オカダ歯科クリニックの症例集
インプラントの症例
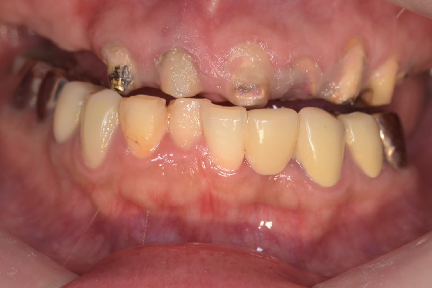
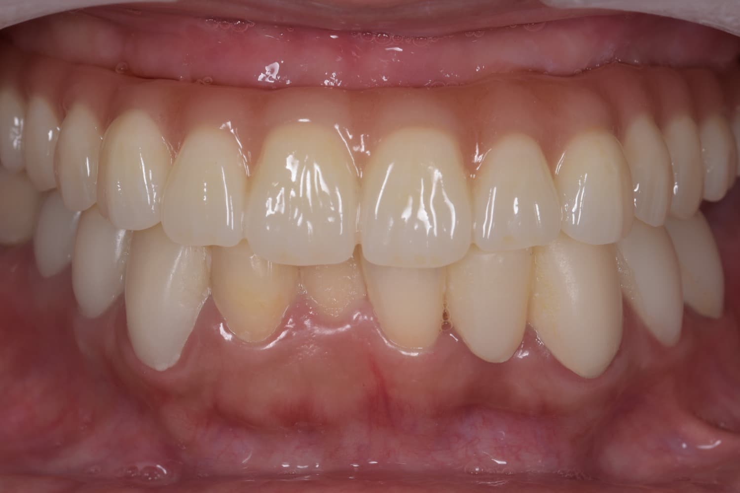
上顎の全顎の即時インプラント(40代女性)
Before

After



上顎の全顎の即時インプラント(1Dayトリートメント) 仮歯まで1日で入ります。 ※治療後も定期的なメンテナンスは必要
年齢
40代
性別
女性
主訴
歯が欲しい、インプラントを入れたい
治療期間
3ヵ月
治療回数
5回
費用
300万円
副作用・リスク
顔面の腫れ
骨が薄い方のインプラント治療(50代女性)
Before

After

足りない分の骨を補いインプラントを埋入
年齢
50代
性別
女性
主訴
骨が薄くインプラントが入れられない
治療期間
6ヵ月
治療回数
8回
費用
100万円
副作用・リスク
術部の腫れ
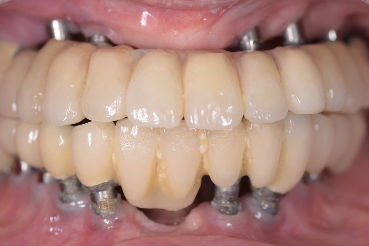
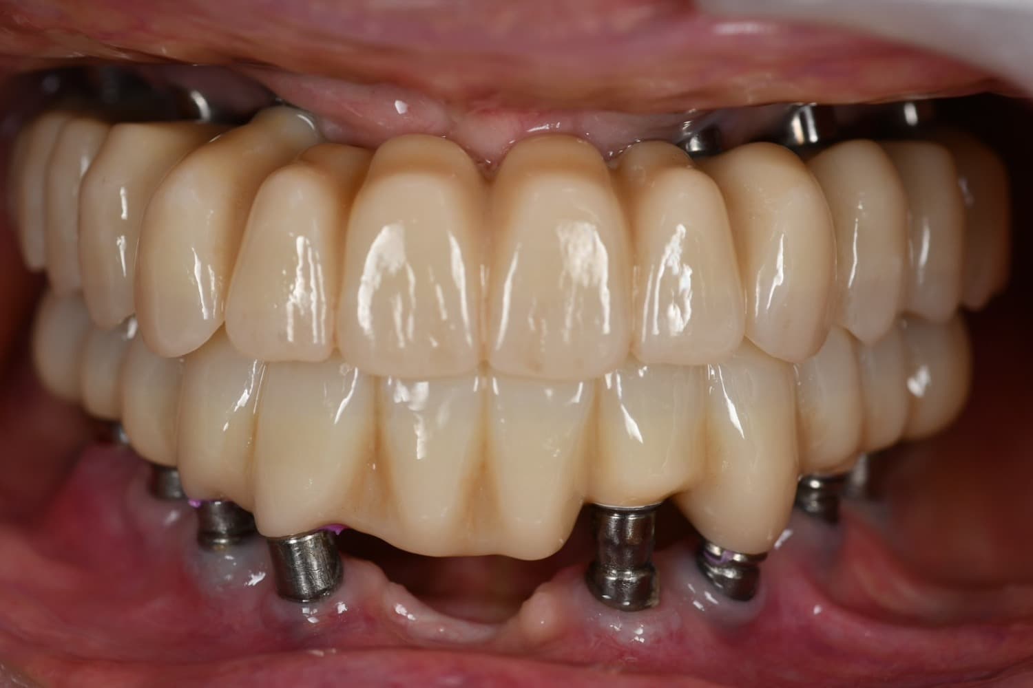
他院で埋入したインプラントの上部構造交換とインプラント周囲炎の治療(90代女性)
Before

After

他院で埋入したインプラントの上部構造交換とインプラント周囲炎の治療 90歳以上の方に外科的な処置をするのは難しいので、現状を維持するような処置で対応 その後も当院で通院して継続的なメンテナンスをおこなう 【beforeの写真について】 術前のインプラントのメインテナンスが行われていない状態 【afterの写真について】 術後のインプラント周囲炎の処置と上部構造の交換をした状態
年齢
90代
性別
女性
主訴
インプラントのメインテナンスをして欲しい
治療期間
6ヵ月
治療回数
10回
費用
300万円
副作用・リスク
継続したメインテナンスの必要性
Medee歯科検索は、おすすめしたい歯医者を掲載しています。
駅、行政区、診療時間、歯科医院の特徴、診療科目など豊富な検索メニューで歯科医院を検索可能。
また歯科医院のWebサイトはもちろん各種予約ツールも利用することが可能で、より簡単に歯科医院を探すことができます。