ホワイトホワイト ルミネ有楽町店の詳細情報
ホワイトホワイト ルミネ有楽町店
東京都千代田区有楽町2丁目5−1 ルミネ有楽町1 8F
東京メトロ銀座線銀座駅から徒歩1分
基本情報
住所
東京都千代田区有楽町2丁目5−1 ルミネ有楽町1 8FMAP最寄駅
東京メトロ銀座線銀座から徒歩1分電話番号
0120-469-701
医院HP
https://www.whitewhite.jp/
MAP
ホワイトホワイト ルミネ有楽町店の症例
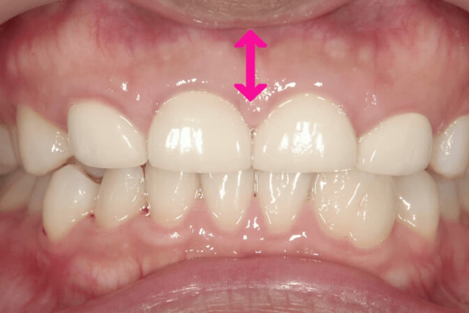
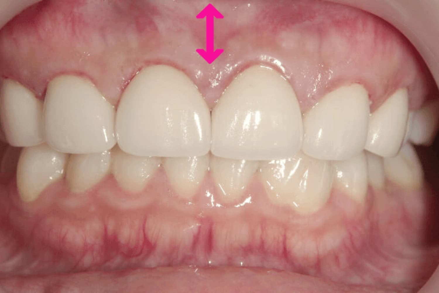
セラミック矯正+歯肉整形によるガミー治療
Before

After



歯肉整形で歯茎のラインを整えつつ、セラミック矯正を組み合わせることで治療後の後戻りを防止しました。セラミック矯正の併用によって、歯茎の位置に加えて歯並びや歯の形、大きさまでトータルで調整でき、より自然で美しい口元に仕上がっています。
治療期間
2ヶ月半
費用
・セミデザイン・オールセラミッククラウン1本¥135,000 ・歯肉切除1本¥11,000
副作用・リスク
一時的に歯がしみたり、かみ合わせの違和感を感じることがあります。
Medee歯科検索は、おすすめしたい歯医者を掲載しています。
駅、行政区、診療時間、歯科医院の特徴、診療科目など豊富な検索メニューで歯科医院を検索可能。
また歯科医院のWebサイトはもちろん各種予約ツールも利用することが可能で、より簡単に歯科医院を探すことができます。
「Medee歯科検索」に掲載されている情報について
本サイトに掲載している各種情報は、各歯科医院の自己申告情報をもとにしています。
サイト運営会社の株式会社エクスコアにおいても、情報の正確性について確認するよう努めておりますが
掲載内容の正確性を保証するものではなく、本サイトご利用により生じた損害について
株式会社エクスコアは、一切責任を負わないものとします。
情報に誤りがある場合には、お手数ですが株式会社エクスコア「Medee歯科検索」担当まで ご連絡ください。






