【2026年】北海道札幌市でインプラント治療におすすめしたい歯科医院10選
2025/3/28
2026/1/15
#インプラント

本記事では、札幌市でインプラント治療に対応している歯科医院をお探しの方に向けて、7つの要素をもとに歯科医院を整理しました。
それぞれの要素に関する詳しい内容は「インプラントでおすすめしたい歯科医院について」の記事で解説しております。
札幌市でインプラント治療をお考えの方は、ぜひ参考にしてみてください。
※2026年1月時点におけるMedee編集部の調査データとなります。
【2026年】北海道札幌市でインプラント治療におすすめしたい歯科医院10選
1. いとデンタルクリニック(札幌市/28丁目駅)PR

【平日夜20時まで診療】地域に根付いたホームドクター
札幌市の「28丁目駅」3番出口より徒歩で約2分、エストラーダ円山内にあり、地域に根付いたホームドクターとして日々診療をおこなう「いとデンタルクリニック」。
平日は夜20時まで診療しており土曜も診療しているため、仕事で平日忙しい方や家事で日中忙しい方でも通いやすいでしょう。
院内の細菌感染を防げるよう、使い捨てにできない医療器具を滅菌器で徹底的に滅菌処理したり、口腔外バキュームで歯の削りカスやだ液などを吸引したりしているようです。
インプラント治療においても安全性を高めた質の高い治療がおこなえるよう、専用のオペ室や歯科用CTをはじめとしたさまざまな設備が整えられています。
無料カウンセリングを実施されているので、札幌市でインプラントをお考えの方は一度相談してみてはいかがでしょう。
特徴1 フラップレスで低侵襲な治療

インプラント治療は手術をともなうため、治療中や術後の痛みを気にされる方は多いでしょう。
いとデンタルクリニックでは、患者さんの負担をできるだけ軽減できるようフラップレス(歯肉を切開しない)手術を採用しています。
インプラント手術は局所麻酔をするため、手術中は基本的に痛みを感じることはありませんが、術後は痛みや腫れが生じる可能性はあります。
手術をサポートするマウスピース型のガイドを活用したフラップレス手術であれば、歯肉をほとんど切開せずにインプラントを埋入できるため、術後の腫れや痛みを抑えることが可能です。
CTデータをもとにコンピューター上でシミュレーションしたうえでガイドが作製されるため、手術時間の短縮にもつながります。
特徴2 日本人に合わせたインプラントの採用

インプラント治療において、どのようなインプラントを使用するかは重要なポイントのひとつです。
使用するインプラントによって、手術のしやすさや治療後におけるインプラントの寿命などが異なります。
いとデンタルクリニックでは、日本人の顎骨に合わせて設計された国内メーカーのインプラントを使用してます。
顎骨が細い箇所にも埋め込みやすく、術後の細菌感染もしにくいインプラントです。
計画したとおりの位置にインプラントを埋入でき、細菌感染を防ぐことができれば、インプラントも長持ちさせやすいでしょう。
特徴3 顎の骨が足りない方への骨造成手術

顎の骨が足りない状態でインプラントを埋入すると、予後に影響が出る可能性が高いです。
そのため「骨の高さが足りない」といった方は、そのままではインプラントでの治療を受けることは難しいです。
この点に関して、いとデンタルクリニックではサイナスリフトといった骨を増やす手術(骨造成手術)に対応しているため、顎の骨が少ないケースでも治療を受けられる可能性があります。
歯周病や加齢などが原因で顎骨の状態があまり良くなく、インプラントでの治療を受けられるか不安な方は、いとデンタルクリニックで相談してみてはいかがでしょう。
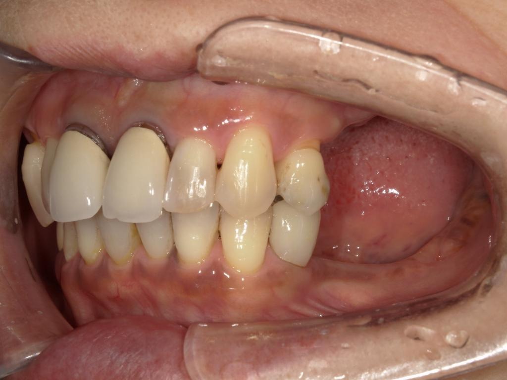
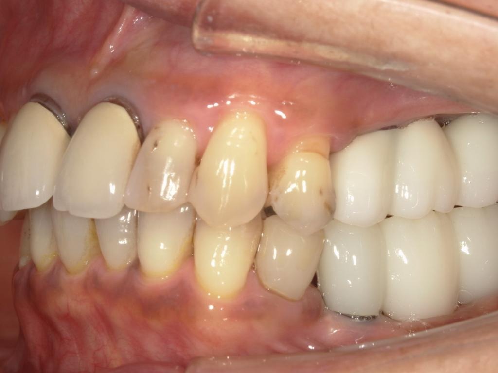
症例1
Before

After

治療内容 | インプラント埋入。ZrBrセット。サイナスリフト、GBR。 |
|---|---|
治療期間・回数 | 1年 |
費用 | ・インプラント埋入(4本)110万円 |
リスク・副作用 | 上顎洞炎、下顎神経損傷、上顎洞へのインプラント体の迷入、インプラント体の脱離等 |
設備
歯科用CT

歯や顎骨の状態を立体的に撮影できる装置です。歯科用CTで検査することで口腔内の状況を詳細に把握できるようになり、精度の高い治療計画を立案できるようになります。
口腔内スキャナー

口腔内をスキャンすることで噛み合わせや歯の形、歯列などを正確に計測・データ化できる機器です。
マイクロスコープ

対象を最大80倍まで拡大できるマイクロスコープです。肉眼では捉えきれない細部まで把握できるようになり、より精密な治療がおこなえるようになります。
クラスB滅菌器

ヨーロッパの厳しい基準を満たした滅菌器です。複雑な医療器具の表面だけでなく内側まで滅菌処理します。
個室カウンセリングルーム

周りの目を気にせず悩みを相談したり、治療内容の説明に集中したりできるよう設けられた個室のカウンセリングルームです。
診療室

衛生管理された清潔な完全個室の診療室です。
インプラントに関わる費用
検査 | 55,000円 |
|---|
メーカー1
埋入 | 275,000円 |
|---|---|
上部構造 | 165,000円 |
合計 | 440,000円 |
メーカー2
埋入 | 385,000円 |
|---|---|
上部構造 | 165,000円 |
合計 | 550,000円 |
骨造成手術
サイナスリフト | 220,000円 |
|---|
※インプラントによる治療は保険が適用されない自費診療です。
※金額は全て税込表示です。
お支払いについて
いとデンタルクリニックでは、以下の支払い方法に対応しています。
※詳細は医院へお問い合わせください。
●現金
●クレジットカード
●デンタルローン
インプラントは医療費控除の対象です。
医療費控除を利用することで治療費のいくらかが返ってきますのでぜひ活用しましょう。
<関連記事>
【年収別】インプラントで医療費控除を使ったらいくら戻ってくる?申請方法も解説
歯科医師紹介

齋藤 布至
経歴
2019年 神奈川歯科大学 卒業 2019年 こばやし歯科 勤務 2020年 クリアデンタルクリニック 勤務 2021年 いとデンタルクリニック 開院 現在に至る
所属学会・資格・スタディーグループ
日本口腔インプラント学会 東京形成歯科研究会 日本歯科医師会 日本歯科訪問協会 日本美容歯科医療協会
メッセージ
基本情報
住所
〒064-0822 北海道札幌市中央区北2条西28丁目1−26 エストラーダ円山2F
最寄駅
「28丁目駅」3番出口より徒歩で約2分
診療時間
月・火・木・金:10:30~14:00/15:30~20:00 土曜:10:30~14:00/15:30~19:00 水・日・祝:休診日
電話番号
011-699-5775
2. 札幌大通インプラントさいとう歯科(札幌市/大通駅)
.png)
医院紹介
札幌大通インプラントさいとう歯科は、市営地下鉄南北線「大通駅」の14B出口から直結しているため、アクセス良好です。
「関わる人すべて幸せにする」というコンセプトのもと、患者さん一人ひとりに寄り添い、より精度の高い治療の提供に努めています。
インプラント治療においては、専用のオペ室が用意されており、医療機器と感染対策が整った環境が完備されています。
札幌市で初めてのインプラント治療をお考えの方は、ぜひ1度足を運んでみてください。
医院の詳細は公式ホームページにてご確認ください。
設備
◆歯科用CT
X線を使って断層撮影をおこない、コンピュータでデータを処理して画像を再構成することで、三次元の断層画像を作成できる医療機器です。
◆専用オペ室
インプラント治療専用の治療室です。医療設備がそろえられているだけでなく、万全な感染対策もおこなわれています。
◆マイクロスコープ
通常の顕微鏡よりも高倍率で見ることができる歯科用の顕微鏡です。
◆クラスB滅菌器
ヨーロッパの厳しい滅菌基準をクリアした、より精度の高い滅菌器です。
特徴1 インプラントに強い技工士と連携

自然で違和感のない口元を作るためには、周りの歯とインプラント埋入部位の整合性を保つことが重要です。
これを実現するため、札幌大通インプラントさいとう歯科には「日本口腔インプラント学会認定の専門歯科技工士」が在籍しています。
院内にインプラント専門の技工士がいることにより、以下4つのメリットがあります。
・人工歯のニーズをその場で把握しやすい
・患者さんは直接要望を伝えられるので、よりイメージしやすい歯になれる
・見た目だけでなく噛み心地についても意見を伝えやすい
・歯科医師と歯科技工士の意見を聞けるので、安心感がある
また、「診査・診断」の段階から歯科技工士が立ち会うことで、患者さんの希望を十分に理解し製作物に反映させることができるよう、体制を整えているそうです。
インプラントに関わる費用
メーカー①(軟組織造成術込み) | 【前歯】462,000円 |
|---|---|
【奥歯】429,000円 | |
メーカー②(軟組織造成術込み) | 【前歯】539,000円 |
【奥歯】539,000円 | |
インプラント ポンティック | 88,000円 |
骨造成 | 材料費のみ別途 |
サージカルガイド | 【1歯】44,000円 |
【2-3歯】66,000円 | |
【4歯以上】88,000円 |
※インプラントによる治療は保険が適用されない自費診療です。
※金額は全て税込表示です。
お支払いについて
札幌大通インプラントさいとう歯科では、下記支払方法にてお支払いいただけます。
※詳細は医院へお問い合わせください。
●現金
●振込
●クレジットカード
●デンタルローン
基本情報
住所
〒060-0042 北海道札幌市中央区大通西3丁目8 桂和大通ビル51 2F
最寄駅
市営地下鉄南北線「大通駅」14B出口直結
診療時間
平日:10:00~13:00/14:00~19:00
電話番号
011-661-1678
3. マロ・デンタル札幌(札幌市/円山公園駅)
.png)
医院紹介
マロ・デンタル札幌は、地下鉄東西線「円山公園駅」の5番出口を出てすぐの場所にあります。
医院は、インプラント治療に力を入れており「歯がボロボロの方」「ほとんど歯が残っていない方」「部分入れ歯や総入れ歯の不都合で悩まれている方」が多く来院しているそうです。
また、インプラント治療の中でも「オールオン4」に特化しており、歯を多く失った方のインプラント治療に対する「セカンドオピニオン」や「リカバリー」にも対応しています。
インプラント治療をお考えで、口腔内の状態に不安をお持ちの方は、ぜひ1度相談してみてはいかがでしょうか。
医院の詳細は公式ホームページにてご確認ください。
設備
◆歯科用CT
◆専用オペ室
◆マイクロスコープ
◆クラスB滅菌器
◆光学印象装置
口腔内をカメラでスキャンし、3Dデータをデジタルで取得することで型採りをおこなえる医療機器です。
特徴1 頬骨を使ったインプラント治療
.jpg)
マロ・デンタル札幌では、ほとんどの上顎の骨を失った方でもインプラント治療が可能となる「ザイゴマインプラント」を採用しています。
ザイゴマインプラントとは、通常のインプラントよりも長い40ミリ以上のインプラントを使用し、その先端の10ミリ未満の部分を頬骨に埋め込んで骨と結合させる治療法です。
通常のインプラントは顎骨に埋入するのに対し、ザイゴマインプラントは頬骨に埋入するため、上顎の骨が少ない方にも対応できます。
頬骨は非常に硬いため、インプラントをしっかりと固定するのに適した場所ですが、難易度が高く、対応している医院は多くありません。
札幌市でインプラント治療を検討されている方は、ぜひ「マロ・デンタル札幌」にご相談ください。
インプラントに関わる費用
初診カウンセリング | 無料 |
|---|---|
検査・診断(初診パック) | ¥5,000 |
CT撮影 (1回限り) | 無料 |
インプラント1本の治療費用 | ¥456,000〜¥478,000 |
|---|
オールオン4 | ¥1,701,150~¥3,932,000 |
|---|
静脈内鎮静法 | ¥77,000 |
|---|---|
骨造成 | ¥50,000~¥200,000 |
※インプラントによる治療は保険が適用されない自費診療です。
※金額は全て税込表示です。
お支払いについて
マロ・デンタル札幌では、下記の支払方法をご利用いただけます。
●現金
●クレジットカード
●PayPay
●院内分割
●デンタルローン(最大120回分割)
※支払方法についての詳細は医院までお問い合わせください。
基本情報
住所
〒064-0820 北海道札幌市中央区大通西25丁目1-2 ハートランド円山ビル3F
最寄駅
地下鉄東西線「円山公園駅」5番出口真上
診療時間
平日:09:00~12:30/13:30~17:30 土・日・祝:休診日 ※月に1回土曜診療。祝日は不定期診療となります。 詳細は医院までお問い合わせください。
電話番号
011-613-8615
4. すまいる歯科 札幌駅前ペリオ・インプラントオフィス(札幌市/札幌駅)
.png)
医院紹介
すまいる歯科 札幌駅前ペリオ・インプラントオフィスは、JR「札幌駅」から徒歩5分の場所に医院を構えています。
「人生が変わるような治療」をモットーに、歯に対してコンプレックスをお持ちの方に寄り添った丁寧な診療を心掛けているそうです。
また、インプラント治療のみならず「虫歯治療」や「歯周病治療」など、豊富な分野の診療をおこなっています。
インプラント治療においては「ICOI口腔インプラント学会の指導医」の資格を持つドクターが中心となり、専門性の高い治療を提供しています。
初めてのインプラント治療にお悩みの方は、1度相談してみてはいかがでしょうか。
医院の詳細は公式ホームページにてご確認ください。
設備
◆歯科用CT
◆専用オペ室
◆光学印象装置
◆マイクロスコープ
特徴1 治療期間を短縮できる治療法

すまいる歯科 札幌駅前ペリオ・インプラントオフィスでは、抜歯したその日にインプラントの埋入する「抜歯即時埋入法」や、インプラントを埋入してからすぐに仮歯を入れる「即時荷重法」を採用しています。
通常のインプラント治療では、まず歯を抜いてから傷口が完全に治るのを待ち、その後インプラントの埋入手術をおこないます。
傷口を治すための待期期間があるため、治療期間が長期化してしまうことがほとんどです。
一方「抜歯即時埋入法」では、抜歯後すぐにインプラントを埋入します。
この方法では歯茎を切開する必要がなく、縫合も不要となるため、治療期間を大幅に短縮できます。
さらに即時荷重法では、手術と同じ日に仮歯を装着できるため、食事や会話など、日常生活にきたす支障をより抑えることが可能です。
これらの治療法の適応可否には個人差があります。詳細は医院までお問い合わせください。
インプラントに関わる費用
タイプ | 1本 |
|---|---|
スタンダードタイプ | ¥275,000 |
プレミアムタイプ | ¥385,000 |
エクセレントタイプ | ¥440,000 |
手術料 | ¥220,000 |
※手術に使用する使い捨てのの消耗品・CT撮影料・シュミレーション料・薬品代などを含みます。
※インプラントによる治療は保険が適用されない自費診療です。
※金額は全て税込表示です。
お支払いについて
すまいる歯科 札幌駅前ペリオ・インプラントオフィスは現金での支払いの他、デンタルローン、クレジットカード払いにも対応しています。
※詳細は医院へお問い合わせください。
基本情報
住所
〒060-0034 北海道札幌市中央区北4条東2丁目8-2 マルイト北4条ビル2F
最寄駅
JR「札幌駅」から徒歩5分/札幌市営「さっぽろ駅」18番出口から徒歩3分
診療時間
平日:10:00~14:00/15:00~19:00 土:9:00~13:00/14:00~17:00 日・祝:休診日
電話番号
011-242-1182
5. GDHインプラントオフィス札幌(札幌市/札幌駅)
.png)
医院紹介
GDHインプラントオフィス札幌は、JR「札幌駅」および地下鉄「大通駅」から徒歩3分の場所にあり、アクセス良好な歯科医院です。
患者様に「噛める喜び」と「最高の笑顔」を提供することを目指し、インプラント治療を専門におこなっています。
医院では、毎年1,000本以上のインプラントを埋入しており、2024年には1,996本、2023年には1,520本、2022年には1,344本のインプラント埋入を実施したそうです。
この豊富な経験と実績により、安全性の高く、より精度の高い治療を提供しています。
また、治療は「ICOI口腔インプラント学会の指導医」の資格を持つより専門性の高い医師が担当します。
インプラント治療に不安をお持ちの方は、ぜひ一度「GDHインプラントオフィス札幌」に相談してみてください。
医院の詳細は公式ホームページにてご確認ください。
設備
◆歯科用CT
◆専用オペ室
◆光学印象装置
◆マイクロスコープ
特徴1 4本のインプラントで片顎12本の歯を補うオールオン4

GDHインプラントオフィス札幌は、インプラント治療の中でも「オールオン4」に力を入れています。
ほとんどの歯を失った方にインプラント治療をおこなう場合、歯がないところに1本ずつインプラントを埋入する方法が一般的でした。
一方オールオン4は、ほとんどの歯を失ってしまった方を対象におこなう治療法です。
顎骨に向かって斜めに長いインプラントを4本埋入し、インプラントにかかる力を広く均等に配分することで、より少ないインプラント本数で片顎全ての人工歯を支える事ができます。
また、インプラントを埋入した日に仮歯を装着することができるため、審美面だけでなく早期の機能回復を望むことができます。
「オールオン4」の適応可否には個人差があります。詳細は医院までお問い合わせください。
インプラントに関わる費用
1本からのインプラント治療 | 1本 390,000円 |
|---|---|
オールオン4 | 1,980,000円〜3,000,000円 |
※インプラントによる治療は保険が適用されない自費診療です。
※金額は全て税込表示です。
お支払いについて
GDHインプラントオフィス札幌では、お支払いにデンタルローンをご利用いただけます。
※詳細は医院までお問い合わせください
基本情報
住所
〒060-0002 北海道札幌市中央区北2条西2丁目41 札幌2・2ビル1F
最寄駅
JR「札幌駅」から徒歩3分/地下鉄「大通駅」から徒歩3分
診療時間
平日:9:30-17:30 土・日・祝:不定休 ※詳細は医院までお問い合わせください
電話番号
011-242-8148
6. 札幌歯科(札幌市/西線16条駅)

医院紹介
札幌市中央区、「西線16条」駅から徒歩1分に位置する【札幌歯科】。
同院は保険診療をおこなわない「完全自由診療」の歯科医院です。
制度の枠にとらわれないため、一人ひとりの診療に十分な時間を確保できることから、患者さんはじっくりと悩みを聞いてもらい、納得いくまで相談できる環境が整っています。
外科手術をともない高額な治療費がかかるインプラント治療においても、しっかりヒアリングしたうえで、悩みや要望に寄り添った治療プランを提案してもらえるでしょう。
すべてのインプラント手術は、アメリカインプラント学会認定医の資格を持つ歯科医師が担当。
海外でも研鑽を積んだ経験豊富な院長が一貫して治療をおこなうため、安心して任せることができるのではないでしょうか。
医院の詳細は公式ホームページにてご確認ください。
設備
◆歯科用CT
◆マイクロスコープ
◆口腔内スキャナー
◆クラスB滅菌器
特徴1 国外で研鑽を積んだ歯科医師によるインプラント治療|歯周病管理も徹底

札幌歯科は「アメリカインプラント学会(AAID)」の認定医資格を持つドクターがインプラント治療を担当します。
国際的な基準に基づいた豊富な知識と高い技術力を有しており、患者さん一人ひとりの状態に合わせた高水準なインプラント治療が期待できるでしょう。
また、インプラント治療だけでなく歯周病の治療や管理にも精通している歯科医師であり、インプラント治療前後の歯周病治療や歯周ケアにも注力されています。
インプラント治療前は歯周組織をしっかりと整えるため、治療後のトラブルが起きにくいです。
もちろん治療後の歯周病管理に関しても、歯周病における高い専門知識を活かしたアフターケアが受けられるでしょう。
インプラントに関わる費用
インプラント治療 | インプラント 1本 | ¥410,000〜726,000 |
|---|---|---|
インプラントを入れる為に骨を保存したり造ったりする手術 | ¥66,000〜330,000 |
※インプラントによる治療は保険が適用されない自費診療です。
※金額は全て税込表示です。
お支払いについて
札幌歯科では、以下の支払い方法に対応しています。
※詳細は医院へお問い合わせください。
●現金
●クレジットカード
●デンタルローン
基本情報
住所
〒064-0916 北海道札幌市中央区南16条西15丁目1-7
最寄駅
「西線16条」駅から徒歩1分
診療時間
月・火・水・土・日:10:00~13:00/14:30~18:00 木・金・祝:休診
電話番号
011-522-8148
7. 札幌インプラント・矯正デンタルクリニック(札幌市/ロープウェイ入口駅)

医院紹介
札幌市電「ロープウェイ入口」駅より徒歩1分の場所にある【札幌インプラント・矯正デンタルクリニック】。
同院の院長はインプラント治療歴は26年、これまでの症例本数は7,500本以上(平成12年~令和4年3月時点)の実績を持つドクターです。
豊富な臨床経験と技術力があるからこそ、難症例を含めさまざまな症例において一人ひとりに合わせた治療計画を提案してもらえます。
院内にはプライバシーを守る個室の診療室に加え、衛生管理を徹底したインプラント専用のオペ室も完備。
周りの視線を気にせず悩みを相談でき、清潔な環境で安全に手術を受けられる体制が整っています。
また、治療の説明においては専門用語を並べるのではなく、大きなモニターや模型を使いながら視覚的に解説してもらえます。
自分の口の中の状態や治療内容を具体的にイメージでき、疑問をしっかり解消したうえで治療に進めるでしょう。
医院の詳細は公式ホームページにてご確認ください。
設備
◆歯科用CT
◆専用オペ室(手術室)
◆口腔内スキャナー
特徴1 術後の痛み・腫れを軽減するためのOAMインプラント

札幌インプラント・矯正デンタルクリニックでは、インプラント手術に対する患者さんの恐怖心や身体的負担を極力抑えるため「OAMインプラント法」と呼ばれる治療法を積極的に導入しています。
一般的なインプラント治療では、ドリルで顎の骨を削って穴を開け、そこにインプラント体を埋め込みます。
一方、同院が採用するOAMインプラント法は、ドリルをほとんど使用しないのが最大の特徴です。
鍼のような極細の器具を使用し、骨の表面に小さな穴を開けたあと、専用の器具を使って少しずつ穴を広げ、そこにインプラントを入れます。
骨を削り取るのではなく圧力をかけて押し広げていくため、出血や術後の腫れ、痛みの軽減が期待できる治療法です。
また、ドリル特有の「キーン」という不快な回転音や振動を感じることがほとんどないため、手術中の心理的なストレスも緩和されるでしょう。
インプラントに関わる費用
インプラント埋入手術 | Screw-Vent Legacy | 253,000円(税込) |
|---|---|---|
Straumann Nobel Zim Vie | 286,000円(税込) | |
Zirconia | 440,000円(税込) | |
インプラント埋入手術追加料金 | ||
OAM手術【手術の詳細はこちら】 | 55,000円(税込) | |
GBR(骨造成)【手術の詳細はこちら】 | 110,000円(税込) | |
抜歯即時【手術の詳細はこちら】 | 33,000円(税込) | |
人工骨 | 33,000円(税込) | |
ソケットリフト【手術の詳細はこちら】 | 55,000円(税込) | |
サイナスリフト【手術の詳細はこちら】 | 110,000円(税込) | |
抜歯即時【手術の詳細はこちら】 | 33,000円(税込) | |
歯肉移植手術 | 88,000円(税込) | |
鎮静法 | 55,000円(税込) | |
サージカルガイド | 55,000円(税込) | |
保証料(ガイドデント) | 22,000円(税込) | |
上部構造 | ||
ジルコニア(前歯部) | 209,000円(税込) | |
ジルコニア(臼歯部) | 154,000円(税込) | |
ポンティック(前歯部) | 143,000円(税込) | |
ポンティック(臼歯部) | 88,000円(税込) | |
ロケーター | 88,000円(税込) | |
義歯 | 275,000 円(税込) | |
検査 | 22,000円(税込) | |
再診料 | 880円(税込) | |
X線(CT) | 5,500円(税込) | |
X線(パノラマ) | 4,400円(税込) | |
X線(デンタル) | 1,100円(税込) | |
2次オペ | 11,000円(税込) | |
印象 | 55,00円(税込) | |
仮歯 | 33,00円(税込) | |
試適 | 33,00円(税込) | |
抜歯 | 55,00円(税込) | |
検診 | 77,00円(税込) | |
上部洗浄 | 55,00~14,300円(税込) | |
※インプラントによる治療は保険が適用されない自費診療です。
※金額は全て税込表示です。
お支払いについて
札幌インプラント・矯正デンタルクリニックでは、下記の方法でお支払いができます。
※詳細は医院へお問い合わせください。
●現金
●クレジットカード
●デンタルローン
基本情報
住所
〒064-0919 北海道札幌市中央区南19条西14丁目1-20 ライオンズマンション伏見公園
最寄駅
札幌市電「ロープウェイ入口」駅 徒歩1分
診療時間
月・水・金:10:00~13:00/14:30~18:30 土:10:00~13:00/14:30~17:00 木・日・祝:休診
電話番号
011-520-3123
8. 平和通り歯科医院(札幌市/白石駅)

医院紹介
JR白石駅から徒歩圏内、札幌南ICから車で9分の場所に位置する【平和通り歯科医院】。
平日は21時まで診療しており、仕事帰りでも通いやすい環境が整っています。
また「完全予約制」のため待ち時間が少なく、来院からスムーズに診療が受けられるでしょう。
インプラント治療においては、通常2回の手術が必要な工程を1回の手術で済む治療法を採用。
手術が1回で済むため、従来の治療法より短期間で治療を終えられるでしょう。
手術への恐怖心が強い方には、リラックスした状態で治療が受けられる点滴を用いた鎮静法の提案もおこなっているとのことです。
医院の詳細は公式ホームページにてご確認ください。
設備
◆歯科用CT
◆口腔内スキャナー
◆マイクロスコープ
◆クラスB滅菌器
特徴1 【1回の外科処置で済む】身体的負担を顧慮した1回法インプラント

札幌市にある平和通り歯科は、インプラント治療における患者さんの心身への負担を可能な限り軽減するため「1回法インプラント」を採用しています。
インプラントの一般的な治療法である「2回法」という術式では、合計2回の外科処置を受けなければなりません。
一方、平和通り歯科が採用する「1回法」では、外科的な処置が1回だけで完了する治療法です。
外科的処置が1回で済むため、術後の痛みや腫れのリスクを抑えられることに加え、治療期間そのものを短縮できることも期待できるでしょう。
骨の厚みや量など、一定の条件を満たす場合にこの治療法が選択可能です。
ご自身の歯の状態が1回法に適しているかどうか、一度平和通り歯科で相談してみてはいかがでしょう。
インプラントに関わる費用
インプラント | 165,000円~ |
|---|---|
仮歯 | 11,000円 |
補綴物(人工の歯) | 99,000円~ |
※インプラントによる治療は保険が適用されない自費診療です。
※金額は全て税込表示です。
お支払いについて
平和通り歯科医院では、現金のほかに以下の方法でお支払いが可能です。
※詳細は医院へお問い合わせください。
●クレジットカード
●デンタルローン
基本情報
住所
〒003-0028 北海道札幌市白石区平和通11丁目南3-5
最寄駅
JR白石駅から徒歩15分/札幌南ICから車で9分
診療時間
月~金:8:30~21:00 土曜:8:30~20:00 ※特定日曜日は10:00~16:00(事前予約制) 祝日:休診日
電話番号
011-866-8241
9. インプラントオフィス大通(札幌市/大通駅)

医院紹介
札幌市の中心部・大通エリアに位置する「インプラントオフィス大通」は、インプラント治療に特化したクリニックです。
地下鉄「大通駅」12番出口から徒歩3分という好立地に加え、専用駐車場も完備されており、様々な交通手段で通院しやすい環境が整っています。
医院では、複数の歯科医師による症例検討会の実施や、3Dガイドを活用したコンピューターガイド手術を導入するなど、より正確かつ安全性の高い治療体制が整えられています。
また、歯科技工士との密な連携により、機能性と審美性を兼ね備えた補綴治療を提供。
噛み合わせにもこだわり、咀嚼力までしっかりと考慮したトータルケアが受けられます。
インプラント治療に不安を抱える方や、確かな技術で安心して治療を受けたい方にとって「インプラントオフィス大通」はおすすめできる医院のひとつです。
設備
◆歯科用CT
◆光学印象装置
◆無影灯
特徴1 治療精度と安全性を高める歯科用CT

インプラントオフィス大通では、インプラント治療の精度と安全性を高めるため、歯科用3次元CTを院内に完備しています。
歯科用3次元CTでは、インプラントを埋入する部位の骨の厚みや高さ、質、形などを立体的に把握できるため、従来のレントゲンでは見えなかった情報までより正確に捉えることが可能です。
この3次元画像によって、治療前の診査・診断の精度が向上し、患者さん一人ひとりに適切な治療計画を立てることができます。
また、手術後すぐに歯科用3次元CTで埋入位置を確認できる体制も整っており、インプラント治療の安全性の向上につながっています。
CT撮影から診断・治療計画の立案、術後確認まで院内で一貫しておこなえることは「インプラントオフィス大通」の強みです。
インプラントに関わる費用
CT撮影 | 5,5000円 |
|---|---|
手術費用 | 220,000円 |
インプラント費用 | 333,000円 |
※インプラントによる治療は保険が適用されない自費診療です。
※金額は全て税込表示です。
お支払いについて
インプラントオフィス大通では、現金のほかに以下の方法でお支払いが可能です。
※詳細は医院へお問い合わせください。
●クレジットカード
●銀行振込
基本情報
住所
〒060−0001 札幌市中央区北1条西4丁目1−1 三甲大通公園ビル2階
最寄駅
地下鉄「大通駅」から徒歩3分
診療時間
平日:9:30-13:00/14:00-18:00 土・日・祝:休診日
電話番号
011-271-6511
10. 千葉歯科クリニック(札幌市/中島公園駅)

医院紹介
札幌市中央区に位置する「千葉歯科クリニック」は、南2条・南8条・南12条の3院を展開する歯科グループです。
敷地内には駐車場が完備されており、車での通院にも対応しています。
医院では「一人ひとりの患者さまに本気で向き合い、寄り添い、治療の全責任を負う」という理念を掲げ、各患者さんの症状に応じた適切な治療法を提案。
より精密で丁寧な診療がおこなわれています。
また、診療室はすべて個室または半個室となっており、プライバシーに配慮された環境で治療を受けることが可能です。
インプラント治療は、日本口腔外科学会および日本口腔インプラント学会の「専門医」の資格を持つ歯科医師が対応。
切開や縫合を伴うような外科的処置にも高い専門性が発揮されており、安心して任せることができます。
札幌市で初めてのインプラント治療をお考えの方は、ぜひ足を運んでみてください。
設備
◆歯科用CT
◆専用オペ室
◆光学印象装置
◆マイクロスコープ
◆クラスB滅菌器
特徴1 患者さんの不安や悩みに寄り添うセカンドオピニオン

札幌市のインプラントオフィス大通は、札幌・大通で「精密インプラント治療」が受けられる、インプラント治療に特化した歯科医院です。
インプラント治療は、歯科診療の中でもより高度な処置が求められる分野であり、切開や縫合などの外科的手術を伴うほか、費用面や治療期間の長さも患者さんにとって大きな負担となることがあります。
そのため、治療に入る前にはより精密な検査や丁寧な説明が欠かせませんが、実際には医院ごとに治療内容や費用が異なることもあり、不安を感じる方も少なくありません。
千葉歯科クリニックでは、そうした患者さんの不安に寄り添うため「セカンドオピニオン」の相談を受け付けています。
第三者の視点から意見を聞くことで、ご自身の口腔内の状態や治療の必要性を冷静に判断できるようになり、複数の治療方針や費用を比較しながら納得のいく選択がしやすくなります。
インプラント治療について疑問や不安を抱えている方は、まずは千葉歯科クリニックでセカンドオピニオンを活用し、安心して治療に臨める環境を整えてみてはいかがでしょうか。
インプラントに関わる費用
インプラント | 440,000円~ |
|---|
※インプラントによる治療は保険が適用されない自費診療です。
※金額は全て税込表示です。
お支払いについて
千葉歯科クリニックでは、下記の方法でお支払いができます。
※詳細は医院へお問い合わせください。
●現金
●クレジットカード
●デンタルローン
基本情報
住所
〒060-0062 北海道札幌市中央区南2条西10丁目7-1
最寄駅
「中島公園駅」から10分
診療時間
月~水・金:10:00~13:00/14:00~19:00 木:10:00~13:00/14:00~17:00 土:10:00~13:00/14:00~16:00
電話番号
011-520-1238
インプラント治療について
インプラント治療とは?
インプラント治療は、失った歯を補うための治療法です(※公的医療保険が適用されない自由診療です)。
歯を失った顎の骨にインプラント体を埋入し、そのインプラント体を土台に被せ物をすることで失った歯を補完します。
インプラントの構造やメリット・デメリットなどについてはこちら
治療の流れ
下記、一般的な治療の流れです。
※あくまでも一般的な流れであり、下記とは異なる流れで治療がおこなわれることもあります。
【二回法の場合】
1.カウンセリング
2.検査・治療計画の策定
3.骨造成や骨移植(ケースによっては不要)
4.一次手術(インプラントの埋入)
5.待機期間(人工歯根と顎骨の結合待ち)
6.二次手術(アバットメントの取付)
7.型取り
8.上部構造を装着して完了
※その後は定期的にメンテナンスを受ける必要がある
【一回法の場合】
1.カウンセリング
2.検査・治療計画の策定
3.骨造成や骨移植(ケースによっては不要)
4.インプラント埋入手術
5.待機期間(人工歯根と顎骨の結合待ち)
6.型取り
7.上部構造を装着して完了
※その後は定期的にメンテナンスを受ける必要がある
治療期間や通院回数の目安
治療期間:3ヵ月~1年程度
通院回数:8~10回程度
※具体的な治療期間や通院回数は、患者さん1人ひとりの口腔状態や要望、治療内容などによって異なります。
想定されるリスク・副作用
下記、インプラント治療で想定されるリスク・副作用です。
・神経や血管を傷つけて感覚麻痺が起きる
・患部に腫れ、痛み、違和感が生じる
・患部から出血する
・顔や首などに内出血斑が出る
・チタンアレルギーが起きる
・上顎にインプラント体を埋入する際、上顎洞を破る
・インプラント体と顎骨が上手く結合しない
・インプラント周囲炎になる
Medee歯科検索は、おすすめしたい歯医者を掲載しています。
駅、行政区、診療時間、歯科医院の特徴、診療科目など豊富な検索メニューで歯科医院を検索可能。
また歯科医院のWebサイトはもちろん各種予約ツールも利用することが可能で、より簡単に歯科医院を探すことができます。
新着記事

【2026年】渋谷区でラミネートベニア治療におすすめしたい歯科医院3選

【2026年】東久留米市でインプラント治療におすすめしたい歯科医院3選

【2026年】千葉市稲毛区でおすすめしたい矯正歯科医院3選

【2026年】宇都宮市でインビザライン矯正におすすめしたい歯科医院3選

【2026年】足立区でセカンドオピニオン対応のインプラント治療におすすめしたい歯科医院3選
関連する記事

【2026年】東久留米市でインプラント治療におすすめしたい歯科医院3選

【2026年】足立区でセカンドオピニオン対応のインプラント治療におすすめしたい歯科医院3選

【2026年】和歌山市でオールオン4におすすめしたい歯科医院3選

【2026年】港区で骨造成対応のインプラント治療におすすめしたい歯科医院3選

【2026年】愛媛県でインプラント治療におすすめしたい歯科医院3選

【2026年】伊丹市でオールオン4におすすめしたい歯科医院3選

【2026年】堺市南区でインプラント治療におすすめな歯科医院3選

【2026年】中央区でフラップレスインプラント治療におすすめしたい歯科医院3選

【2026年】福山市でインプラント治療におすすめしたい歯科医院3選

【2026年】佐久市でインプラント治療におすすめしたい歯科医院3選

【2026年】広島県でインプラント治療におすすめしたい歯科医院3選

【2026年】多摩市周辺でインプラント治療におすすめしたい歯科医院5選

【2026年】東京都で抜歯即時インプラントにおすすめしたい歯科医院3選

【2026年】足立区でオールオン4におすすめしたい歯科医院7選

【2026年】兵庫県でインプラント治療におすすめしたい歯科医院5選

【2026年】立川市で歯周病に対応するインプラント治療におすすめしたい歯科医院5選

【2026年】江東区でオールオン4におすすめしたい歯科医院5選

【2026年】江坂でインプラント治療におすすめしたい歯科医院5選

【2026年】西船橋駅周辺でインプラント治療におすすめしたい歯科医院5選

【2026年】札幌市清田区でインプラント治療におすすめしたい歯科医院5選



