宇田川歯科医院の症例集
インプラントの症例
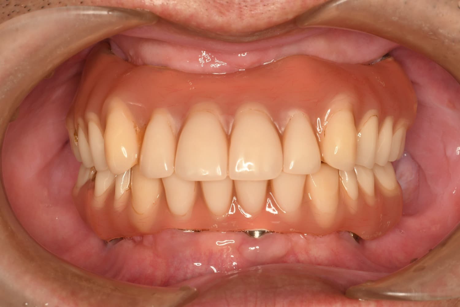
全歯のインプラント治療(50代/男性)
Before

After



オールオン4
年齢
50代
性別
男性
主訴
他院で総義歯を入れたが、噛むと上の義歯が落ちて使えない。インプラント相談希望。
治療期間
10カ月
治療回数
12回
費用
6,000,000円+骨造成代
副作用・リスク
メインテナンスが出来ていないとインプラント周囲炎になる。よく噛めるため、上部構造が使用していくうちに破損することがある。
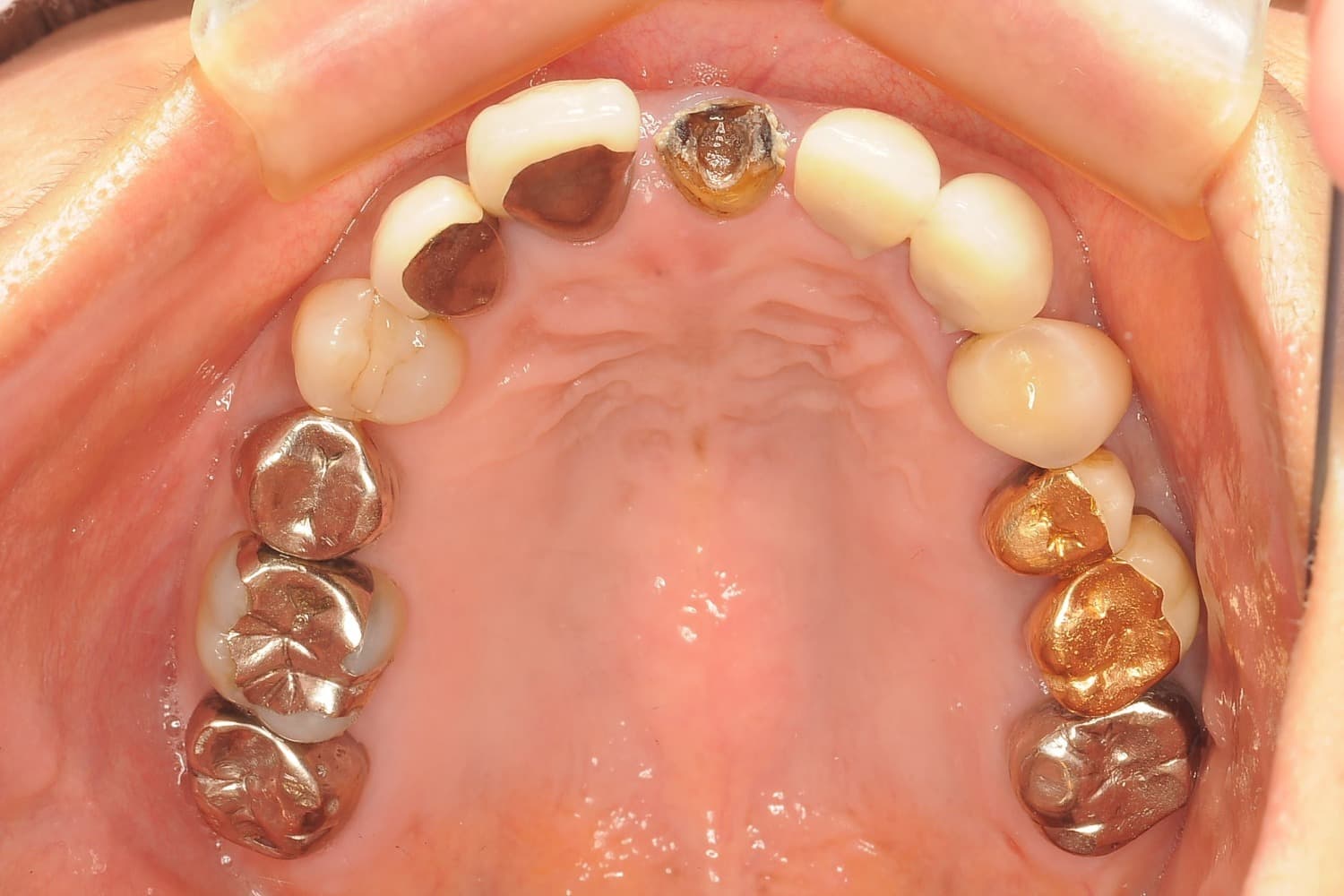
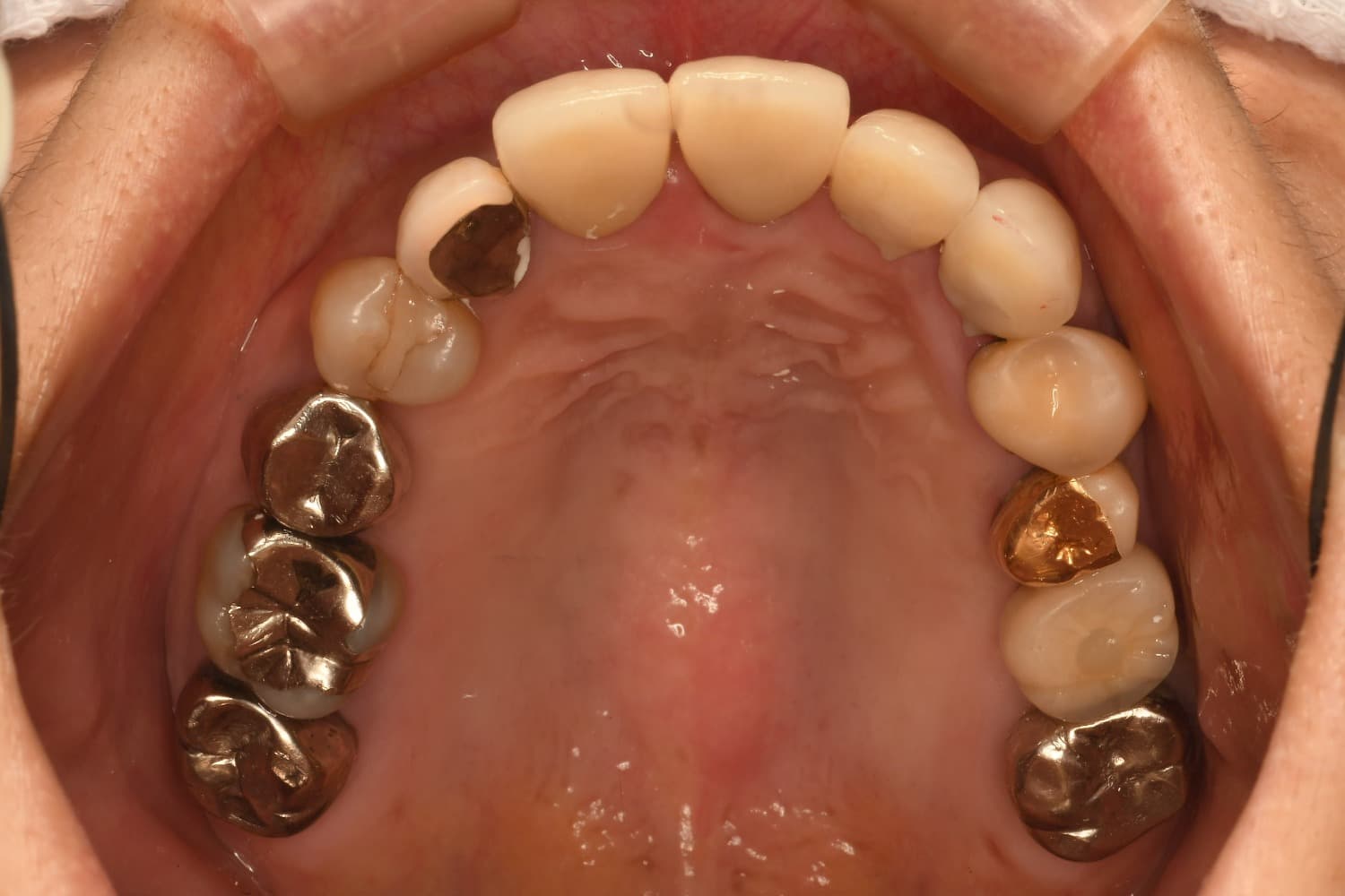
上顎のインプラント治療(50代/女性)
Before

After



左上6番の抜歯と同時に骨を増やす処置(GBR)を行い、2カ月後の精密検査で土台の回復を確認します。インプラントプレミアムコースで、安全にインプラントを埋入します。
年齢
50代
性別
女性
主訴
左上6番に違和感。根尖病巣と歯周病で動揺あり。
治療期間
1年2カ月
治療回数
7回
費用
手術代580,000円+骨補填材代+上部構造代
副作用・リスク
副鼻腔炎等の耳鼻科領域の症状が発現することがあります。
Medee歯科検索は、おすすめしたい歯医者を掲載しています。
駅、行政区、診療時間、歯科医院の特徴、診療科目など豊富な検索メニューで歯科医院を検索可能。
また歯科医院のWebサイトはもちろん各種予約ツールも利用することが可能で、より簡単に歯科医院を探すことができます。