【2026年】伊丹市でインプラント治療におすすめしたい歯科医院7選
2025/10/29
2026/4/27
#インプラント

「インプラント治療を受けたいけれど、どの歯医者を選べばいいか分からない」
「高額な治療だからこそ失敗したくない」
このような悩みを持たれている方は多いでしょう。
インプラント治療は、医師の技術や経験によって結果が大きく左右されると言われています。
安易に「近いから」「安いから」という理由だけで選んでしまうと後悔することにもなりかねません。
そこでこの記事では、伊丹市でインプラント治療におすすめしたい歯科医院をご紹介しています。
歯科医師の専門性や対応している治療法、導入設備などさまざまな情報をもとに医院をピックアップしております。
参考:インプラントのおすすめ歯科医院について
伊丹市内でインプラント治療が受けられる医院を探しており、医院選びで迷っている方はぜひ参考にしてみてください。
※2026年4月時点でのMedee編集部の調査のデータとなります。
【2026年】伊丹市でインプラント治療におすすめしたい歯科医院7選
1. ヒカルノ歯科・矯正歯科(伊丹市昆陽/阪急伊丹駅)PR
.png)
対話を重視した「コミュニケ―ション歯科」|20年の治療実績に基づくインプラント
兵庫県伊丹市に医院を構える「ヒカルノ歯科・矯正歯科」。
院内の診療室は全室個室となっており、専用のカウンセリングルームも完備。
プライバシーに配慮したプライベートな空間で、カウンセリングや治療を受けることができます。
「コミュニケーション歯科」を基本方針に掲げ、カウンセリングを最も重要な時間とする姿勢のもと、丁寧かつ親身に寄り添ったカウンセリングが受けられます。
インプラント治療においては、20年にわたりインプラント治療を専門的におこなってきた歯科医師が担当。
インプラントを得意としながら無理にインプラント治療を提案することはせず、丁寧なヒアリングをしたうえでニーズによってインプラント以外の提案もするとのことです。
全身の状態や口内状況、患者さんの要望などを把握したうえでニーズに合った提案が受けられるでしょう。
特徴1 将来を見据えた長く使えるインプラントへ|治療後の安定性を重視した治療方針

ヒカルノ歯科・矯正歯科は、インプラント治療を提供するにあたり、手術そのものだけでなく、治療後のインプラントが長期間にわたり安定して機能し続けることを重視しています。
インプラント手術の前には歯周病の治療や嚙み合わせの改善、虫歯が生じないよう口内環境の確立などが徹底されています。
綿密な検査・診断のもと歯を失った原因を見極め、口腔内全体の健康という「土台」が整った状態になってからインプラント治療をおこなうことが、長期的な安定につながるとのことです。
場当たり的な治療ではなく、口腔内全体の環境改善から始める、将来まで見据えたインプラント治療が期待できるでしょう。
院長は日本臨床歯周病学会認定医であり、インプラント処置の前後で徹底した歯周病の治療・管理がおこなえます。
治療後のメンテナンスに関しても、担当衛生士制を導入しているため、患者さんの口内環境の経過を熟知した衛生士から、一人ひとりに合わせたケアが受けられるでしょう。
また、インプラントに関しては10年の保証が設けられ、なにかトラブルがあった際のサポート体制も整っています。
特徴2 インプラントを諦めていた方の可能性を広げる取り組み

ヒカルノ歯科・矯正歯科は、さまざまな理由でインプラント治療を諦めていた方々に対しても、治療の可能性を広げるための多様な取り組みをおこなっています。
インプラント治療は顎の骨に人工歯根を埋め込むため「骨の量が少ない」「骨が薄い」といった状態では、一般的にインプラントでの治療を受けることができません。
同院では、こうしたケースでも治療がおこなえるよう「骨造成」という骨を増やす処置に対応しています。
ほとんどの歯を失い、経済的な理由からインプラント治療を諦めていた方に対しては、最少4本のインプラントで片顎分の歯を補える「オールオン4」という選択肢を提示。
失った歯の本数分インプラントを埋入する必要がなく、治療にかかる費用を抑えやすい治療法です。
さらに、高血圧や糖尿病といった全身疾患をお持ちの方には、かかりつけの医師と確認を取り、術前のコントロールをおこなったうえで、手術か可能かどうかを診断してもらえます。
「骨が足りない」「経済的余裕がない」などの理由で治療を諦めていた方は、一度相談してみてはいかがでしょうか。
特徴3 不安や恐怖を和らげるための特殊な麻酔を用いたインプラント

インプラント治療は手術をともなうため、手術の必要性を理解していても「手術が怖い」といった不安や恐怖心から、治療に踏み出せないという方は少なくありません。
伊丹市にあるヒカルノ歯科・矯正歯科では、こうした治療に対する心理的な負担をできる限り軽減するための選択肢として「静脈内鎮静法」と呼ばれる特殊な麻酔を用いたインプラント治療に対応されています。
この麻酔を用いることで、全身麻酔のように意識が完全になくなることなく、深くリラックスしたなかで手術に臨むことができます。
麻酔の健忘効果で手術中の音や振動なども記憶に残りにくいです。
局所麻酔と併用するためほとんど痛みを感じず、精神的にもリラックスした状態で手術が受けられます。
日本麻酔学会認定医が常勤しており、麻酔の専門家が安全管理を徹底したうえで処置をおこなうため、安心して任せられるでしょう。
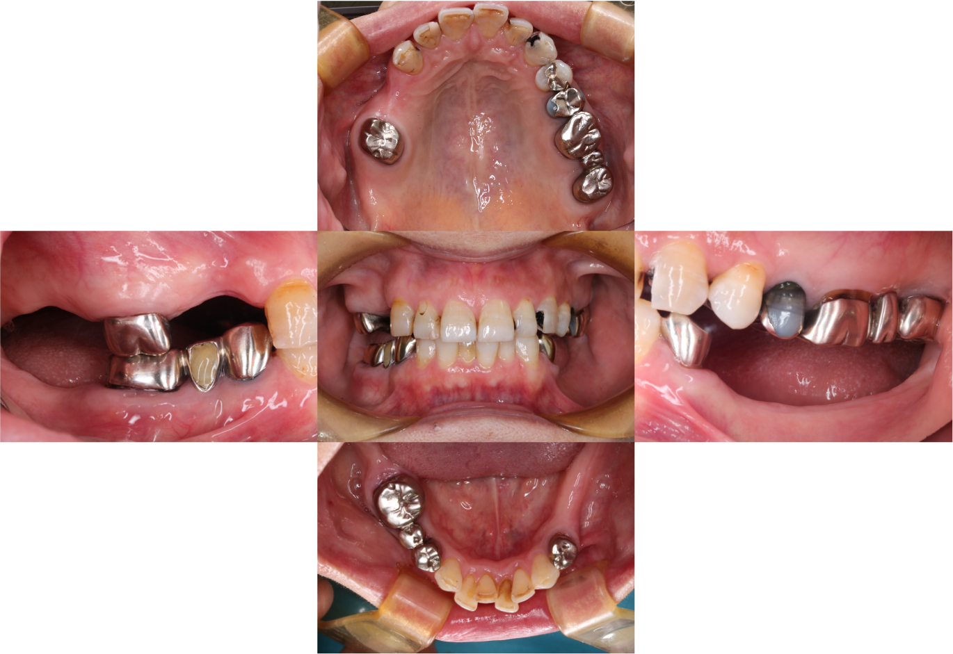
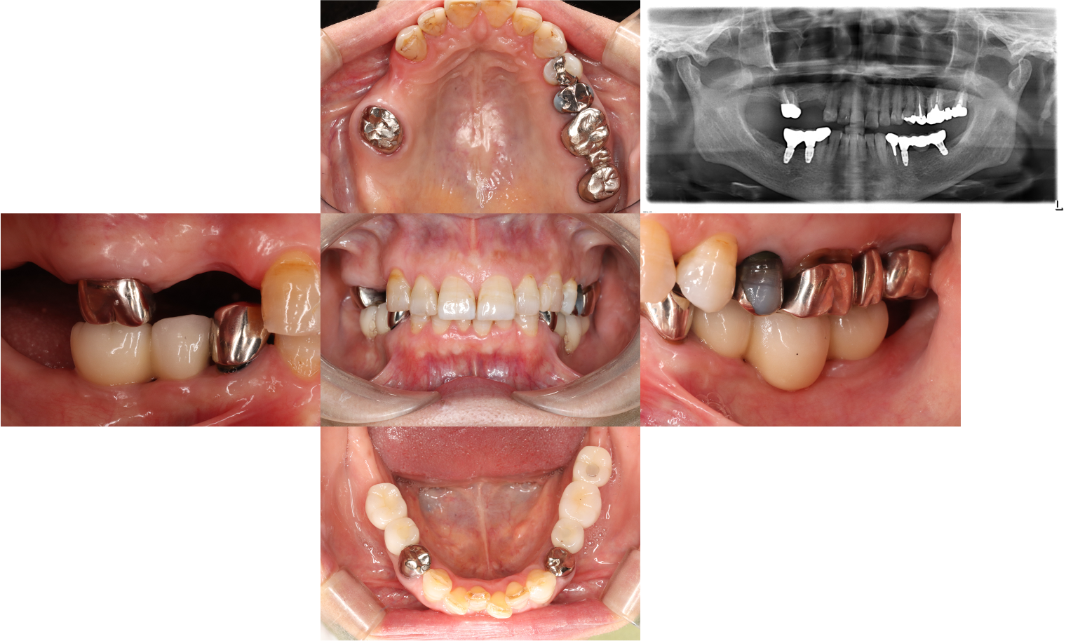
症例1
Before
.png)
After
.png)
患者さんの年齢/性別 | 女性/50歳代 |
主訴 | 奥歯でしっかりと食事が噛めない |
治療内容 | 左の奥歯は数年前に抜歯してから入れ歯を使用していて、右のブリッジとなっている奥歯で主に食事を噛んでいたとのこと。 |
治療期間/治療回数 | 5ヶ月/7回 |
費用 | CT 16,500円(税込) |
リスク・副作用 | 歯周病に感染・発症し重度に進行するとインプラントが抜けてしまうことがあります。また、手術後は数日間腫れが出る場合があります。 |
設備
歯科用CT

歯や顎骨の状態、残存歯根の状態など口腔内やその周辺を立体的な画像として撮影できるCT装置です。
クラスB滅菌器

あらゆる器具の滅菌処理ができる欧州規格の高性能な滅菌器です。
歯科用生体モニター

麻酔が必要な治療や時間のかかる治療で、全身的な管理が必要なケースで用いる生体モニターです。
口腔内スキャナー

専用のスキャナーで口腔内をさまざまな角度から撮影することで歯型を採取できる機器です。
個室診療室

プライバシーに配慮した個室の診療室です。
カウンセリングルーム

周りを気にせず相談していただける個室のカウンセリングルームです。
インプラントに関わる費用
CT撮影 | 16,500円(1回) |
|---|---|
インプラント手術費 | 286,000円(1部位) |
インプラント用のかぶせ物 | 198,000円(1歯) |
静脈内鎮静法(特殊麻酔) | 66,000円(1回) |
骨造成 ※部位や大きさによる | 165,000~275,000円 |
※インプラントによる治療は保険が適用されない自費診療です。
<具体的な治療費例>
①骨量が十分にありインプラント1本を埋入するのケース
※埋入箇所:中間歯欠損部
CT撮影 | 16,500円 |
|---|---|
手術費(1部位) | 286,000円 |
かぶせ物(1歯) | 198,000円 |
合計 | 500,500円 |
②骨量が十分にあり、インプラント2本埋入して歯を3本回復するケース
※埋入箇所:4・6番の2本
CT撮影 | 16,500円 |
|---|---|
手術費(2部位) | 572,000円 |
かぶせ物(3歯) | 594,000円 |
合計 | 1,182,500円 |
③骨量が足りなくインプラント2本埋入のケース
※埋入箇所:6・7番の2本+骨造成
CT撮影 | 16,500円 |
|---|---|
骨造成 | 165,000円 |
手術費(2部位) | 572,000円 |
かぶせ物(2歯) | 396,000円 |
合計 | 1,182,500円 |
※金額は全て税込表示です。
お支払いについて
ヒカルノ歯科・矯正歯科では、以下の方法でお支払いが可能です。
※詳細は医院へお問い合わせください。
●現金
●クレジットカード
●デンタルローン
インプラント治療は医療費控除の対象です。
医療費控除を活用すれば治療費のいくらかが返ってきますのでぜひ活用すると良いでしょう。
<関連記事>
【年収別】インプラントで医療費控除を使ったらいくら戻ってくる?申請方法も解説
歯科医師紹介

永原 光
経歴
2003年3月 明海大学歯学部卒 2003年4月 尼崎市にて医療法人 村内歯科医院に勤務 2006年1月 池田市にて池田インプラントセンター 安田歯科に勤務 2009年 大阪北浜インプラントセンター 筒井歯科に副院長として勤務 2013年4月 ヒカルノ歯科開院 2023年1月 医療法人化
所属学会・資格・スタディーグループ
日本臨床歯周病学会 認定医
メッセージ
基本情報
住所
〒664-0881 兵庫県伊丹市昆陽6-117-8
最寄駅
JR伊丹駅よりタクシーで約12分/阪急伊丹駅よりタクシーで約8分
診療時間
月・火・水・金:9:00~13:00/15:00~18:30 土:9:00~13:00/14:00~17:30 木・日・祝:休診日
電話番号
072-784-1234
2. のまきたパーク歯科・矯正歯科(伊丹市野間北/伊丹駅)

医院紹介
兵庫県伊丹市野間北に医院を構える「のまきたパーク歯科・矯正歯科」。
同院ではその場限りの対症療法ではなく「お口の中をトータルで診る治療」を大切にされています。
将来のお口の健康を考えた治療が受けられるでしょう。
院内には複数のドクターが在籍し、それぞれの専門知識を結集したチーム医療を実践している点は特徴のひとつと言えます。
また、患者さん自身が「この先生にお願いしたい」と納得した歯科医師に治療を任せられる「ドクターの指名制」にも対応しています。
院内には技工所が併設されており、患者さん一人ひとりのお口の状態や噛み合わせ、色合いの微妙なニュアンスまでを正確に反映した被せ物の作成が期待できるでしょう。
医院の詳細は公式ホームページにてご確認ください。
設備
◆歯科用CT
◆オペ室(手術室)
◆口腔内スキャナー
◆クラスB滅菌器
◆マイクロスコープ
特徴1 日本口腔インプラント学会の口腔インプラント専門医が治療を担当
.jpeg)
のまきたパーク歯科・矯正歯科では、日本口腔インプラント学会の口腔インプラント専門医がインプラント治療を担当します。
この資格は、同学会が定める厳格な基準を満たした歯科医師に付与される資格です。
取得には、一定期間の研修といくつもの臨床経験を有するなど、インプラント治療に関する専門的な知識と技術が求められます。
通常のインプラント治療に関する相談はもちろん、難症例と言われるケースの相談にも乗ってもらえるでしょう。
インプラントに関わる費用
インプラント本体+オペ+被せ物(1本) | 396,000円~ |
|---|---|
ALL ON 4(オールオン4) | 2,310,000円~ |
インプラントプラス総入れ歯 | 1,320,000円 |
※インプラントによる治療は保険が適用されない自費診療です。
※金額は全て税込表示です。
お支払いについて
のまきたパーク歯科・矯正歯科では、以下の支払い方法に対応しています。
※詳細は医院へお問い合わせください。
●現金
●クレジットカード
●デンタルローン
基本情報
住所
〒664-0875 兵庫県伊丹市野間北1丁目1番1号
最寄駅
伊丹駅から車で約10分
診療時間
月・火・木・金:8:45~12:30/14:15~17:30 土:8:45~13:00/14:00~17:00 水・日・祝:休診日
電話番号
072-783-8009
3. アップル歯科伊丹駅前(伊丹市西台/阪急伊丹駅)

医院紹介
阪急伊丹駅から徒歩で30秒の場所に位置する「アップル歯科伊丹駅前」。
歯科医師が一方的に治療法を決めるのではなく、最終的な治療法の選択は患者さん自身が納得しておこなうことを大切にされています。
提案される治療法は保険診療だけに限らず、自由診療も含めてさまざまな治療法を提示してもらえます。
治療中の「痛み」に対する不安にも配慮を心がけており、表面麻酔や極細の麻酔針を用いるなど、できる限り負担を軽減するための工夫がなされています。
アップル歯科伊丹駅前では、患者さんに寄り添った診療が受けられるでしょう。
医院の詳細は公式ホームページにてご確認ください。
設備
◆歯科用CT
◆オペ室(手術室)
◆口腔内スキャナー
◆クラスB滅菌器
◆マイクロスコープ
特徴1 「総入れ歯が合わない」「ほとんどの歯を失った」方へのインプラント治療
.jpeg)
アップル歯科伊丹駅前では多くの歯を失った方や、現在総入れ歯を使用している方々に向けたインプラント治療法の一つとして「オールオン4(All-on-4)」に対応しています。
オールオン4とは、片顎すべての歯を支える一体型の人工歯(ブリッジ)を、最少4本のインプラントで固定する治療法です。
なくなった歯1本1本に対してインプラントを埋め込む必要がないため、インプラントの本数や切開する範囲が抑えられ、経済的負担や身体的負担を抑えることにつながります。
また、十分に骨がある箇所を選んでインプラントを埋め込むことから、ケースによっては部分的に骨の量が足りない方でも追加処置をせず治療を受けられる可能性があります。
インプラントに関わる費用
CT検査 | 11,000円 |
|---|---|
精密検査 | 33,000円 |
ベーシックプラン | 374,000円 |
スタンダードプラン | 451,000円 |
プレミアムプラン | 484,000円〜539,000円 |
オプション
GBR | 55,000円〜110,000円 |
|---|---|
ソケットリフト | 55,000円 |
サイナスリフト | 165,000円〜220,000円 |
抜歯即時埋入 | 55,000円 |
ブロック移植 | 110,000円〜165,000円 |
オールオン4
アクリリックレジン | 2,255,000円 |
|---|---|
チタンフレーム | 上顎:3,190,000円 |
チタン+ジルコニア | 上顎:3,740,000円 |
All-on-4仮歯 | 165,000円 |
※インプラントによる治療は保険が適用されない自費診療です。
※金額は全て税込表示です。
お支払いについて
アップル歯科伊丹駅前では、下記の方法でお支払いができます。
※詳細は医院へお問い合わせください。
●現金
●クレジットカード
●デンタルローン
基本情報
住所
〒664-0858 兵庫県伊丹市西台1丁目1番1号 伊丹阪急駅ビル4階
最寄駅
阪急伊丹駅から徒歩で30秒
診療時間
月・火・木・金:9:30~18:30 水:9:30~13:00 土:9:30~17:00 日・祝:休診日
電話番号
072-783-5777
4. 上り口歯科医院(伊丹市西台/阪急伊丹駅)

医院紹介
「阪急伊丹駅」から徒歩2分の場所に位置する「上り口歯科医院」。
歯を単なる一本の歯としてではなく「全身の一部」としてとらえ、総合的な歯科医療を心がけているとのことです。
場当たり的に悪い部分だけを治療するのではなく、なぜその状態になったのかという原因まで遡り、口腔内全体ひいては全身の健康までを見据えた診療が受けられるでしょう。
院内は歯科用CTやマイクロスコープ、オペ室をはじめとした大学病院レベルの設備が整えられています。
補綴歯科に精通したドクターが在籍しており、補綴歯科における深い意見を活かした、専門性の高い治療が期待できます。
医院の詳細は公式ホームページにてご確認ください。
設備
◆歯科用CT
◆口腔内スキャナー
特徴1 骨が足りない方へのインプラント治療

歯を失ったままの期間が長引くといったことが原因で、歯を支えていた顎が薄く(痩せて)なってしまうことがあります。
インプラント治療は、この顎の骨に人工の歯根(インプラント体)を埋め込む処置であるため、土台となる骨に十分な厚みや高さが必要不可欠です。
上り口歯科医院では、このように骨の量が足りない患者さんに対してもインプラント治療がおこなえるよう、「骨造成」と呼ばれる専門的な処置に対応しています。
骨造成は骨を増やすための処置であり、足りない骨を補うことでインプラント治療がおこなえるようになる可能性があります。
インプラントに関わる費用
手術費用(一次、二次手術計) | ¥495,000〜 | |
骨造成 | 単純 | ¥110,000〜 |
中等度 | ¥220,000〜 | |
複雑 | ¥330,000〜 | |
サイナスリフト・ソケットリフト(単純) | ¥110,000〜 | |
サイナスリフト・ソケットリフト(中等度) | ¥220,000〜 | |
サイナスリフト・ソケットリフト(複雑) | ¥330,000〜 |
※インプラントによる治療は保険が適用されない自費診療です。
※金額は全て税込表示です。
お支払いについて
上り口歯科医院のお支払い方法は医院へお問い合わせください。
基本情報
住所
〒664-0858 兵庫県伊丹市西台4丁目1-10 三田興産ビル1F
最寄駅
阪急伊丹駅から徒歩で2分
診療時間
月~金:9:30~13:00/14:30~18:30 土・日・祝:休診日 ※第4土曜日午後は矯正歯科日
電話番号
072-772-3248
5. 木下歯科(伊丹市稲野町/稲野駅)

医院紹介
兵庫県伊丹市稲野町に位置する「木下歯科」。
こちらの医院はお子様からお年寄りまでご家族で安心して通えるよう、院内にはキッズスペースが設けられ、バリアフリー設計となっています。
プライバシーに配慮した完全個室の診療室も完備しており、周りの目を気にせず治療を受けていただくことが可能です。
院内の感染症対策も徹底しており、口腔外バキュームや高性能空気清浄機、高圧蒸気滅菌器などを導入し、院内感染を限りなくゼロにできるよう対策されています。
治療においては可能な限り歯を抜かない方針を掲げ、天然の歯を残す治療を優先してもらえるでしょう。
医院の詳細は公式ホームページにてご確認ください。
設備
◆歯科用CT
◆口腔内スキャナー
◆マイクロスコープ
特徴1 「なるべく早く終わらせたい」その希望に応えるための治療法

インプラントでの治療を検討する際に「治療期間をできるだけ短くしたい」「手術の回数を減らしたい」と思われる方は多いでしょう。
こういった方々の要望に応えられるよう、木下歯科では必要に応じて「抜歯即時埋入インプラント」という治療法を取り入れています。
これは抜歯と同時にインプラントを埋め込む治療法のことです。
通常の治療法であれば必要な数ヶ月にわたる「抜歯後の待期期間」を設けずインプラントを埋め込めるため、治療期間の短縮につながります。
手術自体も1回で済むので、その分通院回数も減らすことができます。
インプラントに関わる費用
CT検査+埋入手術 | 臼歯部 | 250,000円 |
|---|---|---|
前歯部 | 270,000円 | |
二次手術+補綴 | 150,000円 | |
骨造成 | 50,000円 | |
ソケットリフト | 50,000円 | |
※インプラントによる治療は保険が適用されない自費診療です。
※金額は全て税込表示です。
お支払いについて
木下歯科では、現金・クレジットカード・デンタルローンに対応しています。
※詳細は医院へお問い合わせください。
基本情報
住所
〒664-0861 兵庫県伊丹市稲野町6-86
最寄駅
「稲野駅」から徒歩で5分
診療時間
月・火・水・木・金:9:00~13:00/14:30~18:00 土:9:00~14:00 日・祝:休診日
電話番号
072-743-0180
6. はまだ歯科クリニック(伊丹市西台/阪急伊丹駅)

医院紹介
「阪急伊丹駅」から徒歩3分という、利便性の高い立地にある「はまだ歯科クリニック」。
平日は19時まで、さらに土日も診療しており、忙しい方でも通院スケジュールを調整しやすいでしょう。
院内には女性歯科医師が在籍しており、男性歯科医師に相談しづらいことも相談しやすい環境が整えられています。
同院では予防を中心とした診療をおこなっており、治療後も継続したメンテナンスを受けることができます。
歯科衛生士は担当制のため、自身の口内状況における経過を把握した担当による、段階に合わせたケアが受けられるでしょう。
医院の詳細は公式ホームページにてご確認ください。
設備
◆歯科用CT
◆口腔内スキャナー
特徴1 専用のガイドで経験だけに頼らないデジタルインプラント
.jpeg)
「はまだ歯科クリニック」では、インプラント治療の精度を高めるための一つの取り組みとして「サージカルガイド」と呼ばれるマウスピース型の装置を使用した手術に対応しています。
インプラントでの治療は、あらかじめ計画した通りの箇所にインプラントを正確に埋め込むことが治療結果を大きく左右します。
そのため、インプラントを埋め込む手術においては高い正確性が求められるのです。
はまだ歯科クリニックで用いるサージカルガイドは、事前に計画した通りの箇所・深さ・角度でインプラントを埋め込めるようサポートする装置です。
歯科医師の経験だけに頼らない精度の高い治療が期待できるでしょう。
インプラントに関わる費用
インプラント治療(1本) | 495,000円 |
|---|
※検査・診断料(CT、X線検査等)、手術費用、インプラントガイド作製料(症例による)、上部構造(ジルコニアクラウン)が含まれます。
※インプラントによる治療は保険が適用されない自費診療です。
※金額は全て税込表示です。
お支払いについて
はまだ歯科クリニックでの支払い方法は医院へお問い合わせください。
基本情報
住所
〒664-0858 兵庫県伊丹市西台2-7-18 エスポワールコナカビル1階
最寄駅
「阪急伊丹駅」から徒歩で3分
診療時間
月・火・水・木・金:9:00~13:00/15:00~19:00 土:9:00~13:00/14:00~18:00 日:8:00~16:00 木・祝:休診日
電話番号
072-782-1182
7. つじの歯科医院(伊丹市南本町/新伊丹駅)

医院紹介
つじの歯科医院は、兵庫県伊丹市の阪急伊丹線「新伊丹駅」から徒歩約5分の場所にある、開院から30年以上の歴史を持つ歯科医院です。
歯科口腔外科出身の院長のもと、一般的な虫歯・歯周病の治療から外科手術をともなうインプラントまで、お口の幅広い悩みに対応しています。
なかでもインプラント治療は同院が力を入れている治療のひとつであり、歯科用CTやインプラント手術ナビゲーションシステムなどの精密機器を駆使した精密で安全性の高い治療を心がけているようです。
GBRやサイナスリフトなどを用いて骨が少ないといった難症例にも対応しているので、顎の骨不足を理由に治療を諦めていた方も一度相談してみてはいかがでしょう。
骨造成を併用したインプラント治療で、きれいでしっかり噛める歯を取り戻すことができるかもしれません。
設備
◆歯科用CT
◆マイクロスコープ
◆クラスB滅菌器
特徴1 オステムインプラント臨床研究認定クリニックによる安全性と精度に配慮したインプラント治療

つじの歯科医院は、韓国発のインプラントメーカーであるオステムインプラントが実施する教育・研修や臨床研究プログラムに参加し、一定の基準を満たしたオステムインプラント臨床研究認定クリニックです。
院長自身もオステムマスターコース講師認定を取得しているほか、ニューヨーク大学歯学部の短期留学プログラムを修了しており、インプラントに関する高度な知識と技術を習得しています。
インプラント治療は専門性の高い知識と技術が必要な治療のため、安全性と精度に配慮したインプラント治療をできるのは同院の強みです。
客観的な事実にもとづく確かな専門性を持つ歯科医院にてインプラント治療を受けたい方にとって、同院は有力な選択肢のひとつとなるでしょう。
インプラントに関わる費用
サージカルガイド | 55,000円 |
|---|---|
インプラント埋入 | 220,000円 |
インプラント上部構造 | 220,000円 |
GBR(骨造成) | 55,000~110,000円 |
サイナスリフト | 55,000~110,000円 |
静脈内鎖静法 | 110,000円 |
※インプラントによる治療は保険が適用されない自費診療です。
※金額は全て税込表示です。
お支払いについて
つじの歯科医院では、以下の支払い方法に対応しています。
※詳細は医院へお問い合わせください。
●クレジットカード
●PayPay
基本情報
住所
〒664-0852 兵庫県伊丹市南本町3-2-8
最寄駅
阪急線 新伊丹駅より徒歩約5分
診療時間
月~水・金 9:00~13:00/14:30~18:30 木 9:00~13:00 土 9:00~14:00 休診日:木曜午後・日曜・祝日
電話番号
072-775-3718
インプラント治療について
インプラント治療とは?
インプラント治療は、失った歯を補うための治療法です(※公的医療保険が適用されない自由診療です)。
歯を失った顎の骨にインプラント体を埋入し、そのインプラント体を土台に被せ物をすることで失った歯を補完します。
インプラントの構造やメリット・デメリットなどについてはこちら
治療の流れ
下記、一般的な治療の流れです。
※あくまでも一般的な流れであり、下記とは異なる流れで治療がおこなわれることもあります。
【二回法の場合】
1.カウンセリング
2.検査・治療計画の策定
3.骨造成や骨移植(ケースによっては不要)
4.一次手術(インプラントの埋入)
5.待機期間(人工歯根と顎骨の結合待ち)
6.二次手術(アバットメントの取付)
7.型取り
8.上部構造を装着して完了
※その後は定期的にメンテナンスを受ける必要がある
【一回法の場合】
1.カウンセリング
2.検査・治療計画の策定
3.骨造成や骨移植(ケースによっては不要)
4.インプラント埋入手術
5.待機期間(人工歯根と顎骨の結合待ち)
6.型取り
7.上部構造を装着して完了
※その後は定期的にメンテナンスを受ける必要がある
治療期間や通院回数の目安
治療期間:3ヵ月~1年程度
通院回数:8~10回程度
※具体的な治療期間や通院回数は、患者さん1人ひとりの口腔状態や要望、治療内容などによって異なります。
想定されるリスク・副作用
下記、インプラント治療で想定されるリスク・副作用です。
・神経や血管を傷つけて感覚麻痺が起きる
・患部に腫れ、痛み、違和感が生じる
・患部から出血する
・顔や首などに内出血斑が出る
・チタンアレルギーが起きる
・上顎にインプラント体を埋入する際、上顎洞を破る
・インプラント体と顎骨が上手く結合しない
・インプラント周囲炎になる
Medee歯科検索は、おすすめしたい歯医者を掲載しています。
駅、行政区、診療時間、歯科医院の特徴、診療科目など豊富な検索メニューで歯科医院を検索可能。
また歯科医院のWebサイトはもちろん各種予約ツールも利用することが可能で、より簡単に歯科医院を探すことができます。
新着記事

【2026年】千葉市稲毛区でおすすめしたい矯正歯科医院3選

【2026年】宇都宮市でインビザライン矯正におすすめしたい歯科医院3選

【2026年】足立区でセカンドオピニオン対応のインプラント治療におすすめしたい歯科医院3選

【2026年】浦和エリアでマウスピース矯正におすすめしたい歯科医院3選

【2026年】目黒区でインビザライン矯正におすすめしたい歯科医院3選
関連する記事

【2026年】足立区でセカンドオピニオン対応のインプラント治療におすすめしたい歯科医院3選

【2026年】和歌山市でオールオン4におすすめしたい歯科医院3選

【2026年】港区で骨造成対応のインプラント治療におすすめしたい歯科医院3選

【2026年】愛媛県でインプラント治療におすすめしたい歯科医院3選

【2026年】伊丹市でオールオン4におすすめしたい歯科医院3選

【2026年】堺市南区でインプラント治療におすすめな歯科医院3選

【2026年】中央区でフラップレスインプラント治療におすすめしたい歯科医院3選

【2026年】福山市でインプラント治療におすすめしたい歯科医院3選

【2026年】佐久市でインプラント治療におすすめしたい歯科医院3選

【2026年】広島県でインプラント治療におすすめしたい歯科医院3選

【2026年】多摩市周辺でインプラント治療におすすめしたい歯科医院5選

【2026年】東京都で抜歯即時インプラントにおすすめしたい歯科医院3選

【2026年】足立区でオールオン4におすすめしたい歯科医院7選

【2026年】兵庫県でインプラント治療におすすめしたい歯科医院5選

【2026年】立川市で歯周病に対応するインプラント治療におすすめしたい歯科医院5選

【2026年】江東区でオールオン4におすすめしたい歯科医院5選

【2026年】江坂でインプラント治療におすすめしたい歯科医院5選

【2026年】西船橋駅周辺でインプラント治療におすすめしたい歯科医院5選

【2026年】札幌市清田区でインプラント治療におすすめしたい歯科医院5選

【2026年】神奈川県でインプラント治療におすすめしたい歯科医院5選



