【2026年】長野県でインプラント治療におすすめしたい歯科医院10選
2025/5/28
2026/4/7
#インプラント

長野県にはインプラント治療に関する資格を複数持つドクターが在籍している医院もあれば、インプラント治療をサポートする設備が充実している医院もあり、数多くの医院が存在しています。
歯を失いインプラントでの治療を検討されている方は、選択肢が多く悩んでしまうことでしょう。
本記事では「設備」「対応術式」「埋入実績」などをもとに、長野県でインプラントに対応している歯科医院を整理しました。
※各要素の参考は「インプラントでおすすめしたい歯科医院について」を参考にしてください。
長野県でインプラント治療を検討されている方はぜひ参考にしてみてください。
※2026年3月時点におけるMedee編集部の調査データとなります。
- 1.4若林歯科(千曲市)
- 1.5あるが歯科(上伊那郡)
- 1.6なわ歯科医院(岡谷市)
- 1.7 コイデ歯科医院(北深志)
- 1.10羽毛田歯科医院(南佐久郡)
【2026年】長野県でインプラント治療におすすめしたい歯科医院10選
1. くらた歯科医院(上伊那郡)PR

【累計1,500以上の症例経験】ITI公認のインプラントスペシャリストによる低侵襲なインプラント治療
長野県上伊那郡に医院を構える「くらた歯科医院」。
同院では予防歯科をベースとし、虫歯や歯周病といった一般歯科治療からインプラント治療まで対応しており、多角的で包括的な歯科診療を提供しています。
なかでもインプラント治療は同院が得意としている治療のひとつであり、院長の倉田友宏先生はインプラントの国際的な学術団体であるITI公認のインプラントスペシャリストです。
認定資格に裏付けられた高い専門性を活かし、一般的なインプラント治療はもちろん、入れ歯と組み合わせたインプラント治療、骨造成を併用したインプラント治療など様々な治療に対応しています。
また、院長はこれまでに1,500以上の症例経験を持ち、専門的な知識や高度な技術、確かな治療実績に基づく、低侵襲なインプラント治療にこだわりを持たれています。
「信頼できる歯科医院で治療を受けたい」という方はもちろん、「できるだけ痛くない治療を受けたい」という方は、ぜひ一度くらた歯科医院まで足を運んでみてはいかがでしょうか。
特徴1 高度な技術を駆使した短期間で終えるインプラント治療
一般的にインプラント治療では、歯を抜いてから傷口が回復するまで、インプラントを入れてから骨と結合するまでなど、術後に数ヶ月単位の待期期間が生じる治療期間の長い治療です。
そのため、治療期間が長いことや長期間歯がない状態が続くことへの心理的な抵抗感などから、治療をためらってしまうケースは決して少なくありません。
こうした患者様の悩みに応えるため、くらた歯科医院では「抜歯即時埋入法」を活用した、短期間で完了するインプラント治療に注力しています。
従来は抜歯後、数ヶ月待ってからインプラントを埋め込んでいましたが、この手法であれば徹底した細菌感染対策のもと、抜歯と同時にインプラントを顎の骨に埋め込むことが可能です。
数ヶ月に及ぶ抜歯後の待期期間を待たずしてインプラントを入れることができるため、治療期間を大幅に短縮することができます。
さらに、同院では「即時荷重法」という手法を用いて、長期間歯がない状態が続くことに抵抗感を抱く方の悩みも解消しています。
通常の治療では、インプラントを入れてから仮歯を装着するまでに数ヶ月の治癒期間を要しますが、この手法であればお口の条件が整えば手術当日に仮歯を装着することが可能です。
手術をしたその日から見た目が回復するため、歯がない期間を過ごす心配がありません。
このように、くらた歯科医院では抜歯即時埋入や即時荷重法といった高度な技術を駆使することで、より早い段階で快適に噛める喜びを取り戻すためのサポートに努めています。
※患者さんの状態によっては抜歯即時埋入法・即時荷重法が適用できないケースもあります。
特徴2 骨不足の難症例にも対応する高い技術力

「顎の骨が薄い」「骨の量が足りない」といった理由でインプラント治療を断念せざるを得なかった方は少なくありません。
こうした骨不足が原因で従来の手法ではインプラントでの治療が難しい難症例に対しても、くらた歯科医院では不足した骨を補う処置を併用したインプラント治療で対応しています。
ソケットリフトやサイナスリフト、GBRなど足りない骨を補うための様々な治療法に対応しているため、一人ひとりの骨の状態に合わせた処置をおこなうことが可能です。
このようにくらた歯科医院は、骨不足によってインプラント治療を諦めかけていた方でも、専門的なアプローチによってインプラントでの治療を実現しています。
他院で「骨が足りなくて難しい」と診断された方の相談も受け付けているので、インプラントでの治療を強く望まれる方は一度くらた歯科医院にて相談してみてはいかがでしょう。
特徴3 充実した設備環境のもとで実現する安全性の高いインプラント治療

インプラント治療の成否において、歯科医師の高い技術力や豊富な治療経験はもちろん、設備面の充実も必須な要素です。
この点において、くらた歯科医院では安全性の高いインプラント治療を実現するための設備が充実している歯科医院と言えます。
例えば、精密なインプラント治療には必要不可欠な歯科用CTを導入し、患者さんの口腔内やその周辺の状態を正確に把握。
従来のレントゲン撮影では把握しにくかった箇所まで詳細に確認できるため、より精密な治療計画を立案することが可能となります。
また、通常の診療室とは別に完全個室のオペ室を設けており万全な衛生管理を徹底。
インプラント手術においては徹底した感染対策が不可欠であり、衛生管理が徹底されたオペ室で手術をおこなうことで、細菌感染によるインプラントと骨の結合不良やインプラント周囲炎(インプラントの歯周病)などのトラブルを未然に防いでいます。
このようにくらた歯科医院は、歯科用CTや手術専用のオペ室をはじめとした設備面が充実しており、整えられた環境のもと安全性の高いインプラント治療を実現しています。
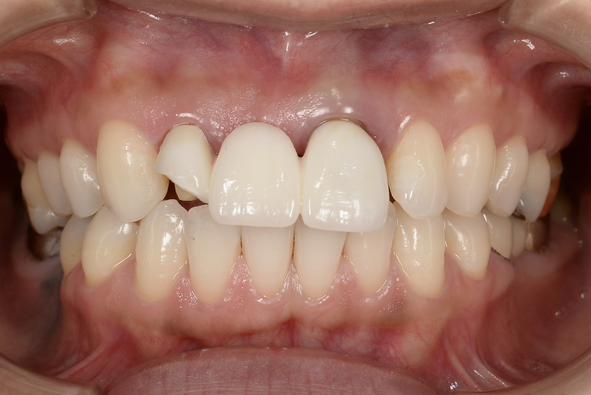
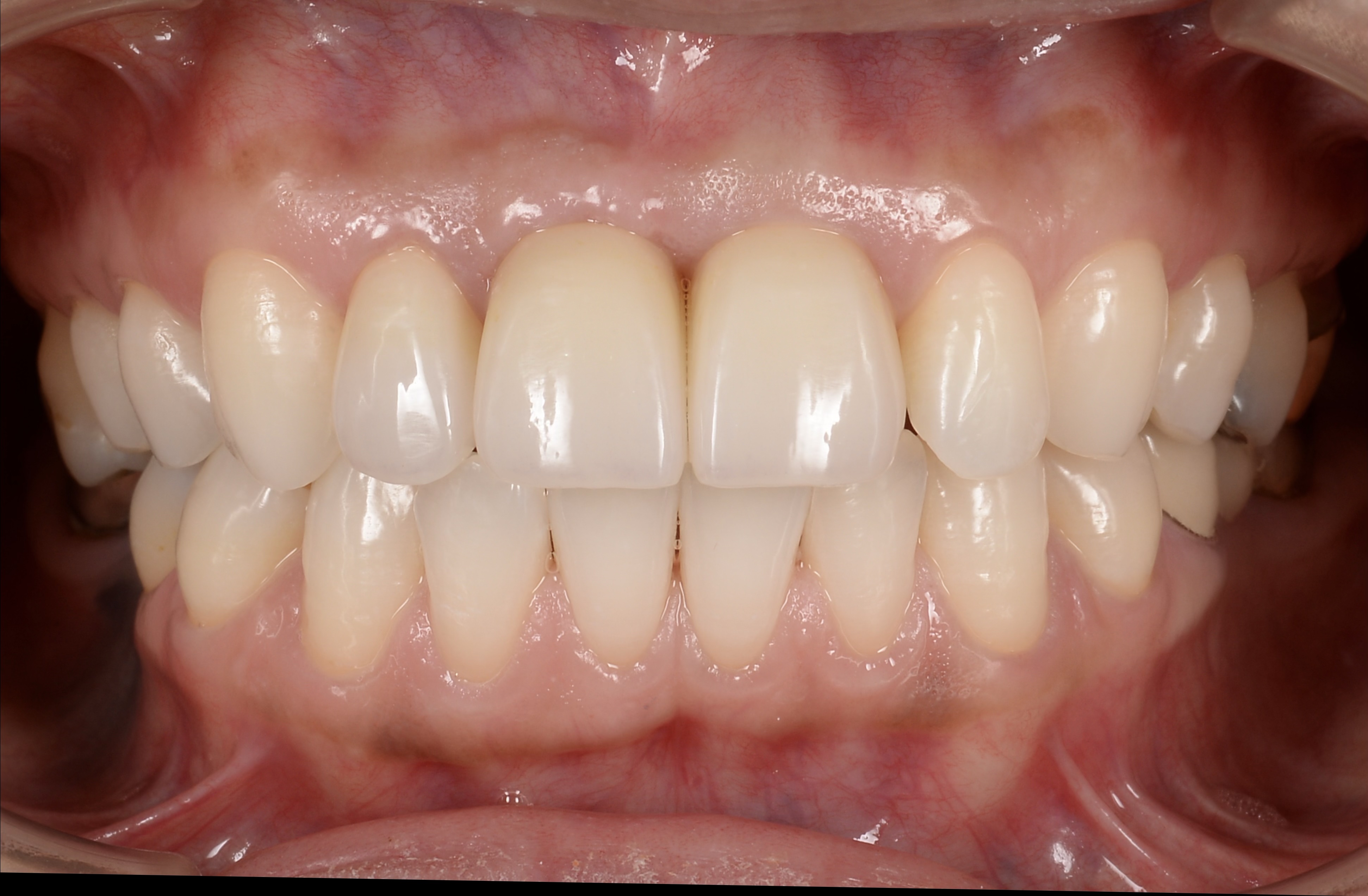
症例1
Before

After

性別/年齢 | 女性/50代 |
主訴 | 歯がグラグラする。インプラント治療を希望。 |
治療内容 | 上顎前歯のブリッジが歯根破折により動揺、抜歯と同時にインプラントを埋入、仮歯を装着した。3ヶ月の安静期間後、ジルコニアによる被せ物を装着し、審美的・機能的回復を行いました。 |
治療期間/治療回数 | 3ヶ月(抜歯即時インプラント埋入・即時修復)/6回 |
治療費 | 前歯3本:約110万円 |
副作用・リスク | ・術後の腫れや痛みの可能性 |
設備
歯科用CT

歯科用CTは顎骨の状態や歯の状態などを立体的な画像で把握できる機器です。従来のレントゲンでは見ることができなかった箇所まで把握できるようになります。
マイクロスコープ

対象を肉眼の何十倍にまで拡大して観察することができる機器です。肉眼では捉えきれない部分まで見れるようになり、精密な治療が可能となります。
セレックシステム

コンピューター制御によって、精度の高いセラミック製の修復物を設計・製作できるシステムです。
オペ室

衛生管理が徹底された完全個室のオペ室です。
診療室

半個室のプライバシーに配慮された診療室です。
インプラントに関わる費用
インプラント(1歯) | ¥440,000~¥550,000 |
インプラントデンチャー(ロケーター、マグネット) | ¥385,000~¥1,980,000 |
インプラント補助手術 | ¥55,000~¥165,000 |
※インプラントによる治療は保険が適用されない自費診療です。
※金額は全て税込表示です。
お支払いについて
くらた歯科医院では、以下の支払い方法に対応しています。
※詳細は医院へお問い合わせください。
●現金
●クレジットカード
インプラントは医療費控除の対象であり、利用することで払った治療費のいくらかが返ってきます。ぜひ活用しましょう。
<関連記事>
【年収別】インプラントで医療費控除を使ったらいくら戻ってくる?申請方法も解説
歯科医師紹介

倉田友宏
経歴
2001年 国立徳島大学歯学部卒業 2001年 医療法人社団尚友会 脇谷歯科クリニックに勤務 2005年 医療法人社団尚友会 むつみデンタルクリニック院長 2014年 くらた歯科医院継承
所属学会・資格・スタディーグループ
<所属している学会・スタディーグループ> 日本口腔インプラント学会 日本顎咬合学会 日本メタルフリー歯科学会 日本先進インプラント学会 日本レーザー歯学会 ICOI (国際インプラント学会) EAO(ヨーロッパインプラント学会) ITI(international Team for Implantology) 即時荷重研究会 SADC(信州advanced dentist club) <資格> 歯科医師 ITI(International Team for Implantlogy)公認インプラントスペシャリスト MEGAGEN JAPANインストラクター 日本メタルフリー歯科学会認定医 即時荷重研究会 理事・インストラクター
メッセージ
基本情報
住所
〒399-4511 長野県上伊那郡南箕輪3444
最寄駅
JR飯田線北殿駅から徒歩5分/中央道伊那インターから車で10分
診療時間
月・火・木・金:9:00~12:00/15:00~18:30 水・土:9:00~12:00 日・祝:休診日
電話番号
0265-76-1610
2. 信州口腔外科インプラントセンター(上高井郡)

医院紹介
信州口腔外科インプラントセンターは、長野県上高井郡にある歯科医院です。
「患者様に威圧感を与えない丁寧な対応」と「当たり前の気配り」を心がけており、大きな安心感と信頼を築いているそうです。
医院は四季折々の美しい風景を楽しめる庭と、落ち着いた内装で「病院らしくない空間」を提供し、病院にいることを忘れリラックスできる環境を作りだしています。
インプラント治療には特に力を入れており、顎骨が不足している方への「骨造成」にも対応しています。
また、入院を必要とするより難易度の高い治療をおこなう際には、病診連携をとっている他院で治療をおこなえるよう備えているそうです。
長野県上高井郡周辺でインプラント治療をお考えの方は、ぜひ足を運んでみてください。
医院の詳細は公式ホームページにてご確認ください。
設備
◆歯科用CT
3D画像で口腔内や顎の構造を詳細に映し出すことができる医療機器です。インプラント治療や外科的手術のリスクを減らし、治療精度を向上させることができます。
◆専用オペ室
衛生管理が徹底された、インプラント専用の手術室です。
特徴1 患者さんに寄り添うセカンドオピニオン

医師から治療法の説明を受けた際「本当に自分に合った治療法なのか」「他にどんな治療法があるのか」といった不安や疑問を感じる方もいらっしゃるかもしれません。
そのような方々に寄り添うため、信州口腔外科インプラントセンターでは「セカンドオピニオン」を受け付けています。
治療法を患者さん自身で決定することは難しいと思いますが、セカンドオピニオンを活用し主治医以外の医師の意見を聞くことで、納得できる治療法や医師を選ぶことができます。
患者さんが「医師にすべてを任せる医療」ではなく「インフォームドコンセント」を徹底し、治療の決定に積極的に関わることができるよう努めているそうです。
インプラントに関わる費用
インプラント(1歯) | ¥584,200 |
|---|---|
CTステント | 片顎10,000円、両顎20,000円 |
セカンドオピニオン | 5,000円 ~ 30,000円 |
※インプラントによる治療は保険が適用されない自費診療です。
※金額は全て税込表示です。
お支払いについて
お支払いは、現金、各種クレジットカードをご利用いただけます。
また、デンタルローンの相談もおこなっているそうです。
※お支払方法の詳細は医院までお問い合わせください。
基本情報
住所
〒381-0201 長野県上高井郡小布施町小布施林2249-1
最寄駅
長野電鉄長野線「小布施駅」から徒歩12分
診療時間
月・火・水・金:08:30~12:00/15:00~18:00 木・土:08:30~12:00 日・祝:休診日
電話番号
026-242-6888
3. しずくだ歯科クリニック(佐久市)

医院紹介
しずくだ歯科クリニックは、長野県佐久市に医院を構えています。
「自分の大切な人だったらどんな治療をしてあげたいか?」という視点を大切にし、患者さん一人ひとりに合った治療を提供しているそうです。
また、清潔な環境を保つため「24時間換気システム」や「口腔外バキューム」を導入し、カビやダニ、治療中に発生する浮遊物質など、目に見えない部分にも配慮した設備を整えています。
さらに、医院では歯科衛生士の担当制を採用しており、治療の開始からメンテナンスまで、すべての過程を一人の歯科衛生士が責任を持って担当します。
患者さんがより安心して治療を受けることができるよう努めているそうです。
医院の詳細は公式ホームページにてご確認ください。
設備
◆歯科用CT
◆光学印象装置
従来の型取りで使用される印象材を使わず、専用のスキャナーを使用し歯型のデジタルデータを採取できる機器です。型取りの精度を向上させることができ、患者さんの負担も軽減されます。
◆マイクロスコープ
患部を高倍率で拡大することで微細な部分まで視認できる歯科用の顕微鏡です。
◆専用オペ室
特徴1 精度を高めるためのシミュレーション

しずくだ歯科クリニックでは、インプラント治療前におこなうシュミレーションまでの過程に、特に力を入れているそうです。
初めに、歯科用CTを使用して患者さんの口腔内の状態を詳細に把握し、より精密な診断をおこないます。
その後「CAD/CAM」を搭載した機器のデザインソフトを活用し、自然な見た目と機能的なバランスを考慮した人工歯を設計。
さらに、シミュレーションソフトを使用して、設計した人工歯とCTのデータを組み合わせ、治療のシミュレーションをおこないます。
この過程で治療を進めることにより、診断から歯の装着までの各ステップをスムーズかつ迅速に進めることができ、治療の安全性も格段に向上します。
インプラントに関わる費用
インプラント治療 | ¥440,000~495,000 |
|---|---|
骨造成・骨移植 | ¥55,000~104,500 |
上顎洞挙上術 | ¥55,000~104,500 |
フルブリッジ | ¥2,750,000~3,300,000/片顎 |
※インプラントによる治療は保険が適用されない自費診療です。
※金額は全て税込表示です。
お支払いについて
しずくだ歯科クリニックでは、現金の他、クレジットカード、分割払いのデンタルローンでもお支払いいただけます。
※詳細は医院へお問い合わせください。
基本情報
住所
〒 385-0021 長野県佐久市長土呂900-20
最寄駅
JR北陸新幹線「佐久平駅」浅間口から車で6分
診療時間
月~土:8:30〜12:30 / 14:00〜18:00 日・祝:休診日
電話番号
0267-78-5404
4. 若林歯科(千曲市)

医院紹介
長野県千曲市にある若林歯科は、しなの鉄道「屋代駅」から徒歩7分の場所に位置する歯科医院です。
医院はバリアフリー仕様となっており、車いすやベビーカーをご利用の方でも安心して通院していただけます。
インプラント治療では、顎骨が不足している方に向けた「骨造成」や「オールオン6」、「インプラントオーバーデンチャー」など様々な治療法を提供しており、患者さんのニーズや状況に応じてより快適な生活をサポートする治療をおこなっています。
インプラント治療についてお悩みの方は、ぜひ一度「若林歯科」にご相談ください。
医院の詳細は公式ホームページにてご確認ください。
設備
◆歯科用CT
◆マイクロスコープ
◆クラスB滅菌器
ヨーロッパの厳格な滅菌基準を満たしたクラスB滅菌器は、医療器具の隅々まで徹底的に滅菌します。これにより感染症のリスクを抑え、より安全性の高い治療環境を提供します。
◆専用オペ室
特徴1 治療前後の専門的な歯周ケア

インプラント治療は「日本歯周病学会の歯周病専門医」が担当し、治療前の歯周病や口腔衛生の管理を徹底的におこないます。
歯周病が未治療のままインプラントを埋め込んだ場合、長期間安定させることは難しいため、インプラント埋入手術の成功には、歯周病を適切に管理することが重要です。
また、インプラント治療後のメインテナンスも非常に大切です。
メインテナンスを怠るとインプラント周辺の組織が細菌に感染し、インプラント周囲炎を引き起こすことがあり、埋め込んだインプラントが抜け落ちてしまったり、再手術が必要になったりすることもあります。
若林歯科では、治療後も適切なケア方法をアドバイスし、インプラント治療の長期的な安定をサポートをおこなっています。
インプラントに関わる費用
インプラント1本(埋入手術から上部構造の装着までを含む)※10年間保証付き | 440,000円 |
|---|---|
サージカルガイド(埋入から被せ物装着までのPCシミュレーション)作製 | 44,000~110,000円 |
インプラント上部構造のみ※他院での埋入ケース | 110,000円 |
インプラント上部構造+アバットメント(歯肉貫通部のコネクター) | 165,000円 |
GBR(骨誘導再生法)※人工骨や人工膜により骨を補填する手術 | 66,000~165,000円 |
ソケットリフト(上顎洞底挙上術)※上顎洞底部を挙上して得たすき間に骨を造成する手術 | 66,000~165,000円 |
インプラント6本で片顎(上顎または下顎)の人工歯列(左右6-6まで)を支える治療※仮歯費用込み | 2,860,000円 |
※インプラントによる治療は保険が適用されない自費診療です。
※金額は全て税込表示です。
お支払いについて
若林歯科では以下の方法でお支払いいただけます。
●現金
●各種クレジットカード
●キャッシュレス決済
※支払方法の詳細は医院までお問い合わせください。
基本情報
住所
〒387-0011 長野県千曲市杭瀬下50
最寄駅
しなの鉄道「屋代駅」から徒歩7分
診療時間
月・火・木・金:9:00~12:30/15:00~18:30 水:14:00~17:30 土:9:00~13:00 日・祝:休診日
電話番号
026-213-7574
5. あるが歯科(上伊那郡)

医院紹介
長野県上伊那郡にある「あるが歯科」は「伊那市」「宮田村」「駒ヶ根市」の方々を中心に診療をおこなっています。
院内にはキッズコーナーが併設されているだけでなく、無料託児サービスも提供しており、お子様連れの方でも安心して治療が受けられる環境が整えられています。
また、急な痛みや腫れ、歯や詰め物が取れたなどのトラブルに即日対応できるよう、常時5名以上の歯科医師が備えているそうです。
インプラント治療においては「患者さん目線のやさしいインプラント治療」を目指しており、患者さんが治療に対して前向きに取り組めるよう、心を込めた対応をおこなっています。
長野県でインプラント治療をお考えの方はぜひ1度相談してみてください。
医院の詳細は公式ホームページにてご確認ください。
設備
◆歯科用CT
◆マイクロスコープ
◆専用オペ室
インプラントに関わる費用
インプラント診断料 | ¥27,500 (税込) |
|---|---|
抜歯即時埋入 | ¥33,000 (税込) |
上顎洞挙上術 | ¥55,000 (税込) |
インプラント埋入手術代(1歯) | ¥220,000 (税込) |
2次処置 | ¥11,000 (税込) |
インプラント プロビ(仮歯) | ¥16,500 (税込) |
アバットメント(支台) | ¥55,000 (税込) |
上部構造(ジルコニアセラミッククラウン) | ¥148,500 (税込) |
ゴールドキャップ | ¥55,000 (税込) |
※インプラントによる治療は保険が適用されない自費診療です。
※金額は全て税込表示です。
お支払いについて
あるが歯科では、現金、クレジットカード、デンタルローンのお支払いに対応しています。
※詳細は医院へお問い合わせください。
基本情報
住所
〒399-4301 長野県上伊那郡宮田村7556-25
最寄駅
飯田線・中央本線「宮田駅」
診療時間
月・水・木・金 :9:00~13:00/14:30~18:00 火:10:00~13:00/14:30~18:00 土: 9:00~13:00/14:00~17:30 日・祝:休診日 ※研修等の日程により祝日も診療の場合があります。詳細は医院までお問い合わせください。
電話番号
0265-84-1131
6. なわ歯科医院(岡谷市)

医院紹介
なわ歯科医院は「下諏訪駅」から車で6分の場所にある歯科医院です。
「可能な限り痛みを抑えた、削る量が少ない、歯の神経を守る治療」をモットーに、マイクロスコープや高倍率ルーペを用いてより精密な治療を提供しているそうです。
また院内には、患者さんとドクターとの間に立ち、治療方針を分かりやすく説明したり、患者さんの悩みを伺いドクターに伝えたりする専門の「TC(カウンセラー)」が在籍しています。
患者さんとTC(カウンセラー)、ドクターの間に信頼関係を築くことで、治療を円滑に進めることができ、患者さんのストレスをより軽減させることが可能です。
長野県岡谷市でインプラント治療をお考えの方は、ぜひ足を運んでみてください。
医院の詳細は公式ホームページにてご確認ください。
設備
◆歯科用CT
◆光学印象装置
◆マイクロスコープ
◆クラスB滅菌器
◆専用オペ室
特徴1 患者さんの不安を軽減するための麻酔法

なわ歯科医院では、インプラント治療において「静脈内鎮静法」を用いて、患者さんの不安をより軽減することに力を入れています。
「静脈内鎮静法」は、静脈に鎮静剤を投与することで、患者さんがリラックスした半睡眠状態で治療を受けられる方法です。
治療中は「音」や「振動」をほとんど感じることないため、多くの患者さんが「気づいたら治療が終わっていた」と実感するそうです。
また全身麻酔とは異なり、完全に意識を失うことはなく身体への負担が少ないため、安心して治療を受けることができます。
インプラント治療に不安を感じる方や、口腔内に物が入ると吐き気を感じる「嘔吐反射」が強い方にも有効です。
インプラントに関わる費用
CT撮影 | ¥22,000 |
|---|
フラップ術 | ¥286,000 |
|---|---|
フラップレス術 | ¥242,000 |
セラミック冠 | ¥110,000 |
|---|
※インプラントによる治療は保険が適用されない自費診療です。
※金額は全て税込表示です。
お支払いについて
なわ歯科医院では、現金での支払いの他、デンタルローン、クレジットカード払いにも対応しています。
※詳細は医院へお問い合わせください。
基本情報
住所
〒394-0082 長野県岡谷市長地御所1-8-6
最寄駅
「下諏訪駅」から車で6分/「岡谷駅」から車で8分
診療時間
平日:09:00~12:30/14:30~18:30 土:9:00~13:00/14:00~17:00 日・祝:休診日
電話番号
0266-26-0648
7. コイデ歯科医院(北深志)
.png)
医院紹介
松本市の「コイデ歯科医院」は、「松本駅」から車で約10分の場所に医院を構えています。
「患者さんにとって本当に利益のある治療」を追求し、天然歯を可能な限り保存することに注力する歯科医院です。
医院では、「出来るだけ歯を残すための削らない、より精密な治療」という方針を掲げ、新しい知識と技術の習得を継続して努めているそうです。
また、「歯科用CT」「マイクロスコープ」「口腔内スキャナ」など、大学病院レベルの医療機器を兼ね備え、難症例やより精密な治療にも対応できる環境が整っています。
さらに、厚生労働省が定める「歯科外来診療環境体制(外来環)」の施設基準もクリアしているため、院内感染防止対策や救急時の対応体制など、安全管理の面でも、より安心できる環境で歯科治療を受けることが可能です。
松本市周辺で歯科医院をお探しの方や、歯にお悩みをお持ちの方は、ぜひ1度相談してみてはいかがでしょうか。
設備
◆歯科用CT
◆専用オペ室
◆光学印象装置
◆マイクロスコープ
基本情報
住所
〒390-0872 長野県松本市北深志3丁目4-4
最寄駅
「松本駅」から車で約10分
診療時間
月~水・金・土:9:00~12:00/15:00~18:00 木・日・祝:休診日
電話番号
0263-33-3300
8. 望月デンタルクリニック(松本市)

医院紹介
長野県松本市に位置する「望月デンタルクリニック」。
「100年使える歯」というコンセプトのもと、その場しのぎの治療ではなく、科学的根拠(エビデンス)に基づいた精密な診査・診断を全ての治療の基本とされています。
特にインプラント治療のような外科処置を伴う治療においては、歯科用CTをはじめとする医療機器を駆使し、治療の精度と安全性を追求されています。
また、インプラント治療は「入れたら終わり」ではなく、治療した歯が長期的に安定し快適に機能し続けることを目指し、治療後の予防処置と定期的なメンテナンスにも力を入れているようです。
長期的な視点に立った丁寧なサポートが受けられるでしょう。
医院の詳細は公式ホームページにてご確認ください。
設備
◆歯科用CT
◆マイクロスコープ
◆オペ室
◆インプラント手術ナビゲーションシステム
特徴1 痛みや恐怖を感じにくくする麻酔法を採用

インプラント治療は外科手術をともなうため、多くの方は緊張が高まったり不安感が強くなるでしょう。
患者さんの緊張や不安を軽減できるよう、望月デンタルクリニックは患者さんの希望に応じて「静脈内鎮静法」という麻酔を採用しています。
点滴を用いて鎮静剤を投与する麻酔で、ウトウトとリラックスした状態となります。
健忘効果によって手術時の記憶が残りにくい点も特徴のひとつです。
インプラント手術を受けるにあたり、強い緊張や不安がある方は静脈内鎮静法を検討すると良いでしょう。
インプラントに関わる費用
診査・診断料 | ¥6,600 |
|---|
応急処置代 | 別途 | ¥5,500 |
|---|---|---|
共通 | インプラント検査 | ¥55,000 |
血液検査 | かかりつけ医もしくは | |
インプラント | 手術費、ノーベルインプラント、光機能化、 | ¥550,000〜 |
静脈内鎮静 | ¥88,000 | |
付帯処置 | 骨造成 | ¥33,000〜110,000 |
ソケットリフト | ¥165,000 | |
サイナスリフト | ¥330,000 | |
補綴処置 | ポンティック | ¥176,000 |
仮歯 | ¥11,000 |
※インプラントによる治療は保険が適用されない自費診療です。
※金額は全て税込表示です。
お支払いについて
望月デンタルクリニックでは、下記の方法でお支払いが可能です。
※詳細は医院へお問い合わせください。
●現金
●クレジットカード
●デンタルローン
基本情報
住所
〒390-0848 長野県松本市両島1-13
最寄駅
松本I.Cより車で約5分
診療時間
月・火・水・金・土:9:00〜13:00/14:30〜18:00 木・日・祝:休診日
電話番号
0263-24-8148
9. 恵幸堂歯科医院(上伊那郡)

医院紹介
長野県上伊那郡に位置する「恵幸堂歯科医院」。
「患者さまと心を通わせるコミュニケーション」をモットーに日々診療されています。
特にカウンセリングには力を入れており、患者さん一人ひとりの悩みや希望、不安な気持ちにじっくりと耳を傾けてくれます。
治療の説明を受ける際に「こんなこと聞いてもいいのかな?」といった遠慮は一切不要です。
恵幸堂歯科医院では、専門用語をできるだけ使わず、お口の状態や治療の選択肢、それぞれのメリット・デメリット、治療期間や費用について患者さんが納得できるまで丁寧に説明してくれます。
医院の詳細は公式ホームページにてご確認ください。
設備
◆歯科用CT
◆マイクロスコープ
◆オペ室
◆口腔内スキャナー
特徴1 インプラントに関する専門資格を複数持つドクターが在籍

インプラント治療は高度な技術が求められる治療であり、担当するドクターの技術力は治療に大きく関係してきます。
恵幸堂歯科医院には、インプラント治療に関する高い専門性を持つドクターが在籍しています。
日本先進インプラント医療学会の指導医や国際口腔インプラント医学会の指導医など、インプラント治療における複数の専門資格を持つドクターです。
一般的なインプラント治療はもちろん「骨が少ない」「埋入箇所が神経に近い」などの難症例においても相談に乗ってもらうことができます。
インプラントに関わる費用
一般的な手術 | 231,000円~269,500円 |
|---|---|
上部構造 | 77,000円 |
インプラント | 77,000円 |
※インプラントによる治療は保険が適用されない自費診療です。
※金額は全て税込表示です。
基本情報
住所
〒399-3702 長野県上伊那郡飯島町飯島2527-6
最寄駅
駒ヶ根インターより車で約12分
診療時間
月~水・金・土:9:30~13:00/15:00~18:00 木・日・祝:休診日
電話番号
0265-86-6050
10. 羽毛田歯科医院(南佐久郡)

医院紹介
長野県南佐久郡に医院を構える「羽毛田歯科医院」。
「見えるからわかり安心につながる」という考えから、医院は常にわかりやすい説明を心がけています。
画像を用いて現状や治療内容についてわかりやすく丁寧な説明が受けられます。
また、治療後の長期的なお口の健康を見据えたサポート体制で予防処置にも力を入れているようです。
プロによるクリーニングや日々の歯磨き指導、食生活のアドバイスなど、その方に必要なオーダーメイドの予防プログラムを提案してもらえます。
医院の詳細は公式ホームページにてご確認ください。
設備
◆歯科用CT
◆マイクロスコープ
◆オペ室
◆口腔内スキャナー
基本情報
住所
〒384-1102 長野県南佐久郡小海町小海4283-5
最寄駅
小海駅より徒歩で約2分
診療時間
月・火・木・金・土:8:15~12:30/14:00~18:00 ※土曜午後は17:00まで 水・日・祝:休診日
電話番号
0267-92-2208
インプラント治療について
インプラント治療とは?
インプラント治療は、失った歯を補うための治療法です(※公的医療保険が適用されない自由診療です)。
歯を失った顎の骨にインプラント体を埋入し、そのインプラント体を土台に被せ物をすることで失った歯を補完します。
インプラントの構造やメリット・デメリットなどについてはこちら
治療の流れ
下記、一般的な治療の流れです。
※あくまでも一般的な流れであり、下記とは異なる流れで治療がおこなわれることもあります。
【二回法の場合】
1.カウンセリング
2.検査・治療計画の策定
3.骨造成や骨移植(ケースによっては不要)
4.一次手術(インプラントの埋入)
5.待機期間(人工歯根と顎骨の結合待ち)
6.二次手術(アバットメントの取付)
7.型取り
8.上部構造を装着して完了
※その後は定期的にメンテナンスを受ける必要がある
【一回法の場合】
1.カウンセリング
2.検査・治療計画の策定
3.骨造成や骨移植(ケースによっては不要)
4.インプラント埋入手術
5.待機期間(人工歯根と顎骨の結合待ち)
6.型取り
7.上部構造を装着して完了
※その後は定期的にメンテナンスを受ける必要がある
治療期間や通院回数の目安
治療期間:3ヵ月~1年程度
通院回数:8~10回程度
※具体的な治療期間や通院回数は、患者さん1人ひとりの口腔状態や要望、治療内容などによって異なります。
想定されるリスク・副作用
下記、インプラント治療で想定されるリスク・副作用です。
・神経や血管を傷つけて感覚麻痺が起きる
・患部に腫れ、痛み、違和感が生じる
・患部から出血する
・顔や首などに内出血斑が出る
・チタンアレルギーが起きる
・上顎にインプラント体を埋入する際、上顎洞を破る
・インプラント体と顎骨が上手く結合しない
・インプラント周囲炎になる
Medee歯科検索は、おすすめしたい歯医者を掲載しています。
駅、行政区、診療時間、歯科医院の特徴、診療科目など豊富な検索メニューで歯科医院を検索可能。
また歯科医院のWebサイトはもちろん各種予約ツールも利用することが可能で、より簡単に歯科医院を探すことができます。
新着記事

【2026年】御茶ノ水駅周辺でおすすめしたい矯正歯科医院3選

【2026年】東京都でガミースマイル治療におすすめしたい歯科医院3選

【2026年】愛知県名古屋市でおすすめしたい矯正歯科医院3選

【2026年】中央区でフラップレスインプラント治療におすすめしたい歯科医院3選

【2026年】寝屋川市でおすすめしたい歯医者6選
関連する記事

【2026年】中央区でフラップレスインプラント治療におすすめしたい歯科医院3選

【2026年】福山市でインプラント治療におすすめしたい歯科医院3選

【2026年】佐久市でインプラント治療におすすめしたい歯科医院3選

【2026年】広島県でインプラント治療におすすめしたい歯科医院3選

【2026年】多摩市周辺でインプラント治療におすすめしたい歯科医院5選

【2026年】東京都で抜歯即時インプラントにおすすめしたい歯科医院3選

【2026年】足立区でオールオン4におすすめしたい歯科医院7選

【2026年】兵庫県でインプラント治療におすすめしたい歯科医院5選

【2026年】立川市で歯周病に対応するインプラント治療におすすめしたい歯科医院5選

【2026年】江東区でオールオン4におすすめしたい歯科医院5選

【2026年】江坂でインプラント治療におすすめしたい歯科医院5選

【2026年】西船橋駅周辺でインプラント治療におすすめしたい歯科医院5選

【2026年】札幌市清田区でインプラント治療におすすめしたい歯科医院5選

【2026年】神奈川県でインプラント治療におすすめしたい歯科医院5選

【2026年】浦和エリアでインプラント治療におすすめしたい歯科医院6選

【2026年】埼玉県でフラップレスインプラント治療におすすめしたい歯科医院5選

【2026年】横浜市でオールオン4におすすめしたい歯科医院5選

【2026年】新橋でインプラント治療におすすめしたい歯科医院5選

【2026年】岡山市で骨造成対応のインプラント治療におすすめしたい歯科医院5選

【2026年】大阪市でフラップレスインプラント対応のおすすめしたい歯科医院5選



