【2026年】広島県でインプラント治療におすすめしたい歯科医院3選
2026/3/24
2026/3/30
#インプラント

広島県内には数多くの歯科医院があり、インプラント治療に対応している医院も広く点在しています。
インプラント治療は、一般歯科治療とは異なり高度な技術が求められるほか、原則として保険適用外となるため費用負担が大きく、症例によっては外科的処置を伴うこともあります。
そのため「どの歯科医院で治療を受けたら良いかわからない」「近所だからという理由だけで決めても大丈夫だろうか」と医院選びで迷われる方は少なくないでしょう。
そこで本記事では、歯科医師の治療実績や専門性、導入されている医療機器、対応可能な治療法の選択肢など、様々な要素をもとに広島県内でおすすめしたい歯科医院をご紹介します。
参考:インプラントのおすすめ歯科医院について
広島県内で納得のいくインプラント治療を受けたいと考えている方は、ぜひ自分に合った医院選びの参考にしてみてください。
※2026年3月時点でのMedee編集部の調査データに基づいています。
【2026年】広島県でインプラント治療におすすめしたい歯科医院3選
1. ひまわり歯科(広島県/安芸郡)PR

【1,300本以上の埋入実績】高度な医療体制で将来の健康まで見据えたインプラント治療を提供
広島県安芸郡に拠点を置き、地域の歯科医療において中心的な役割を担う「ひまわり歯科」。
一般歯科治療はもちろん、専門性の高い治療や訪問診療、さらには医科との連携まで網羅する高度な医療体制を持つ歯科医院です(地域支援型多機能歯科診療所)。
多岐にわたる治療の中でもインプラント治療には特に注力しており、1,300本以上(2001年1月~現在)の埋入実績という確固たる実績のもと、安全性の高いインプラント治療を提供しています。
また、同院のインプラント治療は単なる審美性や咀嚼機能の回復にとどまりません。
患者さんの将来の健康を考えた医療をおこなうため、術前術後の管理栄養士による栄養指導や口腔機能の管理、さらには治療後の継続的なメンテナンスに至るまで、徹底したサポート体制を敷いています。
豊富な実績と高度な医療環境を最大限に活かし、単なる「歯の治療」の枠を超えて10年後・20年先まで見据えたインプラント治療が受けられるでしょう。
特徴1 うとうとと眠ったようなリラックス状態で治療が受けられる静脈内鎮静法

歯科治療に対して「怖い」というイメージを持ち、不安を感じる方は決して少なくありません。
特に外科手術をともなうインプラント治療ともなれば、恐怖心や不安はより大きなものとなるでしょう。
ひまわり歯科では、そうした恐怖心や不安を和らげインプラント治療に臨むことができる「静脈内鎮静法」を導入しています。
この麻酔は点滴で鎮静薬を投与し、うとうとと半分眠ったような状態へと導く手法であり、患者さんはリラックスしたなか手術を受けることができます。
意識が完全に消失する全身麻酔とは異なり、医師の呼びかけには応じられるものの、不安や恐怖を感じにくくなるのが特徴です。
もちろん局所麻酔も十分に効かせてから手術をおこなうため、痛みの心配もありません。
過度な緊張による血圧や脈拍の急激な変動を防ぐことができるため、心身への負担を抑えながら、全身状態を安定させたうえで手術に臨めるというメリットもあります。
手術に対する恐怖心や不安からインプラント治療を諦めていた方も、静脈内鎮静法を用いたインプラント治療についてひまわり歯科にて相談してみてはいかがでしょう。
特徴2 難症例にも対応可能な骨造成を活用したインプラント治療

インプラントを検討しながらも、顎の骨の厚みや量が足りないという理由で他院から断られ、治療を断念してしまう方は珍しくありません。
しかしひまわり歯科では、そうした難症例の方に対しても、足りない骨を補う「骨造成」を組み合わせることでインプラント治療を可能にしています。
この治療法は、インプラントを支える土台となる骨の高さや幅をしっかりと確保するため、これまで「骨が少ないから無理だ」と言われてきた方にとっても、再びご自身の歯のような噛み心地を取り戻すための有力な選択肢となります。
骨の減り方や部位によって必要なアプローチは異なりますが、同院ではGBR(骨再生誘導法)やサイナスリフトなど、より高度な技術を要する術式にも幅広く対応。
事前の精密な診断に基づき、お一人おひとりの口腔内の状態に合わせた適切な骨造成手術を提供しています。
このように、ひまわり歯科では高度な骨造成技術を駆使することで、骨が少ない難症例においてもインプラントでの治療を実現しています。
特徴3 世界的に高いシェアを誇る信頼性の高い「ストローマンインプラント」を採用
.png)
インプラント治療の成否は、顎の骨に直接埋入するインプラント体そのものの質に大きく左右され、
患者さんの身体の中に入るものだからこそ、決して妥協は許されません。
そのためひまわり歯科では、患者さんへより安全で確実な治療を提供するためインプラントの質に徹底的にこだわり、世界中で極めて高いシェアを有する「ストローマンインプラント」を採用。
治療後10年以上という長期的な視点での成功率・生存率が非常に高い点が特徴のひとつであり、世界70カ国、500万人以上の膨大な臨床データが裏付ける安全性の高いインプラントです。
また、独自の表面処理技術により、インプラント体が顎の骨と強固に、かつ比較的短い期間で結合しやすいという優れた特性を持っています。
科学的根拠に基づいた高い安全性と機能性を誇るインプラントといえるでしょう。
ひまわり歯科ではこのストローマンインプラントを用いて、精密な診断と確かな技術に基づいた一人ひとりに適したインプラント治療を提供しております。
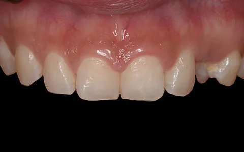
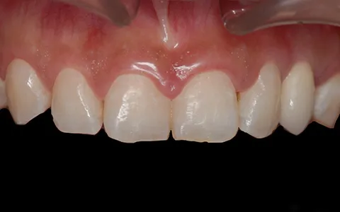
症例1
Before

After



治療内容 | インプラント治療 |
治療期間 | 4ヶ月 |
費用 | ・前歯部のケース 286,000円(手術代)+176,000円(被せ物代)=462,000円 ・臼歯部 286,000円×2(手術代)+121,000円×2(被せ物代)=814,000円 |
リスク・副作用 | 手術直後の副作用・リスク ・術後の痛み、腫れ、出血、発熱 ・傷口の裂開、感染症の発生(再縫合や抗生剤投与が必要になる場合あり) ・内出血や口角炎 ・知覚異常(下顎神経損傷による麻痺やしびれ) ・上顎洞に近い部位での手術による上顎洞炎 ・インプラントの迷入(副鼻腔・血管内など) 中長期的なリスク ・インプラント体と骨が結合しない(オッセオインテグレーション不全) ・上顎洞に近い部位での手術による上顎洞炎 ・インプラントの迷入(副鼻腔・血管内など) 中長期的なリスク ・インプラント体と骨が結合しない(オッセオインテグレーション不全) ・インプラント周囲炎(歯周病と同様の炎症で、骨吸収や脱落の原因) ・骨吸収により歯冠が長く見える、審美性低下 ・インプラント体の破折 ・過剰な咬合力による上部構造や周囲骨へのダメージ 全身的・適応に関わるリスク ・全身疾患(糖尿病、心疾患、骨粗鬆症など)による治癒不全や感染リスクの増加 ・喫煙による成功率低下 ・高齢化による除去の困難性(老後のメンテナンスリスク) その他の留意点 ・保険適用外であり経済的負担が大きい ・手術中の異物誤飲・誤嚥リスク ・定期的なメンテナンスが不可欠(清掃不良でトラブルが増加) |
設備
歯科用CT
.png)
歯科用CTは歯や骨の状態を立体的な画像で見ることができる機器です。患者さんのお口に合わせたインプラント治療をおこなうのに必須な機器です。
レーザー治療器
.png)
歯の切削が認められているレーザー治療器です。治療に伴う痛みが生じにくい、不快な音や振動が少ないなどが特徴です。
3D口腔内スキャナー
.png)
従来の粘土のような材料を使わずに、専用のスキャナーで歯列をスキャンするだけで歯型を採取できる機器です。
マイクロスコープ
.png)
歯を肉眼の数十倍にまで拡大して見ることができる歯科用顕微鏡です。マイクロスコープを活用することで精密な診断・治療を可能にします。
インプラントに関わる費用
インプラント | 385,000~440,000円 |
|---|---|
骨造成 | 55,000円 |
ソケットリフト | 55,000円 |
サイナスリフト | 220,000円 |
静脈内鎮静 | 58,300円 |
※インプラントによる治療は保険が適用されない自費診療です。
※金額は全て税込表示です。
お支払いについて
ひまわり歯科では、以下の支払い方法に対応しています。
※詳細は医院へお問い合わせください。
●現金
●クレジットカード
●デンタルローン
●電子マネー
インプラントは医療費控除の対象であり、利用することで払った治療費のいくらかが返ってきます。ぜひ活用しましょう。
<関連記事>
【年収別】インプラントで医療費控除を使ったらいくら戻ってくる?申請方法も解説
歯科医師紹介
.png)
岡本佳明
経歴
福岡歯科大学卒業 熊本県(医)瀬尾歯科クリニック勤務 広島県(医)光ヶ丘歯科勤務 平成11年 ひまわり歯科開業 歯科医師臨床研修指導歯科医講習会修了 歯科医師臨床研修プログラム責任者講習会修了 指導歯科医講習会講師養成研修会修了
所属学会・資格・スタディーグループ
日本口腔インプラント学会 日本小児歯科学会 日本口腔内科学会 日本糖尿病学会 日本栄養改善学会 日本臨床腸内微生物学会 日本歯周病学会 日本老年歯科医学会 日本障害者歯科学会 日本総合歯科学会 日本歯科医療管理学会 日本プライマリ・ケア連合学会 社会歯科学会 日本歯科医学教育学会
メッセージ
基本情報
住所
〒736-0064 広島県安芸郡海田町昭和中町2-38
最寄駅
「海田市駅」から徒歩で12分
診療時間
月~金:9:00~12:30/14:30~18:30 土:9:00~12:30/14:00~17:00 日・祝:休診日
電話番号
082-820-0800
2. 土屋歯科医院(広島県/福山市)

医院紹介
広島県福山市に位置し、インプラント治療において高い専門性のある「土屋歯科医院」。
当院の土屋浩昭院長は、厳しい条件をクリアした日本口腔インプラント学会の専門医であり、インプラント治療において高度な専門知識と技術を持つスペシャリストです。
中四国地方で2人目となる「ブローネマルクシステム公認認定指導医」の資格も有しており、2024年10月末時点で5,497本(2,163症例)という豊富な埋入実績を誇るドクターです。
また、インプラント治療の基本的な術式から高度な手技に関して数多くの講演もおこなっています。
確かな専門性と膨大な症例経験に基づいた、安心感のあるインプラント治療を受けることができるでしょう。
また、即日食事が可能な「1DAYインプラント」や、再生医療を用いた骨移植、岡山大学病院の歯科麻酔科医との連携体制など、高精度な治療を実現するための環境も極めて高い水準で整えられています。
このように土屋歯科医院は、高い専門性を持つ歯科医と充実した医療設備の両方を併せ持ち、高水準なインプラント治療がおこなえる医院です。
インプラントの相談や詳細な治療の流れについては、電話やLINEでも受け付けているため、歯の欠損でお悩みの方は一度相談してみるのが良いでしょう。
設備
◆歯科用CT
◆オペ室(手術室)
◆マイクロスコープ
特徴1 手術したその日のうちに見た目を整えられる即時荷重インプラント

一般的なインプラント治療では、インプラントを入れてから仮歯を取り付けるまでに数週間かかり、その間は歯がない状態が続きます。
できるだけ歯がない期間はないほうが良いと考える方がほとんどでしょう。
土屋歯科医院ではこうした懸念を解消する即時荷重法を用いたインプラント治療に対応しています。
この治療であれば、インプラントを入れる手術当日に仮歯も装着することが可能です。
当日のうちに仮歯が入ることで、見た目の変化に戸惑うことなく、その日のうちから会話や軽めの食事を楽しむことができます。
インプラントに関わる費用
インプラント前歯(アバットメント・補綴込み) | ¥528,000 |
インプラント臼歯単独歯(アバットメント・補綴込み) | ¥495,000 |
インプラント臼歯複数歯(アバットメント・補綴込み) | ¥440,000 |
アバットメント | ¥55,000 |
インプラント補綴前歯(ジルコニア) | ¥143,000 |
インプラント補綴臼歯(ジルコニア) | ¥110,000 |
歯肉色(歯茎の幅が少ない場合に選択可能) | ¥22,000 |
サージカルガイド(1〜2歯) | ¥55,000 |
サージカルガイド(3歯以上) | ¥110,000 |
サージカルガイド(ALL ON 4, ALL ON 6) | ¥220,000 |
サイナスリフト(片顎) | ¥220,000 |
ソケットリフト | ¥110,000 |
骨造成(単純) | ¥110,000 |
骨造成(複雑) | ¥165,000 |
歯肉移植(1歯あたり) | ¥33,000 |
静脈内鎮静法(治療内容や全身状態によって必要になります) | ¥110,000 |
※インプラントによる治療は保険が適用されない自費診療です。
※金額は全て税込表示です。
お支払いについて
土屋歯科医院では、以下の支払い方法に対応しています。
※詳細は医院へお問い合わせください。
●現金
●クレジットカード
●デンタルローン
基本情報
住所
〒720-0042 広島県福山市御船町1丁目12-6
最寄駅
「福山駅」から徒歩で13分
診療時間
月・火・木・金:9:00~12:30/14:00~18:30 土:9:00~12:30/14:00~18:00 木・日・祝:休診日
電話番号
084-931-5701
3. 広島タワー歯科・矯正歯科(広島県/広島市)

医院紹介
広島市東区若草町、広島駅のランドマーク「グランアークテラス」内に位置する「広島タワー歯科・矯正歯科」。
駅から徒歩圏内とアクセスが良く、地域の方はもちろん、紹介で遠方から来院される患者様も多いようです。
同院では「あなたが笑えば 周りの大切な人も笑顔に」というコンセプトのもと、口元を機能的・審美的に美しくする治療に注力しています。
その治療の核となっているのが、院長である丸川雅弘先生の卓越した技術と高度な知見です。
丸川先生は、日本口腔インプラント学会専門医・代議員であり、九州インプラント研究会の講師も務めるなど、インプラント領域のスペシャリストとして第一線で活躍されています。
現在も様々な学会で活動し、深い知見と確かな技術を組み合わせた高度な治療を提供しています。
インプラントをはじめとした自由診療の相談は無料で実施しているため、気軽に相談しやすいでしょう。
設備
◆歯科用CT
◆オペ室(手術室)
◆マイクロスコープ
特徴1 サージカルガイドを活用した精度の高いデジタルインプラント手術を導入

インプラント治療において、事前に計画したとおりの箇所にインプラントを入れることが非常に重要です。
広島タワー歯科・矯正歯科では精度の高いインプラント治療をおこなうため、サージカルガイドを用いたデジタルインプラント手術を導入。
サージカルガイドとは、CTデータをもとに作成され、正確な箇所にインプラントを導くためのマウスピース型のガイド装置です。
このガイドを使用することで、あらかじめシミュレーションした位置、角度、深さにインプラントを正確に埋入することが可能となります。
精密なインプラント治療がおこなえることはもちろん、不要な切開や剥離が抑えられ、術後の出血や腫れといった身体的負担の軽減につながる点も特徴です。
インプラントに関わる費用
インプラント本体 | 27.5万円(税込) |
|---|---|
骨造成術 GBR | 11万〜22万円(税込) |
骨造成術 サイナスリフト | 22万円(税込) |
骨造成術 ソケットリフト | 8.8万円(税込) |
骨造成術 スプリットクレスト | 8.8〜9.9万円(税込) |
笑気麻酔 | 1万6千5百円(税込) |
静脈鎮静麻酔 | 11万円(税込) |
上部構造 オールセラミック(前歯) | 18.7万円(税込) |
上部構造 オールセラミック(臼歯・ジルコニア) | 16.5万円(税込) |
※インプラントによる治療は保険が適用されない自費診療です。
※金額は全て税込表示です。
お支払いについて
広島タワー歯科・矯正歯科では、以下の支払い方法に対応しています。
※詳細は医院へお問い合わせください。
●現金
●クレジットカード
●デンタルローン
基本情報
住所
〒732-0053 広島県広島市東区若草町11−2 グランアークテラス 3F
最寄駅
広島駅から徒歩で2分
診療時間
月・火・水・金:9:30~13:00/14:00~18:30 土:9:30~13:00/14:00~18:00 木・日・祝:休診日
電話番号
082-568-8300
インプラント治療について
インプラント治療とは?
インプラント治療は、失った歯を補うための治療法です(※公的医療保険が適用されない自由診療です)。
歯を失った顎の骨にインプラント体を埋入し、そのインプラント体を土台に被せ物をすることで失った歯を補完します。
インプラントの構造やメリット・デメリットなどについてはこちら
治療の流れ
下記、一般的な治療の流れです。
※あくまでも一般的な流れであり、下記とは異なる流れで治療がおこなわれることもあります。
【二回法の場合】
1.カウンセリング
2.検査・治療計画の策定
3.骨造成や骨移植(ケースによっては不要)
4.一次手術(インプラントの埋入)
5.待機期間(人工歯根と顎骨の結合待ち)
6.二次手術(アバットメントの取付)
7.型取り
8.上部構造を装着して完了
※その後は定期的にメンテナンスを受ける必要がある
【一回法の場合】
1.カウンセリング
2.検査・治療計画の策定
3.骨造成や骨移植(ケースによっては不要)
4.インプラント埋入手術
5.待機期間(人工歯根と顎骨の結合待ち)
6.型取り
7.上部構造を装着して完了
※その後は定期的にメンテナンスを受ける必要がある
治療期間や通院回数の目安
治療期間:3ヵ月~1年程度
通院回数:8~10回程度
※具体的な治療期間や通院回数は、患者さん1人ひとりの口腔状態や要望、治療内容などによって異なります。
想定されるリスク・副作用
下記、インプラント治療で想定されるリスク・副作用です。
・神経や血管を傷つけて感覚麻痺が起きる
・患部に腫れ、痛み、違和感が生じる
・患部から出血する
・顔や首などに内出血斑が出る
・チタンアレルギーが起きる
・上顎にインプラント体を埋入する際、上顎洞を破る
・インプラント体と顎骨が上手く結合しない
・インプラント周囲炎になる
Medee歯科検索は、おすすめしたい歯医者を掲載しています。
駅、行政区、診療時間、歯科医院の特徴、診療科目など豊富な検索メニューで歯科医院を検索可能。
また歯科医院のWebサイトはもちろん各種予約ツールも利用することが可能で、より簡単に歯科医院を探すことができます。
新着記事

【2026年】福山市でインプラント治療におすすめしたい歯科医院3選

【2026年】佐久市でインプラント治療におすすめしたい歯科医院3選

【2026年】江東区でセラミック治療におすすめしたい歯科医院3選

【2026年】広島市で歯がボロボロな人向けの治療におすすめしたい歯科医院4選

【2026年】埼玉県で歯医者が怖い人(歯科恐怖症)におすすめしたい歯科医院3選
関連する記事

【2026年】福山市でインプラント治療におすすめしたい歯科医院3選

【2026年】佐久市でインプラント治療におすすめしたい歯科医院3選

【2026年】多摩市周辺でインプラント治療におすすめしたい歯科医院3選

【2026年】東京都で抜歯即時インプラントにおすすめしたい歯科医院3選

【2026年】足立区でオールオン4におすすめしたい歯科医院7選

【2026年】兵庫県でインプラント治療におすすめしたい歯科医院5選

【2026年】立川市で歯周病に対応するインプラント治療におすすめしたい歯科医院5選

【2026年】江東区でオールオン4におすすめしたい歯科医院5選

【2026年】江坂でインプラント治療におすすめしたい歯科医院5選

【2026年】西船橋駅周辺でインプラント治療におすすめしたい歯科医院5選

【2026年】札幌市清田区でインプラント治療におすすめしたい歯科医院5選

【2026年】神奈川県でインプラント治療におすすめしたい歯科医院5選

【2026年】浦和エリアでインプラント治療におすすめしたい歯科医院6選

【2026年】埼玉県でフラップレスインプラント治療におすすめしたい歯科医院5選

【2026年】横浜市でオールオン4におすすめしたい歯科医院5選

【2026年】新橋でインプラント治療におすすめしたい歯科医院5選

【2026年】岡山市で骨造成対応のインプラント治療におすすめしたい歯科医院5選

【2026年】大阪市でフラップレスインプラント対応のおすすめしたい歯科医院5選

【2026年】札幌市西区でインプラント治療におすすめな歯科医院5選

【2026年】北新地駅でインプラント治療におすすめしたい歯科医院5選



