【2026年】大田区でインプラント治療におすすめしたい歯科医院7選
2025/5/1
2026/2/27
#インプラント

大田区には500以上の歯科医院があり、インプラント治療に対応している医院も数多く存在します。
参考:東京都 大田区|地域医療情報システム(日本医師会)
これだけの歯科医院があり、インプラントに対応している医院が多いと医院探しで悩んでしまいますよね。
本記事では、大田区でインプラント治療を実施している歯科医院を、さまざまな要素を調査し整理しました。
各要素に関する詳細は「インプラントでおすすめしたい歯科医院について」の記事で解説しております。
大田区でインプラント治療をお考えの方は、ぜひ参考にしてみてください。
※2026年1月時点でのMedee編集部による調査データとなります。
- 1.5川名部歯科医院(糀谷駅)
【2026年】大田区でインプラント治療におすすめしたい歯科医院7選
1. 大森沢田通り歯科・予防クリニック(大森駅)PR

高度な先進技術と「包括的歯科医療」であなたの「人生」を守る治療を
京浜急行「平和島駅」から徒歩8分、JR「大森駅」からも徒歩圏内にある「大森沢田通り歯科・予防クリニック」。
土日や祝日も平日と同じ時間帯で診療しており、平日は仕事や家事で忙しいという方でも、週末を利用して無理なく通院計画を立てられるでしょう。
「高度な先進技術と包括的歯科医療で、あなたの人生を守る治療を」という理念のもと、単に痛みを取り除くだけの対症療法ではなく、問題の根本原因をしっかりと見極め、患者さんの将来を見据えた治療を提供することに注力しています。
万が一歯を残すことが難しい場合や、すでに歯を失ってしまった場合でも、豊富な知識と高度な技術に基づいたインプラント治療をはじめ、患者さん一人ひとりの状況に合わせた多様な治療プランを用意しています。
安全性や質の高い治療を支えるのが、クラスB滅菌器やセファロ付き歯科用CTといった医療機器の数々です。
徹底した衛生管理と精密な診断が可能な設備環境のもと、確かな経験に基づいた高水準な歯科医療が期待できます。
特徴1 骨造成で広がるインプラントの可能性|失った歯と噛む喜びを取り戻す

インプラント治療は顎骨にインプラントを埋入して、その上に人工歯を被せる治療のため、骨が足りずインプラントを埋入できない状態だと、インプラント治療は難しいです。
歯周病や加齢などが原因で骨が足りず、インプラント治療を諦めていた方もいらっしゃるでしょう。
大森沢田通り歯科・予防クリニックは、インプラントの埋入がおこなえるよう足りない骨を補うための処置(GBR法やサイナスリフト)に対応しています。
これらの処置によって足りない骨を補うことができ、インプラントを理想的な位置に埋入することが可能となります。
ただ、一般的なインプラント治療より費用がかかる、治療期間が延びるなどには注意点が必要です。
何かの要因で顎骨の状態が悪くインプラント治療を諦めていた方で、しっかりとした噛み心地が欲しい方は一度「大森沢田通り歯科・予防クリニック」にて相談してみてはいかがでしょう。
特徴2 【痛みはなくても不安】インプラント手術の不安を軽減するための麻酔法

インプラント手術は局所麻酔を使うため、痛みを感じることは基本的にありません。
しかし、「手術時の音や振動が怖い」「そもそも歯医者が苦手」といった、痛みとは別の不安を感じる方もいらっしゃいます。
「大森沢田通り歯科・予防クリニック」では、そんな手術への恐怖心や不安感を軽減するために、「静脈内鎮静法」という麻酔法を用意しています。
この方法を用いると、まるでウトウトとまどろんでいるような、非常にリラックスした状態で手術を受けることができます。
完全に眠ってしまうわけではありませんが、不安を感じにくく、治療中の記憶も残りにくいです。
インプラント治療を受けたいけれど不安が強い方は、「大森沢田通り歯科・予防クリニック」にご相談ください。
特徴3 【より正確でスムーズ】デジタル機器を活用した精密なインプラント

「大森沢田通り歯科・予防クリニック」は、インプラント治療の精度と安全性を高めるため、デジタル機器である「歯科用CT」と「口腔内スキャナー」を導入しています。
歯科用CTは、顎骨の構造や神経・血管の位置などを3Dで詳細に把握することができ、これにより、手術前にリスクとなり得る箇所を正確に特定し、より安全性を高めた治療計画の立案が可能です。
口腔内スキャナーでは、歯並びや歯ぐきの状態を精密な立体データとして取得でき、CT画像と組み合わせることで、インプラントを入れるべき理想的な位置や角度など、より精度の高い計画が立てられるようになります。
さらに、この口腔内スキャナーは、人工歯(被せ物)を作る際の型取りにも活躍します。
従来の粘土のような材料を使う不快な工程は不要となり、お口の中をスキャンするだけで、短時間で精密なデータが採取可能です。
このように、「大森沢田通り歯科・予防クリニック」ではデジタル技術を駆使することで、診断から治療、そして人工歯の作製に至るまで、一貫して「より正確」で「より安全」、「よりスムーズ」なインプラント治療を提供できるよう努めています。
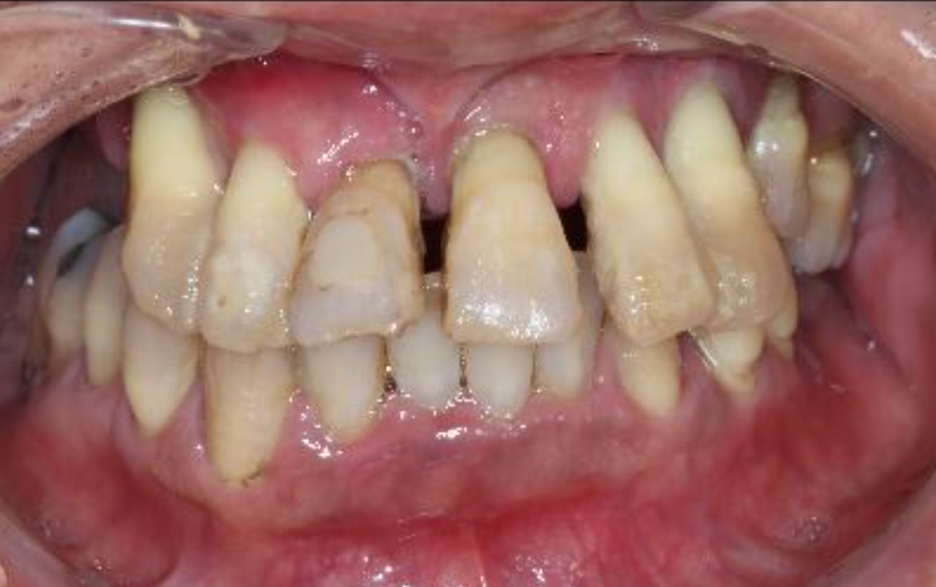
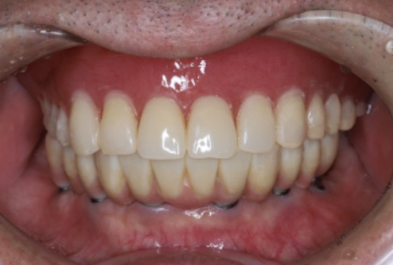
症例1
Before

After

年齢/性別 | 男性/50代 |
|---|---|
主訴 | しっかり噛めるようにしてほしい。 |
治療内容 | 上下顎に残存していた歯が約20本ありましたが、動揺が強く保存が困難だったため、上下顎の残存歯をすべて抜歯しました。下顎は顎骨にインプラントを6本埋入し、その上に固定式の人工歯(インプラント補綴)を装着して咀嚼機能の回復を図りました。上顎は総義歯(総入れ歯)を作製・装着し、見た目と機能面の回復を行いました。 |
治療期間/治療回数 | 1年2ヶ月/12回 |
費用 | 250万円 |
副作用・リスク | 抜歯に伴うリスク:術後の痛み・腫れ・出血、感染、治癒の遅れ、まれに神経のしびれ(下唇〜あご周囲)や上顎洞トラブル(上顎の場合)。 |
設備
歯科用CT

従来のレントゲンでは判別するのが難しかった、骨の厚みや幅などを立体画像で確認できる装置です。
クラスB滅菌器

ヨーロッパの高い基準を満たした滅菌器です。使い捨てにすることができない医療機器を滅菌するために用いられます。
マイクロスコープ

対象を肉眼の数十倍にまで拡大して観察できる歯科用の顕微鏡です。高い精度が求められる治療で用いられます。
光学スキャナー

口内や歯列を光を用いて3Dデータとして取得できる機器です。従来の粘土状の素材を使わずに歯型を採取することができます。
CAD/CAM

光学スキャナーでスキャンしたデータをそのまま削り出して、立体物として再現することができる設備です。
口腔内撮影カメラ

口内を鮮明かつ高解像な画像として記録するために用いる一眼レフカメラです。
インプラントに関わる費用
精密診断料 | 38,500円 |
|---|
インプラント治療 | 440,000円 |
|---|
歯槽骨増大 | 55,000~220,000円 |
|---|
結合組織移植 | 55,000~165,000円 |
|---|---|
サイナスリフト | 175,000~275,000円 |
インプラント治療には、手術料・材料・技術料・型取り・アバットメント・被せ物(セラミックのみ)等の代金が全て含まれております。期間と回数で追加の金額はありません。
※インプラントによる治療は保険が適用されない自費診療です。
※金額は全て税込表示です。
お支払いについて
大森沢田通り歯科・予防クリニックでは、以下の支払い方法に対応しています。
※詳細は医院へお問い合わせください。
●現金
●クレジットカード
●デンタルローン
インプラントは医療費控除の対象です。
医療費控除を利用することで治療費の一部が返ってくるのでぜひ活用することをおすすめします。
<関連記事>
【年収別】インプラントで医療費控除を使ったらいくら戻ってくる?申請方法も解説
歯科医師紹介

菅野 友太郎
経歴
2010年国立東北大学 卒業 2010年都内医療法人 勤務 2013年石川歯科(浜松 ぺリオ・インプラントセンター) 勤務 2018年大森沢田通り歯科・予防クリニック 開業
所属学会・資格・スタディーグループ
5-D Japan 会員 日本臨床歯周病学会 会員 OJ(Osseointegration study club of Japan)会員 静岡県口腔インプラント研究会 会員 日本臨床補綴学会 会員 日本デジタル歯科学会 会員 DMC会員 SPIS(Shizuoka Perio implant Study)会員
メッセージ
基本情報
住所
〒143-0016 東京都大田区大森北6丁目23−22
最寄駅
京浜急行「平和島」駅 徒歩8分 JR京浜東北線「大森」駅 東口 徒歩15分
診療時間
月・火・水・金・土・日・祝:9:00~13:00/14:00~17:00 木曜:休診日
電話番号
03-3767-0648
2. はらだ歯科クリニック (蒲田駅)

医院紹介
京急蒲田駅西口およびJR蒲田駅東口からそれぞれ徒歩5分の場所に位置する「はらだ歯科クリニック」。
年末年始を除き月曜日から日曜日・祝日まで毎日診療をおこなっているので、ご自身のスケジュールに合わせて通院しやすいでしょう。
「患者様に長く健康でいて欲しい」という理念のもと、総合的な観点からの診察・治療を重視しています。
各分野の専門家が在籍しており、多角的な観点から一人ひとりに合わせたプランを提案してもらえるでしょう。
院内にはプライバシーに配慮した個室の診療室が設けられており、周りの目を気にせず治療を受けることが可能です。
医院の詳細は公式ホームページにご確認ください。
設備
◆歯科用CT
◆オペ室
◆マイクロスコープ
◆口腔内スキャナー
インプラントに関わる費用
カウンセリング | 3,300円 |
|---|---|
歯科用CT撮影+診断 | 11,000円/回 |
インプラント体 | 231,000円 |
上部構造 | メタル 132,000円/本 |
※インプラントによる治療は保険が適用されない自費診療です。
※金額は全て税込表示です。
お支払いについて
はらだ歯科クリニックでは、以下の方法でお支払いができます。
※詳細は医院へお問い合わせください。
●現金
●クレジットカード
●デンタルローン
基本情報
住所
〒144-0052 東京都大田区蒲田5-27-10
最寄駅
京急「蒲田駅」西口より徒歩5分/JR「蒲田駅」東口より徒歩5分
診療時間
月~金:9:30~13:00/14:00~18:30 土・日・祝:9:30~13:00/14:00~17:30
電話番号
03-3736-5556
3. ソレイユデンタルクリニック(長原駅)

医院紹介
東急池上線「長原駅」より徒歩約2分の場所にある「ソレイユデンタルクリニック」。
丁寧なコミュニケーションのもと、患者さんの希望を尊重しながら治療を進める方針をとられています。
保険診療はもちろん、より良い治療のために自費診療も状況に応じて提案されています。
インプラント治療においては通常のインプラント治療をはじめ、様々な治療法に対応可能です。
インプラント手術をするための専用のオペ室もあり、衛生管理も徹底されています。
セカンドオピニオンを受け付けているので、インプラント治療を検討されている方は利用してみてください。
設備
◆歯科用CT
◆マイクロスコープ
◆オペ室
◆クラスB滅菌器
インプラントに関わる費用
インプラント診断 | |
|---|---|
インプラント治療を行なうため患者様の状態を診断 | 1回 22,000円 |
静脈内麻酔(セデーション) | |
|---|---|
点滴による麻酔 | 1回 77,000円 |
インプラント埋入手術(ノーベル) | |
|---|---|
ノーベル社製インプラントの埋入(骨再生治療GBR含む) | 1本 264,000円 |
インプラント上部セラミック(ノーベル) | |
|---|---|
ノーベル社製上部セラミック(白い歯またはマグネット) | 1本 198,000円 |
インプラント埋入手術(オステム) | |
|---|---|
オステム社製インプラントの埋入(骨再生治療GBR含む) | 1本 198,000円 |
インプラント上部セラミック(オステム) | |
|---|---|
オステム社製上部セラミック(白い歯またはマグネット) | 1本 143,000円 |
※インプラントによる治療は保険が適用されない自費診療です。
※金額は全て税込表示です。
お支払いについて
ソレイユデンタルクリニックでは、以下の支払い方法に対応しています。
※詳細は医院へお問い合わせください。
●現金
●クレジットカード
●デンタルローン
基本情報
住所
〒145-0064 東京都大田区上池台1-31-5 ソレイユヴァン上池台1階
最寄駅
東急池上線「長原駅」改札より徒歩2分
診療時間
月・火・木・金:10:00~13:00/14:30~19:00 土・日:9:30~12:30/13:40~17:30
電話番号
03-6421-8834
4. 西蒲田デンタルクリニック(蒲田駅)

医院紹介
「西蒲田デンタルクリニック」はJR蒲田駅西口からは徒歩わずか3分、蓮沼駅からは徒歩10分と利便性の高い立地にある歯科医院です。
治療内容の透明性を高め、患者さんが十分に納得したうえで治療を進めることを心がけているとのことです。
治療における痛みを最小限に抑えられるよう、麻酔時には表面麻酔や電動麻酔器を使用するなどの配慮をおこなっています。
インプラント治療にも対応しており、カウンセリングルームで口腔内の写真などを活用しながら、丁寧で分かりやすい説明が受けられるでしょう。
医院の詳細は公式ホームページにてご確認ください。
設備
◆歯科用CT
◆オペ室
◆マイクロスコープ
◆クラスB滅菌器
インプラントに関わる費用
インプラント | 550,000円 |
|---|---|
GBR | 110,000円 |
ソケットリフト | 143,000円 |
サイナスリフト | 220,000円 |
※インプラントによる治療は保険が適用されない自費診療です。
※金額は全て税込表示です。
お支払いについて
西蒲田デンタルクリニックでは、以下の支払い方法に対応しています。
※詳細は医院へお問い合わせください。
●現金
●クレジットカード
●デンタルローン
基本情報
住所
〒144-0051 東京都大田区西蒲田5丁目14−8
最寄駅
JR蒲田駅西口より徒歩で約3分
診療時間
月・火・水・金:10:00~13:30/15:00~19:30 土曜:9:00~13:00/14:00~17:00 日曜日(第一・第三日曜日のみ):9:00~13:00 木曜日・第二・第四日曜・祝日:休診日
電話番号
03-5711-9078
5. 川名部歯科医院(糀谷駅)

医院紹介
京急空港線の糀谷駅から徒歩で約2分の場所にある「川名部歯科医院」。
医院では「痛くない歯科」を掲げ、痛みの少ない治療を重視されています。
治療においては一般歯科や小児歯科、インプラント治療など幅広く対応されているようです。
インプラント治療においても、インプラントに精通したドクターが在籍しており、高水準な治療が受けられます。
治療後のメインテナンスにも力を入れているようなので、治療後も安心して任せられるでしょう。
設備
◆歯科用CT
◆口腔内スキャナー
◆マイクロスコープ
◆クラスB滅菌器
インプラントに関わる費用
一次手術(通常埋入) | 198,000円 |
|---|---|
一次手術(抜歯即時) | 231,000円 |
二次手術(通常) | 11,000円 |
上部構造 | 11,000 ~ 165,000円 |
※インプラントによる治療は保険が適用されない自費診療です。
※金額は全て税込表示です。
お支払いについて
川名部歯科医院では、以下の支払い方法に対応しています。
※詳細は公式ホームページにてご確認ください。
●現金
●クレジットカード
●デンタルローン
基本情報
住所
144-0034 東京都大田区西糀谷4丁目21-4 Tビル 1F
最寄駅
京浜急行電鉄空港線「糀谷駅」
診療時間
月〜金 9:30〜13:00 /14:30〜18:30 土 9:30〜13:30 /15:00〜18:00 日・祝:休診日
電話番号
03-3744-4182
6. シーク歯科・矯正歯科(蒲田駅)

医院紹介
JR蒲田駅東口からは徒歩1分の場所に位置する「シーク歯科歯科・矯正歯科」。
月曜日から日曜日、祝日まで毎日診療をおこなっており、忙しい方でも通院スケジュールを調整しやすいでしょう。
総合的な観点から、患者様の健康的で美しい歯を維持することを目指し、一人ひとりに合わせた専門性の高い治療を提供しています。
インプラント治療においては、国際インプラント学会指導医の資格を持つドクターが、各状況に合わせた質の高い治療を提供されています。
治療後の保証体制も整えられているので、安心して任せられるでしょう。
医院の詳細は公式ホームページにてご確認ください。
設備
◆歯科用CT
◆口腔内スキャナー
◆マイクロスコープ
インプラントに関わる費用
カウンセリング | 3,300円 |
|---|---|
歯科用CT撮影+診断 | 11,000円/回 |
インプラント体 | 231,000円 |
上部構造 | メタル 132,000円/本 |
オーバーデンチャー | ロケーター 100,000円/箇所 |
※インプラントによる治療は保険が適用されない自費診療です。
※金額は全て税込表示です。
お支払いについて
シーク歯科・矯正歯科では、下記支払い方法に対応しています。
※詳細は医院へお問い合わせください。
●現金
●クレジットカード
●デンタルローン
基本情報
住所
〒144-0052 東京都大田区蒲田5-11-10 FUNDES蒲田 601
最寄駅
JR蒲田駅東口から徒歩で約1分
診療時間
月~土:9:30〜13:00/14:00〜18:30 日・祝:9:30〜13:00/14:00〜17:30
電話番号
03-6843-3623
7. 大森CT歯科・矯正歯科(大森海岸駅)

医院紹介
京急本線「大森海岸駅」から歩いてわずか3分、イトーヨーカドー大森店の2階にある「大森CT歯科・矯正歯科」。
平日は夜8時まで診療しているので、お仕事帰りでも余裕を持って通院できるのが嬉しいポイントです。
院内は、患者さんのプライバシーに配慮した完全個室の診療室が備わっており、周りの目を気にすることなくリラックスして治療に専念できます。
治療方針は徹底した「患者さん中心で、一人ひとりの悩みや希望を丁寧にヒアリングし、複数の治療プランを分かりやすく提示してもらえます。
さまざまある治療のなかでも、特にインプラント治療には力を入れており、担当するのはインプラントメーカー公認のインストラクター資格を持つドクターです。
海外での研鑽を積んでおり、その確かな知識と技術に基づいた質の高い治療が期待できます。
より詳しい情報はぜひ公式ホームページでご確認ください。
設備
◆歯科用CT
◆オペ室
◆マイクロスコープ
◆拡大鏡
インプラントに関わる費用
CT | 20,000円 | ||||||||
|---|---|---|---|---|---|---|---|---|---|
フィクスチャー |
| ||||||||
アバットメント | 30,000円 | ||||||||
カスタムアバットメント | 50,000円 | ||||||||
上部構造物 |
| ||||||||
プロビジョナルインプラント上部(仮歯) | 20,000円 |
※インプラントによる治療は保険が適用されない自費診療です。
※金額は全て税込表示です。
お支払いについて
大森CT歯科・矯正歯科では、下記の支払い方法に対応しています。
※詳細は医院へお問い合わせください。
●現金
●デンタルローン
基本情報
住所
〒150-0031 東京都大田区大森北2丁目13-1 イトーヨーカドー大森店2階
最寄駅
「大森海岸駅」徒歩で3分/大森駅(東京都)東口徒歩で約8分
診療時間
月~金:10:00~14:00/15:00~20:00 土・日・祝:10:00~14:00/15:00~20:00
電話番号
03-5753-7145
インプラント治療について
インプラント治療とは?
インプラント治療は、失った歯を補うための治療法です(※公的医療保険が適用されない自由診療です)。
歯を失った顎の骨にインプラント体を埋入し、そのインプラント体を土台に被せ物をすることで失った歯を補完します。
インプラントの構造やメリット・デメリットなどについてはこちら
治療の流れ
下記、一般的な治療の流れです。
※あくまでも一般的な流れであり、下記とは異なる流れで治療がおこなわれることもあります。
【二回法の場合】
1.カウンセリング
2.検査・治療計画の策定
3.骨造成や骨移植(ケースによっては不要)
4.一次手術(インプラントの埋入)
5.待機期間(人工歯根と顎骨の結合待ち)
6.二次手術(アバットメントの取付)
7.型取り
8.上部構造を装着して完了
※その後は定期的にメンテナンスを受ける必要がある
【一回法の場合】
1.カウンセリング
2.検査・治療計画の策定
3.骨造成や骨移植(ケースによっては不要)
4.インプラント埋入手術
5.待機期間(人工歯根と顎骨の結合待ち)
6.型取り
7.上部構造を装着して完了
※その後は定期的にメンテナンスを受ける必要がある
治療期間や通院回数の目安
治療期間:3ヵ月~1年程度
通院回数:8~10回程度
※具体的な治療期間や通院回数は、患者さん1人ひとりの口腔状態や要望、治療内容などによって異なります。
想定されるリスク・副作用
下記、インプラント治療で想定されるリスク・副作用です。
・神経や血管を傷つけて感覚麻痺が起きる
・患部に腫れ、痛み、違和感が生じる
・患部から出血する
・顔や首などに内出血斑が出る
・チタンアレルギーが起きる
・上顎にインプラント体を埋入する際、上顎洞を破る
・インプラント体と顎骨が上手く結合しない
・インプラント周囲炎になる
Medee歯科検索は、おすすめしたい歯医者を掲載しています。
駅、行政区、診療時間、歯科医院の特徴、診療科目など豊富な検索メニューで歯科医院を検索可能。
また歯科医院のWebサイトはもちろん各種予約ツールも利用することが可能で、より簡単に歯科医院を探すことができます。
新着記事

【2026年】海老名市でインビザライン矯正におすすめしたい歯科医院3選

【2026年】葛飾区でセカンドオピニオン対応のインプラント治療におすすめしたい歯科医院3選

【2026年】広島市でオールオン4におすすめしたい歯科医院3選

【2026年】立川市でセカンドオピニオン対応のインプラント治療におすすめしたい歯科医院3選

【2026年】東京都で裏側矯正におすすめしたい歯科医院3選
関連する記事

【2026年】葛飾区でセカンドオピニオン対応のインプラント治療におすすめしたい歯科医院3選

【2026年】広島市でオールオン4におすすめしたい歯科医院3選

【2026年】立川市でセカンドオピニオン対応のインプラント治療におすすめしたい歯科医院3選

【2026年】千葉県でオールオン4におすすめしたい歯科医院3選

【2026年】梅田周辺でオールオン4におすすめしたい歯科医院3選

【2026年】東久留米市でインプラント治療におすすめしたい歯科医院3選

【2026年】足立区でセカンドオピニオン対応のインプラント治療におすすめしたい歯科医院3選

【2026年】和歌山市でオールオン4におすすめしたい歯科医院3選

【2026年】港区で骨造成対応のインプラント治療におすすめしたい歯科医院3選

【2026年】愛媛県でインプラント治療におすすめしたい歯科医院3選

【2026年】伊丹市でオールオン4におすすめしたい歯科医院3選

【2026年】堺市南区でインプラント治療におすすめな歯科医院3選

【2026年】中央区でフラップレスインプラント治療におすすめしたい歯科医院3選

【2026年】福山市でインプラント治療におすすめしたい歯科医院3選

【2026年】佐久市でインプラント治療におすすめしたい歯科医院3選

【2026年】広島県でインプラント治療におすすめしたい歯科医院3選

【2026年】多摩市周辺でインプラント治療におすすめしたい歯科医院5選

【2026年】東京都で抜歯即時インプラントにおすすめしたい歯科医院3選

【2026年】足立区でオールオン4におすすめしたい歯科医院7選

【2026年】兵庫県でインプラント治療におすすめしたい歯科医院5選



