【2026年】横浜市でインプラント治療におすすめしたい歯科医院8選
2025/1/10
2026/1/15
#インプラント

横浜市内には2,000以上の歯科医院が存在しており(2020年度時点)、患者さんのニーズに対応する質の高い医院が豊富にあるエリアです。
参考:神奈川県 横浜医療圏|地域医療情報システム(日本医師会)
神奈川歯科大学や横浜歯科医療専門学校などがあり、神奈川県に限らず日本で有名な歯科医師も存在している歯科激戦区のひとつでもあります。
これだけ歯科医院の数が多く、技術やスキルのある歯科医師が多くいるエリアで、インプラント治療を任せる医院を選ぶのは難しいですよね。
そこでこの記事では、横浜市のインプラントに力を入れている歯科医院について、7つの情報をもとに整理しています。
7つの情報とは「臨床実績」「設備」「対応できる術式」「保証」「メインテナンス体制」「価格・費用」「口コミ」のことです。
これらの詳細情報については「インプラントに対応している歯科医院について」の記事にてご紹介しております。
横浜市でインプラントに対応している歯科医院をお探しの方は、ぜひ参考にしてみてください。
※2026年1月時点におけるMedee編集部の調査データとなります。
- 1.1鶴見歯科医院(横浜駅)
【2026年】横浜市でインプラント治療におすすめしたい歯科医院8選
1. 鶴見歯科医院(横浜駅)PR

各分野に精通したドクター達が連携して治療するワンストップ体制
横浜駅より徒歩で約8分、横浜メディカルセンタービル内にある「鶴見歯科医院」は1945年に開業し、75年以上の歴史がある歯科医院です。
各分野に精通したドクターが在籍しており、総勢約80名のスタッフのもと、入院を伴う手術を除いたほとんどの治療は医院でおこなえるとのことです。
1つの歯科医院だけでは完結させるのが難しい治療においても、院内でワンストップに対応してもらえるでしょう。
治療においては患者さんそれぞれに担当の歯科医師・歯科衛生士がつき、必要に応じてインプラントや矯正などの専門チームがカンファレンス(会議)・治療をおこないます。
鶴見歯科医院では、セカンドオピニオンも受け付けているので「歯がボロボロでインプラントを検討している」といった方はぜひ利用してみてはいかがでしょうか。
特徴1 専門チームで臨むデジタルデータをもとにした高精度な治療

鶴見歯科医院では、一人の患者さんに対して複数のドクターが連携するチーム体制で治療にあたっています。
各分野に精通したドクターがそれぞれの領域から意見を出し合い、多角的な観点のもと治療計画を立てています。
日本補綴学会専門医の資格を持ち補綴治療に強みがあるドクターも在籍しているため、インプラントはもちろんそれ以外の選択肢も考慮した総合的な判断をしてもらえるでしょう。
治療内容によっては同じビル内にある内科とも連携するとのことです。
こういった多角的な観点のもと立案された精度の高い治療計画は、専門性を持ったドクターが多く在籍している鶴見歯科医院の強みといえるでしょう。
また、同院ではこだわりの治療が提供できるような設備にも力を入れています。
歯や顎骨を立体的に把握できる歯科用CTや小型スキャナーで印象採取ができる3D光学カメラなど、さまざまな設備が備えられてます。
こういった機器を活用して得たデジタルデータをもとに、専門チームが治療にあたるため高精度で治療期間を抑えた治療が受けられるでしょう。
特徴2 オールオン4や抜歯即時埋入法など高度な治療も提供

歯学博士の称号を持ち、日本口腔インプラント学会に所属する歯科医師をはじめとして、インプラントによる治療実績が豊富なドクターが複数在籍しており、オールオン4や抜歯即時埋入法など高度な治療にも対応しています。
オールオン4とは、4本のインプラントで奥歯から前歯までの12本の歯が一体化した上部構造を支える治療法です。
1本1本インプラントを埋入するよりオールオン4のほうが治療期間も短く、費用も安く抑えられます。
少ない本数で上部構造を支える必要があったり、インプラントを斜めに埋入する技術が求められたりするため高度な治療とされています。
また、抜歯即時埋入法とは、インプラント治療にともない抜歯が必要なケースにおいて、抜歯と同時にインプラントの埋入をする治療法です。
通常、抜歯後に患部の治癒を数ヶ月待ってからインプラントを埋入するところ、抜歯と同時に埋入するため治療期間が短く済みます。
傷口が回復していない状態でインプラントを埋入するため、厳重な感染対策が求められ、こちらも治療をおこなうには高度な治療技術や整備された診療体制が必要です。
鶴見歯科医院では、患者さんの希望に応えられるようこういった高度な治療にも対応しています。
特徴3 院内技工で仕上げる精密な人工歯

鶴見歯科医院には被せ物や詰め物などの補綴物を作製する技工所が併設されており、歯科技工士も12名在勤しています。
インプラント治療における方針決定の段階から歯科技工士が介入し、患者さんと直接コミュニケーションをとりながら、歯の色や形状など具体的な内容を決めていきます。
人工歯を作製する技工士が直接患者さんの口内状態を把握することで、画像・文章・言葉などでは伝わりにくい部分も確認でき、より精度の高い歯を作製することが可能です。
最終的な人工歯の場所をもとにインプラントの埋入位置を決定する(補綴主導型)のが主流な現代において、院内に技工士が在籍しており方針決定の段階から介入できる点は、医院におけるひとつの強みといえるでしょう。
また、外部に依頼する必要がないため、外部に依頼する場合よりも人工歯ができあがるまで早く、何か調整が必要な場合も素早く対応してもらえます。
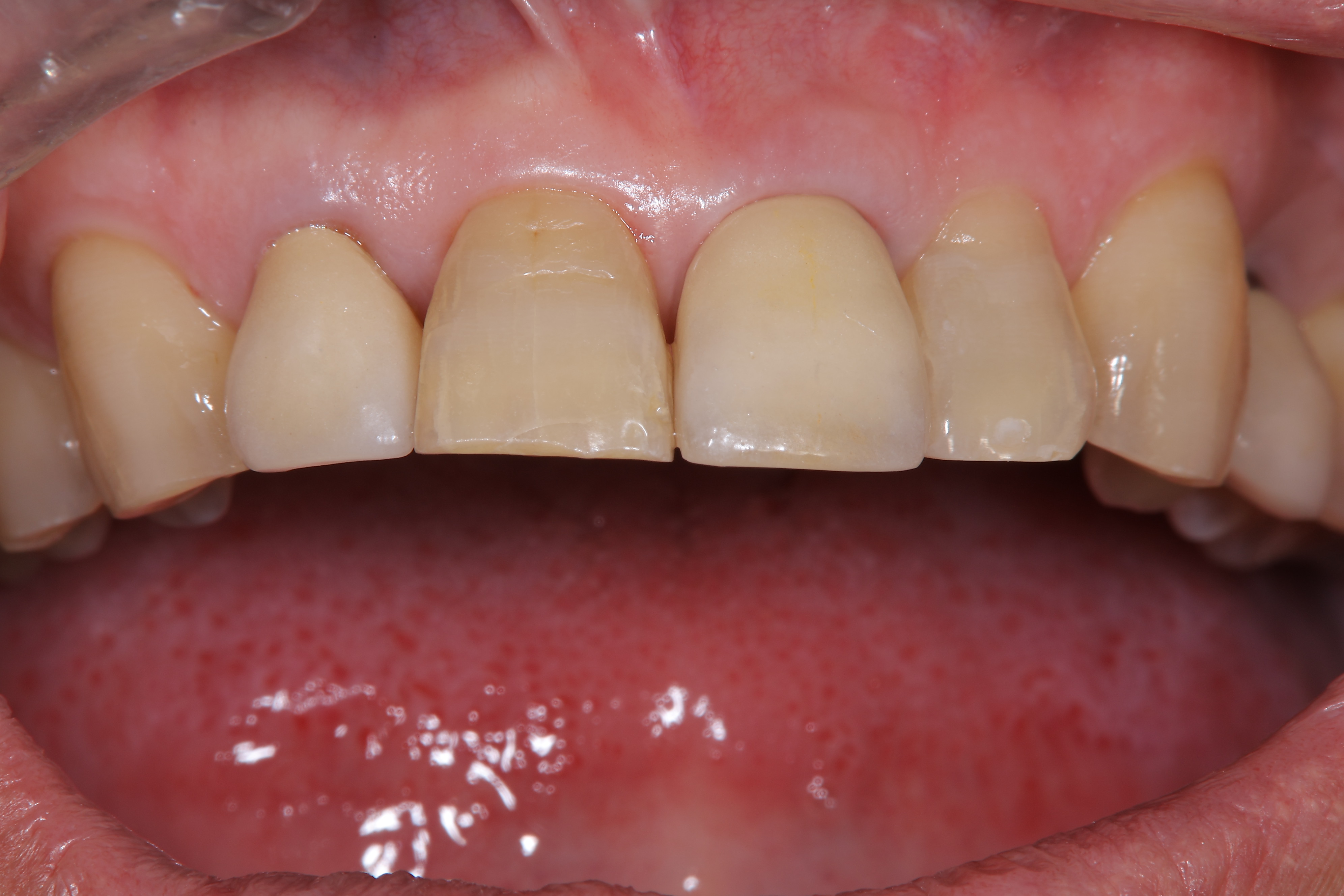
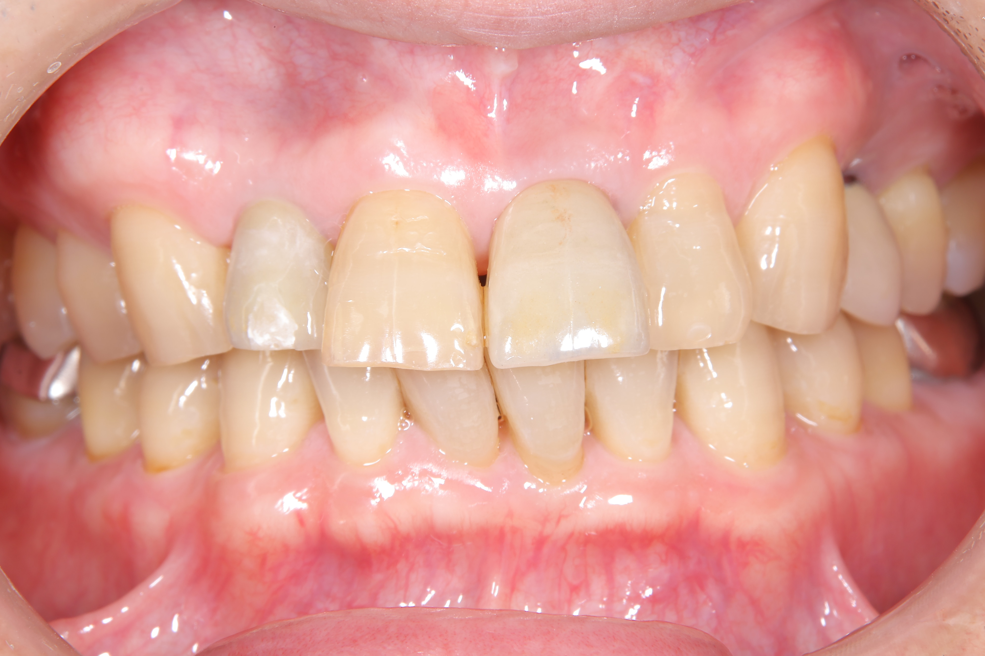
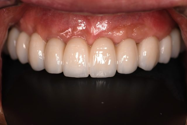
症例1
Before

After

患者さんの年齢/性別 | 50代/男性 |
|---|---|
主訴 | 古い前歯の差し歯が緩んできた |
治療の詳細 | 上顎前歯インプラント治療(仮歯までは1日で実施) |
治療期間/治療回数 | 3ヶ月/5回 |
費用 | 100万円 |
副作用・リスク | 術後の内出血、感染症罹患 |
設備
歯科用CT
.png)
歯科用CTは精密なインプラント治療において欠かせない機器であり、歯や顎骨の構造を立体的に把握することができます。
マイクロスコープ

マイクロスコープを活用することで、患部を数十倍にまで拡大して、明るい状態で観察することができます。肉眼では見落としてしまう細部まで観察できるため、治療の精度向上に役立ちます。
3D光学カメラ

小型スキャナーを用いた撮影で歯型を正確にデータ化することができます。従来の印象材を使う型取りに比べ、不快感も少なく済むでしょう。
インプラントオペ室

インプラント治療をおこなうためのオペ室です。治療に必要な器具を備えられており、細菌感染を防止するための衛生管理も徹底されています。
クラスB滅菌器

ヨーロッパにおける厳しい基準を満たした小型の高圧蒸気滅菌器です。ほとんどの被滅菌物を滅菌処理することが可能です。
インプラントシミュレーションソフト

CT撮影で得たデータをもとに、インプラントの埋入位置をコンピューター状でシミュレーションできるソフトです。
インプラントに関わる費用
インプラント
手術代 | ¥220,000~¥275,000 |
|---|---|
上部装置 | ¥165,000~¥220,000 |
骨造成術(1/6ブロック)
GBR 1ブロック | ¥55,000~¥165,000 |
|---|---|
ソケットリフト | ¥55,000~¥165,000 |
サイナスリフト | ¥330,000~¥495,000 |
抜歯即時埋入(1本) | ¥22,000 |
PRGF | ¥55,000 |
ソケットプリザベーション | ¥55,000 |
プロビジョナル | 1支台¥22,000 |
|---|
静脈内鎮静法 | ¥75,000 |
|---|
CT撮影 | ¥0 |
|---|---|
CT+デジタル診断 | ¥27,500 |
CT+ガイドサージェリー | ¥55,000~¥110,000 |
補綴
ユニバーサルアバットメント+上部装置 | ¥165,000~¥220,000 |
|---|---|
カスタムアバットメント+上部装置 | ¥165,000~¥220,000 |
ポンティック部 | ¥165,000~¥220,000 |
既存カスタムアバットメントの印象、補綴 | ¥66,000~¥132,000 |
全額治療
上顎フルマウス(6本) | ¥3,300,000 |
|---|---|
上顎フルマウス(4本) | ¥3,300,000 |
下顎フルマウス(4本) | ¥3,300,000 |
IOD | インプラント2本(¥880,000+静脈内鎮静法+CT) |
※これらは保険が適用されない自費診療です。
※金額は全て税込表示です。
お支払いについて
鶴見歯科医院では現金のほか、以下の方法でお支払いが可能です。
※詳しい方法については医院へお問い合わせください。
●各種クレジットカード
VISA|MASTER|JCB|AMERICAN EXPRESS|Diners Club|
●電子マネー
●デンタルローン
インプラントは医療費控除の対象です。
医療費控除を活用することで一定の治療費が返ってくるためぜひ活用しましょう。
<関連記事>
【年収別】インプラントで医療費控除を使ったらいくら戻ってくる?申請方法も解説
歯科医師紹介

一瀬 昭太
経歴
神奈川歯科大学歯学部卒 厚生労働省認定 歯科医師臨床研修医 指導医 USC 南カリフォルニア大学歯学部短期留学修了
所属学会・資格・スタディーグループ
日本補綴歯科学会 専門医 日本口腔インプラント学会 日本顎咬合学会 日本障害者歯科学会 日本歯周病学会
メッセージ
基本情報
住所
〒220-0073神奈川県横浜市西区岡野1-14-1
最寄駅
横浜駅から徒歩で約8分
診療時間
月・火・水・金・土:9:00~13:00/14:00~18:00 木・日・祝:休診日
電話番号
045-311-3422
2. シャングリラデンタル横浜歯科矯正歯科(高島駅)PR

自費診療専門ならではのこだわりの治療
みなとみらい線「高島駅」から徒歩約1分とアクセスしやすい 「シャングリラデンタル横浜歯科矯正歯科」。
院内は完全個室の診療室を備えており、プライバシーに配慮された落ち着いた環境の中で治療を受けることができます。
また、完全予約制 なので待ち時間が少なく、スムーズな診療が可能です。
自由診療ならではの幅広い選択肢を持ち、患者さん一人ひとりのニーズに合わせたオーダーメイドな治療を提供されています。
美しさを追求した治療や機能性を重視した治療など、要望に合わせたプランを提案してもらえるでしょう。
理事長の梶原先生がすべての治療を担当 し、分院との連携による充実したアフターケアも魅力のひとつです。
お口のことでなにかお困りの際は一度相談してみてはいかがでしょう。
※完全予約制となっているため事前の予約が必要です。
特徴1 さまざまな治療法に対応できる口腔インプラント専門医

インプラント治療は歯科医師であれば施術可能ですが、高度な技術が求められるため、担当するドクターの経験や専門性が治療の質を左右します。
そのため、どのドクターに治療を任せるかが大きなポイントとなるでしょう。
「シャングリラデンタル横浜歯科矯正歯科」では、日本口腔インプラント学会の口腔インプラント専門医が治療を担当し、確かな技術と豊富な実績をもとに、患者さんに合った治療の提供に尽力されています。
また、通常のインプラント埋入だけでなく「即時荷重法(インプラントの埋入と同時に仮歯を装着)」や「フラップレスインプラント(歯茎を切開しないインプラント治療)」など、さまざまな治療法に対応しています。
十分なカウンセリングと精密な検査を通じて、患者さんの要望や健康状態を考慮しながら、一人ひとりに適した治療プランを提案してもらえるでしょう。
特徴2 骨が痩せている方へのインプラント治療

インプラントの機能を十分に発揮するには、顎骨にしっかりと固定されることが重要であり、 顎骨が痩せていて厚みや幅が足りないと、そのままでの治療は難しくなります。
「シャングリラデンタル横浜歯科矯正歯科」では、骨量が少ない方でもインプラントによる治療がおこなえるよう「オールオン4」や「ザイゴマインプラント」に対応しています。
オールオン4は4本のインプラントを使って片顎の人工歯を支える治療法のことです。
骨が十分ある部分を選んでインプラントを埋入するため、骨が足りない方でも治療できる可能性があります。
ザイゴマインプラントは顎骨だけでなく頬骨にも長いインプラントを埋入する方法で、オールオン4でも治療できないほど顎骨が痩せている場合でも、ザイゴマインプラントなら治療できる可能性があります。
特徴3 患者さんの痛みに配慮したさまざまな歯科麻酔

インプラントを含めた歯科治療を受ける際、多くの方が「できるだけ痛みを感じずに治療を受けたい」と考えるでしょう。
「シャングリラデンタル横浜歯科矯正歯科」では、患者さんの不安を軽減できるよう、局所麻酔の前に表面麻酔を施したり、麻酔針は極細の針を使用したりするなど痛みに配慮したさまざまな工夫をおこなっています。
また、希望される方にはよりリラックスした状態で手術を受けられるよう「静脈内鎮静法(セデーション)」も導入しているとのことです。
これにより、まるでうたた寝をしているようなリラックスした状態で手術が受けられ、手術中の記憶も残りにくくなります。
インプラント手術では局所麻酔をおこなうため、手術時に強い痛みを感じることは通常ありませんが、手術中の音や振動を感じたくない方は、静脈内鎮静法も検討してみてください。
症例1
Before

After

患者さんの年齢/性別 | 50代/男性 |
|---|---|
主訴 | 右上が腫れて痛く噛めない。 |
治療内容 | オールオン6 「白くてきれいな歯にしたい」とのことでホワイトニングをおこないご自身の歯の色を白くしてから、オールオン6の上部構造を作成・装着いたしました。 |
治療期間/治療回数 | 12カ月/15回 |
費用 | ¥6,000,000 |
副作用・リスク | 上顎に6本のインプラントを埋入するため長時間のオペになります。 |
設備
歯科用CT

X線を用いて顎骨や歯の状態などを3Dのデジタルデータとして得られる機器です。神経や血管の位置を把握するのにも役立ち、インプラント治療前の検査には必須の機器といえるでしょう。
マイクロスコープ

マイクロスコープを活用することで、対象箇所を数十倍に拡大して確認できるようになります。肉眼では確認できない部分まで見れるようになるため、より精密な治療がおこなえるようになります。
口腔内スキャナー

小型のスキャナーを用いて口腔内をスキャンし、口腔内の情報を3Dデータで得ることができる機器で、歯型の印象採取にも役立てられます。
超音波ボーンサージェリーシステム

超音波振動を利用して骨などを切除する機器です。刃先が物理的に骨と接触して削る機器より、軟組織を傷つけにくい特徴があります。
無影灯
無影灯は影ができにくい照明装置で、術者の視界をよりクリアにすることができます。視界がクリアになることで、より精密な治療をおこなえるようになります。
心電図

心電図は患者さんの生体情報を把握するために用いられ、インプラント手術時はもちろん、親知らずの抜歯を含む外科処置の際にも用いられます。
インプラントに関わる費用
基本手術料
手術基本料(薬代CT代込み) | ¥50,000 |
|---|
※オペモニター割:10%OFF
写真使用、補綴モニター:-¥30,000
インプラント埋入(1本あたり)
プレミアム | ¥250,000(10年保証) |
|---|---|
スタンダード | ¥200,000(5年保証) |
※写真使用、補綴モニター:-¥30,000
アバットメント
ノーベル On1アバットメント(単冠) | ¥50,000 |
|---|---|
ノーベル マルチアバットメント(連結) | ¥50,000 |
ノーベル ASCアバットメント(前歯部) | ¥50,000 |
ノーベル ロケーターアバットメント(デンチャー) | ¥50,000 |
ネオデント ミニマルチ(単、連結) | ¥50,000 |
上部構造
エコノミー ジルコニア単色(3年保証) | ¥150,000 |
|---|---|
スタンダード グラデーション(5年保証) | ¥200,000 |
プレミアム レイヤリング、ステイニング(5年保証) | ¥250,000 |
他院埋入加算 | ¥50,000 |
麻酔
静脈内鎮静法 | ¥70,000 |
|---|
骨造成
リッジプリザベーション | ¥50,000 |
|---|---|
オープンバリアメンブレン | ¥70,000 |
マイナーGBR | ¥100,000 |
GBR 水平的 | ¥200,000 |
GBR 垂直的 | ¥300,000 |
べニアグラフト | ¥300,000 |
サイナスフロアベーション | ¥200,000 |
PRGF | ¥50,000 |
人工骨(1歯あたり) | ¥20,000 |
ガイデッドサージェリー
1歯 | ¥50,000 |
|---|---|
2~4歯 | ¥100,000 |
ラジオグラフィックガイド | ¥150,000 |
All on 4(オールオンフォー)
上顎 All on 4 | ¥2,500,000 |
|---|---|
上顎 All on 6 | ¥3,000,000 |
下顎 All on 4 | ¥2,500,000 |
下顎 All on 6 | ¥3,000,000 |
Non-Gum加算 | ¥500,000 |
チタンフレーム+アクリリック歯(2年保証) | ¥1,000,000 |
※金額は全て税込表示です。
お支払いについて
「シャングリラデンタル横浜歯科矯正歯科」では、以下の方法でお支払いが可能です。
※お支払い方法の詳細については医院へお問い合わせください。
●現金
●クレジットカード
●分割払い
インプラントは医療費控除の対象であり、活用することによって払った治療費の一部が返ってきます。ぜひ活用しましょう。
<関連記事>
【年収別】インプラントで医療費控除を使ったらいくら戻ってくる?申請方法も解説
歯科医師紹介

梶原 基弘
経歴
九州歯科大学口腔インプラント科医員 外来診療チーム長 九州歯科大学口腔再建リハビリテーション学分野(口腔インプラント学)大学院歯学博士 関東医療法人 東京都、神奈川県にて院長に
所属学会・資格・スタディーグループ
日本口腔インプラント学会 口腔インプラント専門医 九州歯科大学歯学博士
メッセージ
基本情報
住所
〒220-0012 神奈川県横浜市西区みなとみらい5丁目1番2号 横浜シンフォステージ ウエストタワー3F
最寄駅
高島駅より徒歩で約1分
診療時間
10:00~19:00 ※不定休(休診日の詳細は医院ホームページのお知らせをご確認ください) 祝日:休診日
電話番号
045-211-4618
3. きぬた歯科クリニック(鴨居駅)

医院紹介
きぬた歯科は横浜・鴨居で開院してから30年以上になる歯科医院です。
横浜市にお住いの方は、きぬた歯科医院の看板を一度は見たことがあるのではないでしょうか。
機械的に治療をするのではなく、患者さん一人一人の症状を正しく把握したうえで、各患者さんの生活や希望に沿った治療計画を考案し、それを丁寧に説明してから進めていく歯科治療を求めているとのことです。
また、最も優先されるべきは患者様であるという考えを常に持ち続け、治療にあたっているようです。
私たち患者と二人三脚で治療を進めてくれるため、安心して治療を任せられるでしょう。
より詳しい内容については医院の公式ホームページにてご確認ください。
設備
◆歯科用CT
口腔内を立体的に映し出す歯科用CTは、精度の高いインプラント治療をおこなうのに欠かせない存在です。また、一般歯科における難症例の診断にも応用でき、保険診療の質を一段と高めることができます。
◆口腔内スキャナー
コンパクトな口腔内専用カメラを使用し、お口の中をカラー映像で立体的に記録することができます。口腔内を精細にスキャンし、コンピュータによる立体解析をおこなうことで、従来の印象材による方法と同じかそれ以上の精度で歯型データを取得することが可能です。
◆クラスB滅菌器
欧州の厳格な品質基準EN13060クラスBをパスした滅菌器です。徹底した滅菌処理で患者さんが細菌感染するリスクを軽減します。
◆マイクロスコープ
暗く狭い口腔内は、人間の目だけでは十分な視認性が得られません。マイクロスコープに内蔵された照明システムと最大20倍までの拡大機能により、肉眼での確認が困難だった歯の細部まで、明るく鮮明に観察することができます。
基本情報
住所
〒224-0053 神奈川県横浜市都筑区池辺町5486-3 リバーサイド中河1F
最寄駅
鴨居駅より徒歩で約3分
診療時間
月~金:9:00~13:00/14:30~19:30 土曜:10:00~13:00/14:30~17:00 日・祝:休診日
電話番号
045-935-1186
4. 横浜セントラルパーク歯科(鶴ヶ峰駅)

医院紹介
横浜市にある「横浜セントラルパーク歯科」は、相模鉄道本線「鶴ヶ峰駅」周辺に位置しています。
「明るく・やさしく・親切に」をモットーに、患者さんとのコミュニケーションを大切にし、どんな些細なことでも親身に相談にのる「地域密着型のホームドクター」を目指しているそうです。
医院は、一般的な保険診療からインプラント治療まで幅広く対応する総合歯科クリニックです。
目先の症状だけでなく、歯の健康を損なう根本的な原因を探り、お口全体のバランスを考慮した長期的な健康維持を目指した治療を提供しています。
また、院内にはキッズルームやプライバシーに配慮したカウンセリングルームが完備されており、小さなお子さんから大人まで、誰もがリラックスして治療を受けられる環境です。
横浜市周辺で歯科医院をお探しの方は、ぜひ1度相談してみてはいかがでしょうか。
医院の詳細は公式ホームページにてご確認ください。
設備
◆歯科用CT
◆専用オペ室
◆口腔内スキャナー
◆マイクロスコープ
◆クラスB滅菌器
特徴1 患者さんの体への負担や精神的な不安を和らげるため「フラップレス術式」

横浜セントラルパーク歯科では、インプラント治療を受ける患者さんの体への負担や精神的な不安を和らげるため「フラップレス術式」という治療法を採用しています。
従来のインプラント治療では、歯茎を大きく切開してインプラントを埋め込む必要がありましたが、「フラップレス術式」では歯茎に小さな穴を開けるだけでインプラントを埋め込むことが可能です。
切開や縫合といった外科処置をおこなわないため、手術自体の時間を短縮できるうえ、出血や腫れといった術後の負担も少なく、回復もよりスムーズに進みます。
「手術が怖い」と感じている方にとっても、安心して治療を受けられる選択肢の1つとなります。
患者さん一人ひとりの気持ちに寄り添い、安心して治療を受けられる環境づくりに力を入れている横浜セントラルパーク歯科。
横浜市でインプラント治療を検討している方は、一度相談してみてはいかがでしょうか。
インプラントに関わる費用
インプラント診断料 | 部分インプラント | ¥33,000 |
オールオン診断料 | Al-on-〇 | ¥55,000 |
インプラントA | 10年保証 | ¥385,000 |
インプラントB | 3年保証 | ¥330,000 |
インプラントC | 1年保証 | ¥308,000 |
手術代 | テンプレート・ガイドシステム・局所麻酔・処方薬など | ¥110,000 |
静脈内鎮静法 | 麻酔 | ¥77,000 |
骨造成 | 骨量による | ¥11,000〜¥165,000 |
上顎洞挙上術 | 片側 | ¥110,000〜¥220,000 |
プロビジョナル | ¥22,000 | |
ポンティック | ¥175,000 | |
オールオンフォー | 片顎・手術代・静脈内鎮静法など | ¥1,980,000 |
追加インプラント | ¥220,000 | |
セカンドプロビジョナル | ¥165,000 |
※インプラントによる治療は保険が適用されない自費診療です。
※金額は全て税込表示です。
お支払いについて
横浜セントラルパーク歯科では、現金、クレジットカード、デンタルローンにてお支払いいただけます。
※支払方法についての詳細は医院までお問い合わせください。
基本情報
住所
〒241-0004 神奈川県横浜市旭区中白根3-1-38
最寄駅
相模鉄道本線「鶴ヶ峰駅」
診療時間
平日:9:30~13:00/14:30~18:00 土:9:30~13:00/14:00~17:00 日・祝:休診日
電話番号
045-951-8877
5. ヨコヤマデンタルクリニック(鶴見駅)

医院紹介
ヨコヤマデンタルクリニックは、JR「鶴見駅」からバスで7分の場所にある歯科医院です。
駐車場も完備されているため、様々な交通手段でアクセスすることができます。
医院には「日本口腔外科学会専門医」や「顎顔面インプラント学会専門医・指導医」など、各分野で専門性の高い資格を保有するドクターが在籍しています。
また、歯科衛生士は担当制になっており、コミュニケーションを取りやすい環境を整えることで、患者さんが受け取るストレスを軽減できるよう努めているそうです。
インプラント治療においては、クラスB滅菌器を使用し徹底した感染対策を実施する「専用オペ室」を完備。
さらに、インストラクター資格を持つ歯科技工士との密な連携により、質の高い治療を実現しています。
横浜市でインプラント治療が得意な歯科医院をお探しの方は、ぜひ足を運んでみてください。
医院の詳細は公式ホームページにてご確認ください。
設備
◆歯科用CT
◆専用オペ室
◆クラスB滅菌器
特徴1 治療選択のサポートをするセカンドオピニオンに対応

インプラント治療は、失った歯の機能を取り戻すために有効な手段ですが、専門性が高い治療で費用も高額のため「本当に自分に合っているのか」「費用に見合う効果があるのか」と不安を感じる方も多い治療です。
こうした患者さんのもつ疑問や不安に寄り添うため、ヨコヤマデンタルクリニックでは「セカンドオピニオン」による、治療選択のサポートをおこなっています。
特に外科的処置を伴うインプラント治療では、事前の情報収集と冷静な判断が欠かせません。
主治医とは異なる視点からの意見を取り入れることで、治療の選択肢が広がり、内容の理解や不安解消に繋げることができます。
インプラント治療に不安を感じている方や、別の医師の意見を参考にしたい方は、ぜひヨコヤマデンタルクリニックで「セカンドオピニオン」を取り入れてみてください。
※セカンドオピニオンの受付は毎月5名様限定となっているそうです。詳細は医院までお問い合わせください。
インプラントに関わる費用
カウンセリング・矯正相談 | 無料(0円) |
|---|---|
精密検査診断 | 22,000円 |
インプラント手術 | 176,000円~ |
2次オペ(土台を入れます) | 77,000円~ |
被せ物(白い歯) | 132,000円~ |
静脈内鎮静法 | 44,000円 |
サイナスリフト | 165,000円~ |
骨移植 | 44,000円~ |
※インプラントによる治療は保険が適用されない自費診療です。
※金額は全て税込表示です。
基本情報
住所
〒230-0012 神奈川県横浜市鶴見区下末吉4-26-1
最寄駅
横浜市営バス停「三ッ池道停留所」より徒歩1分
診療時間
月~水・金:9:00~13:00/14:30~18:00 土:9:00~13:00/14:30~17:00 木・日・祝:休診日
電話番号
045-585-1182
6. ミズキデンタルオフィス(横浜駅)

医院紹介
ミズキデンタルオフィスは、「横浜駅」から徒歩4分の場所に医院を構えています。
医院は、平日はもちろんのこと土曜日も診療をおこなっており、それぞれのライフスタイルに合わせて通院して頂くことが可能です。
院内には「歯科用CT」や「マイクロスコープ」「口腔内スキャナー」など、より精密な治療をおこなうための医療設備を整えており、患者さんの負担を軽減しながら正確性の高い治療を実現するために活用しているそうです。
インプラント治療においては「日本口腔外科学会 専門医・指導医」の資格を持つ専門性の高いドクターが中心となり、治療をおこないます。
口腔内の状態に不安がある方は、ぜひ「ミズキデンタルオフィス」に相談してみてください。
医院の詳細は公式ホームページにてご確認ください。
設備
◆歯科用CT
◆専用オペ室
◆口腔内スキャナー
◆マイクロスコープ
◆クラスB滅菌器
特徴1 ミリ単位で正確に埋入するためのサージカルガイド

ミズキデンタルオフィスでは、インプラント治療の安全性と精度を高めるため「サージカルガイド」を導入しています。
「サージカルガイド」は、歯科用CTで得たデータをもとにおこなうシミュレーションに沿って作製されるマウスピース型の装置です。
サージカルガイドを手術中に使用することで、インプラントをミリ単位でより正確に埋入することができます。
また、インプラント埋入の際におこなう「歯茎の切開」の範囲をより小さく抑えることができ、手術時間を短縮することが可能です。
術後の腫れや痛みも軽減されるため、患者さんの身体的負担の軽減に繋がります。
横浜市で歯科医院をお探しの方は、高い精度と安心感を両立したインプラント治療を提供する「ミズキデンタルオフィス」に足を運んでみてはいかがでしょうか。
インプラントに関わる費用
インプラント治療1本 | ¥350,000~¥480,000 |
|---|
※精度の向上や安全を高めるために、コンピュータガイド・ナビゲーションシステム、静脈麻酔鎮静法、各種オプション手術(抜歯再生術・骨移植・スプリットクレスト・GBR・上顎洞底挙上術・インプラント周囲炎再生手術など)等があります。
※金額は全て税込表示です。
お支払いについて
ミズキデンタルオフィスでは、現金の他、クレジットカード、デンタルローンでのお支払いにも対応しています。
※支払方法についての詳細は医院までお問い合わせください。
基本情報
住所
〒220-0073 神奈川県横浜市西区岡野1-12-17 ニッセイビル5F
最寄駅
「横浜駅」から徒歩4分
診療時間
月・火・金:9:30~13:30/15:00~19:00 水:9:30~13:30 土:9:30~13:30/14:30~18:30 木・日・祝:休診日
電話番号
045-410-4818
7. 医療法人社団さくら会 MMデンタルクリニック(みなとみらい駅)

医院紹介
横浜みなとみらいにあるMMデンタルクリニックは「笑顔と快適な生活はお口の健康から」をモットーに、患者さん一人ひとりに寄り添った歯科医療を提供しています。
歯科治療の中でもインプラント治療に力を入れており、2024年には316症例、547本のインプラントを埋入するなど、高い専門性を活かした豊富な治療実績があります。
インプラント治療に精通した歯科医師をはじめ、歯科衛生士や歯科技工士など、各分野の専門スタッフが連携するチーム医療により、より精度の高い治療を実現しているそうです。
また、医院は「日本口腔インプラント学会」および「日本顎顔面インプラント学会」の研修施設にも認定されており、専門医を目指す歯科医師への教育にも力を入れています。
横浜市で初めてのインプラント治療をお考えの方は、是非「MMデンタルクリニック」に相談してみてください。
医院の詳細は公式ホームページにてご確認ください。
設備
◆歯科用CT
◆専用オペ室
◆口腔内スキャナー
◆マイクロスコープ
◆クラスB滅菌器
特徴1 恐怖心や緊張感を和らげるための麻酔法

インプラント治療では、一般的に局所麻酔を使用するため、施術中に痛みを感じることはほとんどありません。
しかし、意識がある状態の治療になるため、不安を感じたり、治療中の音や雰囲気に緊張したりしてしまう方もいらっしゃいます。
そんな患者さんの不安を軽減するべく、MMデンタルクリニックでは「静脈内鎮静法」を併用したインプラント治療をおこなっています。
「静脈内鎮静法」は、鎮静薬を静脈から点滴で投与することで、治療中は眠っているような落ち着いた状態を保てる麻酔法です。
多くの方が「気づいたら治療が終わっていた」と感じるほど、リラックスして処置を受けることができ、恐怖心や緊張感も和らぎます。
また、全身麻酔とは異なり、軽い意識を保ったまま呼びかけに反応できるため、身体への負担が少なく、安全性が高い点も特徴の一つです。
インプラントに関わる費用
相談料 | 無料 |
|---|---|
インプラントによる治療(1本あたり) | 509,300円〜531,300円 |
メインテナンス(1~3本) | 4,000円 |
ソケットリフト | 33,000円 |
サイナスリフト | 220,000円 |
GBR | 22,000円~110,000円 |
静脈内鎮静法 | 88,000円 |
※インプラントによる治療は保険が適用されない自費診療です。
※金額は全て税込表示です。
お支払いについて
MMデンタルクリニックでのお支払いは、下記の方法からお選びいただけます。
●現金
●銀行振込
●クレジットカード
●デンタルローン
※支払方法についての詳細は医院までお問い合わせください。
基本情報
住所
〒220-8401 神奈川県横浜市西区みなとみらい3-3-1 KDX 横浜みなとみらいタワー3階
最寄駅
横浜高速鉄道みなとみらい線「みなとみらい駅」から徒歩5分
診療時間
月・水・金:9:30~12:30/14:00~18:30 火・木:9:30~13:00/14:00~18:30 土:9:30~13:00/14:00~18:00 日・祝:休診日
電話番号
045-225-0933
8. OCEAN DENTAL OFFICE MINATOMIRAI(横浜駅)

医院紹介
「OCEAN DENTAL OFFICE MINATOMIRAI」は、横浜・みなとみらいエリアで歯医者さんをお探しの方にご紹介したい歯科医院です。
「For the patient」をモットーに、常に患者さんにとって何が最善かを考え、専門性の高いスタッフがチーム一丸となって、一人ひとりに適切な治療法を提案しています。
院内には、プライバシーに配慮された個室の診療室が用意されており、他の患者さんの目を気にすることなく、リラックスして治療を受けることができる環境が整っています。
インプラント治療は「日本口腔インプラント学会専門医(JSOI)」の資格を持つ専門性の高いドクターが担当。
より難易度が高い症例にも対応しており、セカンドオピニオンも受け付けているそうです。
横浜市のみなとみらい周辺で信頼できる歯医者さんをお探しなら「OCEAN DENTAL OFFICE MINATOMIRAI」を訪れてみてはいかがでしょうか。
設備
◆歯科用CT
◆口腔内スキャナー
◆マイクロスコープ
特徴1 治療期間の短縮や身体的負担の軽減を図る治療法

一般的なインプラント治療では、抜歯をおこなった際、その傷がしっかりと治ってからインプラントを埋め込みます。
対して、OCEAN DENTAL OFFICE MINATOMIRAIが採用している「抜歯即時埋入」という術式では、抜歯と同じタイミングでインプラントを埋め込むことが可能です。
この方法により、外科手術が一度で済むため、患者さんの負担が軽減されるとともに、治療期間の短縮が期待できます。
さらに、抜歯後すぐにインプラントを埋入することで、歯を失った部分の骨が痩せるのを防ぎ、より安定した治療結果に繋がりやすいというメリットもあります。
ただし、この「抜歯即時埋入」はすべての方に適応する術式ではありません。
重度の歯周病をお持ちの方や、虫歯の進行状況、噛み合わせの問題などによっては、治療が難しい場合もあります。
「抜歯即時埋入」の対象になるかどうか、詳細な治療内容について知りたい方は、ぜひ一度「OCEAN DENTAL OFFICE MINATOMIRAI」にご相談ください。
インプラントに関わる費用
インプラント手術 | ¥275,000 |
|---|---|
インプラント上部構造 | ¥220,000 |
※金額は全て税込表示です。
基本情報
住所
〒220-0012 神奈川県横浜市西区みなとみらい4-3-6 すずかけ通り西交差点 KTビル1階
最寄駅
JR「横浜駅」から徒歩10分/みなとみらい線「新高島駅」から徒歩2分
診療時間
火・水・金・土・日:10:00~13:30/15:00~19:00 月・木:10:00~13:30/16:30-20:00 祝:休診日
電話番号
045-306-8224
インプラント治療について
インプラント治療とは?
インプラント治療は、失った歯を補うための治療法です(※公的医療保険が適用されない自由診療です)。
歯を失った顎の骨にインプラント体を埋入し、そのインプラント体を土台に被せ物をすることで失った歯を補完します。
インプラントの構造やメリット・デメリットなどについてはこちら
治療の流れ
下記、一般的な治療の流れです。
※あくまでも一般的な流れであり、下記とは異なる流れで治療がおこなわれることもあります。
【二回法の場合】
1.カウンセリング
2.検査・治療計画の策定
3.骨造成や骨移植(ケースによっては不要)
4.一次手術(インプラントの埋入)
5.待機期間(人工歯根と顎骨の結合待ち)
6.二次手術(アバットメントの取付)
7.型取り
8.上部構造を装着して完了
※その後は定期的にメンテナンスを受ける必要がある
【一回法の場合】
1.カウンセリング
2.検査・治療計画の策定
3.骨造成や骨移植(ケースによっては不要)
4.インプラント埋入手術
5.待機期間(人工歯根と顎骨の結合待ち)
6.型取り
7.上部構造を装着して完了
※その後は定期的にメンテナンスを受ける必要がある
治療期間や通院回数の目安
治療期間:3ヵ月~1年程度
通院回数:8~10回程度
※具体的な治療期間や通院回数は、患者さん1人ひとりの口腔状態や要望、治療内容などによって異なります。
想定されるリスク・副作用
下記、インプラント治療で想定されるリスク・副作用です。
・神経や血管を傷つけて感覚麻痺が起きる
・患部に腫れ、痛み、違和感が生じる
・患部から出血する
・顔や首などに内出血斑が出る
・チタンアレルギーが起きる
・上顎にインプラント体を埋入する際、上顎洞を破る
・インプラント体と顎骨が上手く結合しない
・インプラント周囲炎になる
Medee歯科検索は、おすすめしたい歯医者を掲載しています。
駅、行政区、診療時間、歯科医院の特徴、診療科目など豊富な検索メニューで歯科医院を検索可能。
また歯科医院のWebサイトはもちろん各種予約ツールも利用することが可能で、より簡単に歯科医院を探すことができます。
新着記事

【2026年】豊中市岡町周辺でおすすめしたい歯医者6選

【2026年】東京で即日入れ歯治療におすすめしたい歯科医院3選

【2026年】銀座でおすすめしたい矯正歯科医院3選

【2026年】柏市でマウスピース矯正におすすめしたい歯科医院3選

【2026年】横須賀市で歯がボロボロな人向けの治療におすすめしたい歯科医院3選
関連する記事

【2026年】多摩市周辺でインプラント治療におすすめしたい歯科医院3選

【2026年】東京都で抜歯即時インプラントにおすすめしたい歯科医院3選

【2026年】足立区でオールオン4におすすめしたい歯科医院7選

【2026年】兵庫県でインプラント治療におすすめしたい歯科医院5選

【2026年】立川市で歯周病に対応するインプラント治療におすすめしたい歯科医院5選

【2026年】江東区でオールオン4におすすめしたい歯科医院5選

【2026年】江坂でインプラント治療におすすめしたい歯科医院5選

【2026年】西船橋駅周辺でインプラント治療におすすめしたい歯科医院5選

【2026年】札幌市清田区でインプラント治療におすすめしたい歯科医院5選

【2026年】神奈川県でインプラント治療におすすめしたい歯科医院5選

【2026年】浦和エリアでインプラント治療におすすめしたい歯科医院6選

【2026年】埼玉県でフラップレスインプラント治療におすすめしたい歯科医院5選

【2026年】横浜市でオールオン4におすすめしたい歯科医院5選

【2026年】新橋でインプラント治療におすすめしたい歯科医院5選

【2026年】岡山市で骨造成対応のインプラント治療におすすめしたい歯科医院5選

【2026年】大阪市でフラップレスインプラント対応のおすすめしたい歯科医院5選

【2026年】札幌市西区でインプラント治療におすすめな歯科医院5選

【2026年】北新地駅でインプラント治療におすすめしたい歯科医院5選

【2026年】堺市でセカンドオピニオン対応のインプラント治療におすすめしたい歯科医院5選

【2026年】岡山市でオールオン4おすすめしたい歯科医院5選



