【2026年】東京都でラミネートベニア対応のおすすめしたい歯科医院3選
2025/12/15
2026/3/18
#ラミネートべニア

「前歯の色や形が以前からコンプレックス」「すきっ歯を短期間で整えたい」
そんな口元の悩みを解消し、理想の口元を叶えてくれるのがラミネートベニアです。
歯の表面をわずかに削り、薄いセラミックを貼り付けるこの施術は、短期間で自然で美しい口元を手に入れられる治療法です。
都内にはラミネートベニアに対応した歯科医院が数多く点在しており、失敗しないようどの歯科医院を選んだら良いか悩むことでしょう。
本記事では、ラミネートベニア対応のMedee編集部がおすすめしたい歯科医院をご紹介しております。
「前歯の色・形を綺麗にしたい」「すきっ歯を治したい」などの悩みを改善するためラミネートベニアを検討されている方は、ぜひ参考にしてみてください。
※2026年2月時点でのMedee編集部の調査のデータとなります。
【2026年】東京都でラミネートベニア対応のおすすめしたい歯科医院3選
1. 5DENTAL東京銀座(東京都中央区/銀座駅)PR

審美領域を専門とするクリニック|体に優しい治療で口元を美しく
東京メトロ銀座駅直結、審美領域を専門とする「5DENTAL東京銀座」。
「より低侵襲で体に優しい、健康を犠牲にしないような審美歯科」が望ましいという考えのもと、天然の歯をなるべく残すことを重視した「できるだけ削らない治療法」を提案されています。
審美領域における治療のなかでも、特にラミネートベニアでの治療に強みを持ち、豊富な実績に裏打ちされた技術で、唇のラインや顔立ちとのバランスまで考えられた治療が受けられるでしょう。
「できるだけ歯を削りたくない」という方に対しても、歯を削らないラミネートベニアを提案。
「歯を削るのが怖い」「後戻りできないのは不安」と治療になかなか踏み出せなかった方も、ご自身の歯を守りながら美しい口元を目指せるでしょう。
こちらでは審美歯科を専門にしている女性スタッフが在籍しており、カウンセリングは女性スタッフが行える体制をとっています。
デリケートな口元の悩みを異性の歯科医師には話しにくいという方でも、安心して相談することができるでしょう。
歯をできるだけ削らない、体に優しい治療で口元を美しくしたい方は、審美領域を専門とする「5DENTAL東京銀座」にて一度相談してみてはいかがでしょうか。
特徴1 【症例数2,000件以上】ラミネートベニアの豊富な治療実績

ラミネートベニアの治療において、技術が「仕上がりの質」を大きく左右すると言われています。
5DENTAL東京銀座はラミネートベニアの治療において、豊富な実績を持つ歯科医院であり、これまでの累計症例数は2,000件以上、施術本数は実に10,000本を超えるほどの実績があります。
東京の方はもちろん、全国・海外からも患者さんが来院されているとのことです。
細やかな作業を実現するスキルと、ラミネートベニアをはじめとする審美領域における深い知識のもと、口元の状態や要望に合わせた治療が受けられるでしょう。
残っている周りの歯との調和やスマイルラインまで見据えた、美しい仕上がりが期待できます。
「前歯の着色・変色が気になる」「前歯の形・歯並びが気になる」などの悩みを抱えている方は、一度5DENTAL東京銀座にて相談してみてはいかがでしょうか。
特徴2 「できるだけ歯を削りたくない」に応える削らないラミネートベニア

美しい歯を手に入れる代償として健康な歯質を大きく削ることに、抵抗や恐怖を感じる方は少なくありません。
5DENTAL東京銀座では、患者さんの「健康な歯をできるだけ残したい」という想いに寄り添い、歯を削らない「削らないラミネートベニア」を提供しています。
従来のラミネートベニアでは自身の歯を大きく削る必要がありました。
しかし、5DENTAL東京銀座で提供している「削らないラミネートベニア」では、高強度の極薄セラミックベニアを用いるため、歯を削らずに治療がおこなえます。
歯を削らないことから、治療時の痛みの軽減や治療期間の短縮などが期待できるでしょう。
また、極薄のセラミックベニアを使用するため、術後の違和感もほとんどありません。
希望される方には、シミュレーション素材を使って治療後のイメージを確認することができるとのことです。
視覚的に治療後をイメージできるため、納得して治療に臨めるでしょう。
特徴3 ラミネートベニアと歯肉整形を用いた治療で口元全体の美しさを改善

ラミネートベニアをご検討されている方の多くは、単に歯を白くするだけでなく「笑ったときの印象そのものを美しくしたい」という強い想いを持たれている方が多いでしょう。
5DENTAL東京銀座では、そのような理想の笑顔を叶えるために、歯の色や形はもちろん、歯茎とのバランスまで含めたトータルデザインを提案してもらえます。
そのアプローチの一つとして「ラミネートベニア」と「歯肉整形」を組み合わせる治療法が挙げられます。
歯肉整形は余分な歯茎や骨を切除して歯茎の形を整える治療法です。
ラミネートベニアで歯の色や形を整えるだけでなく、歯肉整形で歯と歯茎のバランスを整えることで、笑ったときに美しい口元を実現することができます。
歯が小さい・短いことでガミースマイルになっている方も、「ラミネートベニア」と「歯肉整形」を組み合わせる治療法で、美しい口元への改善が期待できるでしょう。
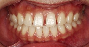
症例1
Before

After



治療内容 | すきっ歯で前歯の軸が右に曲がっていました。 |
|---|---|
治療期間 | 3週間 |
費用 | 375,000円(税込) |
副作用・リスク | ラミネートベニアですきっ歯を埋めることはできても、出っ歯や歯の出っ張りなどを引っ込めることはできません。出っ歯や歯の出っ張り部分を削れば、歯の形を修正することも可能です。状況によっては術後に、疼痛・咬合時痛・冷水痛などが生じることがあります。 |
設備
デジタルX線撮影装置
.jpg)
歯や顎の骨の状態などをデジタルデータで記録できる装置です。お口の状態を詳細に把握することができ、精密な診断がおこなえるようになります。
口腔内スキャナー

専用のスキャナーで口内をスキャンすることで、従来の粘土のような素材を用いず歯型を採取することができる装置です。
診療室
.jpg)
患者さんのプライバシーに配慮した診療室です。
ラミネートべニアに関わる費用
ラミネートべニア | |
|---|---|
プレミアムベニアe.max(1本) | 99,000円(税込) |
プレミアムベニアZr(1本) | 121,000円(税込) |
ノーマルベニアe.max(1本) | 66,000円(税込) |
ノーマルベニアZr(1本) | 71,500円(税込) |
ノーマルベニアHybrid(1本) | 44,000円(税込) |
ベニア処置料(1ケース) | 16,500円(税込) |
【治療期間】:約3週間~1.5ヶ月程度(3~6回程度)
【注意点】
・ラミネートベニアはセラミッククラウンに比べると強度や耐久性が劣ります。
・ラミネートベニアは上前歯8本や6本でおこない、1本だけには向きません。
・基本的に下の歯にはラミネートベニアはおこなえません。
・削らないラミネートベニアはすきっ歯を治したり歯を大きくすることは可能です。
ただ、歯を小さくしたり出っ歯を治すことはできません。(歯を削っておこなうことも可能で歯並びをそろえてキレイにすることもできます。)
・ベニア処置料はラミネートベニアの1ケース(1本でも8本でも)について請求します。
歯肉整形 | |
|---|---|
歯肉整形(1本) | 11,000円(税込) |
ガムピーリング(1ケース) | 5,500円(税込) |
※歯肉整形は削らないラミネートベニアやセラミッククラウンと併用しておこなうことも多いです。
※これらの治療は保険が適用されない自費診療です。
※金額は全て税込表示です。
お支払いについて
5DENTAL東京銀座 では、以下の支払い方法に対応しています。
※詳細は医院へお問い合わせください。
●現金
●クレジットカード
●デンタルローン
歯科医師紹介

阿部 洋太郎
経歴
日本大学松戸歯学部を卒業後、歯科保存学入局 千葉県の歯科医院、都内の歯科医院にて勤務 松島歯科・新橋インプラントオフィスにて副院長およびインプラントオフィス所長を兼務 日本大学大学院松戸歯学研究科を卒業(インプラントと口腔粘膜病変の研究、コラーゲンとエラスチンの研究、カンジダと癌の研究)
所属学会・資格・スタディーグループ
日本口腔インプラント学会 International Society of Oral Implantology 国際口腔インプラント学会 日本歯科放射線学会 歯科エックス線優良医 日本顕微鏡歯科学会 日本歯科審美学会 日本大学松戸歯学部口腔病理学非常勤講師(口腔外科疾患と顕微鏡診断の指導) 厚生労働省指定臨床研修医指導資格
メッセージ
基本情報
住所
〒104-0061 東京都中央区銀座5丁目1番 GINZA5 2F
最寄駅
東京メトロ銀座駅C-1出口直結 東京メトロ日比谷駅A1口より徒歩 2分 JR有楽町駅 銀座口より徒歩 4分
診療時間
月~金:10:30~13:30/14:30~19:00 土曜:10:30~15:00
電話番号
03-5220-2511
2. 東京銀座NOVA矯正歯科(東京都中央区/東銀座駅)PR

10年後も壊れない美しさを目指す審美治療
2026年4月、東京都中央区の銀座に新しく開院する「東京銀座NOVA矯正歯科」。
東銀座駅より徒歩で1分と好立地に医院を構え、東京都内はもちろん遠方からでも通いやすい歯科医院です。
審美領域の治療に注力しており、ラミネートベニアにおいては、韓国の大手美容歯科で培った高度な技術を独自に昇華させ、圧倒的な薄さと迅速な提供スピードを両立する体制を整えています。
わずか0.08ミリという紙を下回るほどの薄さを誇る「ラブリエ」のラミネートベニアや、自然な美しさを最短4日で形にする「K-film」など、ラミネートベニアを専門とする医院ならではの高度な選択肢を様々に用意。
こうした選択肢のもと一人ひとりに合わせた美しいラミネートベニアを提供しています。
また同時に、その美しさが一過性のもので終わらないよう、ラミネートベニアをはじめとした審美領域の治療において、噛み合わせや筋肉、歯周組織までを考慮した緻密な設計により、10年後も壊れない美しさを目指している点も特徴のひとつと言えるでしょう。
こうした長期的な美しさを実現するため、東京銀座NOVA矯正歯科は患者さん一人ひとりが抱えるお悩みに深く寄り添うことを欠かしません。
診療の第一歩であるカウンセリングを丁寧におこない、悩みや要望を丁寧に紐解きながら、自信に満ちた笑顔へと導く治療プランを提案しています。
「10年後も自信を持って笑える」そんな本当の美しい口元を手に入れたい方は、4月より開院する東京銀座NOVA矯正歯科での相談を検討してみてはいかがでしょうか。
・Instagram
【矯正界のスピードスター】Dr.カンジュン/神田純也
https://www.instagram.com/dr_kanjun?igsh=b2p1bzk0bHB6ZWlu&utm_source=qr
Dr.カンジュン|東京銀座NOVA矯正歯科【ラミネートベニアの匠】
https://www.instagram.com/dr_kanjun_nova/
特徴1 天然歯をほとんど削らないラミネートべニア

理想の白い歯を手に入れるために健康な天然歯を削ることに対して、心理的なハードルや不安を抱く方は非常に多いものです。
東京銀座NOVA矯正歯科では、そうした「大切な歯を守りたい」という患者さんの願いを第一に考えた、歯を削ることなく審美性を高める「削らないラミネートベニア」を提供しています。
一般的なラミネートベニア治療では、どうしても歯の表面を削り取る工程が避けられませんでしたが、当院では耐久性に優れた極薄のセラミック素材を使用することで、歯をほとんど削らない施術を可能にしました。
歯をほとんど削らないため、治療にともなう痛みを抑えられるだけでなく、通院期間の短縮も期待できます。
また、使用するセラミックが非常に薄いため、施術後もお口の中に違和感が生じにくく、自然な仕上がりを実感できるでしょう。
特徴2 【最短4日で完成】スピード重視のラミネートべニア

東京銀座NOVA矯正歯科では、大切な歯への負担を最小限に抑える「削らないラミネートベニア」に加え、お急ぎの方のための「スピードプラン」も用意しています。
通常、ラミネートベニアの作製には2週間〜1ヶ月ほどを要しますが、同院では最短4日で完成させることが可能です。
「一日も早く理想の歯を手に入れたい」という方に寄り添った治療であり、短期間で劇的な変化を実感いただけるでしょう。
結婚式や撮影など、大事なイベントを控えた方におすすめしたい治療です。
もちろん、スピードだけでなく質にも妥協はありません。本物の歯のような高い審美性を保ちつつ、短期間で理想の輝く笑顔を叶えることができるでしょう。
特徴3 最短ルートで美しい口元を目指すハイブリッドな治療

美しいラミネートベニアやセラミック治療を実現するためには、まず歯の位置をキチンと整える矯正が必要であり、口元をより審美的に見せたい場合は、矯正による歯並びの改善だけでは十分な結果が得られないこともあります。
東京銀座NOVA矯正歯科では、最短ルートで美しい口元を目指すため、矯正治療と審美治療を融合させた「ハイブリッドな治療」を提供しています。
この治療は、まず矯正によって歯を理想的な位置へと導き、そのうえでセラミックやラミネートベニアを施すことで、歯の色や形までをトータルにデザインしていく治療です。
土台となる歯並びを整えたうえで細部まで造形していくこの治療工程こそが、単一の治療では決して到達できない、調和の取れた美しさを生み出します。
矯正治療と審美治療の両方に対応している同院だからこそ提供できる治療であり、妥協のない美しい口元を追及する方に選んでいただきたい治療です。
ラミネートべニアに関わる費用
ラミネートベニア | |
|---|---|
K film – Standard(マットな色/ベーシック) | 1本:¥88,000 |
K film – Premium(高審美・高耐久) | 1本:¥100,000 |
K film Premium – Fast(4日で完成・最速) | 1本:¥128,000 |
ラブリエベニア(厚さ0.08mm・高審美) | 1本:¥128,000 |
セラミック治療 | |
|---|---|
・セラミック Elite(エリート)【保証2年】 | ・通常:1本:¥160,000 |
・セラミック Premium(プレミアム)【保証2年】 | 1本:¥100,000 |
・セラミック Standard(奥歯限定)【保証2年】 | 1本:¥70,000 |
インレー/アンレー【保証2年】 | |
インレー/アンレー | 1本:¥50,000 |
セラミック関連オプション | |
|---|---|
ティースジュエリー | ¥25,000(+ダイヤモンドメンバー:+¥20,000) |
抜歯治療 | ¥10,000 |
笑気麻酔 | ¥15,000 |
ワイヤー矯正 | |
|---|---|
片顎表側矯正(部分矯正) | ・通常:¥298,000 |
片顎裏側矯正(部分矯正) | ・通常:¥418,000 |
表側矯正(両顎) | ・通常:¥548,000 |
裏側矯正(両顎) | ・通常:¥768,000 |
コンビネーション矯正(両顎) (上裏側・下表側) | ・通常:¥648,000 |
全顎矯正(表側矯正) | ・通常¥1,050,000 |
全顎矯正(コンビネーション矯正) | ・通常:¥1,280,000 |
矯正関連費用(共通) | |
|---|---|
【必須】ワイヤーリテーナー | 片側 ¥20,000/上下 ¥40,000 |
精密検査料 | ¥25,000 |
調整料 | ¥5,000/月 |
矯正治療中の虫歯治療 | ¥5,000 |
PBMヒーリング(光加速矯正) | ¥65,000 |
コルチコトミー | ・通常:¥400,000 |
コルチコトミー ライト | ・通常:¥100,000 |
アンカースクリュー矯正 | ¥33,000 |
マウスピース矯正(インビザライン) | |
|---|---|
エクスプレス 7枚/3ヶ月/軽度 | ・通常:¥23,0000 |
ライト 14枚/半年/軽度 | ・通常:¥398,000 |
モデレート | ・通常:¥598,000 |
フル 枚数無制限/1-2年/重度 | ・通常:¥898,000 |
マウスピース矯正 オプション | |
|---|---|
リテーナー(両顎) | ¥40,000 |
PBMヒーリング(光加速矯正) | ¥65,000 |
コルチコトミー | ・通常:¥400,000 |
コルチコトミー ライト | ・通常:¥100,000 |
アンカースクリュー矯正 | ¥33,000 |
※これらは保険が適用されない自費診療です。
未承認医薬品等であることの明示
マウスピース型カスタムメイド矯正装置である「インビザライン」は、日本の薬機法上で承認を受けていない承認医療機器です。装置は海外で製造され、既製品ではなくカスタムメイドな装置のため薬機法の対象外です(安全性や効果の問題ではなく、手続き上承認区分が異なるため国内で未承認医療機器となっていますが、世界的に広く使用されている矯正装置です)。
このことから、医薬品副作用被害救済制度の適用外になる場合があり、その点を了承していただいた上で使用いただくことが必要があります。
入手経路の明示
当院が使用するマウスピース型カスタムメイド矯正装置「インビザライン」は、米国アライン・テクノロジー社の製品であり、米国アライン・テクノロジー社のグループ会社である「アライン・テクノロジー・ジャパン株式会社」を通じて入手しています。
国内の承認医薬品等の有無の明示
国内においてマウスピース型カスタムメイド矯正装置として薬機法の承認を受けているものは複数存在します。インビザラインそのものは、日本国内にて薬事承認を受けていない未承認医療機器です。
諸外国における安全性等に係る情報の明示
インビザライン®は1998年に米国FDAの認証を受けており、2023年3月時点で世界中で1500万人が治療を受けていますが、重大な副作用の報告はありません。
※金額は全て税込表示です。
お支払いについて
東京銀座NOVA矯正歯科では、以下の支払い方法に対応しています。
※詳細は医院へお問い合わせください。
●現金
●クレジットカード
●デンタルローン
歯科医師紹介

神田純也
経歴
東北大学歯学部 卒業 波多野歯科医院 研修 都内 インプラント専門歯科勤務 都内 矯正専門歯科勤務 千賀デンタルクリニック勤務 Xクリニック 銀座院勤務
所属学会・資格・スタディーグループ
日本口腔インプラント学会 日本成人矯正歯科学会 インビザラインシステム導入コース 修了 JIADSペリオコース ヒアルロン酸・ボツリヌストキシン製剤注入 治療導入セミナー 受講 アチーブメント テクノロジーコース受講 Straumann Emdogain認定研修会 修了 AlignerxOBS,MSE,スライダーセミナー修了 齋藤歯動塾 本格/本格アドバンス/ミニスクリューコース 修了 ボストン大学Dr.ディバート先生セミナー修了 ハーフリンガルと加速矯正セミナー 修了 Type-F歯科矯正用アンカースクリュー&FLBリンガルブラケット実習コース 修了 ラブリエ ラミネートベニア研修 修了
メッセージ
基本情報
住所
〒104-0061 東京都中央区銀座5丁目14-17 USBビル2階
最寄駅
東京メトロ日比谷線・都営浅草線「東銀座駅」徒歩1分 東京メトロ銀座線・丸ノ内線・日比谷線「銀座駅」 徒歩5分
診療時間
10:00~14:00/15:00~19:00 休診日:月曜
電話番号
03-6260-6116
3. 新宿きらきら歯科(東京都新宿区/新宿駅)PR

確かな技術と安心の価格で歯を綺麗にしたい人が全国から集まる歯科医院
「確かな技術と安心の価格で歯を綺麗にしたい人が全国から集まる歯科医院」新宿きらきら歯科を一言で表すなら、このような言葉になるでしょう。
新宿きらきら歯科の「高根 元恒」歯科医師は、日本国内に留まらずブラジル・オーストラリア・アメリカ・ポルトガルなどで高い技術を学ぶために海外にまでの食指を伸ばしています。
そんな高根 元恒歯科医師の新宿きらきら歯科には、北は北海道・南は沖縄までその評判を聞きつけ全国から患者様が来院されています。
インプラントを含むセラミック治療の年間症例件数は4,000件。
知見のインプットと臨床のアウトプットを繰り返すことで、新宿きらきら歯科の審美歯科治療は圧倒的な領域にあるといえるでしょう。
また歯科医院には、院内技工士が常駐。
そのため患者さんの理想の歯の色やデザインなどの要望をその場で伝えることも可能。
そのような高度な審美歯科治療を、他の歯科医院とは一線を画す費用感で受けられるのが新宿きらきらの最大の特徴です。
特徴1 圧倒的な知見・経験を持つ歯科医師・歯科技工士による審美ラミネートベニア

「自信のある笑顔にしたい」「コンプレックスを解消したい」そのようなみなさんの要望に歯科医師が応えるためには、患者さんの要望を把握するコミュニケーション能力とそれらを実現する知見や経験を持っていることが何よりも大切です。
歯を削る審美歯科では、一度治療した後に再度やり直しをする場合、さらに健康な歯を削ることになりかねません。
初めて来院される歯科医院で、治療を成功させることが何よりも大切なのです。
新宿きらきら歯科は、インプラントを含む審美歯科領域で年間4,000件の圧倒的な症例があり、審美歯科領域における知見は他の追随を許さないものとなっています。
またそれは歯科医師のみならず、歯科技工士も同様です。
新宿きらきら歯科の専属院内技工士は、毎日のように患者さんと打ち合わせをし理想の歯科技工物を制作しています。
ラミネートベニアは他の審美歯科のものより技工物が薄い分、その透明感や色合いの調整が非常に繊細です。まさに歯科技工士のセンスや経験に大きく左右される領域です。
患者様の要望に対して、歯の色やデザインでお応えする希少で高度なスキルを持っている新宿きらきら歯科は、まさに審美歯科領域におけるファイナルアンサーと言えるでしょう。
特徴2 歯を削らないノンプレップ・ベニア

ラミネートベニアは、セラミックの被せ物よりも歯を削る量が圧倒的に少ないため、健康上のリスクも圧倒的に少なく天然の歯を超える美しさを手に入れられる人気の治療法です。
しかしラミネートベニアを歯を削らずに受けられるのであれば、さらに前向きに考えられる患者様も多いのではないでしょうか。
その「削らないラミネートベニア」こそノンプレップ・ベニア(non-prep veneers)と呼ばれる手法です。
通常のラミネートベニアよりも薄い、およそコンタクトレンズと同じくらいの薄さの技工物を直接歯に貼り付けることで、歯の白さを手に入れることができる治療法です。
大きなメリットとして可逆性があげられます。歯を削ることはないため、やはりベニアを取り外したいとなった際にも、慎重に接着物を除去すれば元通りになることが可能です。
削らないラミネートベニアは、歯科治療技術や歯科材料の発展によって生まれたメリットの大きい審美治療です。
しかし、適応できる症例も限られる場合がありますので、もしご興味のある方はぜひ一度ご相談されてみるとよいでしょう。
特徴3 皆さんに笑顔になって欲しいから。高度な審美歯科治療を圧倒的に安価にご提供。

新宿きらきら歯科のセラミックの料金は、かなり安価に設定されています。
これは単に安く設定しているのではなく、なるべく多くの人に笑顔になって欲しいという点での企業努力の結晶と言えるものでしょう。
そもそも新宿きらきら歯科の扱っているセラミックは、クラレノリタケデンタル株式会社の「ノリタケ カタナ® ジルコニア」と呼ばれる日本製の高級ラインのものです。
新宿きらきら歯科が高品質のセラミックをなぜ安価にご提供できるかを説明すると3点あげられるでしょう。
1点目は、院内技工士が常駐していることで外注費というマージンを一切なくすことができている点。
2点目は、自由診療専門・そしてセラミック治療に特化した歯科医院であることで、治療のフローやシステムを最適化することができ間接労務費である人件費を抑えることができている点。
最後に3点目は、圧倒的な症例数により材料を一括で仕入れることができ、その分安価に材料を手に入れられる点です。
このような企業努力のもと、「ノリタケ カタナ® ジルコニア」というフラッグシップラインのセラミックを安価に利用できることは、新宿きらきら歯科の誠実さを表すものと言えるでしょう。
設備
マイクロスコープ

肉眼では捉えきれない患部を数十倍にまで拡大して確認できる歯科用顕微鏡です。歯の細部まで鮮明に見えるため、見落としのない精密なアプローチが可能になります。
ラミネートべニアに関わる費用
セラミックラミネートべニア | 88,000円 |
|---|
※ラミネートべニアは保険が適用されない自費診療です。
※金額は全て税込表示です。
お支払いについて
新宿きらきら歯科では以下の支払い方法に対応しています。
※詳細は医院へお問い合わせください。
●現金
●クレジットカード
歯科医師紹介
高根 元恒
経歴
2008年 日本大学松戸歯学部卒業 2009年 臨床研修医終了 2010年 医療法人和光会ボックスヒル歯科勤務 2014年 医療法人郁栄会寒竹歯科勤務 2016年 医療法人郁栄会ベイデンタルクリニック院長 2017年 赤坂きらきら歯科開業 2022年 新宿きらきら歯科へ医院拡大のため移転開業
所属学会・資格・スタディーグループ
MALO DENTAL & MEDICAL Alliance Team 提携 X-GUIDE ダイナミックナビゲーション機関 認定
メッセージ
基本情報
住所
〒160-0022 東京都新宿区新宿三丁目11-9 花菱ビル8階
最寄駅
JR新宿駅 徒歩10分/東京メトロ副都心線・丸ノ内線 新宿三丁目駅 徒歩1分
診療時間
不定休 10:00〜21:00
電話番号
03-6459-1616
ラミネートべニア(セラミック治療)・ホワイトニングについて
ラミネートべニアとは?
ラミネートベニアは、歯の表面を薄く削り、その上に「付け爪」のような薄いセラミックの板を貼り付ける治療法です。
歯の表面を美しくするだけでなく、歯の形や大きさを整えたり、前歯のすき間(すきっ歯)をなくしたりすることができます。基本的に金属を使わないため、金属アレルギーの心配もありません。
一方で、薄いセラミックを貼り付ける構造上、強い衝撃によって割れたり剥がれたりすることがあります。
保険が適用されない自費診療のため、保険適用の治療と比べて費用が高額になる点も注意が必要です。
治療の流れ
下記、一般的な治療の流れです。
※あくまでも一般的な流れです。
1.初診・カウンセリング
2.治療計画の立案とシミュレーション
3.歯の形成
4.型取りと色調選択
5.ラミネートベニアの接着・最終調整
6.定期的なメンテナンス
治療期間や通院回数の目安
治療期間:1ヵ月程度~2ヵ月程度
通院回数:2~4回程度
※具体的な治療期間や通院回数は、患者さん1人ひとりの口腔状態や要望、治療内容などによって異なります。
費用相場
5万~15万円/1本あたり
※具体的な費用は、使用する素材や治療内容などによって異なります。
想定されるリスク・副作用
下記、セラミック治療で想定されるリスク・副作用です。
・ラミネートベニアをおこなうにあたって、健康な歯の表面(エナメル質)を削る必要があります。一度削った歯は元に戻すことができません。
・歯を削ることで、稀に知覚過敏の症状が発生する可能性があります。
・噛み合わせや歯ぎしりの強さによっては、貼り付けたセラミックが割れたり剥がれたりすることがあります。
・治療後に疼痛・咬合時痛・冷水痛などを生じることがあります。
・非常に薄いセラミックで作られているため、セラミッククラウンなどと比べると強度が劣ります。
ホワイトニングとは?
ホワイトニングとは、専用の薬剤を用いて歯そのものの色を白くする施術のことです。
ホワイトニング剤を歯の表面に塗布することで、歯の黄ばみやくろずみ色素などを分解し歯を白くしていきます。
ホワイトニングの方法は大きく以下の2種類に分けることができます。
・オフィスホワイトニング:歯科医院ですべての施術受けるホワイトニング
・ホームホワイトニング:薬剤と専用のマウスピースを受け取り自宅でおこなうホワイトニング
※2つの方法を併用する方法もあります。
治療期間や通院回数の目安
<通院期間・治療期間>
オフィスホワイトニング:通院回数1〜3回
ホームホワイトニング:治療期間2週間~1ヵ月
※実際の通院期間や治療期間は求める歯の白さや個人の状態になどによって異なります。
費用相場
オフィスホワイトニング:2万~7万円/1回
ホームホワイトニング:1万5千~4万円
想定されるリスク・副作用
下記、ホワイトニング治療で想定されるリスク・副作用です。
・ホワイトニング剤の使用によって、知覚過敏が生じることがあります。これは薬剤が歯の神経に強い刺激を与えることで、神経が過敏になりやすくなるためです。特に、オフィスホワイトニングでは高濃度の薬剤を使用するため、ホームホワイトニングよりも知覚過敏が起こりやすい傾向にあります。
・歯の個々の性質によっては、ホワイトニング後に色ムラが現れることがあります。歯の厚みに差があったり、薬剤の効果が出にくい部分があったりすることで、均一な白さが得られない場合があるのです。ただし、ホワイトニングを継続することで次第に目立たなくなることが多く見られます。
・薬剤に対してアレルギーをお持ちの方は、ホワイトニングの薬剤が口腔内の粘膜に異常を引き起こすことがあります。
・歯にヒビが入っている場合、その部分から薬剤が内部に浸透し、歯髄を刺激してダメージを与える可能性があります。
・過去に服用した抗生物質の影響で歯の変色が強い方は、ホワイトニングの効果が十分に得られにくいこともあります。
Medee歯科検索は、おすすめしたい歯医者を掲載しています。
駅、行政区、診療時間、歯科医院の特徴、診療科目など豊富な検索メニューで歯科医院を検索可能。
また歯科医院のWebサイトはもちろん各種予約ツールも利用することが可能で、より簡単に歯科医院を探すことができます。









