【2026年】銀座でおすすめしたい矯正歯科医院3選
2026/2/26
2026/3/10
#矯正歯科

矯正治療は一般的な歯科治療よりも高い専門性が求められる治療であり、理想の結果を得るためには歯科医院選びが重要です。
ただ、銀座周辺には矯正治療に対応する歯科医院が数多く点在しており、どの歯科医院で治療を受けたら良いか悩んでしまうことでしょう。
そこで本記事では、歯科医師の矯正治療における実績や専門性、対応している治療法など多岐に渡る要素のもと、おすすめしたい歯科医院をご紹介しております。
信頼できる歯科医院で理想の歯並びを手に入れたいという方は、本記事で紹介している歯科医院をぜひ参考にしてみてください。
※2026年2月時点でのMedee編集部の調査のデータとなります。
- 1.2銀座EAST矯正歯科
【2026年】銀座でおすすめしたい矯正歯科医院3選
1. 東京銀座A CLINIC デンタルPR
.png)
大学病院レベルの高い専門性を活かした骨格まで徹底的に追及する矯正治療
東銀座駅より徒歩10秒、銀座駅より徒歩3分に位置する、矯正治療・審美治療に特化した「東京銀座A CLINIC デンタル」。
同院には、日本矯正歯科学会認定医、日本口腔外科学会専門医、さらに日本顎変形症学会認定医が在籍しています。
各分野の高度な知識と技術を持つドクターが連携し、大学病院レベルの高い専門性を活かした安全性の高い医療を提供できる体制を整えています。
矯正治療においては、単に歯並びを整えるだけでなく、骨格まで徹底的に追求したアプローチを強みとしています。
一般的なワイヤー矯正やマウスピース矯正から、高度な外科的処置を伴う顎矯正手術(外科矯正)まで幅広く対応しており、患者さん一人ひとりの状態やご要望に合わせた適切な治療法を提案しています。
骨格から見直す治療でお顔全体の美しさまで考慮した治療が受けられるのは「東京銀座A CLINIC デンタル」ならではでしょう。
無料の矯正相談も実施しているため、「矯正治療を考えている方」「歯並びや骨格に悩みがある方」は、まずは一度相談してみることをおすすめします。
特徴1 周囲に気づかれにくい矯正治療|見た目に配慮した多彩な選択肢

矯正治療を考える際、「装置が目立つのが気になる」「周囲に気づかれずに治療を進めたい」といった悩みを持つ方は少なくありません。
銀座に位置する「東京銀座A CLINIC デンタル」では、こうした治療中の口元の見た目に関する心理的なハードルを下げるため、目立ちにくい矯正治療に幅広く対応しています。
歯の裏側に装置を装着する裏側矯正や、透明な装置を用いたワイヤー矯正、取り外し可能なマウスピース矯正など、多彩な選択肢が用意されています。
なかでもインビザライン矯正(マウスピース矯正)においては豊富な症例実績を誇り、インビザライン社から「ダイヤモンドプロバイダー」の認定を受けています。
こうした確かな実績と豊富な選択肢があるからこそ、ライフスタイルや見た目へのこだわり、予算感など患者さん一人ひとりに合わせて納得のいく提案を受けることができます。
特徴2 骨格レベルでのアプローチでお顔全体の美しさを追求

歯並びや噛み合わせの根本的な原因が、あごの骨の形や位置といった「骨格」にあるケースは少なくありません。
このような場合、歯を動かすだけの一般的な矯正治療では十分な改善が難しいことがありますが、「東京銀座A CLINIC デンタル」では、あごの骨の手術と矯正治療を組み合わせる「外科矯正」によって、抜本的な治療を実現しています。
顎矯正手術においては、ルフォーⅠ型骨切り術、SSRO(下顎枝矢状分割術)、オトガイ形成術などの高度な術式に幅広く対応しています。
日本口腔外科学会専門医と日本顎変形症学会認定医、日本矯正歯科学会認定医がチームとなり、学会水準に基づいた高度な処置を受けることが可能です。
こうした骨格レベルでのアプローチにより、歯並びや噛み合わせを整えるだけでなく、お顔全体の美しさまで考慮した矯正治療に取り組んでいます。
また、先にあごの骨の手術を行う「サージェリーファースト」という手法を採用しているため、治療の早い段階で外見上の悩みを改善しやすいのも大きな特徴です。
術後の矯正期間においても、周囲に気づかれにくい裏側矯正やマウスピース型矯正など、審美性に配慮した装置を選択することが可能で、ストレスの少ない治療を継続いただけます。
特徴3 抜群のアクセスと柔軟な診療体制で長期的な矯正も無理なく継続

矯正治療は一般的に数年単位の期間を要し、月に1回程度のペースで定期的に通院する必要があるため、無理なく通い続けられる場所にあるかどうかが、歯科医院選びの極めて重要な指標となります。
こうした通院の負担という課題を、圧倒的なアクセスの良さと柔軟な診療体制で解決しているのが「東京銀座A CLINIC デンタル」です。
「東京銀座A CLINIC デンタル」は、東銀座駅から徒歩10秒、銀座駅から徒歩3分という都心部にあり、通勤・通学の合間やショッピングのついでにも立ち寄りやすい好立地に位置しています。
さらに、平日だけでなく土日・祝日も診療を行っているため、平日はお仕事や学業で忙しい方でも週末を利用して余裕を持って受診することができます。
都内屈指のアクセスの良さと柔軟な診療体制を兼ね備えた同院であれば、長期間の矯正治療でも通院の負担を抑えながら、理想の歯並びと口元を目指すことができるでしょう。
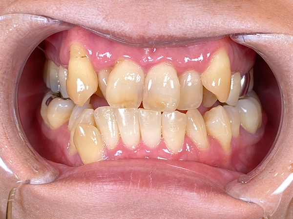
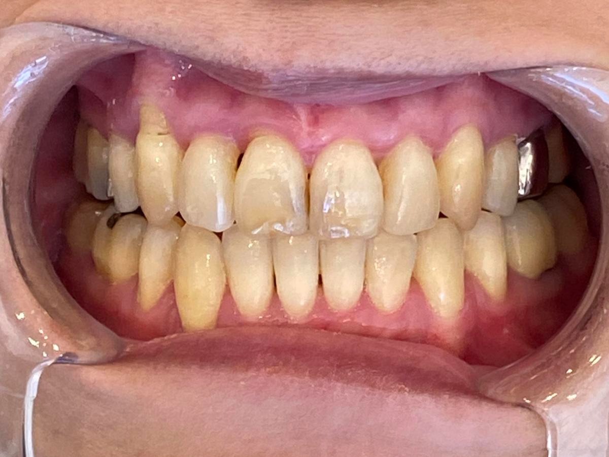
症例1
Before

After

治療内容 | マウスピースによる矯正治療 |
|---|---|
治療期間 | 6ヵ月 |
費用 | 899,600円 |
リスク・副作用 | 治療の初期段階では痛みや違和感が生じやすいです。ただ、1週間前後で慣れます。 |
設備
歯科用CT

歯科用CTは歯やあごの骨の状態などを立体的な画像で撮影して観察できる機器です。詳細な検査・診断に基づく精密な治療が可能となります。
口腔内スキャナー

粘土状の材料を使わず、専用のスキャナーで口内をスキャンすることで歯型を採取できる機器です。
カウンセリングルーム

診療室

矯正歯科に関わる費用
矯正相談料 | 無料 |
|---|---|
精密検査代 | 32,800円 |
インビザライン | |
エクスプレス(上のみ/下のみ) | 380,000円 |
エクスプレス(上下セット) | 473,000円 |
ライト(上のみ/下のみ) | 494,800円 |
ライト(上下セット) | 613,800円 |
フル(抜歯無し) | 989,600円 |
フル(抜歯有り) | 1,099,600円 |
PBMヒーリング(光加速装置) | 108,900円 |
部分ブラケット矯正(前歯のみ) | 439,800円 |
全顎ブラケット矯正 (表側)抜歯なし | 690,800円 |
全顎ブラケット矯正 (表側) 抜歯あり | 790,800円 |
リンガル矯正(部分) | 437,800円 |
ハーフリンガル矯正(部分) | 723,800円 |
ハーフリンガル矯正フル(抜歯なし) | 932,800円 |
ハーフリンガル矯正フル(抜歯あり) | 1,075,800円 |
調整料 | 5,500円 |
矯正終了後リテーナー | 33,000円 |
※矯正治療は保険が適用されない自費診療です。
【入手経路等の明示】
当院が矯正治療で用いる「インビザライン」は、米国の「アライン・テクノロジー社」で製造されたものを輸入して使用しています。なお、インビザラインを構成する材料自体は、日本の医薬品医療機器法に基づき認証されたものが用いられています。
インビザラインをはじめとするマウスピース型の矯正装置は、国内外のいずれで製作される場合でも、患者様一人ひとりのために作られるオーダーメイドな装置です。
このように個別に製作される装置は、一般的な製品のように市場で広く流通するものではないため(市場流通性がない)、「医薬品医療機器法が定める医療機器にはあたらない」という見解が厚生労働省から示されています(平成26年6月4日付事務連絡)。
この見解に基づき、インビザラインは日本の薬機法における医療機器としての承認を得ておらず、また、歯科技工士法で定められた矯正装置とも異なります。そのため、薬機法の適用対象外となり、万が一健康被害が生じた際に公的な救済制度(医薬品副作用被害救済制度)が適用されない場合がございます。
【国内の承認医薬品等の有無の明示】
日本国内にも、薬機法によって承認されているマウスピース型のカスタムメイド矯正装置は存在します。一方で「インビザライン」は、現時点において日本の薬事承認を受けていない未承認医療機器に分類されます。
【諸外国における安全性等に係る情報の明示】
インビザラインは、1998年に米国のFDA(食品医薬品局)より医療機器としての認証を受けており、国際的に広く認知されています。2023年3月までに全世界で1,500万人を超える豊富な治療実績があります。
ごくまれに、装置の材料に対してアレルギー反応を示す方がいらっしゃることが報告されていますが、現在までに重篤な副作用の事例は確認されていません。
※金額は全て税込表示です。
お支払いについて
東京銀座A CLINIC デンタルでは、以下の支払方法に対応しています。
※詳細は医院へお問い合わせください。
●現金
●クレジットカード
●デンタルローン
歯科医師紹介

菅野 友太郎
経歴
2010年 国立東北大学 卒業 2010年 都内医療法人 勤務 2013年 石川歯科(浜松ペリオ・インプラントセンター)勤務 2018年 大森沢田通り歯科・予防クリニック 開業 2025年 東京銀座A CLINIC デンタル 統括院長 就任
所属学会・資格・スタディーグループ
5-D Japan 会員 日本臨床歯周病学会 会員 OJ(Osseointegration study club of Japan)会員 日本臨床補綴学会 会員 日本デジタル歯科学会 会員 TISS(Tohoku implant study society)主催
メッセージ
基本情報
住所
〒104-0061 東京都中央区銀座5丁目13-19 デュープレックス銀座タワー5/13 12階
最寄駅
東銀座駅より徒歩10秒/銀座駅より徒歩で3分
診療時間
月・火・木・金・土・日・祝:10:00~19:00 水:休診日
電話番号
03-6264-3086
2. 銀座EAST矯正歯科

医院紹介
銀座駅より徒歩2分、矯正治療に特化した「銀座EAST矯正歯科」。
成人の矯正から小さなお子様の矯正まで幅広い世代の矯正に対応しており、ワイヤーを用いた矯正やマウスピース矯正など取り扱う矯正装置も豊富です。
表側矯正であれば、すべての装置を同一料金で提供している点は同院の特徴と言えます。
通常、矯正装置によって費用が異なるため、自分に合った装置を選ぶことより、予算に合った装置を選ばなければならないことも多くありました。
装置に関わらず料金が統一されているため、患者さんは自分に合った矯正装置を選びやすくなります。
無料カウンセリングを利用して、どのような装置が適しているか相談してみてはいかがでしょうか。
特徴1 日本矯正歯科学会の指導医が噛み合わせにまで徹底的に配慮した治療を提供

矯正治療において歯科選びは極めて重要な選択となります。
同じ矯正治療であっても、担当する歯科医師の知識や技術によって、最終的な治療結果が大きく左右されるためです。
「銀座EAST矯正歯科」にて矯正治療を担当するのは、日本矯正歯科学会の指導医の資格を持つドクターです。
高度な知見・技術にもとづく質の高い矯正治療を提供しています。
指導医とは、他の歯科医師を育成・指導する立場にあり、矯正における深い研鑽と豊富な臨床経験を積んだ歯科医師です。
高度な知見・技術に基づき、一人ひとりの骨格や歯の状態に合わせた精緻な治療計画が立案され、単に歯を綺麗に並べるだけではなく、本来の機能である「噛み合わせ」にまで徹底して配慮された治療が受けられます。
矯正歯科に関わる費用
初診相談 | 無料 |
|---|---|
精密検査 | 30,000円 |
診断 | 10,000円 |
表側矯正歯科装置 | 850,000円 |
舌側矯正歯科装置 | 1,300,000円 |
マウスピース型矯 | 850,000円 |
子どもの矯正 | 336,000円 |
入手経路の明治
同院で使用する「インビザライン」は、米国の「アライン・テクノロジー社」が製造するシステムを輸入して提供しています。装置に使用される素材そのものは、日本の医薬品医療機器法(薬機法)の認証を受けたものが採用されています。
インビザラインなどのマウスピース矯正は、患者様ごとに設計される完全オーダーメイド品です。こうした個別で製作される装置は、一般市場での流通性がないことから、厚生労働省の見解(平成26年6月4日付事務連絡)により、日本の薬機法が定める「医療機器」には該当しません
そのため、インビザラインは国内の薬機法における医療機器としての承認を得ておらず、歯科技工士法上の矯正装置とも異なります。万が一、治療により健康被害が生じた場合でも、公的な「医薬品副作用被害救済制度」の対象外となる可能性がある点にご留意ください。
国内承認医薬品の有無について
日本国内でも、薬機法の承認を得たマウスピース型の矯正装置は存在しています。しかし、インビザラインに関しては、現時点では国内の薬事承認を得ていない未承認医療機器という扱いになります。
諸外国における安全性等に係る情報の明示
インビザラインは1998年に、米国のFDA(食品医薬品局)から医療機器としての承認を受けたものです。世界中で広く普及しており、2023年3月時点での治療実績は1,500万人を超えています。
副作用については、稀に素材へのアレルギー反応が報告されていますが、これまでに重篤な健康被害に関する事例は報告されていません。
※矯正治療は保険が適用されない自費診療です。
※金額は全て税込表示です。
お支払いについて
銀座EAST矯正歯科では、以下の支払い方法に対応しています。
※詳細は医院へお問い合わせください。
●現金
●クレジットカード
●デンタルローン
基本情報
住所
〒104-0061 東京都中央区銀座4-10-6 銀料ビル3階
最寄駅
東銀座駅A2出口徒歩1分/銀座駅A6出口徒歩2分
診療時間
月~土:9:00~13:00/14:30~20:30 日・祝:休診日
電話番号
03-6226-4333
3. 銀座大山歯科・矯正歯科クリニック

医院紹介
銀座駅から徒歩で4分の場所に位置する「銀座大山歯科・矯正歯科クリニック」。
同院は適切な歯科治療と予防治療のもとおこなう「トータルケア」を重視する歯科医院です。
さまざまな治療に対応するなか、特に矯正治療は注力している診療のひとつであり、表側矯正をはじめ、より高い専門性が求められる裏側矯正やマウスピース矯正などにも対応。
治療は日本矯正歯科学会認定医である矯正治療における確かな知識や技術を持つドクターが担当しています。
また、予防診療にも注力していることから、矯正後の健診や口腔内ケアなどのアフターフォローも充実。
このように銀座大山歯科・矯正歯科クリニックは、専門的な矯正治療をはじめその後の充実したアフターフォローまでトータルで対応してもらえる歯科医院です。
設備
◆歯科用CT
◆口腔内スキャナー
◆セファロレントゲン
特徴1 積み上げてきた数多くの症例実績に基づくインビザライン矯正

「目立たない矯正をしたい」という思いから、近年人気となっているマウスピース矯正を検討される方は多いです。
銀座大山歯科・矯正歯科クリニックでは、このマウスピース矯正において豊富な経験を持つ「インビザライン・ゴールドドクター」が在籍しており、確かな実績に基づいた治療が提供できる歯科医院です。
インビザラインをはじめとしたマウスピース型矯正装置による治療は、事前に立てる治療計画の精度が結果を大きく左右します。
銀座大山歯科・矯正歯科クリニックでは、これまで積み上げてきた数多くの症例実績を背景に、一人ひとりの口腔状態に合わせた予測性の高い治療計画の立案が可能です。
納得のいく治療結果を求める方は、まずは一度同院のカウンセリングで具体的な治療シミュレーションについて相談してみてはいかがでしょうか。
矯正歯科に関わる費用
小児矯正 | |
|---|---|
I期治療 | ・資料採り、診断料:33,000〜55,000円 |
II期治療 | ・資料採り、診断料:55,000円 |
成人矯正 | |
|---|---|
本格(II期治療)治療 | ・資料採り、診断料:55,000円 |
目立ちにくい矯正 | |
|---|---|
ASOアライナー、カスタムメイドマウスピース型矯正装置 (インビザライン)(部分矯正) | 110,000~330,000円 |
カスタムメイドマウスピース型矯正装置 (インビザライン)(軽い矯正) | 495,000円 |
カスタムメイドマウスピース型矯正装置 (インビザライン+透明ブラケットホワイトwire) | 990,000~1,100,000円 |
舌側矯正(上下:2Dリンガル、クリッピーL、カスタムメイド型舌側矯正装置WINブラケット,インコグニート) | 330,000円~1,320,000円 |
成人治療(透明ブラケット使用ホワイトwire) | 330,000円~1,100,000円 |
リテーナー | 55,000円 |
他院で治療中のセカンドオピニオン(30分) | 55,000円 |
※矯正治療は保険が適用されない自費診療です。
未承認医薬品等であることの明示
マウスピース型カスタムメイド矯正装置である「インビザライン」は、日本の薬機法上で承認を受けていない未承認医薬品です。
このことから、医薬品副作用被害救済制度の適用外になる場合があり、その点を了承していただき、使用いただくことが必要があります。
入手経路の明示
当院が使用するマウスピース型カスタムメイド矯正装置「インビザライン」は、米国アライン・テクノロジー社の製品であり、「アライン・テクノロジー・ジャパン株式会社」を通じて入手しています。
国内の承認医薬品等の有無の明示
国内においてマウスピース型カスタムメイド矯正装置として薬機法の承認を受けているものは存在します。インビザラインそのものは、国内にて薬事承認を受けていない未承認医療機器です。
諸外国における安全性等に係る情報の明示
インビザラインは1998年に米国FDAの認証を受けており、2023年3月時点で世界中で1500万人が治療を受けていますが、重大な副作用の報告はありません。
※金額は全て税込表示です。
お支払いについて
銀座大山歯科・矯正歯科クリニックでは、以下の支払い方法に対応しています。
※詳細は医院へお問い合わせください。
●現金
●クレジットカード
基本情報
住所
〒104-0061 東京都中央区銀座6-14-5 東武銀座第1ビル2F
最寄駅
東銀座駅から徒歩1分/銀座駅から徒歩4分
診療時間
月~土:9:30~12:30/14:00~17:00 日・祝:休診日
電話番号
03-3545-7811
矯正歯科について
矯正治療とは?
矯正治療はブラケットやワイヤーを用いた矯正装置によって歯に力を加え、時間をかけて歯を移動させることで歯を少しずつと動かし、機能的で健康的な噛み合わせを目指す治療です。
基本的な矯正治療の流れ
1.カウンセリング
2.精密検査
3.診断・治療計画の説明
4.矯正治療前の準備(虫歯や歯周病の確認・治療)
5.矯正治療開始
6.定期的な通院で調整
7.矯正装置の撤去・保定開始
8.保定の定期通院終了
※実際の治療の流れは医院や具体的な治療内容によって異なります。
治療期間や通院回数の目安
治療期間:半年~3年
通院回数:7~30回
※実際の治療期間や通院回数は口内状況や具体的な治療内容など個人差があります。
想定されるリスク・副作用
・矯正装置装着後しばらくは不快感や違和感などを生じることがあります。
・矯正治療による歯の動きには個人差があり、想定より治療期間が延びることがあります。
・矯正治療で歯を動かす際に痛みをともなうことがあります。
・硬い物を食べたときの衝撃で矯正装置が外れたり壊れたりする恐れがあります。
・粘着性のある食べ物を食べた際に矯正装置が外れたりする恐れがあります。
・歯を動かすことによって歯肉退縮が起きる場合があります。
・ワイヤー矯正の場合には矯正装置が原因で金属アレルギーを起こす恐れがあります。
・生理的変化や顎の成長発育によって、治療後にも噛み合わせや歯並びが変化する可能性があります。
・稀に歯と骨の癒着があると、矯正治療を行っても歯が動かないことがあります。
Medee歯科検索は、おすすめしたい歯医者を掲載しています。
駅、行政区、診療時間、歯科医院の特徴、診療科目など豊富な検索メニューで歯科医院を検索可能。
また歯科医院のWebサイトはもちろん各種予約ツールも利用することが可能で、より簡単に歯科医院を探すことができます。
新着記事

【2026年】新宿区で骨造成対応のインプラント治療におすすめしたい歯科医院3選

【2026年】豊中市で小児矯正におすすめしたい歯科医院3選

【2026年】横浜市で小児矯正におすすめしたい歯科医院3選

【2026年】溝の口駅周辺でおすすめしたい矯正歯科医院3選

【2026年】博多駅周辺でインプラント治療におすすめしたい歯科医院3選
関連する記事

【2026年】豊中市で小児矯正におすすめしたい歯科医院3選

【2026年】横浜市で小児矯正におすすめしたい歯科医院3選

【2026年】溝の口駅周辺でおすすめしたい矯正歯科医院3選

【2026年】海老名市でインビザライン矯正におすすめしたい歯科医院3選

【2026年】東京都で裏側矯正におすすめしたい歯科医院3選

【2026年】豊橋市でインビザライン矯正におすすめしたい歯科医院3選

【2026年】千葉市稲毛区でおすすめしたい矯正歯科医院3選

【2026年】宇都宮市でインビザライン矯正におすすめしたい歯科医院3選

【2026年】浦和エリアでマウスピース矯正におすすめしたい歯科医院3選

【2026年】目黒区でインビザライン矯正におすすめしたい歯科医院3選

【2026年】御茶ノ水駅周辺でおすすめしたい矯正歯科医院4選

【2026年】愛知県名古屋市でおすすめしたい矯正歯科医院3選

【2026年】寝屋川市でおすすめしたい矯正歯科医院3選

【2026年】寝屋川市のマウスピース矯正でおすすめしたい歯科医院3選

【2026年】柏市でマウスピース矯正におすすめしたい歯科医院3選

【2026年】安曇野市で小児矯正対応のおすすめしたい歯科医院4選

【2026年】武蔵浦和駅周辺でおすすめしたい矯正歯科医院6選

【2026年】浦和エリアでおすすめしたい矯正歯科医院7選

【2026年】海老名市周辺でおすすめしたい矯正歯科医院4選

【2026年】心斎橋でおすすめしたい矯正歯科医院5選



