【2026年】埼玉県で根管治療におすすめしたい歯科医院3選
2026/2/20
2026/4/15
#根管治療

埼玉県は、中央・西部・東部・北部・秩父の5地域に分類され、さまざまなエリアに根管治療に特化した歯科医院があることがわかりました。
根管治療は、あらゆる歯科領域のなかで最も難しい領域の1つと言われ非常に専門性の高い治療です。
そして、精密根管治療を謳う歯科医師の基準で治療をしようとすると日本の現行の保険制度ではカバーすることができず、自費診療でおこなう領域になることが多いことが現状です。
そのため、本記事でご紹介する歯科医院も基本的には精密根管治療は「自費治療」で行っている場合が多いことはご留意のほどお願いします。
自分の歯を残し、欠損ドミノを止め歯を健康に保ちたいと考えている方はぜひ本記事を読んでみてください。
※2026年4月時点におけるMedee編集部の調査データとなります。
【2026年】埼玉県で根管治療におすすめしたい歯科医院3選
1. 坂詰歯科・矯正歯科(埼玉県行田市)PR
.png)
「歯を残すこと」に本気で向き合う
秩父鉄道 行田市駅から徒歩3分の場所に位置する坂詰歯科・矯正歯科は、院長の歯科治療に対する非常に熱心な姿勢と多くの実績、そして歯を守り抜くという熱意が象徴的な歯科医院だと考えられます。
埼玉県で本当に「歯を残すことを諦めたくない」方は、相談してみるとよいでしょう。
院長の松田敦至歯科医師は EBM つまり(Evidence Based Medicine-根拠のある治療-)の考えを重要視し、そのために歯科治療について 最新の情報を吸収・研鑽し続けるということを継続的に行ってきました。
例えば 米国式根管治療のスタディグループであるPERF-JAPANに所属し東京歯科大学の歯内療法学で10年以上教授を務められ、PERF JAPANを主宰された中川寛一先生に師事。
そしてそのPERF JAPANにおいては現在講師を務め、全国の歯科医療従事者に対して根管治療について教える立場にあるとのことです。
確かな実績や技術に基づき、他院で根管治療をおこなったが治らず、抜歯が必要となった患者さんでも積極的に相談を受け付けているため、他の歯科医院で抜歯宣告されてしまった方も、一度坂詰歯科・矯正歯科に足を運んでみてはいかがでしょうか。
特徴1 米国式精密根管治療の講師を務める歯科医師が直接治療

日本の根管治療における成功率は、治療部位にもよりますが「30%〜50%」にとどまるという調査結果があります(東京医科歯科大学名誉教授・須田英明氏の論文「わが国における歯内療法の現状と課題」より推定)。
一方で、アメリカにおける成功率は一般的に80%〜90%に達すると言われています。140万歯以上を対象とした全米規模の疫学調査(Endodontic Treatment Outcomes in a Large Patient Population in the USA)では、術後8年経過時点で97%の歯が抜歯されずに保存されていることが報告されており、その精度の高さが証明されています。
この差を生んでいるのは、アメリカで早くから発展した「専門医制度」と、エビデンスに基づいた徹底的な無菌化処置であると考えられます。
当院の松田歯科医師は、この米国式精密根管治療を日本に普及させるべく立ち上がった組織「PERF-JAPAN」に2017年から所属。長年研鑽を積み、現在はPERF-JAPANにて講師として他の歯科医師を指導する立場にあります。
「ラバーダム防湿」による無菌化、「マイクロスコープ」による可視化、そして「1回に時間をかける丁寧な治療と洗浄」。
これらエビデンスに基づいた世界標準の様式を忠実に実践することが、大切な歯を残すための第一歩であり、松田歯科医師はそれを忠実に体現する日本でも数少ない根管治療医の1人と言えるでしょう。
特徴2 歯周病の予防を元に、治療後も歯を失わないためのケアに注力

精密な根管治療で歯の内部を治しても、その後のケアを怠れば「歯周病」や「再感染」によって歯を失うリスクは残ります。
松田歯科医師は大学病院で主に歯周病学を専攻しており、根管治療(歯の内部)だけでなく、歯周組織(歯の土台)の管理にも精通しているのが大きな強みです。
当院では「治して終わり」ではなく、保存に成功した歯を長く健康に維持するための体制を整えています。
定期通院による徹底したメインテナンスによる「プロフェッショナルケア」と、患者様ご自身が正しい予防知識を持ち、家庭でも継続できる環境づくり「セルフケア支援」により、「一生自分の歯で過ごしたい」と願う患者様に寄り添い、お口全体の健康をトータルでサポートいたします。
治療をしてもらうだけではなく、長く健康にご自身の歯で過ごしたいという方は、ぜひご相談してみてください。
特徴3 根管治療のスペシャリストだからこその徹底した「インフォームドコンセント」

根管治療を検討される患者様は、「本当に治るのか」「抜かなくて済むのか」と深い悩みを抱えているケースが少なくありません。
当院では、患者様の不安を解消するために、慎重かつ丁寧なインフォームドコンセント(説明と同意)を最優先しています。
特に重視しているのは、以下の2点です。
「可視化」による納得感
デジタルレントゲンや口腔内カメラを駆使し、感染部位や治療のプロセスを患者様ご自身の目で確認していただきます。「何をされているかわからない」という不安を払拭し、視覚的なデータに基づいた説明を行います。
「EBM(根拠に基づく医療)」の実践
個人の経験や勘だけに頼るのではなく、現時点で最も信頼できる科学的根拠(エビデンス)と、患者様の状況を照らし合わせて最適な意思決定を行います。
エビデンスレベルの高いデータを裏付けとした説明は、患者様にとっての深い「納得感」と「安心感」につながります。高度な技術はもちろん、信頼関係を構築するためのコミュニケーションまで徹底していることが、当院が選ばれる理由です。
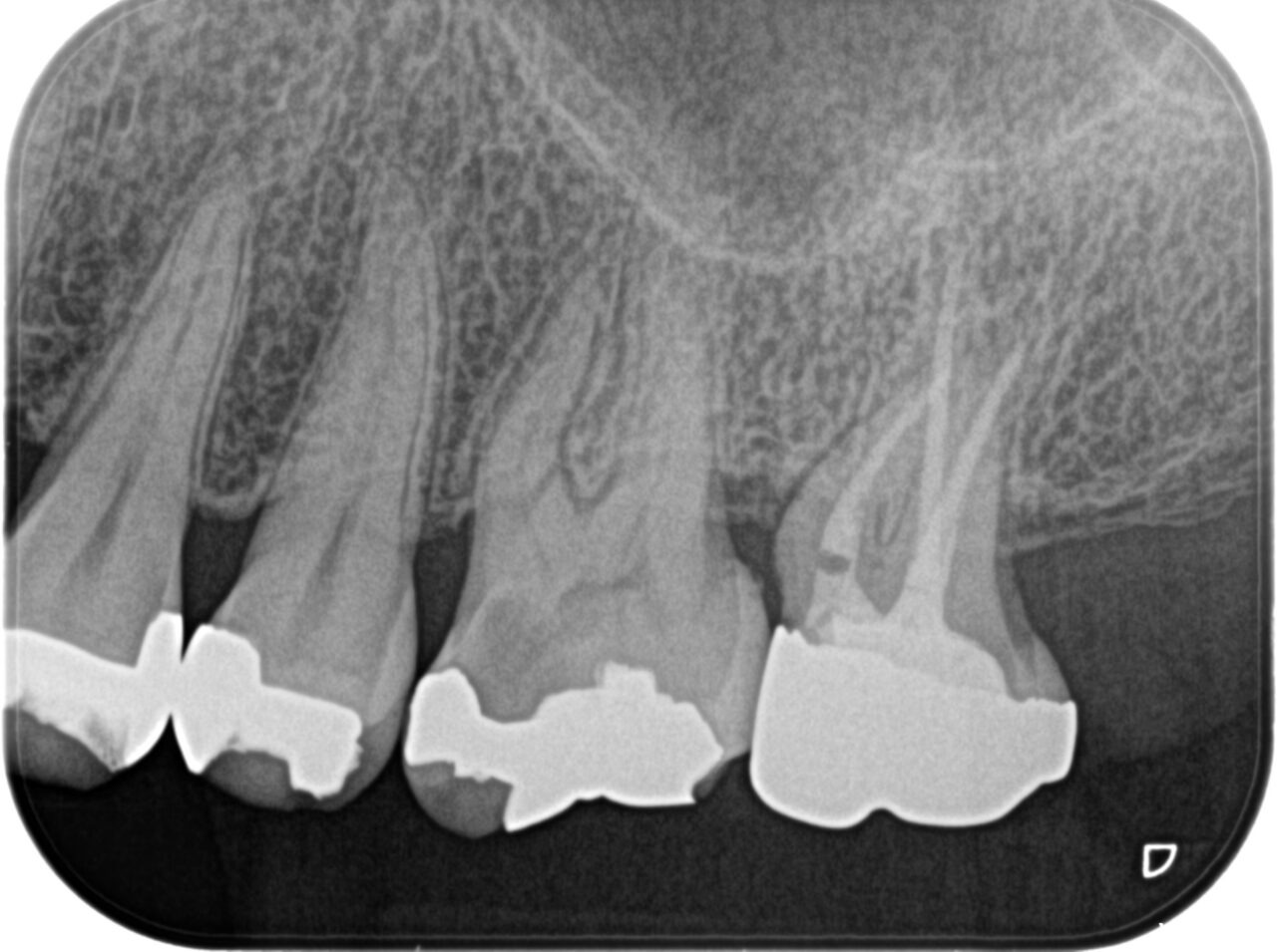
症例1
Before

After

年齢/性別 | 40代/女性 |
|---|---|
主訴 | 根の先の膿を治してほしい マイクロスコープを使用して根管治療をしてほしい |
治療内容 | ラバーダム防湿、マイクロスコープを使用した精密な根管治療 |
治療回数 | 根管治療1回で完了 |
治療費 | 根管治療+被せ物 約25万円 |
注意点 | この根管には偽根管と本来の根管とは違う、人為的な偽の根管が存在。本来の根管の中の感染源を除去するのが困難な症例。ニッケルチタンファイルを使用しプレカーブを付与して本来の根管へアプローチした。近心根管にMB2がCTで確認できた。しかし、非常に狭窄している。通常の器具では未治療根管となるだろう。 |
設備
マイクロスコープ

歯を肉眼の数十倍にまで拡大して見ることができる機器です。肉眼では見えない部分まで見えるようになり、より正確な診断・精密な治療がおこなえるようになります。
歯科用CT

歯科用CTは歯や顎の骨の状態を立体的に把握できる機器です。複雑なかたちをした歯の根や見えづらい病変を立体的に映しだすことができます。
ラバーダム

根管治療の際に、治療する歯だけを露出させるゴム製のシートです。唾液や細菌の侵入を防ぎ清潔な状態を保つために用いられます。
ニッケルチタンファイル

ニッケルチタンファイルは、歯科の根管治療(歯の神経の治療)で使用される器具です。従来のファイルに比べて非常にしなやかで弾力性があるのが特徴であり、曲がった根管に追従しやすいため精密な治療が可能となります。
根管治療に関わる費用
相談・カウンセリング(約30分) | ¥17,600 |
|---|---|
VPT治療のみの場合 | ¥80,000~¥120,000 |
マイクロスコープを使った精密根管治療 | ¥110,000~¥220,000 |
マイクロスコープを使った歯根端切除術 | ¥165,000~¥220,000 |
単色ジルコニア ※クラウン | ¥88,000~¥140,000 |
エステニア ※クラウン | ¥88,000~¥99,000 |
ゴールド冠 ※クラウン | 時価 |
ハイグレードジルコニア ※クラウン | ¥143,000~¥165,000 |
e-max ※クラウン | ¥110,000~¥165,000 |
単色ジルコニア ※前歯部クラウン | ¥110,000~¥165,000 |
審美メタルフリー治療※前歯部クラウン | ¥143,000~¥220,000 |
仮歯(テック) 1歯 作製 | ¥5,500 |
仮歯(テック) 1歯 修理費 | ¥3,300 |
※価格設定は税込表記になります。
※具体的な金額は電話ではお答えできません。来院していただき診査診断を行ってお伝えします。
※自費の根管治療において保険は適用されません。
※金額は全て税込表示です。
お支払いについて
坂詰歯科・矯正歯科では、以下の支払い方法に対応しています。
※詳細は医院へお問い合わせください。
●現金
●クレジットカードに対応(自費のみ)
歯科医師紹介

松田 敦至
経歴
2008年 明海大学病院歯周病科 2016年 UCLA歯内療法卒後研修プログラム 修了 2017年 PERF-JAPAN 所属 2018年 PERF‐JAPAN 講師就任 endodontic net Tokyo 講師就任 NITIファイルHyFlexインストラクタ- 2019年 ドイツCOLTEN社公認インストラクター就任 トロントスタディクラブ所属 2020年 日本顕微鏡歯科学会 認定医取得
所属学会・資格・スタディーグループ
日本歯周病学会 日本歯科保存学会 日本歯内療法学会 日本歯科顕微鏡学会 日本口腔インプラント学会 日本口腔顔面痛学会 日本顕微鏡歯科学会 認定医
メッセージ
基本情報
住所
〒361-0078 埼玉県行田市中央13-12
最寄駅
秩父鉄道 秩父本線 行田市駅 徒歩4分
診療時間
月〜水・金 午前 9:00~12:30/14:30~19:00 木 オペ日 土 9:00~12:30/14:00~18:00
電話番号
048-556-3620
2. ユモトデンタルクリニック(埼玉県さいたま市大宮区)

医院紹介
大宮駅西口から徒歩5分の場所に位置する「アドグレイス大宮」。ダイワロイネットホテル大宮西口も併設され、ホテルとオフィスビル、そして医療モールの3つの顔を持つ建物内に「ユモトデンタルクリニック」は存在しています。
当院は埼玉県でも珍しい歯内療法専門医院であり、埼玉県内はもちろんのこと岩手や浜松の歯科医院からも患者の紹介を受ける歯内療法のプロフェッショナルと言えるでしょう。
また医院では保険診療は一切行わず、自由診療専門。1日最大5名までしか治療しないといった環境です。
そのため1名あたりの治療時間は長く保たれ、丁寧な説明や根管治療に必要な徹底的な感染部位の除去が可能になります。
設備
◆歯科用CT
◆マイクロスコープ(歯科用顕微鏡)
◆デンタルレントゲン
特徴1 根管治療領域ダブル専門医によるスペシャルな根管治療

ユモトデンタルクリニックの湯本 真幸歯科医師は、日本歯内療法学会 専門医およびPENN ENDO STUDY CLUB IN JAPAN 認定専門医を有する根管治療のスペシャリストです。
日本歯内療法学会 専門医は、今後広告可能な資格として日本歯科保存学会専門医へと統合予定の歯内療法領域における権威性のある資格の1つです。
また「PENN ENDO STUDY CLUB IN JAPAN」はペンシルバニア大学歯内療法学科の臨床コンセプトや技術を日本に普及させる目的で2009年に設立された、歯内療法領域の専門スタディークラブで、非常に厳密なプログラムの基、歯科医師へ臨床コンセプトや技術を継承しています。
それぞれの学会、スタディグループにおいて専門医という資格を持っていることは、ユモトデンタルクリニックの歯内療法領域での専門性を裏付けるものになると言えるでしょう。
根管治療に関わる費用
診査・診断・カウンセリング | |
紹介状をお持ちの方 | 11,000円 |
紹介状をお持ちでない方 | 22,000円 |
前歯 | 小臼歯 | 大臼歯 | |
生活歯髄療法 | 各 根管治療費と同額 | ||
根管治療(抜髄) | 99,000円 | 132,000円 | 154,000円 |
再根管治療 | 132,000円 | 154,000円 | 187,000円 |
歯内療法外科 | 154,000円 | 176,000円 | 220,000円 |
コア除去 | 11,000円 |
隔壁 | 6,600円 |
仮歯 | 11,000円 |
支台築造 | 38,500円 |
穿孔修理 (1か所につき) | 38,500円 |
ファイル除去(1か所につき) | 38,500円 |
破折診断(歯肉剥離による) | 38,500円 |
※上記は保険が適用されない自費診療です。
※金額は全て税込表示です。
お支払いについて
支払方法は医院へお問い合わせください。
基本情報
住所
〒330-0854 埼玉県さいたま市大宮区桜木町1丁目398番地1 アドグレイス大宮2F
最寄駅
JR大宮駅西口より徒歩5分
診療時間
診療時間はWebサイトに詳細な記載があります。 Webサイトのリンクからご参照されると良いでしょう。
電話番号
048-871-7011
3. デンタルクリニックK(埼玉県川口市)

医院紹介
埼玉県川口市、川口元郷駅より徒歩で5分の場所に位置する「デンタルクリニックK」。
同院の院長である渥美先生は歯科スタディグループ「JIADS」にて常任講師を務めており、これまで数々の歯科医師に根管治療の知識やスキルを指導してきたドクターです。
また、関東歯内療法学会理事も務めており、根管治療に精通したドクター主導のもと、チーム医療で質の高い治療を実現しています。
難症例の相談やセカンドオピニオンも積極的に受け付けているため、虫歯が悪化してしまった歯でもできるだけ残したいという方は、一度同院まで相談してみると良いでしょう。
設備
◆歯科用CBCT
◆歯科用顕微鏡
◆大型液晶モニター
◆歯科用拡大鏡
特徴1 日本顕微鏡歯科学会認定指導医による精密な診断・治療

歯の奥深くにある神経や血管が通る管をきれいにする「根管治療」では、非常に狭く複雑な形状をした空間を扱うため、歯科医療の中でも繊細を極める処置の一つです。
その根管治療において、より確実性の高い治療を実現するのに用いるのがマイクロスコープです。
デンタルクリニックKには歯科用マイクロスコープを使用する医療関係者の専門組織である日本顕微鏡歯科学会の「認定指導医」が在籍しています。
ただ、精密な機器を導入しているだけでなく、マイクロスコープを活用する歯科医師にも高い専門性があるため、精密な診断・治療を受けることができます。
まずは、ご自身の歯が残せる状態なのかどうかについて見極めてもらえるよう、デンタルクリニックKへ足を運んでみてはいかがでしょうか。
根管治療に関わる費用
初診料 | ¥0 |
|---|---|
再診料 | ¥1,000 (30分) |
前歯 | ¥100,000 |
小臼歯 | ¥120,000 |
大臼歯 | ¥140,000 |
※上記は保険が適用されない自費診療です。
※金額は全て税込表示です。
お支払いについて
デンタルクリニックKでは、以下の支払方法に対応しています。
※どの支払方法が適用できるかは治療内容によって異なるため、詳細は医院へお問い合わせください。
●現金
●クレジットカード
●デンタルローン
基本情報
住所
〒332-0006 埼玉県川口市末広1-2-13
最寄駅
埼玉高速鉄道「川口元郷駅」2番出口より徒歩5分
診療時間
月・水・金:9:00~13:00/15:00~19:00 火:9:00~13:00/17:00~19:00 土:9:00~13:00 木・日・祝:休診日
電話番号
048-229-1777
根管治療について
根管治療とは
根管治療は虫歯が悪化して歯の神経(歯髄)まで達した場合におこなう、歯を残すための治療法です。歯の根の中にある感染した神経や血管を丁寧に取り除き、管の中をきれいに洗浄・消毒します。最後に、再び細菌が入らないように薬剤で隙間なく密閉します。
根管治療の基本的な流れ
1.カウンセリング
2.精密検査
3.診断・治療計画の説明
4.抜髄(神経を取り除く治療)
5.根管内の洗浄・消毒
6.薬の充填と仮蓋の取り付け
7.根管充填(最終的な充填材で根管内を隙間なく詰める)
8.被せ物の取り付け
治療期間や通院回数の目安
治療期間:1ヵ月程度
通院回数:2~4回
※実際の治療期間や通院回数は口内状況や具体的な治療内容など個人差があります。
想定されるリスク・副作用
・根管治療をおこなった歯は内部が空洞になるため、健康な歯に比べて割れやすくなります。再治療でさらに歯を削ると、このリスクはより高まります。
・再度の根管治療で治りきらない場合は、歯の根の先にできた病巣などを外科的に取り除く治療法を用いることがあります。
・術後一時的に患部が腫れたり痛みが生じたりすることがあります(一定期間経過すると治まることが多いです)。
Medee歯科検索は、おすすめしたい歯医者を掲載しています。
駅、行政区、診療時間、歯科医院の特徴、診療科目など豊富な検索メニューで歯科医院を検索可能。
また歯科医院のWebサイトはもちろん各種予約ツールも利用することが可能で、より簡単に歯科医院を探すことができます。












