【2026年】東京都で一気に治療できる歯医者でおすすめしたい医院3選
2025/11/21
2026/2/27
#短期集中治療

「仕事が忙しくて何度も通院できない」「結婚式などのイベントに向けて短期間で歯をきれいにしたい」
歯の治療期間に関してこのような悩みを抱え、最初の一歩を踏み出せずにいる方は非常に多いです。
長期間にわたる治療計画や、複雑な治療を短時間で終えることに対する不安を感じるのは当然のことでしょう。
そこでこの記事では、静脈内鎮静法による痛みに配慮した集中治療や、お口全体を根本から効率よく治す全顎治療への対応力など、様々な観点から「一気に治療を完了させたい方」におすすめしたい歯科医院を3医院ご紹介します。
患者さん一人ひとりの限られた時間や治療へのご要望に親身に寄り添い、諦めていたお口の健康と美しさを最短ルートで取り戻す治療を進めてくれる歯科医院をお探しの方は、ぜひ参考にしてみてください。
※本情報は2026年2月時点におけるMedee編集部の調査データに基づきます。
【2026年】東京都で一気に治療できる歯医者でおすすめしたい医院3選
1. よしひろ歯科クリニック(品川区/武蔵小山駅)PR

短期間で治療を完了させるための充実した診療体制
東京都品川区に位置する「よしひろ歯科クリニック」は、東急目黒線武蔵小山駅から徒歩3分という利便性の高いアクセスが大きな魅力です。
平日の通院が難しい多忙な方々のニーズに応えるため、土曜・日曜の診療も積極的におこなっており、患者さんにとって受診しやすい歯科医院といえるでしょう。
同院は、患者さん一人ひとりの想いやライフスタイルを深く理解し、「ご満足いただけるゴールを一緒に目指す」という理念を掲げています。
そのため、一方的な治療ではなく、納得いくまで何度でも相談できるような、安心感を最優先した歯科治療を提供しているのです。
診療内容は、虫歯や歯周病といった一般歯科の枠にとどまらず、失われた歯を補うインプラント埋入治療、見た目の美しさを追求するセラミックや矯正治療、お子さまの成長をサポートする小児歯科、さらには通院が困難な方への訪問診療まで、非常に幅広い領域に対応しています。
この多角的な対応力は、患者さんの家族全員の「かかりつけ医」として、生涯にわたるお口の健康を任せられる頼もしい存在であることを示しているといえるでしょう。
また、患者さんのお口の悩みを丁寧にヒアリングするカウンセリングはもちろん、歯科用CTやマイクロスコープなどの設備を活用した精密な診断と治療、そして各分野の専門家が連携するチーム医療を実践。
さまざまな治療の選択肢をもとに、患者さん一人ひとりの状態に合わせた治療方針を決定することで、短期間での治療を実現しています。
特徴1 治療を短期間で集中的に完結させる高度な技術

「仕事が忙しく何度も通院する時間がない」「できるだけ短期間で虫歯を治療したい」「結婚式までに歯の見た目を改善したい」などの理由から、短期集中での治療を検討される方もいらっしゃるでしょう。
広範囲の虫歯治療、詰め物・被せ物の集中交換、そしてインプラント治療など、集中的な治療を成功させるには、あらゆる場面で高度な専門技術と効率的な計画立案を必要とします。
よしひろ歯科クリニックの医師は、短期集中治療に必須となる、各分野において高い専門知識と技術を有します。
また、麻酔科医との連携による静脈内鎮静法にも対応しているため、広範囲の虫歯治療や多数のセラミック治療など、複数の治療をリラックスした状態で一度に集中的におこなうことが可能です。
よしひろ歯科クリニックは、「短期間で安全に治療をおこないたい」という患者さんのニーズに合わせてインプラントはもちろん、それ以外の様々な選択肢のもと一人ひとりのスケジュールにあわせた効率的な提案が受けられる歯科医院です。
特徴2 短期間で美しい口元を実現する高度な治療計画

よしひろ歯科クリニックでは、治療期間を短縮しつつ、お口全体の歯を美しく健康的に整えたいというニーズに対して、効率的な審美性に特化した治療も提供しています。
詰め物・被せ物を金属ではなくセラミックで作ることで、見た目を自然に仕上げるだけでなく、短期集中治療において重要な精度の高い治療を可能にします。
また同院では、長引く原因となる重症化した虫歯の根管治療にも対応しており、高度な専門技術を用いることで、確実かつスピーディーな治療進行を目指します。
さらに、広範囲の治療を短期間でおこなう際の選択肢として、4本のインプラントで片顎すべての歯を補うオールオン4も提供しています。
骨が少ないなど難症例の場合でも、ザイゴマインプラントやサイナスリフトといった技術で、治療期間が長引く原因を解消し、短期治療の可能性を広げます。
治療期間がネックで諦めていた方も、虫歯、セラミック、そしてインプラントのすべてにおいて精密な治療計画と短期で終えるための高度な技術を提供しているよしひろ歯科クリニックへ、一度相談してみてはいかがでしょうか。
特徴3 治療後の安心と効率的な通院を両立させる土日診療体制

短期間で集中的に虫歯やセラミック、インプラント治療を完了させても、その後のケアを怠ると問題が再発し、再び治療に時間を費やしてしまう恐れがあります。
それゆえに、治療後の健康な状態を長く維持するには、医師の技術力だけでなく継続的に通いやすいメンテナンス体制が非常に重要です。
よしひろ歯科クリニックでは、日本口腔インプラント学会認定の「インプラント専門歯科衛生士」が在籍しており、短期治療で手に入れた虫歯のない状態や美しい口元を長く保つための専門的なケア体制も万全です。
インプラント治療の専門知識を有する歯科衛生士が、虫歯、歯周病、インプラントのすべてに対し、患者さん一人ひとりの状況に合わせたケアと指導をおこないます。
加えて、「武蔵小山」駅から徒歩3分というアクセスに加え、土曜・日曜も診療しているため、平日お忙しい方も、治療やメンテナンスに無理なく通うことが可能です。
設備
歯科用CT

歯科専用のCT装置で、従来のレントゲンとは異なり、顎の骨構造や神経の位置を三次元で詳細に把握できます。これにより、より精度の高い診断が可能となります。
オペ室

インプラント手術専用に設計されたオペ室で、手術中の感染予防対策を徹底しています。患者さんにとって安全性の高い手術環境を整えています。
マイクロスコープ

最大20倍まで対象を拡大して観察できる歯科用顕微鏡(マイクロスコープ)です。肉眼では確認できない細かな部分も鮮明に見ることができ、極めて精密な治療を実現します。
口腔外バキューム

治療中に発生する唾液や血液、歯の削りカスなどの粉塵を強力に吸引する機器です。これにより、院内の空気環境を清潔に保ち、安心して治療を受けていただけます。
短期集中治療に関わる費用
インプラント埋入治療
診療内容 | 料金 |
|---|---|
インプラント埋入治療診断料/1回 | 22,000円 |
静脈内麻酔(セデーション)/1回 | 77,000円 |
埋入手術(ノーベル) | 264,000円 |
上部セラミック(ノーベル) | 198,000円 |
埋入手術(オステム) | 143,000円 |
サイナスリフト/1歯 | 220,000円 |
ソケットリフト/1歯 | 55,000円 |
FGG(歯肉移植)/1回 | 88,000円 |
骨移植/1回 | 165,000円 |
オールオンフォー
診療内容 | 料金 |
|---|---|
インプラント埋入治療診断料/1回 | 22,000円 |
静脈内麻酔(セデーション)/1回 | 77,000円 |
埋入/片顎 | 264,000円 |
即時プロビ/片顎 | 198,000円 |
セカンドプロビ/片顎 | 143,000円 |
ファイナル上部構/片顎 | 220,000円 |
ザイゴマインプラント
診療内容 | 料金 |
|---|---|
インプラント埋入治療診断料/1回 | 22,000円 |
静脈内麻酔(セデーション)/1回 | 99,000円 |
埋入/片顎 | 1,100,000円 |
即時プロビ/片顎 | 220,000円 |
セカンドプロビ/片顎 | 550,000円 |
ファイナル上部構/片顎 | 880,000円 |
詰め物・被せ物
診療内容 | 料金 |
|---|---|
ラミネートベニア/1本 | 121,000円 |
ジルコニア/1本 | 132,000円 |
e.max /1本 | 110,000円 |
ポーセレンインレー | 49,500円 |
※これらの治療は保険が適用されない自費診療です。
※金額は全て税込表示です。
お支払いについて
よしひろ歯科クリニックでは、以下の支払い方法に対応しています。
※詳細は医院へお問い合わせください。
●現金
●クレジットカード
●デンタルローン
インプラントによる治療は医療費控除の対象です。
医療費控除を使用することで治療費の一部が返ってくるので、ぜひ活用しましょう。
<関連記事>
【年収別】インプラントで医療費控除を使ったらいくら戻ってくる?申請方法も解説
歯科医師紹介

山田 嘉宏
経歴
平成3年昭和大学歯学部 卒業 平成3年東京医科歯科大学歯学部補綴科 入局 平成5年茨城友部診療所 勤務 平成6年東京品川区共立歯科 分院長 平成11年よしひろ歯科クリニック 開院 平成14年医療法人社団隆嘉会よしひろ歯科クリニック 設立
所属学会・資格・スタディーグループ
厚生労働省認定歯科医師臨床研修指導医 日本口腔インプラント学会専門医 IDIA(国際歯科インプラント協会/旧 ADIA(アメリカ歯科インプラント協会))専門医/指導医 DGZI(ドイツ口腔インプラント学会)専門医/指導医 ISOI(国際口腔インプラント学会)専門医/指導医 ICOI(国際口腔インプラント学会)認定医 日本臨床歯周病学会歯周病認定医
メッセージ
基本情報
住所
〒142-0063 東京都品川区荏原3-3-1 カーサリッカ1F
最寄駅
東急目黒線「武蔵小山」駅から徒歩で約3分/東急池上線「戸越銀座」駅から徒歩で約10分
診療時間
月・火・木・金:9:30~12:30/14:30~19:00 土・日:9:30~12:30/13:40~17:30 水・祝:休診日
電話番号
03-5498-4618
2. 新宿きらきら歯科(新宿区/新宿駅)PR

充実した設備環境と専門技術で叶える効率的かつ精密な歯科治療
JR新宿駅から徒歩10分の場所に位置し、夜21時まで診療をおこなう「新宿きらきら歯科」。
自由診療専門の歯科医院であり、一回の診療時間を長く確保できるため「できるだけ早く治療を終えたい」というニーズにも柔軟に応えられる診療体制です。
十分に確保された時間のもと丁寧なカウンセリングや治療が受けられ、診療の質という面においても期待できます。
また、院内には技工所が併設され、専属の歯科技工士が常駐している点は新宿きらきら歯科ならではの強みであり、精密で効率的な治療を提供するのに重要な要素となっています。
治療においては、オールオン4や即日義歯など失った歯を一気に治療できる選択肢を複数用意し、長時間の治療でも負担を軽減するための静脈内鎮静法などにも対応。
新宿きらきら歯科では、こうした自由診療ならではの選択肢と技術力、充実した設備環境を活用して、効率的かつ高精度な治療を提供しています。
特徴1 専属歯科技工士の常駐による「通院回数を減らすスピード治療」

新宿きらきら歯科では、院内に専属の歯科技工士が常駐しており、歯科医師と直接連携しながら被せ物や義歯の製作をおこなっています。
外部の技工所に依頼する必要がないため、治療期間を大幅に短縮できる体制を整えています。
そのスピーディーな治療を象徴する一例が「即日義歯(入れ歯)」です。
午前中に受診して型採りをおこなうことで、その日の夕方には完成した義歯を受け取ることが可能です。
短期間で治療を進められるため、一気に治療したい方に適した治療となります。
また、院内に技工士が常駐していることで、色味や噛み合わせなどの細かな調整をその場でおこなうことができ、仕上がりの精度と満足度も高めています。
このように、通院回数を抑えながらも、質の高い治療を提供できる点が新宿きらきら歯科の大きな強みと言えるでしょう。
特徴2 眠っている間に一気に治療が終わる「静脈内鎮静法」

複数の歯の処置をまとめて治療する場合、一気に治療を進められる一方で、患者さんの負担は大きなものとなりやすいです。
こうした長時間にわたる治療において、患者さんの負担を軽減して治療が進められるよう、新宿きらきら歯科では点滴から鎮静剤を投与する「静脈内鎮静法(リラックス治療)」を導入。
静脈内鎮静法を活用することで、うたた寝をしているようなリラックス状態へと導くことができます。
不安や緊張による体のこわばりを抑えた状態で治療が進められ、長時間口をあけたままにしても患者さんの負担が少なく済みます。
また、鎮静剤の健忘効果によって治療中の記憶はほとんど残らないことから、長い時間なのにあっという間に感じられてしまうこともあるでしょう。
治療中の音や振動、痛みに対する強い緊張を和らげます。歯科治療への恐怖心が強い方でも、安心して治療に臨める環境を整えています。
このように静脈内鎮静法を活用することで、一度の診療で複数の歯をまとめて処置することが可能となるため、通院回数を抑えながら、効率的に治療を進められます。
心身の負担を軽減しつつ、短期間で治療を完了させたい方にとって強みとなる治療法でしょう。
特徴3 本来数回かかる処置を1日で終わらせる「マイクロスコープ根管治療」と「オールオン4」

新宿きらきら歯科では、歯を残すための治療からお口全体の機能回復まで、自費診療ならではの精度と計画性でスピーディーな治療を提供しています。
例えば歯の根の治療である根管治療では、マイクロスコープ(歯科用顕微鏡)を使用し、根管内にある汚れの取り残しがないよう根の先端まで丁寧に処置をおこないます。
保険診療における根管治療ではマイクロスコープが使われないことも多く、診療時間の制限があるため、週1回の通院を重ねて1ヶ月半〜2ヶ月ほどかかるケースが一般的です。
一方、自費のマイクロスコープを活用した根管治療では、1人あたり2〜4時間としっかりとした時間を確保し、本来なら複数回に分けておこなう処置を1日で完了させることも可能です。
また多数の歯を失った方や総入れ歯でお悩みの方には、最少4本のインプラントで全ての人工歯を支える固定式治療「オールオン4」を用意。
お口全体を回復させる大掛かりな治療であっても、少ないインプラントで一気にお口全体を治療することができます。
デジタル技術を活用して事前に精密なシミュレーションをおこなうため、効率的に機能回復を目指せます。
このように、歯を残すための治療からお口全体の機能回復まで、精密さを追求しながら治療期間にも配慮した治療を受けられるのが新宿きらきら歯科です。
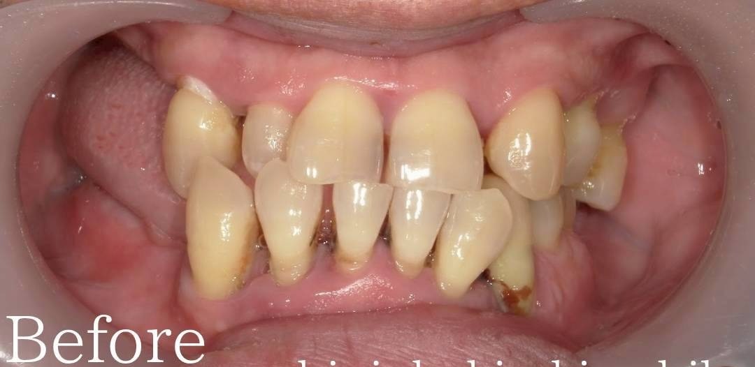
症例1
Before

After

主訴 | 前歯をジルコニア、奥歯の歯がないところは入れ歯にしたい。 |
|---|---|
治療内容 | ジルコニア治療と最短1日で出来る入れ歯治療 |
費用 | ジルコニア:880,000円(税込) |
副作用・リスク | ▪️入れ歯治療の副作用(リスク) |
設備
歯科用CT
歯科用CTは歯や顎の骨の状態などを立体的な画像で撮影できる機器です。精密な検査・診断をおこなうのに必須な機器と言えます。
CAD/CAMシステム
コンピュータ制御によって、短時間でセラミックの詰め物や被せ物などを設計・製作できるシステムです。
インプラント手術ナビゲーションシステム
CTデータをもとにコンピュータ上でインプラントを入れる位置や角度をシミュレーションし、その通りにインプラントを入れられるようリアルタイムでナビゲートしてくれるシステムです。
院内技工所
補綴物(被せ物や詰め物など)を作る技工所です。精密でスピーディーな補綴物の作成が可能となります。
短期集中治療に関わる費用
静脈内鎮静法 | 1回88,000円(税込) |
|---|
1日でできる入れ歯治療 | |
|---|---|
部分入れ歯 | ・金属のバネ 11万円〜33万円(税込) |
総入れ歯 | <厚みがある入れ歯> |
オプション | 1ヶ所11,000円(税込) |
※初診料やカウンセリング料やCTを含むレントゲン料金は無料です。
被せ物(セラミック)料金 | |
|---|---|
ノリタケ製ジルコニアセラミッククラウン | 80,500円 |
オーダーメイドジルコニアクラウン | 60,500円 |
セラミックラミネートべニア | 60,500円 |
フルジルコニアクラウン | 39,500円 |
部分的な被せ物(e-max) | 38,500円 |
仮歯 | 5,500円 |
※上記の料金表には施術料、局所麻酔代が含まれています。
※材料費高騰のためジルコニアセラミック70,500円→80,500円となります。
別途料金がかかる処置 | |
|---|---|
神経処置(前歯) | 33,000円 |
神経処置奥歯(小臼歯)/(大臼歯) | 44,000円 / 55,000円 |
ファイバーコア(土台)/1本 | 11,000円 |
抜歯 /1本 | 11,000円 |
抜歯の治癒促進剤(コラーゲン) | 5,500円 |
歯肉形成 | 16,500円 |
金属の土台(芯)の取り外し /1本 | 5,500円 |
虫歯治療 /1本 | 3,300円 |
※神経処置は希望者のみになります。神経処置を行った場合は、土台(ファイバーコア)が必要になります。根の先に膿がたまっている場合は神経治療代各部位プラス11,000円になります。
※抜歯の治癒促進剤(コラーゲン)は、無しにすることも可能です。
メンテナンス(3ヶ月~半年に一度) | 11,000円 |
エアフロー(着色落とし) | 8,800円 |
インプラント | |
|---|---|
カウンセリング | 無料 |
精密検査(CT撮影、レントゲン) | 無料 |
ガイド | 50,000円 |
インプラントオペ | 50,000円 |
インプラント体 | 100,000円 |
上部構造(被せ物) | 100,000円 |
合計 | 30万円/本 |
根管治療 | |
|---|---|
前歯(一本) | 33,000円 |
小臼歯(一本) | 44,000円 |
大臼歯(一本) | 55,000円 |
※これらは保険が適用されない自費診療です。
※金額は全て税込表示です。
お支払いについて
新宿きらきら歯科では以下の支払い方法に対応しています。
※詳細は医院へお問い合わせください。
●現金
●クレジットカード
歯科医師紹介
高根 元恒
経歴
2008年 日本大学松戸歯学部卒業 2009年 臨床研修医終了 2010年 医療法人和光会ボックスヒル歯科勤務 2014年 医療法人郁栄会寒竹歯科勤務 2016年 医療法人郁栄会ベイデンタルクリニック院長 2017年 赤坂きらきら歯科開業 2022年 新宿きらきら歯科へ医院拡大のため移転開業
所属学会・資格・スタディーグループ
MALO DENTAL & MEDICAL Alliance Team 提携 X-GUIDE ダイナミックナビゲーション機関 認定
メッセージ
基本情報
住所
〒160-0022 東京都新宿区新宿三丁目11-9 花菱ビル8階
最寄駅
JR新宿駅 徒歩10分/東京メトロ副都心線・丸ノ内線 新宿三丁目駅 徒歩1分
診療時間
不定休 10:00〜21:00
電話番号
03-6459-1616
3. オーラルデザインクリニック秋葉原 歯科&矯正歯科(千代田区/秋葉原駅)

医院紹介
「オーラルデザインクリニック秋葉原 歯科&矯正歯科」は、秋葉原駅から徒歩1分という好立地にある、痛みの少ない治療治療と短期集中治療に特化した自由診療専門の歯科医院です。
歯をできるだけ残すために、精密で負担の少ない治療をコンセプトとしています。
院内では、肉眼の20倍まで拡大できるマイクロスコープやCT、iTeroなどを導入し、正確な診断と再発の少ない精密な治療をおこなっています。
とくに、歯科治療への恐怖心や、嘔吐反射が強い方もリラックスして治療を受けられるよう、静脈内鎮静法を用いた痛みの少ない治療治療に対応しているのが特徴です。
また、セラミックのつめ物や被せ物を作成する歯科技工所を併設しています。
詳細は公式ホームページをご覧ください。
設備
◆歯科用CT
◆口腔内スキャナー
◆マイクロスコープ(歯科用顕微鏡)
◆電動麻酔器
◆院内技工所
特徴1 静脈内鎮静法と連携した1回最大6時間の効率的な集中治療

オーラルデザインクリニック秋葉原の短期集中治療は、1回最大6時間という長時間の治療枠を設けるのが特徴です。
複数の歯の治療を同時進行で一気に進めることで、通院回数や通院期間の大幅な短縮を実現しています。
長時間の治療であっても、静脈内鎮静法を併用することで、患者さんは痛みや恐怖を感じずに眠っているような状態で治療を受けることが可能です。
また、この集中治療では、麻酔の回数や型採りの回数を最小限に抑える工夫がおこなわれており、患者さんの身体的負担の軽減につながります。
単に治療を早く終わらせるだけでなく、マイクロスコープやラバーダムなどを使用し、精密で再発の少ない質の高い治療を目指しているのも、この短期集中治療の重要なポイントです。
短期集中治療に関わる費用
小さい虫歯の治療費
通院回数 | ・1回目:初診 |
|---|---|
診療内容 | ・ダイレクトボンディング 1歯:33,000円 |
親知らずの同時抜歯料金
通院回数 | ・1回目:初診 |
|---|---|
診療内容 | ・親知らず抜歯 1歯:33,000円 |
前歯のセラミック矯正料金
通院回数 | ・1回目:初診 |
|---|---|
診療内容 | ・セラミッククラウン 1歯:88,000円〜 |
4本の根管治療の料金
通院回数 | ・1回目:初診 |
|---|---|
診療内容 | ・根管治療 1歯:44,000円〜 |
※これらの治療は保険が適用されない自費診療です。
※金額は全て税込表示です。
お支払いについて
オーラルデザインクリニック秋葉原 歯科&矯正歯科では、以下の支払い方法に対応しています。
※詳細は医院へお問い合わせください。
●現金
●クレジットカード
●デンタルローン
基本情報
住所
〒101-0021 東京都千代田区外神田1丁目13−1 Akiba1131ビル 4F
最寄駅
JR各線「秋葉原」駅電気街出口より徒歩1分/東京メトロ日比谷線「秋葉原」駅3番出口より徒歩3分/つくばエクスプレス「秋葉原」駅A1番出口より徒歩3分
診療時間
月〜土:10:00~13:45/14:45~18:30 午前:受付13:00まで 午後:受付17:30まで
電話番号
0120-923-794
短期集中治療について
短期集中治療とは?
短期集中治療とは、1回の診療時間を数時間〜半日と長く確保し、複数の治療工程をまとめて行うことで、全体の通院回数と期間を劇的に短縮する治療システムです。
できるだけ早く治療を終わらせたい方はもちろん、遠方に住んでいて何度も歯医者に通えない方にも適している治療法です。
具体的な治療の流れは「インプラントで治療する」「セラミックで治療する」「根管治療をおこなう」など治療内容によって異なります。
下記、インプラントやセラミック、根管治療などにおける一般的な治療の流れや治療期間、副作用・リスクです。
インプラント治療とは?
インプラント治療は、失った歯を補うための治療法です(※公的医療保険が適用されない自由診療です)。
歯を失った顎の骨にインプラント体を埋入し、そのインプラント体を土台に被せ物をすることで失った歯を補完します。
インプラントの構造やメリット・デメリットなどについてはこちら
治療の流れ
下記、一般的な治療の流れです。
※あくまでも一般的な流れであり、下記とは異なる流れで治療がおこなわれることもあります。
【二回法の場合】
1.カウンセリング
2.検査・治療計画の策定
3.骨造成や骨移植(ケースによっては不要)
4.一次手術(インプラントの埋入)
5.待機期間(人工歯根と顎骨の結合待ち)
6.二次手術(アバットメントの取付)
7.型取り
8.上部構造を装着して完了
※その後は定期的にメンテナンスを受ける必要がある
【一回法の場合】
1.カウンセリング
2.検査・治療計画の策定
3.骨造成や骨移植(ケースによっては不要)
4.インプラント埋入手術
5.待機期間(人工歯根と顎骨の結合待ち)
6.型取り
7.上部構造を装着して完了
※その後は定期的にメンテナンスを受ける必要がある
治療期間や通院回数の目安
治療期間:3ヵ月~1年程度
通院回数:8~10回程度
※具体的な治療期間や通院回数は、患者さん1人ひとりの口腔状態や要望、治療内容などによって異なります。
想定されるリスク・副作用
下記、インプラント治療で想定されるリスク・副作用です。
・神経や血管を傷つけて感覚麻痺が起きる
・患部に腫れ、痛み、違和感が生じる
・患部から出血する
・顔や首などに内出血斑が出る
・チタンアレルギーが起きる
・上顎にインプラント体を埋入する際、上顎洞を破る
・インプラント体と顎骨が上手く結合しない
・インプラント周囲炎になる
セラミック治療とは?
セラミック治療は、歯の詰め物や被せ物などにセラミック(陶材)を用いた治療法です。
天然の歯に近い白さや透明感があり、基本的に金属を使わないため金属アレルギーの心配もありません。
一方で、強い衝撃によって欠けたり割れたりすることがあります。
保険が適用されない自費診療のため、保険適用の治療と比べて費用が高額になる点も注意が必要です。
治療の流れ
下記、一般的な治療の流れです。
※あくまでも一般的な流れであり、下記とは異なる流れで治療がおこなわれることもあります。
1.相談・治療計画の立案
2.検査・治療・歯型の採取
3土台作り・仮歯の装着
4.セラミック製の詰め物・被せ物の装着
5.定期的なメンテナンス
治療期間や通院回数の目安
治療期間:2~3週間/1本あたり
通院回数:2~3回程度
※具体的な治療期間や通院回数は、患者さん1人ひとりの口腔状態や要望、治療内容などによって異なります。
想定されるリスク・副作用
下記、セラミック治療で想定されるリスク・副作用です。
・セラミック治療をおこなうにあたって歯を削ることがあります。また、知覚過敏の症状が発生する可能性があります。
・治療後、噛んだときに痛みを感じたり、冷たい物や暖かい物を口にしたときに痛みを感じたりすることがあります。
・審美治療において、抜髄(歯の神経を取り除く)や抜歯が必要になることがあります。抜歯や外科処置を伴う場合、患部が腫れたり出血を起こしたりすることがあります。
・金属単体のインレー・クラウンより歯の体積を削る量が若干多いことがあります。
・強い衝撃が加わることで欠けたり割れたりすることがあります。
根管治療とは
根管治療は虫歯が悪化して歯の神経(歯髄)まで達した場合におこなう、歯を残すための治療法です。歯の根の中にある感染した神経や血管を丁寧に取り除き、管の中をきれいに洗浄・消毒します。最後に、再び細菌が入らないように薬剤で隙間なく密閉します。
治療の流れ
1.カウンセリング
2.精密検査
3.診断・治療計画の説明
4.抜髄(神経を取り除く治療)
5.根管内の洗浄・消毒
6.薬の充填と仮蓋の取り付け
7.根管充填(最終的な充填材で根管内を隙間なく詰める)
8.被せ物の取り付け
治療期間や通院回数の目安
治療期間:1ヵ月程度
通院回数:2~4回
※実際の治療期間や通院回数は口内状況や具体的な治療内容など個人差があります。
想定されるリスク・副作用
・根管治療をおこなった歯は内部が空洞になるため、健康な歯に比べて割れやすくなります。再治療でさらに歯を削ると、このリスクはより高まります。
・再度の根管治療で治りきらない場合は、歯の根の先にできた病巣などを外科的に取り除く治療法を用いることがあります。
・術後一時的に患部が腫れたり痛みが生じたりすることがあります(一定期間経過すると治まることが多いです)。
Medee歯科検索は、おすすめしたい歯医者を掲載しています。
駅、行政区、診療時間、歯科医院の特徴、診療科目など豊富な検索メニューで歯科医院を検索可能。
また歯科医院のWebサイトはもちろん各種予約ツールも利用することが可能で、より簡単に歯科医院を探すことができます。









