ホワイトホワイト ルミネ有楽町店の症例集
審美歯科の症例
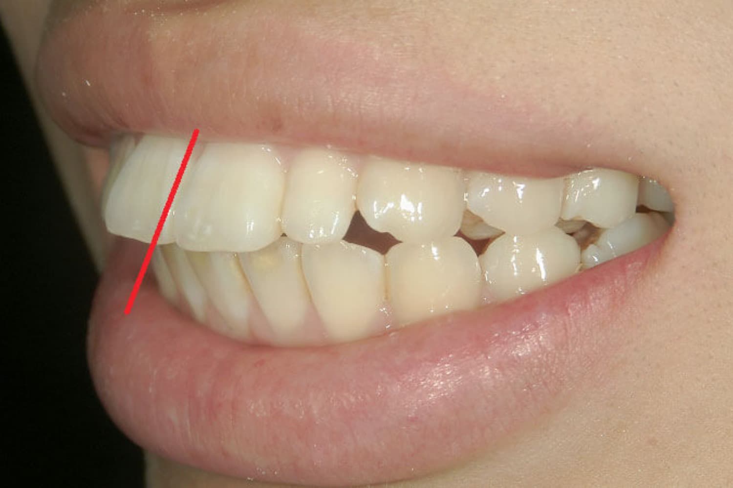
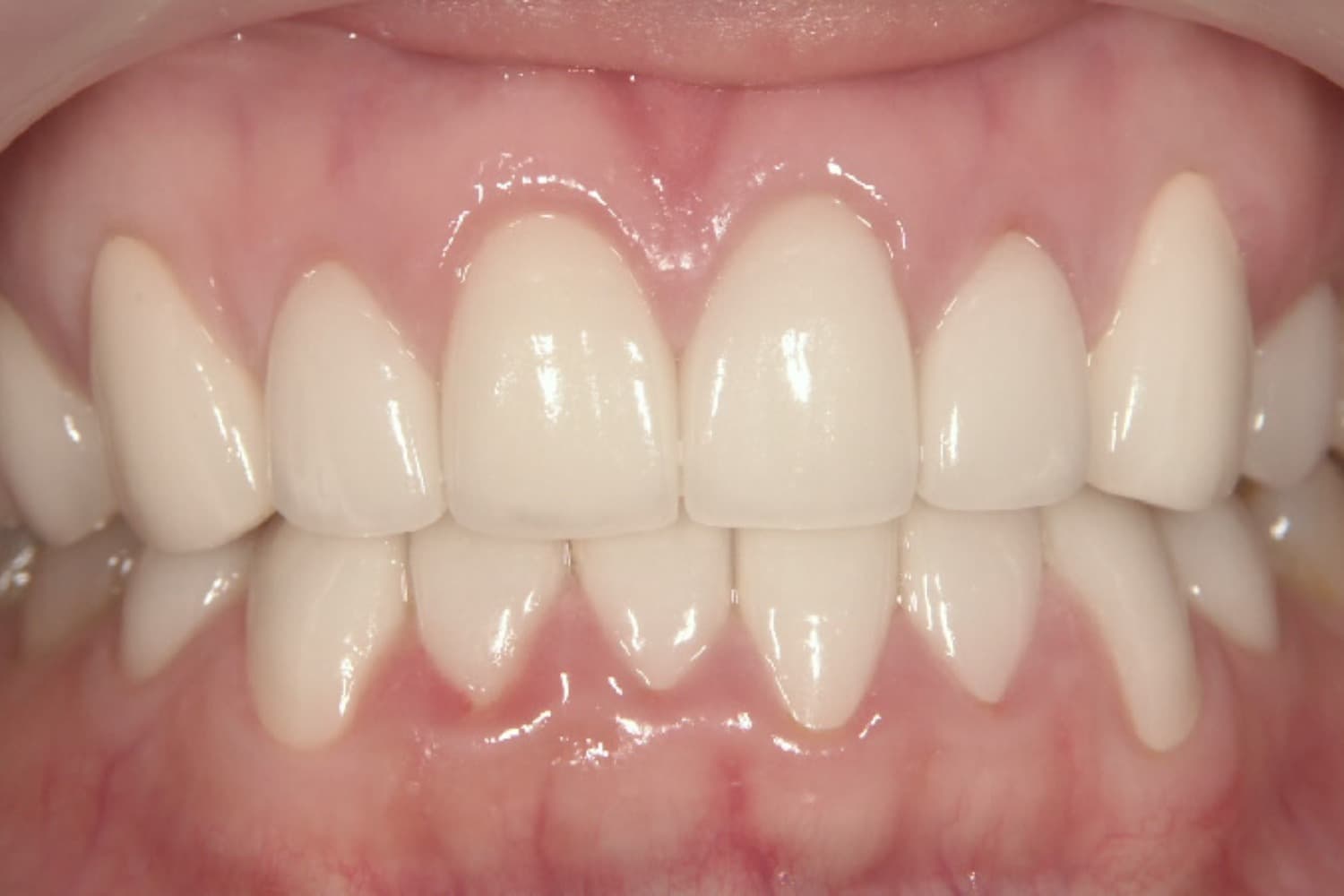
セラミック矯正+歯肉整形によるガミー治療
Before

After



歯肉整形で歯茎のラインを整えつつ、セラミック矯正を組み合わせることで治療後の後戻りを防止しました。セラミック矯正の併用によって、歯茎の位置に加えて歯並びや歯の形、大きさまでトータルで調整でき、より自然で美しい口元に仕上がっています。
治療期間
2ヶ月半
費用
・セミデザイン・オールセラミッククラウン1本¥135,000 ・歯肉切除1本¥11,000
副作用・リスク
一時的に歯がしみたり、かみ合わせの違和感を感じることがあります。
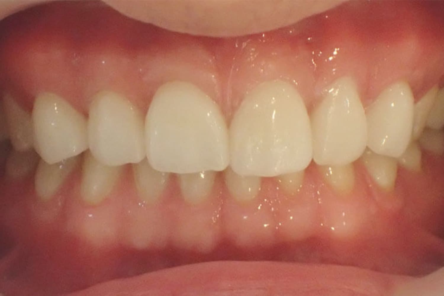
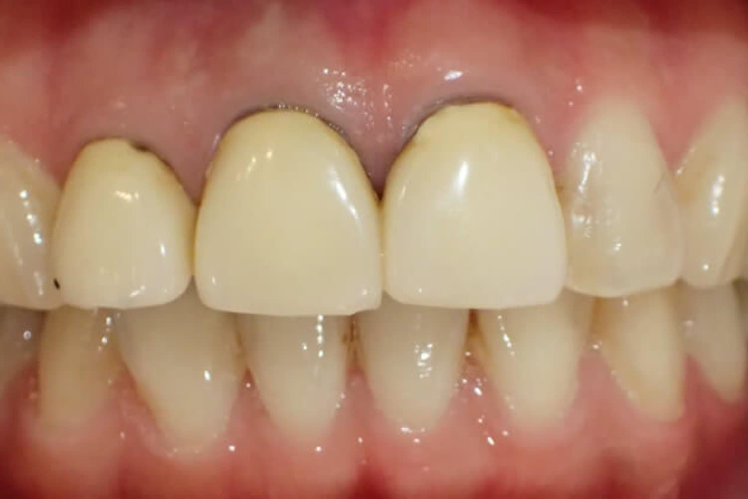
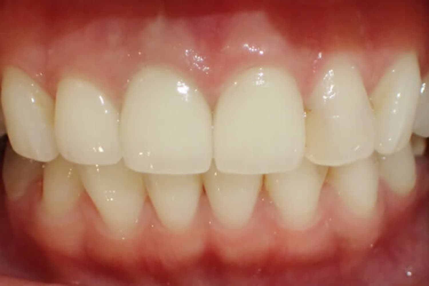
セラミック矯正による口ゴボ治療
Before

After



前に出っ張っていた前歯2本を、セラミック矯正で内側に収めることで「口ゴボ」を改善しました。 他の矯正治療と比較して、わずか2ヶ月程度という短期間で口元の悩みを解消できるのが特徴です(個人差はあります)。
治療期間
約2ヶ月半
費用
施術はシンプルデザインセラミック1本¥110,000
副作用・リスク
一時的に歯がしみたり、かみ合わせの違和感を感じることがあります。
削らないラミネートベニア治療
Before

After



上の前歯6本へ「削らないラミネートベニア」を適用し、患者様が悩まれていた歯のすき間や先端の形を改善しました。笑ったときの見え方が自然になるよう、歯の形やサイズも細かく調整しており、全体的にバランスのとれた美しい口元に仕上げています。
治療期間
2ヵ月
費用
ラミネートべニア6本:¥570,000 ※1本95,000円
副作用・リスク
一時的に歯がしみたり、かみ合わせの違和感を感じることがあります。
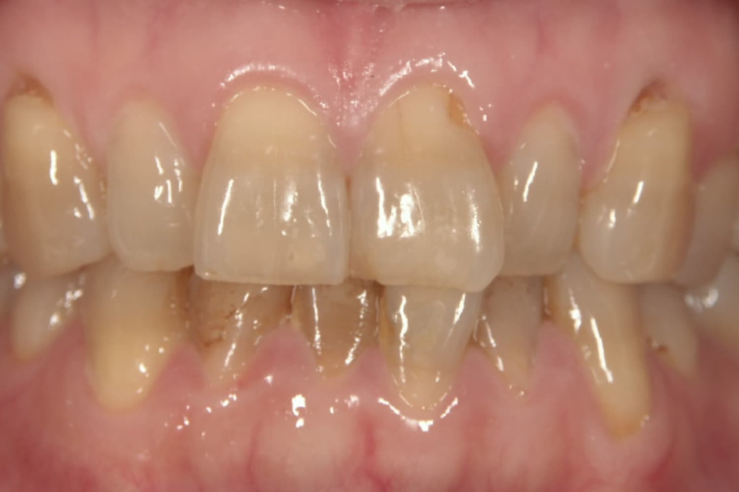
テトラサイクリン歯治療
Before

After

上下のテトラサイクリン歯をラミネートベニアにて治療
治療期間
約2ヶ月半
費用
フルデザイン・ラミネートベニア1本¥110,000
副作用・リスク
一時的に歯がしみたり、かみ合わせの違和感を感じることがあります。
歯茎の黒ずみ・差し歯の再治療
Before

After

まず古い金属の土台を外し、歯根内部の変色した層を取り除く「ブラックマージン治療」を行いました。その後、新しくセラミッククラウンを被せて仕上げています。
治療期間
2ヶ月半
費用
セミデザイン3本:¥405,000 メタルコアの除去3本:¥45,000 ブラックマージン除去治療3本:¥66,000 コア築または支台歯調整料3本:¥45,000
副作用・リスク
一時的に歯がしみたり、かみ合わせの違和感を感じることがあります。
Medee歯科検索は、おすすめしたい歯医者を掲載しています。
駅、行政区、診療時間、歯科医院の特徴、診療科目など豊富な検索メニューで歯科医院を検索可能。
また歯科医院のWebサイトはもちろん各種予約ツールも利用することが可能で、より簡単に歯科医院を探すことができます。