医療法人社団オハナ会ウィズ歯科クリニックの症例集
インプラントの症例
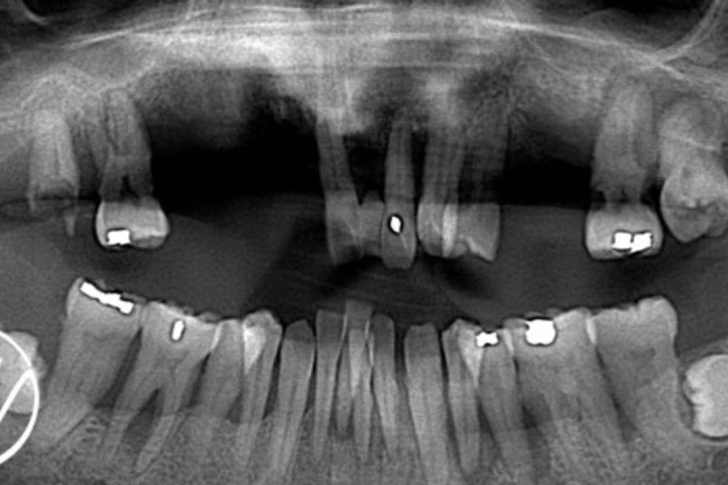
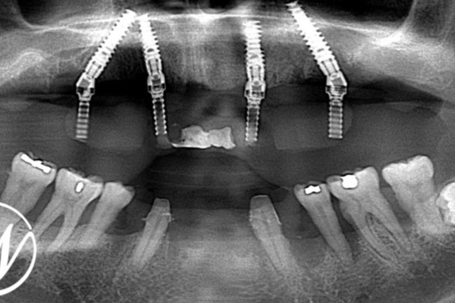
下顎前歯のブリッジ装着、上顎のインプラント治療(40代/男性)
Before

After

下顎前歯部:抜歯後に仮歯付きブリッジを装着 上顎全体:オールオン4によるインプラント治療を選択 治療内容 治療当日に仮歯を装着し、審美性を即日回復 治療期間の短縮と出張スケジュールへの配慮 鎮静下(静脈内鎮静)でのオペによる痛み・恐怖の軽減 オペ前日 下顎前歯部を抜歯 仮歯付きのブリッジを装着。下顎前歯の突き上げを排除 オペ当日(上顎) 鎮静下にて残存歯をすべて抜歯 オールオン4の術式でインプラント4本を埋入 その日のうちに仮歯を装着し即時荷重(審美性をその日に確保)
年齢
40代男性
性別
男性
主訴
上顎が「歯がグラグラして咬めない」「見た目も気になる」
治療期間
準備期間:約1ヶ月(※通常2ヶ月) インプラント埋入〜最終補綴:約4〜6ヶ月
治療回数
6回
費用
税込み¥1,500,000
副作用・リスク
・即時荷重を行っているため、術後の食事制限(硬い物・熱い物・粘着性のある物の制限)が必須 ・食事制限を守らないとインプラントが骨と結合せず、ロスト(脱落)のリスクがある 骨量が十分でない方や歯ぎしり・食いしばりの強い方には適応できない場合もある
Medee歯科検索は、おすすめしたい歯医者を掲載しています。
駅、行政区、診療時間、歯科医院の特徴、診療科目など豊富な検索メニューで歯科医院を検索可能。
また歯科医院のWebサイトはもちろん各種予約ツールも利用することが可能で、より簡単に歯科医院を探すことができます。