払いについて
浦和もちまる歯科・矯正歯科クリニックでは、以下の支払い方法に対応しています。
※詳細は医院へお問い合わせください。
●現金
●クレジットカード
●デンタルローン
基本情報
住所
〒330-0063 埼玉県さいたま市浦和区高砂2-6-10 柳屋ビル2F
最寄駅
浦和駅西口より徒歩で4分
診療時間
月~金:9:30~13:30/15:00~18:30 土・日:9:30~13:30/15:00~18:00 祝日:休診日
電話番号
048-824-1182
3. クレ⻭科・矯正⻭科(浦和駅)

医院紹介
浦和駅から徒歩9分の場所に位置する「クレ歯科・矯正歯科」。
一般歯科医と矯正歯科医の常駐体制で、一般歯科から矯正歯科まで幅広くカバーする総合歯科医院であるだけでなく、 日本矯正歯科学会の認定医が複数名在籍。
学会の認定医水準の高い専門性に基づいた矯正治療を受けられるのはもちろん、治療前後の虫歯や歯周病ケアも同一医院内で完結できるため、スムーズで一貫性のある診療が受けられます。
お子様から大人まで世代を問わず対応しており、表側矯正や裏側矯正(舌側矯正)といった多様な装置を用意。
患者さん一人ひとりのライフスタイルやご要望を尊重し、個別に治療プログラムを提案してもらうことができる歯科医院です。
設備
◆歯科用CT
◆口腔内スキャナー
◆セファロレントゲン
特徴1 痛みを抑えた矯正治療を実現するための矯正装置を採用

多くの患者さんにとって、矯正治療にともなう「痛み」は大きな不安要素ではないでしょうか。
できるだけ負担を抑えて、スムーズに治療を終えたいと願うのは当然のことです。
「クレ歯科・矯正歯科」では、こうした治療の痛みに関する悩みに配慮し、ルフライゲーション機構という仕組みの矯正装置を採用しています。
この装置は、ワイヤーとブラケットの間に生じる摩擦を大幅に軽減できるのが特徴であり、摩擦が少ない分、従来の装置に比べて痛みを抑えられるだけでなく、歯の移動もスムーズに進みます。
治療期間の短縮も期待でき、より快適に理想の歯並びを目指すのに効果的な矯正装置です。
矯正歯科に関わる費用
こどもの矯正 | |
|---|---|
検査・診断料 | 33,000円 |
基本矯正料 | 330,000円 |
永久歯列期の治療に移行する場合 | |
|---|---|
検査・診断料 | 11,000円 |
マルチブラケット矯正 | 385,000円 |
舌側ブラケット矯正(上顎) マルチブラケット矯正(下顎) | 660,000円 |
舌側ブラケット矯正(上下顎) | 935,000円 |
大人の矯正 | |
|---|---|
検査・診断料 | 44,000円 |
マルチブラケット矯正 (白いブラケット・白いワイヤー) | 715,000円 |
舌側ブラケット矯正(上顎) マルチブラケット矯正(下顎) | 990,000円 |
舌側ブラケット矯正(上下顎) | 1,265,000円 |
※矯正治療は保険が適用されない自費診療です。
※金額は全て税込表示です。
お支払いについて
クレ歯科・矯正歯科では、以下の支払い方法に対応しています。
※詳細は医院へお問い合わせください。
●現金
●クレジットカード
基本情報
住所
〒330-0063さいたま市浦和区高砂3-8-13
最寄駅
浦和駅から徒歩9分
診療時間
月・火・水・金: 9:00~12:00/13:30~18:00(矯正歯科・一般歯科) 18:00~20:00(矯正歯科)※診療は週2回 土曜 9:00~12:00(矯正歯科・一般歯科)/13:30~18:00(矯正歯科) 木・日・祝:休診日
電話番号
048-822-6301
4. たぼ歯科医院(浦和駅)

医院紹介
JR「浦和駅」東口より徒歩1分の場所に医院を構える「たぼ歯科医院」。
各分野に精通した専門家が連携するチーム医療のもと、様々な視点から考え考案された高水準な治療を一人ひとりに提供しています。
矯正治療においてもインビザライン認定ドクターが在籍しており、矯正治療の専門家主導のもと個別に合わせた治療計画を考案。
「医療の見える化」に注力していることから、具体的な治療計画に関して口腔内写真や持ち帰り資料などを活用した視覚的に分かりやすい説明が受けられます。
わかりやすい説明のもと、ご自身だけでなくご家族ともしっかりと話し合ったうえで治療に臨むことができるでしょう。
設備
◆歯科用CT
◆口腔内スキャナー
◆セファロレントゲン
特徴1 精密な診断に基づいた矯正治療にともなうリスクや噛み合わせまで考慮した治療

たぼ歯科医院における矯正治療では、患者さんが「やって良かった」と思ってもらえるよう、精密なデジタル技術を駆使した精密な診断に力を入れています。
専用のツールを用いて歯の動きだけでなく歯根の動きまで確認して、「歯根が顎の骨から飛び出す」「歯肉が痩せる」といった矯正治療にともなうトラブルのリスクを軽減。
さらに、正しい噛み合わせで噛めるよう、顎の動きや噛み合わせまで検査・測定ししているとのことです。
このように精密な検査・診断のもと、単に見た目が美しくなるだけではなく、矯正治療にともなうトラブルのリスクや治療後の噛み合わせまで考慮した治療が受けられるでしょう。
矯正歯科に関わる費用
インビザラインGO | 550,000 円(税込) |
|---|---|
インビザラインファースト | 660,000 円(税込) |
インビザラインコンプリヘンシブ | 880,000 円(税込) |
※矯正治療は保険が適用されない自費診療です。
【入手経路等の明示】
当院の矯正治療で使用する「インビザライン」は、米国のアライン・テクノロジー社で製造されたものを輸入しています。なお、装置に使用されている材料そのものは、日本の「医薬品医療機器法(薬機法)」に基づき認証されたものが採用されています。
インビザラインをはじめとするマウスピース型装置は、国内外を問わず、患者様一人ひとりの歯並びに合わせて作られる完全オーダーメイド品です。
このような個別製作の装置は、一般的な既製品のように市場に流通する性質のものではない(市場流通性がない)ことから、厚生労働省の見解(平成26年6月4日付事務連絡)において「医薬品医療機器法が定める医療機器には該当しない」とされています。
この公的な見解に基づき、インビザラインは日本の薬機法における医療機器としての承認を受けておらず、歯科技工士法上の矯正装置とも異なる扱いとなります。そのため薬機法の適用外となり、万が一健康被害が生じた際、公的な「医薬品副作用被害救済制度」が適用されない場合がある点にご留意ください。
【国内の承認医薬品等の有無の明示】
日本国内においても、薬機法の承認を得ているマウスピース型のカスタムメイド矯正装置は流通しています。当院が導入している「インビザライン」は、現時点では国内の薬事承認を得ていない「未承認医療機器」に分類されます。
【諸外国における安全性等に係る情報の明示】
インビザラインは、1998年に米国のFDA(食品医薬品局)より医療機器としての認証を受けており、世界的に普及している治療法です。2023年3月時点の統計では、世界全体で1,500万人を超える豊富な治療実績があります。
安全性については、極めて稀に材料へのアレルギー反応が報告されることはありますが、現在までに重大な副作用が生じた事例は報告されていません。
※金額は全て税込表示です。
お支払いについて
たぼ歯科医院では、以下の支払い方法に対応しています。
※詳細は医院へお問い合わせください。
●現金
●クレジットカード
●デンタルローン
基本情報
住所
〒330-0056 埼玉県さいたま市浦和区東仲町11-5 ガーデンビル1F
最寄駅
JR「浦和駅」東口より徒歩1分
診療時間
月~日:9:00~12:00/13:30~18:00 日・祝:休診日
電話番号
048-711-8241
5. 浦和矯正歯科クリニック(浦和駅)

医院紹介
浦和駅東口から歩いてわずか3分という好立地に居を構える「浦和矯正歯科クリニック」。
同院では日本矯正歯科学会の認定医の資格を持ち、矯正治療に精通した2名のドクターが専門的な立場からアドバイス・治療を実施しています。
高度な専門知識と豊富な臨床経験を持つドクターが、難症例を含む様々な歯並びの悩みに対し、的確な診断のもと治療プランを提案しています。
デコボコの歯並び、受け口や出っ歯、すきっ歯など多岐に渡る症例に対応してもらえるため、お口の歯並びについてお悩みの方は一度相談してみてはいかがでしょう。
医院の詳細は公式ホームページにてご確認ください。
設備
◆デジタルレントゲン
◆コンサルティングルーム
◆高蒸気圧滅菌器
特徴1 健康な歯をできるだけ残す「非抜歯を優先する矯正」

「矯正で抜歯をすることがあると聞いたことがあるけど、健康な歯をできるだけ残したい」
このように自身の歯を残して歯並びを整えることを希望される患者さんは多いです。
浦和矯正歯科クリニックでは、可能な限り歯を抜かない「非抜歯を優先する矯正」を基本方針として掲げています。
あらゆる可能性を多角的に分析し、まずは歯を抜かずに進めるプランを検討。
抜歯した場合としない場合のそれぞれの「設計図」を提示してもらえるとのことです。
歯並びの状態によってはどうしても抜歯が必要なケースもありますが、納得できるまで比較・検討できるプロセスがあるからこそ、後悔のない選択ができるでしょう。
矯正歯科に関わる費用
相談料 | 500円 |
|---|
検査料 | 33,000円 |
|---|
診断料 | 22,000円 |
|---|
標準的な装置(クリアブラケット) | 693,000円 |
|---|---|
| 803,000円 |
ハーフリンガル | 990,000円 |
フルリンガル | 1,155,000円 |
※矯正治療は保険が適用されない自費診療です。
※金額は全て税込表示です。
お支払いについて
浦和矯正歯科クリニックでは、下記の方法でお支払いが可能です。
※詳細は医院へお問い合わせください。
●現金
●クレジットカード
基本情報
住所
〒330-0055 埼玉県さいたま市浦和区東高砂町20-5
最寄駅
「浦和駅」東口から徒歩でおよそ3分
診療時間
月・金・土:9:30~13:00/14:30~19:00 火・水:14:30~20:00 木・日・祝:休診日
電話番号
048-882-6215
6. こいずみ矯正歯科クリニック(浦和駅)

医院紹介
浦和駅から徒歩ですぐの場所に位置する「こいずみ矯正歯科クリニック」。
同院の矯正治療では、特に痛みに配慮した治療を心がけており、痛みを軽減するための様々な取り組みをされています。
具体的には、必要以上に力をかけないようやわらかいワイヤーや、歯の動きを妨げない仕組みの装置(セルフライゲーションブラケット)などを採用。
どうしても痛みが気になるという方に対しては、痛み止めを処方するなど、可能な限り痛みに対する不安への配慮をしてくれます。
矯正経験者から「矯正は痛い」と聞いて不安になるかもしれませんが、痛みに配慮した矯正治療をおこなう「こいずみ矯正歯科クリニック」にて一度相談してみてはいかがでしょう。
設備
◆口腔内スキャナー
◆口腔外バキューム
◆カウンセリングルーム
特徴1 目立ちにくい白いワイヤーで可能な限り自然な口元のまま矯正

矯正治療を迷う理由として「装置が目立つ」という点がよく挙げられます。
一般的にワイヤー矯正は金属製の装置が用いられ、装置を取り付けると口元の装置が目立ってしまいます。
こうした悩みを解消した矯正治療がおこなえるよう、こいずみ矯正歯科では審美性の高いワイヤー矯正を採用。
白いワイヤーや透明なブラケットなどを用いることで、ワイヤー矯正においてもできるだけ自然な口元を維持した状態で治療することができます。
「装置を目立たせたくないけれど、裏側矯正は高額で手が出しにくい……」と悩んでいるなら、こうした審美性の高いワイヤー矯正を検討してみてはいかがでしょうか。
矯正歯科に関わる費用
診断費用 | 44,000円(税込) |
|---|---|
成人矯正にかかる費用 | |
表側矯正 | 660,000円〜770,000円(税込) |
舌側矯正 | 1,210,000円(税込) |
ハーフリンガル | 1,045,000円(税込) |
部分矯正 | 150,000円(税込) |
※矯正治療は保険が適用されない自費診療です。
※金額は全て税込表示です。
お支払いについて
こいずみ矯正歯科は、以下の方法でお支払いが可能です。
※詳細は医院へお問い合わせください。
●現金
●クレジットカード
●デンタルローン
基本情報
住所
〒330-0055 埼玉県さいたま市浦和区東高砂町9-1スミダワン5F
最寄駅
JR各線「浦和駅」東口より徒歩で約1分
診療時間
火・水・金:10:00~13:00/15:00~20:00 土・日 10:00~13:00/14:00~18:30 月・木:休診日
電話番号
048-883-4188
7. 石塚矯正歯科クリニック(北浦和駅)

医院紹介
JR北浦和駅東口を出てすぐの場所に医院を構える「石塚矯正歯科クリニック」。
同院の院長は日本矯正歯科学会認定医であり、矯正治療に精通したドクターによる高度な治療が受けられます。
院長による無料矯正相談を受け付けており、無理に矯正を勧められることはないため、歯並びの悩みや矯正治療に関する疑問などを気軽に相談できるでしょう。
また、矯正に興味のある方に対して、1ヶ月間だけお試しで矯正装置を試すことも可能なようです。
その後、本格的な治療に進む場合は、しっかりとした診断のもと治療を進めてもらうことができます。
特徴1 原則「裏側矯正」で目立たず治療をスタート

石塚矯正歯科クリニックでは、患者さんから特別な希望がない限り、原則として「裏側矯正(舌側矯正)」による治療を実施。
歯の裏側に装置を取り付けて矯正をおこなう治療法のため、食事や会話の際にも装置がほとんど目立ちません。
高度な技術が求められる治療法ですが、日本矯正歯科学会認定医のもと、一人ひとりのお口に合わせた治療が受けられます。
装置が目立つことに抵抗があり、これまで一歩踏み出せなかった方にとって、同院の提供する裏側矯正がスタンダードな治療は大きな安心材料となるでしょう。
矯正歯科に関わる費用
【相談料】 | 無料 |
|---|---|
【検査・診断料】 | 55,000円 |
【矯正装置料】 | |
乳歯・混合歯列期の矯正の場合 | 220,000円 |
永久歯列の矯正の場合 | ・金属製のブラケット:462,000円 |
毎回の処置料 | 調節料 5,500円 |
※矯正治療は保険が適用されない自費診療です。
※金額は全て税込表示です。
お支払いについて
石塚矯正歯科クリニックでの支払い方法は医院へお問い合わせください。
基本情報
住所
〒330-0074 埼玉県さいたま市浦和区北浦和3-2-5 古セキビル4階
最寄駅
JR北浦和駅東口を出てすぐ
診療時間
月・火・水・金・土・日:10:00~13:00/15:00~20:00 木・祝:休診日
電話番号
048-832-4144
矯正歯科について
矯正治療とは?
矯正治療はブラケットやワイヤーを用いた矯正装置によって歯に力を加え、時間をかけて歯を移動させることで歯を少しずつと動かし、機能的で健康的な噛み合わせを目指す治療です。
基本的な矯正治療の流れ
1.カウンセリング
2.精密検査
3.診断・治療計画の説明
4.矯正治療前の準備(虫歯や歯周病の確認・治療)
5.矯正治療開始
6.定期的な通院で調整
7.矯正装置の撤去・保定開始
8.保定の定期通院終了
※実際の治療の流れは医院や具体的な治療内容によって異なります。
治療期間や通院回数の目安
治療期間:半年~3年
通院回数:7~30回
※実際の治療期間や通院回数は口内状況や具体的な治療内容など個人差があります。
想定されるリスク・副作用
・矯正装置装着後しばらくは不快感や違和感などを生じることがあります。
・矯正治療による歯の動きには個人差があり、想定より治療期間が延びることがあります。
・矯正治療で歯を動かす際に痛みをともなうことがあります。
・硬い物を食べたときの衝撃で矯正装置が外れたり壊れたりする恐れがあります。
・粘着性のある食べ物を食べた際に矯正装置が外れたりする恐れがあります。
・歯を動かすことによって歯肉退縮が起きる場合があります。
・ワイヤー矯正の場合には矯正装置が原因で金属アレルギーを起こす恐れがあります。
・生理的変化や顎の成長発育によって、治療後にも噛み合わせや歯並びが変化する可能性があります。
・稀に歯と骨の癒着があると、矯正治療を行っても歯が動かないことがあります。
Medee歯科検索は、おすすめしたい歯医者を掲載しています。
駅、行政区、診療時間、歯科医院の特徴、診療科目など豊富な検索メニューで歯科医院を検索可能。
また歯科医院のWebサイトはもちろん各種予約ツールも利用することが可能で、より簡単に歯科医院を探すことができます。
新着記事

【2026年】伊丹市でオールオン4におすすめしたい歯科医院3選

【2026年】刈谷市でインプラント治療におすすめしたい歯科医院3選

【2026年】刈谷市でセラミック治療におすすめしたい歯科医院3選

【2026年】堺市南区でインプラント治療におすすめな歯科医院3選

【2026年】東京都で審美治療におすすめしたい歯科医院3選
関連する記事

【2026年】御茶ノ水駅周辺でおすすめしたい矯正歯科医院4選

【2026年】愛知県名古屋市でおすすめしたい矯正歯科医院3選

【2026年】寝屋川市でおすすめしたい矯正歯科医院3選

【2026年】寝屋川市のマウスピース矯正でおすすめしたい歯科医院3選

【2026年】銀座でおすすめしたい矯正歯科医院3選

【2026年】柏市でマウスピース矯正におすすめしたい歯科医院3選

【2026年】安曇野市で小児矯正対応のおすすめしたい歯科医院4選

【2026年】武蔵浦和駅周辺でおすすめしたい矯正歯科医院6選

【2026年】海老名市周辺でおすすめしたい矯正歯科医院4選

【2026年】心斎橋でおすすめしたい矯正歯科医院5選

【2026年】梅田駅でおすすめしたい矯正歯科医院5選

【2026年】千葉市でワイヤー矯正におすすめしたい歯科医院5選

【2026年】盛岡市でマウスピース矯正におすすめしたい矯正歯科医院5選

【2026年】茨木市でおすすめしたい矯正歯科医院5選

【2026年】豊中市でセカンドオピニオンにおすすめしたい矯正歯科医院5選

【2026年】なんば駅周辺でおすすめしたい矯正歯科医院7選

【2026年】宇都宮市で裏側矯正におすすめしたい矯正歯科医院5選

【2026年】東京都でインビザライン矯正におすすめしたい歯科医院11選

【2026年】吹田市で裏側矯正におすすめしたい歯科医院5選

【2026年】府中市でおすすめしたい矯正歯科医院7選



