【2026年】千葉市でインプラント治療におすすめしたい歯科医院6選
2025/1/5
2026/3/23
#インプラント

千葉市は政令指定都市であり、中央区・花見川区・稲毛区・若葉区・緑区・美浜区の6つの行政区画に分けられます。
また千葉市は市内だけでも554もの歯科医院があり、インプラントを実施している歯科医院も数十医院に登ります。
参考:(地域医療情報システム)
調査をしてみるとインプラントオペのために全国をめぐるような歯科医師もいたり、アクティブなインプラント学会の代表理事がいたりかなりインプラントに強みを持つ歯科医師がいるエリアのようです。
そこでこの記事では、千葉市のインプラントに力を入れている歯科医院について、7つの情報をもとに整理しています。
7つの情報とは「臨床実績」「設備」「対応できる術式」「保証」「メインテナンス体制」「価格・費用」「口コミ」のことです。
これらの詳細情報については「インプラントに対応している歯科医院について」の記事にてご紹介しております。
千葉市でインプラントに対応している歯科医院をお探しの方は、ぜひ参考にしてみてください。
※2026年3月時点におけるMedee編集部の調査データとなります。
- 1.2海岸歯科室(稲毛海岸駅)
【2026年】千葉市でインプラント治療におすすめしたい歯科医院6選
1. 千葉総合歯科稲毛 矯正歯科(稲毛駅)PR
千葉総合歯科稲毛 矯正歯科(稲毛駅)のインプラントに関する動画
パートナーとして患者さんに寄り添った治療の提供を
千葉市稲毛区、稲毛駅より徒歩で約30秒の場所に位置する【千葉総合歯科稲毛 矯正歯科】。
「患者さんとのコミュニケーションを大切に」をモットーにされており、充分なカウンセリング時間を確保したうえで、患者さん一人一人に対して親身な姿勢でヒアリングをおこなっているようです。
患者さんの多岐に渡る要望に応え、お口の健康維持をサポートできるよう、虫歯や歯周病の治療はもちろん、予防歯科・矯正歯科・インプラントなど幅広く総合的に対応されています。
特にインプラントの治療には力を入れており、千葉市に限らず千葉県全域から患者さんが来院されるようです。
インプラントを担当する副院長の鈴木祐輔先生は、インプラントに関する専門資格を複数持っており、日本歯科麻酔学会の認定医を有するドクターと連携して、質の高い治療を提供されています。
院内の衛生管理も徹底されており、患者さんが使用するコップやエプロンは使い捨てに、使い捨てができない機器に関してはヨーロッパの厳しい基準を満たした滅菌器で処理されています。
整った環境で高いスキルを持つドクターの治療が受けられるでしょう。
特徴1 3ヵ国のインプラント学会にて専門医の資格を有する熟練ドクターが執刀

「千葉総合歯科稲毛 矯正歯科」では高度な技術と豊富な治療実績を持つ副院長の鈴木祐輔先生が治療を担当します。
高いスキルを裏付けるように、鈴木先生は3ヵ国(日・独・米)のインプラント学会にて専門医の資格を有しています。
また、インプラント歯科において世界的に名のある米国ロマリンダ大学のインプラント学講座臨床准教でもあり、研究や指導にも携わっているようです。
先生のインプラント治療を学びにやってくる歯科医師もいるとのことです。
通常のインプラント治療はもちろん、より高い技術が求められるオールオン4(All-on-4)や抜歯即時埋入法など幅広い治療法に対応されているので、インプラント治療に関して信頼できるドクターをお探しなら、鈴木祐輔先生に一度相談してみてはいかがでしょう。
豊富な知識と高度な技術を裏付ける複数の専門資格を持つ熟練のドクターが、インプラントの治療を担当してくれます。
※抜歯即時埋入法:抜歯と同時にインプラントを埋入する治療法
※オールオン4:顎骨に4本のインプラントを埋入し、前歯から奥歯まで一体となった人工歯を固定する治療法
千葉総合歯科稲毛 矯正歯科のオールオン4についてはこちら
特徴2 顎骨が少ないなどの難症例にも対応

インプラント治療においては、人工歯根を埋入できるだけの十分な量の顎骨が必要です。
顎骨が少なく、人工歯根を埋め込めるだけの骨が確保できていないとなれば、いわゆる難症例と診断されるでしょう。
「千葉総合歯科稲毛 矯正歯科」では、顎骨が少ないなどの難症例でもインプラントによる治療がおこなえるようさまざまな治療法に対応されており、そのひとつの例として「CGF」が挙げられます。
遠心分離機によって患者さんご自身の血液から生成された骨再生誘導物質を活用して、人工歯根を埋入するのに必要な骨を再生させる治療法です。
ご自身の血液を活用するため、感染症やアレルギーの心配もありません。
このほかにも骨補填材を入れて骨を増やすサイナスリフト、骨を移植するボーングラフトなど、難症例に対応するためのさまざまな術式をおこなうことが可能です。
特徴3 精巧な歯を作製するための熟練した歯科技工士と院内技工室

インプラントに被せる上部構造(人工歯)は、一般的に外部の技工所に依頼して作製してもらうことが多いです。
外部の技工所に依頼する場合、医院と技工所でやりとりをする必要があるため、上部構造の作製に時間がかかります。
また、技工所の歯科技工士が直接患者さんの口内を見れないため、色や形など患者さんの希望に沿えない可能性もあるでしょう。
この点に関して「千葉総合歯科稲毛 矯正歯科」は、院内に熟練の歯科技工士が常駐しており、技工所も併設されています。
歯科技工士が直接患者さんの口内を観察できるため、患者さんのお口に合わせた精度の高い歯をスムーズに作製してもらいやすくなります。
また、院内に技工所があることで技工物の質や安全性を高められ、なにかあったときも素早く対応してもらえるでしょう。
特徴4 治療後の万全なメンテナンス体制

インプラントを埋入して上部構造を装着したあとは、定期的に歯科医院でメンテナンスを受ける必要があります。
メンテナンスを怠らず継続的に受けることが、インプラントを長持ちさせるためのポイントです。
「予約がなかなか取れない」「アクセスしにくい」などの理由から、歯科医院でのメンテナンスを怠ってしまう方もいらっしゃいます。
ただ、千葉総合歯科稲毛矯正歯科には20名以上の歯科衛生士が在籍しており、ユニット数も23台あるため、治療後のメンテナンス予約も取りやすいでしょう。
また、稲毛駅から徒歩で約30秒とアクセスもしやすく、土日も診療しているので継続的にメンテナンスを受けやすい環境といえます。
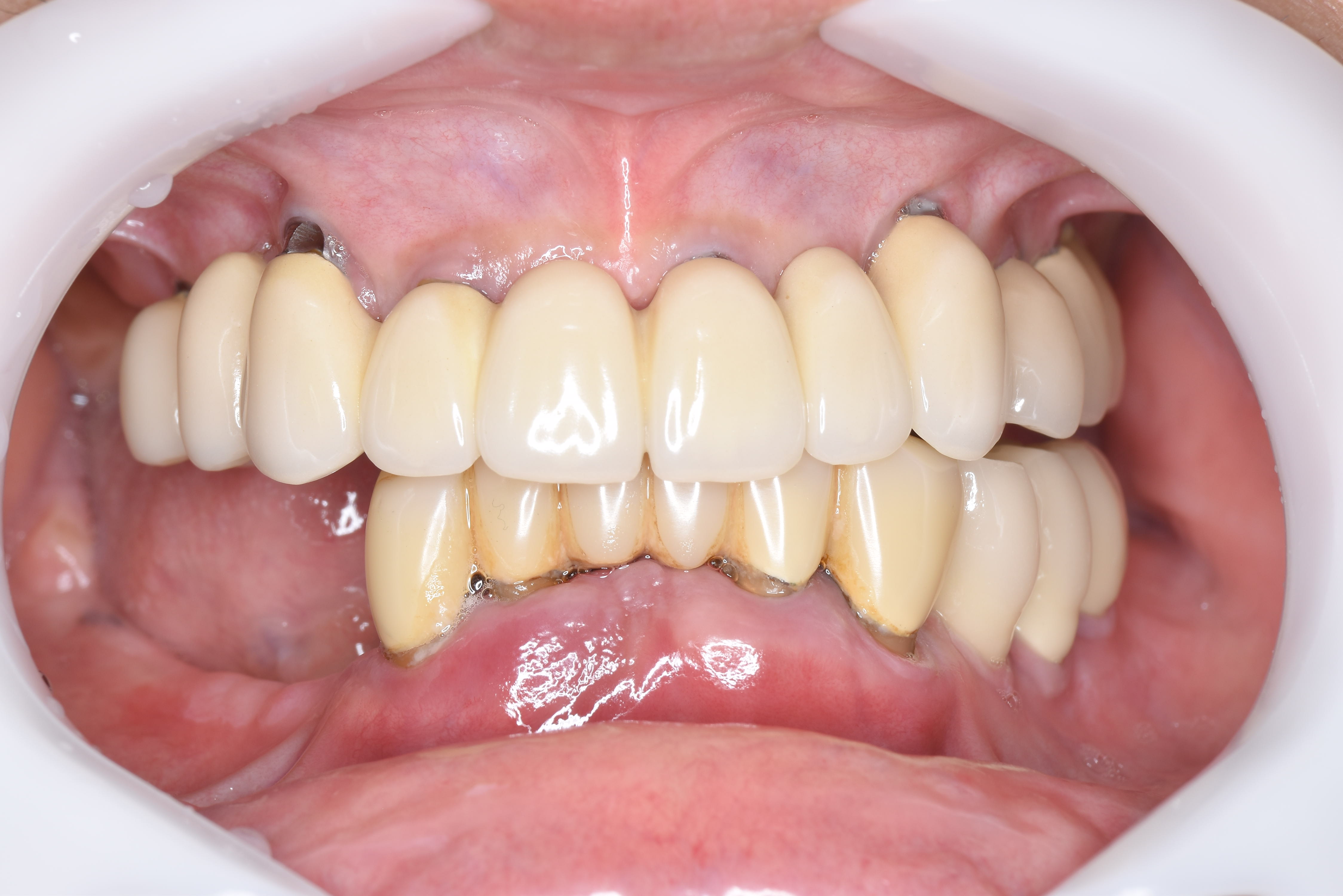
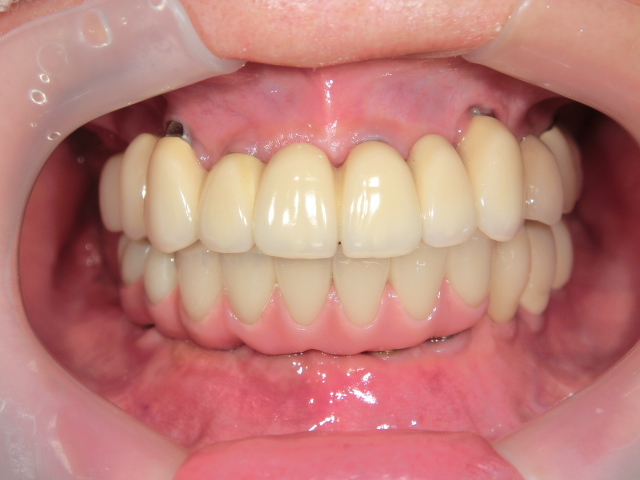
症例1
Before

After

患者さんの年齢/性別 | 74歳/女性 |
|---|---|
主訴 | 上下の入れ歯をインプラントにしたい |
治療の詳細 | 骨吸収により上顎のブリッジの保存が難しい状態のため、インプラント治療をご希望されていました。インプラントを6本埋め込み、固定式の義歯を装着しました。固定式の義歯を装着後も、長くいい状態で保てるように定期検診で拝見させていただいております。 |
治療期間/治療回数 | 11ヶ月 |
費用 | 300万円 |
副作用・リスク | インプラント治療は手術を伴います。腫れや痛みなどができるだけ少なくなるよう努力をしておりますが、多少の腫れや痛みが生じます。しかし、生じる痛みは痛み止めで抑えられる程度ですのでご安心ください。 |
設備
歯科用CT

従来のCTと比べてX線照射量が少ない歯科用CTです。顎骨の構造を立体的に把握することができ、顎骨に人工歯根を埋め込むインプラン治療においては必須の機器といえます。
クラスB滅菌器

ヨーロッパの厳格な基準をクリアした滅菌器です。さまざまな医療機器の表面だけでなく内部まで滅菌処理することができます。
遠心分離機

インプラント治療において骨を増やす必要がある場合に、患者さんの血液から骨の形成を促す物質を抽出・生成する機器です。
位相差顕微鏡

位相差顕微鏡は最大4000倍まで拡大できる特殊な顕微鏡です。口腔内に潜む細菌をモニターにてリアルタイムで観察できます。細菌の種類等を特定し、その細菌に合わせた治療ができるようになります。
手術室

通常の診療室よりも厳格に衛生管理が徹底された完全個室の手術室です。外科処置やインプラント手術などは、この手術室でおこなわれます。
インプラントに関わる費用
基本料金
インプラント埋入手術 | 診査・診断 | ¥275,000 |
|---|---|---|
2次オペ | ¥33,000 | |
アバットメント | チタン製 | ¥55,000 |
ジルコニア製 | ¥77,000 | |
上部構造(人工歯) | ジルコニアクラウン | ¥132,000 |
メタルセラミッククラウン | ¥132,000 | |
ルコニアセラミッククラウン | ¥187,000 |
オプション
静脈内鎮静法 | ¥99,000(1手術) |
|---|---|
CGF | ¥99,000 |
AFG | ¥99,000 |
ソケットプリザベーション | ¥66,000~ |
リッジオーギュメンテーション | ¥66,000~ |
サイナスグラフト | ¥220,000~ |
サイナスリフト | ¥66,000~ |
※これらは保険が適用されない自費診療です。
※金額は全て税込表示です。
お支払いについて
「千葉総合歯科稲毛 矯正歯科」では、自由診療に関して現金のほかに以下の方法でお支払い可能です。
●クレジットカード
●デンタルローン
それぞれ詳しい内容については医院へ直接お問い合わせください。
インプラントは医療費控除の対象となります。医療費控除を活用することでいくらかの治療費がが返ってきますのでぜひ活用してみてください。
<関連記事>
【年収別】インプラントで医療費控除を使ったらいくら戻ってくる?申請方法も解説
歯科医師紹介

鈴木 祐輔
経歴
東京歯科大学卒 2004年3月 東京歯科大学大学院研究科にて歯学博士取得 2008年3月 エアランゲン-ニュールンベルグ フリードリッヒ- アレクサンダー大学 顎顔面口腔外科講座(エアランゲン、ドイツ) 2008年1月~3月 ロマリンダ大学 インプラント学講座(ロマリンダ、アメリカ) 2008年~2011年 米国ロマリンダ大学インプラント学講座臨床准教授 2011年7月~ 千葉総合歯科稲毛 矯正歯科勤務、稲毛インプラントセンター所長 2011年9月
所属学会・資格・スタディーグループ
米国ロマリンダ大学インプラント学講座臨床准教 ドイツインプラント学会(DGZI)国際専門医・国際指導医 国際口腔インプラント学会(ISOI) 国際専門医・国際指導医 日本口腔インプラント学会 専門医 アメリカインプラント学会(AAID)専門医 ITI国際インプラント 再生医学会公認インプラントスペシャリスト 歯科医師臨床研修指導歯科医 スウェデンティスト認定医 AOアメリカンオッセオインテグレーション学会 日本臨床歯周病学会 日本インプラント臨床研究会 日本歯科審美学会 ストローマンインプラント認定 アンキロスインプラント認定 ノーベルバイオケアインプラント認定 POIインプラント認定 社団法人日本口腔インプラント学会認定講習会(100時間コース)修了
メッセージ
基本情報
住所
〒263-0043 千葉市稲毛区小仲台2-5-3稲栄ビル1F・6F・7F
最寄駅
稲毛駅より徒歩で約30秒
診療時間
月~金:9:00~13:00/14:00~18:00 土・日:9:00~13:00/14:00~17:00 祝日:休診日
電話番号
043-445-8810
2. 海岸歯科室(稲毛海岸駅)PR

患者さんを第一に考えた「世界一優しい」診療を目指す
稲毛海岸駅北口から徒歩で約1分の場所にある「海岸歯科室」。
平日はもちろん土日も診療しており、アクセスもしやすいため通院しやすい環境が整っています。
患者さんを第一優先に考えた「世界一優しい診療」が提供できるよう、日々心のこもった対応を心がけているとのことです。
院内には歯科用CTやレントゲンをはじめとしたさまざまな機器が導入されており、滅菌器による医療器具の滅菌や患者さん毎のグローブ交換など、衛生管理も徹底されています。
清潔で設備が充実した医院のもと、精度の高い治療が受けられるでしょう。
80歳になっても26本の歯を残すことを目標に掲げており、患者さんそれぞれのお口の悩みに合わせたケアやアドバイスが受けられます。
まずは気軽に相談してみてはいかがでしょう。
特徴1 CTデータを活用した綿密な治療計画の立案

海岸歯科室では、歯科用CTで患者さんの口腔状況を詳細に把握したうえで治療計画を立案しているとのことです。
血管や神経の位置をCTで見極め、事前にコンピューター上でシミュレーション手術をすることによって、より安全性の高い綿密な計画が立てられるようになります。
患者さん一人ひとり異なる骨の「厚み」や「密度」などを把握してから治療することで、インプラントが歯肉や他の組織を突き抜けたり、インプラントが脱落したりするリスクを軽減することができます。
このように海岸歯科室では、安全面の確認を徹底したオーダーメイドな治療が受けられるでしょう。
特徴2 国際インプラント学会指導医が治療を担当

海岸歯科室のインプラント治療は、国際インプラント学会指導医の資格を有するドクターが担当します。
さまざまな症例を多数手がけてきた実績があり、インプラント治療における豊富な経験を持っています。
「インプラントを埋入するための骨が足りない」「神経や血管の近くに埋入する必要がある」などの難症例においても対応してもらえるでしょう。
また、経験や勘だけに頼らないよう、インプラントが計画どおり埋入できるよう設計されたマウスピース型の装置(サージカルガイド)も活用しているとのことです。
安全面の確認を徹底したオーダーメイドな治療計画のもと、経験豊富なドクターによるこれまでの経験や勘だけに頼らない質の高い治療が受けられるでしょう。
セカンドオピニオンを受け付けているので、インプラント治療を検討されている方は、海岸歯科室にて一度相談してみてはいかがでしょうか。
特徴3 日本人に合わせて作られたインプラントを使用
.jpg)
インプラント治療において、どのようなインプラントを使用するかは、インプラント治療の成功を左右する重要なポイントです。
海岸歯科室では、顎骨が小さい日本人の骨格に合わせて作られた京セラ社(国内メーカー)のインプラントを使用しています。
京セラ社のインプラントは、多様な治療法に対応できる豊富なラインナップと、長期にわたる臨床実績が強みです。
また、国内メーカーであるため運搬に時間がかかりにくい点も魅力の一つといえます。
患者さんに安心してインプラント治療を受けてもらえるよう、海岸歯科室では国内メーカであり国内シェアの高い京セラ社のインプラントを使用しているようです。
設備
歯科用CT

歯や顎骨の状態を立体的に把握できる装置です。骨の中にある神経や血管の位置まで確認でき、インプラント治療には必須の装置といえます。
マイクロスコープ

対象を数十倍にまで拡大して観察できる機器です。患部の細部まで確認できるようになり、より精密な治療がおこなえるようになります。
口腔内スキャナ

小型のカメラで口腔内をスキャンできる装置です。ゴムのような素材で型取りをする必要がなく、カメラで数分撮影することで型取りがおこなえます。
クラスB滅菌器

使い捨てにできない医療器具を滅菌処理するための機器です。ヨーロッパ規格の厳しい基準に準拠した滅菌器です。
カウンセリングルーム

患者さんの悩みをヒアリングしたり治療の相談を受けたりする部屋です。周りの目を気にせずお話していただくことが可能です。
インプラントに関わる費用
相談料 | ¥0 |
|---|---|
セカンドオピニオン料 | ¥0 |
インプラント治療 | ¥357,500~¥415,500 |
ソケットリフト | ¥100,000 |
サイナスリフト | ¥200,000 |
サージカルガイド | ¥20,000~¥100,000 |
静脈内鎮静法 | ¥100,000 |
※インプラントによる治療は保険が適用されない自費診療です。
※金額は全て税込表示です。
お支払いについて
支払い方法海岸歯科室では以下のお支払い方法に対応しています。
※詳細は医院へお問い合わせください。
●現金
●クレジットカード
●デンタルローン
インプラントは医療費控除の対象となります。医療費控除を利用することで治療費の一部が返ってきますのでぜひ活用しましょう。
<関連記事>
【年収別】インプラントで医療費控除を使ったらいくら戻ってくる?申請方法も解説
歯科医師紹介

森本 哲郎
経歴
1988年 東京歯科大学卒業 1988年 東京歯科大学水道橋病院歯科総合科入局 1991年 海岸歯科室開業 現在に至る
所属学会・資格・スタディーグループ
国際インプラント学会指導医 米国インディアナ大学歯学部インプラント科客員研究員 UCLAインプラントアソシエーション会員 日本歯周病学会会員 歯科総合医療研究会会員 日本摂食嚥下リハビリテーション学会会員
メッセージ
基本情報
住所
〒261-0004 千葉県千葉市美浜区高洲3-23-1 ペリエメディカルビル美浜 3F
最寄駅
稲毛海岸駅北口から徒歩で約1分
診療時間
月~金:9:00~19:00 土曜:9:00~18:00 日曜:9:00~17:00 祝日:休診日
電話番号
043-278-7318
3. THE IMPLANT & ORTHODONTICS CHIBA(千葉インプラント船橋)(北習志野駅)PR

【医療従事者も通う】インプラント治療特化の歯科医院
北習志野駅より徒歩で1分の場所に医院を構える「THE IMPLANT & ORTHODONTICS CHIBA(千葉インプラント船橋)」は、医療従事者も実際に足を運ぶ実力派の歯科医院です。
医院には日本国内において権威のある日本口腔インプラント学会の専門医が在籍しており、歯科用CTやNASA基準の無菌オペ室など設備面も充実。
エキ歯科グループにおけるインプラント治療の中核を担う医院として、常に最新の技術を追求しながら患者様一人ひとりに合わせた質の高い治療を提供するための体制が整えられています。
このように高度な医療体制を敷く一方で、実際の診療では患者様一人ひとりに寄り添う姿勢を忘れません。
初回の相談は完全無料となっており、豊富な症例数を持つドクターが親身なカウンセリングを実施。
インプラント以外の治療法(入れ歯・ブリッジ)についても高度な技術を有しているため、フラットな視点から一人ひとりに合わせた解決策を提案してもらえるのが大きな強みです。
インプラント治療が最善とは考えず、症例によって適切な提案が受けられる点は、納得して治療に臨むための大きな安心材料となるでしょう。
インプラント治療をお考えの方はもちろん、インプラントが自分に本当に合っているかわからないという方も、まずは相談してみてはいかがでしょうか。
特徴1 圧倒的な治療経験と卓越した専門性のもと実現する高水準なインプラント治療

インプラント治療は通常の一般歯科治療とは異なり、深い知識や高度な技術が求められるため、治療を担当する歯科医師の専門性が大きく治療結果を左右します。
THE IMPLANT & ORTHODONTICS CHIBA(千葉インプラント船橋)ではその専門性を何より重視し、インプラント治療に精通した熟練のドクターが診療にあたっています。
同院では経験やスキルに応じた独自の2種類の基準(「スペシャルインプラントドクター」と「インプラントドクター」)を設けており、患者さんに高水準なインプラント治療を提供できるよう努めています。
独自基準の詳細はこちら
特に、理事長を務める冨田尚充先生は、上位の基準である「スペシャルインプラントドクター」の基準をさらに上回る卓越した専門性を有しており、深い知見・高い技術力に加えて、以下のような豊富な治療実績を誇ります。
<実績>
・インプラント埋入経験10,000本以上
・オールオンまたはフルインプラント経験200症例以上
・サイナスリフト経験300症例以上
このような圧倒的な治療経験の積み重ねにより、インプラントという高度な外科処置を要する治療でも的確な診断のもと、確かな治療を実現しています。
特徴2 さまざまな術式を柔軟に組み合わせ一般的な症例から高度な症例まで幅広く対応

一言にインプラント治療といっても、その手法は決して画一的なものではなく、実際にはさまざまなアプローチが存在します。
複数の治療法を一人ひとりの状況に合わせて駆使することで、患者さんの多岐にわたる要望に応えるインプラント治療が実現できるのです。
この点においてTHE IMPLANT & ORTHODONTICS CHIBA(千葉インプラント船橋)では、インプラント治療において卓越した専門性を持つ冨田尚充先生が、さまざまな治療法を用いて一般的なインプラント治療から高度な技術が求められるものまで幅広く対応しています。
例えば、ほとんどの歯を失った方や総入れ歯でお困りの方には、片顎最少4本のインプラントで治療できる「オールオン4」を提案することが可能です。
少ないインプラントで美しい見た目としっかりとした噛み心地を取り戻すことができ、毎日の食事をより楽しめるようになるでしょう。
また、顎の骨が足りないという理由で治療を断念された方には「骨造成手術」によってインプラントを支える強固な土台を構築するところから始めます。
骨不足で治療を諦めていた方でも、骨造成手術を用いたインプラント治療で、再びご自身の歯のように噛める可能性を提示しています。
さらに、長期にわたる治療期間がネックとなっている方には、歯を抜くと同時にインプラントを埋入する「抜歯即時埋入法」を推奨。
外科処置の回数が減り、通常よりも短期間で治療を終えることが可能です。
このように、豊富な実績に裏打ちされた高度な術式を柔軟に組み合わせることで、一人ひとりの状態や要望に寄り添った治療を提供しています。
特徴3 痛みへの不安や恐怖に配慮したリラックス麻酔の導入

インプラント手術は局所麻酔をしっかりと効かせてから実施するため、基本的に痛みを感じることはほとんどありません。
ただ、それでも手術に対する不安や恐怖心が拭えないという方もいらっしゃるでしょう。
患者さんが安心して手術に臨めるよう、THE IMPLANT & ORTHODONTICS CHIBA(千葉インプラント船橋)ではリラックスした状態で治療が受けられる静脈内鎮静法をインプラント治療に導入しています。
静脈内鎮静法は点滴を用いて鎮静剤を投与する麻酔であり、この麻酔によって患者さんはウトウトと心地よく眠っているような状態のなか手術を受けることが可能となります。
鎮静剤の効果によって「怖かった」「音が嫌だった」といった治療中の記憶がほとんど残らないため、歯科治療に対して強い苦手意識を持つ方でも安心です。
これまで治療に対する痛みや手術を受けることに対する不安などが原因で、なかなかインプラント治療に踏み出せなかった方も、静脈内鎮静法に対応したTHE IMPLANT & ORTHODONTICS CHIBA(千葉インプラント船橋)にて相談してみてはいかがでしょう。
症例1
Before
After
年齢/性別 | 60代/女性 |
|---|---|
主訴 | 他院で上と左下のインプラントをいれているが、下の前歯がグラグラしていて噛めない。1日でも早くしっかりとした食事がしたい。 |
治療内容 | 下顎前歯部及び右側下顎臼歯部のインプラント治療 |
治療期間 | 3か月 ※仮歯は当日装着/複数回 |
費用 | 2,250,000円 |
副作用・リスク | ケアを怠るとインプラント周囲炎になる可能性があるため、定期メンテナンスが必要です。 |
設備
歯科用CT

歯科用CTは顎の骨や歯の状態を立体的な画像で把握できる機器です。血管や神経の位置なども確認することができ、安全で精密なインプラント治療をおこなうのに必須の機器です。
マイクロスコープ

患部を肉眼の数十倍にまで拡大できる歯科用の顕微鏡です。肉眼では捉えきれない細かな箇所まで見ることができ、診断や治療の精度を向上させることができます。
電動麻酔注射器

麻酔液の注入速度と圧力を一定に保つことで、麻酔注射時の痛みを軽減できる電動麻酔注射器です。
クラスB滅菌器

ヨーロッパの厳格な基準を満たした高性能な滅菌器です。治療器具の内部まで徹底的に滅菌処理することができます。
口腔内撮影用カメラ

自然な精巧な被せ物を作製するために用いる口腔内撮影用カメラです。このカメラを活用して、一人ひとりに合った歯本来の色味を再現します。
NASA基準の無菌オペ室

手術にともなう感染症を予防するためのNASA基準の無菌オペ室です。
インプラントに関わる費用
ノーマル
価格重視の方に | 高品質重視の方に | 最高品質重視の方に | |
|---|---|---|---|
上部構造 | セラミック 132,000円 | セラミック 132,000円 | セラミック 132,000円 |
アバットメント | 77,000円 | 77,000円 | 77,000円 |
インプラント | ネオデント 2ピース(5年保証) 176,000円 | ストローマン 2ピース(7年保証) | BLXストローマンアクティブ 2ピース(10年保証) |
合計 | 385,000円 | 451,000円 | 572,000円 |
ハイクオリティ
価格重視の方に | 高品質重視の方に | 最高品質重視の方に | |
|---|---|---|---|
上部構造 | セラミック(ハイクオリティ) 176,000円 | セラミック(ハイクオリティ) 176,000円 | セラミック(ハイクオリティ) 176,000円 |
アバットメント | 77,000円 | 77,000円 | 77,000円 |
インプラント | ネオデント 2ピース(5年保証) 176,000円 | ストローマン 2ピース(7年保証) | BLXストローマンアクティブ 2ピース(10年保証) |
合計 | 429,000円 | 495,000円 | 616,000円 |
オールオン4(All-On-4)
価格重視の方に | 高品質重視の方に | 最高品質重視の方に | |
|---|---|---|---|
上部構造 | ハイブリッド 990,000円 | オールセラミック 1,595,000円 | オールセラミック(ハイクオリティ) |
インプラント | インプラント本数4本(7年保証) | インプラント本数4本(7年保証) 1,650,000円 | インプラント本数4本(7年保証) 1,650,000円 |
合計 | 2,640,000円 | 3,245,000円 | 3,630,000円 |
治療オプション、骨造成・再生治療など
フラップレス術式 | 歯肉を切開しない手術 ※インプラント料金が別途かかる | 110,000円 |
|---|---|---|
GTR法 | 骨を再生させる | 110,000~165,000円 |
FGG法 | 歯肉部分の補充 | 88,000円 |
CTG法 | 歯肉と連結組織の移植 | 88,000円 |
※インプラントによる治療は保険が適用されない自費診療です。
※金額は全て税込表示です。
お支払いについて
THE IMPLANT & ORTHODONTICS CHIBA(千葉インプラント船橋)では以下の支払い方法に対応しております。
※詳細は医院へお問い合わせください。
●現金一括払い
●院内窓口分割払い
●クレジットカード
●デンタルローン
インプラントは医療費控除の対象であり、利用することで払った治療費のいくらかが返ってきます。ぜひ活用しましょう。
<関連記事>
【年収別】インプラントで医療費控除を使ったらいくら戻ってくる?申請方法も解説
歯科医師紹介

冨田 尚充
経歴
国学院久我山高等学校卒業 国立長崎大学歯学部卒業 東京歯科大学大学院歯学専攻 博士課程修了
所属学会・資格・スタディーグループ
日本口腔インプラント学会 専門医 国際口腔インプラント学会 指導医 国際口腔インプラント学会 専門医 DGZI(ドイツ口腔インプラント学会)インプラントスペシャリスト 日本歯周病学会 認定医 日本顎咬合学会 認定医(かみ合わせ認定医) インビザライン認定 ブラックダイヤモンドドクター USCジャパン・アンバサダー(南カリフォルニア大学 特任大使) 歯科医師臨床研修指導医 日本アンチエイジング歯科学会認定医 日本歯科放射線学会准認定医 日本口腔科学会認定医 歯周病セラピスト
メッセージ
基本情報
住所
〒274-0815 千葉県船橋市西習志野3-27-5 フォーラ北習志野1F
最寄駅
「北習志野駅」京成電鉄松戸線 西口 / 東葉高速鉄道 T1出口 徒歩1分
診療時間
月~金:9:00~20:00 土・日・祝:10:00〜13:00/14:00~18:00
電話番号
047-496-4618
4. 古賀テクノガーデン歯科(海浜幕張駅)

エビデンスに基づいた治療
エビデンスとは、根拠という意味です。
近年医療の世界では、EBMという言葉がよく利用されます。EBMとは、evidence-based medicineの頭文字をとったもので「根拠に基づく医療」を意味します。
古賀テクノガーデン歯科では、エビデンスを重要視した医療サービスの提供に力を入れているようです。
具体的には、論文や学会による発表などさまざまな場所で知識をアップデートし治療法の検証を大切にしているとのことです。医療の現場は日進月歩で進化します。医療情報を常にアップデートし研鑽し患者さんに届けるような体制を整えているとのことです。
設備
◆専用オペ室
古賀テクノガーデン歯科のオペ室は約15畳ほどの広さがあり患者さんも疲れにくい大型のユニットを導入しています。また無影灯も導入しオペの際には、より快適な視野を確保できるようにしています。
◆歯科用CT
通常のデンタルレントゲンよりも場合によっては、被曝量が少ないCTです。
患者さんの安全性を最大限考慮して導入しているようです。
◆マイクロスコープ
古賀テクノガーデン歯科は、治療の大半を精密治療にアップデートするため歯科用顕微鏡であるマイクロスコープを4台導入しています。
8倍から30倍の視野で、肉眼では確認できない部位まで確認することができ、精密に治療することが可能になります。
特徴1 インプラント発祥の地|スウェーデン式のインプラント治療

古賀テクノガーデン歯科の院長「古賀剛人」先生はは、インプラント治療の発祥地であるスウェーデンで治療技術を習得しました。
スウェーデンではあらゆる医療行為に「エビデンス(科学的根拠)」が求められます。古賀先生もまた、経験や勘に頼るのではなく、エビデンスに基づいた治療を重視しています。
常に多くの研究をもとに立証された成功率の高い治療法を選択するよう心掛けているとのことです。
患者さん一人ひとりに最適な治療を提供するため、日々研鑽も積んでいます。
古賀テクノガーデン歯科では、古賀先生の確かな技術と知識に基づいた、質の高いインプラント治療が受けられるでしょう。
基本情報
住所
〒261-0023 千葉市美浜区中瀬1-3 幕張テクノガーデン F-1階
最寄駅
JR京葉線 海浜幕張駅 北口 徒歩3分
診療時間
月曜〜土曜:9:30〜13:00、14:00〜18:00 休診日:日曜・祝日
電話番号
0120-648-008
5. おぎはら歯科クリニック(千葉駅)

千葉県のさまざまなエリアから来院される歯科医院
おぎはら歯科クリニックは、千葉駅至近の場所に位置していますが銚子市や成田市、館山市など遠方から40年以上通ってくださっている患者さんがいらっしゃるそうです。
それは、おぎはら歯科クリニックは、「最高レベルの治療を通じて、患者様の健康で幸せな人生に貢献する。」という医院理念を大切に実践されているからのようです。
知識を研鑽し、設備導入の投資を惜しまず、歯だけではなく全身の健康に寄与できるように歯科治療にこだわりをもって取り組んでいるとのことです。
設備
◆歯科用CTレントゲン
ドイツのカボ社CTを導入しているようです。
データの精度が高く被曝量が少ないことが特徴のようです。
◆マイクロスコープ
カールツァイス社のマイクロスコープを導入されているようです。約20倍の高倍率で視野を拡大できるそうで、肉眼で確認できないところを勘で治療するのではなく、患部をマイクロスコープで確認しながら治療することが可能です。
特徴1 手術が怖く治療に踏み出せない方への配慮

おぎはら歯科クリニックでは、手術が怖くなかなか治療に踏み出せない方も治療に臨みやすくなるよう「静脈内鎮静法」という麻酔法を取り入れています。
この麻酔法によって静脈から鎮静剤を投与することで、ウトウトとうたた寝しているような状態のなか手術を受けることができます。
鎮静剤の健忘効果によって手術時の音や振動などの記憶も残りにくいです。
手術に対する恐怖心でインプラント治療になかなか踏み出せない方は、静脈内鎮静法を検討してみると良いでしょう。
インプラントに関わる費用
インプラント(1本につき) | ¥242,000 |
|---|---|
サイナスリフト | ¥220,000 |
ソケットリフト | ¥66,000 |
オールオンフォー | ¥209,000~¥275,000 |
かぶせ物(1歯) | ¥82,500 |
ジルコニアクラウン | ¥82,500 |
ジルコボンド | ¥148,500 |
※インプラントによる治療は保険が適用されない自費診療です。
※金額は全て税込表示です。
基本情報
住所
〒260-0015 千葉市中央区富士見2-15-1 ワラビビル3F
最寄駅
JR千葉駅 徒歩5分、京成線千葉中央駅 徒歩2分
診療時間
月曜〜水曜、金曜〜土曜:9:30~13:00、14:30~18:00 休診日:木曜・日曜・祝日
電話番号
043-224-7038
6. デンタルオフィスケア&キュア(土気駅)

医院紹介
土気駅南口より徒歩で約5分の場所に位置する「デンタルオフィスケア&キュア」。
「削らない、抜かない、痛みを極力感じさせない」を治療のモットーとし。、歯科用CTをはじめとするデジタル医療機器を活用した精密な治療を提供されています。
インプラントの治療においては、国際口腔インプラント学会指導医の資格を持つドクターが担当してくれます。
患者さんの幅広い要望に応えられるよう、さまざまな治療法に対応しているようです。
無料相談も受け付けているので、インプラントを検討されている方は利用してみてはいかがでしょう。
医院の詳細は公式ホームページにてご確認ください。
設備
◆歯科用CT
◆マイクロスコープ
◆クラスB滅菌器
特徴1 抜歯と同時にインプラントを埋入する治療法

デンタルオフィスケア&キュアでは、抜歯と同時にインプラントの埋入をする「抜歯即時埋入法」に対応しています。
一般的に抜歯をともなうインプラント治療では、抜歯後に一定の待機期間を設ける必要があり、抜歯と同時にインプラントの埋入はおこないません。
抜歯即時埋入法であれば、抜歯をしたその日にインプラントを埋入できるため、通常の治療法よりも治療期間を短くすることができます。
抜歯によってできた穴を利用するため、歯肉を新たに切開する必要もありません。
インプラントに関わる費用
インプラント診査・相談 | 無料 |
|---|---|
インプラント(上部かぶせ物込み) | 330,000円~385,000円 |
抜歯即時インプラント(上部かぶせ物込み) | 363,000円~418000円 |
ソケットリフト(骨造成法) | 55,000円 |
GBR(骨造成法) | 55,000円 |
CT撮影 | 3,300円 |
※インプラントによる治療は保険が適用されない自費診療です。
※金額は全て税込表示です。
お支払いについて
デンタルオフィスケア&キュアでは、現金のほかに各種クレジットカードでのお支払いも可能です。
※支払い方法については医院へお問い合わせください。
基本情報
住所
〒267-0066 千葉県千葉市緑区あすみが丘1-17-5
最寄駅
土気駅南口より徒歩で約5分
診療時間
月・火・木・金・土:9:30~13:00/14:00~18:30 水・日・祝:休診日
電話番号
043-488-5515
インプラント治療について
インプラント治療とは?
インプラント治療は、失った歯を補うための治療法です(※公的医療保険が適用されない自由診療です)。
歯を失った顎の骨にインプラント体を埋入し、そのインプラント体を土台に被せ物をすることで失った歯を補完します。
インプラントの構造やメリット・デメリットなどについてはこちら
治療の流れ
下記、一般的な治療の流れです。
※あくまでも一般的な流れであり、下記とは異なる流れで治療がおこなわれることもあります。
【二回法の場合】
1.カウンセリング
2.検査・治療計画の策定
3.骨造成や骨移植(ケースによっては不要)
4.一次手術(インプラントの埋入)
5.待機期間(人工歯根と顎骨の結合待ち)
6.二次手術(アバットメントの取付)
7.型取り
8.上部構造を装着して完了
※その後は定期的にメンテナンスを受ける必要がある
【一回法の場合】
1.カウンセリング
2.検査・治療計画の策定
3.骨造成や骨移植(ケースによっては不要)
4.インプラント埋入手術
5.待機期間(人工歯根と顎骨の結合待ち)
6.型取り
7.上部構造を装着して完了
※その後は定期的にメンテナンスを受ける必要がある
治療期間や通院回数の目安
治療期間:3ヵ月~1年程度
通院回数:8~10回程度
※具体的な治療期間や通院回数は、患者さん1人ひとりの口腔状態や要望、治療内容などによって異なります。
想定されるリスク・副作用
下記、インプラント治療で想定されるリスク・副作用です。
・神経や血管を傷つけて感覚麻痺が起きる
・患部に腫れ、痛み、違和感が生じる
・患部から出血する
・顔や首などに内出血斑が出る
・チタンアレルギーが起きる
・上顎にインプラント体を埋入する際、上顎洞を破る
・インプラント体と顎骨が上手く結合しない
・インプラント周囲炎になる
Medee歯科検索は、おすすめしたい歯医者を掲載しています。
駅、行政区、診療時間、歯科医院の特徴、診療科目など豊富な検索メニューで歯科医院を検索可能。
また歯科医院のWebサイトはもちろん各種予約ツールも利用することが可能で、より簡単に歯科医院を探すことができます。
新着記事

【2026年】伊丹市でオールオン4におすすめしたい歯科医院3選

【2026年】刈谷市でインプラント治療におすすめしたい歯科医院3選

【2026年】刈谷市でセラミック治療におすすめしたい歯科医院3選

【2026年】堺市南区でインプラント治療におすすめな歯科医院3選

【2026年】東京都で審美治療におすすめしたい歯科医院3選
関連する記事

【2026年】伊丹市でオールオン4におすすめしたい歯科医院3選

【2026年】堺市南区でインプラント治療におすすめな歯科医院3選

【2026年】中央区でフラップレスインプラント治療におすすめしたい歯科医院3選

【2026年】福山市でインプラント治療におすすめしたい歯科医院3選

【2026年】佐久市でインプラント治療におすすめしたい歯科医院3選

【2026年】広島県でインプラント治療におすすめしたい歯科医院3選

【2026年】多摩市周辺でインプラント治療におすすめしたい歯科医院5選

【2026年】東京都で抜歯即時インプラントにおすすめしたい歯科医院3選

【2026年】足立区でオールオン4におすすめしたい歯科医院7選

【2026年】兵庫県でインプラント治療におすすめしたい歯科医院5選

【2026年】立川市で歯周病に対応するインプラント治療におすすめしたい歯科医院5選

【2026年】江東区でオールオン4におすすめしたい歯科医院5選

【2026年】江坂でインプラント治療におすすめしたい歯科医院5選

【2026年】西船橋駅周辺でインプラント治療におすすめしたい歯科医院5選

【2026年】札幌市清田区でインプラント治療におすすめしたい歯科医院5選

【2026年】神奈川県でインプラント治療におすすめしたい歯科医院5選

【2026年】浦和エリアでインプラント治療におすすめしたい歯科医院6選

【2026年】埼玉県でフラップレスインプラント治療におすすめしたい歯科医院5選

【2026年】横浜市でオールオン4におすすめしたい歯科医院5選

【2026年】新橋でインプラント治療におすすめしたい歯科医院5選



