大森沢田通り歯科・予防クリニックの症例集
インプラントの症例
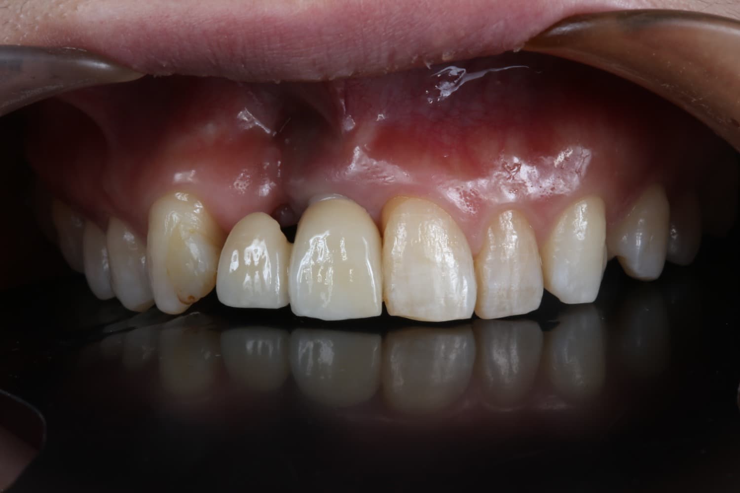
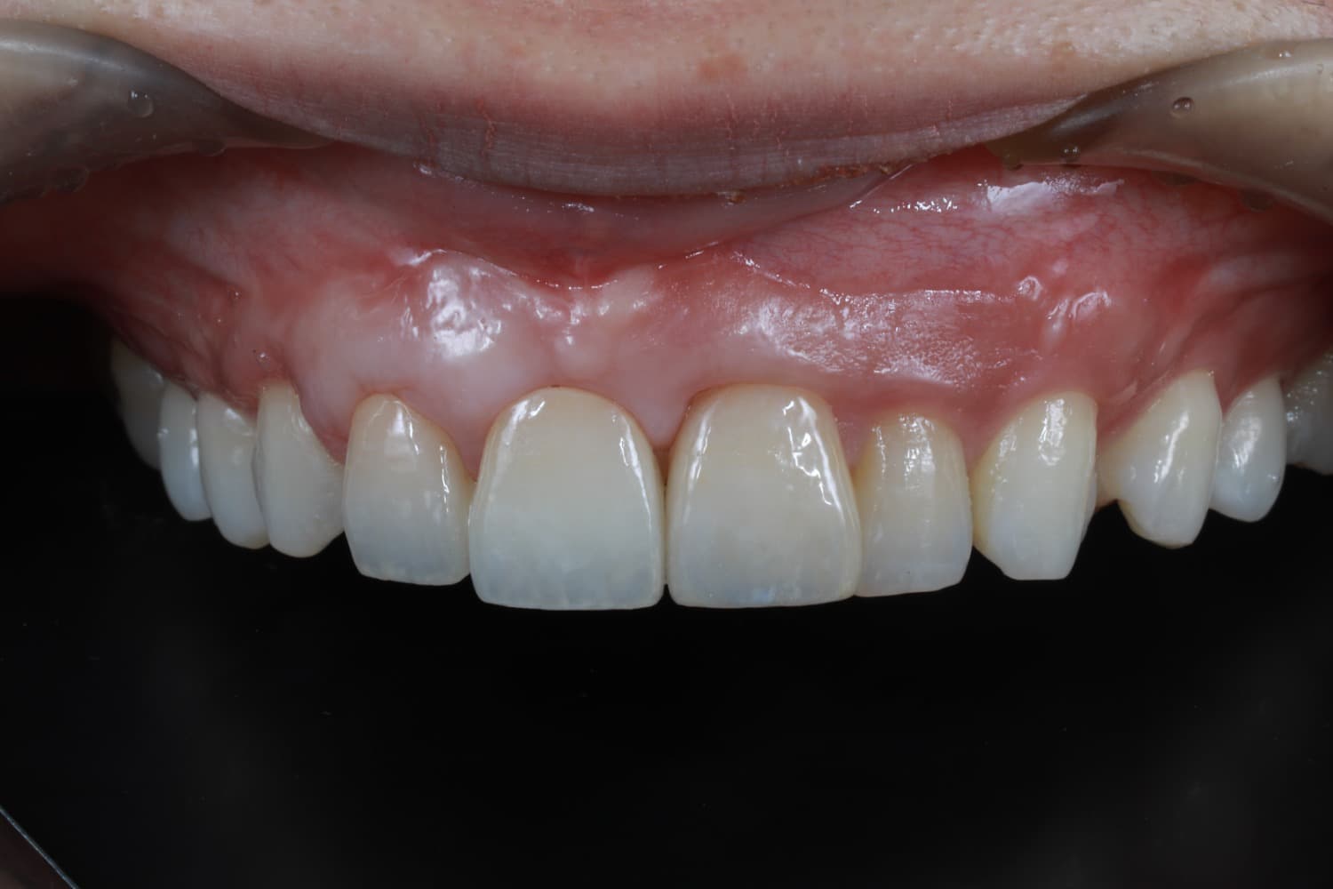
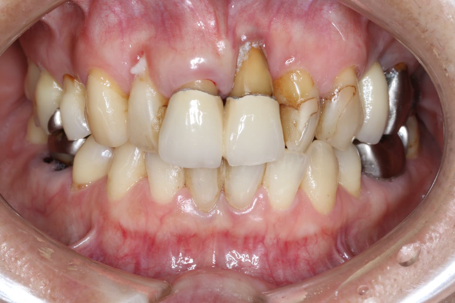
他院でおこなったインプラントの再埋入
Before

After



右上12に他院にてインプラント治療を行ったが、見た目が悪いのでGBRとCTG、再埋入を行った。
年齢
40代
性別
女性
主訴
歯茎にものが詰まる。見た目が悪い。
治療期間
1年6ヶ月
治療回数
10回
費用
80万円
副作用・リスク
腫脹、疼痛
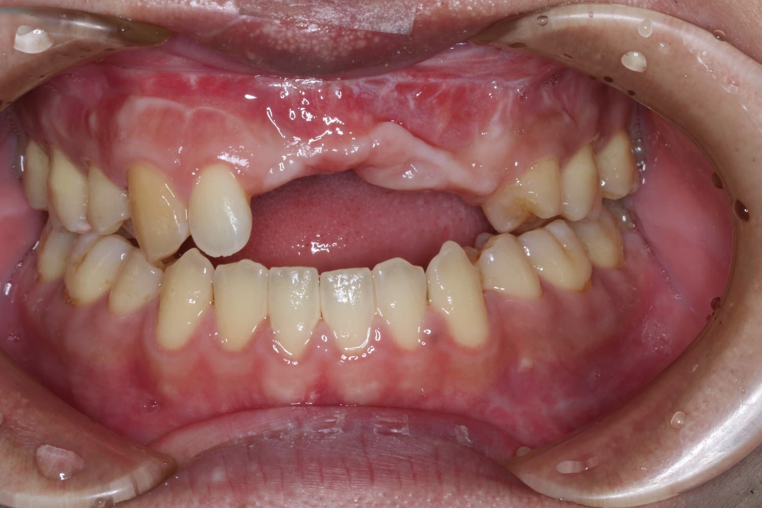
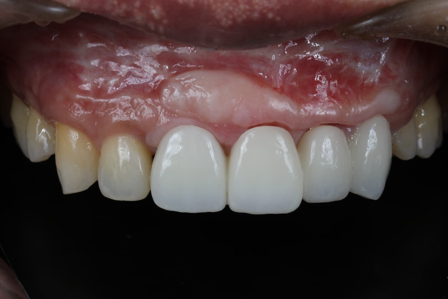
連続欠損に対するインプラント治療
Before

After



喪失した連続欠損に対してインプラントGBRCTGを行い、審美的・機能的に回復を行なった
年齢
30代
性別
男性
主訴
前歯の入れ歯を避けたいのでインプラントをしてほしい
治療期間
2年
治療回数
20回
費用
200万円
副作用・リスク
腫脹、疼痛
左上1のインプラント治療
Before

After



保存不可能な左上1を抜歯して、インプラント治療を行った 今回は歯間乳頭を作るために部分矯正も行う GBRやCTGも含む
年齢
30代
性別
女性
主訴
前歯が長くなってきた
治療期間
2年
治療回数
20回
費用
120万円
副作用・リスク
腫脹、疼痛
Medee歯科検索は、おすすめしたい歯医者を掲載しています。
駅、行政区、診療時間、歯科医院の特徴、診療科目など豊富な検索メニューで歯科医院を検索可能。
また歯科医院のWebサイトはもちろん各種予約ツールも利用することが可能で、より簡単に歯科医院を探すことができます。