【2026年】豊島区でインプラント治療におすすめしたい歯科医院5選
2025/7/10
2026/3/17
#インプラント

豊島区には、インプラントの豊富な治療実績を誇る歯科医院や、最新設備を備えたより高度な治療が可能な医院など、さまざまな特色を持つクリニックが揃っています。
そのため「どこで治療を受けるのが自分にとってベストなのか」と悩んでしまう方も少なくありません。
この記事では、インプラント治療に対応している豊島区の歯科医院を、実績・設備・特徴など複数の観点からわかりやすく整理しました。
※参考:おすすめしたいインプラント歯科医院について
豊島区で信頼度の高いインプラント治療をご希望の方は、ぜひ本記事を参考にしてみてください。
※2026年1月時点におけるMedee編集部の調査データとなります。
- 1.3熊田歯科医院(下板橋駅)
【2026年】豊島区でインプラント治療におすすめしたい歯科医院5選
1. 大塚CARNA歯科矯正歯科(大塚駅)PR

治療と患者に真摯に向き合う、日本口腔インプラント学会「専門医」によるインプラント治療
大塚駅より徒歩1分の場所に新しく開院した【大塚CARNA歯科矯正歯科】。
同院の院長である髙橋 明寛歯科医師は東京医科歯科大学(現 東京科学大学)の口腔再生再建学分野でインプラント治療を研鑽し「日本口腔インプラント学会 専門医」の資格を有し、シェアNo.1インプラントメーカーのストローマンでは、歯科医師向けの公認講師として活躍されています。
またインプラントだけではなく、入れ歯やブリッジなど歯を失った際に実施する治療である「補綴分野」において「日本補綴歯科学会 認定医」の資格を持ち、インプラントだけではない幅広い知見から患者様に向けてカウンセリングをすることが可能です。
また日本の学術団体だけではなく、ITIと呼ばれる海外のメジャーな団体にも所属し知見の吸収に努めています。
これらは、インプラント治療介入における診査・診断の精度を高めるため、そして患者様により負担の少ない長持ちするインプラントを提供できるようにするための取り組みです。
また、当院に所属する髙橋 彩記子歯科医師は「日本矯正歯科学会 認定医」の資格を取得している矯正治療のスペシャリストです。
インプラントと矯正治療のスペシャリストがそれぞれ在籍している歯科医院は非常に珍しく、そのため大塚CARNA歯科矯正歯科ではインプラントなどの補綴と矯正治療を絡めた全顎的で高度な審美・機能回復治療にも対応しています。
特徴1 トリプルライセンスが裏付ける高水準なインプラント治療

インプラントを希望される患者様にとっては、信頼できる歯科医師に治療を任せたいと考えることは当然お考えになるでしょう。
大塚CARNA歯科矯正歯科では、「日本口腔インプラント学会専門医」および「ITI国際インプラント学会専門医」「日本補綴歯科学会認定医」の資格を持つ院長がインプラント治療を直接担当します。
大手のインプラントセンターなどの場合、誰が担当するのかわからないといった不安もあるかと思います。
しかし、大塚CARNA歯科矯正歯科では全てのインプラント治療は経験豊富な院長自身が対応できるというメリットがあります。
しかしながら、これだけインプラントに高度な専門知識を持っている大塚CARNA歯科矯正歯科ですが、インプラント専門の歯科医院ではありません。
通われる患者様の口腔内の健康を考え「天然の歯に勝るものはない」と考え、健康で残すべき歯は残すことを大切にしています。
トリプルライセンスを有するインプラントに精通する歯科医師が、患者様の健康と希望を最大限に考え治療計画を立てています。
またインプラントに精通する歯科医師が治療計画を立てる場合、多くの選択肢を検討することができることも大きなメリットです。
一例をあげると、上顎の骨が薄くインプラントができないと診断された場合「サイナスリフト」を実施して骨を厚くしてからインプラント埋入をするという選択肢があり、大塚CARNA歯科矯正歯科でも対応することができます。
しかし、大塚CARNA歯科矯正歯科ではさらにワイドショート(幅が広くて短い)インプラントを用いることで、サイナスリフトを回避する手法も選択可能です。
それによって、治療期間を数ヶ月単位で短くし治療費を抑え、サイナスリフトで発生する恐れのある腫れも回避できることが可能になります。
このようにインプラントを一つとっても治療の選択肢が多いことは、患者様にとって大きなメリットになるでしょう。
特徴2 静脈内鎮静法を用いる負担のできる限り少ないインプラント治療

インプラント治療に限らず手術という行為に対して「怖い」「不安」と感じる方は多いでしょう。
そのため、治療を受けたい気持ちはあっても、一歩踏み出せずにいる方もいらっしゃると思います。
大塚CARNA歯科矯正歯科は、こうした不安を抱える患者さんの精神的・身体的な負担を可能な限り軽減するため、必要に応じて「静脈内鎮静法」を用いています。
静脈内鎮静法は点滴によって鎮静薬を投与することで、リラックスした状態で治療が受けられる麻酔です。
よく「眠っている間にインプラント」などと謳っている麻酔も静脈内鎮静法ですが、正確には「うとうとしている間にインプラント」が正しい表現方法でしょう。
麻酔薬の健忘(けんぼう)効果で手術中の記憶はほとんど残らないため、いつの間にか手術が終わっていたという感覚で手術を受けることが可能です。
東京医科歯科大学(現 東京科学大学)や東京歯科大学の麻酔医と連携し、手術中の全身の健康管理を徹底したうえで実施するため、安心して治療を受けていただけます。
また、このように麻酔を用いて治療をすることで患者様の負担を下げることはもちろんですが、当院の歯科医師がインプラントに精通していることで手術時間を短縮し必要な処置以上に身体を傷つけない治療ができることも大きなポイントです。
例えば即時埋入・即時荷重という手法を用いることで、抜歯したその日に仮歯までセットすることが可能になり手術回数を減らすことができたりもします。
他にもさまざまな手法を利用し患者様への負担を軽くすることが可能です。
できる限り患者様の負担を少なくするインプラント治療をお望みの方は、ぜひ相談してみてください。
特徴3 インプラントに必要な高度な設備を備えている

現代のインプラント治療の成功の要素の中に、設備面の充実は必須となります。
充実した精度の高い設備を、知識・経験・技量が豊富な歯科医師が使いこなすことで初めてインプラント治療の成功が待っています。
大塚CARNA歯科矯正歯科では、完全個室のオペ室や無影灯、歯科用CT、インプラント埋入におけるガイドシステム、光学式口腔内スキャナー、インプラント専用モーター、麻酔の際に利用する生体情報モニター、低侵襲な切削が可能なピエゾサージェリー、万が一の急性症状に対応するためのAEDなどインプラントに必要な設備を揃えています。
また大塚CARNA歯科矯正歯科では、ストローマンインプラントを用いています。
ストローマンインプラントは、世界でも日本でもNo.1のシェアを持つインプラントメーカーで、世界中のインプラント歯科医師や患者様から支持されています。
骨と結合しやすいことが特徴で、45年以上の臨床実績がある安心のインプラントメーカーです。
このようにインプラント治療を成功させるための設備も充実しているのが、大塚CARNA歯科矯正歯科です。開院したての清潔な環境で、インプラント治療をおこなってみてはいかがでしょうか。
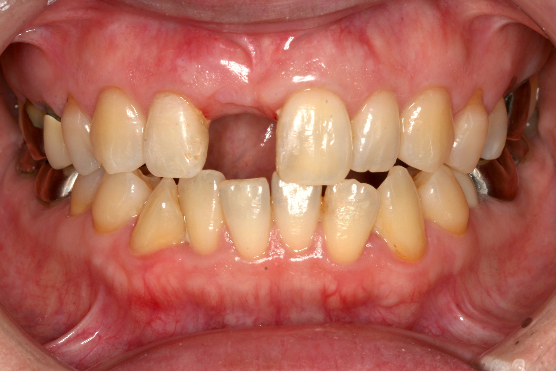
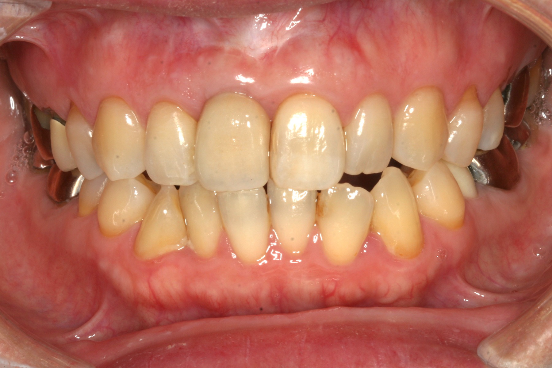
症例1
Before

After

主訴 | 上顎右側1欠損による審美障害 |
|---|---|
治療内容 | インプラント埋入と同日に仮歯を装着して(即時修復)、8週間の経過観察をおこなう。その後、インプラント周囲組織の安定がみられたため、ジルコニアクラウンを装着。 |
治療期間 | 3ヶ月 |
費用 | 530,200円(税込) |
副作用/リスク | 経年的な歯肉退縮、隣接歯の移動 |
設備
セファロ付きCT

歯や顎の状態を立体的に把握することができるセファロ付きCTです。CTは精密な治療が求められるインプラントにおいて必須の装置です。
口腔内スキャナー

専用のスキャナーにて口内を撮影するだけで、歯型を採取できる装置です。今までの粘土のような材料を使わずに歯型が採取できます。
エアフロー

歯をクリーニングする際に用いる機器です。普段の歯磨きでは除去できない着色汚れや歯石を除去することができます。
口腔内カメラ

患者さんの口腔内の状態を把握するために用いる口腔内カメラです。歯や歯茎などさまざまな箇所を隅々まで撮影できます。
手術室

インプラント治療や親知らずの抜歯などの際に用いる、衛生管理が徹底された手術室です。
インプラントに関わる費用
インプラント | |
|---|---|
カウンセリング | 初回無料 |
精密検査 | 22,000円 |
来院ごとにかかる再診料 | 3,300円 |
治療費 | 440,000円〜660,000円 |
インプラント手術 | 275,000円 |
インプラント上部構造 | 165,000円 |
プロビジョナルクラウン(仮歯) | 16,500円 |
リッジプリザベーション | 22,000円 |
施術範囲 | 上顎/下顎 すべての部位に適応 |
禁忌症 | 手術リスクが高い |
治療期間 | 平均3~6ヶ月 |
その他 | |
|---|---|
歯周組織再生療法(1部位) | 66,000円 |
GBR(1部位) | 33,000円〜110,000円 |
サイナスリフト(片側) | 220,000円〜330,000円 |
静脈内鎮静法 | 110,000円 |
※インプラントによる治療は保険が適用されない自費診療です。
※金額は全て税込表示です。
お支払いについて
大塚CARNA歯科矯正歯科では以下の支払い方法に対応しています。
※詳細は医院へお問い合わせください。
●現金
●クレジットカード
●デンタルローン
●院内分割
●電子マネー
●交通系電子マネー
インプラントは医療費控除の対象です。
医療費控除を利用することで治療費のいくらかが返ってきますのでぜひ活用しましょう。
<関連記事>
【年収別】インプラントで医療費控除を使ったらいくら戻ってくる?申請方法も解説
歯科医師紹介

髙橋 明寛
経歴
本郷高等学校 卒業 明海大学歯学部歯学科 卒業 歯科医師臨床研修 修了 東京医科歯科大学大学院医歯学総合研究科 口腔再生再建学分野 医員 東京医科歯科大学病院 先端歯科診療センター登録医 東京歯科大学解剖学講座 修了 医療法人社団寺尾歯科医院 理事 東京都、埼玉県の複数クリニックで 出張ドクターとして勤務
所属学会・資格・スタディーグループ
博士(歯学) 厚生労働省認定歯科医師臨床研修指導医 日本口腔インプラント学会 専門医 ITI国際インプラント学会 専門医 日本補綴歯科学会 認定医 米国心臓協会認定BLSプロバイダー Straumann公認インストラクター 東京医科歯科大学C.D.Eコースインストラクター 日本口腔インプラント学会 顎顔面インプラント学会 日本補綴歯科学会 日本小児歯科学会 東京歯科学会
メッセージ
基本情報
住所
〒170-0005 東京都豊島区南大塚3-34-7 大塚carna6階
最寄駅
大塚駅から徒歩で1分
診療時間
月~土:9:30~13:30/15:00~19:00 日・祝:休診日
電話番号
03-5927-8965
2. 池袋おくやまデンタルクリニック(池袋駅)

医院紹介
豊島区南池袋の「池袋おくやまデンタルクリニック」は、JR「池袋駅」から徒歩1分と、通いやすい立地に位置しています。
医院には「日本口腔インプラント学会の専門医」の資格を持つ歯科医師が在籍しており、難症例にも対応しているそうです。
また、「歯科用CT」や「マイクロスコープ」「クラスB滅菌器」などの医療機器が導入されており、より精度の高いインプラント治療を提供できる環境が整えられています。
診療にあたっては「インフォームドコンセント」を重視しており、患者さんの不安や疑問に丁寧に寄り添いながら、一人ひとりに寄り添った治療計画を提案しているそうです。
豊島区で初めてのインプラント治療をお考えの方は、ぜひ1度相談してみてください。
設備
◆歯科用CT
歯や顎骨、周囲組織の詳細な構造を立体画像で確認することができる医療機器です。
◆マイクロスコープ
一般的な顕微鏡よりも高倍率で対象を確認することができる、歯科用の顕微鏡です。
◆専用オペ室
インプラント治療に特化した、専用の手術室です。
◆クラスB滅菌器
歯科や医療現場で使用される滅菌器の一つで、より高水準の滅菌精度を持つ機器です。
特徴1 患者さんの負担を軽減するインプラント治療
.jpeg)
池袋おくやまデンタルクリニックでは、総入れ歯をお使いの方や、既に多くの歯を失っている方を対象に「オールオン4」という治療をおこなう場合があります。
通常のインプラント治療では、失った歯の本数分のインプラントを埋め込む必要がありますが、オールオン4では片顎合計4本のインプラントで人工歯全体(12本分)を支えることが可能です。
より少ないインプラント本数で完結することで、治療工程を削減することができるため、患者さんの身体的負担を軽減することができます。
また、抜歯からインプラント埋入と仮歯装着までを1日以内で完了させることができ、その夜または翌日から仮歯での食事が可能になります。
さらに、多くの場合は骨移植を必要としないため骨の量が少ない患者さんにも対応できることも特徴のひとつです。
インプラントに関わる費用
オペ諸経費 | ¥55,000 |
|---|---|
インプラント埋入 (臼歯) | ¥275,000 |
インプラント埋入 (前歯) | ¥330,000 |
インプラント上部構造 | ¥132,000 |
All on X フルケース | ¥150,000 |
All on X ジルコニアセラミック | ¥150,000 |
All on Xハイブリット | ¥130,000 |
All on X アクリルジン | ¥110,000 |
All on X レジン床義歯 | ¥70,000 |
All on 6 フルケース | ¥150,000 |
All on 6 ジルコニアセラミック | ¥150,000 |
All on 6ハイブリット | ¥130,000 |
All on 6 アクリルジン | ¥110,000 |
All on 6 レジン床義歯 | ¥70,000 |
カスタムアバットメント | ¥33,000 |
プロビジョナル | ¥11,000〜¥33,000 |
サージカルステント | ¥55,000〜¥110,000 |
GBR | ¥55,000 |
サイナスリフト | ¥220,000 |
ソケットリフト | ¥55,000 |
静脈内鎮静麻酔 | ¥77,000 |
※インプラントは、保険が適応されない自費診療です。
※金額は全て税込表示です。
お支払いについて
池袋おくやまデンタルクリニックでは、現金のほか、クレジットカードや最大84分割のデンタルローンをご利用いただけます。
※お支払方法の詳細は医院までお問い合わせください。
基本情報
住所
〒171-0022 東京都豊島区南池袋1-17-2 南池袋I・Nビル3F
最寄駅
西武池袋線「池袋駅」南口から徒歩1分 / JR「池袋駅」東口から徒歩5分
診療時間
月・火・木・金:10:00~13:00/14:00~18:00 土:10:00~13:00/14:00~17:00 水・日・祝:休診日
電話番号
03-3983-8232
3. 熊田歯科医院(下板橋駅)

医院紹介
東武東上線「下板橋駅」から徒歩2分、JR「板橋駅」からも徒歩圏内にある【熊田歯科医院】。
こちらの医院では「患者様本位での対応・治療・予防」をモットーに、患者さんに寄り添った診療をおこなっています。
保険診療はもちろん、インプラントをはじめとしたワンランク上の治療にも対応しており、患者さんの多岐に渡る要望に応えられる体制を整えられています。
インプラント治療を担当する院長は、「日本口腔インプラント学会 専門医」の資格を持つインプラント治療のスペシャリストです。
豊富な経験と実績をもとに難症例の相談にも乗ってもらえるでしょう。
医院の詳細は公式ホームページにてご確認ください。
設備
◆歯科用CT
◆口腔内スキャナー
◆マイクロスコープ
◆クラスB滅菌器
特徴1 ズレのない高精度な治療を実現するためのガイドを活用
.jpeg)
熊田歯科医院では、インプラント治療の安全性をより高めるための装置「サージカルガイド」を導入しています。
サージカルガイドとは、事前に撮影したCTなどの画像データをもとに作製される、患者様専用のマウスピース型器具です。
この器具には、インプラントを埋入する正確な位置や角度、深さが記録されたガイド用の穴が設けられています。
このガイドを用いることで、フリーハンドの手術で起こりうる位置のズレや、神経・血管を傷つけてしまうリスクを軽減することが可能です。
事前に計画した通りの位置へインプラントを埋入しやすくなり、手術の精度が高まります。
インプラント治療に対し「手術が怖い」「失敗したくない」という不安をお持ちの方は、ぜひ一度相談に訪れてみてはいかがでしょうか。
インプラントに関わる費用
インプラント+上部構造 | 370,000円 |
|---|---|
インプラント+アタッチメント | 250,000円 |
ガイド使用料 | 30,000円 |
CT費用 | 10,000円 |
画像解析費用 | 5,000円 |
※骨を増やすための処置である「サイナスリフト」や「ソケットリフト」、骨の幅を広げる「スプリットクレスト」といった手術は別途費用が必要です。
※インプラントによる治療は保険が適用されない自費診療です。
※金額は全て税込表示です。
お支払いについて
熊田歯科医院では、以下の支払い方法に対応しています。
※詳細は医院へお問い合わせください。
●現金
●クレジットカード
基本情報
住所
〒170-0011 東京都豊島区池袋本町3-25-3
最寄駅
東武東上線「下板橋駅」徒歩1分 /JR埼京線「板橋駅」徒歩6分
診療時間
月・火・木・金:9:30~13:00 / 14:30~19:00 土:9:30~13:00 / 14:00~17:30 水・日・祝:休診
電話番号
03-6914-2981
4. もみじ歯科クリニック目白(目白駅)

医院紹介
JR山手線「目白駅」から徒歩6分に位置する【もみじ歯科クリニック目白】。
院内はプライバシーに配慮された「全室個室」となっており、周囲を気にせず何でも相談できる環境です。
インプラント治療では「インプラントありき」ではなく、まず自分の歯を残すためのあらゆる可能性を検討してもらえます。
そのうえで、どうしても必要な場合の「最終的な手段」として初めて、インプラントを提案するというスタンスを貫かれています。
手術においても日本口腔インプラント学会専門医が担当するため、安心して手術を受けられるでしょう。
また、在籍するスタッフ全員が「歯科医師」または「歯科衛生士」の国家資格保有者である点も同院の大きな特徴です。
歯科衛生士の半数以上が他院で「衛生士長」を経験してきたベテラン揃いであり、治療中や治療後のメンテナンスに関しても質の高いケアが受けられるでしょう。
医院の詳細は公式ホームページにてご確認ください。
設備
◆歯科用CT
◆マイクロスコープ
特徴1 骨が足りないケースのインプラント治療にも対応
.jpeg)
もみじ歯科クリニック目白は、インプラント治療を希望しながらも「顎の骨が足りない」という理由で治療を断念しかけている患者様に、新たな選択肢を提示しています。
インプラント治療は顎の骨に人工の根を埋め込むため、十分な骨の厚みや高さが必要不可欠です。
そのため、歯周病や長期間の入れ歯使用などで骨が痩せてしまっている場合、一般的なインプラント治療では対応できない可能性が高いです。
もみじ歯科クリニック目白ではこうしたケースにも対応できるよう、骨を増やすための処置(骨造成)に対応しています。
この処置で土台となる顎の骨を整えることで、インプラント治療がおこなえるようになります。
骨量不足を理由にインプラントを諦めていた方も、一度もみじ歯科クリニック目白へ相談してみてはいかがでしょうか。
インプラントに関わる費用
インプラント1本あたりの基本料金 | 407,000円 |
|---|
※1 その他に再診料や必要に応じて、投薬料・CT・レントゲン撮影料などが別途必要となります。
※インプラントによる治療は保険が適用されない自費診療です。
※金額は全て税込表示です。
お支払いについて
もみじ歯科クリニック目白では、下記の方法でお支払いができます。
※詳細は医院へお問い合わせください。
●現金
●クレジットカード
基本情報
住所
〒171-0031 東京都豊島区目白2-2-1 目白カルチャービル6F
最寄駅
JR山手線「目白駅」徒歩6分/東京メトロ副都心線「雑司が谷駅」徒歩2分
診療時間
月・火・木・金:9:00~13:00/15:00~19:30 水・土:9:00~14:00 日・祝:休診
電話番号
03-3980-8332
5. 巣鴨デンタルクリニック(巣鴨駅)

医院紹介
「巣鴨駅」より徒歩3分の場所に位置する【巣鴨デンタルクリニック】。
こちらの医院では「患者様が治療を受けて良かったと満足すること」を何よりも大切にされています。
そのため決して一つの治療法を押し付けることはありません。
複数の選択肢を提示し、それぞれのメリット・デメリットを整理したうえで、患者様自身が納得して選べるよう親身にサポートしてくれます。
院長先生は「病理学」の研鑽を積まれてきた経歴があり、お口の中だけの問題として捉えるのではなく、全身の健康状態や病理学的な視点に基づいた深い診査・診断が可能です。
セカンドオピニオンにも対応されているので、一度巣鴨デンタルクリニックにて相談してみてはいかがでしょうか。
医院の詳細は公式ホームページにてご確認ください。
お支払いについて
巣鴨デンタルクリニックでの支払い方法は医院へお問い合わせください。
基本情報
住所
〒170-0002 東京都豊島区巣鴨1-16-2 アーバンハイツ巣鴨B棟
最寄駅
「巣鴨駅」南口から徒歩で3分
診療時間
月・水・木・金・土:10:00~13:00/14:00~19:00 火・日・祝:休診日
電話番号
03-3945-8211
インプラント治療について
インプラント治療とは?
インプラント治療は、失った歯を補うための治療法です(※公的医療保険が適用されない自由診療です)。
歯を失った顎の骨にインプラント体を埋入し、そのインプラント体を土台に被せ物をすることで失った歯を補完します。
インプラントの構造やメリット・デメリットなどについてはこちら
治療の流れ
下記、一般的な治療の流れです。
※あくまでも一般的な流れであり、下記とは異なる流れで治療がおこなわれることもあります。
【二回法の場合】
1.カウンセリング
2.検査・治療計画の策定
3.骨造成や骨移植(ケースによっては不要)
4.一次手術(インプラントの埋入)
5.待機期間(人工歯根と顎骨の結合待ち)
6.二次手術(アバットメントの取付)
7.型取り
8.上部構造を装着して完了
※その後は定期的にメンテナンスを受ける必要がある
【一回法の場合】
1.カウンセリング
2.検査・治療計画の策定
3.骨造成や骨移植(ケースによっては不要)
4.インプラント埋入手術
5.待機期間(人工歯根と顎骨の結合待ち)
6.型取り
7.上部構造を装着して完了
※その後は定期的にメンテナンスを受ける必要がある
治療期間や通院回数の目安
治療期間:3ヵ月~1年程度
通院回数:8~10回程度
※具体的な治療期間や通院回数は、患者さん1人ひとりの口腔状態や要望、治療内容などによって異なります。
想定されるリスク・副作用
下記、インプラント治療で想定されるリスク・副作用です。
・神経や血管を傷つけて感覚麻痺が起きる
・患部に腫れ、痛み、違和感が生じる
・患部から出血する
・顔や首などに内出血斑が出る
・チタンアレルギーが起きる
・上顎にインプラント体を埋入する際、上顎洞を破る
・インプラント体と顎骨が上手く結合しない
・インプラント周囲炎になる
Medee歯科検索は、おすすめしたい歯医者を掲載しています。
駅、行政区、診療時間、歯科医院の特徴、診療科目など豊富な検索メニューで歯科医院を検索可能。
また歯科医院のWebサイトはもちろん各種予約ツールも利用することが可能で、より簡単に歯科医院を探すことができます。
新着記事

【2026年】御茶ノ水駅周辺でおすすめしたい矯正歯科医院3選

【2026年】東京都でガミースマイル治療におすすめしたい歯科医院3選

【2026年】愛知県名古屋市でおすすめしたい矯正歯科医院3選

【2026年】中央区でフラップレスインプラント治療におすすめしたい歯科医院3選

【2026年】寝屋川市でおすすめしたい歯医者6選
関連する記事

【2026年】中央区でフラップレスインプラント治療におすすめしたい歯科医院3選

【2026年】福山市でインプラント治療におすすめしたい歯科医院3選

【2026年】佐久市でインプラント治療におすすめしたい歯科医院3選

【2026年】広島県でインプラント治療におすすめしたい歯科医院3選

【2026年】多摩市周辺でインプラント治療におすすめしたい歯科医院5選

【2026年】東京都で抜歯即時インプラントにおすすめしたい歯科医院3選

【2026年】足立区でオールオン4におすすめしたい歯科医院7選

【2026年】兵庫県でインプラント治療におすすめしたい歯科医院5選

【2026年】立川市で歯周病に対応するインプラント治療におすすめしたい歯科医院5選

【2026年】江東区でオールオン4におすすめしたい歯科医院5選

【2026年】江坂でインプラント治療におすすめしたい歯科医院5選

【2026年】西船橋駅周辺でインプラント治療におすすめしたい歯科医院5選

【2026年】札幌市清田区でインプラント治療におすすめしたい歯科医院5選

【2026年】神奈川県でインプラント治療におすすめしたい歯科医院5選

【2026年】浦和エリアでインプラント治療におすすめしたい歯科医院6選

【2026年】埼玉県でフラップレスインプラント治療におすすめしたい歯科医院5選

【2026年】横浜市でオールオン4におすすめしたい歯科医院5選

【2026年】新橋でインプラント治療におすすめしたい歯科医院5選

【2026年】岡山市で骨造成対応のインプラント治療におすすめしたい歯科医院5選

【2026年】大阪市でフラップレスインプラント対応のおすすめしたい歯科医院5選



