慶歯科医院の詳細情報
歯医者選びならMedee
>
慶歯科医院
慶歯科医院
熊本県熊本市西区城山大塘1-9-25
JR豊肥本線熊本駅から徒歩60分
Web予約
MAP
慶歯科医院の症例
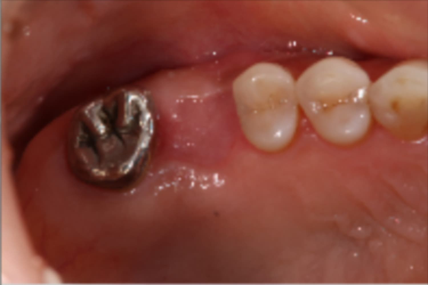
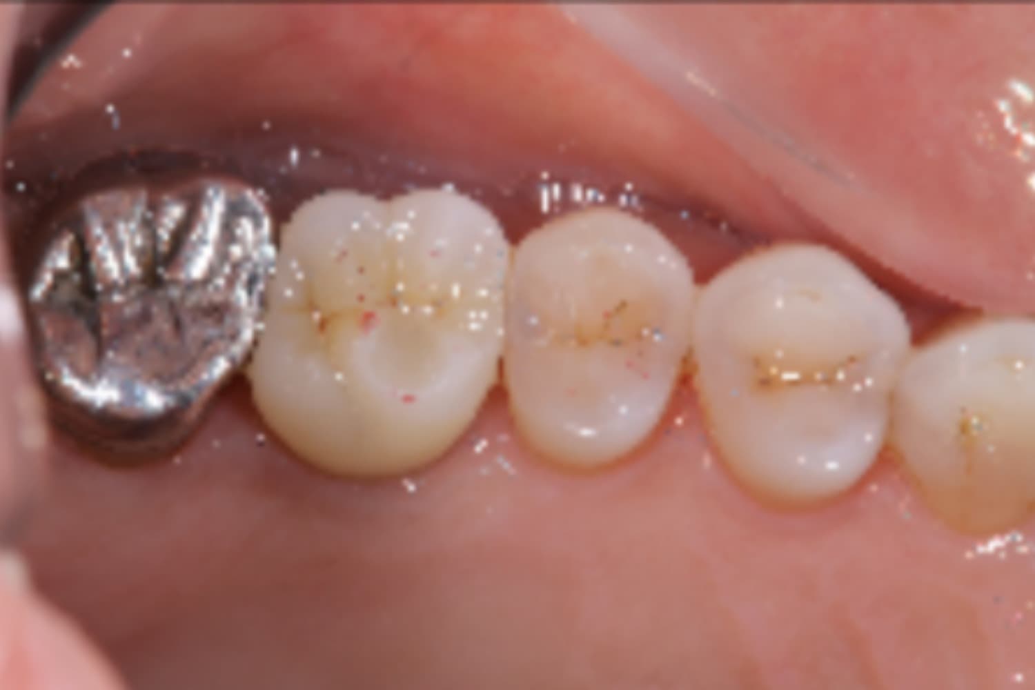
右上欠損部のインプラント治療
Before

After

右上欠損部にインプラント治療を行なった
主訴
右上歯牙欠損部にインプラント治療希望
治療期間
4カ月
治療回数
10回
費用
434,500円
副作用・リスク
・感染やインプラントの結合不良の可能性がある
Medee歯科検索は、おすすめしたい歯医者を掲載しています。
駅、行政区、診療時間、歯科医院の特徴、診療科目など豊富な検索メニューで歯科医院を検索可能。
また歯科医院のWebサイトはもちろん各種予約ツールも利用することが可能で、より簡単に歯科医院を探すことができます。
「Medee歯科検索」に掲載されている情報について
本サイトに掲載している各種情報は、各歯科医院の自己申告情報をもとにしています。
サイト運営会社の株式会社エクスコアにおいても、情報の正確性について確認するよう努めておりますが
掲載内容の正確性を保証するものではなく、本サイトご利用により生じた損害について
株式会社エクスコアは、一切責任を負わないものとします。
情報に誤りがある場合には、お手数ですが株式会社エクスコア「Medee歯科検索」担当まで ご連絡ください。
