【2026年】東京都で根管治療におすすめしたい歯科医院10選
2025/9/22
2026/1/21
#根管治療

「治療が成功したと言われたのに、数年後に再発してしまった…」
「目に見えない部分だから、本当に細菌が取り除かれているのか不安だ」
「何度も通院しているのに、一向に痛みが引かない」
根管治療を検討するにあたって、このような経験談や不安の声を耳にしたことはありませんか。
根管治療の成功は、歯科医師の技術や経験、そしてマイクロスコープをはじめとした精密機器の有無などに大きく左右されるのが現実です。
だからこそ、どの歯科医院を選ぶかという決断は、あなたの歯の寿命を決めると言っても過言ではありません。
この記事では、そんな先の見えない不安を抱えるあなたのために、東京都内で根管治療におすすめしたい歯科医院をご紹介しております。
根管治療をどの歯科医院で受けるか悩んでいる方は、ぜひ参考にしてみてください。
※2026年1月時点におけるMedee編集部の調査データとなります。
- 1.1目白マリア歯科(目白駅)
【2026年】東京都で根管治療におすすめしたい歯科医院10選
1. 目白マリア歯科(目白駅)PR

確かな医療で確かな価値を皆様に
目白駅より徒歩5分の場所に位置する「目白マリア歯科」。
「確かな医療で確かな価値を皆様に」というコンセプトのもと、誰もが安心して通えるよう院内の環境を整えながら、各専門家が連携するチーム医療を実践されています。
院内は患者さんが安心して通えるようバリアフリー環境を整え、衛生管理にも力を入れているようです。
負担や不安を感じずに通院するための工夫が随所に見られ、安心して通い続けられる環境づくりを大切にされています。
治療においては、精密な根管治療を専門とする院長をはじめ、大学病院から招いた歯科医師が、多角的な観点のもと質の高い治療を提供されています。
また、日本歯周病学会の歯周病専門医も在籍しており、根管治療も歯周病も高い専門性を有しているので「自分の歯を守りたい」と考えている方にとって、目白マリア歯科はとても向いていると言えます。
プロフェッショナル達による一人ひとりに合わせたオーダーメイドな治療が期待できるしょう。
特徴1 歯内療法に精通したドクターによる精密な根管治療

根管治療は歯の寿命を左右する重要な治療であり、その複雑さから非常に難易度が高いとされている治療です。
また、治療の結果についても、他の治療と比べて歯科医師の技量に大きく左右されやすいと言われています。
そのような根管治療の領域において、目白マリア歯科には、根管治療で長年研鑽を積み専門的な知識を有する歯科医師が在籍しています。
日本歯内療法学会に在籍し、そのうえPESCJと呼ばれる国内でも専門性の高い根管治療のスタディグループにも参加している歯科医師です。
根管治療における専門的な知識を有していることはもちろん、マイクロスコープやニッケルチタンファイル、ラバーダムなど根管治療を成功させるために必要な機器を取り揃え、患者さまが安心できる環境を整えています。
根管治療に対する数多くの実績と、治療を成功させるための数々の医療機器、この両輪があるからこそ根管治療において高い成功率を維持できるのでしょう。
通常の根管治療よりも難易度の高い「再根管治療」にも対応しているので、まずは相談してみてはいかがでしょうか。
特徴2 通常の根管治療では難しい症例も外科的処置で対応可能に

「細菌感染が歯の根の外側にまで広がっている」「歯の根が枝分かれしている」などの一般的な根管治療で対応しきれない場合、抜歯となるケースは少なくありません。
この点に関して目白マリア歯科では、一般的な根管治療では対応しきれない難症例においても、外科的アプローチを用いて対応しているとのことです。
具体的には感染の原因となっている歯の根の先端を外科的に切り取り、そこから薬を詰めて蓋をする「歯根端切除術」や、一度歯を抜きお口の外で悪い部分をきれいにしてから、歯を元の場所へ戻す「意図的再植」などが挙げられます。
これらの外科的アプローチを用いることで、通常の根管治療であれば抜歯しなければならなかったケースでも、抜歯をせずに治療できる可能性が高まります。
長引く歯の根の症状でお困りの方、できるだけ自分の歯を抜きたくない方は、ご自身の歯を残すための外科的な選択肢について、専門家の意見を聞いてみると良いでしょう。
特徴3 無菌・徹底洗浄・緊密封鎖──根管治療の成功率を高める3つのこだわり

目白マリア歯科では、根管治療(抜髄)をおこなうにあたって、治療の成功率を極限まで高めるために「無菌的処置」「徹底的な洗浄」「緊密な封鎖」の3つを徹底されています。
根管治療において、まずはいかなる細菌も寄せ付けない環境を作ることが必須です。
同院では、使用する器具を徹底的に洗浄・滅菌することはもちろん、細菌を含んだ唾液が患部に流れ込まないよう、治療時にゴム製のシート(ラバーダム)を使用して細菌も寄せ付けない取り組みをされています。
環境を整えたうえで、複雑な形態をした根管内部の感染源を取り除くため、マイクロスコープやニッケルチタンファイルなどを活用しながら徹底的に洗浄。
そして、きれいにした根管内に再び細菌が入り込まないよう、封鎖性や体との親和性に優れた材料を用いて隙間なく密閉します。
これら3つを徹底していることで、結果的に治療の成功率を高め、大切な歯の寿命を延ばすことにつなげています。
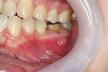
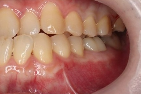
症例1
Before

After

主訴 | 2年以上他の医院にて根管治療で通院されていました。長期間通院したが症状は改善されず抜歯の宣告をされため、当院を受診。 |
|---|---|
治療内容 | 再根管治療・歯根端切除術|精密根管治療 |
治療期間/治療回数 | 治療期間:1ヶ月(精密根管治療後、2週間後に外科処置をおこなった) |
費用 | 55,000円(税込) |
副作用・リスク | ・下歯槽神経を損傷した場合、顔面に知覚麻痺が生じる場合があります。 |
設備
歯科用CT

歯科用CTは、歯や顎の骨を三次元(3D)の立体画像で撮影できる装置です。通常のレントゲンでは分からない歯の根の形、骨の厚みや密度、神経の位置などを詳細に把握できます。
デンタルレントゲン

デンタルレントゲンは、1本から数本の歯を詳しく調べるのに用いられます。初期の虫歯や歯の根の先にできた病気の発見はもちろん、詰め物・被せ物の状態を確認する際にも役立ちます。
マイクロスコープ

マイクロスコープは歯科治療で用いる顕微鏡であり、対象を肉眼の数十倍以上に拡大することができます。肉眼では不可能なレベルの精密な処置を可能にし、治療の精度と成功率を飛躍的に高めます。
ラバーダム

根管治療において、歯の根の病気(根尖性歯周炎)を引き起こす唾液や細菌が、治療中の歯に侵入するのを防ぐゴム製のシートです。
ニッケルチタンファイル

ニッケルチタンファイルは、根管内の神経や汚染組織を除去する器具です。しなやかさがあり、複雑な根管にも適用できるため、感染物質を効率的かつきれいに取り除くことが可能です。
MTA
高い封鎖性と生体親和性から根管治療で使用されることが多い歯科用のセメントです。
クラスB滅菌器

ヨーロッパの厳格な基準を満たした滅菌器です。使い捨てにできない器具をこの滅菌器を用いて徹底的に滅菌処理します。
根管治療に関わる費用
初診・カウンセリング
自費根管治療・初診料(45分) | 11,000円(税込)(他院からの紹介の場合) |
|---|---|
再カウンセリング(45分) | 11,000円(税込) |
抜髄(初回の根管治療)
前歯(抜髄) | 121,000円(税込) |
|---|---|
小臼歯(抜髄) | 132,000円(税込) |
大臼歯(抜髄) | 154,000円(税込) |
再根管治療(他院で抜髄された歯に対して2回目の根管治療)
前歯(再根管治療) | 132,000円(税込) |
|---|---|
小臼歯(再根管治療) | 154,000円(税込) |
大臼歯(再根管治療) | 176,000円(税込) |
外科的歯内療法
前歯 | 55,000円(税込) |
|---|---|
小臼歯 | 77,000円(税込) |
大臼歯 | 77,000円(税込) |
前歯 | 220,000円(税込) |
小臼歯 | 242,000円(税込) |
大臼歯 | 275,000円(税込) |
支台築造処置 | 38,500円(税込) |
築造体(コア)除去 | 22,000円(税込) |
隔壁 | 5,500円(税込) |
MTA(材料費) | 5,500円~11,000(税込) |
経過観察(2年間) | 0円 |
経過観察(治療後2年後以降)1回 | 3,300円(税込) |
薬剤
リグロス | 44,000円(税込) |
|---|---|
バイオガイド | 44,000円~77,000円(税込) |
サイトランス | 22,000円(税込) |
エムドゲイン | 27,500円(税込) |
Bioss 骨補填剤 | 33,000円~110,000円(税込) |
※根管治療には、保険が適用される保険診療と保険が適用されない自費診療があります。
※金額は全て税込表示です。
お支払いについて
目白マリア歯科では、以下の支払い方法に対応しています。
※詳細は医院へお問い合わせください。
●現金
●クレジットカード
歯科医師紹介

宮澤 仁
経歴
松本歯科大学 歯学部 卒業 鶴見大学歯学部附属病院 臨床研修医 臨床研修 修了 川崎市 日高歯科クリニック勤務 東京都 ミッドタウンデンタルクリニック 非常勤勤務 東京都 石井歯科医院 勤務 東京都 目白マリア歯科 開院
所属学会・資格・スタディーグループ
アメリカ歯内療法学会 日本歯内療法学会 SJCD 日本顎咬合学会 米国 ペンシルバニア大学 Microscopic Training Course in Surgical Endodontics 修了 PESCJ
メッセージ
基本情報
住所
〒161-0033 東京都新宿区下落合3-16-13 グランドール目白1F
最寄駅
「目白駅」から徒歩で5分
診療時間
月・火・水・木・金・土・日:10:00~13:00/14:00~18:00 祝日:休診日
電話番号
03-6908-2923
2. 橋爪エンドドンティクスデンタルオフィス(東京駅)

医院紹介
東京駅から徒歩で1分の場所にある【橋爪エンドドンティクスデンタルオフィス】は、根管治療専門の歯科医院です。
同院では「ご自身の歯を一本でも多く残すこと」を心がけ、安易に抜歯を選択するのではなく、精密な治療で歯の寿命を延ばすことを最優先に考えています。
難しい症例の患者さんが、歯を残すためのセカンドオピニオンを求めて来院されることも少なくないようです。
院内には日本歯内療法学会指導医の資格を持つドクターが在籍しており、確かな技術を持つドクターから治療が受けられるでしょう。
医院は完全予約制となっており十分な時間が確保され、個室診療のなか落ち着いて治療が受けられます。
医院の詳細は公式ホームページにてご確認ください。
設備
◆歯科用CT
◆マイクロスコープ(歯科用顕微鏡)
◆クラスB滅菌器
◆ラバーダム
◆ニッケルチタンファイル
特徴1 日本顕微鏡歯科学会認定医による専門的な根管治療
.jpeg)
橋爪エンドドンティクスデンタルオフィスには、マイクロスコープを用いた精密な歯科治療に精通した「日本顕微鏡歯科学会認定医」が在籍しています。
根管治療は歯科治療の中でも特に精密さが求められる分野であり、肉眼だけでは暗くて細い管の内部を隅々まで確認しながら治療を進めることには限界があります。
そこで重要な役割を果たすのが、対象を数十倍に拡大できる歯科用顕微鏡(マイクロスコープ)です。
「日本顕微鏡歯科学会認定医」とは、この顕微鏡を用いた歯科医療に関する高度な知識と豊かな経験・技術を持つドクターです。
ただ、高度な設備を導入しているだけでなく、その機器を扱うドクターの技術力もあり、精密な根管治療が期待できます。
根管治療に関わる費用
根管治療費 | 大臼歯 | 154,000円 |
小臼歯 | 132,000円 | |
前 歯 | 121,000円 | |
根管充填(バイオセラミクセメント(MTA)) | 44,000円 | |
穿孔封鎖(バイオセラミクセメント(MTA)) | 22,000円 | |
穿孔封鎖(バイオセラミクセメント(MTA)+人工骨) | 33,000円 | |
根管内異物除去 | 8,800円 | |
ポスト(土台)除去 | 8,800円 | |
修復物(クラウンなど)除去 | 5,500円 | |
う蝕除去 | 8,800円 | |
隔 壁 | 8,800円 | |
プロビジョナル(仮歯:1歯) | 8,800円 | |
別途料金 | CT撮影 | 11,000円 |
パノラマ撮影 | 8,800円 | |
口内法レントゲン撮影 | 3,300円 | |
レーザー治療 | 3,300円 | |
緊急消炎処置 | 5,500円 | |
カウンセリング | 5,500円 | |
各治療ごとに再診料 | 5,500円 | |
※根管治療は保険が適用される保険診療と、保険が適用されない自費診療の2種類あります。
※金額は全て税込表示です。
基本情報
住所
〒103-0028 東京都中央区八重洲1-7-20 八重洲口会館ビル1F
最寄駅
「東京駅」から徒歩で1分
診療時間
月:10:30~18:30 火・金・土:9:30~18:30 木:10:30~19:30 水・日・祝:休診日
電話番号
03-5200-7116
3. 東京歯内クリニック(荻窪駅)

医院紹介
荻窪駅近くに医院を構える【東京歯内クリニック】。
一般的な歯科治療はおこなわず、歯の神経や根の治療である「歯内療法」に特化した診療を提供されています。
かかりつけの歯科医院と連携し、専門的な治療のみを担当する「1.5次歯科医療機関」という、独自のスタイルを確立されているようです。
難易度の高い根管治療における成功率を高められるよう、院内には歯科用CTやマイクロスコープなどの精密機器が充実しています。
治療においては「日本歯内療法学会 専門医・指導医」や「日本歯科保存学会 専門医」など複数の専門資格も保有するドクターが担当。
国内だけでなくアメリカでも歯内療法について学んだ経歴を持ち、国内だけでなく海外で得た知識や技術を活かした高水準な治療が期待できます。
医院の詳細は公式ホームページにてご確認ください。
設備
◆歯科用CT
◆マイクロスコープ(歯科用顕微鏡)
◆クラスB滅菌器
◆ラバーダム
お支払いについて
東京歯内クリニックでは、クレジットカード決済のみ対応しています。
基本情報
住所
〒167-0051 東京都杉並区荻窪5丁目15-22 HOLD荻窪 4F
最寄駅
荻窪駅より徒歩で約3分
診療時間
月・水:9:00~12:00/16:30 火・金・土:9:00~12:00/13:30~18:00 木・日・祝:休診日
電話番号
03-5335-7633
4. たちかわ歯内治療院(立川駅)

医院紹介
JR立川駅から徒歩ですぐの場所に医院を構える【たちかわ歯内治療院】。
歯の根の治療を専門としており、完全紹介制の歯科医院です。
歯内療法において専門性の高い治療をおこなっているヨーロッパやアメリカでスタンダードな手法を積極的に取り入れています。
歯科治療に強い恐怖心や不安を抱える方に対し、麻酔科医による管理のもとリラックスした状態で治療を受けられる「静脈内鎮静法」も提供されているようです。
医院の詳細は公式ホームページにてご確認ください。
設備
◆歯科用CT
お支払いについて
たちかわ歯内治療院では、現金・クレジットカードでお支払いができます。
※詳細は医院へお問い合わせください。
基本情報
住所
〒190-0023 東京都立川市柴崎町3-7-22
最寄駅
⽴川駅南口の駅前広場から徒歩で約1分
診療時間
月・火・木・金・土:10:00~13:00/14:30~19:00 (土曜は18:00まで) 水・日・祝:休診日
電話番号
042-526-9233
5. 高林デンタルオフィス東京(春日駅)

医院紹介
春日駅直結、後楽園駅からも徒歩2分の場所に位置する【高林デンタルオフィス東京】。
同院は歯を残すための最後の砦とも言われる「根管治療」を専門に扱う歯科医院です。
保険制度の制約に捉われず、一つひとつの治療の質を最大限に高めるため「完全自由診療」のスタイルを取られています。
根管治療においては治療後の経過観察を重視されています。
些細な変化にも気づけるよう、治療時の所見を詳細に記録したうえで「見て・触って」丁寧に確認していくことを徹底しているとのことです。
治療後もしっかりと管理してもらえるため、安心して任せられるのではないでしょうか。
医院の詳細は公式ホームページにてご確認ください。
設備
◆歯科用CT
◆マイクロスコープ(歯科用顕微鏡)
◆クラスB滅菌器
◆ラバーダム
◆ニッケルチタンファイル
根管治療に関わる費用
初診料 | 紹介有りの方:20,000円- |
|---|---|
再診料 | 3,000円-(治療時) |
追加検査料 | 10,000円- |
根管治療
前歯 | 140,000円- |
|---|---|
小臼歯 | 160,000円- |
大臼歯 | 180,000円- |
支台築造 | 35,000円 ― |
歯髄保存治療
間接覆髄・直接覆髄・部分断髄 | 前歯 :70,000円- |
|---|
外科的根管治療
前歯 | 160,000円- |
|---|---|
小臼歯 | 180,000円- |
大臼歯 | 220,000円- |
※根管治療には、保険が適用される保険診療と保険が適用されない自費診療があります。
※金額は全て税込表示です。
お支払いについて
高林デンタルオフィス東京では、現金のほかに以下の方法でお支払いが可能です。
※詳細は医院へお問い合わせください。
●クレジットカード
●デンタルローン
基本情報
住所
〒112-0002 東京都文京区小石川1-5-1 パークコート文京小石川 ザ・タワー204
最寄駅
「春日駅」直結/「後楽園駅」から徒歩で2分
診療時間
月・火・木:9:30~12:30/14:00~19:00 土:9:30~12:30/14:00~17:00 水・金・日・祝:休診日
電話番号
03-6770-0275
6. 吉岡デンタルオフィス(御茶ノ水駅)

医院紹介
御茶ノ水駅から徒歩5分に位置する【吉岡デンタルオフィス】は歯の根の治療である「根管治療」を専門におこなう歯科医院です。
院長は歯内療法学の分野で研鑽を積み、東京医科歯科大学で培った知識と技術を基に「正しい診断とやり直しのない治療」を目指しています。
院長が必ず治療を担当する体制は、治療を受ける側の安心材料となるでしょう。
セカンドオピニオンを受け付けているため、ご自身の歯を残すことが諦めきれない方は一度相談してみてはいかがでしょうか。
医院の詳細は公式ホームページにてご確認ください。
設備
◆歯科用CT
◆マイクロスコープ(歯科用顕微鏡)
◆ラバーダム
特徴1 歯を残す選択肢を追求する「精密な診断力」

吉岡デンタルオフィスでは、治療の土台となる「診断力」に強みがあります。
同院では抜歯をできるだけ避けるため、まずは患者さん一人ひとりの歯の状態を的確に把握することから始めます。
その診断を支えているのが、歯や顎の骨を三次元的に撮影できる「歯科用CT」をはじめとした高度な検査設備です。
従来のレントゲンでは見えなかった歯の根の複雑な形状や、病巣の正確な位置を立体的に捉えることで、診断の精度を高めています。
そして、歯内療法や歯科保存に精通したドクターが、データから得られる情報を多角的に分析して治療方針を導き出します。
この精密な検査と専門的な知見を掛け合わせた高い診断力があるからこそ「本当にその歯は抜かなければならないのか」という点を慎重に判断してもらうことが可能です。
根管治療に関わる費用
基本治療料
初診料 | 33,000円 |
|---|---|
再診料 | 4,400円 |
CBCT撮影料 | 1回16,500円 |
根管治療(1本あたり)
前歯 | 154,000円 |
|---|---|
小臼歯 | 176,000円 |
大臼歯 | 220,000円 |
築造 | 33,000円 |
|---|
逆根管治療(1本あたり)
前歯 | 176,000円 |
|---|---|
小臼歯 | 198,000円 |
大臼歯 | 220,000円 |
診断書 | 5,500円 |
|---|---|
病理検査 | 22,000円 |
※根管治療には、保険が適用される保険診療と保険が適用されない自費診療があります。
※金額は全て税込表示です。
お支払いについて
吉岡デンタルオフィスでは、現金での支払いに対応しています。
※詳細は医院へお問い合わせください。
基本情報
住所
〒101-0062 東京都千代田区神田駿河台2-3-13 鈴木ビル1F
最寄駅
「JR御茶ノ水駅」御茶ノ水橋口から徒歩で5分
診療時間
月・火・水・木・金:10:00~13:00/14:00~17:00 土・日・祝:休診日
電話番号
03-5577-6739
7. 大塚デンタルクリニック(小川町駅)

医院紹介
千代田区の小川町駅から徒歩ですぐの場所に位置しており、根管治療を専門とする「大塚デンタルクリニック」。
一人ひとりの治療時間を十分に確保するため医院は完全予約制となっており、90分〜120分と十分確保された時間で丁寧に治療してもらえます。
一度の治療時間が長いため、通院回数も少なく済むでしょう。
また、長時間の治療がおこなえるよう、長い時間座っても疲れにくい診療ユニットを採用されているようです。
歯科用CTやマイクロスコープなどをはじめとした機器も導入されており、精密な検査・治療が期待できます。
医院の詳細は公式ホームページにてご確認ください。
設備
◆歯科用CT
◆マイクロスコープ(歯科用顕微鏡)
◆クラスB滅菌器
特徴1 PESCJ認定医による質の高い根管治療

歯の寿命を左右するほど重要な根管治療において、大塚デンタルクリニックでは根管治療の専門家である「PESCJ認定医」が対応しています。
「PESCJ」とは、ペンシルバニア大学における歯内療法学科で培われた臨床理論や技術を、日本に広めることを主な目的としたスタディグループです。
このスタディグループにて認定医の資格を持つ歯科医師は、根管治療において確かな知識やスキルを有しており、生物学的根拠に基づく質の高い治療が期待できるでしょう。
セカンドオピニオンも受け付けているので、一度相談してみてはいかがでしょうか。
根管治療に関わる費用
初診料 | |
|---|---|
かかりつけ歯科医院の紹介状をお持ちの方 | 8,800円 |
紹介状をお持ちでない方(セカンドオピニオン) | 33,000円 |
前歯 | 小臼歯 | 大臼歯 | |
|---|---|---|---|
生活歯髄療法 | 44,000円 | ||
根管治療(抜髄) | 99,000円 | 110,000円 | 132,000円 |
再根管治療 | 110,000円 | 132,000円 | 154,000円 |
歯内療法外科 | 110,000円 | 132,000円 | 154,000円 |
コア除去・隔壁 | 11,000円 |
|---|---|
仮歯作製・調整料 | 5,500円 |
支台築造 | 11,000円 |
穿孔修理(1カ所につき) | 11,000円 |
破折診断料 | 33,000円 |
※根管治療には、保険が適用される保険診療と保険が適用されない自費診療があります。
※金額は全て税込表示です。
お支払いについて
大塚デンタルクリニックでは、現金・クレジットカードでお支払いができます。
※詳細は医院へお問い合わせください。
基本情報
住所
〒101-0052 東京都千代田区神田小川町2-1 日米商会ビル5階
最寄駅
都営地下鉄新宿線 「小川町」駅B7出口からすぐ
診療時間
月・火・木・金:10:00~13:00/14:00~19:00 土曜:10:00~13:00/14:00~17:00 水・日・祝:休診日
電話番号
03-5577-4049
8. 坂上デンタルオフィス(二子玉川駅)

医院紹介
【坂上デンタルオフィス】は二子玉川駅よりすぐの場所にある歯科医院です。
平日の診療はもちろんのこと、土曜日・日曜日も平日と同様の時間診療をおこなっているため、仕事で忙しい方でも週末を利用した継続的な通院が可能です。
同院は治療への不安を和らげるため、まずは丁寧に話を聞き、診察したうえで分かりやすく説明することを徹底されています。
治療時や麻酔注射時の痛みを抑える工夫もされており、患者さんが安心して治療に臨めるよう取り組んでいるようです。
根管治療においては、歯科保存や歯内療法に関して専門的な知識やスキルを持つドクターが担当するため質の高い治療が期待できるでしょう。
医院の詳細は公式ホームページにてご確認ください。
設備
◆歯科用CT
◆マイクロスコープ(歯科用顕微鏡)
◆ラバーダム
◆ニッケルチタンファイル(ニッケルチタンロータリー)
根管治療に関わる費用
初診料(レントゲン・CT撮影・投薬等を含む) | 16,500円 |
|---|---|
相談料(30分) | 16,500円 |
再診料 | 4,400円 |
CT撮影(再診時のみ) | 5,500円 |
根管治療
前歯 | 132,000円 |
|---|---|
小臼歯 | 154,000円 |
大臼歯 | 176,000円 |
前処置
補綴物除去 | 33,000円 |
|---|---|
除去の難しいもの | 55,000円 |
難治症例
穿孔封鎖 | 33,000円 |
|---|---|
破折器具除去 | 33,000円 |
歯根端切除術
前歯 | 198,000円 |
|---|---|
小臼歯 | 220,000円 |
大臼歯 | 242,000円 |
※根管治療には、保険が適用される保険診療と保険が適用されない自費診療があります。
※金額は全て税込表示です。
お支払いについて
坂上デンタルオフィスでは、現金でお支払いができます。
※詳細は医院へお問い合わせください。
基本情報
住所
〒158-0094 東京都世田谷区玉川3-14-8 3F
最寄駅
「二子玉川駅」から徒歩で4分
診療時間
月・火・水・金・土・日:9:30~14:00/15:00~18:00(※月曜は隔週休診) 木・祝:休診日
電話番号
03-6805-6546
9. 新大久保礒田歯科医院(新大久保駅)

医院紹介
新宿区新大久保に医院を構える「新大久保礒田歯科医院」。
同院では完全予約制を採用することで、可能な限り待ち時間をなくし、十分な時間を確保した丁寧なカウンセリングを実施しています。
治療の選択肢やメリット・デメリットについて深く納得したうえで、治療を進めることができるでしょう。
診療においては「歯を一本でも多く残す」ことを最優先にされています。
一度削った歯は元には戻らないことから、大切な歯を残せるようさまざまな観点から歯を残す計画を考案してもらえるでしょう。
難しい症例のセカンドオピニオンも受け入れているため、一度相談してみてはいかがでしょうか。
医院の詳細は公式ホームページにてご確認ください。
設備
◆歯科用CT
◆マイクロスコープ(歯科用顕微鏡)
◆口腔内スキャナー
◆ラバーダム
◆ニッケルチタンファイル
特徴1 歯をできるだけ残す「歯の保存治療」に高い専門性を持つドクターが在籍

新大久保礒田歯科医院には、歯をできるだけ抜かずに残す「歯の保存治療」において高い専門性があります。
院長は「日本歯内療法学会専門医」と「日本歯科保存学会認定医」の2つの資格を併せ持つドクターです。
「日本歯内療法学会専門医」とは、歯根の中の神経や血管に関わる治療、いわゆる根管治療における高度な知識と技術を持つことを同学会が認めた歯科医師のことです。
また、「日本歯科保存学会認定医」は根管治療に限らず、総合的に歯を保存するための専門的な知識やスキルを持つことを示します。
このような根管治療に関する複数の専門資格を持つドクターが在籍することにより、歯を残すためのより専門性の高い治療が期待できます。
根管治療に関わる費用
初診料 | 11,000円 |
|---|---|
再診料 | 2,200円 |
検査料 | 11,000円 |
前歯 | |
|---|---|
抜髄・断髄 | 1本77,000円 |
感染根管治療 | 1本132,000円 |
小臼歯 | |
|---|---|
抜髄・断髄 | 1本110,000円 |
感染根管治療 | 1本154,000円 |
大臼歯 | |
|---|---|
抜髄・断髄 | 1本143,000円 |
感染根管治療 | 1本187,000円 |
根管内異物除去料1(根管内メタルコア、シルバーポイント) | 22,000円 |
|---|---|
根管内異物除去料2(ファイバーポスト、破折ファイル) | 33,000円 |
※根管治療には、保険が適用される保険診療と保険が適用されない自費診療があります。
※金額は全て税込表示です。
お支払いについて
新大久保礒田歯科医院では、以下の支払い方法に対応しています。
※詳細は医院へお問い合わせください。
●現金
●クレジットカード
基本情報
住所
〒169-0073 東京都新宿区百人町2-9-14 ミズホアルファビル2F
最寄駅
JR山手線「新大久保駅」徒歩で2分
診療時間
月・火・水・金:10:00~13:00/14:30~19:00 土曜:10:00~13:00/14:30~17:00 木・日・祝:休診日
電話番号
03-6279-3534
10. いちかわデンタルオフィス(新大塚駅)

医院紹介
文京区、新大塚駅から徒歩でおよそ5分の場所にある【いちかわデンタルオフィス】。
こちらの医院では、患者さんとの対話と納得感を大切にされており、レントゲンや口腔内写真などを映し出すモニターを用いた、視覚的で分かりやすい説明をおこなっています。
現状や治療内容を把握し、納得して治療に臨むことができるでしょう。
治療においては、歯科用CTやマイクロスコープなどを用いて、治療箇所が再発しないよう質の高い治療の提供に努めているようです。
歯科衛生士は担当制となっており、治療後も一人ひとりに合わせた予防プログラムで丁寧なケアが期待できます。
医院の詳細は公式ホームページにてご確認ください。
設備
◆歯科用CT
◆マイクロスコープ(歯科用顕微鏡)
◆ラバーダム
お支払いについて
いちかわデンタルオフィスでは、以下の方法でお支払いができます。
※詳細は医院へお問い合わせください。
●現金
●クレジットカード
●医療ローン
基本情報
住所
〒112-0012 東京都文京区大塚4-48-6 アネックスヒルズカミクラ1F
最寄駅
「新大塚駅」から徒歩で2分
診療時間
月・火・木・金:10:00~13:00/14:30~18:00 土:9:30~13:30/15:00~18:00 水・日・祝:休診日
電話番号
03-5977-1788
根管治療について
根管治療とは
根管治療は虫歯が悪化して歯の神経(歯髄)まで達した場合におこなう、歯を残すための治療法です。歯の根の中にある感染した神経や血管を丁寧に取り除き、管の中をきれいに洗浄・消毒します。最後に、再び細菌が入らないように薬剤で隙間なく密閉します。
根管治療の基本的な流れ
1.カウンセリング
2.精密検査
3.診断・治療計画の説明
4.抜髄(神経を取り除く治療)
5.根管内の洗浄・消毒
6.薬の充填と仮蓋の取り付け
7.根管充填(最終的な充填材で根管内を隙間なく詰める)
8.被せ物の取り付け
治療期間や通院回数の目安
治療期間:1ヵ月程度
通院回数:2~4回
※実際の治療期間や通院回数は口内状況や具体的な治療内容など個人差があります。
想定されるリスク・副作用
・根管治療をおこなった歯は内部が空洞になるため、健康な歯に比べて割れやすくなります。再治療でさらに歯を削ると、このリスクはより高まります。
・再度の根管治療で治りきらない場合は、歯の根の先にできた病巣などを外科的に取り除く治療法を用いることがあります。
・術後一時的に患部が腫れたり痛みが生じたりすることがあります(一定期間経過すると治まることが多いです)。
Medee歯科検索は、おすすめしたい歯医者を掲載しています。
駅、行政区、診療時間、歯科医院の特徴、診療科目など豊富な検索メニューで歯科医院を検索可能。
また歯科医院のWebサイトはもちろん各種予約ツールも利用することが可能で、より簡単に歯科医院を探すことができます。












