【2026年】東京都で歯がボロボロな人向けの治療におすすめしたい歯科医院3選
2025/11/14
2026/2/27
#歯がボロボロ

「歯がボロボロで恥ずかしい」「虫歯や歯周病を長期間放置してしまい、歯科医院に行く勇気が出ない」
歯に関してこのような悩みを抱え、最初の一歩を踏み出せずにいる方は非常に多いです。
過去の状態を責められるのではないか、あるいは想像を超える痛みが伴う治療をされるのではないか、と不安に感じるのは当然のことでしょう。
そこでこの記事では、痛みに配慮した治療、そしてお口全体を根本から治す全顎治療への対応力など、様々な観点から「歯がボロボロな方」におすすめしたい歯科医院をご紹介します。
患者さん一人ひとりの不安な気持ちや歯の状態に親身に寄り添い、諦めていたお口の健康と美しさを取り戻す治療を進めてくれる歯科医院をお探しの方は、ぜひ参考にしてみてください。
※本情報は2026年2月時点におけるMedee編集部の調査データに基づきます。
【2026年】東京都で歯がボロボロな人向けの治療におすすめしたい歯科医院3選
1. よしひろ歯科クリニック(品川区)PR

国内外で研鑽を積んだ院長を主導とするチーム医療で実現する高水準なインプラント治療
武蔵小山駅から歩いて約3分の場所にある「よしひろ歯科クリニック」。
日本口腔インプラント学会をはじめ、国際歯科インプラント協会やドイツ口腔インプラント学会など、国内外の複数のインプラント関連学会に所属する院長がインプラント治療を担当しています。
長年の臨床経験で培った技術と専門的な知識を活かし、患者さんそれぞれの口腔内の状態に合わせたインプラント治療を提案しているのが特徴です。
治療では精度と安全性を重視しており、歯科用CTであごの骨や神経の位置などを詳しく確認したうえで、綿密な治療計画を立てています。
神経や血管といった重要な組織へのダメージのリスクにも配慮しながら進めてもらえるため、安心して治療を任せやすいでしょう。
院内にはインプラント専用のオペ室も備えられており、衛生管理が徹底された清潔な環境で手術を受けられます。
「患者さんと一緒にゴールを目指す」というスタンスを大切にしており、医院側の考えを一方的に押しつけるのではなく、「どう治したいか」という本人の希望を踏まえたうえで治療方針を相談していけるのも魅力です。
また、各分野の専門スタッフが連携するチーム医療体制を整えており、それぞれの得意分野を掛け合わせた質の高い治療が期待できます。
セカンドオピニオンにも対応しているため、現在ほかの歯科医院で治療を受けている方や、別の歯科医師の意見も聞いてみたい方でも、インプラントに関する相談が可能です。
特徴1 インプラント治療を構成する各領域に高度な技術を持つ医師が執刀

虫歯や歯周病など原因で歯がボロボロになってしまい、しっかりとした噛み心地や綺麗な見た目を取り戻したいという理由から、インプラント治療を検討される方もいらっしゃるでしょう。
インプラント治療は、人工歯根の埋入や術後の歯周管理など、あらゆる場面で高度な専門技術を必要とする治療です。
よしひろ歯科クリニックの執刀医は、インプラント治療に必須となる、各分野において高い専門知識と技術を有します。
インプラント分野では、日本口腔インプラント学会専門医、ISOI(国際口腔インプラント学会)指導医など3つ超の資格を保有。
国内・国際双方の基準で高い専門性が認定されています。
さらに、日本臨床歯周病学会の歯周病認定医でもあるため、術後の歯周ケアにおいても、高水準な医療が望めます。
加えて、東京医科歯科大学歯学部補綴科での研究経験もあり、入れ歯等を含めた補綴分野にも精通しているため、インプラント以外の選択肢においても高い専門性のもとカウンセリングすることが可能です。
ボロボロになってしまったお口に対して、インプラントはもちろん、入れ歯など様々な選択肢のもと、一人ひとりにあわせた提案が受けられるでしょう。
特徴2 ボロボロな歯を綺麗でしっかりと噛めるお口に導くオールオン4

ボロボロになってしまったお口全体の歯をインプラントで治療する場合、4本のインプラントで片顎すべての歯を補うオールオン4で治療することが多いでしょう。
よしひろ歯科クリニックは、この特殊な治療法である「オールオン4」に対応した歯科医院です。
骨が残っている部分を選んでインプラントを埋入するため、骨が少ない方でも対応できる場合があります。
オールオン4によって、ボロボロになってしまったお口の見た目やしっかり噛めるという機能性を一気に回復させることができます。
ただ、骨の状態は個人差が大きく、そのオールオン4さえも難しいと診断されるケースも存在するのです。
そのような方でも治療を可能にするため、よしひろ歯科クリニックでは、ザイゴマインプラントやサイナスリフトが提供されています。
ザイゴマインプラントは、一般的なインプラントより長く、顎の骨の代わりに頬骨を利用する治療法です。
上顎の骨が非常に薄く、通常のインプラント埋入が困難なケースでも、この方法であれば治療できる可能性が残されています。
また、サイナスリフトは、上顎の骨の厚みを増やすための骨造成手術です。
インプラントを支える土台となる骨を増やすことで、安全な治療を実現できる可能性が高まります。
自分はインプラントができないと諦めている方も、一度よしひろ歯科クリニックへ相談してみてはいかがでしょうか。
特徴3 術後もインプラント専門歯科衛生士による質の高いケアを提供

ボロボロだった歯をインプラントで治しても、ケアを怠ると感染症を引き起こし、最悪の場合はインプラントが脱落してしまう恐れがあります。
インプラントを長持ちさせ健康なお口を維持するには、医師の技術力に加え、治療後の継続的なメンテナンスが非常に重要です。
どれほど完璧な手術でも、その後のケアを怠れば、インプラントの寿命は確実に縮んでしまいます。
よしひろ歯科クリニックでは、日本口腔インプラント学会認定の「インプラント専門歯科衛生士」が在籍し、術後のケア体制も万全です。
手術がゴールではなく、インプラントを安心して長く使用できる治療を重視しています。
インプラント治療の専門知識を有する歯科衛生士が、患者さん一人ひとりに、丁寧なケアと指導をおこないます。
加えて、インプラント体(フィクスチャー)には最長10年の保証が設けられているのも大きな特徴です。
設備
歯科用CT

歯科用に特化したCT装置です。従来のレントゲンとは異なり、顎骨の形状や神経の位置などを三次元で詳細に把握できます。これにより、より正確な診断が可能となります。
オペ室

インプラント埋入手術専用に設計されたオペ室です。手術環境における感染予防対策を徹底しており、安全性の高い手術を実現します。
マイクロスコープ

対象を4倍から最大20倍まで拡大して観察できる歯科用顕微鏡(マイクロスコープ)です。肉眼では見えない領域を鮮明にし、極めて精密な治療を可能にします。
口腔外バキューム

治療中に飛散する唾液、血液、歯の削りカスなどの粉塵を強力に吸引するための機器です。院内の清潔な空気環境を維持するために使用します。
歯がボロボロに関わる費用
インプラント埋入治療
診療内容 | 料金 |
|---|---|
インプラント埋入治療診断料/1回 | 22,000円 |
静脈内麻酔(セデーション)/1回 | 77,000円 |
埋入手術(ノーベル) | 264,000円 |
上部セラミック(ノーベル) | 198,000円 |
埋入手術(オステム) | 143,000円 |
サイナスリフト/1歯 | 220,000円 |
ソケットリフト/1歯 | 55,000円 |
FGG(歯肉移植)/1回 | 88,000円 |
骨移植/1回 | 165,000円 |
オールオンフォー
診療内容 | 料金 |
|---|---|
インプラント埋入治療診断料/1回 | 22,000円 |
静脈内麻酔(セデーション)/1回 | 77,000円 |
埋入/片顎 | 264,000円 |
即時プロビ/片顎 | 198,000円 |
セカンドプロビ/片顎 | 143,000円 |
ファイナル上部構/片顎 | 220,000円 |
ザイゴマインプラント
診療内容 | 料金 |
|---|---|
インプラント埋入治療診断料/1回 | 22,000円 |
静脈内麻酔(セデーション)/1回 | 99,000円 |
埋入/片顎 | 1,100,000円 |
即時プロビ/片顎 | 220,000円 |
セカンドプロビ/片顎 | 550,000円 |
ファイナル上部構/片顎 | 880,000円 |
※インプラントによる治療は保険が適用されない自費診療です。
※金額は全て税込表示です。
お支払いについて
よしひろ歯科クリニックでは、以下の支払い方法に対応しています。
※詳細は医院へお問い合わせください。
●現金
●クレジットカード
●デンタルローン
インプラントによる治療は医療費控除の対象です。
医療費控除を使用することで治療費の一部が返ってくるので、ぜひ活用しましょう。
<関連記事>
【年収別】インプラントで医療費控除を使ったらいくら戻ってくる?申請方法も解説
歯科医師紹介

山田 嘉宏
経歴
平成3年昭和大学歯学部 卒業 平成3年東京医科歯科大学歯学部補綴科 入局 平成5年茨城友部診療所 勤務 平成6年東京品川区共立歯科 分院長 平成11年よしひろ歯科クリニック 開院 平成14年医療法人社団隆嘉会よしひろ歯科クリニック 設立
所属学会・資格・スタディーグループ
厚生労働省認定歯科医師臨床研修指導医 日本口腔インプラント学会専門医 IDIA(国際歯科インプラント協会/旧 ADIA(アメリカ歯科インプラント協会))専門医/指導医 DGZI(ドイツ口腔インプラント学会)専門医/指導医 ISOI(国際口腔インプラント学会)専門医/指導医 ICOI(国際口腔インプラント学会)認定医 日本臨床歯周病学会歯周病認定医
メッセージ
基本情報
住所
〒142-0063 東京都品川区荏原3-3-1 カーサリッカ1F
最寄駅
東急目黒線「武蔵小山」駅から徒歩で約3分/東急池上線「戸越銀座」駅から徒歩で約10分
診療時間
月・火・木・金:9:30~12:30/14:30~19:00 土・日:9:30~12:30/13:40~17:30 水・祝:休診日
電話番号
03-5498-4618
2. 新宿きらきら歯科(新宿区/新宿駅)PR
新宿きらきら歯科(新宿区/新宿駅)の歯がボロボロに関する動画
ボロボロな歯で悩んでいる患者さんの不安に寄り添う万全の診療体制
「歯がボロボロで恥ずかしい」「ボロボロな歯を怒られるのが怖くて歯医者に行けない」と1人で悩んでいませんか。
新宿きらきら歯科は、そんな不安を抱える方に寄り添う歯科医院です。
ボロボロな歯をすぐに治したい方には即日お渡し可能な義歯(入れ歯)、自然で美しい見た目にしたいという方にはインプラントやセラミックなど、高度な選択肢を複数用意し、患者さんの多岐に渡る要望に応えられる体制となっています。
また、歯医者が怖いため歯がボロボロになるまで放置してしまった方には、安心して治療を受けてもらえる静脈内鎮静法を導入。
院内に歯科技工所が併設しているため、外部コストを抑えたスピーディーな治療が可能となっています。
このように新宿きらきら歯科は、ボロボロな歯で悩んでいる患者さんの不安に寄り添った診療体制が整えられている歯科医院です。
特徴1 歯科恐怖症の方も安心できる「静脈内鎮静法(リラックス治療)」
「歯がボロボロになるまで放置してしまった」という方のなかには、過去のトラウマや治療の痛みに対する強い恐怖心を抱えている方も多いです。
新宿きらきら歯科では、そのようなお悩みを持つ方に向けて、点滴から鎮静剤を入れる静脈内鎮静法(リラックス治療)を提供しています。
ボロボロな歯をインプラントやセラミックなどで治療する際、局所麻酔をおこなうことで基本的に痛みを感じませんが、施術中の意識ははっきりとしているため、器具の音や振動を感じる場合があります。
しかし、静脈内鎮静法を用いることで、患者様はウトウトと眠っているようなリラックスした状態になり、極度の緊張や痛みを感じずに治療を終えられるのです。
麻酔の効果で治療中の記憶が残りにくいため、個人差はありますが気づいたら治療が終わっていた状況を作ることが可能です。
多数の歯を一度に治療するような長時間の処置が必要な場合でも、静脈内鎮静法によって精神的・肉体的な負担を軽減できるため、恐怖心から長年歯医者に通えなかった方でも安心して治療に臨めるでしょう。
特徴2 多数の歯を失った状態から短期間で回復できる「オールオン4」と「即日義歯」

歯がボロボロで多数の歯を失ってしまったり、総入れ歯が必要な状態になったりした方にとって、噛む機能や見た目をどう取り戻すか、短期間で回復できるかは切実な問題です。
新宿きらきら歯科では、そのようなお悩みを持つ患者様に向けて、すべての歯を4〜6本のインプラントで治療できる「オールオン4/6」という解決策をご用意しています。
従来のインプラント治療よりも少ない本数で済むため、身体的負担・経済的負担を抑えて、しっかりと噛める歯へと治療することができます。
さらに、「できるだけ早く見た目を回復して、しっかり噛めるようになりたい」というご要望に対しては、朝に型取りをおこなえばその日の夕方にはお渡しできる「即日義歯(入れ歯)」の治療も可能です。
新宿きらきら歯科では、患者様の歯の状態やご希望に合わせて、オールオン4/6や即日義歯のような負担が少なくできるだけ短期間に機能・審美性の回復が見込める治療法を提案しています。
特徴3 専属歯科技工士の常駐による「低コスト・短期間治療」と「完全個室」の配慮

ボロボロの歯を見られるのが恥ずかしいという心理的ハードルや、治療が長引くことへの懸念も、新宿きらきら歯科ならではの体制で解消できます。
まず、各診療室は完全個室となっているため、他人の目を気にすることなく安心してご相談いただけるのが新宿きらきら歯科の特徴です。
安心できる環境で、不安や悩みに寄り添ったカウンセリングが受けられます。
また、新宿きらきら歯科は院内に歯科技工所を備え、専属の歯科技工士が常駐している点も特徴として挙げられます。
外部の技工所に依頼する必要がないことから、委託のコストや時間をカットできるため、費用負担を抑えつつ高品質な技工物(被せ物・詰め物・入れ歯など)の提供が可能です。
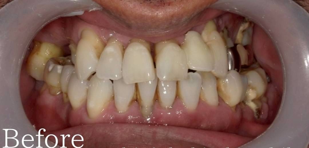
症例1
Before

After

主訴 | 虫歯で歯がボロボロになり、全部の歯を綺麗にしたい |
|---|---|
治療内容 | オールオン4治療 |
費用 | 片顎2,000,000円(税込) |
副作用・リスク | ・外科手術にともなう痛みや腫れ、出血や合併症の可能性がある |
設備
歯科用CT
歯科用CTは歯や顎の骨の状態などを立体的な画像で撮影できる機器です。精密な検査・診断をおこなうのに必須な機器と言えます。
CAD/CAMシステム
コンピュータ制御によって、短時間でセラミックの詰め物や被せ物などを設計・製作できるシステムです。
インプラント手術ナビゲーションシステム
CTデータをもとにコンピュータ上でインプラントを入れる位置や角度をシミュレーションし、その通りにインプラントを入れられるようリアルタイムでナビゲートしてくれるシステムです。
院内技工所
補綴物(被せ物や詰め物など)を作る技工所です。精密でスピーディーな補綴物の作成が可能となります。
歯がボロボロに関わる費用
静脈内鎮静法 | 1回88,000円(税込) |
|---|
1日でできる入れ歯治療 | |
|---|---|
部分入れ歯 | ・金属のバネ 11万円〜33万円(税込) |
総入れ歯 | <厚みがある入れ歯> |
オプション | 1ヶ所11,000円(税込) |
※初診料やカウンセリング料やCTを含むレントゲン料金は無料です。
被せ物(セラミック)料金 | |
|---|---|
ノリタケ製ジルコニアセラミッククラウン | 80,500円 |
オーダーメイドジルコニアクラウン | 60,500円 |
セラミックラミネートべニア | 60,500円 |
フルジルコニアクラウン | 39,500円 |
部分的な被せ物(e-max) | 38,500円 |
仮歯 | 5,500円 |
※上記の料金表には施術料、局所麻酔代が含まれています。
※材料費高騰のためジルコニアセラミック70,500円→80,500円となります。
別途料金がかかる処置 | |
|---|---|
神経処置(前歯) | 33,000円 |
神経処置奥歯(小臼歯)/(大臼歯) | 44,000円 / 55,000円 |
ファイバーコア(土台)/1本 | 11,000円 |
抜歯 /1本 | 11,000円 |
抜歯の治癒促進剤(コラーゲン) | 5,500円 |
歯肉形成 | 16,500円 |
金属の土台(芯)の取り外し /1本 | 5,500円 |
虫歯治療 /1本 | 3,300円 |
※神経処置は希望者のみになります。神経処置を行った場合は、土台(ファイバーコア)が必要になります。根の先に膿がたまっている場合は神経治療代各部位プラス11,000円になります。
※抜歯の治癒促進剤(コラーゲン)は、無しにすることも可能です。
メンテナンス(3ヶ月~半年に一度) | 11,000円 |
エアフロー(着色落とし) | 8,800円 |
インプラント | |
|---|---|
カウンセリング | 無料 |
精密検査(CT撮影、レントゲン) | 無料 |
ガイド | 50,000円 |
インプラントオペ | 50,000円 |
インプラント体 | 100,000円 |
上部構造(被せ物) | 100,000円 |
合計 | 30万円/本 |
※これらは保険が適用されない自費診療です。
※金額は全て税込表示です。
お支払いについて
新宿きらきら歯科では以下の支払い方法に対応しています。
※詳細は医院へお問い合わせください。
●現金
●クレジットカード
歯科医師紹介
高根 元恒
経歴
2008年 日本大学松戸歯学部卒業 2009年 臨床研修医終了 2010年 医療法人和光会ボックスヒル歯科勤務 2014年 医療法人郁栄会寒竹歯科勤務 2016年 医療法人郁栄会ベイデンタルクリニック院長 2017年 赤坂きらきら歯科開業 2022年 新宿きらきら歯科へ医院拡大のため移転開業
所属学会・資格・スタディーグループ
MALO DENTAL & MEDICAL Alliance Team 提携 X-GUIDE ダイナミックナビゲーション機関 認定
メッセージ
基本情報
住所
〒160-0022 東京都新宿区新宿三丁目11-9 花菱ビル8階
最寄駅
JR新宿駅 徒歩10分/東京メトロ副都心線・丸ノ内線 新宿三丁目駅 徒歩1分
診療時間
不定休 10:00〜21:00
電話番号
03-6459-1616
3. マロ デンタル&メディカル東京(中央区)
.png)
医院紹介
東京都中央区銀座に位置する「マロ デンタル&メディカル東京」は、オールオン4をはじめとするインプラント治療を専門とするクリニックです。
世界的なインプラント治療「オールオン4」の開発者であるDr.パウロ・マロ氏より直接指導を受けた日本人歯科医師が治療を担当します。
また、複数のドクターで治療方針を検討するチーム医療体制を構築しており、手術は執刀医、麻酔科医、技工士、歯科衛生士など最低8名のチームで実施します。
デジタル技術を活用した高精度な治療を目指していることから、「X-Guide」による3Dダイナミックナビゲーション手術にも対応。
院内は充実した医療設備に加え、高級ホテルさながらのアメニティを備え、快適な環境で治療を受けられます。
毎週火曜日には無料のオンライン相談会がおこなわれているので、遠方の方や治療に対する悩みを抱えている方はぜひ参加してみてはいかがでしょうか。
詳細は公式ホームページをご覧ください。
設備
◆歯科用CT
◆オペ室(手術室)
◆マイクロスコープ(歯科用顕微鏡)
特徴1 【麻酔専門のスタッフが担当】リラックスした状態で手術が受けられる環境

ボロボロな歯になるまで放置してしまった方のなかには「治療時の音が怖い」「機器が口に入ると嘔吐反射が出る」などで、なかなか治療に踏み出せない方も多くいらっしゃるでしょう。
マロ デンタル&メディカル東京では、患者さんの不安や痛みを軽減するための治療に力を入れています。
麻酔専門のスタッフによる静脈内鎮静法や全身麻酔法を選択可能で、今まで怖くて治療を受けられなかった歯科恐怖症の方も、リラックスして手術に臨めます。
治療への不安や恐怖心がある方でも、一度同院に相談してみてはいかがでしょうか。
歯がボロボロに関わる費用
初回診察(エックス線撮影・CT撮影費含む) | 5,500円(税込) |
|---|---|
通常のインプラント治療 1本(補綴装置代含む) | 561,000円(税込) |
オールオン4治療 手術代 | 1,760,000円(税込)~ |
オールオン4治療 補綴装置(最終的な歯)代 | 1,650,000円(税込)~ |
※インプラントによる治療は保険が適用されない自費診療です。
※金額は全て税込表示です。
お支払いについて
マロ デンタル&メディカル東京では、現金・クレジットカードに対応しています。
※詳細は医院へお問い合わせください。
●現金
●クレジットカード
●デンタルローン
基本情報
住所
〒104-0061 東京都中央区銀座7丁目8番10号 FUKUHARA GINZA 8階
最寄駅
東京メトロ銀座駅・新橋駅から徒歩5分
診療時間
火曜日~金曜日:10:30~13:30/14:30~18:30 土曜日:9:30~12:30/13:30~16:30 月曜・日曜・祝祭日:休診日
電話番号
03-3572-3977
インプラント治療について
インプラント治療とは?
インプラント治療は、失った歯を補うための治療法です(※公的医療保険が適用されない自由診療です)。
歯を失った顎の骨にインプラント体を埋入し、そのインプラント体を土台に被せ物をすることで失った歯を補完します。
インプラントの構造やメリット・デメリットなどについてはこちら
治療の流れ
下記、一般的な治療の流れです。
※あくまでも一般的な流れであり、下記とは異なる流れで治療がおこなわれることもあります。
【二回法の場合】
1.カウンセリング
2.検査・治療計画の策定
3.骨造成や骨移植(ケースによっては不要)
4.一次手術(インプラントの埋入)
5.待機期間(人工歯根と顎骨の結合待ち)
6.二次手術(アバットメントの取付)
7.型取り
8.上部構造を装着して完了
※その後は定期的にメンテナンスを受ける必要がある
【一回法の場合】
1.カウンセリング
2.検査・治療計画の策定
3.骨造成や骨移植(ケースによっては不要)
4.インプラント埋入手術
5.待機期間(人工歯根と顎骨の結合待ち)
6.型取り
7.上部構造を装着して完了
※その後は定期的にメンテナンスを受ける必要がある
治療期間や通院回数の目安
治療期間:3ヵ月~1年程度
通院回数:8~10回程度
※具体的な治療期間や通院回数は、患者さん1人ひとりの口腔状態や要望、治療内容などによって異なります。
想定されるリスク・副作用
下記、インプラント治療で想定されるリスク・副作用です。
・神経や血管を傷つけて感覚麻痺が起きる
・患部に腫れ、痛み、違和感が生じる
・患部から出血する
・顔や首などに内出血斑が出る
・チタンアレルギーが起きる
・上顎にインプラント体を埋入する際、上顎洞を破る
・インプラント体と顎骨が上手く結合しない
・インプラント周囲炎になる
Medee歯科検索は、おすすめしたい歯医者を掲載しています。
駅、行政区、診療時間、歯科医院の特徴、診療科目など豊富な検索メニューで歯科医院を検索可能。
また歯科医院のWebサイトはもちろん各種予約ツールも利用することが可能で、より簡単に歯科医院を探すことができます。














