【2026年】東京都でセラミック治療におすすめしたい歯科医院3選
2026/2/24
2026/3/19
#セラミック

「銀歯を白くしたい」「前歯の形を整えたい」など様々な理由からセラミック治療を検討し始めたものの、東京都内の膨大な数の歯科医院を前に、どこへ足を運ぶべきか立ち止まってはいませんか。
セラミックによる治療は自由診療だからこそ、費用や仕上がりの美しさ、そして数年後の耐久性に至るまで、絶対に妥協はしたくないですよね。
そこで本記事では、歯科医院の治療実績や歯科医師の専門性、医院の設備など多岐に渡る要素をもとに、東京都でセラミック治療におすすめしたい歯科医院をご紹介しております。
「銀歯を白くしたい」「前歯の形を整えたい」などでセラミック治療に対応した歯科医院をお探しの方はぜひ参考にしてみてください。
※2026年2月時点におけるMedee編集部の調査データとなります。
【2026年】東京都でセラミック治療におすすめしたい歯科医院3選
1. 東京銀座NOVA矯正歯科(中央区/東銀座駅)PR

10年後も壊れない美しさを目指す審美治療
2026年4月、東京都中央区の銀座に新しく開院する「東京銀座NOVA矯正歯科」。
東銀座駅より徒歩で1分と好立地に医院を構え、東京都内はもちろん遠方からでも通いやすい歯科医院です。
審美領域の治療に注力しており、噛み合わせや筋肉、歯周組織までを考慮した緻密な設計により、10年後も壊れない美しさを目指しています。
その治療の核となっているのが、院長である神田先生の卓越した技術と高度な知見です。
神田先生はセラミック治療やラミネートベニアにおいて、国内大手の歯科医院や韓国の大手美容歯科にて研鑽を積み、膨大な症例に携わってきた審美領域の治療におけるスペシャリストです。
様々な勉強会へ積極的に参加し、数多くの学術証明書も取得。豊富な経験に裏打ちされた確かな技術と、高度な知見を組み合わせ、高度なセラミック治療を提供しています。
また同時に、その美しさが一過性のもので終わらないよう、審美領域の治療において噛み合わせや筋肉、歯周組織までを考慮した緻密な設計により、10年後も壊れない美しさを目指している点も特徴のひとつと言えるでしょう。
診療の第一歩であるカウンセリングを丁寧におこない、悩みや要望を丁寧に紐解きながら、自信に満ちた笑顔へと導く治療プランを提案しています。
「10年後も自信を持って笑える」そんな本当の美しい口元を手に入れたい方は、4月より開院する東京銀座NOVA矯正歯科での相談を検討してみてはいかがでしょうか。
・Instagram
【矯正界のスピードスター】Dr.カンジュン/神田純也
https://www.instagram.com/dr_kanjun?igsh=b2p1bzk0bHB6ZWlu&utm_source=qr
Dr.カンジュン|東京銀座NOVA矯正歯科【ラミネートベニアの匠】
https://www.instagram.com/dr_kanjun_nova/
特徴1 歯科技工士が直接立ち会い|理想を形にするオーダーメイドのセラミック治療

東京銀座NOVA矯正歯科では、患者さま一人ひとりの理想を形にする、質の高いオーダーメイドなセラミック治療を提供するプラン(セラミック Elite)を用意しています。
セラミック治療において重要な要素となる歯の色味や形状を決定する際、こちらの医院では、実際に歯を製作する「歯科技工士」が診療に立ち会う体制を整えています。
通常、歯科医師からの指示書のみで製作されることが多い中、技工士が直接お口の状態を確認し、その場で細かなニュアンスを調整。
これにより、周囲の歯と自然に調和する精巧な仕上がりが期待できるでしょう。
また、このプランでは歯肉のラインまで整える「歯肉整形術」も含まれているため、歯そのものの美しさだけでなく歯肉のラインまで考慮した、より洗練された口元を追求することが可能です。
特徴2 最短ルートで美しい口元を目指すハイブリッドな治療

美しいセラミック治療を実現するためには、まず歯の位置をキチンと整える矯正が必要であり、口元をより審美的に見せたい場合は、矯正による歯並びの改善だけでは十分な結果が得られないこともあります。
東京銀座NOVA矯正歯科では、最短ルートで美しい口元を目指すため、矯正治療と審美治療を融合させた「ハイブリッドな治療」を提供しています。
この治療は、まず矯正によって歯を理想的な位置へと導き、そのうえでセラミックやラミネートベニアを施すことで、歯の色や形までをトータルにデザインしていく治療です。
土台となる歯並びを整えたうえで細部まで造形していくこの治療工程こそが、単一の治療では決して到達できない、調和の取れた美しさを生み出します。
矯正治療と審美治療の両方に対応している同院だからこそ提供できる治療であり、「矯正でデコボコな歯並びを整えたいけど、歯の色や形にもこだわりたい」といった、妥協のない美しい口元を追及する方に選んでいただきたい治療です。
特徴3 天然歯をほとんど削らないラミネートべニア

理想の白い歯を手に入れるために健康な天然歯を削ることに対して、心理的なハードルや不安を抱く方は非常に多いものです。
東京銀座NOVA矯正歯科では、そうした「大切な歯を守りたい」という患者さんの願いを第一に考えた、歯を削ることなく審美性を高める「削らないラミネートベニア」を提供しています。
一般的なラミネートベニア治療では、どうしても歯の表面を削り取る工程が避けられませんでしたが、当院では耐久性に優れた極薄のセラミック素材を使用することで、歯をほとんど削らない施術を可能にしました。
歯をほとんど削らないため、治療にともなう痛みを抑えられるだけでなく、通院期間の短縮も期待できます。
また、使用するセラミックが非常に薄いため、施術後もお口の中に違和感が生じにくく、自然な仕上がりを実感できるでしょう。
セラミックに関わる費用
セラミック治療 | |
|---|---|
・セラミック Elite(エリート)【保証2年】 | ・通常:1本:¥160,000 |
・セラミック Premium(プレミアム)【保証2年】 | 1本:¥100,000 |
・セラミック Standard(奥歯限定)【保証2年】 | 1本:¥70,000 |
インレー/アンレー【保証2年】 | |
インレー/アンレー | 1本:¥50,000 |
セラミック関連オプション | |
|---|---|
ティースジュエリー | ¥25,000(+ダイヤモンドメンバー:+¥20,000) |
抜歯治療 | ¥10,000 |
笑気麻酔 | ¥15,000 |
ラミネートベニア | |
|---|---|
K film – Standard(マットな色/ベーシック) | 1本:¥88,000 |
K film – Premium(高審美・高耐久) | 1本:¥100,000 |
K film Premium – Fast(4日で完成・最速) | 1本:¥128,000 |
ラブリエベニア(厚さ0.08mm・高審美) | 1本:¥128,000 |
ワイヤー矯正 | |
|---|---|
片顎表側矯正(部分矯正) | ・通常:¥298,000 |
片顎裏側矯正(部分矯正) | ・通常:¥418,000 |
表側矯正(両顎) | ・通常:¥548,000 |
裏側矯正(両顎) | ・通常:¥768,000 |
コンビネーション矯正(両顎) (上裏側・下表側) | ・通常:¥648,000 |
全顎矯正(表側矯正) | ・通常¥1,050,000 |
全顎矯正(コンビネーション矯正) | ・通常:¥1,280,000 |
矯正関連費用(共通) | |
|---|---|
【必須】ワイヤーリテーナー | 片側 ¥20,000/上下 ¥40,000 |
精密検査料 | ¥25,000 |
調整料 | ¥5,000/月 |
矯正治療中の虫歯治療 | ¥5,000 |
PBMヒーリング(光加速矯正) | ¥65,000 |
コルチコトミー | ・通常:¥400,000 |
コルチコトミー ライト | ・通常:¥100,000 |
アンカースクリュー矯正 | ¥33,000 |
マウスピース矯正(インビザライン) | |
|---|---|
エクスプレス 7枚/3ヶ月/軽度 | ・通常:¥23,0000 |
ライト 14枚/半年/軽度 | ・通常:¥398,000 |
モデレート | ・通常:¥598,000 |
フル 枚数無制限/1-2年/重度 | ・通常:¥898,000 |
マウスピース矯正 オプション | |
|---|---|
リテーナー(両顎) | ¥40,000 |
PBMヒーリング(光加速矯正) | ¥65,000 |
コルチコトミー | ・通常:¥400,000 |
コルチコトミー ライト | ・通常:¥100,000 |
アンカースクリュー矯正 | ¥33,000 |
※これらは保険が適用されない自費診療です。
未承認医薬品等であることの明示
マウスピース型カスタムメイド矯正装置である「インビザライン」は、日本の薬機法上で承認を受けていない承認医療機器です。装置は海外で製造され、既製品ではなくカスタムメイドな装置のため薬機法の対象外です(安全性や効果の問題ではなく、手続き上承認区分が異なるため国内で未承認医療機器となっていますが、世界的に広く使用されている矯正装置です)。
このことから、医薬品副作用被害救済制度の適用外になる場合があり、その点を了承していただいた上で使用いただくことが必要があります。
入手経路の明示
当院が使用するマウスピース型カスタムメイド矯正装置「インビザライン」は、米国アライン・テクノロジー社の製品であり、米国アライン・テクノロジー社のグループ会社である「アライン・テクノロジー・ジャパン株式会社」を通じて入手しています。
国内の承認医薬品等の有無の明示
国内においてマウスピース型カスタムメイド矯正装置として薬機法の承認を受けているものは複数存在します。インビザラインそのものは、日本国内にて薬事承認を受けていない未承認医療機器です。
諸外国における安全性等に係る情報の明示
インビザライン®は1998年に米国FDAの認証を受けており、2023年3月時点で世界中で1500万人が治療を受けていますが、重大な副作用の報告はありません。
※金額は全て税込表示です。
お支払いについて
東京銀座NOVA矯正歯科では、以下の支払い方法に対応しています。
※詳細は医院へお問い合わせください。
●現金
●クレジットカード
●デンタルローン
歯科医師紹介

神田純也
経歴
東北大学歯学部 卒業 波多野歯科医院 研修 都内 インプラント専門歯科勤務 都内 矯正専門歯科勤務 千賀デンタルクリニック勤務 Xクリニック 銀座院勤務
所属学会・資格・スタディーグループ
日本口腔インプラント学会 日本成人矯正歯科学会 インビザラインシステム導入コース 修了 JIADSペリオコース ヒアルロン酸・ボツリヌストキシン製剤注入 治療導入セミナー 受講 アチーブメント テクノロジーコース受講 Straumann Emdogain認定研修会 修了 AlignerxOBS,MSE,スライダーセミナー修了 齋藤歯動塾 本格/本格アドバンス/ミニスクリューコース 修了 ボストン大学Dr.ディバート先生セミナー修了 ハーフリンガルと加速矯正セミナー 修了 Type-F歯科矯正用アンカースクリュー&FLBリンガルブラケット実習コース 修了 ラブリエ ラミネートベニア研修 修了
メッセージ
基本情報
住所
〒104-0061 東京都中央区銀座5丁目14-17 USBビル2階
最寄駅
東京メトロ日比谷線・都営浅草線「東銀座駅」徒歩1分 東京メトロ銀座線・丸ノ内線・日比谷線「銀座駅」 徒歩5分
診療時間
10:00~14:00/15:00~19:00 休診日:月曜
電話番号
03-6260-6116
2. 新宿きらきら歯科(新宿区/新宿駅)PR
新宿きらきら歯科(新宿区/新宿駅)のセラミックに関する動画
確かな技術と安心の価格で歯を綺麗にしたい人が全国から集まる歯科医院
東京都内にとどまらず、理想の口元を求める患者様が全国各地から足を運ぶ、これが新宿きらきら歯科を表す現状です。
同院は新宿三丁目駅から徒歩1分、新宿駅からも徒歩10分という好立地に位置し、審美歯科専門として、年間4,000件を超える豊富な症例実績を持つ歯科医院です。
質の高い審美治療を実現するには、歯科医師の高度な技術はもちろん、熟練の歯科技工士の技、そして厳選された素材のすべてが欠かせません。
新宿きらきら歯科は、これら「審美歯科の3要素」をすべて揃えている歯科医院と言えるでしょう。
また、特筆すべきは患者様一人ひとりに徹底して寄り添う姿勢です。
新宿きらきら歯科には、全国から患者さんが集まりその治療の様子が動画として公開されています。
⚪︎治療動画1
https://www.youtube.com/watch?v=ZbxElxbT6mU
⚪︎治療動画2
https://www.youtube.com/watch?v=L6kDK98gB-w
⚪︎治療動画3
https://www.youtube.com/watch?v=a2yQzZRtAlE
動画には、歯科医師やスタッフが患者様と密にコミュニケーションを取り、理想のゴールへと進んでいく姿が鮮明に映し出されています。
このように、単なる「医療従事者と患者」という枠組みを超え、共に美しい歯並びを目指すパートナーとして、同院は多くの支持を集めています。
特徴1 静脈内鎮静法を使った審美治療で、気づいたら綺麗な歯並びに
新宿きらきら歯科では、歯科治療に恐怖や不安を感じる方へ配慮し「静脈内鎮静法」を取り入れています。
セラミック治療では、歯を削って形を整えたり、虫歯を除去したりといった処置が必要となり、その際の「キーン」という不快な音や治療に伴う痛みが苦手で、通院をためらってしまう方も多いです。
当院では、そうした不安や恐怖を取り除き、リラックスした状態で受診していただけるよう、静脈内鎮静法を使ったセラミック治療をおこなっています。
この静脈内鎮静法は、点滴で麻酔薬を注入することでウトウトと眠っているような感覚になる方法です。
精神的な緊張が和らぐだけでなく、健忘効果によって治療中の記憶がほとんど残らないため、「気づいたら仮歯が入っていた」という状況を作ることができます。
また、新宿きらきら歯科はその「仮歯」にも大きなこだわりを持たれています。
院内に専属の歯科技工士が常駐しているため、その場で細かな調整をおこない、初日から精密で見た目も自然な仮歯を取り付けることが可能です。
最終的には、よりこだわり抜かれた補綴物が作製されますが、仮歯でもなんの遜色ないと言われることも多いようです。
治療をはじめて気づいたらその日綺麗な歯並びになっていた、そんな驚きと喜びのある体験ができるのも、新宿きらきら歯科ならではでしょう。
特徴2 高品質のジルコニアを安価にご提供

2026年2月現在、新宿きらきら歯科ではノリタケ製ジルコニアセラミッククラウンを、税込80,500円という価格で提供しています。
ノリタケ製品のジルコニアの中でも、高級品質を誇るのが「ノリタケ カタナ® ジルコニア」であり、新宿きらきら歯科ではこの製品を採用。
新宿という利便性の高い立地にありながら、これほど高品質な素材を手に届きやすい価格で提供できる背景には、新宿きらきら歯科の徹底した企業努力があります。
それは「院内技工士在籍による外注費の削減」「豊富なセラミック症例による業務フローの最適化」「大量に発注できる症例数だからこその、安価な材料仕入れ」にあるといえ、新宿きらきら歯科がこれまで数々のセラミック治療を提供してきたからこそ、実現できる誠実な価格設定と言えるでしょう。
特徴3 ただ綺麗にするだけではない、機能性を重視したセラミック治療

SNSなどの情報で「セラミックにすると口臭が強くなる」といった噂を耳にすることがあるかもしれません。
しかし実は、セラミックという素材そのものに口臭を誘発する要素は一切含まれていません。
むしろセラミックは、プラークが付着しにくく経年劣化も極めて少ないという優れた物性を持っています。
さらに、高度な接着技術を用いることで内部への細菌侵入を遮断しやすいため、本来は口臭のリスクを軽減できる非常にクリーンな治療法なのです。
この優れたポテンシャルを最大限に引き出すためには、歯科医師と歯科技工士の精密な技術、そして患者様による日々の適切なメインテナンスが欠かせません。
新宿きらきら歯科の院長・高根元恒は、国内外で常に歯科医療を学び続ける臨床家であり、単に見た目を整えるだけでなく「噛み合わせが機能する治療」「長持ちする治療」を重視。
そのため決して流れ作業のような診療はおこなわず、一人ひとりの患者様と真摯に向き合う姿勢で治療に取り組んでいます。
口腔内も含めて患者様が健康である、その前提の上で審美性を高めていくという、医療人としての大切な考えが根底にあります。
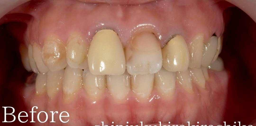
症例1
Before

After

主訴 | 保険の被せ物が劣化、虫歯治療痕の変色や歯の黄ばみを白くしたい |
|---|---|
治療内容 | セラミック治療 |
費用 | 1,250,000円(税込) |
副作用・リスク | 処置に伴い、自発痛・咬合痛・冷水痛のほか、抜歯時には腫脹や出血が生じるリスクがあります。麻酔をする場合は腫れ・むくみなどが生じることがあります。セラミック等の脱離・破損についても予めご了承ください。 |
設備
歯科用CT
歯科用CTは歯や顎の骨の状態などを立体的な画像で撮影できる機器です。精密な検査・診断をおこなうのに必須な機器と言えます。
CAD/CAMシステム
コンピュータ制御によって、短時間でセラミックの詰め物や被せ物などを設計・製作できるシステムです。
院内技工所
補綴物(被せ物や詰め物など)を作る技工所です。精密でスピーディーな補綴物の作成が可能となります。
セラミックに関わる費用
被せ物料金表 | |
|---|---|
ノリタケ製ジルコニアセラミッククラウン | 80,500円 |
オーダーメイドジルコニアクラウン | 60,500円 |
セラミックラミネートべニア | 60,500円 |
フルジルコニアクラウン | 39,500円 |
部分的な被せ物(e-max) | 38,500円 |
仮歯 | 5,500円 |
※上記の料金表には施術料、局所麻酔代が含まれています。
※材料費高騰のためジルコニアセラミック70,500円→80,500円となります。
別途料金がかかる処置 | |
|---|---|
神経処置(前歯) | 33,000円 |
神経処置奥歯(小臼歯)/(大臼歯) | 44,000円 / 55,000円 |
ファイバーコア(土台)/1本 | 11,000円 |
抜歯 /1本 | 11,000円 |
抜歯の治癒促進剤(コラーゲン) | 5,500円 |
歯肉形成 | 16,500円 |
金属の土台(芯)の取り外し /1本 | 5,500円 |
虫歯治療 /1本 | 3,300円 |
※神経処置は希望者のみになります。神経処置を行った場合は、土台(ファイバーコア)が必要になります。根の先に膿がたまっている場合は神経治療代各部位プラス11,000円になります。
※抜歯の治癒促進剤(コラーゲン)は、無しにすることも可能です。
メンテナンス(3ヶ月~半年に一度) | 11,000円 |
エアフロー(着色落とし) | 8,800円 |
※セラミック治療は保険が適用されない自費診療です。
※金額は全て税込表示です。
お支払いについて
新宿きらきら歯科では以下の支払い方法に対応しています。
※詳細は医院へお問い合わせください。
●現金
●クレジットカード
歯科医師紹介
高根 元恒
経歴
2008年 日本大学松戸歯学部卒業 2009年 臨床研修医終了 2010年 医療法人和光会ボックスヒル歯科勤務 2014年 医療法人郁栄会寒竹歯科勤務 2016年 医療法人郁栄会ベイデンタルクリニック院長 2017年 赤坂きらきら歯科開業 2022年 新宿きらきら歯科へ医院拡大のため移転開業
所属学会・資格・スタディーグループ
MALO DENTAL & MEDICAL Alliance Team 提携 X-GUIDE ダイナミックナビゲーション機関 認定
メッセージ
基本情報
住所
〒160-0022 東京都新宿区新宿三丁目11-9 花菱ビル8階
最寄駅
JR新宿駅 徒歩10分/東京メトロ副都心線・丸ノ内線 新宿三丁目駅 徒歩1分
診療時間
不定休 10:00〜21:00
電話番号
03-6459-1616
3. 赤坂フォーラムデンタルクリニック(港区/乃木坂駅)

医院紹介
東京メトロ千代田線 「乃木坂駅」より徒歩で6分の場所に位置する「赤坂フォーラムデンタルクリニック」。
同院の院長は日本歯科審美学会の認定医、および日本補綴歯科学会の指導医の資格を持ち、審美性と機能性の両立を追求した高度なセラミック治療を提供しています。
セラミック治療は担当する歯科医師の技量や美的センスによって結果が異なり、納得のいく理想の治療を受けるためには歯科医院選びが重要です。
同院の院長は、歯科審美学における専門的な診断と治療技術を修得しているだけでなく、補綴の分野においても他の歯科医師を指導する立場にあり、その知見と技術は極めて確かなものと言えるでしょう。
天然歯のような見た目を再現することはもちろんのこと、噛み合わせをはじめとしたお口全体の「機能性」を重視した設計がおこなわれます。
認定医・指導医という客観的な裏付けがあるからこそ、理想的な仕上がりが期待できます。
歯や歯茎に関する悩み、セラミック治療に関して、個別の無料相談を実施しているため、セラミック治療を考えている方は利用してみると良いでしょう。
設備
◆歯科用CT
◆マイクロスコープ
特徴1 歯だけでなく歯肉のラインまで考慮したセラミック治療

セラミック治療を考えている方は、歯をきれいにしたいことはもちろん、口元全体をきれいにしたいという思いが強いでしょう。
こうした根本的なニーズに応えるため、赤坂フォーラムデンタルクリニックでは同院の院長が考案した「BTAテクニック」を用いて、歯だけでなく歯肉のラインまで考慮した治療をおこなっています。
BTAテクニックとは、セラミック治療の際に大掛かりな外科手術をおこなわずに歯肉ラインも同時に整える治療法です。
一般的に歯肉のラインを調整するには、メスを用いた歯肉整形手術が必要となるケースも少なくありません。
しかし、この手法を用いることで身体的な負担を抑えつつ、自然で調和のとれた美しい口元を目指すことが可能となります。
また、この治療法では被せ物と歯肉の隙間を極限までなくすよう設計されるため、プラークの蓄積を防ぎ、虫歯や歯周病のリスクを軽減できるのも特徴です。
治療後の良好な状態を維持しやすく、大切な歯を長持ちさせることにもつながります。
セラミックに関わる費用
セラミックインレー | 小臼歯(e.max):¥77,000(税込) |
|---|---|
オールセラミッククラウン | ¥165,000~¥187,000(税込) |
オールジルコニアクラウン | ¥132,000~¥165,000(税込) |
※セラミック治療は保険が適用されない自費診療です。
※金額は全て税込表示です。
お支払いについて
赤坂フォーラムデンタルクリニックでは、以下の支払い方法に対応しています。
※詳細は医院へお問い合わせください。
●現金
●分割払い
●デンタルローン
基本情報
住所
〒107-0052 東京都港区赤坂7丁目5-34-108
最寄駅
東京メトロ千代田線 「乃木坂駅」1番出口より徒歩で6分
診療時間
月・火・金:10:00〜19:00 水・土:10:00〜18:00 木・日・祝:休診日
電話番号
03-3585-8519
セラミック治療・ホワイトニングについて
セラミック治療とは?
セラミック治療は、歯の詰め物や被せ物などにセラミック(陶材)を用いた治療法です。
天然の歯に近い白さや透明感があり、基本的に金属を使わないため金属アレルギーの心配もありません。
一方で、強い衝撃によって欠けたり割れたりすることがあります。
保険が適用されない自費診療のため、保険適用の治療と比べて費用が高額になる点も注意が必要です。
治療の流れ
下記、一般的な治療の流れです。
※あくまでも一般的な流れであり、下記とは異なる流れで治療がおこなわれることもあります。
1.相談・治療計画の立案
2.検査・治療・歯型の採取
3土台作り・仮歯の装着
4.セラミック製の詰め物・被せ物の装着
5.定期的なメンテナンス
治療期間や通院回数の目安
治療期間:2~3週間/1本あたり
通院回数:2~3回程度
※具体的な治療期間や通院回数は、患者さん1人ひとりの口腔状態や要望、治療内容などによって異なります。
費用相場
詰め物:4万~8万円
被せ物:8万~18万円
※具体的な費用は、使用する素材や治療内容などによって異なります。
想定されるリスク・副作用
下記、セラミック治療で想定されるリスク・副作用です。
・セラミック治療をおこなうにあたって歯を削ることがあります。また、知覚過敏の症状が発生する可能性があります。
・治療後、噛んだときに痛みを感じたり、冷たい物や暖かい物を口にしたときに痛みを感じたりすることがあります。
・審美治療において、抜髄(歯の神経を取り除く)や抜歯が必要になることがあります。抜歯や外科処置を伴う場合、患部が腫れたり出血を起こしたりすることがあります。
・金属単体のインレー・クラウンより歯の体積を削る量が若干多いことがあります。
・強い衝撃が加わることで欠けたり割れたりすることがあります。
ホワイトニングとは?
ホワイトニングとは、専用の薬剤を用いて歯そのものの色を白くする施術のことです。
ホワイトニング剤を歯の表面に塗布することで、歯の黄ばみやくろずみ色素などを分解し歯を白くしていきます。
ホワイトニングの方法は大きく以下の2種類に分けることができます。
・オフィスホワイトニング:歯科医院ですべての施術受けるホワイトニング
・ホームホワイトニング:薬剤と専用のマウスピースを受け取り自宅でおこなうホワイトニング
※2つの方法を併用する方法もあります。
治療期間や通院回数の目安
<通院期間・治療期間>
オフィスホワイトニング:通院回数1〜3回
ホームホワイトニング:治療期間2週間~1ヵ月
※実際の通院期間や治療期間は求める歯の白さや個人の状態になどによって異なります。
費用相場
オフィスホワイトニング:2万~7万円/1回
ホームホワイトニング:1万5千~4万円
想定されるリスク・副作用
下記、ホワイトニング治療で想定されるリスク・副作用です。
・ホワイトニング剤の使用によって、知覚過敏が生じることがあります。これは薬剤が歯の神経に強い刺激を与えることで、神経が過敏になりやすくなるためです。特に、オフィスホワイトニングでは高濃度の薬剤を使用するため、ホームホワイトニングよりも知覚過敏が起こりやすい傾向にあります。
・歯の個々の性質によっては、ホワイトニング後に色ムラが現れることがあります。歯の厚みに差があったり、薬剤の効果が出にくい部分があったりすることで、均一な白さが得られない場合があるのです。ただし、ホワイトニングを継続することで次第に目立たなくなることが多く見られます。
・薬剤に対してアレルギーをお持ちの方は、ホワイトニングの薬剤が口腔内の粘膜に異常を引き起こすことがあります。
・歯にヒビが入っている場合、その部分から薬剤が内部に浸透し、歯髄を刺激してダメージを与える可能性があります。
・過去に服用した抗生物質の影響で歯の変色が強い方は、ホワイトニングの効果が十分に得られにくいこともあります。
Medee歯科検索は、おすすめしたい歯医者を掲載しています。
駅、行政区、診療時間、歯科医院の特徴、診療科目など豊富な検索メニューで歯科医院を検索可能。
また歯科医院のWebサイトはもちろん各種予約ツールも利用することが可能で、より簡単に歯科医院を探すことができます。
















