【2025年】熊本市でインプラント治療におすすめしたい歯科医院5選
2025/11/10
2025/11/21
#インプラント

インプラント治療は、歯科医師の技術力や医院の設備によって、その結果が大きく左右されると言われている高度な治療です。
熊本市内でインプラント治療を検討する際、多くの情報の中から確かな技術を持つ医院を見極めるのは容易ではありません。
この記事では、導入設備や歯科医師の専門性などをもとに、熊本市でインプラント治療におすすめしたい歯科医院を5つピックアップしてご紹介しています。
参考:インプラントのおすすめ歯科医院について
熊本市でインプラント治療対応の歯科医院をお探しの方はぜひ参考にしてみてください。
※2025年11月時点でのMedee編集部による調査データとなります。
【2025年】熊本市でインプラント治療におすすめしたい歯科医院5選
1. 慶歯科医院(熊本市西区城山大塘)PR
.png)
専門家達が連携するチーム医療で高品質なインプラント治療を提供
熊本市中央区、熊本駅から車で約10分の場所に医院を構える「慶歯科医院」。
医院には日本口腔インプラント学会指導医や同学会の認定歯科衛生士をはじめ、さまざまな分野に精通した専門家が複数在籍しています。
それぞれの専門家が連携するチーム医療体制のもと、各治療において高水準な治療をおこなっています。
インプラント治療においては「いかに患者さんの負担を減らすか」を優先的に考えた治療法を選択。
担当制を採用しており、患者さん一人ひとりに寄り添った対応のもと、経験豊富な歯科医師達による質の高いインプラント治療が期待できます。
院内には衛生管理の徹底された個室のオペ室が設けられ、プライバシーに配慮された環境で治療を受けることができます。
セカンドオピニオンも受け付けているため、すでに他院でインプラントを検討されている方も一度相談してみてはいかがでしょうか。
特徴1 「インプラント」と「歯周病」両分野の指導医による将来を見据えた高品質な治療

慶歯科医院では「インプラント」と「歯周病」それぞれの分野で他の歯科医師を指導する立場にある「指導医」の資格を保有するドクターが、インプラント治療を担当します。
2つの高度な専門性を併せ持つ歯科医師による、質の高いインプラント治療が期待できます。
「日本歯周病学会指導医」としての知見を活かし、インプラントを埋入する前に徹底的な歯周病治療とリスク管理を実施。
その後、日本口腔インプラント学会指導医としての確かな技術に基づき、単に歯を補うだけでなく、お口全体のバランスや「噛み合わせ」まで考慮してインプラントを埋入しています。
あらかじめ徹底的に口腔内のケアをしてからインプラントを埋め込むことで、治療後の感染症といったトラブルを防ぎ、長期的にインプラントを使い続けることができます。
将来を見据えた、より確実性の高いインプラント治療をお求めの方にとって、慶歯科医院は非常に頼りになる存在と言えるでしょう。
特徴2 【日本歯科麻酔学会認定医が担当】リラックスした状態で治療が受けられる麻酔法

「手術がどうしても怖い」「治療中の吐き気が不安」といった悩みを抱える患者さんのために、慶歯科医院ではリラックスして治療が受けられる『静脈内鎮静法』に対応しています。
静脈内鎮静法は点滴を通して鎮静薬を投与し、ウトウトと眠っているようなリラックスした状態を作り出す麻酔法です。
全身麻酔とは異なり意識が完全に失われるわけではありませんが、麻酔の効果で治療中の音や振動による嫌な記憶が残りにくい傾向にあります。
治療中や治療後のストレス軽減にもなるでしょう。
麻酔の処置や管理は「日本歯科麻酔学会認定医」の資格を持つ専門の麻酔医が担当。
麻酔時の痛みまでも軽減できるよう、鎮静薬の温度調整をはじめとした様々な工夫もされており、安心して任せられるでしょう。
特徴3 インプラントの難症例にも対応できる幅広いオプション

慶歯科医院では「顎の骨が少ない」「多くの歯を失っている」といった、通常治療が難しいと判断されるような「難症例」に対しても、幅広いインプラント治療の選択肢を用意しています。
インプラントを埋め込むための骨の厚みや高さが不足している場合には、足りない骨を補う「骨造成」という特殊な処置で対応。
これまで「骨が足りない」という理由でインプラントを諦めていた方でも、治療が可能になるケースがあります。
また、総入れ歯をお使いの方や多くの歯を失ってしまった方には、身体的・経済的な負担を考慮した「オールオン4」や「インプラントオーバーデンチャー」などの治療法も提案しています。
どちらも数本のインプラントで片顎分の歯を補うことができる治療法です。
このように慶歯科院はインプラント治療における豊富なオプションを用意しており、それを実現する確かな技術力を持っています。
インプラントによる治療が受けられるか不安な方も、一度相談してみてはいかでしょうか。
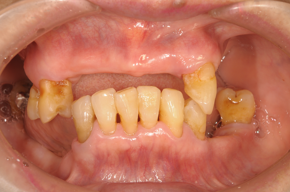
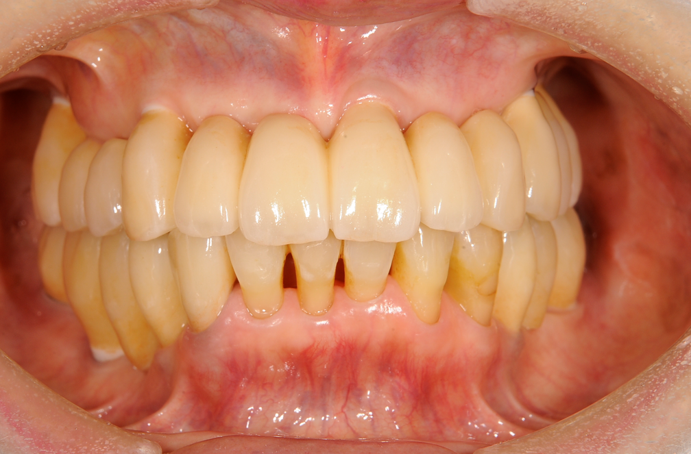
症例1
Before

After

主訴 | 欠損部へのインプラント治療希望 |
|---|---|
治療内容 | インプラント6本で12本分の歯を支える設計で治療 |
治療期間/治療回数 | 10ヵ月/22回 |
費用 | 3,421,000 円(税込) |
リスク・副作用 | 6本のインプラントで12本分の歯を支える設計のため、インプラントが1本でも問題が起こすと、人工の歯の構造物に破折等のリスクが高まります。 |
設備
歯科用CT

顎の骨や歯の状態を立体的な画像を把握できるCT装置です。精密なインプラント治療をおこなうのに必須な装置です。
マイクロスコープ

患部を肉眼の数十倍にまで拡大して観察できる歯科用の顕微鏡です。より精度の高い治療が可能となります。
口腔内スキャナー

専用のスキャナーを用いて口腔内を撮影することで歯型を採取できる機器です。歯型の採取で、従来の粘土のような材料を用いる必要はありません。
オペ室

衛生管理の徹底された個室のオペ室です。
カウンセリングルーム

個室のカウンセリングルームで、周りを気にせずご相談していただけます。
インプラントに関わる費用
相談 | 無料 |
|---|---|
インプラント1本 | 247,500円 |
手術諸費用 | 33,000円~55,000円 |
上部構造 | 121,000円~143,000円 |
※インプラントによる治療は保険が適用されない自費診療です。
※金額は全て税込表示です。
お支払いについて
慶歯科医院では、以下の支払い方法に対応しています。
※詳細は医院へお問い合わせください。
●現金
●クレジットカード
インプラントは医療費控除の対象です。
医療費控除を利用することで治療費の一部が返ってくるのでぜひ活用することをおすすめします。
<関連記事>
【年収別】インプラントで医療費控除を使ったらいくら戻ってくる?申請方法も解説
歯科医師紹介

村上 慶
経歴
熊本市出身 九州大学歯学部 卒業 1994~2003年 医療法人伊東会 伊東歯科口腔病院 勤務 2003年 慶歯科医院 開院 2009年 医療法人怜生会 慶歯科医院 設立 2018年〜2021年 九州大学社会人大学院 博士号取得
所属学会・資格・スタディーグループ
公益社団法人日本口腔インプラント学会指導医 特定非営利活動法人日本歯周病学会指導医 公益社団法人日本口腔インプラント学会専門医 特定非営利活動法人日本歯周病学会専門医 一般社団法人日本歯科麻酔学会認定医 九州インプラント研究会正会員(KIRG) 慶歯科ペリオインプラント勉強会会長 子どもとママの健康を育む会前会長 公益社団法人日本歯科補綴学会 公益社団法人日本口腔外科学会 特定非営利活動法人日本歯周病学会 公益社団法人日本口腔インプラント学会 一般社団法人日本歯科麻酔学会 一般社団法人日本有病者歯科医療学会 介護支援専門員(ケアマネージャー)
メッセージ
基本情報
住所
〒860-0067 熊本県熊本市西区城山大塘1-9-25
最寄駅
熊本駅から車で10分
診療時間
月・火・木・金:9:00~13:00/14:00~18:00 水曜:9:00~13:00 土曜:8:30~12:30 日・祝:休診日
電話番号
096-329-3920
2. 熊本パール総合歯科・矯正歯科・こども歯科クリニック(熊本市西区春日三丁目)

医院紹介
熊本市中央区に位置する「熊本パール総合歯科・矯正歯科・こども歯科クリニック熊本院」。
同院は患者さんとの「コミュニケーション」を特に大切にしていおり、 院内にはプライバシーに配慮された専用の「カウンセリングスペース」が完備されています。
歯科医師だけでなく、専門の知識を持ったトリートメントコーディネーター(TC)が在籍しており、治療前の不安や希望、費用に関する疑問などをじっくりと時間をかけてヒアリングしてくれます。
「先生にはちょっと聞きづらい…」といった些細なことでも気兼ねなく相談できる環境は、納得のいく治療への第一歩となるでしょう。
歯科用CTやマイクロスコープなどの設備面も充実しており、デジタル技術を駆使した精度の高いインプラント治療も特徴のひとつです。
初回無料カウンセリングもを実施しているので、まずは相談してみてはいかがでしょうか。
設備
◆歯科用CT
◆オペ室(手術室)
特徴1 インプラントの治療期間短縮を図る治療法

熊本パール総合歯科・矯正歯科・こども歯科クリニックでは、患者さんの時間的、そして身体的な負担を軽減するためのインプラント治療法「抜歯即時埋入」に対応しています。
一般的に抜歯をともなうインプラント治療では、歯を抜いた後その傷口が治癒し回復するまで数ヶ月の待機期間が必要です。
その後、改めて歯茎を切開してインプラントを埋め込むため、どうしても全体の治療期間が長くなり、手術回数も複数回になってしまいます。
これに対し「抜歯即時埋入」は、抜歯をしたその日のうちにインプラントを埋め込む治療法です。
従来の治療法であれば必要な抜歯によってできた傷口の治癒期間を設ける必要がないため、全体の治療期間を短縮することにつながります。
ただ、この治療法は一定の条件を満たしている必要あるため、ご自身が適応となるかどうか、まずは相談してみてはいかがでしょうか。
インプラントに関わる費用
抜歯即時インプラント加算 | 1本 | 33,000円(税込) |
|---|---|---|
即日仮歯装着 | 1本 | 55,000円(税込) |
チタン製の土台+上部構造 | オールセラミック | 253,000円~319,000円(税込) |
プレミアム | 330,000円~363,000円(税込) | |
ALL-ON-4 | 上顎 | 3,190,000円(税込) |
下顎 | 3,190,000円(税込) |
※インプラントによる治療は保険が適用されない自費診療です。
※金額は全て税込表示です。
お支払いについて
熊本パール総合歯科・矯正歯科・こども歯科クリニックでは、以下の支払い方法に対応しています。
※詳細は医院へお問い合わせください。
●現金
●クレジットカード
●デンタルローン
基本情報
住所
〒860-0047 熊本県熊本市西区春日三丁目15番26号アミュプラザくまもと531区画
最寄駅
熊本駅から徒歩で約3分
診療時間
月~日:10:15~13:00/14:00~17:30 祝日:休診日
電話番号
0120-461-117
3. 歯科ホワイトピアノ(熊本市北区麻生田)

医院紹介
熊本市北区の麻生田に位置する「歯科ホワイトピアノ」。
同院は治療を繰り返さないことを心掛けており、 一時的な対処療法ではなくトラブルの根本原因を徹底的に除去する「根本治療」を重視しています。
治療における痛みへの配慮を徹底されており、表面麻酔や極細の針を使用するなどさまざまな工夫がなされています。
治療時の痛みに不安がある方はあらかじめ相談しておくと良いでしょう。
インプラント治療を担当するのは、「日本口腔インプラント学会 専門医」の資格を持つ院長であり、豊富な経験と専門知識に基づいた確かな技術を用いた質の高いインプラント治療が期待できます。
医院の詳細は公式ホームページにてご確認ください。
設備
◆歯科用CT
◆口腔内スキャナー
特徴1 骨が足りないケースにも対応するショートインプラント

インプラント治療において骨の高さや厚みが不足していると、標準的なサイズのインプラントを埋め込むことが難しく、そのままではインプラントでの治療を受けられないケースが多いです。
歯科ホワイトピアノでは、こうした難症例に対する選択肢として、通常よりも短いサイズの「ショートインプラント」を用いた治療に対応しています。
ショートインプラントは、その名の通り通常より短いインプラントのため、骨が足りないケースにおいても追加の骨を増やす処置をおこなわずにインプラントを埋入できる可能性があります。
同院には日本口腔インプラント学会の専門医が在籍しており、精密な検査に基づいた診断が可能です。
「骨が足りないから」とインプラントを諦めかけていた方も、ショートインプラントという選択肢について、一度専門医に相談されてみてはいかがでしょうか。
インプラントに関わる費用
インプラント | 330,000円 |
|---|---|
GBR | 33,000円 |
ソケットリフト | 33,000円 |
サイナスリフト | 55,000円 |
サージカルガイド | 11,000円 |
オールオン4(All-on-4) | 2,750,000円 |
※インプラントによる治療は保険が適用されない自費診療です。
※金額は全て税込表示です。
お支払いについて
歯科ホワイトピアノでは、現金・クレジットカード・デンタルローンに対応しています。
※詳細は医院へお問い合わせください。
基本情報
住所
〒861-8081 熊本県熊本市北区麻生田2丁目4-20
最寄駅
熊本電鉄「麻生田小」停留所より徒歩1分
診療時間
月~金:9:00~12:30/14:30~18:30 土曜:8:45~17:00 日・祝:休診日
電話番号
096-338-1802
4. ピュアデンタルクリニック新大江歯科診療所(熊本市中央区新大江)

医院紹介
熊本市中央区、水前寺駅からは徒歩5分の場所に位置する「ピュアデンタルクリニック 新大江歯科診療所」。
治療開始前には十分な時間確保されたカウンセリングが受けられ、あらゆる治療において無理のない治療計画を重視。
治療後のメンテナンスにも力をいれており、歯科衛生による丁寧なケアが受けれられます。
治療開始から治療後のフォローまで充実した体制が整えられています。
インプラント治療では、顎の骨が少ない難症例や他院で入れたインプラントの対応)など、高度な技術を要するケースにも取り組んでいるようです。
セカンドオピニオンにも対応しているので、インプラント治療を検討されている方は一度相談してみてはいかがでしょうか。
医院の詳細は公式ホームページにてご確認ください。
設備
◆歯科用CT
◆拡大鏡
特徴1 【総入れ歯で悩まれている方へ】インプラントと入れ歯を組み合わせた治療

ピュアデンタルクリニック新大江歯科診療所では、総入れ歯のお悩みを解消する選択肢として「インプラントオーバーデンチャー」に対応しています。
総入れ歯をお使いの方の中には「入れ歯がすぐにズレてしまう」「硬いものがうまく噛めない」 などの悩みを持たれている方もいらっしゃるでしょう。
インプラントオーバーデンチャーとは、顎の骨に埋め込んだ2〜4本程度のインプラントを土台に入れ歯を固定する治療法です。
インプラントがしっかりと入れ歯を支えるためしっかりとした噛み心地が得られ、食事中や会話中に入れ歯がズレたり外れたりする心配が大幅に軽減されます。
インプラントに関わる費用
インプラント
チタンインプラント | ¥286,000 |
|---|---|
HAコーティングインプラント | ¥352,000 |
土台
ノーマルアバットメント | ¥77,000 |
|---|---|
カスタムアバットメント(特注) | ¥88,000 |
ジルコニアアバットメント | ¥99,000 |
被せ物
オールセラミックス | ¥143,000 |
|---|---|
メタルボンド | ¥154,000 |
ハイブリッドクラウン | ¥88,000 |
マグネット1装置 | ¥110,550~¥231,000 |
ドルダーバー1装置 | ¥110,550~¥231,000 |
Oリングアタッチメント | ¥110,000 |
※インプラントによる治療は保険が適用されない自費診療です。
※金額は全て税込表示です。
お支払いについて
ピュアデンタルクリニック新大江歯科診療所では、以下の支払い方法に対応しています。
※詳細は医院の公式ホームページにてご確認ください。
●現金
●クレジットカード
●デンタルローン
基本情報
住所
〒862-0972 熊本県熊本市中央区新大江2-11-9
最寄駅
「水前寺駅」より徒歩5分/「熊本インター」より車で約20分
診療時間
月~金:9:00~13:00/14:00~18:00 土曜:9:00~13:00/14:00~17:00 日・祝:休診日
電話番号
096-373-8020
5. せきかつひろ歯科口腔外科クリニック(熊本市南区)

医院紹介
熊本市東区、平成駅より徒歩で12分の場所に医院を構える「せきかつひろ歯科口腔クリニック」。
一般的な歯科治療はもちろんのこと、より専門的な知識と技術を必要とするお口のトラブルに対応できる「口腔外科専門医」が在籍するクリニックです。
精度の高い診断・治療がおこなえるよう、院内には歯科用CTやマイクロスコープ、口腔内スキャナーなど様々な精密機器が導入されています。
院内感染対策にも注力されており、高性能なクラスB滅菌器を導入し、治療器具は患者さんごとに確実に滅菌。
コップやエプロンなどは使い捨て製品を使用するなど、清潔で安全な医療環境の維持に努めています。
充実した設備や感染症対策が施された環境のもと、口腔外科専門医による確かな治療が期待できるでしょう。
医院の詳細は公式ホームページにてご確認ください。
設備
◆歯科用CT
◆マイクロスコープ
◆口腔内スキャナー
◆クラスB滅菌器
お支払いについて
せきかつひろ歯科口腔外科クリニックでは、以下の支払い方法に対応しています。
※詳細は医院へお問い合わせください。
●現金
●クレジットカード
●デンタルローン
基本情報
住所
〒860-0834 熊本県熊本市南区江越1丁目15-11
最寄駅
平成駅から徒歩12分
診療時間
月~金:9:00~13:00/14:00~17:30 土曜:9:00~16:00 日・祝:休診日
電話番号
096-377-1188
インプラント治療について
インプラント治療とは?
インプラント治療は、失った歯を補うための治療法です(※公的医療保険が適用されない自由診療です)。
歯を失った顎の骨にインプラント体を埋入し、そのインプラント体を土台に被せ物をすることで失った歯を補完します。
インプラントの構造やメリット・デメリットなどについてはこちら
治療の流れ
下記、一般的な治療の流れです。
※あくまでも一般的な流れであり、下記とは異なる流れで治療がおこなわれることもあります。
【二回法の場合】
1.カウンセリング
2.検査・治療計画の策定
3.骨造成や骨移植(ケースによっては不要)
4.一次手術(インプラントの埋入)
5.待機期間(人工歯根と顎骨の結合待ち)
6.二次手術(アバットメントの取付)
7.型取り
8.上部構造を装着して完了
※その後は定期的にメンテナンスを受ける必要がある
【一回法の場合】
1.カウンセリング
2.検査・治療計画の策定
3.骨造成や骨移植(ケースによっては不要)
4.インプラント埋入手術
5.待機期間(人工歯根と顎骨の結合待ち)
6.型取り
7.上部構造を装着して完了
※その後は定期的にメンテナンスを受ける必要がある
治療期間や通院回数の目安
治療期間:3ヵ月~1年程度
通院回数:8~10回程度
※具体的な治療期間や通院回数は、患者さん1人ひとりの口腔状態や要望、治療内容などによって異なります。
想定されるリスク・副作用
下記、インプラント治療で想定されるリスク・副作用です。
・神経や血管を傷つけて感覚麻痺が起きる
・患部に腫れ、痛み、違和感が生じる
・患部から出血する
・顔や首などに内出血斑が出る
・チタンアレルギーが起きる
・上顎にインプラント体を埋入する際、上顎洞を破る
・インプラント体と顎骨が上手く結合しない
・インプラント周囲炎になる
Medee歯科検索は、おすすめしたい歯医者を掲載しています。
駅、行政区、診療時間、歯科医院の特徴、診療科目など豊富な検索メニューで歯科医院を検索可能。
また歯科医院のWebサイトはもちろん各種予約ツールも利用することが可能で、より簡単に歯科医院を探すことができます。
新着記事

【2025年】神奈川県でブルーラジカル対応のおすすめしたい歯科医院6選

【2025年】札幌市西区でインプラント治療におすすめな歯科医院5選

【2025年】北新地駅でインプラント治療におすすめしたい歯科医院5選

【2025年】堺市でセカンドオピニオン対応のインプラント治療におすすめしたい歯科医院5選

【2025年】東京都でラミネートベニア対応のおすすめしたい歯科医院10選
関連する記事

【2025年】札幌市西区でインプラント治療におすすめな歯科医院5選

【2025年】北新地駅でインプラント治療におすすめしたい歯科医院5選

【2025年】堺市でセカンドオピニオン対応のインプラント治療におすすめしたい歯科医院5選

【2025年】岡山市でオールオン4おすすめしたい歯科医院5選

【2025年】姫路市でインプラント治療のセカンドオピニオンにおすすめしたい歯科医院5選

【2025年】港区でオールオン4対応のおすすめしたい歯科医院5選

【2025年】岐阜県でオールオン4対応のおすすめしたい歯科医院5選

【2025年】豊橋市でインプラント治療におすすめしたい歯科医院7選

東京都で骨造成対応のインプラント治療におすすめしたい歯科医院5選

【2025年】大垣市でインプラント治療におすすめしたい歯科医院5選

【2025年】安曇野市でインプラント治療におすすめしたい歯科医院5選

【2025年】東京都中央区で骨造成対応のインプラント治療におすすめしたい歯科医院5選

【2025年】吹田市でセカンドオピニオン対応のインプラント治療におすすめしたい歯科医院5選

【2025年】郡山市で骨造成対応のインプラント治療におすすめしたい歯科医院5選

【2025年】伊丹市でインプラント治療におすすめしたい歯科医院6選

【2025年】札幌市でオールオン4におすすめしたい歯科医院5選

【2025年】銀座でオールオン4におすすめしたい歯科医院5選

【2025年】宮崎市でインプラント治療におすすめしたい歯科医院7選

【2025年】香川県でインプラント治療におすすめしたい歯科医院7選

【2025年】豊中市でセカンドオピニオン対応のインプラント治療におすすめしたい歯科医院5選



