【2026年】御茶ノ水駅周辺でおすすめしたい矯正歯科医院4選
2026/4/15
2026/4/21
#矯正歯科

矯正治療は数ヶ月・数年単位での長期的な治療となることが多く、専門性の高い治療だからこそ信頼のできる歯科医院に任せたいですよね。
ただ、御茶ノ水周辺には歯科医院がいくつも点在しており、どの歯科医院で治療を受けるべきか迷ってしまうことでしょう。
そこで本記事では、矯正を担当する歯科医師の専門性や対応している治療法など、さまざまな観点のもとおすすめしたい矯正歯科医院をご紹介しております。
参考:おすすめしたい矯正歯科医院について
歯並びや噛み合わせで悩まれており、治療を受ける矯正歯科医院をお探しの方は、本記事にて紹介している歯科医院をぜひ参考にしてみてください。
※2026年4月時点でのMedee編集部の調査のデータとなります。
【2026年】御茶ノ水駅周辺でおすすめしたい矯正歯科医院4選
1. 御茶ノ水林矯正歯科(御茶ノ水駅より徒歩5分)PR

日本矯正歯科学会認定医の確かな技術と充実した設備であらゆる歯列不正に対応
JR中央線「御茶ノ水駅」から徒歩5分、2026年2月に矯正歯科専門のクリニックとして開院した「御茶ノ水林矯正歯科」。
同院の院長は日本矯正歯科学会の認定医であり、エビデンス(科学的根拠)に基づいた高度な治療を提供しています。
学会の認定医による専門性の高い矯正治療を強みに、軽度の歯列不正から難易度の高い症例まで対応可能です。
また、院内には矯正用セファロや歯科用CT、口腔内スキャナーといった設備も充実。
これまでに培われた確かな経験とデジタル設備を組み合わせることで、より精密な矯正治療を実現しています。
このように、確かな知識と技術を備えた矯正医と、それを支える充実した設備環境が整っていることで、機能性と審美性の両立を目指した質の高い治療が期待できるでしょう。
特徴1 審美性の高いワイヤー矯正とマウスピース矯正で患者さんに合わせた目立ちにくい矯正を提供

「矯正中の口元の見た目が気になる」「矯正していることを周りに知られたくない」といった悩みを持つ方は多いです。
こうした悩みに対して御茶ノ水林矯正歯科では、患者さん一人ひとりの希望やお口の状態に合わせた「目立ちにくい矯正治療」を提供しています。
同院では目立ちにくい矯正装置として、審美性の高いワイヤー矯正とマウスピース矯正の2つの選択肢を用意しています。
マウスピース矯正では透明なマウスピースを取り付けて歯並びを整えるため、周囲にほとんど気づかれることがありません。
自分でマウスピースを取り外しできることから、食事や歯磨きといった日常生活への支障も少なく済みます。
もう一つの選択肢であるワイヤー矯正では、セラミック製の白いブラケットやホワイトワイヤーを用いた審美性の高い装置を活用。
歯の色に近い目立ちにくい装置を使用することで、従来の銀色の装置に比べて自然に口元へ馴染むのが特徴です。
また、ワイヤー矯正は幅広い症例に適応できるという強みを持っており、マウスピース矯正では歯の移動が難しいケースであっても、見た目に配慮しながら歯並びを整えることが可能です。
このように御茶ノ水林矯正歯科では、目立ちにくい矯正治療への対応力が高く、患者さんそれぞれの希望や口腔内の状態に合わせた矯正治療を選択できる環境が整っています。
特徴2 【口腔外科医が在籍】抜歯から矯正まで院内で完結するワンストップ体制

矯正治療では歯並びを整えるために抜歯が必要となるケースは決して珍しくありません。
矯正専門のクリニックでは抜歯のみ別の医療機関に依頼することもあり、別の一般歯科や口腔外科を改めて受診しなければならない負担がありました。
御茶ノ水林矯正歯科では、院内に口腔外科医が在籍しており、抜歯から矯正治療までを一つの医院で完結することが可能です。
複数のクリニックを掛け持ちする必要がないため「あちらの医院で抜歯が終わらないと、こちらの医院で矯正が進められない」といった予約スケジュール調整の手間や、複数のクリニックに通院する負担がなくなります。
また、矯正担当医と口腔外科医が同じ施設内で緊密に連携できる点も強みの一つと言えるでしょう。
「どのタイミングで、どの歯を抜くのが矯正治療にとってベストか」を的確に判断し、緻密な計画に基づいた無駄のないスムーズな治療が期待できます。
特徴3 駅近と柔軟な診療体制で長期に渡る矯正治療も安心して継続

矯正治療は数年にわたり継続することが一般的であり、長期にわたる治療を最後までやり遂げるためには、無理なく通い続けられる環境が整っているかどうかが、歯科医院選びにおける極めて重要な指標となります。
通いにくさが負担となり通院間隔が空いてしまえば、治療計画に影響が出たり、矯正治療を途中で諦めてしまったりするケースも少なくありません。
御茶ノ水林矯正歯科は新御茶ノ水駅から徒歩2分、御茶ノ水駅から徒歩5分、淡路町駅から徒歩3分と複数の駅から徒歩圏内の場所に位置しており、非常に足を運びやすい医院です。
さらに、平日に加えて土日も診療をおこなっているため、平日は仕事など時間が取りづらい方でも、週末に計画的に通院スケジュールを組むことが可能です。
このように、アクセスの良さと診療日の幅広さが整っていることで、負担を抑えながら継続して通院しやすく、長期に及ぶ矯正治療でも計画通りに進めやすい環境といえるでしょう。
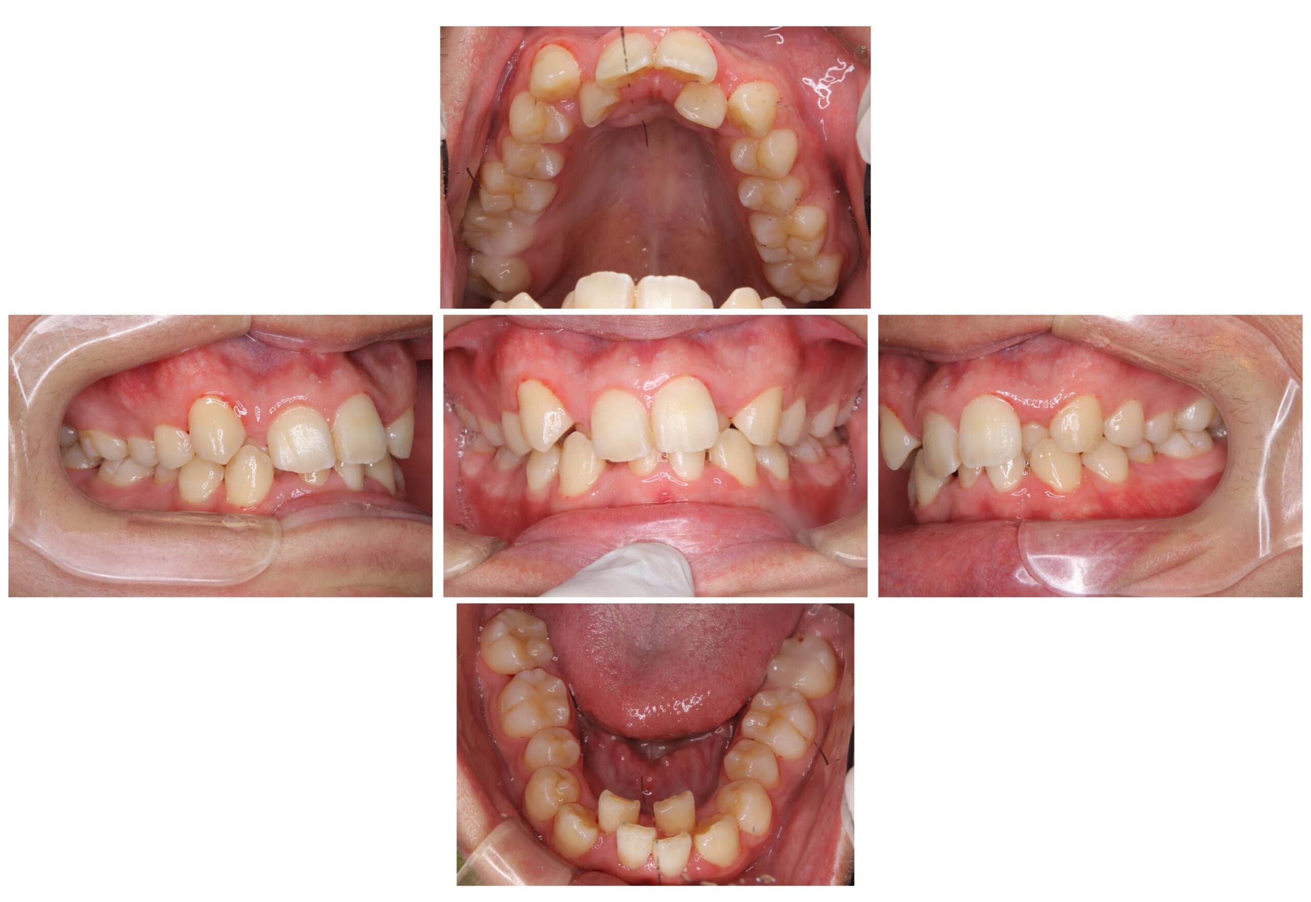
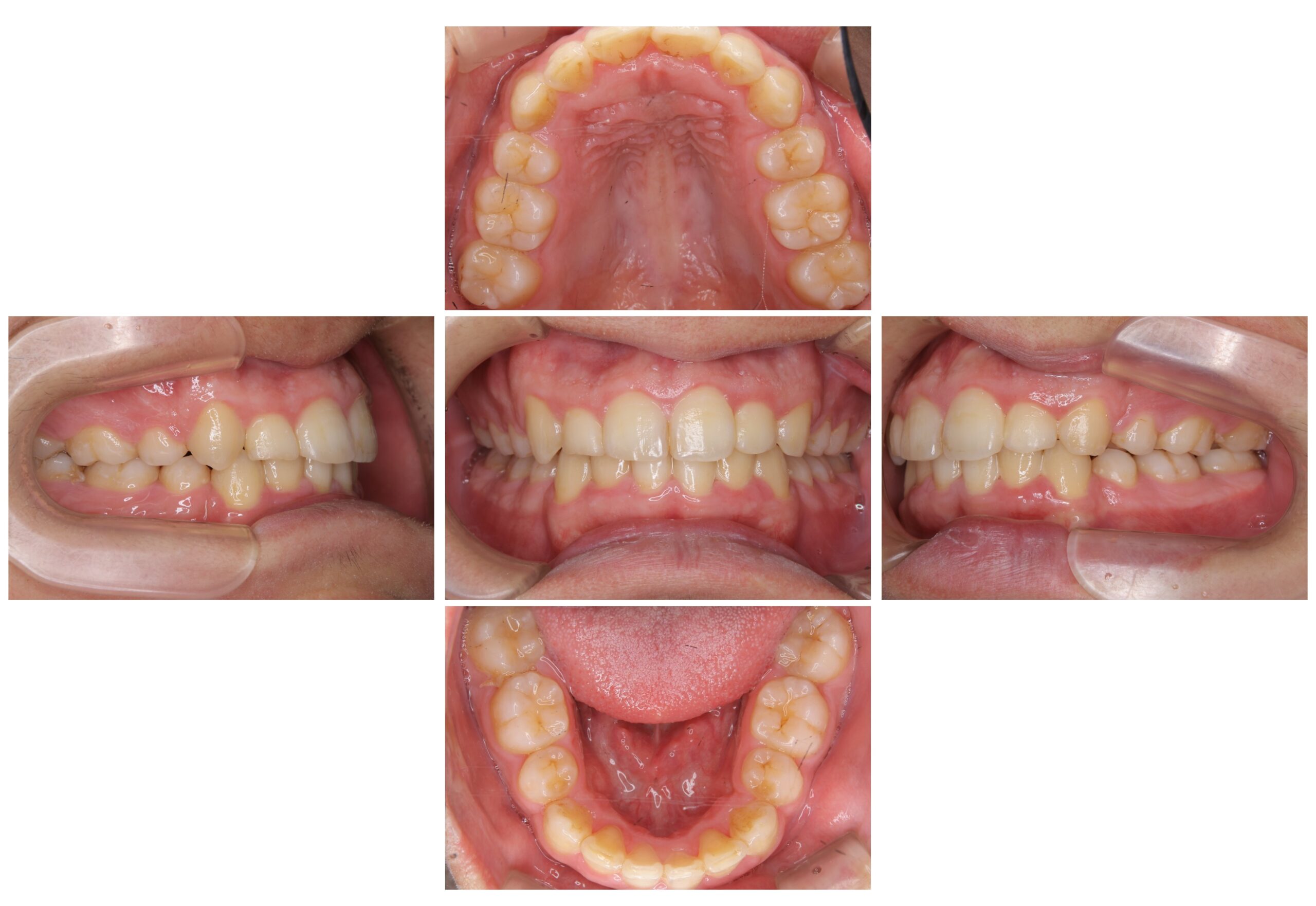
症例1
Before

After

年齢 | 30代 |
|---|---|
主訴 | 上下前歯の歯並びがデコボコしている(叢生) |
治療内容 | ワイヤー矯正 |
治療期間 | 1年10ヵ月 |
費用 | 968,000円(税込) 調整料 5,500円(税込) |
リスク・副作用 | ・違和感や痛み |
設備
歯科用CT/デジタルパノラマレントゲン/セファログラム

歯や顎の骨を3Dで確認できる「歯科用CT」、お口全体を平面で写す「デジタルパノラマレントゲン」、そして矯正治療に欠かせない頭部レントゲン「セファログラム」の3つの機能を1台に集約した機器です。
口腔内スキャナー

小型のスキャナーで口内を撮影することで、歯型を3Dデータとしてデジタル化できる機器です。粘土状の材料を使わずに、短時間で歯型を採取することができます。
滅菌器

使い捨てにできない治療器具を滅菌処理するための滅菌器です。感染対策のため治療器具を徹底的に滅菌処理しています。
お支払いについて
御茶ノ水林矯正歯科では、以下の支払方法に対応しています。
※詳細は医院へお問い合わせください。
●分割払い
●クレジットカード(Visa, Master, JCB, AMEX, Diners)
歯科医師紹介

林 在娟
経歴
2015年3月 大阪大学歯学部 卒業 2020年3月 大阪大学大学院歯学研究科 博士課程修了 2015年4月~2022年3月 大阪大学歯学部附属病院 矯正科医員 その後、歯科クリニックにて矯正歯科の勤務を経て 2026年2月 御茶ノ水林矯正歯科を開業
所属学会・資格・スタディーグループ
日本矯正歯科学会 認定医
メッセージ
基本情報
住所
〒101-0062 東京都千代田区神田駿河台3丁目4-1 新御茶ノ水龍名館ビル2階
最寄駅
東京メトロ千代田線「新御茶ノ水駅」徒歩2分 JR中央線「御茶ノ水駅」徒歩5分 東京メトロ丸ノ内線「淡路町駅」徒歩3分
診療時間
月~金:10:00~14:00/15:00~19:00 土:10:00~14:00/15:00~17:00 日:12:00~15:00 祝:休診日
電話番号
03-6384-0228
2. お茶の水矯正歯科(御茶ノ水駅より徒歩3分)

医院紹介
御茶ノ水駅より歩いて3分ほどの好立地にある「お茶の水矯正歯科」は、お子様から大人の方まで、あらゆる年代の歯並びの悩みに対応する矯正専門の歯科医院です。
患者さん一人ひとりのご希望に深く寄り添うため、多彩な矯正装置を用意しており、それぞれのライフスタイルや口腔内の状態に合わせたオーダーメイドの治療プランを提案しています。
こうした質の高い診療を支えているのは、日本成人矯正歯科学会の理事を担う院長の深い知見と優れた技術です。
院長は日本矯正歯科学会ならびに日本成人矯正歯科学会の認定医資格を有しており、矯正分野における確かな専門性を備えています。
院長は日本矯正歯科学会・日本成人矯正歯科学会の認定医であり、矯正治療における高い専門性を持っています。
また、これまでの経験や実績にとどまることなく、現在も3Dデジタルテクノロジーを活用した緻密なシミュレーションを取り入れ、より精度の高い治療を患者さんに提供し続けています。
設備
◆歯科用CT
◆口腔内スキャナー
特徴1 3Dデジタルテクノロジーで治療後の歯並びを事前にイメージ

矯正治療を検討する際に「最終的に自分の歯並びがどう変わるのか分からない」という不安を抱く方は少なくありません。
数ヶ月、あるいは数年という長い期間、装置をつけて治療に向き合ううえで、ゴールが想像できないまま進むのは心理的な負担が大きいものです。
お茶の水矯正歯科では、こうした患者さんのゴールの見えない不安に深く寄り添い、3Dデジタルテクノロジーを導入して、治療のゴールを共にイメージできる体制を整えています。
治療前の段階で歯がどのように動き、最終的にどのような状態に近づく可能性があるかを画面上で視覚的に確認できるため、「なんとなく良くなるはず」という曖昧な期待ではなく、具体的なゴールイメージを持ったうえで治療を始めることができます。
矯正歯科に関わる費用
初診相談 | 無料 |
|---|---|
精密検査 | 40,000円(税別) |
コンサルテーション | 無料 |
表側矯正 | 900,000円(税別) |
マウスピース型矯正装置 | 900,000円(税別) |
ハーフリンガル矯正装置 | 950,000円(税別) |
裏側装置 | 1,100,000円(税別) |
部分矯正 | 200,000円〜(税別) |
上下どちらかのみの矯正 | 400,000円〜(税別) |
※矯正治療は保険が適用されない自費診療です。
※金額は全て税込表示です。
お支払いについて
お茶の水矯正歯科では、以下の支払い方法に対応しています。
※詳細は医院へお問い合わせください。
●現金
●振込
●クレジットカード
●デンタルローン
基本情報
住所
〒101-0062 東京都千代田区神田駿河台1-8-2 駿河台アライビル1階2階
最寄駅
JR「御茶ノ水駅」徒歩3分
診療時間
火・水・木・金:11:00~13:30/14:30~19:00 土:10:30~18:00 月・日・祝:休診日
電話番号
03-5577-2113
3. 坂本矯正歯科クリニック(新御茶ノ水駅より徒歩3分)

医院紹介
新御茶ノ水駅より徒歩で約3分の場所に位置する矯正治療専門の歯科医院「坂本矯正歯科クリニック」。
院長は日本矯正歯科学会の「臨床指導医」であり、矯正治療において極めて高い専門知識と、他の歯科医師を指導する立場にあるエキスパートです。
1985年の開設以来、矯正歯科専門医院として長年にわたり多くの方々の歯並びや噛み合わせを改善してきた確かな治療歴も誇ります。
40年近い歴史に裏打ちされた豊富な経験と、指導医レベルの高度な技術に基づいた、質の高い矯正治療が受けられるでしょう。
豊富な経験を持つ専門家の視点から、自分では気づかなかった問題点も的確に指摘・説明してもらえるため、まずは気軽に相談してみてはいかがでしょう。
特徴1 装置が目立つ不安に配慮した「目立ちにくい矯正治療」の豊富な選択肢

矯正治療を始めたいと思いながらも「治療中に装置が目立つのが気になる」という気持ちから、一歩踏み出せない方は少なくありません。
従来の矯正といえば、銀色の装置が歯の表面に並ぶ見た目が一般的で、目立つことへの抵抗感が治療開始を遠ざける要因のひとつになっていました。
そこで坂本矯正歯科クリニックでは、そうした患者さんの心理的なハードルを踏まえ、裏側矯正や審美ブラケットを用いたワイヤー矯正、マウスピース矯正など目立ちにくい矯正治療を幅広く取り揃えています。
まず、裏側矯正は歯の裏側に装置を取り付けるため、正面から装置が見えることはほぼありません。
また、審美ブラケット(白い装置)を用いた表側矯正は、従来の金属装置と比べて装置が口元に馴染みやすく、従来の矯正装置よりも目立ちにくいです。
取り外し可能なマウスピース矯正においても、透明なマウスピースを用いるため目立ちにくい矯正装置です。
このように、坂本矯正歯科クリニックでは複数の目立ちにくい矯正治療に対応しており、それぞれの生活スタイルや口腔内の状態に合わせた装置を選択できる環境が整っています。
矯正歯科に関わる費用
治療前 | 初診相談 | 3,300円 | |
|---|---|---|---|
定期観察 | 5,500円(通院毎) | ||
検査 | 66,000円 | ||
診断 | 検査料に含まれています。 | ||
矯正中 | 部分矯正 | 110,000円~440,000円 | |
子供の歯の矯正 | 495,000円 | ||
引き続き大人の歯の矯正が必要な場合 | +385,000円 | ||
大人の歯の矯正 | 880,000円 | ||
内側矯正の場合 | +片顎330,000円 | ||
アライナー装置 | 935,000円 | ||
矯正後 | 後戻り防止の取り外し式装置 | 55,000円 | |
※上記の他に通院毎に「5,000円(外側)/8,000円(上下顎内側)/7,000円(片顎内側)」の診察料がかかります。
※金額は全て税込表示です。
お支払いについて
坂本矯正歯科クリニックでは、以下の支払い方法に対応しています。
※詳細は医院へお問い合わせください。
●現金
●クレジットカード
基本情報
住所
〒 101-0062 東京都千代田区神田駿河台3丁目6-1菱和ビル1F
最寄駅
新御茶ノ水駅より徒歩で約3分
診療時間
月・火・水・金・土:10:00~13:00/14:30~19:00 木・祝:休診日
電話番号
03-5294-6707
4. 塚原デンタルクリニック(御茶ノ水駅より徒歩7分)

医院紹介
御茶ノ水駅より徒歩圏内にある「塚原デンタルクリニック」。
同院の矯正治療では「できるだけ抜歯をしない」ことを大切にしており、まずは抜歯をせずに矯正できる方法がないかを模索してくれます。
精密な検査にもとづき、抜歯をおこなわずに矯正をおこなえるのであれば、非抜歯での治療プランを提案してもらうことができます。
このような的確な見極めや治療を担当するのは、日本歯科矯正専門医認定機構の認定歯科矯正医や成人矯正歯科学会の認定医資格を持つ矯正のスペシャリストです。
高い専門性に裏打ちされた高水準な矯正治療を受けることができるでしょう。
さらに、同院は一般歯科に対応しているため、矯正中の虫歯予防やトラブル対応まで網羅した隙のない診療体制が整っている点も特徴のひとつといえるでしょう。
設備
◆歯科用CT
◆セファロレントゲン
◆口腔内スキャナー
特徴1 抜歯の回避や治療期間の短縮が期待できるインプラントを用いた矯正治療

塚原デンタルクリニックの矯正治療における特徴のひとつが、インプラントを用いた矯正治療です。
インプラントをあごの骨に埋め込み、歯を動かす固定源として利用して矯正治療をおこなう方法です。
従来の治療法は歯同士を引っ張り合って動かすため、複雑な移動に限界がありました。
しかし、インプラントを強固な支点とすることで、狙った歯だけを効率よく動かすことが可能になります。
これにより、従来は難しかった方向への歯の移動が可能となり、抜歯の回避や治療期間の短縮も期待できます。
すべての症例に適用できるわけではありませんが「できるだけ抜歯をしたくない」「治療期間を抑えたい」という方は相談してみると良いでしょう。
矯正歯科に関わる費用
検査・分析 | ¥33,000 |
|---|---|
調整料 | ・経過観察・簡易的調整:¥1,100 |
舌機能訓練 | ・MFT:¥2,200 |
矯正 | ・矯正治療:¥880,000 |
小矯正 | ・ワイヤー部分矯正:¥110,000 |
マウスピース矯正 インビザライン | ・コンプリヘンシブプラン(リテーナー込):¥896,000 ・モデレートプラン(リテーナー込:¥676,500・ライトプラン両顎(リテーナー込):¥511,500 |
小児矯正後追加治療 | ・顎顔面矯正治療後インビザライン コンプリヘンシブプラン(リテーナー込):¥566,500 ライトプラン(リテーナー込):¥346,500 2期治療(リテーナー込):¥511,500 |
矯正のための便宜的抜歯 | ・抜歯(当院) (投薬・SP込):¥11,000 |
※矯正治療は保険が適用されない自費診療です。
※金額は全て税込表示です。
お支払いについて
塚原デンタルクリニックでは、以下の支払い方法に対応しています。
※詳細は医院へお問い合わせください。
●現金
●クレジットカード
●デンタルローン
基本情報
住所
〒101-0052 東京都千代田区神田小川町1-8 NCO神田小川町2F・3F・4F
最寄駅
JR線「御茶ノ水駅」聖橋口より徒歩7分
診療時間
火・水・木:10:00~13:30/15:00~19:00 金・土:10:00~13:30/15:00~18:00 月・日・祝:休診日
電話番号
03-5289-4555
矯正歯科について
矯正治療とは?
矯正治療はブラケットやワイヤーを用いた矯正装置によって歯に力を加え、時間をかけて歯を移動させることで歯を少しずつと動かし、機能的で健康的な噛み合わせを目指す治療です。
基本的な矯正治療の流れ
1.カウンセリング
2.精密検査
3.診断・治療計画の説明
4.矯正治療前の準備(虫歯や歯周病の確認・治療)
5.矯正治療開始
6.定期的な通院で調整
7.矯正装置の撤去・保定開始
8.保定の定期通院終了
※実際の治療の流れは医院や具体的な治療内容によって異なります。
治療期間や通院回数の目安
治療期間:半年~3年
通院回数:7~30回
※実際の治療期間や通院回数は口内状況や具体的な治療内容など個人差があります。
想定されるリスク・副作用
・矯正装置装着後しばらくは不快感や違和感などを生じることがあります。
・矯正治療による歯の動きには個人差があり、想定より治療期間が延びることがあります。
・矯正治療で歯を動かす際に痛みをともなうことがあります。
・硬い物を食べたときの衝撃で矯正装置が外れたり壊れたりする恐れがあります。
・粘着性のある食べ物を食べた際に矯正装置が外れたりする恐れがあります。
・歯を動かすことによって歯肉退縮が起きる場合があります。
・ワイヤー矯正の場合には矯正装置が原因で金属アレルギーを起こす恐れがあります。
・生理的変化や顎の成長発育によって、治療後にも噛み合わせや歯並びが変化する可能性があります。
・稀に歯と骨の癒着があると、矯正治療を行っても歯が動かないことがあります。
Medee歯科検索は、おすすめしたい歯医者を掲載しています。
駅、行政区、診療時間、歯科医院の特徴、診療科目など豊富な検索メニューで歯科医院を検索可能。
また歯科医院のWebサイトはもちろん各種予約ツールも利用することが可能で、より簡単に歯科医院を探すことができます。
新着記事

【2026年】東京都で審美治療におすすめしたい歯科医院3選

【2026年】東京都でガミースマイル治療におすすめしたい歯科医院3選

【2026年】愛知県名古屋市でおすすめしたい矯正歯科医院3選

【2026年】中央区でフラップレスインプラント治療におすすめしたい歯科医院3選

【2026年】寝屋川市でおすすめしたい歯医者6選
関連する記事

【2026年】愛知県名古屋市でおすすめしたい矯正歯科医院3選

【2026年】寝屋川市でおすすめしたい矯正歯科医院3選

【2026年】寝屋川市のマウスピース矯正でおすすめしたい歯科医院3選

【2026年】銀座でおすすめしたい矯正歯科医院3選

【2026年】柏市でマウスピース矯正におすすめしたい歯科医院3選

【2026年】安曇野市で小児矯正対応のおすすめしたい歯科医院4選

【2026年】武蔵浦和駅周辺でおすすめしたい矯正歯科医院6選

【2026年】浦和エリアでおすすめしたい矯正歯科医院7選

【2026年】海老名市周辺でおすすめしたい矯正歯科医院4選

【2026年】心斎橋でおすすめしたい矯正歯科医院5選

【2026年】梅田駅でおすすめしたい矯正歯科医院5選

【2026年】千葉市でワイヤー矯正におすすめしたい歯科医院5選

【2026年】盛岡市でマウスピース矯正におすすめしたい矯正歯科医院5選

【2026年】茨木市でおすすめしたい矯正歯科医院5選

【2026年】豊中市でセカンドオピニオンにおすすめしたい矯正歯科医院5選

【2026年】なんば駅周辺でおすすめしたい矯正歯科医院7選

【2026年】宇都宮市で裏側矯正におすすめしたい矯正歯科医院5選

【2026年】東京都でインビザライン矯正におすすめしたい歯科医院11選

【2026年】吹田市で裏側矯正におすすめしたい歯科医院5選

【2026年】府中市でおすすめしたい矯正歯科医院7選



