【2025年】広島市でインプラント治療におすすめしたい歯科医院6選
2025/2/27
2025/11/28
#インプラント

中国地方最大の都市である広島市。
市内には数多くの歯科医院が点在しており、インプラントに関する専門資格を持ったドクターが在籍している医院、歯科麻酔の専門家と連携した治療を提供している医院など、各医院の特徴も異なります。
本記事では、広島市のインプラントに対応している歯科医院について「設備」や「対応できる術式」など7つの情報をもとに整理しました。
これらの要素は「インプラントに対応している歯科医院について」の記事にてご紹介しております。
広島市でインプラントに対応している歯科医院をお探しの方は、ぜひ参考にしてみてください。
※2025年11月時点におけるMedee編集部の調査データとなります。
【2025年】広島市でインプラント治療におすすめしたい歯科医院6選
1. こころ歯科クリニック(こころ団地)PR
患者さん主体の歯科治療
こころ歯科クリニックは広島市安佐南区に医院を構え、平日は夜19時まで診療しています。
平日だけでなく土曜も診療しているので、平日学校や仕事で忙しい方でも通いやすいでしょう。
診療においては、患者さん主体の歯科治療をおこなうという観点から、患者さんとのコミュニケーションを十分にとり信頼関係を築きながら治療を進めているとのことです。
画像やアニメーションなどを用いて治療に関する十分な説明を実施しているため不安が和らぎ、治療にも安心して臨みやすいでしょう。
院内には歯科用CTや口腔内スキャナーをはじめとしたさまざまな設備が導入されており、それらを使いこなした高品質の治療が提供できるようスタッフ一同が日々研鑽を重ねています。
お口のことで気になることがあれば、一度こころ歯科クリニックに相談してみてはいかがでしょう。
特徴1 骨量が少ない難症例にも対応

インプラント治療には高度な治療技術が求められ、顎骨の量が少ないといった症例においてはより高度な手術が求められます。
こころ歯科クリニックにてインプラントの治療を担当する青戸院長は、口腔インプラント学会における専修医の資格を有しており、インプラント治療において豊富な知識と治療経験を持っています。
サイナスリフトやソケットリフトなど、インプラントを埋入するうえで足りない骨を補うための外科手術にも対応しているので、顎骨が少ない方でもインプラントによる治療が受けられるでしょう。
また、ショートインプラントも導入されており、顎骨が少ない方でも「骨を補うための手術」を避けた治療をおこなえる可能性があります。
セカンドオピニオンを受け付けているので、すでに他院で受診されている方も一度「こころ歯科クリニック」にてインプラント治療の相談をしてみてはいかがでしょう。
特徴2 失った複数の歯を補完するインプラント治療

「失った片顎全部の歯をインプラントで治療したいけど費用が心配」
このような不安を抱えている方は少なくないと思います。
こころ歯科クリニックでは、少ない本数のインプラントで片顎すべての歯を補える治療法に対応しているため、失った歯1本1本をインプラントで治療するよりも、費用をおさえたうえで治療がおこなえるでしょう。
具体的な治療法として「オールオン4」や「インプラントオーバーデンチャー」などが挙げられます。
オールオン4は、4本のインプラントで奥歯から前歯まで連結された人工歯を支える治療法です。
人工歯とインプラントがしっかりと固定されているため、人工歯が外れる心配はありません。
これに対して、複数のインプラントと入れ歯を組みわせた治療法がインプラントオーバーデンチャーです。
自分で入れ歯の取り外しが可能なため、お手入れがしやすい点が特徴です。
「オールオン4」と「インプラントオーバーデンチャー」それぞれに特徴があり、ご自身に適した治療法の選択がおこなえるよう、まずはこころ歯科クリニックに相談してみてはいかがでしょう。
特徴3 院内技工で素早く精密な歯を作製

一般的に被せ物や入れ歯などの作製は外部の技工所に依頼するケースが多いですが、こころ歯科クリニックでは院内に技工所が併設されています。
外部の技工所とのやりとりや技工物の運搬といった工程が不要となり、被せ物や入れ歯などをスムーズに作製することができます。
また、歯科医師立会いのもと技工士が患者さんのお口の中を直接確認でき、要望も直接聞くことができるため、より一人一人に合った被せ物や入れ歯の作製が可能です。
医院に在籍している技工士は35年以上のキャリアがある経験豊富な技工士なので、色見や形の微調整も質高くおこなってもらえるでしょう。
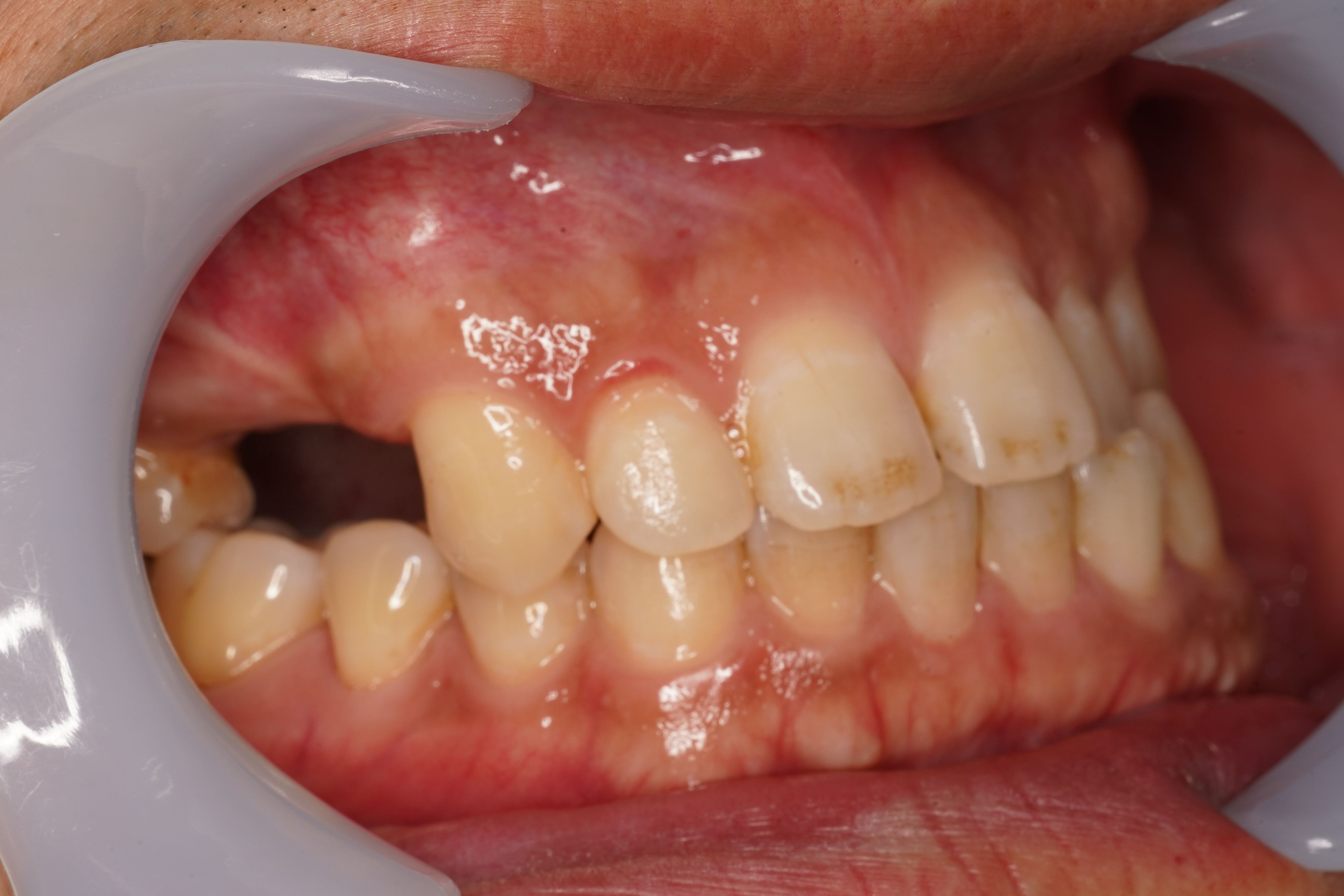
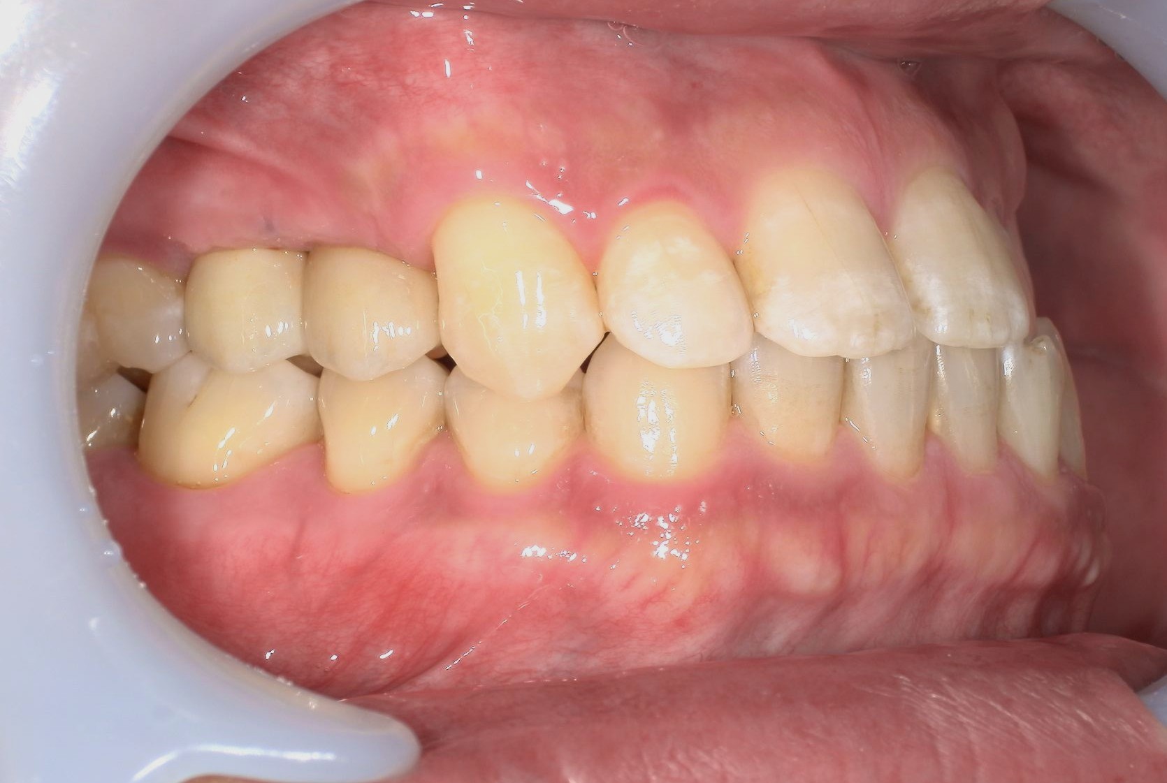
症例1
Before
After
患者さんの年齢/性別 | 40代/女性 |
|---|---|
主訴 | 審美障害を主訴に来院 |
治療内容 | 左上1番部をインプラントで治療 |
治療期間/治療回数 | 4ヵ月/10回 |
費用 | 30万円 |
副作用・リスク | インプラント手術後に痛みや腫れなどをともなうことがあります。 |
設備
歯科用CT

歯科用CTを用いることで、従来のレントゲンでは確認できなかった、歯と顎骨の位置関係や構造などを把握することができます。
口腔内スキャナー

専用の小型カメラで口内をスキャンすることで、印象採取がおこなえる機器です。口腔内スキャナーを活用することで従来の印象材による歯型作成が不要となります。
オペ室

インプラントといった高度な治療をおこなう専用のオペ室です。
インプラント手術シミュレーションシステム

歯科用CTで得たデータをもとに、事前にコンピューター上でインプラント手術のシミュレーションができるシステムです。
CAD/CAMシステム

セラミック製の技工物の設計・作製をおこなえるシステムです。コンピューターを用いて設計から作製までおこなうため、精密な技工物の作製が可能となります。
高圧蒸気滅菌器

高温高圧の環境で医療器具に付着した細菌やウイルスなどを殺菌処理する機器です。
インプラントに関わる費用
インプラント1本 | 330,000円 |
|---|---|
サイナスリフト | 330,000円 |
オールオン4 | 220万円~ |
※これらは保険が適用されない自費診療です。
※金額は全て税込表示です。
お支払いについて
こころ歯科クリニックでは、以下の方法でお支払いが可能です。
※お支払い方法の詳細は医院へお問い合わせください。
●現金
●クレジットカード
●デンタルローン
インプラントは医療費控除の対象のため、活用することでいくらかの治療費が返ってきます。ぜひ活用しましょう。
<関連記事>
【年収別】インプラントで医療費控除を使ったらいくら戻ってくる?申請方法も解説
歯科医師紹介

青戸 光紀
経歴
2000年 福岡歯科大学 卒業 2003年 日本歯科研修研究協会(Japan Postgraduate Dentistry) 認定医 2006年 こころ歯科クリニック 開院 2006年 日本補綴歯科学会 2006年 日本歯周病学会 2006年 日本臨床歯周病学会 2010年 大阪口腔インプラント研究会 100時間コース 修得 2010年 日本口腔インプラント学会 2011年 DBA 矯正コース 修得 2012年 医療法人 青心会 起業 2015年 医療法人 青心会 ラベンダー歯科 開院 2016年 医療法人 青心会 メリィハウス歯科 開院 2017年 日本口腔インプラント学会 専修医 現在に至る
所属学会・資格・スタディーグループ
日本口腔インプラント学会 専修医 日本歯科研修研究協会(Japan Postgraduate Dentistry) 認定医 日本補綴歯科学会 日本歯周病学会 日本臨床歯周病学会 大阪口腔インプラント研究会
メッセージ
基本情報
住所
〒731-3168 広島県広島市安佐南区伴南4丁目20-6
最寄駅
「大塚駅」より車で約7分
診療時間
月~金:9:00~13:00/14:30~18:30 土曜:9:00~13:00/14:30~17:00 日・祝:休診日
電話番号
0120-13-5988
2. トリプルエープラスデンタルクリニック(広島駅)PR

累計4,000本以上の実績|あらゆる症例のインプラント治療に対応
広島市東区、広島駅から車で約5分の場所に医院を構える「トリプルエープラスデンタルクリニック」。
同院はこれまでに累計4,000本以上(2002年/4月〜2022年/12月)という豊富なインプラント埋入実績を持つ歯科医院です。
多くの症例に対応してきた経験に基づき、難しい症例においてもそれぞれの状況に合わせた治療計画を立ててもらえます。
患者さんとのコミュニケーションを重視しており、患者さんの立場に立った丁寧なカウンセリングが受けられるでしょう。
また、治療して終わりではなく、一人ひとりの口内環境に合わせたメンテナンスプランを提案してもらえるため、治療後も安心してケアを任せられます。
万が一のための保証制度(10年)も設けられており、インプラントに問題が生じた場合でも安心でしょう。
セカンドオピニオンも受け付けているので、現在の診断内容や治療計画に対する専門的な意見を聞くことができます。
インプラント治療を検討されている方は、一度相談してみてはいかがでしょう。
特徴1 指導医の高い専門性とデジタル技術で実現する高水準なインプラント治療

インプラント治療は高度な診断力と技術が求められる治療であり、担当医の経験や専門性などによって、仕上がりの精度や長期的な安定性が大きく変わるため医師選びがとても重要です。
トリプルエープラスデンタルクリニックでは、ICOI(国際インプラント学会)や日本口腔インプラント学会における指導医の資格を有する院長が治療を担当。
他の歯科医師にインプラント治療を指導する立場のドクターであり、確かな専門性のもと一般的な症例はもちろん、骨が足りないといった難症例にも対応してもらえるでしょう。
また、高い専門性と豊富な治療経験をもつドクターがいながらも、より精度の高い治療がおこなえるよう、デジタル技術を積極的に活用している点も見逃せません。
手術に際しては、事前のCT検査等で得たデータをもとに作成した「サージカルガイド」と呼ばれるマウスピース型の支援装置を使用。
このガイドを活用することで、事前にコンピューター上でシミュレーションしたとおりの位置や角度でインプラントを埋入できるようになるのです。
インプラントに精通したドクターの熟練の技術とデジタル技術が合わさった、精度の高い高水準な治療が期待できるでしょう。
特徴2 歯がボロボロな方・総入れ歯に悩む方へ|噛める喜びを取り戻すインプラント治療(オールオン4)

トリプルエープラスデンタルクリニックでは、歯周病や虫歯によって歯がボロボロになってしまった方、あるいは総入れ歯の不安定さに悩む方に向けたインプラント治療(オールオン4)をおこなっています。
オールオン4は最少4本のインプラントで片顎分の歯を全て補うことができる治療法です。
通常、多くの歯を失ってしまった方や総入れ歯の方のインプラント治療では、8本以上のインプラントを入れる必要がりますが、オールオン4であれば最少4本のインプラントで済みます。
必要なインプラントの本数を抑えられるため、手術による身体的な負担や、治療にかかる費用を軽減できるのが特徴です。
インプラントで歯をしっかりと支えるため、総入れ歯よりもしっかりと噛むこともできます。
条件が整えば手術当日に固定式の仮歯を装着できるため、口元の見た目も早期に回復させられます。
オールオン4は、骨が十分にある箇所を選んでインプラントを入れるため、顎の骨が少ないケースでも大掛かりな骨造成手術なしで対応できる場合が多く、これまで「インプラントは難しい」とされていた方にも適応の可能性があります。
インプラント治療を諦めていた方も、一度トリプルエープラスデンタルクリニックで相談してみてはいかがでしょう。
特徴3 【厳選されたインプラント体のみ使用】患者さん一人ひとりに合わせたインプラントを選定

トリプルエープラスデンタルクリニックでは、質の高いインプラント治療を提供するため、ドクターの技術だけでなく「体内に埋め込むインプラント体の品質」にも徹底したこだわりを持っています。
同院で採用されているインプラントは、日本の厚生労働省から認可を受けた製品のみです。
世界的なシェアを誇り、長年の臨床データによって安全性が裏付けられた「ストローマン」や「ノーベルバイオケア」といったメーカーのインプラントを採用。
患者さんによって骨の硬さや量などの口内環境は異なるため、 特定のメーカーのみを使用するのではなく、複数のラインナップからその方の状態に適したインプラントを選定してもらえます。
金属アレルギーへの懸念がある方には、アレルギー反応のリスクが少ないインプラントも用意されているようです。
体の一部として長く機能するものだからこそ、素材選びに一切の妥協を許さない同院の姿勢は、患者さんにとって大きな安心材料と言えるでしょう。
症例1
Before

After

患者さんの年齢/性別 | 30代/男性 |
|---|---|
主訴 | 歯がないところがある |
治療内容 | 右上小臼歯部分にインプラント治療を行った |
治療期間/治療回数 | 3ヵ月/5回 |
治療費用 | 1,111,000円 |
副作用やリスク | 上顎洞の炎症 |
設備
3DCT

歯やあごの骨を立体的に撮影できる歯科用CT装置です。従来のレントゲンでは平面的にしか見えなかった部分を立体画像として確認できます。
インプランター

インプラント手術時にインプラントを患者さんの顎の骨に埋め込むための機器です。
生体情報モニター

手術中に患者さんの全身の状態を継続的に管理できる機器です。体調に異変があれば迅速に対応できるようになります。
高圧蒸気滅菌器(クラスB)

ヨーロッパの厳格な基準を満たした滅菌器です。治療器具の表面や内部を徹底的に滅菌処理できます。
口腔外バキューム

治療中に飛び散る粉じん・唾液・血液などを、患者さんの口の外で吸い取る強力な吸引装置です。診療室を清潔な状態に保つために用いられます。
インプラントに関わる費用
インプラント本体の種類 | |
|---|---|
ストローマンインプラント | 352,000円 |
被せ物の種類 | |
|---|---|
白い被せ物 | |
審美ジルコニアクラウン | 220,000円 |
メタルボンドクラウン | 165,000円 |
フルジルコニアクラウン | 165,000円 |
ハイブリッドクラウン | 110,000円 |
金属の被せ物 | |
ゴールドクラウン | 165,000円 |
硬質レジンクラウン | 66,000円 |
初回カウンセリング | 無料 |
|---|---|
セカンドオピニオン | 33,000円 |
CT診断料 | 5,500円 |
インプラント本体 | 275,000円~352,000円 |
セラミック冠 | 175,000円~220,000円 |
抜歯即時埋入 | 110,000円~220,000円 |
ソケットリフト | 110,000円~220,000円 |
サイナスリフト | 220,000円~440,000円 |
スプリットクレスト手術 | 110,000円~330,000円 |
GBR法 | 110,000円~550,000円 |
静脈鎮静法 | 220,000円~550,000円 |
オールオンフォー | 1,750,000円~5,500,000円 |
※インプラントによる治療は保険が適用されない自費診療です。
※金額は全て税込表示です。
お支払いについて
トリプルエープラスデンタルクリニックでは、以下の支払い方法に対応しています。
※詳細は医院へお問い合わせください。
●現金
●クレジットカード
●デンタルローン
インプラントによる治療は医療費控除の対象です。
医療費控除を使用することで治療費の一部が返ってくるので、ぜひ活用しましょう。
<関連記事>
【年収別】インプラントで医療費控除を使ったらいくら戻ってくる?申請方法も解説
歯科医師紹介

辻󠄀野 哲弘
経歴
昭和63年 広島大学歯学部卒業 平成4年 広島大学歯学部大学院卒業 平成4年~平成9年 広島大学歯学部助手 平成8年 文部省在外研究員としてロンドン大学へ派遣 平成9年~平成11年 三菱三原病院 歯科口腔外科医長 平成11年~平成12年 広島大学歯学部助手 平成12年~ 開業医勤務 平成14年4月 トリプルエープラスデンタルクリニック開業
所属学会・資格・スタディーグループ
歯学博士(口腔外科学・広島大学歯学部大学院) ICOI(国際インプラント学会)(Diplomate) 日本口腔外科学会会員 日本口腔インプラント学会 指導医
メッセージ
基本情報
住所
〒732-0066 広島市東区牛田本町4丁目1-7 サドラーズウェルズ2F
最寄駅
広島駅から車で5分
診療時間
月・火・木・金:9:30~13:00/14:30~18:30 土:9:30~13:30/15:00~17:00 日:インプラント手術のみ 水・日・祝:休診日
電話番号
0120-827-587
3. 広島タワー歯科・矯正歯科(広島駅)

医院紹介
「広島駅」新幹線口から徒歩で約2分の場所に位置する「広島タワー歯科・矯正歯科」。
「患者さんと歯科医師は対等である」という考えのもと、対話を重視した診療が特徴です。
幅広い診療に対応しており、インプラント治療は医院が注力している診療のひとつといえるでしょう。
インプラントの埋入手術においては、より安全かつスムーズに手術がおこなえるよう、衛生管理の徹底されたインプラント専用のオペ室でおこなわれます。
また、手術を担当するドクターは日本口腔インプラント学会における口腔インプラント専門医の資格を持つドクターです。
確かな技術を持つドクターから一人一人の状態や要望に合わせた治療が受けられます。
医院の詳細については公式ホームページを参考にしてください。
設備
◆歯科用CT
◆オペ室
◆口腔内スキャナー
◆マイクロスコープ
対象を数十倍に拡大して観察することができる機器です。肉眼や拡大鏡などでは確認できない細かな部分まで観察できるようになり、より精密な治療が可能となります。
特徴1 ガイディッド・サージェリー使用した精密なインプラント治療

ガイディッド・サージェリーとは、CT撮影で得たデータをもとに作製されたマウスピース状のテンプレートのことです。
CTデータをもとにコンピューター上でシミュレーション手術をおこなったうえでテンプレートが作製されるため、テンプレートを活用することで手術の精度が高まります。
また、テンプレートを活用することで歯肉を剥離する必要がなくなるため、術後における患部の腫れや痛みなども少なく済むでしょう。
インプラントに関わる費用
インプラント本体 | 27.5万円 |
|---|---|
骨造成術 GBR | 11万〜22万円 |
骨造成術 サイナスリフト | 22万円 |
骨造成術 ソケットリフト | 8.8万円 |
骨造成術 スプリットクレスト | 8.8〜9.9万円 |
笑気麻酔 | 1万6千5百円 |
静脈鎮静麻酔 | 11万円 |
上部構造 オールセラミック(前歯) | 18.7万円 |
上部構造 オールセラミック(臼歯・ジルコニア) | 16.5万円 |
※これらは保険が適用されない自費診療です。
※金額は全て税込表示です。
お支払いについて
広島タワー歯科・矯正歯科では、以下の支払い方法に対応しています。
※詳しい内容は医院へお問い合わせください。
●現金
●クレジットカード
●デンタルローン
基本情報
住所
〒732-0053 広島県広島市東区若草町11−2 グランアークテラス 3F
最寄駅
「広島駅」新幹線口から徒歩で約2分
診療時間
月・火・水・金・土:9:30-13:00/14:00-18:30 土曜:9:30-13:00/14:00-18:00 木・日・祝:休診日
電話番号
082-568-8300
4. 川添歯科クリニック(古市橋駅)

医院紹介
JR可部線の古市橋駅より徒歩ですぐの場所に位置する「川添歯科クリニック」。
医者本位にならず患者さんに「寄り添う」ことをなによりも重要視されており、患者さん目線を大切にした治療の提案をされています。
一人一人異なるライフスタイルや体質などを考慮したうえで、オーダーメイドな治療プランを計画してもらえるでしょう。
さまざまな診療のなかでもインプラント治療に注力されており、痛みや不安に配慮した治療、早く治療を終わらせたい方に向けた短期治療など、幅広い治療法に対応されています。
川添歯科クリニックでインプラントの治療を受けようと、他県や海外から患者さんが来院されることもあるようです。
医院の詳細は公式ホームページを参考にしてみてください。
設備
◆歯科用CT
◆手術室
◆技工室
被せ物や詰め物などの技工物を作製するために使われる専用の技工士です。
特徴1 日本歯科麻酔学会の歯科麻酔指導医による麻酔法

川添歯科クリニックでは、患者さんの希望に応じて歯科麻酔指導医による静脈内鎮静を施してからインプラント手術をおこなっています。
静脈内に点滴で鎮静剤を投与することによって、患者さんはウトウトと眠ったような感覚のなか治療を受けることができます。
インプラント手術に対して不安や恐怖がある方には静脈内鎮静法を用いた手術がおすすめです。
インプラントに関わる費用
フィクスチャー(人工歯根部) | 1本:198,000円(CT撮影・プラズマ処理費用を含む) |
|---|---|
アバットメント(上部構造の支台) | 33,000円(必須) |
GBR(骨誘導再生法) | 55,000円(必要な場合) |
インプラント表面のプラズマ処理 | 当院では全てのインプラントのプラズマ処理を行って手術しています。 |
CT撮影およびCT分析料 | インプラント手術費用に含まれます。 |
静脈内鎮静法(保険適用外) | 88,000円(希望される場合) |
骨造成(顎の骨を増やす手術) | 55,000円~(必要な場合) ※骨の再生量により費用は異なります。 |
診断用ワックスアップ (多数歯の治療の場合) | 110,000円 |
ジルコニアオールセラミッククラウン | 132,000円~ |
※これらは保険が適用されない自費診療です。
※金額は全て税込表示です。
お支払いについて
川添歯科クリニックでは、以下の方法でお支払いが可能です。
※詳細は医院へお問い合わせください。
●現金
●クレジットカード
●デンタルローン
基本情報
住所
〒731-0123 広島県広島市安佐南区古市3丁目4−16
最寄駅
JR可部線の古市橋駅より徒歩ですぐ
診療時間
月・火・木・金:9:00~13:00/14:00~18:00 水・土:9:00~13:00/ 日・祝・休診日
電話番号
082-879-2233
5. えみたす歯科・矯正歯科(楽々園駅)

医院紹介
「楽々園駅」より徒歩で約1分の場所にある「えみたす歯科・矯正歯科」。
平日は夜20時まで診療しており、イオンタウン楽々園の共同駐車場を利用できるため、通いやすい環境が整っているといえるしょう。
「通院回数を抑えた治療」や「痛みに配慮した治療」など、患者さんの負担をできる限り軽減できるようさまざまなプランが用意されています。
診療においては一般歯科から高度なスキルが求められるインプラント治療まで幅広く対応されているようです。
院長の増本先生は、東京や神奈川の歯科医院でインプラント治療に関する研鑽を積み、国際口腔インプラント学会における認定医の資格も有しています。
確かな技術を持ったドクターが、患者さん一人一人に合わせた治療を提供しています。
より詳しい医院の内容については公式ホームページを参考にしてみてください。
設備
◆歯科用CT
◆オペ室
◆口腔内スキャナー
◆マイクロスコープ
◆拡大鏡
歯を拡大してみることができる虫眼鏡のような機器です。肉眼では見落としてしまう部分も確認できるようになります。
特徴1 抜歯とインプラントの埋入を同時に実施する治療法

えみたす歯科・矯正歯科では、抜歯をともなうインプラント治療において、抜歯とインプラントの埋入を同時に実施する治療法(抜歯即時埋入)を用いています。
※抜歯即時埋入は症例によっては適用できない可能性があります。
抜歯をした際の穴にインプラントを埋入するので、歯茎の切開や剥離をしない治療法です。
そのため、治療後の患部における痛みや腫れを抑えやすい特徴があります。
インプラントに関わる費用
インプラント体 | ¥275,000 |
|---|---|
えみたすセラミック上部構造 | ¥165,000 |
えみたすプレミアムセラミック上部構造 | ¥275,000 |
えみたすポンティック | ¥165,000 |
えみたすプレミアムポンティック | ¥275,000 |
抜歯即時埋入術 | ¥33,000 |
※これらは保険が適用されない自費診療です。
※金額は全て税込表示です。
お支払いについて
えみたす歯科・矯正歯科では、以下のお支払い方法が可能です。
※お支払い方法の詳細は医院へお問い合わせください。
●現金
●クレジットカード
●デンタルローン
基本情報
住所
〒731-5136 広島県広島市佐伯区楽々園4−14−25イオンタウン楽々園2F
最寄駅
楽々園駅から徒歩で約3分
診療時間
月~金:10:00~13:00/15:00~20:00 土・日:10:00~18:00 祝日:休診日
電話番号
082-208-0930
6. レイラニデンタルサロン・矯正歯科(八丁堀駅)

医院紹介
レイラニデンタルサロン・矯正歯科は広電本線「八丁堀駅」より徒歩で約5分の場所に位置する歯科医院です。
質高く安全性にも十分に配慮した治療がおこなえるよう、歯科用CTやマイクロスコープをはじめとした医療用の機器が備えられているようです。
歯・身体に配慮したメタルフリーな歯科治療や、健康長寿の達成を目指す「アンチエイジング」医学の考えを導入しており、口腔の健康維持と美の創造を両立した治療の提供に尽力されています。
インプラント治療においては、国際インプラント学会の認定医である理事長が施術にあたります。
国内外で長年研鑽を積んできた経験豊富な理事長による治療が受けられ、カウンセリングからアフターケアまで質の高いサポートが受けられるでしょう。
医院のより詳しい内容については公式ホームページを参考にしてみてください。
設備
◆歯科用CT
◆口腔内スキャナー
◆マイクロスコープ
特徴1 歯周病学会の認定歯科衛生士が在籍

インプラント治療においては、最終的な上部構造(人工歯)を装着した後の定期的な歯科医院でのケアが非常に重要です。
ケアを怠ればインプラント周囲炎というインプラント周囲の組織が歯周病になる感染症になる恐れもあります。
レイラニデンタルサロン・矯正歯科には、歯周病の治療や予防などに関して強みを持つ歯周病学会の認定歯科衛生士が在籍しているため、治療後も感染症を考慮したケアが受けられるでしょう。
インプラントに関わる費用
インプラント体 | 308,000円 |
|---|---|
アバットメント | 82,500円 |
オールオンフォー Sクラス | 3,520,000円~ |
オールオンフォー Aクラス | 1,980,000円~ |
吸収性メンブレン法 | 60,000円~ |
オープンバリアメンブレン法 | 80,000円~ |
ソケットリフト | 55,000円 |
遊離歯肉移植 | 88,000円 |
結合組織移植 | 110,000円 |
ハンドメイドセラミッククラウン | 176,000円 |
セラミッククラウン | 132,000円 |
ゴールドクラウン | 154,000円 |
メタルクラウン | 55,000円 |
※これらは保険が適用されない自費診療です。
※金額は全て税込表示です。
お支払いについて
レイラニデンタルサロン・矯正歯科では、以下の方法で支払いが可能です。
※支払い方法の詳細は医院へお問い合わせください。
●現金
●クレジットカード
●デンタルローン
●電子マネー
基本情報
住所
〒730-0034 広島県広島市中区新天地5-16 アーバス並木 3F
最寄駅
八丁堀駅より徒歩で約5分
診療時間
火~土:9:00~13:00/14:00~18:00 月・日・休診日
電話番号
082-569-8255
インプラント治療について
インプラント治療とは?
インプラント治療は、失った歯を補うための治療法です(※公的医療保険が適用されない自由診療です)。
歯を失った顎の骨にインプラント体を埋入し、そのインプラント体を土台に被せ物をすることで失った歯を補完します。
インプラントの構造やメリット・デメリットなどについてはこちら
治療の流れ
下記、一般的な治療の流れです。
※あくまでも一般的な流れであり、下記とは異なる流れで治療がおこなわれることもあります。
【二回法の場合】
1.カウンセリング
2.検査・治療計画の策定
3.骨造成や骨移植(ケースによっては不要)
4.一次手術(インプラントの埋入)
5.待機期間(人工歯根と顎骨の結合待ち)
6.二次手術(アバットメントの取付)
7.型取り
8.上部構造を装着して完了
※その後は定期的にメンテナンスを受ける必要がある
【一回法の場合】
1.カウンセリング
2.検査・治療計画の策定
3.骨造成や骨移植(ケースによっては不要)
4.インプラント埋入手術
5.待機期間(人工歯根と顎骨の結合待ち)
6.型取り
7.上部構造を装着して完了
※その後は定期的にメンテナンスを受ける必要がある
治療期間や通院回数の目安
治療期間:3ヵ月~1年程度
通院回数:8~10回程度
※具体的な治療期間や通院回数は、患者さん1人ひとりの口腔状態や要望、治療内容などによって異なります。
想定されるリスク・副作用
下記、インプラント治療で想定されるリスク・副作用です。
・神経や血管を傷つけて感覚麻痺が起きる
・患部に腫れ、痛み、違和感が生じる
・患部から出血する
・顔や首などに内出血斑が出る
・チタンアレルギーが起きる
・上顎にインプラント体を埋入する際、上顎洞を破る
・インプラント体と顎骨が上手く結合しない
・インプラント周囲炎になる
Medee歯科検索は、おすすめしたい歯医者を掲載しています。
駅、行政区、診療時間、歯科医院の特徴、診療科目など豊富な検索メニューで歯科医院を検索可能。
また歯科医院のWebサイトはもちろん各種予約ツールも利用することが可能で、より簡単に歯科医院を探すことができます。
新着記事

【2025年】神奈川県でブルーラジカル対応のおすすめしたい歯科医院6選

【2025年】札幌市西区でインプラント治療におすすめな歯科医院5選

【2025年】北新地駅でインプラント治療におすすめしたい歯科医院5選

【2025年】堺市でセカンドオピニオン対応のインプラント治療におすすめしたい歯科医院5選

【2025年】東京都でラミネートベニア対応のおすすめしたい歯科医院10選
関連する記事

【2025年】札幌市西区でインプラント治療におすすめな歯科医院5選

【2025年】北新地駅でインプラント治療におすすめしたい歯科医院5選

【2025年】堺市でセカンドオピニオン対応のインプラント治療におすすめしたい歯科医院5選

【2025年】岡山市でオールオン4おすすめしたい歯科医院5選

【2025年】姫路市でインプラント治療のセカンドオピニオンにおすすめしたい歯科医院5選

【2025年】港区でオールオン4対応のおすすめしたい歯科医院5選

【2025年】岐阜県でオールオン4対応のおすすめしたい歯科医院5選

【2025年】豊橋市でインプラント治療におすすめしたい歯科医院7選

東京都で骨造成対応のインプラント治療におすすめしたい歯科医院5選

【2025年】大垣市でインプラント治療におすすめしたい歯科医院5選

【2025年】安曇野市でインプラント治療におすすめしたい歯科医院5選

【2025年】熊本市でインプラント治療におすすめしたい歯科医院5選

【2025年】東京都中央区で骨造成対応のインプラント治療におすすめしたい歯科医院5選

【2025年】吹田市でセカンドオピニオン対応のインプラント治療におすすめしたい歯科医院5選

【2025年】郡山市で骨造成対応のインプラント治療におすすめしたい歯科医院5選

【2025年】伊丹市でインプラント治療におすすめしたい歯科医院6選

【2025年】札幌市でオールオン4におすすめしたい歯科医院5選

【2025年】銀座でオールオン4におすすめしたい歯科医院5選

【2025年】宮崎市でインプラント治療におすすめしたい歯科医院7選

【2025年】香川県でインプラント治療におすすめしたい歯科医院7選



