大塚CARNA歯科 矯正歯科の症例集
インプラントの症例
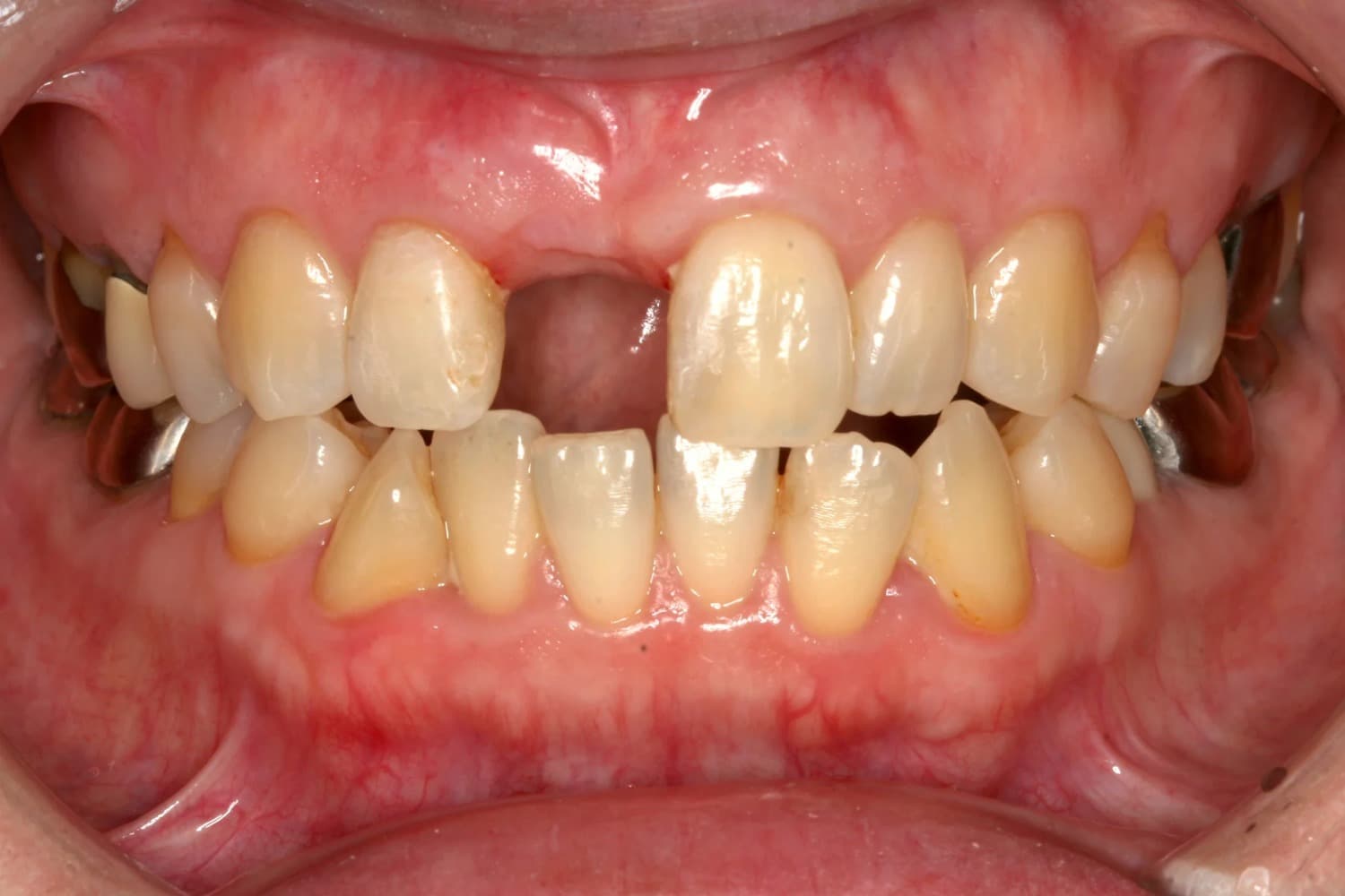
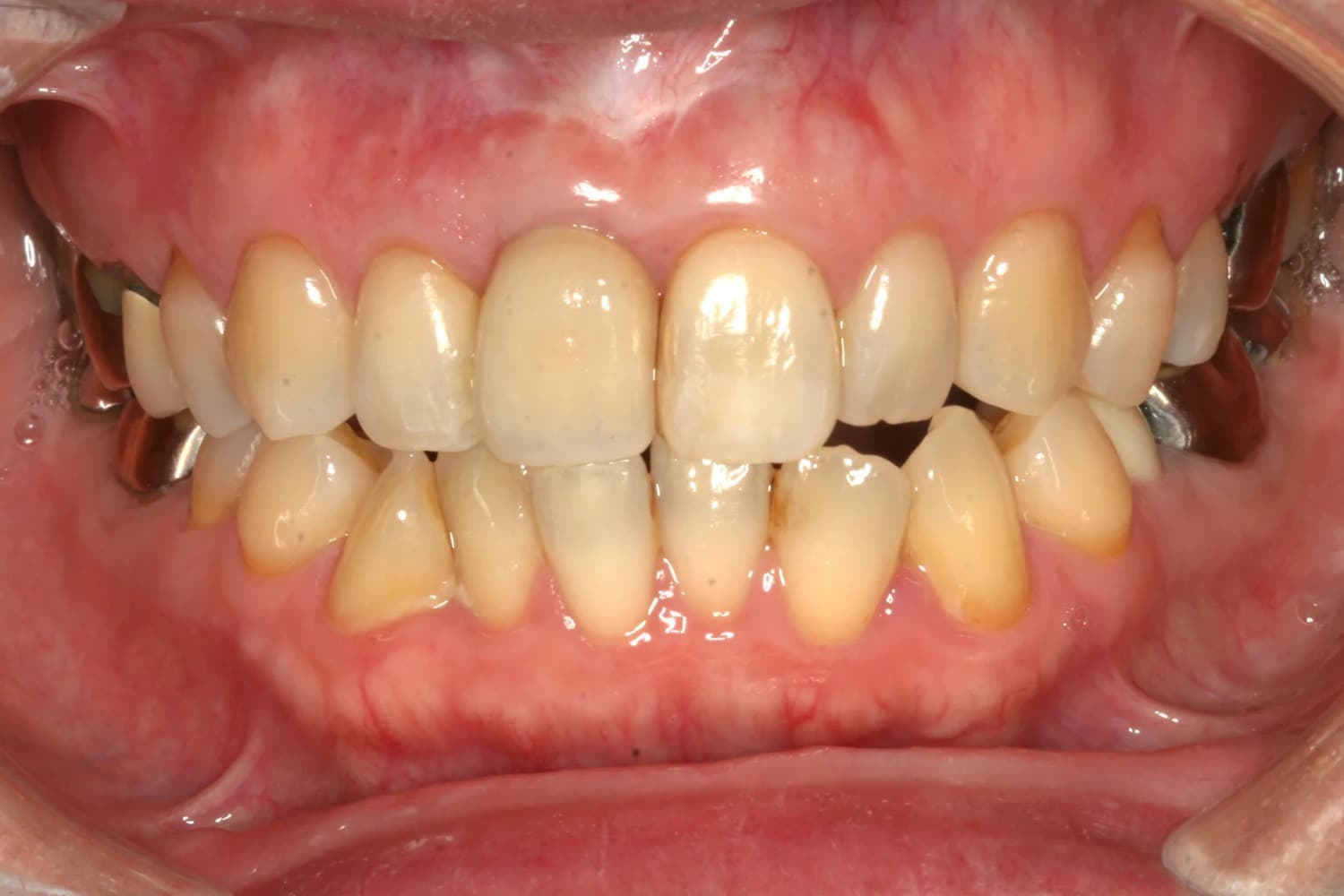
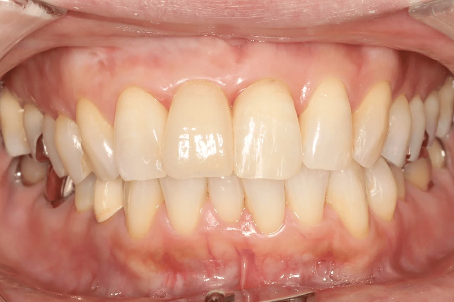
右上顎欠損部のインプラント治療
Before

After

インプラント埋入と同日に仮歯を装着(即時修復)、8週間の経過観察を行った。その後、インプラント周囲組織の安定がみられたため、ジルコニアクラウンを装着した。
主訴
上顎右側1欠損による審美障害
治療期間
3カ月
治療回数
不明
費用
530,200円
副作用・リスク
経年的な歯肉退縮、隣接歯の移動
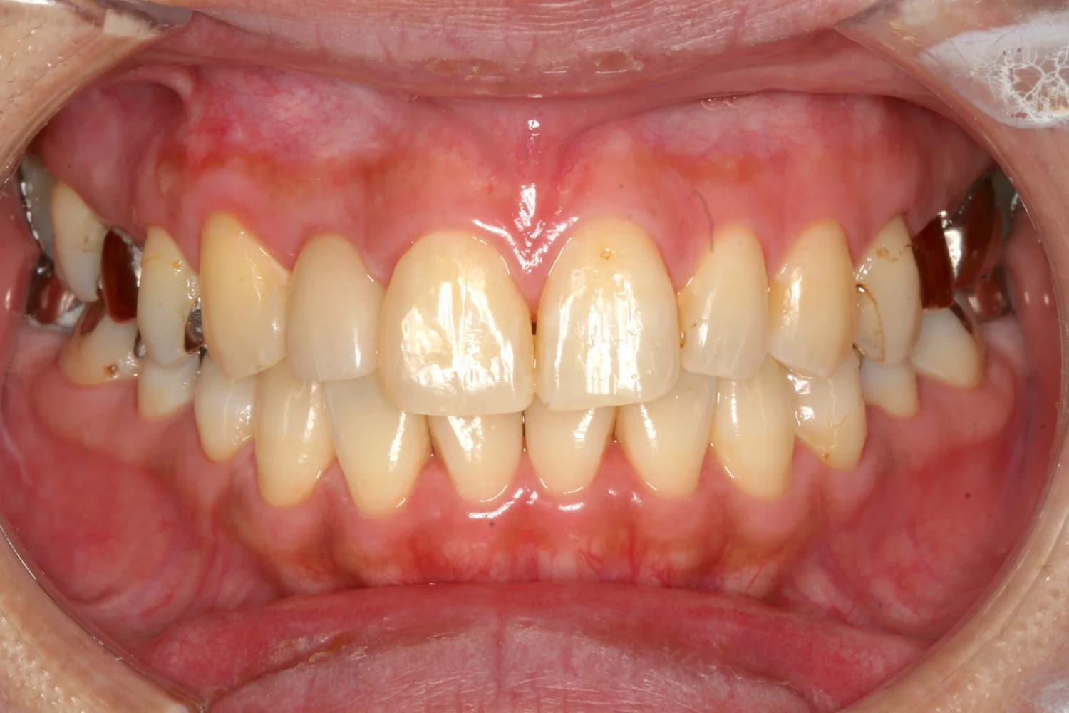
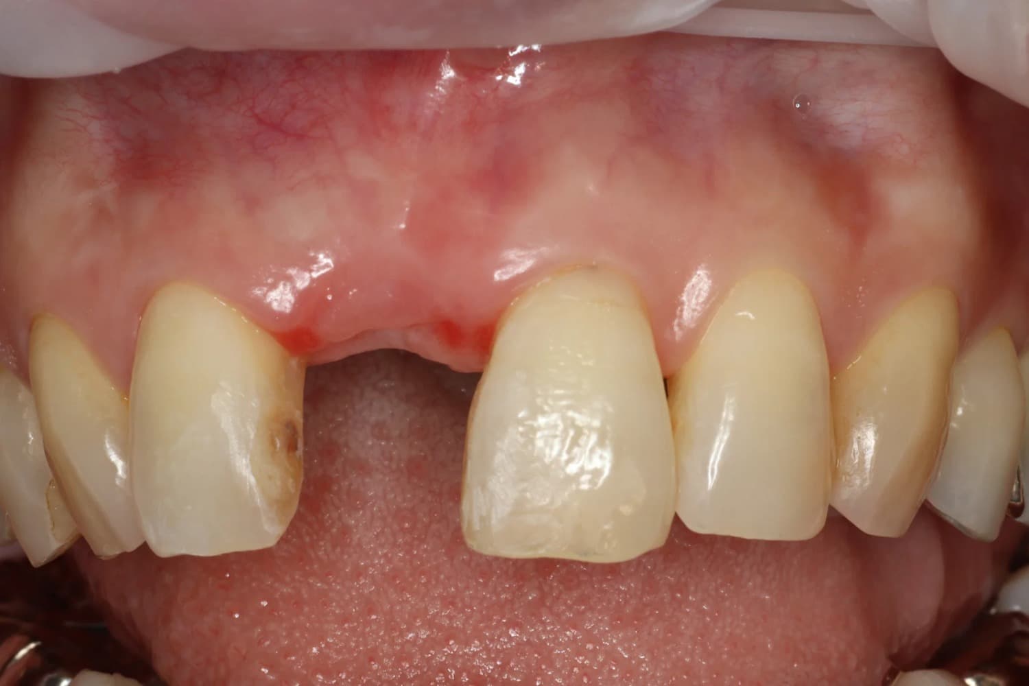
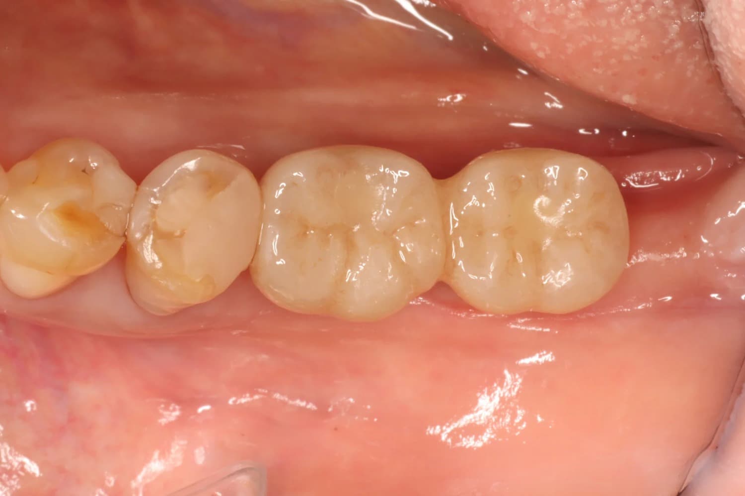
右上顎歯根破折部分のインプラント治療
Before

After

新鮮な歯根破折症例で感染を認めなかったため、抜歯即時埋入を選択した。 抜歯、インプラント埋入と同日に仮歯を装着し、3か月の経過観察を行った。 その後、インプラント周囲組織の安定がみられたため、ジルコニアクラウンを装着した。
主訴
上顎右側2歯根破折による審美障害
治療期間
4カ月
治療回数
不明
費用
579,700円
副作用・リスク
経年的な歯肉退縮、隣接歯の移動
上顎右側欠損部分のインプラント治療
Before

After

リッジプリザベーションにて歯槽堤を温存しインプラント埋入を行った。上顎右側2はダイレクトセラミックにて修復、ホワイトニングによりシェードが改善された。 インプラント:1本、インプラントクラウン:1本
主訴
上顎右側1欠損による審美障害
治療期間
5カ月
治療回数
不明
費用
576,400円
副作用・リスク
経年的な歯肉退縮、隣接歯の移動
左下顎欠損部分のインプラント治療
Before

After

ガイデットサージェリーにてインプラント埋入と同時に骨移植術を行った。6か月間の免荷期間をの後、ジルコニアクラウンを装着した。 インプラント:2本、インプラントクラウン:2本
主訴
下顎左側67欠損による咀嚼困難
治療期間
8カ月
治療回数
不明
費用
1,098,900円
副作用・リスク
清掃不良によるインプラント周囲粘膜炎/周囲
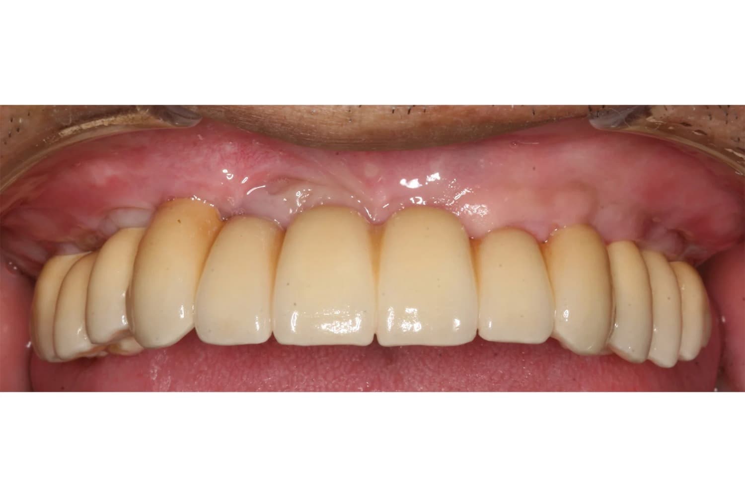
上顎のインプラント治療
Before

After

インプラント埋入と同日に仮歯を装着(即時荷重)、ジルコニアブリッジを装着した。5年以上メインテナンスを継続し、経過は良好である。 インプラント:6本、インプラントブリッジ:12本
主訴
不適合義歯による咀嚼困難
治療期間
6カ月
治療回数
不明
費用
3,980,900円
副作用・リスク
清掃不良によるインプラント周囲粘膜炎/周囲炎
下顎のインプラント治療
Before

After

ショートインプラントを用いたインプラントブリッジを選択し、骨移植の回避と治療期間の短縮を図った。清掃性に配慮し、メインテナンス時に着脱可能なデザインとした。 インプラント:6本、インプラントブリッジ:12本
主訴
義歯装着に伴う違和感および咀嚼困難
治療期間
6カ月
治療回数
不明
費用
3,980,900円
副作用・リスク
清掃不良によるインプラント周囲粘膜炎/周囲炎
不適合義歯によるインプラント治療
Before

After

上顎は軟質リラインを用いて症状が改善し、下顎はインプラントオーバーデンチャーとし咀嚼能力が改善された。5年以上メインテナンスを継続し、経過は良好である。 インプラント:2本、上下顎総義歯(下顎IOD)
主訴
不適合義歯による咀嚼困難
治療期間
6カ月
治療回数
不明
費用
1,688,500円
副作用・リスク
人工歯の摩耗、清掃不良によるインプラント周囲粘膜炎/周囲炎
Medee歯科検索は、おすすめしたい歯医者を掲載しています。
駅、行政区、診療時間、歯科医院の特徴、診療科目など豊富な検索メニューで歯科医院を検索可能。
また歯科医院のWebサイトはもちろん各種予約ツールも利用することが可能で、より簡単に歯科医院を探すことができます。