【2026年】愛媛県でインプラント治療におすすめしたい歯科医院3選
2026/4/27
2026/4/27
#インプラント

インプラント治療は原則として保険適用外となるため費用負担が大きく、高額な治療費がかかるからこそ「近所だから」「安そうだから」といった理由だけで安易に歯科医院を決めることは難しいでしょう。
一方で、どこが本当に信頼できる歯科医院なのかと頭を悩ませている方は多いはずです。
愛媛県内には数多くの歯科医院があり、インプラント治療に対応している医院もいくつも点在しています。
そこで本記事では、担当医の専門性や導入されている医療機器といったさまざまな要素をもとに、愛媛県内でおすすめしたい歯科医院をご紹介しております。
参考:インプラントのおすすめ歯科医院について
インプラント治療を受けるにあたって「信頼できる歯科医院」をお探しの方は、本記事にて紹介している歯科医院をぜひ参考にしてみてください。
【2026年】愛媛県でインプラント治療におすすめしたい歯科医院3選
1. 二番町デンタルオフィス(愛媛県松山市)PR

天然歯の保存を第一に考えたうえで提案するインプラント治療
愛媛県松山市、二番町通りと三番町通りの間に医院を構える二番町デンタルオフィスは、「歯を残すための治療」にこだわった歯科医院です。
そのため重度の虫歯であってもすぐに抜歯を選択するのではなく、まずは丁寧かつ精密な根管治療を通して天然歯を残せる可能性を模索。
そのうえで、歯を残すことが難しい場合やインプラント治療が適していると判断される場合には、必要なタイミングを見極めてインプラント治療を提案しています。
そうして提案される同院のインプラント治療では、歯科用CTやインプラント手術ナビゲーションシステムなどの精密機器を活用し、一般的な症例はもちろん骨の量が少ないといった難症例にも幅広く対応しているのが強みです。
また、インプラント治療にあたって不安を感じている方に向けて、専用のカウンセリングルームでわかりやすく丁寧な説明を実施。
患者さん一人ひとりの悩みや希望に寄り添いながら、納得感を大切にした治療を進めています。
現在のお口の状態や希望を踏まえたうえで、どの治療法が適しているのかを総合的に判断してもらえるため、まずは無料カウンセリングで相談してみてはいかがでしょうか。
特徴1 デジタル技術を活用した精密かつ安全性の高いインプラント

二番町デンタルオフィスはデジタル技術を駆使し、非常に精密で安全性の高いインプラント治療をおこなう歯科医院です。
インプラント手術においては、事前の治療計画で定めた位置や角度、深さに対していかに狂いなくインプラントを埋め込めるかが成功の鍵を握ります。
そのため同院では、患者さんのCTデータに基づく緻密なコンピュータシミュレーションを実施した上で、その計画通りの手術を支援する「インプラント手術ナビゲーションシステム」を導入しています。
このシステムは、手術中のドリルの軌道や顎の骨の厚み、周囲の歯の位置関係などをリアルタイムでモニターに可視化し、術者を正確なルートへと導くシステムです。
骨の内部を走る神経や血管といった重要な組織も常に把握しながら処置が進められるため、これらを誤って損傷してしまう重大なリスクを徹底的に抑え込むことができます。
こうしたナビゲーションシステムを駆使することにより、通常であれば難しい箇所へのインプラントの埋入や、顎の骨が痩せてしまっている患者さんの治療に対しても、高い安全性を担保した質の高いインプラント治療を実現しています。
特徴2 世界で広く採用される信頼性の高いストローマン社やノーベルバイオケア社のインプラントを採用

インプラント治療の成否は、医院に導入されている設備や術者の高度な技術・経験はもちろんのこと、「顎の骨に直接埋め込むインプラント体そのものの品質」によっても大きく左右されます。
インプラントは長年にわたって体内で機能する大切なものですから、決して妥協してはいけない部分です。
二番町デンタルオフィスではインプラントの質にこだわり、世界的にシェアの高いストローマン社やノーベルバイオケア社の製品を採用しています。
どちらも確かな歴史や臨床実績を持つ信頼性の高いメーカーのインプラントです。
また、これらのインプラントは国内外を問わず非常に多くの歯科医院で扱われているため、将来的に転勤や引越しで通院先が変わった場合でも、転居先の歯科医院でメンテナンスに対応してもらえる可能性が高い点です。
特徴3 日本歯周病学会認定衛生士によるきめ細かなメンテナンス

インプラント治療では手術の成功はもちろん、治療後の口腔ケアが非常に重要となります。
インプラントは虫歯にはなりませんが、歯ぐきに炎症を起こす「インプラント周囲炎」が発症することがあります。
歯周病と似た病気で、放置すると骨が減少し、最終的にインプラントが抜け落ちてしまう可能性もあるため治療後の口腔ケアが欠かせないのです。
こうした点を踏まえ二番町デンタルオフィスでは、精度の高いインプラント治療を提供するだけでなく、アフターサポート体制も充実しています。
その中核となるのが、メンテナンスのスペシャリストである「日本歯周病学会認定衛生士」の存在です。
インプラント周囲の歯茎の状態や清掃状況を確認しながら、専門家視点に基づいた患者さん一人ひとりに合わせたケアを受けられる体制が整えられています。
天然歯とインプラントでは注意すべきリスクが異なり、さらに歯周病の要因も患者さんごとに千差万別です。
だからこそ専門家によるきめ細かなメンテナンスを受けられる点は、同院の大きな特徴と言えるでしょう。
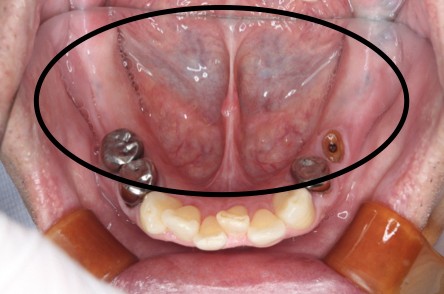
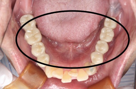
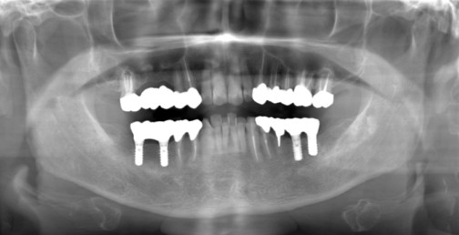
症例1
Before

After



主訴 | 奥歯で噛めるようになりたい |
|---|---|
治療内容 | 下顎の複数本の奥歯をインプラントにて再建 |
治療期間 | 6ヵ月 |
費用 | 200万円 |
副作用・リスク | ・術後に患部に腫れや痛み、違和感などが生じることがあります。 |
設備
歯科用CT

歯科治療に特化したCT装置です。従来のレントゲンでは把握できなかった歯や顎の骨の内部を3Dで立体的に可視化できるため、治療の安全性と精度が格段に高まります。
マイクロスコープ(歯科用顕微鏡)

マイクロスコープを使用することで、肉眼では見えない細部まで数十倍に拡大して観察できます。患部を隅々まで正確に捉えられるようになるため、より精度の高い診断・治療をおこなうことができます。
デンタルレントゲン

デンタルレントゲンは、特定の歯とその周辺の骨や組織をピンポイントで詳細に撮影できる装置です。虫歯の深さを調べたり、根の治療のあとに薬がしっかり根の先まで詰まっているかを確認したりと、日々の診療のさまざまな場面で活躍します。
インプラント手術ナビゲーションシステム

事前に撮影した顎の骨のCT画像をもとにコンピューター上でシミュレーションを作成し、実際のオペがその計画通りに正確におこなわれるよう、術者をリアルタイムで誘導するシステムのことです。
クラスB滅菌器(オートクレーブ)

厳格なヨーロッパの基準をクリアした、最高水準の「クラスB滅菌器」です。複雑な治療器具の内部まで徹底的に滅菌できます。3台体制で稼働させることで、効率的かつ確実な衛生管理を実現しています。
インプラントに関わる費用
前歯埋入(補綴含む)・1本分 | ¥605,000 |
|---|---|
臼歯埋入(補綴含む)・1本分 | ¥495,000 |
サイナスリフト | ¥220,000 |
ソケットリフト | ¥110,000 |
GBR(範囲により⾦額が変動します) | ¥110,000〜¥220,000 |
All on 4 | ¥3,300,000 |
ボーンアンカードブリッジ | 1本あたり¥440,000 |
上部構造ポンティック | ¥110,000 |
オーバーデンチャー | ¥2,200,000 |
オーバーデンチャー | ¥1,320,000 |
スクリュー1本 | ¥6,600 |
※インプラントによる治療は保険が適用されない自費診療です。
※金額は全て税込表示です。
お支払いについて
二番町デンタルオフィスでは、以下の支払方法に対応しています。
※具体的な詳細は医院へお問い合わせください。
●クレジットカード
●デンタルローン
インプラントは医療費控除の対象であり、利用することで払った治療費のいくらかが返ってきます。ぜひ活用しましょう。
<関連記事>
【年収別】インプラントで医療費控除を使ったらいくら戻ってくる?申請方法も解説
歯科医師紹介

高橋 宙希
経歴
日本歯科大学卒業 医療法人髙與会 理事長 二番町デンタルオフィス 院長 高橋根管治療研究会 主宰
所属学会・資格・スタディーグループ
歯周病学会 歯内療法学会 審美歯科学会 矯正歯科協会
メッセージ
基本情報
住所
〒790-0002 愛媛県松山市二番町三丁目4番地17
最寄駅
大町道駅・県庁前より徒歩5分
診療時間
月・水・木・金:9:00~13:00/14:00~18:00 土:9:00~13:00 火・日・祝:休診日
電話番号
089-941-4602
2. 愛媛インプラントクリニックかまくら歯科(愛媛県伊予郡)

医院紹介
愛媛県伊予郡、北伊予駅から車で4分の場所に位置する「愛媛インプラントクリニックかまくら歯科」。
同院は日本口腔インプラント学会「専門医」をはじめとした各分野の専門家が在籍しており、歯科用CTやマイクロスコープなどの精密機器も揃えた大学病院水準の診療体制が整えられた歯科医院です。
確かな体制のもとほぼすべての診療に対応するなかでも、特にインプラント治療に注力しており、2025年7月時点でインプラント実績6,000本以上の圧倒的な実績を誇ります。
インプラントの無料相談を受け付けており、確かな専門性を求めて愛媛県内だけでなく、県外からも患者さんが相談に来ているようです。
「専門医にインプラント治療の相談をしたい」「豊富な実績のある医院に治療を任せたい」などの方は同院にて相談してみてはいかがでしょう。
設備
◆歯科用CT
◆オペ室(手術室)
◆光学印象装置
◆マイクロスコープ
◆クラスB滅菌器
特徴1 「シンプル/短期間」を追求したインプラント治療

インプラントの治療期間は担当医の考え方や採用する治療法によって大きく左右されます。
この点において、愛媛インプラントクリニックかまくら歯科におけるインプラント治療のコンセプトは「シンプル/短期間」です。
ある処置に対して複数の選択肢がある場合には、患者さんの状態を見極めたうえで、可能な限りシンプルな方法を選択。
このアプローチの背景には、何十年にも渡る経験から導き出された「本質を極めればあらゆるものはシンプルになり、それが最善の答えとなる」という確固たる信念があります。
また、単に治療を簡略化するだけでなく、短期間で精度の高い処置を実現するため、マイクロスコープやCT、シミュレーションソフト、口腔内スキャナといった精密機器を導入。
こうした徹底した取り組みにより、ケースによっては「オペ当日に噛めるようにする」ことや、「最短3回の来院で最終的な被せ物までセットする」ことも視野に入れた治療計画の立案を可能としています。
インプラントに関わる費用
インプラント治療費 | |
|---|---|
インプラント治療 | 臼歯 460,000円 (税込506,000円) |
前歯 500,000円 (税込550,000円) | |
特殊な手術にかかる費用 | |
|---|---|
骨を増やす手術(GBR法)を使用した場合 | 1本につき80,000円 (税込88,000円) |
ソケットリフトを使用した場合 | 80,000円 (税込88,000円) |
サイナスリフト手術の場合 | 400,000円 (税込440,000円) |
ブロック骨移植 | 1本につき200,000円 (税込220,000円) |
All on 4 | |
|---|---|
All on 4 | 片顎(手術費) 1,800,000円 (税込1,980,000円) |
※上部構造の費用(メタルフレーム:60万円(税込66万円)/ジルコニア:85万円(税込93.5万円)
※静脈内鎮静法をおこなう場合は追加で10万円(税込11万円)
※インプラントによる治療は保険が適用されない自費診療です。
※金額は全て税込表示です。
お支払いについて
愛媛インプラントクリニックかまくら歯科では、以下の支払い方法に対応しています。
※詳細は医院へお問い合わせください。
●現金
●クレジットカード
●デンタルローン
基本情報
住所
〒791-3155 愛媛県伊予郡松前町鶴吉806
最寄駅
JR予讃線「北伊予駅」から車で4分(徒歩12分)
診療時間
月~金:9:00~13:00/14:00~18:00 土:9:00~13:00/14:00〜17:00 日・祝:休診日
電話番号
089-984-0002
3. 林歯科クリニック(愛媛県新居浜市)

医院紹介
愛媛県新居浜市、中萩駅から車で5分の場所に医院を構える「林歯科クリニック」。
同院は本口腔インプラント学会「専門医」の資格を有する林院長のもと、通常のインプラント治療から高度なインプラントまで幅広く対応している歯科医院です。
その専門性の高さを活かし、骨造成手術やオールオン4、抜歯即時埋入インプラントなどの高度な手法を駆使することで、顎の骨が足りない方や総入れ歯の使用感に悩まれている方、短期で治療を終えたい方など、多岐に渡る患者さんの要望に寄り添った治療を提供しています。
さらに、確かな技術を提供するだけでなく、世界的シェアのあるインプラントメーカーを採用するほか、特殊な麻酔(静脈内鎮静法)を取り入れるなど、患者さんが心から安心してインプラント治療に臨めるための取り組みも徹底して実施されています。
設備
◆歯科用CT
◆口腔内スキャナー
特徴1 噛み合わせまで考え抜いたインプラント治療

インプラント治療において見落とされがちで、かつ非常に重要な要素が「噛み合わせ」の精度です。
噛み合わせにずれが生じると、被せ物に余計な力がかかって破損につながったり、インプラント本体へ過度な負担が集中したりすることがあります。
さらに、周囲の健康な歯にも影響が及ぶ可能性があるため、治療後を見据えた精密な設計が欠かせません。
林歯科クリニックでは日本咬合学会認定による噛み合わせまで考え抜いたインプラント治療を提供しています。
単に失った歯を補うのではなく、インプラントと隣り合う歯や噛み合う歯、顎全体のバランスを総合的に確認しながら治療計画を立案。
見た目はもちろん機能性まで考え抜かれたインプラント治療が受けられるでしょう。
インプラントに関わる費用
インプラント治療 | |
|---|---|
1歯欠損の場合 | インプラント(手術費含む)1本275,000円 |
3歯欠損 | インプラント(手術費含む)2本550,000円 |
無歯顎の場合 | 4本か6本のインプラント1本275,000円×本数分 |
All-on-4(すぐその日に噛めるタイプ) | 1顎 1,320,000~2,200,000円 |
ワンデーインプラント(検査手術費込) | 1本 396,000円程度 |
インプラント治療の補助手術 | |
|---|---|
GBR | 55,000~220,000円 |
GTR | 55,000円 |
FGG(遊離歯肉移植) | 33,000円 |
CTG(結合組織移植) | 33,000~110,000円 |
ソケットリフト | 33,000~55,000円 |
サイナスリフト | 220,000円 |
※インプラントによる治療は保険が適用されない自費診療です。
※金額は全て税込表示です。
お支払いについて
林歯科クリニックでは、以下の支払い方法に対応しています。
※詳細は医院へお問い合わせください。
●現金
●クレジットカード
基本情報
住所
〒792-0050 愛媛県新居浜市萩生509-1
最寄駅
中萩駅から車で5分
診療時間
月~金:9:30~12:00/14:00~19:00 土:9:30~12:00/14:00~17:00(第2・第4土曜日は休診) 日:休診日
電話番号
0897-66-1500
インプラント治療について
インプラント治療とは?
インプラント治療は、失った歯を補うための治療法です(※公的医療保険が適用されない自由診療です)。
歯を失った顎の骨にインプラント体を埋入し、そのインプラント体を土台に被せ物をすることで失った歯を補完します。
インプラントの構造やメリット・デメリットなどについてはこちら
治療の流れ
下記、一般的な治療の流れです。
※あくまでも一般的な流れであり、下記とは異なる流れで治療がおこなわれることもあります。
【二回法の場合】
1.カウンセリング
2.検査・治療計画の策定
3.骨造成や骨移植(ケースによっては不要)
4.一次手術(インプラントの埋入)
5.待機期間(人工歯根と顎骨の結合待ち)
6.二次手術(アバットメントの取付)
7.型取り
8.上部構造を装着して完了
※その後は定期的にメンテナンスを受ける必要がある
【一回法の場合】
1.カウンセリング
2.検査・治療計画の策定
3.骨造成や骨移植(ケースによっては不要)
4.インプラント埋入手術
5.待機期間(人工歯根と顎骨の結合待ち)
6.型取り
7.上部構造を装着して完了
※その後は定期的にメンテナンスを受ける必要がある
治療期間や通院回数の目安
治療期間:3ヵ月~1年程度
通院回数:8~10回程度
※具体的な治療期間や通院回数は、患者さん1人ひとりの口腔状態や要望、治療内容などによって異なります。
想定されるリスク・副作用
下記、インプラント治療で想定されるリスク・副作用です。
・神経や血管を傷つけて感覚麻痺が起きる
・患部に腫れ、痛み、違和感が生じる
・患部から出血する
・顔や首などに内出血斑が出る
・チタンアレルギーが起きる
・上顎にインプラント体を埋入する際、上顎洞を破る
・インプラント体と顎骨が上手く結合しない
・インプラント周囲炎になる
Medee歯科検索は、おすすめしたい歯医者を掲載しています。
駅、行政区、診療時間、歯科医院の特徴、診療科目など豊富な検索メニューで歯科医院を検索可能。
また歯科医院のWebサイトはもちろん各種予約ツールも利用することが可能で、より簡単に歯科医院を探すことができます。
新着記事

【2026年】伊丹市でオールオン4におすすめしたい歯科医院3選

【2026年】刈谷市でインプラント治療におすすめしたい歯科医院3選

【2026年】刈谷市でセラミック治療におすすめしたい歯科医院3選

【2026年】堺市南区でインプラント治療におすすめな歯科医院3選

【2026年】東京都で審美治療におすすめしたい歯科医院3選
関連する記事

【2026年】伊丹市でオールオン4におすすめしたい歯科医院3選

【2026年】堺市南区でインプラント治療におすすめな歯科医院3選

【2026年】中央区でフラップレスインプラント治療におすすめしたい歯科医院3選

【2026年】福山市でインプラント治療におすすめしたい歯科医院3選

【2026年】佐久市でインプラント治療におすすめしたい歯科医院3選

【2026年】広島県でインプラント治療におすすめしたい歯科医院3選

【2026年】多摩市周辺でインプラント治療におすすめしたい歯科医院5選

【2026年】東京都で抜歯即時インプラントにおすすめしたい歯科医院3選

【2026年】足立区でオールオン4におすすめしたい歯科医院7選

【2026年】兵庫県でインプラント治療におすすめしたい歯科医院5選

【2026年】立川市で歯周病に対応するインプラント治療におすすめしたい歯科医院5選

【2026年】江東区でオールオン4におすすめしたい歯科医院5選

【2026年】江坂でインプラント治療におすすめしたい歯科医院5選

【2026年】西船橋駅周辺でインプラント治療におすすめしたい歯科医院5選

【2026年】札幌市清田区でインプラント治療におすすめしたい歯科医院5選

【2026年】神奈川県でインプラント治療におすすめしたい歯科医院5選

【2026年】浦和エリアでインプラント治療におすすめしたい歯科医院6選

【2026年】埼玉県でフラップレスインプラント治療におすすめしたい歯科医院5選

【2026年】横浜市でオールオン4におすすめしたい歯科医院5選

【2026年】新橋でインプラント治療におすすめしたい歯科医院5選



