【2026年】多摩市周辺でインプラント治療におすすめしたい歯科医院3選
2026/2/17
2026/2/18
#インプラント

インプラント治療は、一般歯科治療とは異なり高度な技術が求められる治療であり、歯科医院選びが重要となります。
ただ、多摩市周辺にはインプラント対応の歯科医院がいくつもあるため、歯科医院選びで迷ってしまう方は多いでしょう。
そこで本記事では、対応している治療法や導入されている設備、歯科医師のインプラント治療における経験や専門性などをもとに、おすすめしたい歯科医院をご紹介しております。
参考:インプラントのおすすめ歯科医院について
多摩市周辺で納得のいくインプラント治療が受けられる歯科医院をお探しの方は、本記事にて紹介している歯科医院をぜひ参考にしてみてください。
※2026年2月時点におけるMedee編集部の調査データとなります。
【2026年】多摩市周辺でインプラント治療におすすめしたい歯科医院3選
1. 黒川@歯科(多摩市中心から電車で約5分)PR

確かな知見・技術を誇る歯科医師と万全な設備の両輪で実現する高水準なインプラント治療
多摩市中心から電車で約5分、フォレストモール川崎黒川内に医院を構える「黒川@歯科」。
黒川@歯科の院長は、日本国内のインプラント学会だけでなく、インプラントの国際学会にも所属しており、インプラント治療における高度な知見や技術を持つ歯科医師です。
インプラント治療に強みを持つ歯科医院にて勤務していた経歴もあり、インプラント治療の経験も豊富です。
確かな専門性と豊富な経験に基づくインプラント治療が受けられるでしょう。
また、歯科用CTや口腔内スキャナー、オペ室をはじめとした院内設備も充実しており、高精度なインプラント治療を実現するための環境も整えられています。
このように黒川@歯科は高い専門性を持つ歯科医師と充実した医療設備の両方を併せ持ち、高水準なインプラント治療がおこなえる歯科医院です。
確かな知見や技術を誇る歯科医師と、それを支える充実した医療設備の両輪が揃っているからこそ、黒川@歯科では高水準なインプラント治療が提供できるのです。
インプラントの相談は検査も含めて無料でおこなっているため、インプラント治療をお考えの方はぜひ利用すると良いでしょう。
特徴1 【全症例でガイド使用】デジタル技術を駆使した精密なインプラント

精密かつ安全なインプラント治療がおこなえるよう、全症例においてインプラント手術用のガイド(サージカルガイド)を取り入れている点は「黒川@歯科」における特徴のひとつです。
インプラント治療を成功させるためには、いかに正確な位置や角度でインプラントを入れられるかが重要となります。
事前のデジタル技術を駆使したシミュレーションに基づき作製される手術用のガイドを活用することで、計画通りにインプラントを埋入しやすくなり、手術時のわずかなブレや人為的ミスのリスクを大幅に軽減することが可能です。
さらに、症例によっては歯肉を大きく切開しない「フラップレスな手術」が可能となるため、従来の手法と比べて術後の痛みや腫れの軽減にもつながります。
黒川@歯科では、一人ひとりオーダーメイドで作製された手術用のガイドを必ず活用しているので、すべての症例において精密かつ安全性の高いインプラント治療が期待できるでしょう。
インプラント治療に対して「失敗したらどうしよう」という不安をお持ちの方も、精密な手術をおこなう黒川@歯科なら、安心して一歩踏み出せるのではないでしょうか。
特徴2 高度な手法で難症例を含めた様々なケースに対応

黒川@歯科は一般的なインプラント治療だけでなく、より高度なインプラント治療にも対応しており、難症例も含めた様々なケースを治療できる高い専門性を持つ歯科医院です。
たとえば、顎の骨の厚みや高さが足りないという理由で、そのままではインプラントでの治療が難しいと判断される方もいらっしゃるでしょう。
こうした方でも足りない骨を増やすための手術(骨造成手術)を併用することで、インプラントでの治療を可能としています。
また、ほとんどの歯を失ってしまった方や総入れ歯の使用感で悩まれている方に向けては「オールオン4」や「インプラントオーバーデンチャー」という選択肢も用意。
どちらも少ないインプラントで片顎分の歯を一気に補える治療法のため、従来の治療法と比べて経済的負担や身体的負担を抑えた治療が可能です。
このようにより高度な手法を用いて、患者さんの要望やお口の状態、予算など一人ひとりに合わせたインプラント治療を提供されています。
特徴3 複数の麻酔を組み合わせて実現する極めて痛みの少ないインプラント治療

インプラント治療を受けるにあたって、治療にともなう痛みへの強い不安や恐怖心を抱かれる方は多いです。
黒川@歯科ではこうした痛みへの不安や恐怖心に配慮し、極めて痛みの少ないインプラント治療の提供に尽くされています。
治療の際におこなう麻酔では、そもそも麻酔注射が痛くならないよう麻酔ゼリーや局所麻酔テープを用いた表面麻酔を実施。
表面麻酔が十分に効いていることを確かめてから、麻酔液を一定の速度で注入可能な電動麻酔器を使用することで、追加の麻酔注射における痛みも抑えているとのことです。
こうした複数の麻酔を施し、しっかりと麻酔を効かせてから治療をおこなうため、処置中の痛みはほとんどありません。
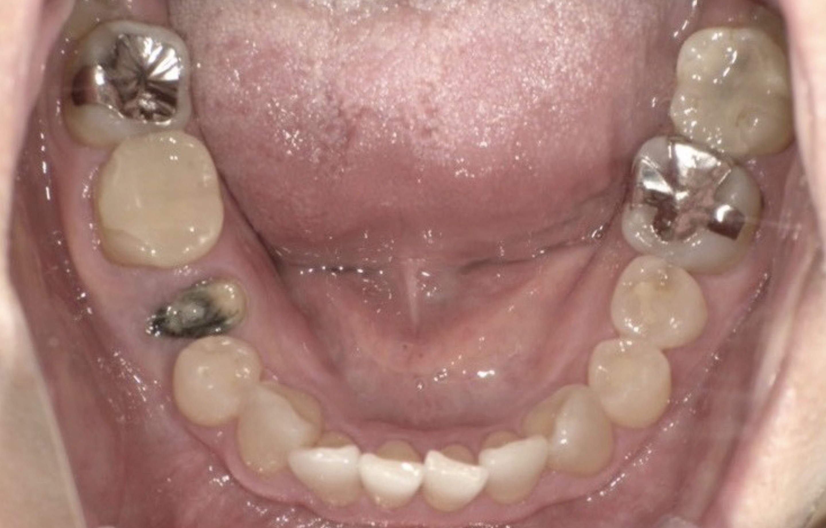
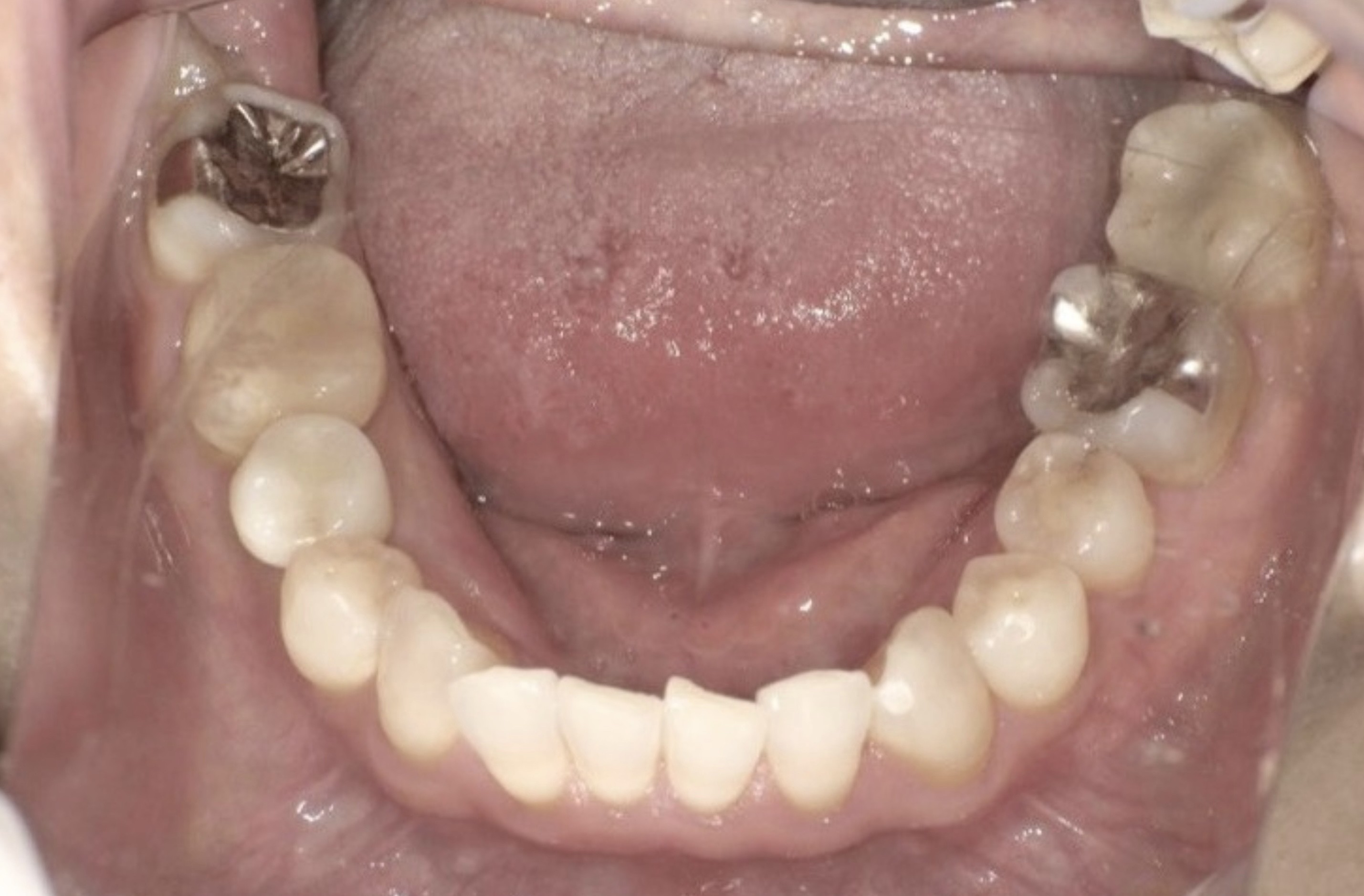
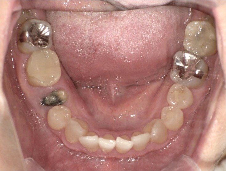
症例1
Before

After



患者さんの年齢/性別 | 40代/女性 |
|---|---|
主訴 | 歯の根が割れてしまって被せ物が取れてしまった。歯を削らない治療方法で進めていきたい。 |
治療内容 | 右下の奥歯のインプラント治療 |
治療期間/治療回数 | 4~5ヶ月/5回 |
費用 | インプラント本体+ジルコニアセラミッククラウン:298,000円(税込み327,800) |
副作用・リスク | ・手術後には腫れや痛みが生じる可能性があります。 |
設備
歯科用CT
.jpg)
歯科用CTは、あごの骨や歯の根っこの形、神経・血管の走り方などを立体画像で確認できる装置です。平面的なレントゲン画像では把握しきれない部分まで確認できるため、より安全で精密な診断・治療計画につながります。
口腔内スキャナー
.jpg)
ペン型のカメラを用いてお口の中をスキャンすることで、歯の細かな部分まで立体的に再現できる機器です。従来の粘土のような材料を使わずに歯型を採取することができます。
生体情報モニター
.jpg)
血圧や脈拍、心電図、血中酸素濃度といったお体の状態を、リアルタイムで測定できる装置です。この装置を活用して、治療中も常に体調の変化に目を配り、患者さまの安全を最優先に確認しながら処置を進めてまいります。
電動麻酔器
.jpg)
麻酔液の注入速度と圧力を一定に保つ、コンピューター制御の電動注射器です。手動では難しい微細な調整が可能となり、麻酔注射時の痛みを軽減することができます。
拡大鏡

対象を肉眼の数倍にまで拡大して観察できる機器です。細部まで観察できるため精密な診断・治療が可能となります。
オペ室

大型モニターや影を作らない特殊なライト(無影灯)など様々な設備が設置されたオペ室です。
インプラントに関わる費用
インプラント完全無料相談︎ | 無料 |
インプラント | ¥327,800 |
GBR(骨造成) | ¥33,000~¥55,000 |
抜歯即時埋入 | ¥33,000 |
ソケットリフト | ¥55,000 |
サイナスリフト | ¥200,000 |
インプラントオーバーデンチャー(インプラント+義歯含む) | ¥880,000 |
オールオン4 | ¥2,200,000 |
※インプラントによる治療は保険が適用されない自費診療です。
※金額は全て税込表示です。
お支払いについて
黒川@歯科では以下の支払い方法に対応しています。
※詳細は医院へお問い合わせください。
●現金
●クレジットカード
●デンタルローン
●電子マネー(PayPay)
インプラントは医療費控除の対象であり、利用することで払った治療費のいくらかが返ってきます。ぜひ活用しましょう。
<関連記事>
【年収別】インプラントで医療費控除を使ったらいくら戻ってくる?申請方法も解説
歯科医師紹介
1.jpg)
荒川 英之
経歴
鶴見大学歯学部 卒業 鶴見大学歯学部附属病院 勤務 神奈川県内一般歯科・インプラントクリニックに勤務 インプラントの専門性をもつ歯科医師として大和市内のクリニックに非常勤勤務 黒川@歯科(黒川アット歯科)院長 就任
所属学会・資格・スタディーグループ
【所属学会】 日本口腔インプラント学会 (日本最大のインプラント学会) ITI(The International Team forImplantology) (世界最大のインプラント学会) 国際口腔インプラント学会(DGZI) ICOI所属 【資格】 臨床歯科麻酔管理指導医 【研修・受講歴】 OIC implant GBR certificate (骨造成術 修了) OIC implant sinus lift(lateral approach & crestal approach) certificate 上顎洞底挙上術(ソケットリフト&サイナスリフト) 修了 OIC immediate implant placement certificate (インプラント抜歯即時埋入法 修了) OIC implant socket-shield technique certificate (インプラントソケットシールドテクニック 修了) OIC implant Soft Tissue Management (FGG.CTG) certificate インプラント歯周外科(FGG.CTG)手術 修了 Straumann Pro Arch with BLX certificate (All-on-4) (オールオン4術式 修了)
メッセージ
基本情報
住所
〒215-0034 神奈川県川崎市麻生区南黒川1-7 「フォレストモール川崎黒川」 内
最寄駅
小田急多摩線「黒川駅」より徒歩1分(多摩市中心から黒川駅まで電車で約5分)
診療時間
月・火・水・木・土:9:30〜12:00/13:30〜18:30 金・日・祝:休診日
電話番号
044-328-9911
2. 新井歯科医院(永山駅より徒歩12分)

医院紹介
永山駅より徒歩で12分の場所に位置する「新井歯科医院」。
同院の院長は日本口腔インプラント学会専門医であり、学会の専門医基準に基づく高水準なインプラント治療を提供しています。
「学術的に認められていない不透明な治療法は採用しない」方針を主軸とし、エビデンスのある治療を重視。
また、噛み合わせに精通した歯科医師とも連携し、ただ失った歯を補うだけでなく噛み合わせまでしっかり考慮してもらえます。
さらに、骨が足りない方の治療においても、大学病院と連携してインプラントでの治療を可能にしているとのことです。
このように専門性の高い歯科医師が連携し、質にこだわった高度なインプラント治療を提供できるのが新井歯科医院です。
設備
◆歯科用CT
◆セレックシステム
特徴1 日本人の骨格に合わせて設計された国産インプラントを採用

インプラント体(人工歯根)は体の一部として長く使うものだからこそ、歯科医院にて採用しているインプラントがどのようなインプラントであるかは重要なポイントです。
新井歯科医院では国産のインプラントメーカー「AQBインプラントシステム」を採用。
海外のインプラントメーカーとは異なり、日本人の顎の骨格に合わせて設計されたインプラントのため、欧米人向け製品に比べて適合性が高いのが特徴です。
こうした素材の品質の違いは外見からは分かりにくい部分ですが、実はインプラントの成功率や長期的な安定に直結します。
同院は25年以上にわたってこのインプラントを活用して治療をおこなってきた確かな実績があるため、安心して治療を任せられるでしょう。
インプラントに関わる費用
インプラント | ¥165,000~¥220,000 |
|---|---|
上部構造 | ¥88,000 |
※インプラントによる治療は保険が適用されない自費診療です。
※金額は全て税込表示です。
お支払いについて
新井歯科医院では、以下の支払い方法に対応しています。
※詳細は医院へお問い合わせください。
●現金
●デンタルローン
基本情報
住所
〒206-0014 東京都多摩市乞田1212-7
最寄駅
永山駅より徒歩12分
診療時間
平日:10:00~13:00/14:00~20:00 土曜:10:00~13:00/14:00~17:00 日・祝:休診日
電話番号
042-337-7377
3. 林歯科医院(聖蹟桜ヶ丘駅から徒歩1分)

医院紹介
聖蹟桜ヶ丘駅から徒歩1分、多摩エリアに密着した「林歯科医院」。
同院は「患者様と話し合いながらすすめる治療」を掲げ、患者さんが納得したうえで治療に臨めるよう徹底したカウンセリングをおこなっている歯科医院です。
インプラント治療においても、日本口腔インプラント学会専修医のもと、十分なヒアリングや治療内容の説明を実施。
患者さんが求めるものを見極め、それぞれに合わせた治療法の提案が受けられます。
インプラントの無料相談もおこなっているため、インプラント治療に関して気になることがあれば気軽に相談することが可能です。
設備
◆歯科用CT
◆マイクロスコープ
◆オペ室(手術室)
特徴1 【治療期間の短縮を図る】抜歯と同時に進める「抜歯即時埋入法」

一般的に、インプラント治療は長期的なものとなるため、できるだけ治療期間を抑えたいと考える方がほとんどでしょう。
こうしたニーズに応えるため林歯科医院では「抜歯即時埋入法」という特殊な手法を取り入れたインプラント治療をおこなっています。
通常、インプラント治療は抜歯をしてから傷口が治癒するまで数ヶ月の待機期間を要し、その後改めて埋入手術をおこなうのが一般的です。
しかし、林歯科医院が採用する抜歯即時埋入法では、抜歯と同時にインプラントを埋入するため、従来は必要だった数ヶ月に及ぶ待機期間を大幅に短縮することができます。
また、抜歯によって生じたスペースをそのまま活用してインプラントを配置するため、歯肉を大きく切開する範囲も少なく済み、術後の痛みや腫れといった身体的負担の軽減も期待できるでしょう。
インプラントに関わる費用
インプラント(1歯) | \374,000 ~ \407,000 |
|---|---|
サージカルガイド | \33,000 ~ \55,000 |
GBR | \55,000 |
ソケットリフト | \55,000 |
※インプラントによる治療は保険が適用されない自費診療です。
※金額は全て税込表示です。
お支払いについて
林歯科医院では、下記の方法でお支払いができます。
※詳細は医院へお問い合わせください。
●現金
●クレジットカード
基本情報
住所
〒206-0011 東京都多摩市関戸2-40-27 SAラッシュビル2F
最寄駅
聖蹟桜ヶ丘駅から徒歩1分
診療時間
月・火・水・金:9:00~13:00/14:00~18:00 土曜 9:00~13:00/14:00~17:00 日・木・祝:休診日
電話番号
042-337-5454
インプラント治療について
インプラント治療とは?
インプラント治療は、失った歯を補うための治療法です(※公的医療保険が適用されない自由診療です)。
歯を失った顎の骨にインプラント体を埋入し、そのインプラント体を土台に被せ物をすることで失った歯を補完します。
インプラントの構造やメリット・デメリットなどについてはこちら
治療の流れ
下記、一般的な治療の流れです。
※あくまでも一般的な流れであり、下記とは異なる流れで治療がおこなわれることもあります。
【二回法の場合】
1.カウンセリング
2.検査・治療計画の策定
3.骨造成や骨移植(ケースによっては不要)
4.一次手術(インプラントの埋入)
5.待機期間(人工歯根と顎骨の結合待ち)
6.二次手術(アバットメントの取付)
7.型取り
8.上部構造を装着して完了
※その後は定期的にメンテナンスを受ける必要がある
【一回法の場合】
1.カウンセリング
2.検査・治療計画の策定
3.骨造成や骨移植(ケースによっては不要)
4.インプラント埋入手術
5.待機期間(人工歯根と顎骨の結合待ち)
6.型取り
7.上部構造を装着して完了
※その後は定期的にメンテナンスを受ける必要がある
治療期間や通院回数の目安
治療期間:3ヵ月~1年程度
通院回数:8~10回程度
※具体的な治療期間や通院回数は、患者さん1人ひとりの口腔状態や要望、治療内容などによって異なります。
想定されるリスク・副作用
下記、インプラント治療で想定されるリスク・副作用です。
・神経や血管を傷つけて感覚麻痺が起きる
・患部に腫れ、痛み、違和感が生じる
・患部から出血する
・顔や首などに内出血斑が出る
・チタンアレルギーが起きる
・上顎にインプラント体を埋入する際、上顎洞を破る
・インプラント体と顎骨が上手く結合しない
・インプラント周囲炎になる
Medee歯科検索は、おすすめしたい歯医者を掲載しています。
駅、行政区、診療時間、歯科医院の特徴、診療科目など豊富な検索メニューで歯科医院を検索可能。
また歯科医院のWebサイトはもちろん各種予約ツールも利用することが可能で、より簡単に歯科医院を探すことができます。
新着記事

【2026年】中央区でフラップレスインプラント治療におすすめしたい歯科医院3選

【2026年】寝屋川市でおすすめしたい歯医者6選

【2026年】寝屋川市でおすすめしたい矯正歯科医院3選

【2026年】寝屋川市のマウスピース矯正でおすすめしたい歯科医院3選

【2026年】寝屋川市でセラミック治療におすすめしたい歯科医院3選
関連する記事

【2026年】中央区でフラップレスインプラント治療におすすめしたい歯科医院3選

【2026年】福山市でインプラント治療におすすめしたい歯科医院3選

【2026年】佐久市でインプラント治療におすすめしたい歯科医院3選

【2026年】広島県でインプラント治療におすすめしたい歯科医院3選

【2026年】東京都で抜歯即時インプラントにおすすめしたい歯科医院3選

【2026年】足立区でオールオン4におすすめしたい歯科医院7選

【2026年】兵庫県でインプラント治療におすすめしたい歯科医院5選

【2026年】立川市で歯周病に対応するインプラント治療におすすめしたい歯科医院5選

【2026年】江東区でオールオン4におすすめしたい歯科医院5選

【2026年】江坂でインプラント治療におすすめしたい歯科医院5選

【2026年】西船橋駅周辺でインプラント治療におすすめしたい歯科医院5選

【2026年】札幌市清田区でインプラント治療におすすめしたい歯科医院5選

【2026年】神奈川県でインプラント治療におすすめしたい歯科医院5選

【2026年】浦和エリアでインプラント治療におすすめしたい歯科医院6選

【2026年】埼玉県でフラップレスインプラント治療におすすめしたい歯科医院5選

【2026年】横浜市でオールオン4におすすめしたい歯科医院5選

【2026年】新橋でインプラント治療におすすめしたい歯科医院5選

【2026年】岡山市で骨造成対応のインプラント治療におすすめしたい歯科医院5選

【2026年】大阪市でフラップレスインプラント対応のおすすめしたい歯科医院5選

【2026年】札幌市西区でインプラント治療におすすめな歯科医院5選



