千葉総合歯科稲毛 矯正歯科の詳細情報
千葉総合歯科稲毛 矯正歯科

千葉総合歯科稲毛 矯正歯科
千葉県千葉市稲毛区小仲台2-5-3稲栄ビル1F・6F・7F
JR総武本線稲毛駅から徒歩1分
- #インビザライン
- #矯正歯科
- #マウスピース矯正
- #親知らず
丁寧なコミュニケーションもとに一人ひとりに合わせた診療
当院はJR「稲毛駅」東口から徒歩わずか30秒の場所にあります。 祝日を除いて月曜日から日曜日まで毎日診療しているため学業やお仕事、家事で忙しい方でもご自身のスケジュールに合わせて通院しやすい環境が整っています。 医院で特に大切にしているのは、患者さんとのコミュニケーションです。 プライバシーに配慮された個室のカウンセリングルームで十分な時間を確保し、治療法のメリットだけでなくデメリットまで丁寧に説明いたします。 患者さんが心から納得したうえで治療に臨めるよう、真摯に向き合う姿勢を徹底していますのでご安心ください。 治療プランの立案にあたっては、精密な検査・診断ができるようCT・セファロ機能付きの機器や、専用カメラで歯型を採取する口腔内スキャナーなどを導入しています。 状況や要望に合わせ一人ひとりに合った幅広い治療法を提案させていただきます。
基本情報
住所
千葉県千葉市稲毛区小仲台2-5-3稲栄ビル1F・6F・7FMAP最寄駅
JR総武本線稲毛から徒歩1分電話番号
043-445-8810
診療内容
インビザライン/矯正歯科/マウスピース矯正/親知らず/小児歯科/虫歯/小児矯正/ワイヤー矯正/部分矯正/歯周病/インプラント/ホワイトニング/ホームホワイトニング/オフィスホワイトニング/入れ歯・義歯/予防歯科/歯科検診/クリーニング/ブリッジ/つめ物・かぶせ物/抜歯/裏側矯正
医院特徴
駅近/バリアフリー/土曜診療/日曜診療
医院HP
https://www.0432558847.jp/
MAP
千葉総合歯科稲毛 矯正歯科の3つのこだわり

「歯医者=痛い」のイメージを変える痛みへの対策
「歯科治療=痛い」という観点から、歯医者への通院に対して苦手意識を持たれている方は多いです。当院では歯科治療における痛みを軽減できるよう以下の取り組みをおこなっています。 ・歯茎に表面麻酔を施し注射針を刺すときの痛みを軽減 ・カートリッジウォーマーで麻酔薬を温め、体温との差を失くし痛みを軽減 ・電動麻酔器を用いて一定の圧力で麻酔薬を注入して痛みを軽減

「永久歯で一生を過ごす」ことを目指す予防重視の歯科治療
当院では「永久歯で一生を過ごす」ことを目的として治療にあたっています。 そのため、ただ悪くなった歯を治すだけでなく、その後の「予防」に力を入れているのが特徴です。 定期的な検診やクリーニング、生活習慣の見直しなどを通じて虫歯や歯周病を未然に防ぎ、将来的にも健康な歯を守れるようサポートいたします。

総合歯科のチーム医療による多角的なアプローチ
当院は幅広い治療に対応している総合歯科であり、各分野に精通したドクターが在籍しています。 チーム医療を実践しており、患者さんの悩みや要望に対して多角的な視点でアプローチが可能です。 また、総合歯科だからこそ複数の選択肢を提示することができ、患者さんの理想の口元を実現できるようサポートさせていただきます。
千葉総合歯科稲毛 矯正歯科の症例
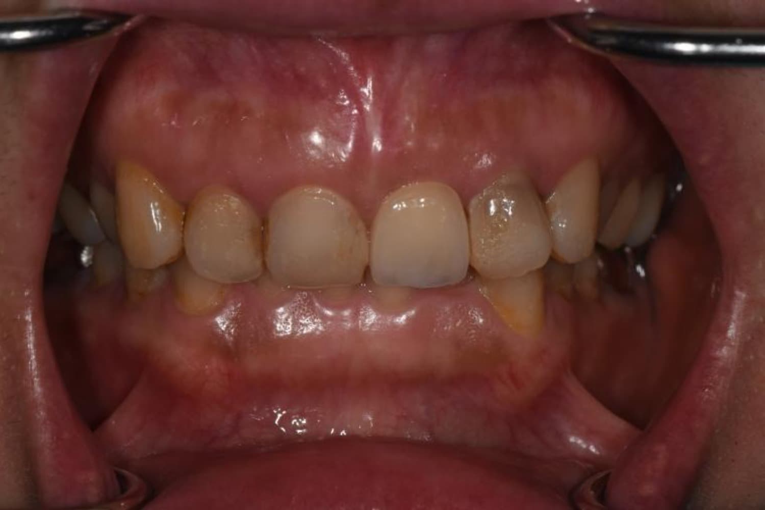
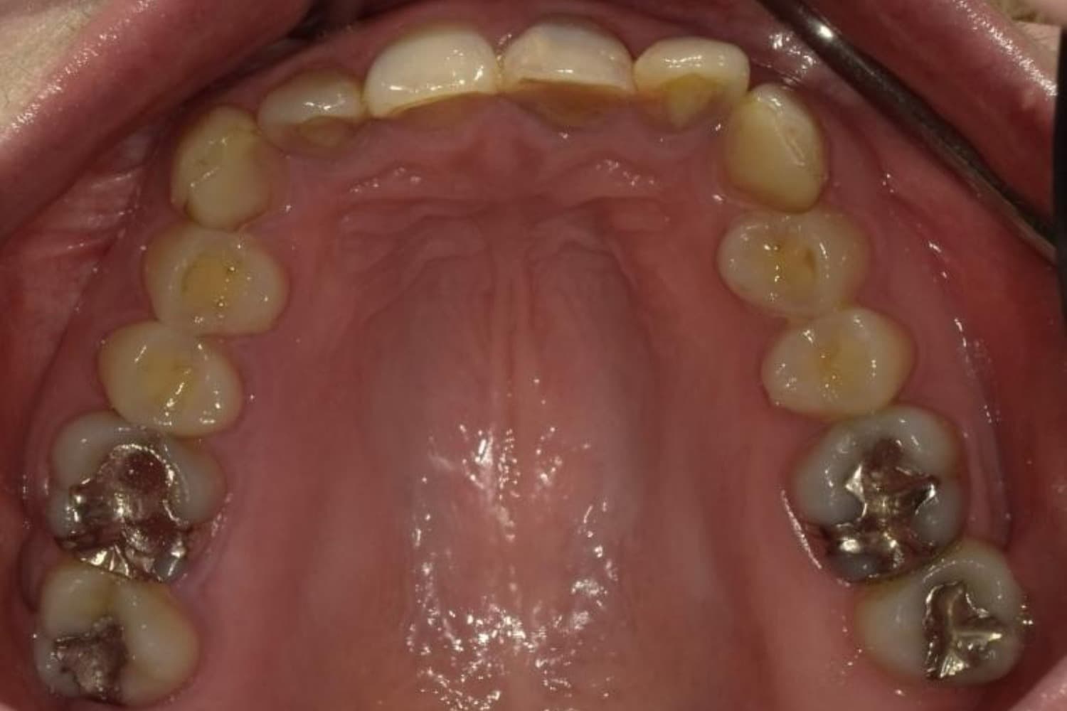
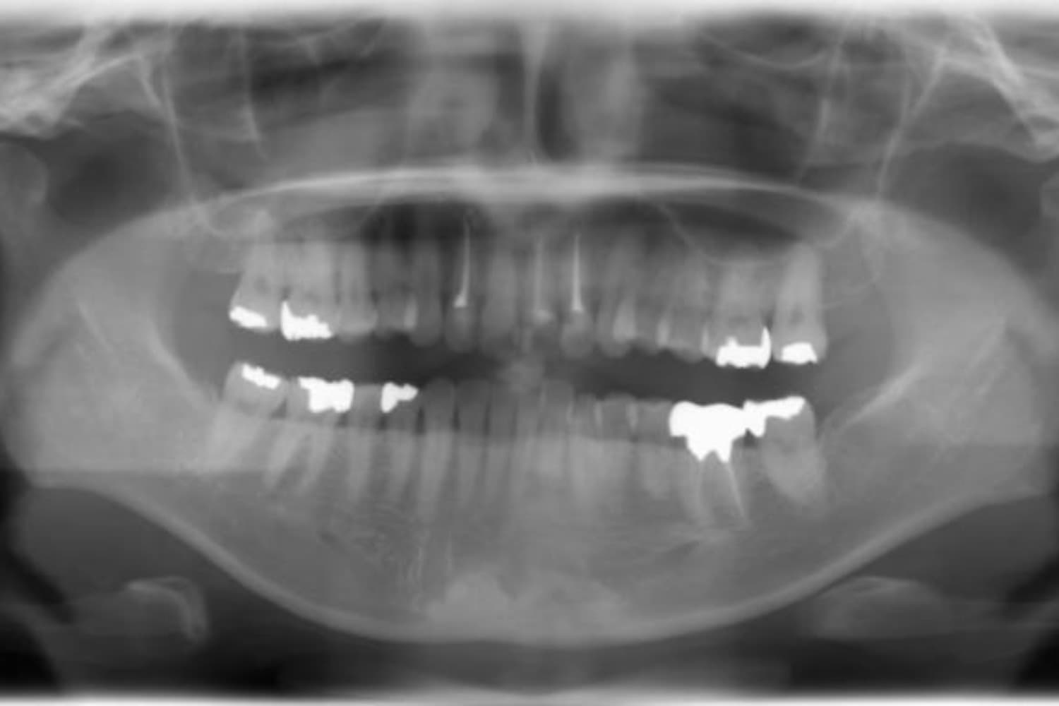
上顎前歯1本欠損症例(1)
Before

After





歯の根が割れていたため抜歯をおこないました。インプラント・ブリッジ・義歯それぞれのメリットやデメリットをお話させていただき、インプラントでの治療を選択されました。
年齢
46歳
性別
女性
主訴
前歯の色味が気になる
治療期間
11ヵ月
費用
60万円
副作用・リスク
インプラント治療は外科的な処置を伴い、多少の腫れや痛みが出ることがあります。 多くの場合は鎮痛薬で和らげることができます。
写真一覧

口腔内やその周辺の立体画像が得られるCT装置です。治療の精度を高めるために必須の装置です。

肉眼では捉えきれない細部まで見れるようになる機器です。

肉眼はもちろんのこと、拡大鏡でも捉えきれない細部まで見れるようになる機器です。

お口のなかに潜む細菌を確認するために用いられる顕微鏡です。患者さん一人ひとりの口内に潜む細菌を特定し、細菌に合わせた治療を可能とします。

歯ぐきの奥深くに付着した歯石や汚れたセメント質を、超音波の力で丁寧に除去する治療器具です。

患者さんの上下の歯やあごの動きを模型上で再現し、噛み合わせを正確に診断・調整するための装置です。
院長紹介


院長
鈴木 常夫
経歴
1972年3月 東京歯科大学卒 1972年4月 東京歯科大学補綴科 第二講座入局(クラウン・ブリッジ) 1972年4月 東京歯科大学補綴科助手 都立駒込病院勤務 新有楽町ビル歯科勤務 1976年 現在地に開業 千葉市歯科医師会理事(医療管理) 千葉市歯科医師会理事(総務) 千葉県歯科医師会医道高揚委員会委員長 日本歯科医師会選挙管理委員
スタッフ紹介


副院長
鈴木 祐輔
経歴
2004年3月 東京歯科大学卒 2008年3月 東京歯科大学大学院研究科にて歯学博士取得 2008年1月-3月 エアランゲン-ニュールンベルグ フリードリッヒ- アレクサンダー大学 顎顔面口腔外科講座(エアランゲン、ドイツ) 2008年-2011年 ロマリンダ大学 インプラント学講座(ロマリンダ、アメリカ) 2011年7月~ 米国ロマリンダ大学インプラント学講座臨床准教授 2011年9月 千葉総合歯科稲毛 矯正歯科勤務、稲毛インプラントセンター所長
Medee歯科検索は、おすすめしたい歯医者を掲載しています。
駅、行政区、診療時間、歯科医院の特徴、診療科目など豊富な検索メニューで歯科医院を検索可能。
また歯科医院のWebサイトはもちろん各種予約ツールも利用することが可能で、より簡単に歯科医院を探すことができます。
「Medee歯科検索」に掲載されている情報について
本サイトに掲載している各種情報は、各歯科医院の自己申告情報をもとにしています。
サイト運営会社の株式会社エクスコアにおいても、情報の正確性について確認するよう努めておりますが
掲載内容の正確性を保証するものではなく、本サイトご利用により生じた損害について
株式会社エクスコアは、一切責任を負わないものとします。
情報に誤りがある場合には、お手数ですが株式会社エクスコア「Medee歯科検索」担当まで ご連絡ください。



