【2026年】広島市で歯がボロボロな人向けの治療におすすめしたい歯科医院4選
2026/3/16
2026/5/14
#歯がボロボロ

ボロボロになった歯を治療しようと考えている方は、様々なことに考えを巡らせ、やっとの思いで歯科医院探しをしていることでしょう。
ただ、「失敗したくない」「信頼できる場所で治療を受けたい」などから、どの歯科医院で治療を受けるべきか悩むことも多いと思います。
そこで本記事では、お口全体を根本から治す治療への対応力や痛みへの配慮・取り組みなど様々な観点をもとに、ボロボロな歯の治療におすすめしたい歯科医院をご紹介しております。
ボロボロな歯の治療を安心して任せられる歯科医院をお探しの方は、ぜひ本記事で紹介している歯科医院を参考にしてみてください。
※2026年4月時点におけるMedee編集部の調査データとなります。
<関連記事>
【2026年】広島市でインプラント治療におすすめしたい歯科医院6選
【2026年】広島市で歯がボロボロな人向けの治療におすすめしたい歯科医院4選
1. トリプルエープラスデンタルクリニック(広島市東区)

ボロボロな歯でも残す治療から失った歯を補う治療まで高品質な治療で一貫して対応
広島市東区、広島駅から車で約5分の場所に位置する「トリプルエープラスデンタルクリニック」。
同院は患者さん目線の自費治療を提供する歯科医院であり、歯がボロボロな状態でも決して否定せず、患者さんの不安に寄り添う真摯な姿勢を大切にされています。
虫歯や歯周病などが進行して「手の施しようがない」と思えるようなケースでも、歯科用CTをはじめとした精密機器を駆使した検査のもと、歯を残すための治療を最優先で模索。
抜歯が必要と判断される場合であっても、インプラントや入れ歯など患者さんの口腔状態や要望に合わせた、自費診療ならではの質の高い治療をおこなうことができます。
同院では虫歯や歯周病によって多くの歯を失ってしまった方からの相談実績も豊富であり、ボロボロな歯といった複雑で困難な症例においても、安心感を持って治療を委ねることができるでしょう。
特徴1 ボロボロな歯の難症例にも対応する豊富なインプラント治療の選択肢

インプラント治療を考える際に、「ボロボロな歯でもインプラント治療ができるのだろうか」と、治療の可否そのものに不安を感じている方は少なくありません。
トリプルエープラスデンタルクリニックでは、日本口腔インプラント学会指導医が在籍しており、一般的なインプラント治療だけでなく、ボロボロな歯のインプラント治療といった難症例にも対応。
インプラントを入れるための骨が足りないケースでも、不足した骨を補う骨造成手術を併用することで、インプラント治療を可能にしています。
また、ほとんどの歯がボロボロになり、お口全体を治療したい方には、片顎最少4本のインプラントで全ての歯を補える「オールオン4」を提案することもできます。
従来の手法に比べてインプラントの本数が少なく済むため、経済的負担・身体的負担を抑えた治療が可能です。
指導医としての確かな知見や技術のもと、骨造成やオールオン4といった幅広い選択肢を揃えている同院は、ボロボロな歯をインプラント治療したいと望む方にとって非常に心強い存在といえます。
特徴2 事前の検査から術後まで安全性にこだわったインプラント治療
.jpg)
インプラントでの治療を受けるうえで、ほとんどの方が「失敗のない安全な治療が受けられるか」と不安を抱くことでしょう。
特にボロボロになったお口に複数本のインプラントを入れるともなれば、安全性が気になるのは当然のことと言えます。
こうした背景を踏まえ、トリプルエープラスデンタルクリニックでは安全性にこだわったインプラント治療を提供しています。
まず治療に先立ち、デジタル技術を駆使した精密な検査を実施。肉眼では捉えきれない神経や血管の走行、顎の骨の厚みまで詳細に把握したうえで、緻密な治療計画を立てています。
そして、実際に手術においてもミスのない処置がおこなえるよう、検査データをもとに作製されるマウスピース型の「サージカルガイド」と呼ばれる補助装置を活用。
歯科医師の技術や経験だけに依存しない、人為的なズレやミスを極力防いだ正確な処置を実現しています。
患者さんの体内に埋め込むインプラントについては、厚生労働省の認可を受けた安全性の高い製品のみを厳選。
治療が終わった後も長く安心して使えるよう、10年間の長期保証制度を設けている点も特徴です。
このようにトリプルエープラスデンタルクリニックでは、事前の検査から実際の手術、そして術後の手厚いサポートに至るまで、安全性にこだわったインプラント治療をおこなっています。
特徴3 経済的な負担に配慮したインプラント治療の支払い体制を整備

インプラントでの治療は保険が適用されず高額になるため、なかなか治療に踏み出せない方は多いです。
しかし、トリプルエープラスデンタルクリニックでは、治療費を分割して払えるデンタルローンに対応しており、無理のない範囲で資金計画を立てられる体制を整えています。
毎月決められた額を少しずつ分割で支払う方法のため、一度にまとまった出費をすることなく経済的負担を抑えながら治療を始めることができます。
また、同院では複数のデンタルローン(ジャックス・アプラス・スルガ銀行・エポス)を用意しており、患者さんの支払い能力に合わせたローンを選ぶことが可能です。
ボロボロな歯をオールオン4などで治療するとなれば高額な治療費がかかりますが、こうしたデンタルローンを活用することで月々の支払いを少額に設定できるため、オールオン4での治療も検討しやすくなるでしょう。
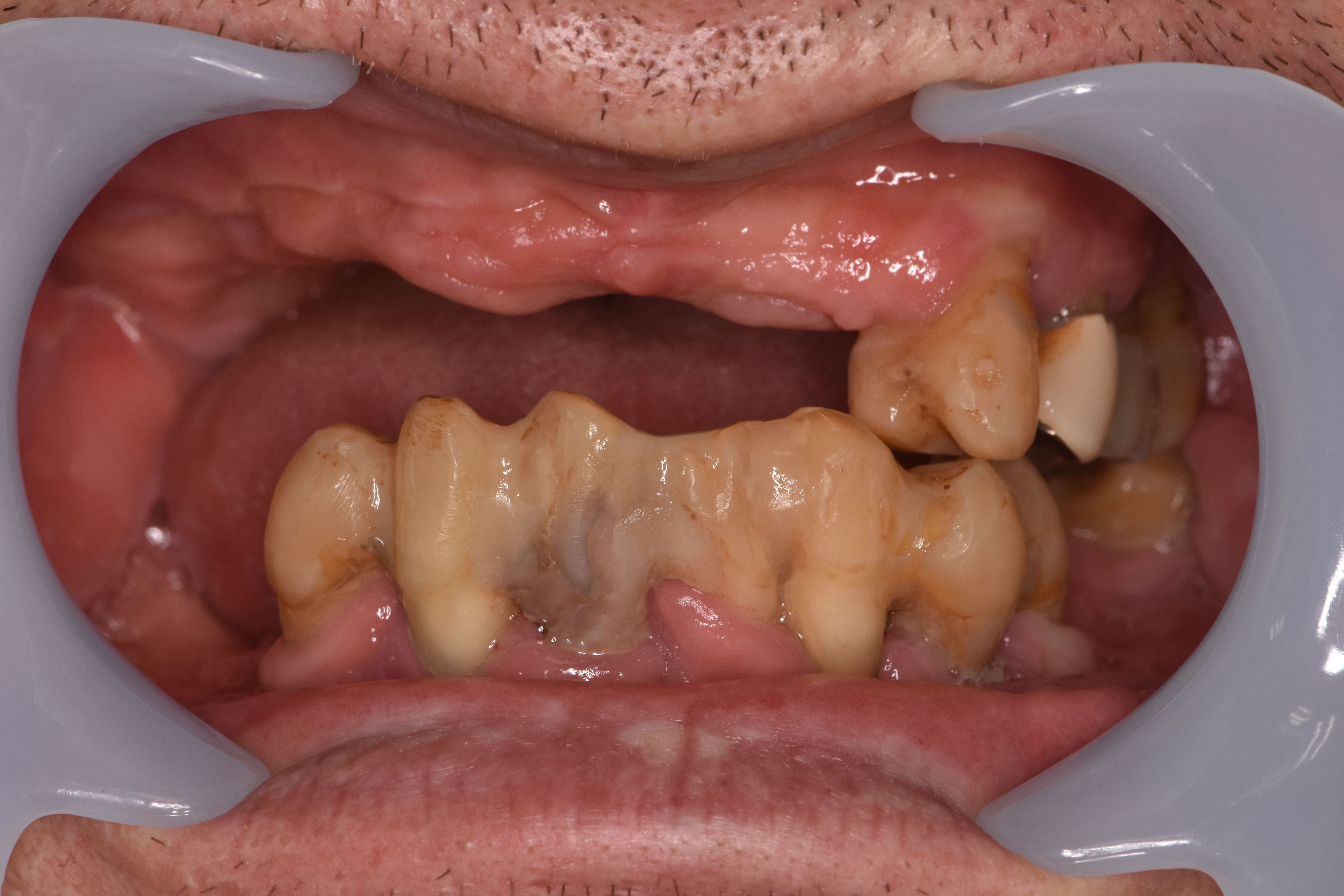
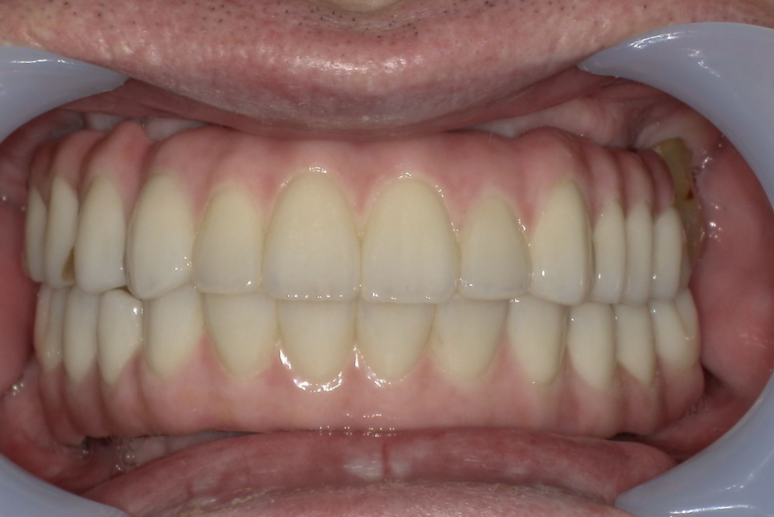
症例1
Before

After

患者さんの年齢/性別 | 50代/男性 |
|---|---|
主訴 | 食事ができない |
治療内容 | 複数歯の欠損におけるインプラント治療 |
治療期間/治療回数 | 1年と2ヵ月/22回 |
治療費用 | 8,900,000円 |
副作用やリスク | 術後感染、顎関節症 |
設備
3DCT

歯やあごの骨を立体的に撮影できる歯科用CT装置です。従来のレントゲンでは平面的にしか見えなかった部分を立体画像として確認できます。
インプランター

インプラント手術時にインプラントを患者さんの顎の骨に埋め込むための機器です。
生体情報モニター

手術中に患者さんの全身の状態を継続的に管理できる機器です。体調に異変があれば迅速に対応できるようになります。
高圧蒸気滅菌器(クラスB)

ヨーロッパの厳格な基準を満たした滅菌器です。治療器具の表面や内部を徹底的に滅菌処理できます。
口腔外バキューム

治療中に飛び散る粉じん・唾液・血液などを、患者さんの口の外で吸い取る強力な吸引装置です。診療室を清潔な状態に保つために用いられます。
マイクロスコープ

歯を肉眼の数十倍にまで拡大して見ることができる歯科用顕微鏡です。肉眼だけでは捉えきることができない箇所まで詳細に把握することができ、より精密な診断・治療がおこなえるようになります。
歯がボロボロに関わる費用
インプラント本体の種類 | |
|---|---|
ストローマンインプラント | 352,000円 |
被せ物の種類 | |
|---|---|
白い被せ物 | |
審美ジルコニアクラウン | 220,000円 |
メタルボンドクラウン | 165,000円 |
フルジルコニアクラウン | 165,000円 |
ハイブリッドクラウン | 110,000円 |
金属の被せ物 | |
ゴールドクラウン | 165,000円 |
硬質レジンクラウン | 66,000円 |
初回カウンセリング | 無料 |
セカンドオピニオン | 33,000円 |
CT診断料 | 5,500円 |
インプラント本体 | 275,000円~352,000円 |
セラミック冠 | 175,000円~220,000円 |
抜歯即時埋入 | 110,000円~220,000円 |
ソケットリフト | 110,000円~220,000円 |
サイナスリフト | 220,000円~440,000円 |
スプリットクレスト手術 | 110,000円~330,000円 |
GBR法 | 110,000円~550,000円 |
静脈鎮静法 | 220,000円~550,000円 |
オールオンフォー | 1,750,000円~5,500,000円 |
部分入れ歯 | |
|---|---|
ノンクラスプ義歯 | 220,000円~440,000円 |
生体シリコン義歯 | 275,000円~495,000円 |
特殊義歯 | 550,000円~1,650,000円 |
総入れ歯 | |
|---|---|
生体シリコン義歯 | 550,000円~770,000円 |
金属床義歯 | 550,000円~1,100,000円 |
インプラントオーバーデンチャー | 880,000円~1,650,000円 |
※上記は保険が適用されない自費診療です。
※金額は全て税込表示です。
お支払いについて
トリプルエープラスデンタルクリニックでは、以下の支払い方法に対応しています。
※詳細は医院へお問い合わせください。
●現金
●クレジットカード
●デンタルローン
インプラントは医療費控除の対象のため、活用することでいくらかの治療費が返ってきます。ぜひ活用しましょう。
<関連記事>
【年収別】インプラントで医療費控除を使ったらいくら戻ってくる?申請方法も解説
歯科医師紹介

辻󠄀野 哲弘
経歴
昭和63年 広島大学歯学部卒業 平成4年 広島大学歯学部大学院卒業 平成4年~平成9年 広島大学歯学部助手 平成8年 文部省在外研究員としてロンドン大学へ派遣 平成9年~平成11年 三菱三原病院 歯科口腔外科医長 平成11年~平成12年 広島大学歯学部助手 平成12年~ 開業医勤務 平成14年4月 トリプルエープラスデンタルクリニック開業
所属学会・資格・スタディーグループ
歯学博士(口腔外科学・広島大学歯学部大学院) ICOI(国際インプラント学会)(Diplomate) 日本口腔外科学会会員 日本口腔インプラント学会 指導医
メッセージ
基本情報
住所
〒732-0066 広島市東区牛田本町4丁目1-7 サドラーズウェルズ2F
最寄駅
広島駅から車で5分
診療時間
月・火・木・金:9:30~13:00/14:30~18:30 土:9:30~13:30/15:00~17:00 日:インプラント手術のみ 水・日・祝:休診日
電話番号
0120-827-587
2. 川添歯科クリニック(広島市安佐南区)

医院紹介
JR可部線の「古市橋駅」からほど近い場所に位置する「川添歯科クリニック」は、患者さん一人ひとりに寄り添った誠実な診療を大切にしている医院です。
同院が掲げるのは、画一的な処置ではなく、それぞれのニーズや状態に合わせたオーダーメイドの治療計画を立案すること。
この方針のもと、虫歯や歯周病といった一般的な歯科診療から、専門性の高いインプラントやセラミック治療に至るまで、多岐にわたる口腔内の悩みに柔軟に応えています。
なかでも特筆すべきはインプラント治療への注力ぶりで、大手メーカーから認定を受けた経験豊富な指導員が、すべての症例を責任持って担当しています。
できるだけ早く治療を終わらせたい、痛みの少ない治療を受けたいなど、患者さんの要望に沿う治療プランの提案も可能となっているため、お口のことでお悩みならまずは相談してみてはいかがでしょう。
設備
◆歯科用CT
◆口腔内スキャナー
◆オペ室
◆技工室
◆マイクロスコープ
特徴1 ボロボロな歯をスピーディーに治す短期集中治療

重度の虫歯によってボロボロになった歯は、通常であれば完治までに何度も通院を重ねる必要があります。
しかし、多くの方にとって「少しでも早く治療を終わらせたい」というのが本音ではないでしょうか。
広島市に位置する川添歯科クリニックでは、そうした患者さまの切実な思いに応えるべく、広範囲におよぶ治療をスピーディーに進める「短期集中治療」を提案しています。
短期集中治療では1回あたりの診療時間を長めに確保することで、通常であれば複数回に分けておこなう治療をまとめておこなうことができます。
複数本の歯や複数の治療工程を同日中に進めることが可能となり、全体の通院回数を大幅に減らせるため、途中で諦めることなく最後まで通いきることができるでしょう。
さらに、このスピーディな治療を支えているのが、院内に併設された歯科技工室と常駐する歯科技工士の存在です。
外部の技工所に依頼せずに済むため、歯科医師と歯科技工士が密に連携することができ、精密な被せ物や詰め物を短期間で作成することができます。
このように川添歯科クリニックでは、十分な診療時間の確保と院内技工士との連携を活かした短期集中治療により、ボロボロな歯のお悩みを素早く改善へと導く体制が整えられています。
歯がボロボロに関わる費用
インプラント費用
フィクスチャー(人工歯根部) | 1本:198,000円(税込)(CT撮影・プラズマ処理費用を含む) |
|---|---|
アバットメント(上部構造の支台) | 33,000円(税込)(必須) |
GBR(骨誘導再生法) | 55,000円(税込)(必要な場合) |
インプラント表面のプラズマ処理 | 当院では全てのインプラントのプラズマ処理を行って手術しています。 |
CT撮影およびCT分析料 | インプラント手術費用に含まれます。 |
静脈内鎮静法(保険適用外) | 88,000円(税込)(希望される場合) |
骨造成(顎の骨を増やす手術) | 55,000円(税込)~(必要な場合) ※骨の再生量により費用は異なります。 |
診断用ワックスアップ (多数歯の治療の場合) | 110,000円(税込) |
インプラント上部の冠
ジルコニアオールセラミッククラウン | 132,000円(税込)~ |
|---|
セラミック費用
ジルコニアクラウン | 132,000円(税込) |
|---|---|
ラミネートベニア | 110,000円(税込) |
インレー | 55,000円(税込) |
※上記は保険が適用されない自費診療です。
※金額は全て税込表示です。
お支払いについて
川添歯科クリニックでは、以下の支払い方法に対応しています。
※詳細は医院へお問い合わせください。
●現金
●クレジットカード
基本情報
住所
〒731-0123 広島県広島市安佐南区古市3丁目4−16
最寄駅
JR可部線「古市橋駅」から徒歩ですぐ
診療時間
月・火・木・金:9:00~13:00/14:00~18:00 水・土:9:00~13:00 日・祝:休診日
電話番号
082-879-2233
3. 広島すとう歯科・歯周病クリニック(広島市南区)

医院紹介
JR「広島駅」より徒歩3分の場所に位置する「広島すとう歯科・歯周病クリニック」。
同院の院長は日本歯周病学会にて専門医の資格を持つドクターであり、できる限り歯の保存に努めた再治療の少ない専門的な歯科医療を提供しています。
また、歯周病に精通した歯科衛生士も在籍しているため、治療中だけでなく治療後のメンテナンスにおいても質の高い口腔ケアを受けることが可能です。
こうした専門性の高いスタッフによるチーム歯科医療にこだわりを持つ歯科医院です。
患者さんが安心して通院できるよう院内設計にもこだわりを持たれており、完全個室の診察室やカウンセリングルームが設けられ、周りの目を気にせずお口の悩みを相談することができます。
さらに、設備面だけでなくスタッフのホスピタリティも大切にしており、ボロボロな歯に関する治療の相談でも親身な姿勢でカウンセリングを実施してくれます。
患者さんの不安に寄り添いながら、まずは歯を残すことを最優先にしてもらえるため、ボロボロな歯でお悩みの方は諦める前に一度相談してみてはいかがでしょうか。
設備
◆歯科用CT
◆マイクロスコープ
◆拡大鏡
特徴1 日本歯周病学会専門医がボロボロな歯でも残すための治療を

歯を失う大きな要因のひとつとして挙げられるのが歯周病の進行です。
病状が深刻な段階に達し、いわゆる「ボロボロ」の状態になってしまうと、抜歯は避けられないと判断されることが少なくありません。
しかし、そのような厳しい状況においても、安易に抜くのではなく歯を保存し続けるためには、卓越した専門知識と長年の経験に裏打ちされた高度な技術が不可欠となります。
広島すとう歯科・歯周病クリニックには、日本歯周病学会専門医という高い専門性を持つ歯科医師が在籍しており、重症化した歯周病に対しても「可能な限り歯を残す」治療を実施。
歯周病治療に関する深い知識と高い技術力を持って診断・治療にあたるため、重度の歯周病でボロボロになってしまった歯でも抜歯をせず残せる可能性があります。
歯周病で歯を抜くしかないのかと諦める前に、一度広島すとう歯科・歯周病クリニックにて相談してみてはいかがでしょうか。
お支払いについて
広島すとう歯科・歯周病クリニックでは、以下の支払い方法に対応しています。
※詳細は医院へお問い合わせください。
●現金
●クレジットカード
●デンタルローン
基本情報
住所
〒732-0823 広島県広島市南区猿猴橋町6-34-1 カープロードクリニックビル5F
最寄駅
JR「広島駅」より徒歩3分
診療時間
月・火・水・金:10:00~13:00/14:00~18:30 土:10:00~13:00/14:00~18:00 木・日・祝:休診日
電話番号
082-567-8020
4. レイニラデンタルサロン(広島市中区)

医院紹介
八丁堀駅から徒歩で5分の場所に位置する「レイニラデンタルサロン」。
同院では単に目の前のトラブルを解消するだけでなく、口腔内全体を一つの単位として捉え、全身の健康状態とのつながりも考慮した包括的なアプローチを重視しています。
なぜその症状が現れているのか根本的な原因を突き止め、お口全体の調和を整えながら解決を図るスタイルは、ボロボロな歯で悩む方にとっても大きな安心感につながるはずです。
また、治療における痛みへの不安や負担を和らげるための工夫も徹底。
表面麻酔の使用や麻酔液の温度調節など、痛みを最小限に抑えるための処置を段階的に取り入れているため、リラックスして通院を続けられる環境が整っています。
こうした痛みへの配慮や根本改善に妥協しない姿勢は、ボロボロな歯の治療を任せられる信頼感につながるでしょう。
設備
◆歯科用CT
◆マイクロスコープ
◆口腔内スキャナー
特徴1 ボロボロな歯をきれいでしっかり噛める歯へと治療するオールオン4

重度の虫歯や歯周病で多くの歯を失った場合、入れ歯による治療が一般的な選択肢として挙げられます。
しかし、入れ歯には「食事でガタついて痛む」「硬いものを噛めない」といった不満がつきまとい、日々の心理的ストレスにつながるケースが少なくありません。
こうした悩みを解消し、ご自身の歯に近い感覚を取り戻す選択肢として、レイニラデンタルサロンでは「オールオン4」によるインプラント治療に対応しています。
オールオン4は、最少4本のインプラントで片顎分の歯を補う固定式の歯を支える治療法です。
きれいな歯をインプラントでしっかりと固定するため、美しい見た目はもちろん、硬い物でも噛める機能性も取り戻すことができます。
さらに、使用するインプラントの埋入本数が従来の手法よりも少なく済むことから、患者様の経済的負担を軽減しつつ治療に臨める点も大きな魅力となっています。
歯がボロボロに関わる費用
カウンセリング
初回カウンセリング | 無料 |
|---|---|
CT検査 | 無料 |
インプラント手術
インプラント体 | 308,000円 |
|---|---|
アバットメント | 82,500円 |
オールオンフォー Sクラス | 3,520,000円~ |
オールオンフォー Aクラス | 1,980,000円~ |
吸収性メンブレン法 | 60,000円~ |
オープンバリアメンブレン法 | 80,000円~ |
ソケットリフト | 66,000円 |
サイナスリフト | 片顎 275,000円 |
遊離歯肉移植 | 88,000円 |
結合組織移植 | 110,000円 |
上部補綴物(被せ物)
ハンドメイドセラミッククラウン | 184,800円 |
|---|---|
セラミッククラウン | 140,800円 |
ゴールドクラウン | 時価 |
メタルクラウン | 63,800円 |
インプラント上部構造は、上記の補綴物からお選びいただきます。
※インプラントによる治療は保険が適用されない自費診療です。
※金額は全て税込表示です。
お支払いについて
レイニラデンタルサロンでは、以下の支払い方法に対応しています。
※詳細は医院へお問い合わせください。
●現金
●クレジットカード
●デンタルローン
基本情報
住所
〒730-0034 広島県広島市中区新天地5-16 アーバス並木 3F
最寄駅
広電本線「八丁堀駅」から徒歩で5分
診療時間
火~土:9:00~13:00/14:00~18:00
電話番号
082-569-8255
インプラント治療について
インプラント治療とは?
インプラント治療は、失った歯を補うための治療法です(※公的医療保険が適用されない自由診療です)。
歯を失った顎の骨にインプラント体を埋入し、そのインプラント体を土台に被せ物をすることで失った歯を補完します。
インプラントの構造やメリット・デメリットなどについてはこちら
治療の流れ
下記、一般的な治療の流れです。
※あくまでも一般的な流れであり、下記とは異なる流れで治療がおこなわれることもあります。
【二回法の場合】
1.カウンセリング
2.検査・治療計画の策定
3.骨造成や骨移植(ケースによっては不要)
4.一次手術(インプラントの埋入)
5.待機期間(人工歯根と顎骨の結合待ち)
6.二次手術(アバットメントの取付)
7.型取り
8.上部構造を装着して完了
※その後は定期的にメンテナンスを受ける必要がある
【一回法の場合】
1.カウンセリング
2.検査・治療計画の策定
3.骨造成や骨移植(ケースによっては不要)
4.インプラント埋入手術
5.待機期間(人工歯根と顎骨の結合待ち)
6.型取り
7.上部構造を装着して完了
※その後は定期的にメンテナンスを受ける必要がある
治療期間や通院回数の目安
治療期間:3ヵ月~1年程度
通院回数:8~10回程度
※具体的な治療期間や通院回数は、患者さん1人ひとりの口腔状態や要望、治療内容などによって異なります。
想定されるリスク・副作用
下記、インプラント治療で想定されるリスク・副作用です。
・神経や血管を傷つけて感覚麻痺が起きる
・患部に腫れ、痛み、違和感が生じる
・患部から出血する
・顔や首などに内出血斑が出る
・チタンアレルギーが起きる
・上顎にインプラント体を埋入する際、上顎洞を破る
・インプラント体と顎骨が上手く結合しない
・インプラント周囲炎になる
Medee歯科検索は、おすすめしたい歯医者を掲載しています。
駅、行政区、診療時間、歯科医院の特徴、診療科目など豊富な検索メニューで歯科医院を検索可能。
また歯科医院のWebサイトはもちろん各種予約ツールも利用することが可能で、より簡単に歯科医院を探すことができます。














