【2026年】東京都でオールオン4におすすめしたい歯科医院3選
2025/5/21
2026/4/24
#インプラント

東京都には1万以上の歯科医院が存在しており、専門医の資格を持つドクターが在籍してたり、痛みに配慮した取り組みをおこなっていたり、さまざまな医院の選択肢があります。
参考:東京都|地域医療情報システム(日本医師会)
都内でできるだけ信頼できる医院を探そうと思っても、医院の数が多く悩んでしまうことでしょう。
そこで本記事では、東京都でインプラントに対応している歯科医院を、埋入実績や導入設備などいくつもの要素をもとに整理しました。
要素の詳細については「インプラントのおすすめしたい歯科医院について」にてご確認いただければと思います。
東京都でインプラント治療に対応している歯科医院をお探しの方は、ぜひ参考にしてみてください。
※2026年4月時点におけるMedee編集部の調査データとなります。
<関連記事>
【2026年】東京でインプラント治療におすすめしたい歯科医院3選
【2026年】東京都でオールオン4におすすめしたい歯科医院3選
1. よしひろ歯科クリニック(東京都品川区)PR

納得するまでじっくり相談|患者様と一緒にゴールを目指す
よしひろ歯科クリニックは「武蔵小山」駅より徒歩3分の場所に医院を構え、土日も診療している医院です。
平日は仕事で忙しい方でも土日を利用して通院しやすい診療体制となっています。
患者さんが安心して治療に臨めるよう「患者様と一緒にゴールを目指す」ことを重視しており、二人三脚で治療を進めてもらえます。
一方的な説明ではなく、納得するまでじっくりと相談できる体制を整え、一人ひとりの「解決したいこと」に真摯に向き合ってもらえるでしょう。
精密な診断と安全性が求められるインプラント治療においては、歯科用CTスキャンを完備して顎骨の状態や神経・血管の位置を立体的に把握することで、より精密で安全性の高い治療計画を立てています。
また、インプラント治療専用のオペ室を設け、徹底した衛生管理のもと治療を受けられる環境を整備。
インプラント治療の経験が豊富な熟練の歯科医師をはじめ、歯科衛生士や歯科技工士が連携するチーム医療で、患者さんを全力でサポートしています。
セカンドオピニオンを受け付けているので、すでに他の歯科医院を受診されている方でもインプラント治療について相談することが可能です。
特徴1 3つ以上のインプラント専門資格を保持|専門性の高いドクターが担当

インプラント治療では、インプラントの埋入手術や治療前後の歯周ケアなどさまざまな部分で高い専門性が求められる治療です。
よしひろ歯科クリニックでインプラントを担当するドクターは、インプラント治療で求められる各分野において高い専門性を有しています。
インプラント治療に関しては、日本口腔インプラント学会の専門医やISOI(国際口腔インプラント学会)の指導医などをはじめ3つ以上の専門資格を持ち、国内だけでなく国際基準でも専門資格を認定されています。
また、日本臨床歯周病学会歯周病認定医の資格も持ち、治療前後の歯周ケアに関して高水準な治療が期待できるでしょう。
さらには、東京医科歯科大学歯学部補綴科で研究をされていた経歴があり、入れ歯をはじめとする補綴物への専門性も有しているので、最終的に取り付ける上部構造(人工歯)の出来にも期待できます。
このようによしひろ歯科クリニックでは、インプラント治療に求められる各分野において高い専門性を持ったドクターが治療を担当してくれます。
特徴2 骨が少なくてもあきらめない|高度な技術で難症例にも対応

4本のインプラントで片顎12本分の人工歯を支えるオールオン4は、骨の多い箇所を選らんでインプラントを埋入できるため、骨が少ない方でも治療できる可能性があります。
ただ、骨の状態にはそれぞれ個人差があり、人によってはオールオン4での治療が難しいケースもあります。
こういった方でもオールオン4での治療ができるよう、よしひろ歯科クリニックではザイゴマインプラントやサイナスリフトなどの治療に対応しています。
ザイゴマインプラントとは、通常より長いインプラントを顎骨ではなく頬骨に埋入する治療法です。
上顎の骨が著しく痩せ顎骨にインプラントを埋入するのが難しいケースでも、ザイゴマインプラントでなら治療できる可能性があります。
また、サイナスリフトは足りない上顎の骨を増やす手術のことです。
インプラントの埋入に必要な骨を増やすことによってインプラント治療をおこなえる可能性が高まります。
顎骨の状態が悪くインプラント治療を諦めていた方は、一度よしひろ歯科クリニックにて相談してみてはいかがでしょう。
特徴3 インプラントに精通した衛生士が治療後も継続的にサポート

インプラントの長持ちには、歯科医師の技術力だけでなく治療後の丁寧なメンテナンスが欠かせません。
どんなに治療がうまくいっても、メンテナンスを怠るとインプラントの寿命は短くなってしまいます。
よしひろ歯科クリニックには、日本口腔インプラント学会が認定する「インプラント専門歯科衛生士」が在籍しており、術後のケアにも注力されています。
手術して終わりではなく、その後も安心して使い続けられるインプラント治療を大切にしているのです。
インプラント治療に関する専門的な知識を持った歯科衛生士より、丁寧なケアやアドバイスが受けられるでしょう。
さらに、インプラント体(フィクスチャー)には最長10年の保証制度を設けており、定期的なメンテナンスを受けることで、保証内容も継続的に適用されます。
設備
歯科用CT

名前のとおり歯科用に特化したCT装置です。デジタルレントゲンとは異なり、立体的な画像を取得することができ、顎骨の形状や神経の位置などを詳細に把握することができます。
オペ室

インプラント埋入手術専用に設けられたオペ室です。感染予防対策が徹底されたオペ室です。
マイクロスコープ

対象を4〜20倍に拡大して観察することができる歯科用顕微鏡です。より精密な治療をおこなう際にも用いられます。
口腔外バキューム

治療時に飛散する唾液や血液、切削粉塵などを吸引するための機器です。
インプラントに関わる費用
インプラント埋入治療
診療内容 | 料金 |
|---|---|
インプラント埋入治療診断料/1回 | 22,000円 |
静脈内麻酔(セデーション)/1回 | 77,000円 |
埋入手術(ノーベル) | 264,000円 |
上部セラミック(ノーベル) | 198,000円 |
埋入手術(オステム) | 143,000円 |
サイナスリフト/1歯 | 220,000円 |
ソケットリフト/1歯 | 55,000円 |
FGG(歯肉移植)/1回 | 88,000円 |
骨移植/1回 | 165,000円 |
オールオンフォー
診療内容 | 料金 |
|---|---|
インプラント埋入治療診断料/1回 | 22,000円 |
静脈内麻酔(セデーション)/1回 | 77,000円 |
埋入/片顎 | 264,000円 |
即時プロビ/片顎 | 198,000円 |
セカンドプロビ/片顎 | 143,000円 |
ファイナル上部構/片顎 | 220,000円 |
ザイゴマインプラント
診療内容 | 料金 |
|---|---|
インプラント埋入治療診断料/1回 | 22,000円 |
静脈内麻酔(セデーション)/1回 | 99,000円 |
埋入/片顎 | 1,100,000円 |
即時プロビ/片顎 | 220,000円 |
セカンドプロビ/片顎 | 550,000円 |
ファイナル上部構/片顎 | 880,000円 |
※インプラントによる治療は保険が適用されない自費診療です。
※金額は全て税込表示です。
お支払いについて
よしひろ歯科クリニックでは、下記支払い方法に対応しています。
※詳細は医院へお問い合わせください。
●現金
●クレジットカード
●デンタルローン
インプラントによる治療は医療費控除の対象です。
医療費控除の使用することで治療費の一部が返ってくるので、ぜひ活用しましょう。
<関連記事>
【年収別】インプラントで医療費控除を使ったらいくら戻ってくる?申請方法も解説
歯科医師紹介
.jpg)
山田 嘉宏
経歴
平成3年昭和大学歯学部 卒業 平成3年東京医科歯科大学歯学部補綴科 入局 平成5年茨城友部診療所 勤務 平成6年東京品川区共立歯科 分院長 平成11年よしひろ歯科クリニック 開院 平成14年医療法人社団隆嘉会よしひろ歯科クリニック 設立
所属学会・資格・スタディーグループ
厚生労働省認定歯科医師臨床研修指導医 日本口腔インプラント学会専門医 IDIA(国際歯科インプラント協会/旧 ADIA(アメリカ歯科インプラント協会))専門医/指導医 DGZI(ドイツ口腔インプラント学会)専門医/指導医 ISOI(国際口腔インプラント学会)専門医/指導医 ICOI(国際口腔インプラント学会)認定医 日本臨床歯周病学会歯周病認定医
メッセージ
基本情報
住所
〒142-0063 東京都品川区荏原3-3-1 カーサリッカ1F
最寄駅
東急目黒線「武蔵小山」駅から徒歩で約3分/東急池上線「戸越銀座」駅から徒歩で約10分
診療時間
月・火・木・金:9:30~12:30/14:30~19:00 土・日:9:30~12:30/13:40~17:30 水・祝・休診日
電話番号
03-5498-4618
2. 新宿きらきら歯科(東京都新宿区)PR
新宿きらきら歯科(東京都新宿区)のインプラントに関する動画
本場の技術やノウハウに基づくオールオン4
患者様により良い未来を届けるために、日々の研鑽を惜しまず丁寧な診療を提供するのが、【新宿きらきら歯科】です。
JR新宿駅から徒歩10分の場所に位置し、夜21時まで診療をおこなっているため、お仕事帰りでも無理なく通院できます。
その確かな技術と評判を聞きつけ、日本全国のみならず海外からも患者様が来院されています。
インプラントとセラミック治療を合わせた年間症例件数は合計約4,000件にのぼり、患者様の多様なニーズに応える質の高い医療が期待できるでしょう。
また同院の歯科医師は現状に満足することなく、オールオン4発祥の地であるポルトガル・リスボンの「マロクリニック」へ直接足を運び、本場の技術やノウハウを学んでいます。
そこで得た世界基準の知見を日々の臨床に活かし、一人ひとりのお口の状態に寄り添った治療計画を提案してくれます。
高度な専門性が求められるオールオン4において、国内外で培われた深い見識は、治療を任せるうえで大きな安心材料となるはずです。
東京都でオールオン4を検討されているなら、一度相談してみてはいかがでしょうか。
特徴1 ガイドを用いた精密なインプラント手術

オールオン4/6をはじめとするインプラント治療を検討する際、「手術は失敗しないか」といった不安を抱く方は多いです。
新宿きらきら歯科では、そうした患者様の不安を和らげ、より安全に配慮した治療を提供するために「コンピューターガイド」を用いた精密な手術を導入しています。
これは事前のCTデータをもとに、コンピューター上で顎の骨の形状や神経・血管の位置などを立体的に把握し、インプラントを埋め込む正確な位置や角度を事前にシミュレーションするシステムです。
このシミュレーションデータをもとに作製された専用のマウスピース型の装置(サージカルガイド)を手術時に装着することで、計画通りの位置へピンポイントでインプラントを入れることが可能になります。
さらに、症例によっては、リアルタイムでドリルの位置を把握できるナビゲーションシステムを使用し、より精度の高い手術を実施することができます。
こうしたデジタル技術を駆使することで、歯科医師の経験や勘に頼るのではなく、シミュレーションに基づいた治療がおこなえることから人的ミスの軽減にもつながります。
また、手術時間の短縮にもなり、複数のインプラントを入れるオールオン4/6においても、可能な限り時間を短縮させる手術が期待できるでしょう。
特徴2 院内技工によって精度の高い修復物をスピーディに提供

オールオン4では、上部構造(人工歯)の精密な噛み合わせや自然な美しさが、治療後の生活の質を大きく左右します。
通常、人工歯の作製は外部の歯科技工所に委託することが一般的ですが、新宿きらきら歯科では院内に専用の歯科技工所を併設しています。
歯科医師と専属の歯科技工士が密に連携し、患者様のご要望やお口の情報を細部まで共有しながら製作を進めることが可能です。
歯の色調や微細な形状の調整もスムーズにおこなえるため、よりご自身の顔立ちに馴染む精巧な仕上がりが期待できます。
また、外部へ依頼する輸送期間が省かれるため、スピーディに修復物が提供される点も、一日でも早く新しい歯で食事や会話を楽しみたい患者様にとって大きな魅力といえるでしょう。
特徴3 ウトウトと眠っている間に治療を終える静脈内鎮静法に対応

オールオン4では、外科手術を伴うため「過去の歯科治療で嫌な思いをしたことがあって怖い」「手術中の音や振動に耐えられるか不安」と治療をためらう方も少なくありません。
新宿きらきら歯科では、そのような患者様の恐怖心やストレスを和らげるため「静脈内鎮静法」という麻酔法を用いた治療に対応しています。
点滴から鎮静剤を入れることで、半分眠っているような、ウトウトとリラックスした状態へと導かれます。
全身麻酔とは異なり完全に意識を失うわけではありませんが、不安や緊張が大きく和らぐため、気づいた時には「もう手術が終わっていた」と感じる患者様が多いのが特徴です。
もちろん局所麻酔と併用するため、手術中の痛みに配慮されています。
歯科恐怖症の方や手術が不安な方にとって、新宿きらきら歯科のこの取り組みは大変心強い選択肢となるでしょう。
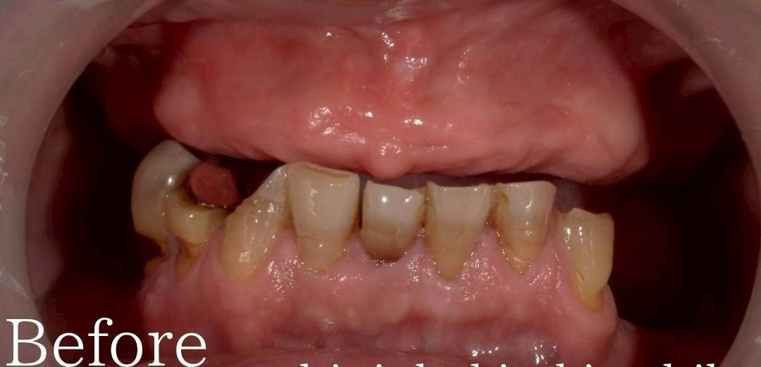
症例1
Before

After

主訴 | 現在は上の総入れ歯を使用しているが、オールオン4治療をおこない、固定式で見た目も美しい歯を手に入れたい。 |
|---|---|
治療内容 | オールオン4治療 |
費用 | 片顎 2,000,000円(税込) |
副作用・リスク | ・外科手術にともなう痛みや腫れ、出血や合併症の可能性がある |
設備
歯科用CT
歯科用CTは歯や顎の骨の状態などを立体的な画像で撮影できる機器です。精密な検査・診断をおこなうのに必須な機器と言えます。
CAD/CAMシステム
コンピュータ制御によって、短時間でセラミックの詰め物や被せ物などを設計・製作できるシステムです。
インプラント手術ナビゲーションシステム
CTデータをもとにコンピュータ上でインプラントを入れる位置や角度をシミュレーションし、その通りにインプラントを入れられるようリアルタイムでナビゲートしてくれるシステムです。
院内技工所
補綴物(被せ物や詰め物など)を作る技工所です。精密でスピーディーな補綴物の作成が可能となります。
インプラントに関わる費用
インプラント | |
|---|---|
カウンセリング | 無料 |
精密検査(CT撮影、レントゲン) | 無料 |
ガイド | 50,000円 |
インプラントオペ | 50,000円 |
インプラント体 | 100,000円 |
上部構造(被せ物) | 100,000円 |
合計 | 30万円/本 |
All-on-4 | 2,000,000円~4,000,000円 |
静脈内鎮静法 | 1回88,000円(税込) |
※インプラントによる治療は保険が適用されない自費診療です。
※金額は全て税込表示です。
お支払いについて
新宿きらきら歯科では以下の支払い方法に対応しています。
※詳細は医院へお問い合わせください。
●現金
●クレジットカード
インプラントによる治療は医療費控除の対象です。
医療費控除を使用することで治療費の一部が返ってくるので、ぜひ活用しましょう。
<関連記事>
【年収別】インプラントで医療費控除を使ったらいくら戻ってくる?申請方法も解説
歯科医師紹介
高根 元恒
経歴
2008年 日本大学松戸歯学部卒業 2009年 臨床研修医終了 2010年 医療法人和光会ボックスヒル歯科勤務 2014年 医療法人郁栄会寒竹歯科勤務 2016年 医療法人郁栄会ベイデンタルクリニック院長 2017年 赤坂きらきら歯科開業 2022年 新宿きらきら歯科へ医院拡大のため移転開業
所属学会・資格・スタディーグループ
MALO DENTAL & MEDICAL Alliance Team 提携 X-GUIDE ダイナミックナビゲーション機関 認定
メッセージ
基本情報
住所
〒160-0022 東京都新宿区新宿三丁目11-9 花菱ビル8階
最寄駅
JR新宿駅 徒歩10分/東京メトロ副都心線・丸ノ内線 新宿三丁目駅 徒歩1分
診療時間
不定休 10:00〜21:00
電話番号
03-6459-1616
3. 赤羽駅前歯科(東京都北区)PR

インプラントのエキスパートと大学病院レベルの設備で実現する安全性の高い高水準なインプラント
JR赤羽駅東口より徒歩3分の場所に位置する「赤羽駅前歯科」はインプラント専門のクリニックです。
同院の院長である西川健太先生は、25年以上にわたりインプラント手術に携わってきた豊富な経験を有しています。
加えて、国際的なインプラント学術団体である国際口腔インプラント学会(ICOI)の認定医・指導医の資格を持ち、まさに同分野のエキスパートと言えるでしょう。
実際の診療では西川院長を中心に、日本歯科麻酔学会認定専門医や歯科衛生士、歯科技工士らが密に協力し合うチーム医療を実践。
各分野のプロフェッショナルが力を合わせることで、通常では処置が難しいとされるような症例にも対応できる体制を整えています。
また、医療機器などのハード面においても妥協がなく、精密な診断を可能にする歯科用CTやマイクロスコープ、全身麻酔器を完備したインプラント専用の手術室など、大学病院レベルと同等の設備が整えられています。
このように赤羽駅前歯科は、高い専門性を持つインプラントドクターを中心としたチーム医療と大学病院並みの充実した設備環境を併せ持ち、安全性の高い高水準なインプラント治療がおこなえる医院です。
特徴1 【通算10,000本以上】世界的シェアを誇るストローマン社製インプラントの圧倒的な実績

インプラント治療において、どのようなインプラントを使用するかは、治療の質を左右する重要な要素となります。
そのため医院選びの段階で「どのメーカーのインプラントを使っているか」を確認することは、医院選びで欠かせないポイントと言えます。
この点において赤羽駅前歯科では、世界的なシェアを誇るストローマン社のインプラントを採用しています。
ストローマン社はインプラントの長年にわたる臨床実績・研究データを有しており、世界中で広く用いられているメーカーのひとつです。
同院ではそのなかでも上位ランクの製品のみを使用し、より高品質なインプラント治療を実現しています。
ストローマン社製のインプラントを用いた手術を年間平均500本(通算10,000本以上)も手がけている点も見逃せません。
こうした豊富な実績や技術水準の高さから、実績・技術レベルが高い歯科医院としてストローマン社より、ストローマン社エクセレンスパートナーに選出されています。
インプラントは体の一部となるものだからこそ、同院では信頼性の高いメーカーを採用し、数多くの症例で培った経験・技術力のもと、患者さんが安心して治療に臨める環境を整えています。
特徴2 日帰り全身麻酔で高度なインプラント治療でも患者さんの負担を軽減

赤羽駅前歯科ではインプラントの専門クリニックとして、一般的なインプラント治療はもちろんのこと、オールオン4やザイゴマインプラントなど高度なインプラント治療にも対応しています。
ただし、オールオン4やザイゴマインプラントのような複数本のインプラントを同時に埋入する手術は、通常のインプラント手術と比べて患者さんへの身体的負担が大きくなりやすいものです。
こうしたケースの治療において、同院では日帰り全身麻酔を用いたインプラント手術を実施することで、患者さんの負担を軽減したインプラント治療を実現しています。
全身麻酔下での処置により、術中の痛みや緊張を感じることなく手術を終えられるため、処置の範囲が広い場合や、歯科治療への恐怖心が強い方でも、精神的・身体的な負担を抑えた状態で治療を受けることが可能です。
さらに、入院を伴わない日帰り手術であることから、お仕事などでまとまったお休みが取れない方でも、無理なく治療が受けられる点も特徴のひとつです。
麻酔処置は日本歯科麻酔学会認定専門医による安全管理のもと実施されるため、安心して手術を受けることができるでしょう。
特徴3 精密な検査・シミュレーションに基づく切らない縫わないインプラント治療

インプラント治療では、インプラントの埋入位置や角度などのわずかなズレが、術後の噛み合わせや長期的な安定性に影響を及ぼします。
そのため事前に立てる治療計画の精度が、治療の成否を左右する重要な要素のひとつとなります。
赤羽駅前歯科では、歯科用CTや専用のシミュレーションソフトを組み合わせることで、目視できない顎の骨の立体構造や神経の位置など正確に把握し、細部まで計算し尽くされた治療計画を立案しています。
オールオン4を希望される方や骨量が少ない方のケースでは、CTデータをもとに3Dプリンターで患者さん本人の実寸大の顎骨模型を術前に作製。
この精巧な実体模型上で手術の予行演習を重ねることで、極めて精度の高い処置を可能にしています。
こうした緻密に立てられた治療計画を基盤として、同院では歯肉をほとんど切らないフラップレス手術を採用。
フラップレス手術では歯肉に小さな穴を開け、そこ部分からインプラントを埋め込むため、従来の切開を伴う手術と比べて、術後の痛みや腫れが生じにくいのが特徴の治療法です。
同院で実施されるインプラント手術の約9割がこの負担の少ない術式でおこなわれており、精密な治療計画があってこそ実現できる高い適用率といえるでしょう。
症例1
Before

After

年齢/性別 | 50代/男性 |
|---|---|
主訴 | 上の歯が3本しかないため、少ない本数で綺麗な歯を作りたい |
治療内容 | 上顎の歯を全て抜歯し、オールオン5で治療 |
治療期間/治療回数 | 7ヵ月/14回 |
治療費用 | ・上あごオールオン5 ¥4,422,000 |
副作用・リスク | ・術後は腫れ、痛み、出血を伴う可能性があります。 |
設備
歯科用CT

立体画像のもと、歯や顎の骨の状態など顎顔面領域の全体をカバーできる高性能な歯科用CTです。患者さんそれぞれの状態に合わせた精度の高いインプラント治療をおこなううえで必須の機器です。
インプラント専用手術室

全身麻酔器を完備した大学病院レベルのインプラント専用の手術室です。
3Dプリンター

CTデータをもとに、3Dプリンターを用いて実寸大で患者さんの顎骨のプラスチック模型を作製できる機器です。歯科医師は事前に患者さんの顎の骨の状態を手に取って把握することができます。
デジタルマイクロスコープ

対象を肉眼の数十倍にまで拡大して見ることができる歯科用顕微鏡です。より精密な診断・治療が可能となります。
3Dコンピューターシミュレーションシステム

治療前に撮影した歯科用CTのデータを取り込み、顎の骨の状態を詳細に確認しながらシミュレーションがおこなえるシステムです。このシステムを活用することで、より安全性高く無理のない治療計画を立てることが可能になります。
口腔内3Dスキャナー

口内を専用の機器でスキャンすることで、歯や歯茎の形状といったお口の状態を3Dデータとして取得できる機器です。従来の粘土のような素材を使わずに歯型を採取することができます。
インプラントに関わる費用
検査(診断用模型作製・CT撮影) | ¥16,500 無料 | 当院でインプラントを契約されていない方は¥16,500かかります。 | ||
|---|---|---|---|---|
3Dシミュレーションによる精密検査 | ¥16,500 無料 |
| ||
3Dプリンタによる顎骨模型の作製 | ¥55,000 | |||
インプラント埋入手術 | ¥209,000 | 従来のストローマン社の製品SLA®に比べ、骨再生を16倍促進。最短1ヵ月半でインプラント治療が完了。 | ||
インプラント埋入手術 | ¥231,000 | 従来のストローマン社の製品SLA®に比べ、骨再生を16倍促進。最短1ヵ月半でインプラント治療が完了。 | ||
アバットメント | チタン | ¥55,000 |
| |
ジルコニア | ¥77,000 |
| ||
SRA | ¥110,000 |
| ||
人工歯 | ジルコニアセラミック | ¥154,000 | ||
フルジルコニア | ¥132,000 | |||
銀歯 | ¥66,000 |
| ||
仮歯 | ¥16,500 | 必要な場合のみ | ||
即時仮歯 | ¥99,000 | インプラント埋入手術後7日以内にインプラントに締結した仮歯。 | ||
スクリューリテイン① | +¥22,000 | ネジ着脱式(人工歯がジルコニアの場合) | ||
スクリューリテイン② | +¥44,000 | ネジ着脱式(人工歯がジルコニア以外の場合) | ||
お薬代・麻酔代 | ¥0 | |||
※通常はこれ以外の料金はかかりません。
※ただし、通常のインプラント埋入手術のみではインプラントの安定が難しい場合、補助手術として骨を増大させるためにGBR手術やサイナスリフト手術が必要になることがあります。
オールオン4 | |||
|---|---|---|---|
CT撮影 | ¥16,500 無料 | 当院でインプラントを契約されていない方は¥16,500かかります。 | |
3Dシミュレーション | ¥16,500 無料 |
| |
3Dプリンタによる顎骨模型の作製 | ¥55,000 | 必要な場合のみ | |
サージカルガイド | ¥33,000 | 必要な場合のみ | |
即時義歯の型取り | ¥55,000 | 術前に義歯を作製しておき、インプラント手術当日にインプラントに直接ネジ止め固定式仮歯に改良できるように準備しておきます。 | |
静脈内鎮静 | ¥99,000 | 必要な場合のみ | |
全身麻酔 |
| 必要な場合のみ | |
ボーンリダクション(顎骨の平坦化) | ¥0 | 必要な場合のみ | |
ザイゴマインプラント加算 | 1本 +¥550,000 | オールオン4の1本をザイゴマインプラントにした場合(残りの3本は通常のインプラント) | |
ザイゴマインプラント追加埋入手術 | 1本 +¥891,000 | オールオン4に追加でザイゴマインプラントを埋入してオールオン5になった場合 | |
オールオン4 手術 | オール on 4 | ¥1,980,000 | ストローマン社製の上位モデルBLXを使用 |
オール on 5 | ¥2,321,000 | ||
オール on 6 | ¥2,662,000 | ||
セカンドプロビ | ¥231,000 | 必要な場合のみ | |
上部構造(最終的に装着する人工歯) | オールオン4〜6 | ¥840,000(ハイブリッドレジン) | |
総額 | オール on 4 | ¥2,820,000~¥3,960,000(税込) | |
オール on 5 | ¥3,161,000~¥4,301,000(税込) | ||
オール on 6 | ¥3,502,000~¥4,642,000(税込) | ||
インプラントの補助手術 | ||
|---|---|---|
上顎洞底挙上術(サイナスリフト) | +¥66,000~¥363,000 | |
GBR(骨再生誘導法) | 1歯+¥66,000~¥363,000 | |
チタンメッシュを使用したGBR(骨再生誘導法) | 1歯+¥495,000~¥770,000 | |
抜歯即時 | +¥66,000~¥363,000 | |
スプリットクレスト | +¥66,000~¥363,000 | |
ボーンリダクション(顎骨の平坦化) | ¥143,000 | |
難症例加算 | 1歯+¥66,000~¥363,000 | |
歯肉移植手術 | 1歯 ¥198,000~550,000 | |
サージカルガイドによる手術 | +¥33,000円 | |
※インプラントによる治療は保険が適用されない自費診療です。
※金額は全て税込表示です。
お支払いについて
赤羽駅前歯科では、以下の支払方法に対応しています。
※詳細は医院へお問い合わせください。
●現金
●デンタルローン
●クレジットカード
インプラントは医療費控除の対象であり、利用することで払った治療費のいくらかが返ってきます。ぜひ活用しましょう。
<関連記事>
【年収別】インプラントで医療費控除を使ったらいくら戻ってくる?申請方法も解説
歯科医師紹介

西川 健太
経歴
日本大学 松戸歯学部 歯学科 卒業 平成13年 歯科医師免許 取得 平成14年 都内医療法人にて勤務 老人ホーム訪問診療 インプラント専門クリニック 分院長等を経て 平成16年 わらび駅前歯科 院長就任 平成26年 医療法人 煌潤会 わらび駅前歯科 令和4年 医療法人煌潤会 赤羽駅前歯科 移転により改称
所属学会・資格・スタディーグループ
国際インプラント学会(ISOI)認定医・指導医 ドイツ口腔インプラント学会(DGZI Japan)認定医・指導医 厚生労働省認定 臨床研修指導医
メッセージ
基本情報
住所
〒115-0045 東京都北区赤羽1-2-6 赤羽駅前丸澤ビル4階
最寄駅
JR線「赤羽駅」東口より徒歩で約1分
診療時間
月・火・水・金:10:00~13:00/14:30~19:00 木・土:10:00~13:00/14:30~17:30 日・祝:休診日
電話番号
0800-600-8844
インプラント治療について
インプラント治療とは?
インプラント治療は、失った歯を補うための治療法です(※公的医療保険が適用されない自由診療です)。
歯を失った顎の骨にインプラント体を埋入し、そのインプラント体を土台に被せ物をすることで失った歯を補完します。
インプラントの構造やメリット・デメリットなどについてはこちら
治療の流れ
下記、一般的な治療の流れです。
※あくまでも一般的な流れであり、下記とは異なる流れで治療がおこなわれることもあります。
【二回法の場合】
1.カウンセリング
2.検査・治療計画の策定
3.骨造成や骨移植(ケースによっては不要)
4.一次手術(インプラントの埋入)
5.待機期間(人工歯根と顎骨の結合待ち)
6.二次手術(アバットメントの取付)
7.型取り
8.上部構造を装着して完了
※その後は定期的にメンテナンスを受ける必要がある
【一回法の場合】
1.カウンセリング
2.検査・治療計画の策定
3.骨造成や骨移植(ケースによっては不要)
4.インプラント埋入手術
5.待機期間(人工歯根と顎骨の結合待ち)
6.型取り
7.上部構造を装着して完了
※その後は定期的にメンテナンスを受ける必要がある
治療期間や通院回数の目安
治療期間:3ヵ月~1年程度
通院回数:8~10回程度
※具体的な治療期間や通院回数は、患者さん1人ひとりの口腔状態や要望、治療内容などによって異なります。
想定されるリスク・副作用
下記、インプラント治療で想定されるリスク・副作用です。
・神経や血管を傷つけて感覚麻痺が起きる
・患部に腫れ、痛み、違和感が生じる
・患部から出血する
・顔や首などに内出血斑が出る
・チタンアレルギーが起きる
・上顎にインプラント体を埋入する際、上顎洞を破る
・インプラント体と顎骨が上手く結合しない
・インプラント周囲炎になる
Medee歯科検索は、おすすめしたい歯医者を掲載しています。
駅、行政区、診療時間、歯科医院の特徴、診療科目など豊富な検索メニューで歯科医院を検索可能。
また歯科医院のWebサイトはもちろん各種予約ツールも利用することが可能で、より簡単に歯科医院を探すことができます。
新着記事

【2026年】海老名市でインビザライン矯正におすすめしたい歯科医院3選

【2026年】葛飾区でセカンドオピニオン対応のインプラント治療におすすめしたい歯科医院3選

【2026年】広島市でオールオン4におすすめしたい歯科医院3選

【2026年】立川市でセカンドオピニオン対応のインプラント治療におすすめしたい歯科医院3選

【2026年】東京都で裏側矯正におすすめしたい歯科医院3選
関連する記事

【2026年】葛飾区でセカンドオピニオン対応のインプラント治療におすすめしたい歯科医院3選

【2026年】広島市でオールオン4におすすめしたい歯科医院3選

【2026年】立川市でセカンドオピニオン対応のインプラント治療におすすめしたい歯科医院3選

【2026年】千葉県でオールオン4におすすめしたい歯科医院3選

【2026年】梅田周辺でオールオン4におすすめしたい歯科医院3選

【2026年】東久留米市でインプラント治療におすすめしたい歯科医院3選

【2026年】足立区でセカンドオピニオン対応のインプラント治療におすすめしたい歯科医院3選

【2026年】和歌山市でオールオン4におすすめしたい歯科医院3選

【2026年】港区で骨造成対応のインプラント治療におすすめしたい歯科医院3選

【2026年】愛媛県でインプラント治療におすすめしたい歯科医院3選

【2026年】伊丹市でオールオン4におすすめしたい歯科医院3選

【2026年】堺市南区でインプラント治療におすすめな歯科医院3選

【2026年】中央区でフラップレスインプラント治療におすすめしたい歯科医院3選

【2026年】福山市でインプラント治療におすすめしたい歯科医院3選

【2026年】佐久市でインプラント治療におすすめしたい歯科医院3選

【2026年】広島県でインプラント治療におすすめしたい歯科医院3選

【2026年】多摩市周辺でインプラント治療におすすめしたい歯科医院5選

【2026年】東京都で抜歯即時インプラントにおすすめしたい歯科医院3選

【2026年】足立区でオールオン4におすすめしたい歯科医院7選

【2026年】兵庫県でインプラント治療におすすめしたい歯科医院5選



