【2026年】新宿区でセラミック治療におすすめしたい歯科医院6選
2025/8/25
2026/2/20
#セラミック

歯の見た目を整えたいけれど「セラミック治療って本当に自分に合うの?」「歯科医院はどこを選べば良いの?」と迷っている方は多いでしょう。
費用が高額であることや、医院ごとに技術や方針が異なることから、不安を抱える方は少なくありません。
中には「安さだけで選んで失敗した」という声も耳にします。
せっかくのセラミック治療だからこそ、後悔しない医院選びをしたいですよね。
本記事では、導入設備や歯科医師の専門性などさまざまな要素をもとに、新宿区でセラミック治療におすすめしたい歯科医院をご紹介しています。
新宿エリアにてセラミック治療を検討されている方はぜひ参考にしてみてください。
※2026年2月時点でのMedee編集部の調査のデータとなります。
【2026年】新宿区でセラミック治療におすすめしたい歯科医院6選
1. 新宿きらきら歯科(新宿駅)PR
新宿きらきら歯科(新宿駅)のセラミックに関する動画
確かな技術と安心の価格で歯を綺麗にしたい人が全国から集まる歯科医院
新宿区のみならず、全国からきらきらの笑顔を求めて患者さんが来院されている、これが新宿きらきら歯科を表す現状です。
新宿きらきら歯科は、新宿三丁目駅 徒歩1分、新宿駅徒歩10分の好立地に位置し審美歯科専門の歯科医院として、年間4,000以上の症例を有している歯科医院です。
高品質な審美治療には、歯科医師の技術のみならず、卓越した歯科技工士や高品質な材料が必要です。
新宿きらきら歯科には、審美歯科の三種の神器と言えるこの3要素全てが揃っている歯科医院といえるでしょう。
また、特筆すべきは患者さんの声に寄り添う姿勢です。
新宿きらきら歯科さんには、全国から患者さんが集まりその治療の様子が動画にアップされています。
⚪︎治療動画1
https://www.youtube.com/watch?v=ZbxElxbT6mU
⚪︎治療動画2
https://www.youtube.com/watch?v=L6kDK98gB-w
⚪︎治療動画3
https://www.youtube.com/watch?v=a2yQzZRtAlE
歯科医師やスタッフと患者さんが理想の状態になるため、多くのコミュニケーションをとっている姿がありありと映し出されています。
このように、医療従事者と患者という関係を超えて、二人三脚で綺麗な歯並びを実現するパートナーとして新宿きらきら歯科は存在していると言えるでしょう。
特徴1 静脈内鎮静法を使った審美治療で、気づいたら綺麗な歯並びに

新宿きらきら歯科では、患者様の恐怖心をやわらげるために静脈内鎮静法麻酔を導入しています。
セラミック治療では、歯を削りその上から被せ物をしたり、虫歯などの感染部位を削って詰め物をしたりいわゆる切削と呼ばれる治療行為をおこないます。
その際のタービンの音に恐怖を覚える方や、痛みを感じてしまい億劫になってしまう方に対して静脈内鎮静法を使ったセラミック治療をおこなっています。
静脈内鎮静法は、その名の通り静脈内に直接麻酔液を注入、精神的な不安感を取り除くとともにうとうとした状態を作り出します。
また、麻酔が効いている間の記憶も薄れる健忘効果があり、いつの間にか綺麗な仮歯が入っていたといった状況を作ることが可能です。
また新宿きらきら歯科はその仮歯にも大きなこだわりがあります。
新宿きらきら歯科専属の院内歯科技工士が、その場で仮歯を調整するため治療したその日から綺麗な適合性の高い仮歯を装着することができることです。
最終的には、よりこだわり抜いて作成されたファイナルの補綴物をご提供しますが、仮歯でもなんの遜色ないと言われることも多いくらいです。
治療開始して気づいたらいつの間にかその日に綺麗な歯並びになっていた。こんな楽しい経験ができるのも新宿きらきら歯科ならではでしょう。
特徴2 高品質のジルコニアを安価にご提供

2026年2月現在、新宿きらきら歯科ではノリタケ製ジルコニアセラミッククラウンは80,500円(税込)という価格で提供されています。
ノリタケ製のジルコニアの中でも、最高級ラインと言われているのが「ノリタケ カタナ® ジルコニア」と呼ばれる製品で、新宿きらきら歯科ではこちらの製品を採用しています。
新宿という好立地にありながら、高品質な材料を安価に利用することができるこのコストパフォーマンスは、新宿きらきら歯科の企業努力の賜物でしょう。
それは「院内技工士在籍による外注費の削減」「豊富なセラミック症例による業務フローの最適化」「大量に発注できる症例数だからこその、安価な材料仕入れ」にあるといえ、新宿きらきら歯科がこれまでセラミック治療を多くの患者に提供してきたからこそ、実現できる誠実な価格設定でしょう。
特徴3 ただ綺麗にするだけではない、機能性を重視したセラミック治療

SNSなどで「セラミックは口臭の原因になる」と聞いたことはないでしょうか。
実は、セラミック自体には口臭の原因になる要素は一切ありません。
むしろセラミックは、材料物性的にプラークがつきづらく材料も劣化しづらい、そして接着技術によって内部への菌の侵入を防ぎやすい、そんな性質をもつむしろ口臭を抑えやすい治療法です。
そのような優秀な治療法のポテンシャルを最大限発揮するには、歯科医師と歯科技工士の技術と、患者様による適切なメインテナンスが必要になります。
新宿きらきら歯科の院長である「高根 元恒」は、国内外に歯科治療の学びを求め常に研鑽を続ける臨床家です。
歯を綺麗に魅せる前に「噛み合わせが機能する治療」「長持ちする治療」を大切にしています。そのため決して流れ作業ではなく、一人一人の患者様と向き合った姿勢で治療に取り組んでいます。
口腔内も含めて患者様が健康である、その前提の上で患者様の審美性を高めていく、このような医療人としての大切な考えが根底にあります。
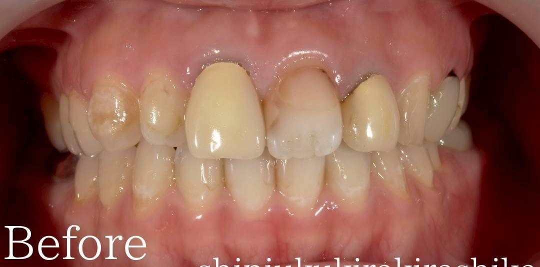
症例1
Before

After

主訴 | 保険の被せ物が劣化、虫歯治療痕の変色や歯の黄ばみを白くしたい |
|---|---|
治療内容 | セラミック治療 |
費用 | 1,250,000円(税込) |
副作用・リスク | 処置に伴い、自発痛・咬合痛・冷水痛のほか、抜歯時には腫脹や出血が生じるリスクがあります。麻酔をする場合は腫れ・むくみなどが生じることがあります。セラミック等の脱離・破損についても予めご了承ください。 |
設備
マイクロスコープ

肉眼では捉えきれない患部を数十倍にまで拡大して確認できる歯科用顕微鏡です。歯の細部まで鮮明に見えるため、見落としのない精密なアプローチが可能になります。
セラミックに関わる費用
被せ物料金表 | |
|---|---|
ノリタケ製ジルコニアセラミッククラウン | 80,500円 |
オーダーメイドジルコニアクラウン | 60,500円 |
セラミックラミネートべニア | 60,500円 |
フルジルコニアクラウン | 39,500円 |
部分的な被せ物(e-max) | 38,500円 |
仮歯 | 5,500円 |
※上記の料金表には施術料、局所麻酔代が含まれています。
※材料費高騰のためジルコニアセラミック70,500円→80,500円となります。
別途料金がかかる処置 | |
|---|---|
神経処置(前歯) | 33,000円 |
神経処置奥歯(小臼歯)/(大臼歯) | 44,000円 / 55,000円 |
ファイバーコア(土台)/1本 | 11,000円 |
抜歯 /1本 | 11,000円 |
抜歯の治癒促進剤(コラーゲン) | 5,500円 |
歯肉形成 | 16,500円 |
金属の土台(芯)の取り外し /1本 | 5,500円 |
虫歯治療 /1本 | 3,300円 |
※神経処置は希望者のみになります。神経処置を行った場合は、土台(ファイバーコア)が必要になります。根の先に膿がたまっている場合は神経治療代各部位プラス11,000円になります。
※抜歯の治癒促進剤(コラーゲン)は、無しにすることも可能です。メンテナンス
メンテナンス(3ヶ月~半年に一度) | 11,000円 |
エアフロー(着色落とし) | 8,800円 |
※セラミック治療は保険が適用されない自費診療です。
※金額は全て税込表示です。
お支払いについて
新宿きらきら歯科では以下の支払い方法に対応しています。
※詳細は医院へお問い合わせください。
●現金
●クレジットカード
歯科医師紹介

高根 元恒
経歴
2008年 日本大学松戸歯学部卒業 2009年 臨床研修医終了 2010年 医療法人和光会ボックスヒル歯科勤務 2014年 医療法人郁栄会寒竹歯科勤務 2016年 医療法人郁栄会ベイデンタルクリニック院長 2017年 赤坂きらきら歯科開業 2022年 新宿きらきら歯科へ医院拡大のため移転開業
所属学会・資格・スタディーグループ
MALO DENTAL & MEDICAL Alliance Team 提携 X-GUIDE ダイナミックナビゲーション機関 認定
メッセージ
基本情報
住所
〒160-0022 東京都新宿区新宿三丁目11-9 花菱ビル8階
最寄駅
JR新宿駅 徒歩10分/東京メトロ副都心線・丸ノ内線 新宿三丁目駅 徒歩1分
診療時間
不定休 10:00〜21:00
電話番号
03-6459-1616
2. しんみ歯科高田馬場(高田馬場駅)

医院紹介
高田馬場駅から徒歩1分とアクセスの良い場所に位置する【しんみ歯科高田馬場】。
このクリニックが目指すのは、単に歯を白くしたり、形を整えたりするだけの表面的な治療ではありません。
「感動のある歯科医療を。」というミッションのもと、悪い部分だけを治すのではなく、お口全体のバランスや将来的な健康までを見据えた「一口腔単位」での診断と治療を重視しています。
「もし自分の家族だったら、どんな治療をするか」の姿勢を常に持ち続け、患者さん一人ひとりの人生に寄り添ってくれます。
セラミック治療においては経験豊富な歯科技工士と密に連携し、まるで天然歯のような自然な色合いと透明感の再現を大切にされているようです。
また、見た目はもちろん、長く快適に使い続けられるよう、使用する素材や接着剤まで厳選する徹底ぶりです。
医院の詳細は公式ホームページにてご確認ください。
設備
◆拡大鏡
◆マイクロスコープ
◆口腔内スキャナー
特徴1 セラミック治療+ホワイトニングで「口元の美しさ」をトータルサポート

口元全体の審美性を高めたいという理由から、セラミック治療だけでなくホワイトニングを検討される方もいらっしゃるでしょう。
しんみ歯科高田馬場はセラミック治療だけでなく、ホワイトニングにも対応しているため、新たにホワイトニングを受ける歯科医院を探す必要がありません。
また、一人ひとりの要望に合わせられるよう、オフィスホワイトニング・ホームホワイトニング・デュアルホワイトニングと豊富な種類に対応しています。
セラミック治療とホワイトニングの両方を検討されている方は、しんみ歯科高田馬場にて相談してみてはいかがでしょう。
セラミックに関わる費用
詰め物 | ダイレクトボンディング | 9,900円~13,200円 |
|---|---|---|
ラミネートべニア | 86,000円 | |
セラミックインレー | 48,000円~72,000円 | |
被せ物 | モノトーンジルコニアセラミック | 66,000円 |
グラデーションジルコニアセラミック | 88,000円 | |
ブライトジルコニアセラミック | 120,000円~160,000円 | |
土台 | レジンコア | 6,800円 |
ファイバーコア | 9,800円 | |
メタルコア(銀合金) | 12,800円 |
※セラミックによる治療は保険が適用されない自費診療です。
※金額は全て税込表示です。
お支払いについて
しんみ歯科高田馬場では、以下の支払い方法に対応しています。
※詳細は医院へお問い合わせください。
●現金
●クレジットカード
基本情報
住所
〒169-0075 東京都新宿区高田馬場2丁目17−6 ゆう文ビル 10階
最寄駅
「高田馬場駅」徒歩で1分
診療時間
月・火・水・木・金:10:00~13:30/14:30~19:00 土曜日:10:00~13:30/14:30~17:30 日・祝:休診日
電話番号
03-6457-6487
3. 千賀デンタルクリニック 新宿駅東口医院(新宿駅)

医院紹介
新宿駅東口から徒歩1分、駅直結という抜群のアクセスを誇る【千賀デンタルクリニック 新宿駅東口医院】。
年中無休で夜8時まで診療しているため、仕事やプライベートの予定が多い方でも、ご自身のペースで通院計画を立てやすい環境が整っています。
このクリニックが特に大切にしているのが患者さんとの信頼関係であり、安心して治療に専念できるよう、何でも気兼ねなく相談できる「ホームドクター」であることを目指しています。
その想いは院内の設計にも表れており、診療室はすべてプライバシーに配慮した個室空間です。
結婚式を控えているといったデリケートな審美に関するお悩みも、周囲を気にすることなくじっくりと相談できるでしょう。
また、各分野の専門知識を持つ歯科医師が在籍し、チームで連携して治療にあたるのも大きな特徴です。
気になる銀歯を自然な白い歯に変えたい、前歯の色や形を整えたいといった一人ひとりの希望に対し、セラミック治療やホワイトニングなど豊富な選択肢を提示してもらえます。
医院の詳細は公式ホームページにてご確認ください。
設備
◆拡大鏡
◆マイクロスコープ
◆口腔内スキャナー
特徴1 【日本補綴歯科学会の認定医が在籍】見た目も機能も両立するセラミック治療

詰め物や被せ物などで歯の機能や見た目を補う治療は「補綴(ほてつ)治療」と呼ばれる専門分野にあたります。
これは、単に歯の形を修復するだけでなく、失われた咬み合わせを再構築し、食べ物をしっかりと噛むという本来の機能を取り戻すことを目的としています。
「千賀デンタルクリニック 新宿駅東口医院」には、この補綴治療に関する高度な知識と技術を持つことを持つ、日本補綴歯科学会の認定医が在籍しています。
セラミック治療において、見た目が自然で美しいだけでなく、長期的に安定して機能する、質の高い治療が期待できるでしょう。
セラミックに関わる費用
CRダイレクトボンディング | \66,000 |
|---|---|
ハイブリッドインレー | \56,100 |
オールセラミックインレー | \77,000 |
ジルコニアインレー | \77,000 |
ゴールドインレー | \88,000 |
ハイブリッドクラウン | \100,650 |
オールセラミッククラウン | \176,000 |
ジルコニアクラウン | \165,000 |
ゴールドクラウン | \176,000 |
メタルボンドクラウン | \176,000 |
ラミネートべニア | \143,000 |
※セラミック治療は保険が適用されない自費診療です。
※金額は全て税込表示です。
お支払いについて
千賀デンタルクリニック 新宿駅東口医院では、下記の方法でお支払いができます。
※詳細は医院へお問い合わせください。
●現金
●クレジットカード
●デンタルローン
基本情報
住所
〒160-0022 東京都新宿区新宿3-17-5 T&TⅢビルディング6F
最寄駅
「新宿駅」東口徒歩で1分/「新宿三丁目駅」B6出口直結
診療時間
10:00~20:00 ※年中無休(休診日はビルの休館日に準ずる)
電話番号
03-6709-9580
4. アムール歯科新宿(新宿駅)

医院紹介
JR新宿駅からのアクセスが抜群な「アムール歯科新宿」。
こちらの医院が大切にしているのは、単に歯の機能を回復させることだけではありません。
患者様一人ひとりが持つ「自然で美しい笑顔」を形にすることです。
特に、人前に立つ職業の方やご自身の見た目に高い意識を持つ方々にとって、口元の印象は自信を大きく左右する重要な要素でしょう。
同院ではそうした想いに応えるべく、徹底したカウンセリングを通じて患者様の要望を深く理解し、満足度の高い治療提案を心がけています。
治療の主軸となるのは、ホワイトニングやセラミック治療といった審美歯科です。
一時的な白さではなく、まるで天然の歯のような透明感や質感を再現することに注力されています。
医院の詳細は公式ホームページにてご確認ください。
設備
◆拡大鏡
◆マイクロスコープ
◆口腔内スキャナー
◆院内技工所
特徴1 幅広い素材を噛み合わせや歯の位置に合わせて使い分け

「アムール歯科新宿」では、歯の見た目や機能を補うセラミック治療において、患者さんの多様なニーズに応えるため、複数の素材の選択肢を用意しています。
代表的な素材の一つが「ジルコニア」です。
ジルコニアは「人工ダイヤモンド」とも称されるほどの強度を持つことで知られており、食事の際に強い力がかかりやすい奥歯の詰め物や被せ物にも適しています。
耐久性を重視する方に選択されることが多い素材です。
また、見た目の美しさを求める方のため「e.max(イーマックス)」という素材も採用されています。
天然の歯が持つ、光を通すような自然な透明感や色合いを高いレベルで再現できるという特徴があります。
これらの素材のどれか一つだけを推奨するのではなく、患者さん一人ひとりの噛み合わせの状態や治療する歯の位置、要望など把握したうえで、それぞれに合った治療法を提案してもらえるでしょう。
セラミックに関わる費用
審美治療診査診断料 | 25,000円 |
|---|---|
セットアップ模型分析料 | 10,000円 |
審美治療セカンドオピニオン(30分) | 6,000円 |
自費治療再診料 | 1,000円 |
セレックe.maxインレー | 60,000円 |
|---|---|
セレックe.maxクラウン(色調調整なし) | 100,000円 |
ジルコニアクラウン(色調調整なし) | 130,000円 |
ジルコニアクラウン(色調調整あり) | 150,000円 |
ラミネートべニア(ジルコニア) | 150,000円 |
ラミネートべニア(e-max) | 130,000円 |
ファイバーコア | 15,000円 |
ダイレクトボンディング | 100,000円 |
通常仮歯 | 5.000円 |
審美仮歯 | 15,000円 |
※セラミック治療は保険が適用されない自費診療です。
※金額は全て税込表示です。
お支払いについて
アムール歯科新宿では、現金のほかにクレジットカードでお支払いが可能です。
※詳細は医院へお問い合わせください。
基本情報
住所
〒160-0022東京都新宿区新宿3-37-11安与ビル4F
最寄駅
「新宿駅」東口 南口方面出口から徒歩0分
診療時間
月・火・水・金・土:10:00~13:00/15:00~19:00 日・祝:休診日
電話番号
03-5944-0418
5. アレスタ新宿デンタルオフィス(新宿駅)

医院紹介
新宿駅から徒歩5分というアクセスしやすい場所に医院を構える「アレスタ新宿デンタルオフィス」。
こちらの医院では「時間をかけずに歯を美しくしたい」という、多忙な日々を送る方々の願いに応えらえるような歯科医療を提供されています。
そのコンセプトを実現するため、さまざまなデジタル歯科治療の設備を積極的に導入しているようです。
また、院内にセラミックをはじめとする技工物を製作する専属の歯科技工士が常駐しています。
歯科医師と技工士が治療現場で密に連携できる専門性の高い体制が整えられています。
スピーディーで質の高い治療を希望される方は、一度アレスタ新宿デンタルオフィスにて相談してみてはいかがでしょう。
医院の詳細は公式ホームページにてご確認ください。
設備
◆口腔内スキャナー
◆院内技工所
セラミックに関わる費用
インレー・アンレー〈奥歯のみに適応可能〉
セレック | 55,000円(税抜50,000円) |
|---|---|
e-max | 77,000円(税抜70,000円) |
クラウン
| 前歯部 | |
|---|---|---|
セレック | 77,000円(税抜70,000円) | ― |
e-max | 99,000円(税抜90,000円) | 121,000円(税抜110,000円) |
ジルコニア | 110,000円(税抜100,000円) | 132,000円(税抜120,000円) |
ジルコニア | 1歯につき 22,000円(税抜20,000円) | |
プロビジョナルレストレーション | 1歯につき 11,000円(税抜10,000円) | |
ラミネートべニア
ラミネートべニア | 121,000円(税抜110,000円) |
|---|
※セラミック治療は保険が適用されない自費診療です。
※金額は全て税込表示です。
お支払いについて
アレスタ新宿デンタルオフィスでは、以下の方法でお支払いができます。
※詳細は医院へお問い合わせください。
●現金
●クレジットカード
●デンタルローン
基本情報
住所
〒160-0023 東京都新宿区西新宿7-10-3 第二雨宮ビル 3F
最寄駅
「新宿駅」から徒歩で5分/「西武新宿駅」から徒歩で3分
診療時間
月・水・木・金・土・祝:11:00~19:00 火・日・第2・第4水曜:休診日
電話番号
03-6908-7855
6. 新宿I's歯科・矯正歯科(新宿)

医院紹介
新宿駅から徒歩5分と通いやすい立地にある「新宿I's歯科・矯正歯科」。
こちらの医院は、お子さんから働き盛りの世代、そしてシニアの方まで、あらゆる世代が安心して頼れる「全世代対応型の歯科医院」です。
院内には周りを気にせず悩みや希望をじっくりと話せるよう、個室のカウンセリングルームが完備されています。
また、治療に対する不安を和らげるため、痛みを極力抑えた麻酔注射を導入するといった工夫も見られます。
診療においては、各分野の専門家が連携して治療にあたる「チーム医療」を実践しているとのことです。
それぞれの分野で深い知見を持つ歯科医師が協力し、多角的な視点から口内全体を診断したうえで治療が受けられます。
医院の詳細は公式ホームページにてご確認ください。
設備
◆マイクロスコープ
◆口腔内スキャナー
特徴1 セラミック+歯肉ピーリングでトータルに美しい口元へ

口元の美しさを考える際、歯の白さに注目が集まりがちですが、健康的な歯茎の色も重要な要素です。
新宿区の新宿I's歯科・矯正歯科では、歯を美しく見せるセラミック治療に加えて、歯茎の色を整える「歯肉ピーリング」にも対応し、口元全体のトータルな美しさを目指す選択肢を提供しています。
セラミック治療は、銀歯の見た目や歯の着色などが気になる場合に、天然歯に近い色調と透明感を持つ白い詰め物や被せ物を用いる治療法です。
歯そのものを白く整えることで、口元の印象を明るくすることが期待できます。
ただ、せっかく歯が白くなっても歯茎が黒ずんでいると、不健康な印象を与えてしまうことがあります。
歯肉ピーリングは、この歯茎の黒ずみを健康的なピンク色に近づけていく施術です。
同院ではこれら両方の治療に対応しているため、歯の白さだけを追求するのではなく、歯と歯茎の色合いのバランスまで考慮した、より調和のとれた口元を目指すことが可能です。
セラミックに関わる費用
インレー
セラミックインレー | ¥66,000(税込み) |
|---|---|
ハイブリットインレー | ¥33,000(税込み) |
ゴールドインレー | ¥88,000(税込み) |
クラウン
メタルフリー フルジルコニア | ¥121,000(税込み) |
|---|---|
メタルフリー シンプルセラミック | ¥99,000(税込み) |
メタルセラミッククラウン | ¥99,000(税込み) |
ハイブリットクラウン | ¥66,000(税込み) |
ゴールドクラウン | ¥110,000(税込み) |
※セラミック治療は保険が適用されない自費診療です。
※金額は全て税込表示です。
お支払いについて
新宿I's歯科・矯正歯科では、以下の支払い方法に対応しています。
※詳細は医院へお問い合わせください。
●現金
●クレジットカード
●デンタルローン
基本情報
住所
〒160-0022 東京都新宿区新宿3-17-10 HULIC & New SHINJUKU6階
最寄駅
新宿駅から徒歩で3分
診療時間
月~金:10:00~13:00/14:30~20:00 土曜:9:00~17:00 日曜:9:00~16:00 祝日:休診日
電話番号
03-6457-4359
セラミック治療・ホワイトニングについて
セラミック治療とは?
セラミック治療は、歯の詰め物や被せ物などにセラミック(陶材)を用いた治療法です。
天然の歯に近い白さや透明感があり、基本的に金属を使わないため金属アレルギーの心配もありません。
一方で、強い衝撃によって欠けたり割れたりすることがあります。
保険が適用されない自費診療のため、保険適用の治療と比べて費用が高額になる点も注意が必要です。
治療の流れ
下記、一般的な治療の流れです。
※あくまでも一般的な流れであり、下記とは異なる流れで治療がおこなわれることもあります。
1.相談・治療計画の立案
2.検査・治療・歯型の採取
3土台作り・仮歯の装着
4.セラミック製の詰め物・被せ物の装着
5.定期的なメンテナンス
治療期間や通院回数の目安
治療期間:2~3週間/1本あたり
通院回数:2~3回程度
※具体的な治療期間や通院回数は、患者さん1人ひとりの口腔状態や要望、治療内容などによって異なります。
費用相場
詰め物:4万~8万円
被せ物:8万~18万円
※具体的な費用は、使用する素材や治療内容などによって異なります。
想定されるリスク・副作用
下記、セラミック治療で想定されるリスク・副作用です。
・セラミック治療をおこなうにあたって歯を削ることがあります。また、知覚過敏の症状が発生する可能性があります。
・治療後、噛んだときに痛みを感じたり、冷たい物や暖かい物を口にしたときに痛みを感じたりすることがあります。
・審美治療において、抜髄(歯の神経を取り除く)や抜歯が必要になることがあります。抜歯や外科処置を伴う場合、患部が腫れたり出血を起こしたりすることがあります。
・金属単体のインレー・クラウンより歯の体積を削る量が若干多いことがあります。
・強い衝撃が加わることで欠けたり割れたりすることがあります。
ホワイトニングとは?
ホワイトニングとは、専用の薬剤を用いて歯そのものの色を白くする施術のことです。
ホワイトニング剤を歯の表面に塗布することで、歯の黄ばみやくろずみ色素などを分解し歯を白くしていきます。
ホワイトニングの方法は大きく以下の2種類に分けることができます。
・オフィスホワイトニング:歯科医院ですべての施術受けるホワイトニング
・ホームホワイトニング:薬剤と専用のマウスピースを受け取り自宅でおこなうホワイトニング
※2つの方法を併用する方法もあります。
治療期間や通院回数の目安
<通院期間・治療期間>
オフィスホワイトニング:通院回数1〜3回
ホームホワイトニング:治療期間2週間~1ヵ月
※実際の通院期間や治療期間は求める歯の白さや個人の状態になどによって異なります。
費用相場
オフィスホワイトニング:2万~7万円/1回
ホームホワイトニング:1万5千~4万円
想定されるリスク・副作用
下記、ホワイトニング治療で想定されるリスク・副作用です。
・ホワイトニング剤の使用によって、知覚過敏が生じることがあります。これは薬剤が歯の神経に強い刺激を与えることで、神経が過敏になりやすくなるためです。特に、オフィスホワイトニングでは高濃度の薬剤を使用するため、ホームホワイトニングよりも知覚過敏が起こりやすい傾向にあります。
・歯の個々の性質によっては、ホワイトニング後に色ムラが現れることがあります。歯の厚みに差があったり、薬剤の効果が出にくい部分があったりすることで、均一な白さが得られない場合があるのです。ただし、ホワイトニングを継続することで次第に目立たなくなることが多く見られます。
・薬剤に対してアレルギーをお持ちの方は、ホワイトニングの薬剤が口腔内の粘膜に異常を引き起こすことがあります。
・歯にヒビが入っている場合、その部分から薬剤が内部に浸透し、歯髄を刺激してダメージを与える可能性があります。
・過去に服用した抗生物質の影響で歯の変色が強い方は、ホワイトニングの効果が十分に得られにくいこともあります。
Medee歯科検索は、おすすめしたい歯医者を掲載しています。
駅、行政区、診療時間、歯科医院の特徴、診療科目など豊富な検索メニューで歯科医院を検索可能。
また歯科医院のWebサイトはもちろん各種予約ツールも利用することが可能で、より簡単に歯科医院を探すことができます。













